Acute and Subchronic Oral Toxicity Study of Gardenia Yellow E500 in Sprague-Dawley Rats
Abstract
1. Introduction
2. Materials and Methods
2.1. Preparation and Characterization of the Test Substance
2.2. Experimental Animals
2.3. Acute Oral Toxicity Study
2.4. Subchronic Oral Toxicity Study
2.4.1. Animal Assignment and Treatment
2.4.2. General Clinical Observations
2.4.3. Clinical Investigations
2.4.4. Pathology Examinations
2.5. Statistical Analysis
3. Results
3.1. Characterization of Gardenia Yellow Sample
3.2. Oral Acute Toxicity Study in Rats
3.3. Subchronic Toxicity Study in Rats
3.3.1. General Condition, Body Weight and Food Consumption
3.3.2. Urinalysis
3.3.3. Hematological Parameters
3.3.4. Clinical Biochemical Parameters
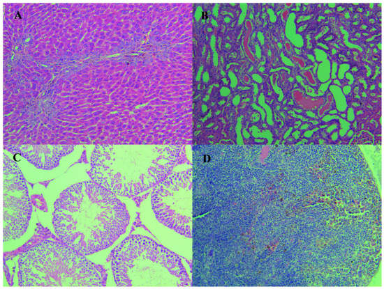
3.3.5. Pathology
4. Discussion
5. Conclusions
Author Contributions
Funding
Conflicts of Interest
References
- Yang, B.Y.; Hui, B.D. Progress in the legalization of gardenia yellow by JECFA. China Food Addit. 2013, 4, 193–200. [Google Scholar]
- Hong, I.K.; Jeon, H.; Lee, S.B. Extraction of natural dye from Gardenia and chromaticity analysis according to chi parameter. J. Ind. Eng. Chem. 2015, 24, 326–332. [Google Scholar] [CrossRef]
- Xiao, W.P.; Li, S.M.; Wang, S.Y.; Ho, C.T. Chemistry and bioactivity of Gardenia jasminoides. J. Food Drug Anal. 2017, 25, 43–61. [Google Scholar] [CrossRef] [PubMed]
- Shui, J.; Liu, X.H.; Chen, R.Q.; Liang, R.G.; Ma, X.Q.; Liu, Y.Z.; Li, M.C.; Yuan, Q.S. Overview of the Exploitation and Utilization Value of Gardenia Fruit. Mod. Agric. Sci. Tech. 2016, 13, 121–122. [Google Scholar]
- Wu, Z.K.; Zhang, Y.N.; Wang, Y.Y.; Wu, C.; Wang, Q.M. Research Progress on Development and Utilization of Gardenia. Asia-Pac. Tradit. Med. 2017, 13, 64–66. [Google Scholar]
- National Health and Family Planning Commission of P.R.C. Chinese National Food Safety Standard for the Use of Food Additives (GB 2760-2014); China Standards Press: Beijing, China, 2014. [Google Scholar]
- Chung, Y.S.; Eum, K.H.; Ahn, J.H.; Choi, S.A.; Noh, H.J.; Seo, Y.R.; Oh, S.W.; Lee, M. Genotoxicity Assessment of Gardenia Yellow using Short-term Assays. Mol. Cell. Toxicol. 2009, 5, 257–264. [Google Scholar] [CrossRef]
- Ozaki, A.; Kitano, M.; Furusawa, N.; Yamaguchi, H.; Kuroda, K.; Endo, G. Genotoxicity of gardenia yellow and its components. Food Chem. Toxicol. 2002, 40, 1603–1610. [Google Scholar] [CrossRef]
