Abstract
Antimicrobial peptides (AMPs) are found widespread in nature and possess antimicrobial and immunomodulatory activities. Due to their multifunctional properties, these peptides are a focus of growing body of interest and have been characterized in several fish species. Due to their similarities in amino-acid composition and amphipathic design, it has been suggested that neuropeptides may be directly involved in the innate immune response against pathogen intruders. In this review, we report the molecular characterization of the fish-specific AMP piscidin1, the production of an antibody raised against this peptide and the immunohistochemical identification of this peptide and enkephalins in the neuroepithelial cells (NECs) in the gill of several teleost fish species living in different habitats. In spite of the abundant literature on Piscidin1, the biological role of this peptide in fish visceral organs remains poorly explored, as well as the role of the neuropeptides in neuroimmune interaction in fish. The NECs, by their role as sensors of hypoxia changes in the external environments, in combination with their endocrine nature and secretion of immunomodulatory substances would influence various types of immune cells that contain piscidin, such as mast cells and eosinophils, both showing interaction with the nervous system. The discovery of piscidins in the gill and skin, their diversity and their role in the regulation of immune response will lead to better selection of these immunomodulatory molecules as drug targets to retain antimicrobial barrier function and for aquaculture therapy in the future.
Keywords:
Pis-IR/gene expression; neuropeptides; NECs; peripheral nervous system; mast cells; eosinophils; mucus; gill; skin; fish 1. Introduction
1.1. Neuro-Immune Interactions in Host Defense
The nervous system, including the brain and peripheral divisions, can either stimulate or inhibit various activities of both innate and adaptative immune systems. Antimicrobial peptides (AMPs) are ancient defense molecules of the innate immune system. Similarly, neuropeptides are ancient signaling molecules. Similarities in size, cationic charge or amphipathic design between some neuropeptides and AMPs suggest that they might serve an additional function in antimicrobial immunity [1]. The interactions of immunomodulatory peptides with human nervous, digestive, lung, cardiovascular and immune system are emerging. For this reason, it is necessary to understand the interaction between peptides and these systems for a better understanding of their function to enhance immune responses, such as lymphocyte proliferation and cytokine regulation, although the specific mechanisms of these activities remain unclear [2]. Several peptides with neural or neuroendocrine signaling functions have been shown to have potent antimicrobial activity. Furthermore, they are widely distributed not only in the endocrine, neuroendocrine and nerve cells, but also in immune cells [1]. These neuro-antimicrobial peptides (NAMP) can be bacteriostatic or bactericidal. There is also increasing evidence that gut neuropeptides are one of the axes of communication between the gut microbiota and the host [3] and they might also be playing a role as antimicrobial agents. Gut neuropeptides are structurally similar to regular antimicrobial peptides (AMPs); they are small molecules and also share similarities with other AMPs in their mode of action. Gut neuropeptides, including gut antimicrobial neuropeptides, form a complex network between the nervous and immune systems [4], where they play a key modulatory role. Gut neuropeptides emerge from enteric neurons in response to different stimuli and also from the enteroendocrine cells [5]. Antimicrobial peptides are also produced by the enterocytes and enteroendocrine cells in the digestive system [6]. In this review, we report the presence of the antimicrobial peptide piscidin 1 and enkephalin previously reported in fish gill neuroendocrine epithelial cells [7,8] as potential regulators that may be able to exert an action by signaling to distant organs, such as the brain, as also emphasized for gut neuropeptides by Aresti Sanz and El Aidy [4].
1.2. Interactions between the Immune Cells and the Nervous System in Different Tissues
The interaction of piscidin and gill neuropeptides with the nervous system is still unknown in fish. Neuropeptides actively regulate immune functions in the gut in both direct and indirect ways, allowing for communication between the immune and nervous system. Most of the neuropeptides produced by neurons during the immune response have neuroendocrine functions that can influence both the brain and gut [9]. The nerve structures belonging to enteric nervous system regulate the gut functions autonomously, the remaining extrinsic innervation of the gut consisting of either afferent gut-brain or the efferent brain–gut axis [9]. The gill of fish is an immune-competent organ, as with the gut. In fact, teleost gills are continuously challenged with environmental pollutants/toxins and pathogens, both of which trigger an immune response in teleost gill-associated lymphoid tissue (GIALT) [10,11]. However, several studies have demonstrated that numerous innate and adaptative immune molecules or cells involved in immune-related pathways are present in teleost gills, such as immunoglobulins (Igs), antibody-secreting cells and piscidins [8,11,12,13,14]. Very recently, the mast cells, the mucous cells and the neuroepithelial endocrine cells (NECs) of the gills of teleosts are reported to generate immunomodulatory substances such as piscidin 1 [8,15] that are thought to have an immunomodulatory activity in fish [16]. The gill of fish possesses a branchial innervation that is consistent amongst all fish. Cranial nerve branches V, VII, IX and X innervate the gills, and each arch is innervated by sensory pre-trematich branch and motor/sensory post-trematich branch [17,18]. The gill nerves are a heterogeneous mix of axons since there are both afferent and efferent axons in these nerves and within each of these classes of axons there are multiple sensory receptors (O2 chemoreceptors or neuroepithelial endocrine cells (NECs) and effectors (filament muscles and vascular shunts) that have the potential to influence the cardiovascular responses [17] and other physiological functions including a possible immune modulation. In fish gill, no evidence has been produced regarding a communication of its immune cell system with the nervous system, except for a possible mediation by the NECs through afferent-like synapses sending information to central nervous system in hypoxia-induced O2 chemoreception [17,18]. Fish skin mucus acts as the first barrier to infections. It is produced in the mucous cells that begin differentiating in the stratum germinativum of the epidermis and migrate to the surface of the skin where they release their contents (see, or review, 70). The epidermis is covered by a glycocalyx or cuticle, consisting of a thin mucus layer that is a complete mixture of molecules derived by the contents of sloughed surface epithelial cells and mucus secreted goblet cells (70,71).The mucus contains lectins, lysozymes, complement proteins, AMPS and immunoglobulins which have an important role in inhibiting the entry of pathogens. Fish skin and gill mucus serve as repository of biologically active substances, as well as numerous defense molecules of both innate and acquired immune system (15,75). The integrity of the skin is necessary for the homeostasis and protecting barrier function. Resident immune cells ensure protection against pathogens and nerve fibers may act on vasculature to induce vasodilation and immune cell recruitment (19).