- Li, X.; Shang, R.; Bai, J.; Xu, E.; Wang, J. The toxicity and the induction study of crocin colour. J. Health Toxicol. 1989, 3, 187–188. [Google Scholar]
- Yamano, T.; Tsujimoto, Y.; Noda, T.; Shimizu, M.; Ohmori, M.; Morita, S.; Yamada, A. Hepatotoxicity of geniposide in rats. Food Chem. Toxicol. 1990, 28, 515–519. [Google Scholar] [CrossRef]
- Yang, H.J.; Fu, M.H.; Wu, Z.L.; Liang, R.X.; Huang, L.Q.; Fang, J.; Li, G.; Cao, Y. Experimental studies on hepatotoxicity of rats induced by Fructus Gardeniae. Chin. J. Chin. Mater. Med. 2006, 31, 1091–1093. [Google Scholar]
- Wei, J.Y.; Zhang, F.B.; Zhang, Y.; Cao, C.Y.; Li, X.Y.; Li, D.F.; Liu, X.; Yang, H.J.; Huang, L.Q. Proteomic Investigation. Proteomic Investigation of Signatures for Geniposide-Induced Hepatotoxicity. J. Proteome Res. 2014, 13, 5724–5733. [Google Scholar] [CrossRef] [PubMed]
- Ding, Y.; Zhang, T.; Tao, J.S.; Zhang, L.Y.; Shi, J.R.; Ji, G. Potential hepatotoxicity of geniposide, the major iridoid glycoside in dried ripe fruits of Gardenia jasminoides (Zhi-zi). Nat. Prod. Res. 2012, 27, 929–933. [Google Scholar] [CrossRef] [PubMed]
- Feng, X.Y. The Study of Nephrotoxicity and Primary Mechanism Induced by the Gardenia and Its Main Component Geniposide. Master’s Thesis, Capital Medical University, Beijing, China, 2016. [Google Scholar]
- State General Administration of P.R.C. for Quality Supervision and Inspection and Quarantine, Standardization Administration of P.R.C. Chinese National Food Safety Standard for Gardenia Yellow (GB 7912-2010); China Standards Press: Beijing, China, 2010. [Google Scholar]
- OECD. OECD Guidelines for the Testing of Chemicals. Test No. 408: Repeated Dose 90-Day Oral Toxicity Study in Rodents, 1998; OECD: Paris, France, 1998. [Google Scholar]
- Kennedy, G.L.; Ferenz, R.L.; Burgess, B.A. Estimation of acute oral toxicity in rats by determination of the approximate lethal dose rather than the LD50. J. Appl. Toxicol. 1986, 6, 145–148. [Google Scholar] [CrossRef] [PubMed]
- Hosseinzadeh, H.; Shariaty, V.M.; Sameni, A.K.; Vahabzadeh, M. Acute and sub-acute toxicity of crocin, a constituent of Crocus sativus L. (Saffron), in mice and rats. Pharmacologyonline 2010, 2, 943–951. [Google Scholar]
- Mohajeri, D.; Mousavi, G.; Mesgari, M.; Doustar, Y.; Khayat, N.M. Subacute toxicity of Crocus sativus L. (Saffron) sigma ethanolic extract in rats. Am. J. Pharmacol. Toxicol. 2007, 4, 189–193. [Google Scholar]
- Modaghegh, M.H.; Shahabian, M.; Esmaeili, H.A.; Rajbai, O.; Hosseinzadeh, H. Safety evaluation of saffron (crocus sativus) tablets in healthy volunteers. Phytomedicine 2008, 15, 1032–1037. [Google Scholar] [CrossRef]
- Crockett-Torabi, E.; Ward, P.A. The role of leukocytes in tissue injury. Eur. J. Anaesthesiol. 1996, 13, 235–246. [Google Scholar] [CrossRef]
- Sato, S.; Kitamura, H.; Chino, M.; Takei, Y.; Hiruma, M.; Nomura, M. A 13-week oral dose subchronic toxicity study of gardenia yellow containing geniposide in rats. Food Chem. Toxicol. 2007, 45, 1537–1544. [Google Scholar] [CrossRef]
- Lee, I.A.; Lee, J.H.; Baek, N.I.; Kim, D.H. Antihyperlipidemic effect of crocin isolated from the fructus of Gardenia jasminodes and its metabolite Crocetin. Biol. Pharm. Bull. 2005, 28, 2106–2110. [Google Scholar] [CrossRef]
- Sheng, L.; Qian, Z.; Zheng, S.; Xi, L. Mechanism of hypolipidemic effect of crocin in rats: crocin inhibits pancreatic lipase. Eur. J. Pharm. Biopharm. 2006, 543, 116–122. [Google Scholar] [CrossRef]
- Español-Suñer, R.; Carpentier, R.; Van Hul, N.; Legry, V.; Achouri, Y.; Cordi, S.; Jacquemin, P.; Lemaigre, F.; Leclercq, I.A. Liver Progenitor Cells Yield Functional Hepatocytes in Response to Chronic Liver Injury in Mice. Gastroenterology 2012, 143, 1564–1575. [Google Scholar] [CrossRef] [PubMed]
- Wang, B.; Yang, H.J.; Gao, S.R.; Wu, Z.L.; He, R.; Hui, L.Q. The Pathological Observation of Toxicity on Kidney and Haper by Fructus Gardeniae in Rats. Chin. J. Exp. Tradit. Med. Form. 2007, 13, 45–48. [Google Scholar]
- WHO. Principles for the Safety Assessment of Food Additives and Contaminants in Food. Environmental Health Criteria 70; World Health Organization: Geneva, Switzerland, 1987. [Google Scholar]
- WHO. Principles for the Toxicological Assessment of Pesticide Residues in Food. Environmental Health Criteria 104; World Health Organization: Geneva, Switzerland, 1990. [Google Scholar]




| Gender | Numbers of Animals | Dose (g/kg) | WBC (109/L) | RBC (1012/L) | HGB (g/L) | HCT (%) | PLT (109/L) | MCV (fL) | MCH (pg) | MCHC (g/dL) | NEUT% | LYMPH% | MONO% | EO% | BASO% | RET% |
|---|---|---|---|---|---|---|---|---|---|---|---|---|---|---|---|---|