2. The Neuro-Immune Interaction at Barrier Surfaces
2.1. Neuro-Immune Circuits in Peripheral Tissues
Barrier tissues, such as the skin and the respiratory tract, are heavily innervated by sensory and autonomic nerves and densely populated by resident immune cells including mast cells, dendritic cells and innate lymphoid cells, allowing for a coordinated response to noxious stimuli. The neuronal release of neurotransmitters, neuropeptides and antimicrobial peptides allows for quick communication with immune cells and their recruitment. The resident immune population ensures both protection against pathogens and maintenance of tolerance against innocuous antigens [19]. Neuroimmune interactions at the lung air barrier surface also occur during lung infections. The neuropeptide calcitonin-gene related peptide (CGRP) mediates the killing of bacterial pathogens. CGRP is also expressed by the pulmonary neuroepithelial endocrine cells (PNECs), in addition to sensory nerves [19]. PNECs were found to play a role in regulating immune cell recruitment in the lungs [20,21]. Recent studies have demonstrated that environmental signals can be sensed at mucosal barriers by neuro-immune sensory units (NICUs): immune and neuronal cells co-localize and functionally interact to steer immune responses [22]. For example, PNECs are seen co-localized with innate lymphoid cells (ILC2). PNECs express gamma-aminobutyric acid (GABA) and also mediate immune functions during allergic airway diseases. PNECs-ILC2 interaction is of remarkable importance in the mucosal neuro-immune interactions in the lung. It is elicited by the secretion of the neuropeptides by the PNECs, which are thought as important regulators of lung immune response [21]. Neuroimmune communication can be essentially regarded as a bi-directional exchange of information that is carried out by classes of molecules, which were originally thought to be restricted to either neural, endocrine or immune systems [23]. These include neuropeptides, monoamines, free radicals and cytokines that were originally described in the central nervous system (CNS) and exhibit a number of immunomodulatory properties. Pro-enkephalin and chromogranin-derived peptides are found in the bovine adrenal medulla. Met-enkephalin represents a unified neuroimmune protective response to an immediate threat to the organism and is envisioned to activate immune cells and to provide a chemotactic signal for further immune cell recruitment [24].
2.2. Fish Mucosal Surfaces
The consequence of the above reported observations reported in the mammalian literature and the localization of the enkephalins (met and leu enkephalins) and the antimicrobial peptide piscidin 1 in fish gill neuroepithelial endocrine cells [7,8,25] is the overlap between these endocrines and the immune cells and their interaction with the filament nervous system [15,25]. We argue that the neurotransmitters and antimicrobial peptides released by parasympathetic gill nerves bind to their respective receptors, located on the surface of immune cells and chemoreceptor cells and initiate immune-modulatory responses. Then, a level of cross talk could be mediated by a common currency of signaling molecules. Although data also explaining how the peripheral nerves recognized and responded to bacterial infection—including a possible relation of neural immunity with immune response—are not shown, the presence of the antimicrobial peptide piscidin 1 is reported for the first time in the gill filament peripheral nerves [26,27,28]. This is in agreement with the participation of the mammalian nervous system to a characteristic immune response by producing and releasing AMPs during the repair, allowing the recruitment of peripheral leucocytes and activation of their effector functions [29,30]. This review focuses on the neuro-immune interaction at the gills, which, as with the gut, skin and lung, are densely populated by autonomic vagal nerves, O2 chemo sensing cells and immune cells that constantly sense and adapt to tissue-specific environmental challenges [31]. The respiratory and gastrointestinal mucosa maintain an epithelial barrier for commensals, pathogens and foreign antigens and harbor lymphoid tissues and immune cells interacting with neural elements [32]. Our aim is to describe the localization of the piscidin 1 and neuropeptides in fish gill, the air-breathing organs (ABOs) and the skin and discuss the putative function of these signaling molecules in the crosstalk with immune cells, endocrine cells (NECs) and sensory afferents/autonomic efferents [18,32]. Unlike neuroimmune interactions, which are well established and maintained in the peripheral mammalian tissues, this area of investigation is little studied in fish.