| End of treatment period | ||||||||||||||||
| Female | 10 | 0.00 | 4.7 ± 1.7 | 7.49 ± 0.38 | 140 ± 6 | 41.5 ± 1.6 | 855.5 ± 143.9 | 55.4 ± 1.9 | 18.7 ± 0.4 | 337 ± 5 | 30.2 ± 13.1 | 67.0 ± 13.4 | 1.1 ± 0.6 | 1.6 ± 0.7 | 0.0 ± 0.0 | 2.00 ± 0.53 |
| 10 | 0.50 | 3.7 ± 1.4 | 7.20 ± 0.27 * | 135 ± 4 | 40.9 ± 0.9 | 901.9 ± 115.7 | 56.9 ± 1.5 | 18.8 ± 0.4 | 330 ± 5 * | 24.6 ± 5.0 | 72.6 ± 5.5 | 1.5 ± 0.5 | 1.2 ± 0.6 | 0.0 ± 0.0 | 2.24 ± 0.52 | |
| 10 | 1.50 | 3.6 ± 2.4 | 7.19 ± 0.23 * | 138 ± 5 | 41.1 ± 1.6 | 889.0 ± 80.3 | 57.3 ± 1.5 * | 19.0 ± 0.4 | 333 ± 8 | 24.1 ± 6.1 | 72.6 ± 6.7 | 1.5 ± 0.5 | 1.8 ± 1.1 | 0.0 ± 0.0 | 2.84 ± 0.57 * | |
| 8 | 4.50 | 7.4 ± 1.8 * | 6.42 ± 0.55 * | 132 ± 10 | 41.0 ± 3.0 | 1027.4 ± 154.5 * | 64.0 ± 2.7 ** | 20.6 ± 0.4 * | 322 ± 9 | 39.1 ± 10.2 | 58.6 ± 10.3 | 1.0 ± 0.3 | 1.3 ± 0.8 | 0.0 ± 0.0 | 10.53 ± 2.10 * | |
| Male | 10 | 0.00 | 6.9 ± 2.4 | 8.55 ± 0.46 | 151 ± 7 | 43.5 ± 1.4 | 949.1 ± 100.8 | 50.9 ± 1.9 | 17.6 ± 0.5 | 346 ± 6 | 25.5 ± 4.4 | 71.7 ± 4.9 | 1.4 ± 0.7 | 1.5 ± 0.4 | 0.0 ± 0.0 | 2.08 ± 0.23 |
| 10 | 0.50 | 6.5 ± 2.3 | 8.23 ± 0.19 | 148 ± 5 | 43.2 ± 1.5 | 943.8 ± 64.6 | 52.5 ± 1.6 | 18.0 ± 0.6 | 343 ± 3 | 27.9 ± 4.3 | 69.6 ± 4.4 | 1.4 ± 0.2 | 1.2 ± 0.6 | 0.0 ± 0.0 | 2.15 ± 0.25 | |
| 10 | 1.50 | 5.4 ± 1.0 | 8.04 ± 0.26 * | 146 ± 4 | 42.5 ± 1.0 | 1019.3 ± 106.7 | 52.8 ± 1.9 * | 18.2 ± 0.5 | 344 ± 5 | 25.7 ± 4.9 | 71.2 ± 4.6 | 1.6 ± 0.5 | 1.6 ± 0.7 | 0.0 ± 0.0 | 2.41 ± 0.28 * | |
| 6 | 4.50 | 12.6 ± 2.9 * | 6.67 ± 0.37 * | 138 ± 10 * | 42.1 ± 2.7 | 1230.8 ± 96.6 * | 63.1 ± 2.2 ** | 20.6 ± 0.6 | 327 ± 6 * | 46.8 ± 7.8 * | 51.3 ± 7.1 * | 1.0 ± 0.2 | 0.8 ± 0.6 * | 0.0 ± 0.0 | 10.82 ± 1.54 * | |
| End of recovery period | ||||||||||||||||
| Female | 10 | 0.00 | 2.5 ± 0.7 | 7.21 ± 0.28 | 135 ± 5 | 39.4 ± 1.4 | 854 ± 76 | 54.8 ± 1.6 | 18.8 ± 0.4 | 343 ± 7 | 29.1 ± 5.9 | 68.3 ± 5.7 | 1.4 ± 0.8 | 1.2 ± 0.6 | 0.5 ± 0.2 | 2.23 ± 0.59 |
| 9 | 4.50 | 3.4 ± 1.3 | 7.61 ± 0.30# | 151 ± 7 # | 44.2 ± 1.9 # | 866 ± 64 | 58.0 ± 1.2 ## | 19.8 ± 0.5 # | 342 ± 6 | 29.7 ± 5.6 | 64.8 ± 5.2 | 2.4 ± 0.9 # | 3.1 ± 1.0 # | 0.0 ± 0.0 | 1.14 ± 0.23 # | |
| Male | 10 | 0.00 | 5.6 ± 1.7 | 8.61 ± 0.28 | 152 ± 5 | 43.6 ± 1.7 | 1027 ± 146 | 50.7 ± 1.3 | 17.6 ± 0.3 | 348 ± 4 | 28.1 ± 4.5 | 68.9 ± 5.1 | 1.6 ± 0.7 | 1.5 ± 0.4 | 0.0 ± 0.0 | 2.16 ± 0.21 |