3. Piscidins and Neuropeptides as a Source of AMPs: Phylogeny, Cell Distribution, Molecular Structure and Immunomodulatory Function
There is an increasing indication that the homeostasis of any organism depends on a constant dialogue with the microorganisms that cover its surfaces, and this also applies to aquatic animals. However, how exactly the formation of a species microbiome is regulated and the mechanisms by which the hosts interact with their microbiome remain largely unknown. All animals, including fish, are constantly exposed to microbes; this applies to their external skin, as well as internal respiratory and gastrointestinal surfaces. Biologically active peptides provide bidirectional interactions between the host tissue and microbiome [33,34,35]. The body compartments of animals are innervated by a diverse network of nerve cells that produce neuropeptides, which serve as messengers in the complex interactions within and between the nerve cells and connected body parts [34,35,36]. Host defense peptides, also known as antimicrobial peptides, belong to a class of molecules expressed predominantly at host–environmental surfaces such as the oral cavity, respiratory tract and gastrointestinal tract. The distribution of these evolutionary ancient molecules supports their antimicrobial function and a key role in signal transmission and modulation in the central and peripheral neural systems [37,38]. In the previous decade, neuropeptides were associated with antimicrobial peptides in that they contribute to the formation of local barriers of defense against pathogens. Notably, inflammatory reactions are regulated by neuronal activity through the production of neuropeptides that cause vasodilation, plasma extravasation and inflammatory cell recruitment [26]. The neuropeptide substance P, calcitonin gene-related peptide, neuropeptide Y, vasoactive intestinal peptide and the antimicrobial neuropeptide PACAP (adenylate cyclase-activating polypeptide) have been demonstrated to have antimicrobial activity in various tissues, including the central nervous system [27,28]. Neuropeptides are now in the spotlight as one of the potential mediators of the exchange of information between the gut bacteria and other tissues and organs [4]. Antimicrobial peptides (AMPS), a family of peptides and proteins with low molecular weight, are present in virtually all life forms, from prokaryotes to eukaryotic plants and animals [39]. These peptides are critical components of the innate immune system in low vertebrate hosts [40]. Piscidins are a subgroup of amphipathic polypeptides [41], which range from 18 to 46 amino acid residues in length. Originally isolated from the striped bass (Morone saxatilis), white bass (M. chrysops) and their hybrid, there is evidence that piscidins are present in a wide range of teleost fish taxa, including the families Moronidae, Sciaenidae, Siganidae, Belontidae, Cichlidae, Percichthyidae, Latidae, Sparidae, Sygnathidae and Latridae (see, for review, [42]). Piscidin gene transcripts have been cloned as cDNAs and characterized in striped bass and white bass [43], European sea bass (Dicentrarchus labrax) [44], Nile tilapia (Oreochromis niloticus) [45] and Atlantic cod (Gadus morhua) [46]. Piscidins have strong activity against both fish and human Gram-positive and Gram-negative bacterial pathogens [47] and have been localized to mast cells [15,26,48]. As a major class of AMPs, piscidin displays potent broad-spectrum activity against bacteria [48] and parasites [49].
Phylogenetic Inference of Piscidin Genes
Piscidin peptides from basal and evolutionary modern teleost fish are currently characterized in several fish species and have been the focus of a growing body of interest [16,50,51,52]. Unlike other marine vertebrates, which have an external layer of keratinized skin that constitutes an efficient natural barrier, fish are less protected against invading pathogens, since the epidermal surface of the skin is composed mostly of living cells (Figure 1).
Figure 1.
Diagram showing antimicrobial defense mechanism in fish skin. Bacteria, viruses and other pathogens and epithelial cells after skin injuries release cytokines as IL-1β, which attracts neutrophils and T cells to the surface epidermis. Mucus released by the mucous goblet cells is a rich storehouse of AMPS. Some of these (pleurocidin) are involved in immune response to bacteria or opsonize bacteria (cathelicidins). Piscidins are contained in mast cells and mucus and exhibit immunomodulatory and wound healing properties. PMNs, Polymorphonuclear neutrophils. Figure adapted from Rakers et al. J. Invest. Dermatol. 2013, 133, 1140–1149, https://doi.org/10.1038/jid.2012.503.
The piscidin genes of teleosts fish have to cope with the diversity of the capacity of evolving pathogens, and it is therefore likely that they are shaped by positive selection [51]. The nucleotide divergence of piscidin genes was reported recently in the Atlantic cod [51] and likelihood methods with various models of evolution identified patterns of positive selection. Using specific primers, we isolated a 165 bp cDNA, the full length CDS of a piscidin orthologue (Genbank FJ917596). The putative mature cod piscidin is rich in isoleucine (27.3%) and histidine (22.7%) and it contains the two conserved histidines that define the piscidin group of antimicrobial peptides (Figure 2). This result shows that piscidins are an ancient family of host defense peptides not restricted to higher teleosts, since the cod, G. morhua, is a basal teleost of the Paracanthopterygii superorder [51,52,53]. Most piscidin genes were identified to have a date code for a precursor comprising a 22-residue signal peptide, a mature (active) peptide of 22–25 residues and a variable C-terminal region. The G. morhua sequence is very different from any other fish species and amino acid identities with its orthologues ranging from 27.2% to 36.3%. This marked divergence may be explained by the longer evolutionary distance between G. morhua and other fish. The mature piscidin is generally less conserved across the different taxa, sharing only 31.8% to 95.4% of its identity between species and amino acid level (Figure 2). A difference in the conservation levels amongst various domains is common amongst AMPs. The cathelicidins are only recognized by their conserved signal sequence, since the mature peptides are diverse in length, amino acid sequence and even secondary structure. Both maximum likelihood (ML) and Bayesian inference produced a phylogenetic tree with high credibility support (Figure 3).
Figure 2.
ClustalW multiple sequence alignment of putative piscidin peptides from teleosts. Amino acid residues identical to D. labrax piscidin are represented by a dot and alignment gaps are indicated by a dash. The mature peptide is boxed and positively selected residues are highlighted in bold red. Figure from Fernandes et al. 2010 https://doi.org/10.1371/journal.pone.0009501.
Figure 3.
Unrooted rectangular cladogram illustrating the phylogenetic relationship between piscidins. The SYM+G model was selected for the Bayesian analysis and the consensus tree was built after burning 1250 trees from the 5−10 generations. The likelihood phylogeny was obtained with a HKY nucleotide substitution model with a discrete gamma distribution (4 categories, gamma shape parameter 2.0) and 100 bootstrap data sets: Bayesian posterior probabilities and maximum likelihood bootstrap values are indicated as percentages above and below the tree nodes, respectively. Figure from Fernandes et al. 2010 https://doi.org/10.1371/journal.pone.0009501.
In general, the topology of this tree is in accordance with various fish. The exceptions are L. crocea and H. kuda piscidins, which cluster together and separately from Acanthopterygii. All the positive selected sites in the piscidin gene are located within the region corresponding to mature peptide. The higher positive selection sites net charge at physiological pH and the amphipathic nature of piscidin 1 are thought to be crucial for their ability to permeabilise bacterial membranes [54,55]. Several amino acid substitutions observed in positively selected sites within the mature peptide change its charge or amphipathicity. In particular, site 29 in G. morhua piscidin corresponds to glycine that disrupts the amphipathic nature of the peptide (Figure 4), which in turn is associated with adaptation of piscidin to pathogens in new ecological niches [51]. In this scenario, it may be taken into account that many duplicated piscidin genes retain their original antibacterial functions, other genes are retained owing to different processes, particularly subfunctionalization, or neofunctionalization, by gaining a novel function. Piscidins that are subjected to these evolutionary processes result in a diversified family with different anti-bacterial and anti-protozoan properties [43,54,56]. As reported above by Salger et al. [42], it appears that the different groups of piscidins may differ based on their peptide structure and size, phylogenetic analysis, gene expression and antimicrobial activity, and have different functions in the fish innate immune system. Knowledge of piscidin function and activity may help for the use of the innate immune system to control disease-related mortality in aquaculture and a novel alternative to conventional drugs [57]. Table 1 and Table 2 show a list of the different isomers of piscidis, their sequence, molecular weight and their properties, as well as a list of pathogens, their expressions ites, organisms and up- and down-regulation of piscidin genes.
Figure 4.
Amphipathic alpha-helical structure of cod piscidin. Schiffer–Edmundson helical wheel projection of piscidin from Gadus morhua, showing that it is predicted to adopt an almost perfect amphipathic structure. The amphipathicity of the helix is disrupted by glycine at position 7 (arrow), which corresponds to a positively selected site. Hydrophilic charged and very hydrophobic residues are represented by grey pentagons and green diamonds, respectively. The circles denote other neutral and polar amino acids. Residues are numbered starting from the amino terminus of the mature peptides. Figure from Fernandes et al. 2010 https://doi.org/10.1371/journal.pone.0009501.
Table 1.
List of different isomers of piscidins, their sequence and their anti-viral and anti-bacterial properties.
Table 2.
List of pathogens influenced the up and downregulation of piscidin protein genes and organisms.
4. Neuropeptides and AMPs and Immune-Associated Function
Neuropeptides, cytokines and hormones have been identified as signaling molecules mediating the communication between three systems: the nervous, endocrine and immune system [23] (Figure 4).