| 7 | 4.50 | 4.8 ± 1.1 | 8.39 ± 0.27 | 159 ± 4 # | 46.6 ± 1.0 # | 1051 ± 89 # | 55.5 ± 1.3 ## | 19.0 ± 0.4 # | 342 ± 3 # | 28.8 ± 2.7 | 66.9 ± 3.1 | 1.9 ± 0.5 | 2.3 ± 1.2 | 0.0 ± 0.0 | 1.78 ± 0.29 # | |
| Gender | Numbers of Animals | Dose (g/kg) | ALT (U/L) | AST (U/L) | TP (g/L) | ALB (g/L) | TBIL (μmol/L) | ALP (U/L) | GLU (mmol/L) | BUN (mmol/L) | CREA (μmol/L) | CHOL (mmol/L) | TG (mmol/L) |
|---|---|---|---|---|---|---|---|---|---|---|---|---|---|
| End of treatment period | |||||||||||||
| Female | 10 | 0.00 | 32 ± 12 | 131 ± 38 | 64.4 ± 2.3 | 39.7 ± 1.8 | 0.68 ± 0.44 | 39 ± 12 | 7.14 ± 0.58 | 4.64 ± 0.49 | 58.7 ± 3.5 | 1.40 ± 0.25 | 0.71 ± 0.27 |
| 10 | 0.50 | 27 ± 11 | 115 ± 18 | 63.2 ± 3.0 | 39.0 ± 2.0 | 0.40 ± 0.15 | 40 ± 14 | 6.84 ± 0.69 | 5.23 ± 0.60 * | 65.5 ± 6.7 * | 1.78 ± 0.27 * | 0.43 ± 0.17 * | |
| 10 | 1.50 | 25 ± 6 | 116 ± 26 | 60.9 ± 3.4 * | 37.6 ± 2.6 | 0.51 ± 0.10 | 47 ± 22 | 6.75 ± 0.61 | 4.87 ± 0.74 | 72.6 ± 5.7 * | 1.41 ± 0.22 | 0.35 ± 0.18 * | |
| 8 | 4.50 | 26 ± 6 | 134 ± 18 | 55.5 ± 2.1 * | 32.5 ± 1.0 * | 0.74 ± 0.32 | 78 ± 29 * | 5.69 ± 0.63 * | 6.20 ± 0.77 * | 83.1 ± 23.1 * | 1.06 ± 0.37 * | 0.11 ± 0.09 * | |
| Male | 10 | 0.00 | 27 ± 4 | 111 ± 17 | 53.4 ± 2.5 | 29.4 ± 1.2 | 0.55 ± 0.12 | 78 ± 15 | 7.72 ± 0.70 | 4.45 ± 0.45 | 47.2 ± 5.9 | 1.01 ± 0.30 | 0.85 ± 0.60 |
| 10 | 0.50 | 25 ± 3 | 93 ± 4 * | 52.9 ± 1.8 | 29.8 ± 1.3 | 0.61 ± 0.13 | 68 ± 17 | 7.40 ± 0.43 | 4.45 ± 0.35 | 49.2 ± 1.8 | 1.13 ± 0.27 | 0.66 ± 0.37 | |
| 10 | 1.50 | 26 ± 4 | 103 ± 18 | 54.2 ± 2.7 | 31.2 ± 1.0 * | 0.85 ± 0.80 | 72 ± 17 | 6.73 ± 0.37 * | 4.49 ± 0.49 | 54.1 ± 4.8 * | 1.02 ± 0.21 | 0.41 ± 0.14 * | |
| 6 | 4.50 | 36 ± 5 * | 102 ± 14 | 48.5 ± 1.9 * | 28.3 ± 0.9 | 0.88 ± 0.55 | 84 ± 12 | 5.49 ± 0.55 * | 4.50 ± 1.46 | 69.9 ± 13.0 * | 1.36 ± 0.29 | 0.50 ± 0.32 | |
| End of recovery period | |||||||||||||
| Female | 10 | 0.00 | 30 ± 12 | 145 ± 28 | 69.2 ± 3.8 | 39.9 ± 2.7 | 1.8 ± 0.6 | 20 ± 5 | 6.92 ± 0.72 | 4.51 ± 0.34 | 67.0 ± 5.8 | 1.55 ± 0.38 | 0.46 ± 0.20 |
| 9 | 4.50 | 25 ± 4 | 125 ± 26 | 63.2 ± 2.6 # | 34.4 ± 1.9 # | 0.9 ± 0.3 # | 33 ± 9 # | 6.50 ± 0.45 | 4.46 ± 0.68 | 61.7 ± 6.0 | 1.46 ± 0.22 | 0.46 ± 0.14 | |
| Male | 10 | 0.00 | 35 ± 10 | 126 ± 18 | 60.3 ± 2.0 | 30.9 ± 1.3 | 1.2 ± 0.3 | 53 ± 24 | 8.27 ± 0.41 | 4.74 ± 0.44 | 58.9 ± 4.7 | 1.04 ± 0.27 | 0.67 ± 0.26 |
| 7 | 4.50 | 37 ± 5 | 129 ± 20 | 57.9 ± 2.1 # | 29.8 ± 1.1 | 0.9 ± 0.1 # | 57 ± 14 | 7.06 ± 0.72 # | 5.61 ± 0.59 # | 60.6 ± 5.4 | 0.96 ± 0.35 | 0.31 ± 0.07 # | |