Some AMPs have been shown to be derived from the enzymatic processing of neuropeptide precursors, such as the proenkephalin A (PEA) and chromogranin B, a key mechanism to generate an antimicrobial defense in tissues [75,76]. PEA is a precursor of the enkephalin opioid peptides, proteolytically processed to yield several biologically active peptides, including met-enkephalin and leu-enkephalin. These processing enzymes are expressed in leucocytes, as in the neuroendocrine system [76]. Both the AMPs and neuropeptides highlight the known mechanisms by which the nervous system can influence immune function. Due to the similarities in amino acid composition, amphipathic design, cationic charge and size, it has been suggested that antimicrobial peptides, many neuropeptides and peptide hormones may be directly involved in innate immune reactions against pathogen intruders [76]. In mammals, neuropeptides, such as substance P, calcitonin-gene related peptide (CGRP), Neuropeptide Y, vasoactive intestinal polypeptide (VIP), somatostatin and enkephalins, have all been suggested as participating in the bidirectional organ–brain communication [36,76]. However, the role in the interaction with the nervous system is still yet to assessed. Our study revealed that enkephalins and piscidin colocalize in the gill NECs and the nervous system of the gill filaments of fish, playing a possible role in bidirectional relationship between the host and its associated microbiota [77].
5. Neuroimmune Communication in the Gill-CNS Axis
The field of neuroimmunology both within the CNS and the periphery is currently one of the most exciting fields in immunology and remains poorly investigated in fish. Current mammalian studies mainly focus on multiple direct and indirect pathways that maintain intensive and extensive bidirectional interactions between the gut microbiota and the CNS, involving endocrine, immune and neural pathways [78], forming a basis of the so-called MGB axis (microbiota–gut–brain axis) [77]. Over the course of evolution, the microbiota established important feedback channels with CNS, some of which are important for maintaining homeostasis [79]. In the MGB axis, lymphocytes may sense the gut lumen and internally release cytokines, which may have endocrine or paracrine actions; sensory nerve terminals, such those of vagus nerve, may be activated by gut peptides released by enteroendocrine cells. The communication processes are based on neurotransmitters, neuropeptides, cytokines, hormones and growth factors that establish the relationship between the immune system and the CNS, leading to tissue homeostasis [80]. In agreement with what was highlighted by Das and Salinas [81] regarding the neuroimmune interactions in the fish olfactory organ and those governing the immune responses in the rest of all mucosal tissues of teleosts, we found that the gill, as with the olfactory organ, is also an important route for pathogen entry into fish, based on the immunohistochemical evidence of immunoregulatory substances in the immune cells, sensory nerves and neuroepithelial endocrine cells [8,15,26]. For example, the intraepithelial localization of eosinophils, their interaction with mast cells and the interaction of mast cells with sensory nerves and the occurrence of mast cells in the gill surface layers and their opening in the exterior environment [15,25]. Some findings show the further presence of a lymphoid tissue [10] protecting the gill from water borne pathogens. The association of mast cells with gill sensory nerves is a microenvironment different from that of the neuroepithelial endocrine cells (NECs) expressing piscidin [8]. These cells were seen adjacent to both Pis-positive mast cells and Pis-positive nerve terminals, thus constituting a different microenvironment which promotes neuroimmune communication. In fish, the nerve trunks connecting the gills to the brain are branches of cranial nerves, especially the glossopharyngeal and vagal nerves [82]. A substantial fraction of the nerves running the branchial trunks carry afferent sensory information from the NECs within the gills. A striking similarity between the nervous system and the immune system lies in their ability to sense environmental cues [81]. Although these systems were believed to work independently, many studies [83,84] show the crosstalk between neurons and immune cells, both in the CNS and periphery. Some examples include the release of neuropeptides by danger-activated nociceptor neurons that regulate innate and adaptative immune responses [85]. We have no evidence for a neuroimmune interaction at fish mucosal surfaces, except for that in the olfactory organ [81].
6. Neuroimmune Cell Crosstalk in the Gill
Mast cells have a widespread distribution and are found predominantly at the interface between the host and the external environment. Mast cell maturation, phenotype and function are a direct consequence of the local environment and have a marked influence on their ability to specifically recognize and respond to various stimuli through a release of an array of biologically active mediators [86]. The versatility of mast cells provides them the potential to not only act as first responders in harmful situations, but also to react to environmental changes by communicating with a variety of other cells implicated in physiological and immunological responses. Mast cell phenotype is dictated by the microenvironment and animal species. Mast cells are found near externally exposed surfaces such as the epithelium of the skin, the gastrointestinal tract and airways [87]. We have found that mast cells in the gills of our fish species co-localize with eosinophils in Pantodon bucholzi [15] (Figure 5). In the gills and suprabranchial chamber of the African catfish Clarias gariepinus, Pis-immunopositive mast cells are seen in close anatomical association with Pis-positive sensory nerves [25]. Some mast cells are also seen in the outermost cell layer of both gill (Figure 6 and Figure 7) and air-breathing organs (ABOs) epithelia. This proximity to the external environment makes mast cells prime candidates to mount rapid responses to external stimuli and the internal microenvironment.
Figure 5.
Confocal image of the gill filament of Pantodon bucholzi. Immunostaining with antibody against Piscidin 1 (Pis 1). Co-localization of one eosinophil (E) with mast cells (arrows and inset), the latter showing highest immunoreactivity for Pis 1. Scale bar = 20 µm. Figure from Capillo et al. 2021 https://doi.org/10.1016/j.fsi.2021.02.006.
Figure 6.
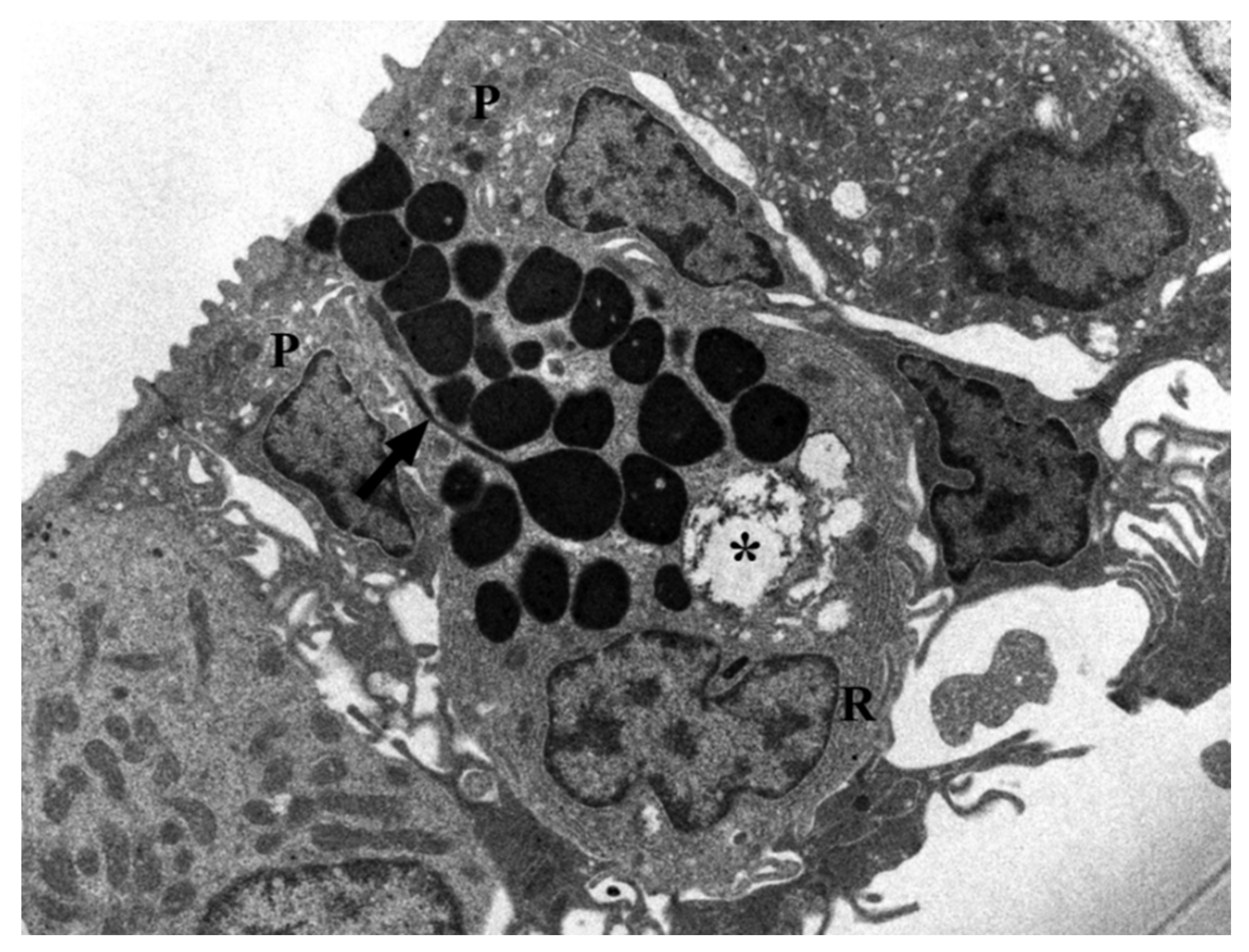
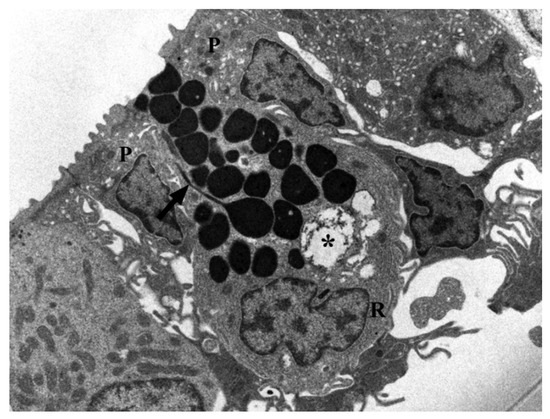
A polarized mast cell of the gill of Clarias gariepinus reaching the external environment between pavement cells (P). Endoplasmatic reticulum (R). Several cytoplasmic granules appear empty (*asterisk). Another granule shows a tubular elongation (arrow) that may reach the surface for secretion. Scale bar = 2 µm.
Figure 7.
Immunohistochemical demonstration of mast cell nerve interaction in the epithelium of the suprabranchial chamber of Clarias gariepinus. Section stained for Pis 1 (in red) and 5HT (in green) showing the close anatomical association of Pis-positive nerves (arrowheads) with Pis-positive mast cells (arrows). Eosinophils (E) showing 5HT immunoreactivity. Scale bar = 20 µm.