| Gender | Numbers of Animals | Dose (g/kg) | Thymus | Heart | Liver | Spleen | Kidneys | Adrenals | Ovaries/Testes | Uterus/Epididymides |
|---|---|---|---|---|---|---|---|---|---|---|
| End of treatment period | ||||||||||
| Female | 10 | 0.00 | 0.21 ± 0.05 | 0.52 ± 0.04 | 3.99 ± 0.30 | 0.27 ± 0.04 | 0.88 ± 0.08 | 0.035 ± 0.012 | 0.27 ± 0.05 | 0.073 ± 0.012 |
| 10 | 0.50 | 0.19 ± 0.03 | 0.51 ± 0.07 | 4.08 ± 0.47 | 0.28 ± 0.05 | 0.87 ± 0.08 | 0.037 ± 0.006 | 0.29 ± 0.08 | 0.071 ± 0.012 | |
| 10 | 1.50 | 0.18 ± 0.04 | 0.48 ± 0.06 | 4.19 ± 0.52 | 0.29 ± 0.05 | 0.91 ± 0.12 | 0.034 ± 0.008 | 0.27 ± 0.12 | 0.067 ± 0.010 | |
| 8 | 4.50 | 0.18 ± 0.07 | 0.46 ± 0.03 ** | 5.02 ± 0.54 ** | 0.43 ± 0.08 ** | 1.03 ± 0.09 ** | 0.034 ± 0.005 | 0.26 ± 0.04 | 0.090 ± 0.020 * | |
| Male | 10 | 0.00 | 0.26 ± 0.07 | 0.73 ± 0.09 | 6.30 ± 1.28 | 0.37 ± 0.07 | 1.50 ± 0.15 | 0.030 ± 0.006 | 1.56 ± 0.20 | 0.70 ± 0.10 |
| 10 | 0.50 | 0.32 ± 0.13 | 0.81 ± 0.09 * | 7.40 ± 1.25 | 0.41 ± 0.07 | 1.64 ± 0.20 | 0.038 ± 0.010 * | 1.51 ± 0.21 | 0.69 ± 0.13 | |
| 10 | 1.50 | 0.22 ± 0.07 | 0.68 ± 0.05 | 6.43 ± 1.14 | 0.42 ± 0.04 | 1.48 ± 0.21 | 0.033 ± 0.007 | 1.65 ± 0.18 | 0.69 ± 0.07 | |
| 6 | 4.50 | 0.16 ± 0.07 * | 0.59 ± 0.07 ** | 7.07 ± 1.17 | 0.55 ± 0.09 ** | 1.40 ± 0.34 | 0.041 ± 0.007 ** | 1.57 ± 0.09 | 0.65 ± 0.10 | |
| End of recovery period | ||||||||||
| Female | 10 | 0.00 | 0.16 ± 0.04 | 0.48 ± 0.16 | 3.80 ± 0.45 | 0.27 ± 0.04 | 0.93 ± 0.16 | 0.041 ± 0.007 | 0.31 ± 0.06 | 0.083 ± 0.013 |
| 9 | 4.50 | 0.19 ± 0.04 | 0.54 ± 0.05 | 4.17 ± 0.40 | 0.33 ± 0.06 ## | 1.02 ± 0.18 | 0.048 ± 0.007 ## | 0.29 ± 0.04 | 0.090 ± 0.017 | |
| Male | 10 | 0.00 | 0.27 ± 0.10 | 0.79 ± 0.07 | 6.89 ± 0.85 | 0.41 ± 0.06 | 1.61 ± 0.20 | 0.039 ± 0.010 | 1.75 ± 0.16 | 0.85 ± 0.08 |
| 7 | 4.50 | 0.21 ± 0.07 | 0.72 ± 0.09 | 6.08 ± 0.80 | 0.42 ± 0.07 | 1.43 ± 0.17 | 0.037 ± 0.011 | 1.63 ± 0.10 | 0.83 ± 0.15 | |
| Organ and Tissue Findings | End of Treatment Period (g/kg) | End of Recovery Period (g/kg) | |||||||||||
|---|---|---|---|---|---|---|---|---|---|---|---|---|---|
| 0.00 | 0.50 | 1.50 | 4.50 | 1.50 | 4.50 | ||||||||
| ♀ | ♂ | ♀ | ♂ | ♀ | ♂ | ♀ | ♂ | ♀ | ♂ | ♀ | ♂ | ||
| Lungs | Pulmonary interstitial pigmentation, macrophage infiltration | 0/10 | 0/10 | - | - | - | - | 1/8 | 1/6 | 0/10 | 0/10 | 1/9 | 0/7 |