Eosinophils are seen in both epithelial and subepithelial localization and the blood vessels in the gills of Heteropneustes fossilis and Clarias gariepinus and in close contact with Pis and 5HT immunopositive nerve fibers (Figure 8 and Figure 9). They also are immunolabeled with antibodies to GABA B R1 receptor (Figure 10).
Figure 8.
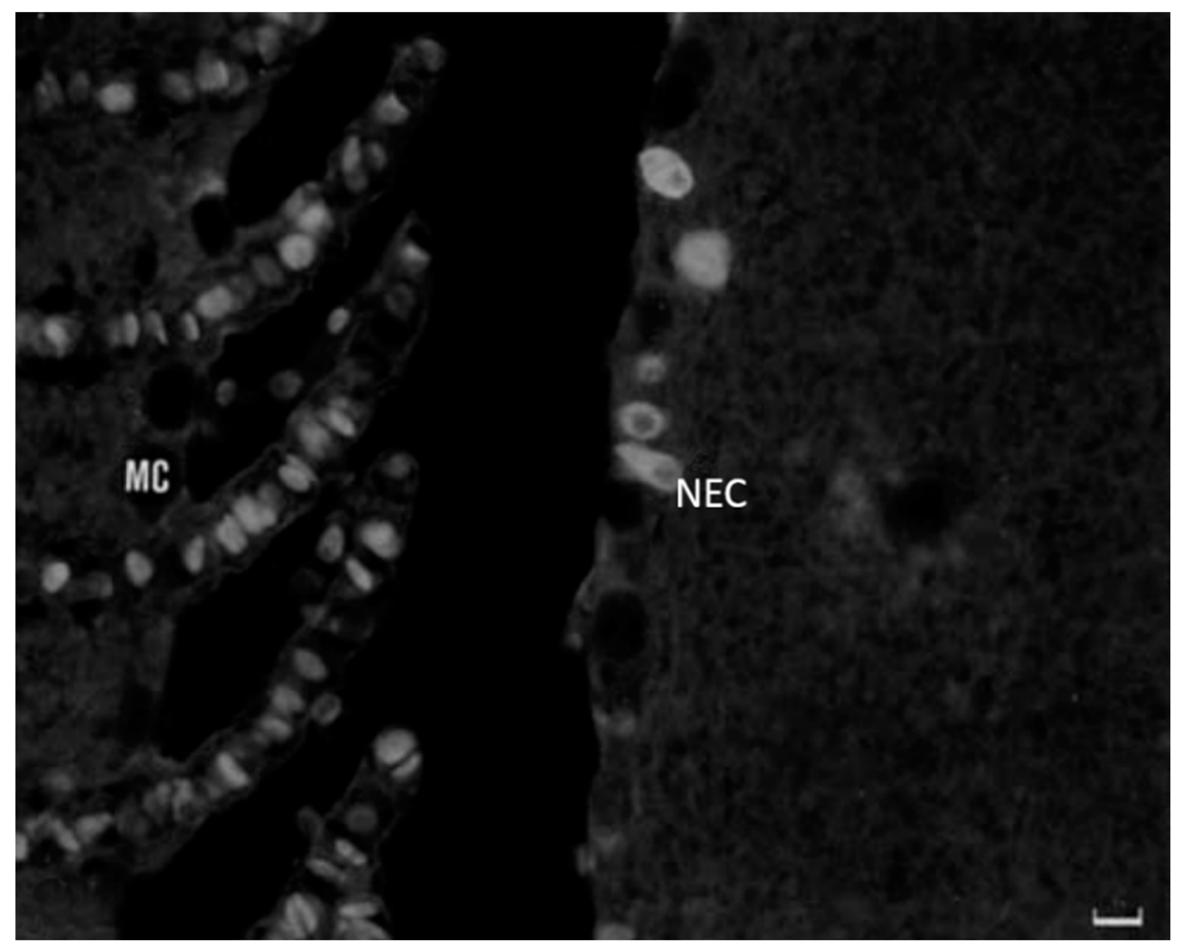
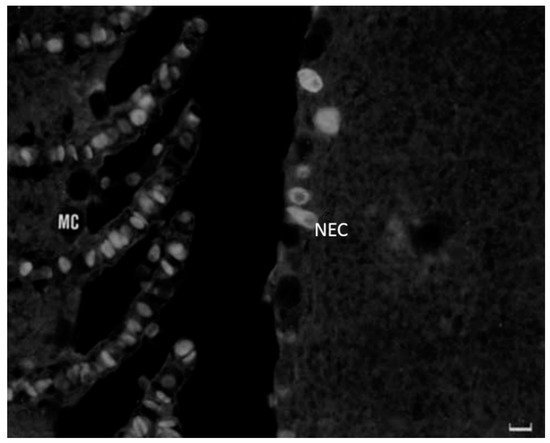
Immunohistochemical demonstration of eosinophil nerve interaction in the gill of Heteropneustes fossilis. Section stained with antibodies against 5HT (in green) and Pis 1 (in red) showing the presence of a subepithelial eosinophil (E) stained with 5HT antibody in close proximity to Pis-positive nerve terminals (arrowheads). MC = Mucous cells. Scale bar = 20 µm.