| Liver | Intrahepatic pigmentation | 0/10 | 0/10 | 0/10 | 0/10 | 4/10 | 0/10 | 8/8 | 6/6 | 0/10 | 0/10 | 9/9 | 6/7 |
| Oval cell proliferation | 0/10 | 0/10 | 0/10 | 0/10 | 0/10 | 0/10 | 3/8 | 3/6 | 0/10 | 0/10 | 3/9 | 0/7 | |
| Kidney | Tubular epithelial cells degeneration | 0/10 | 0/10 | 0/10 | 0/10 | 0/10 | 0/10 | 8/8 | 6/6 | 0/10 | 0/10 | 9/9 | 7/7 |
| Tubular epithelial cells necrosis | 0/10 | 0/10 | 0/10 | 0/10 | 0/10 | 0/10 | 8/8 | 6/6 | 0/10 | 0/10 | 0/9 | 0/7 | |
| Tubular epithelium pigmentation | 0/10 | 0/10 | 0/10 | 0/10 | 9/10 | 0/10 | 8/8 | 6/6 | 0/10 | 0/10 | 9/9 | 7/7 | |
| Testis | Leydig cell pigmentation | - | 0/10 | - | - | - | - | - | 5/6 | - | 0/10 | - | 5/7 |
| Lymph node | Lymphoid hyperplasia, pigmentation | 0/10 | 0/10 | 0/10 | 0/10 | 0/10 | 0/10 | 3/8 | 5/6 | 0/10 | 0/10 | 1/9 | 3/7 |
© 2020 by the authors. Licensee MDPI, Basel, Switzerland. This article is an open access article distributed under the terms and conditions of the Creative Commons Attribution (CC BY) license (http://creativecommons.org/licenses/by/4.0/).
Share and Cite
Tang, X.; Wang, Y.; Yang, W.; Zheng, Y.; Liu, C.; Qu, M.; Xu, H.; Zhang, L.; Liang, J.; Fan, B. Acute and Subchronic Oral Toxicity Study of Gardenia Yellow E500 in Sprague-Dawley Rats. Int. J. Environ. Res. Public Health 2020, 17, 531. https://doi.org/10.3390/ijerph17020531
Tang X, Wang Y, Yang W, Zheng Y, Liu C, Qu M, Xu H, Zhang L, Liang J, Fan B. Acute and Subchronic Oral Toxicity Study of Gardenia Yellow E500 in Sprague-Dawley Rats. International Journal of Environmental Research and Public Health. 2020; 17(2):531. https://doi.org/10.3390/ijerph17020531
Chicago/Turabian StyleTang, Xiaoqiao, Yangfeng Wang, Wenxiang Yang, Yanhua Zheng, Chunxia Liu, Min Qu, Haibin Xu, Lei Zhang, Jiang Liang, and Bolin Fan. 2020. "Acute and Subchronic Oral Toxicity Study of Gardenia Yellow E500 in Sprague-Dawley Rats" International Journal of Environmental Research and Public Health 17, no. 2: 531. https://doi.org/10.3390/ijerph17020531
APA StyleTang, X., Wang, Y., Yang, W., Zheng, Y., Liu, C., Qu, M., Xu, H., Zhang, L., Liang, J., & Fan, B. (2020). Acute and Subchronic Oral Toxicity Study of Gardenia Yellow E500 in Sprague-Dawley Rats. International Journal of Environmental Research and Public Health, 17(2), 531. https://doi.org/10.3390/ijerph17020531