Figure 9.
Immunohistochemical demonstration of eosinophil nerve interaction in the gill epithelium of Heteropneustes fossilis. Section stained with antibodies against 5HT (in green) and Pis 1 (in red). Endings of extrinsic nerves (N) are in close proximity to eosinophils (E) as shown in red channel and merged image (red arrows). Scale bar = 20 µm.
Figure 10.
Neuroeosinophilic co-localization in the gill epithelium of Heteropneustes fossilis. Section immunostained with antibodies against GABA B R1 and 5HT. The merged image shows in the inset two eosinophils localized to nerves (n). Scale bar = 20 µm.
In the gill lamellae of Boleophthalmus, the eosinophils are immunostained with the antibodies against Pis 1 and 5HT and make contact with nerves labelled with antibodies against acetylated tubulin. In the subepithelium of the gill filament of this fish, some Pis-positive mast cells are seen in close vicinity with sensory axons located by tubulin antibodies, as well as within the efferent filament artery. In H. niloticus gills, we demonstrate the presence of Pis immunopositive mast cells receiving neuronal Pis-positive innervation at the base of the gill lamellae and in the interlamellar cell mass (ILCM), filling the gill filament interlamellar channels; the leading edge of the lamellar epithelium, where mast cells are also co-localized with 5HT; and subepithelial smooth muscle. Pis-positive perivascular innervation is seen also around the blood pathway of the outer channels of the gill lamellae. Pis-immunopositive mast cells are also seen in the subepithelial smooth muscle cells of the gill filament (Figure 11). In B. pectinirostris, Pis-immunopositive mast cells are localized near and within the main vasculatures, the intermediate and basal cell layers and near the mucous cells in the gill filaments (Figure 11, Figure 12 and Figure 13A,B)).
Figure 11.
Neuron-mast cell co-localization (arrowheads) in the gill of Heterotis niloticus. Section immunostained with antibodies against 5HT and Pis 1 showing the covering of the gill lamellae (G, merged) by a mass of cells termed, the interlamellar cell mass (ILCM). Note the close association of a mast cell (MC) with nerves (N) in the inset of a region of the merged image. Scale bar = 20 µm.
Figure 12.
Section of the gill of Boleophthalmus pectinirostris immunostained with antibodies against 5HT and Pis 1 showing the presence of Pis-immunopositive mast cells in subepithelial localization and blood vessels (BV, arrows). Scale bar = 20 µm.
Figure 13.
(A,B). Section of the gill of Heterotis niloticus immunostained with antibodies against 5HT and Pis 1. Arrowheads and inset in (B) mark the presence of Pis-immunopositive nerve fibers around the gill lamellae and long arrows in (A) pick the localization of mast cells in subepithelial smooth muscle (inset and merge). GL, Gill lamellae; ILCM, Interlamellar cell mass. Scale bars = 20 µm (A). Scale bars = 50 µm (B).
The immune cells express neuropeptides, their receptors and components of the GABA-ergic system, including GABA receptors, GABA transporters and GABA metabolic enzymes. The non-proteinogenic amino acid GABA acts as an intercellular signaling molecule in the immune system and as an interspecies signaling molecule in host–microbe interactions [88,89]. In the gill of the Indian catfish Heteropneustes fossilis, we found a co-localization of mast cells and NECs, both immunoreacting to the peptide antimicrobial peptide Pis 1 (Figure 14). In this species, we report for the first time the interaction of Pis 1 positive mast cells with Pis 1-positive NECs and the interaction of NECs with Pis 1-positive associated innervation (Figure 14). Eosinophils showing immunoreactivity for both Pis 1 and 5HT are seen in close contact with NECs, as also demonstrated via transmission electron microscope (Figure 15).
Figure 14.
(A–C). Diagram of the interaction between NECs and mast cells and the innervation of the NECs in the gill filament. (A). 1, External environment; 2, afferent synapses and the 5HT neurons (N) connect to central nervous system through the filament nerve (FN); 3, afferent synapses on sympathetic and cranial (parasympathetic) nerves, efFA, efferent filament artery, CVS, central venous sinus. Figure adapted from Bailly (2009). (B). Scheme of the interactions among the NECs, mast cells and nerves from a gill section of the catfish H. fossilis immunolabeled with antibodies to Pis 1. NECs (blue arrows) are innervated by afferent vagal nerve endings (asterisks) and are in close contact with mast cells (black arrows, Pis 1: red fluorescence). These cells’ release, in addition to Pis 1, 5HT, neuropeptides, GABA and its receptor GABA B R1, also contains acetylcholine and its muscarinic and nicotinic receptors, and regulate both innate and adaptative mucosal immunity. (C). Section of the H.fossilis gills immunostained with antibodies against Met-enk (green) and Pis 1 (red), showing the presence of Pis-positive NECs (arrows) and NECs immunostained by both the two antibodies (arrowheads). Scale bar = 20 µm.
Figure 15.
Ultrastructural details of air-sac of Heteropneustes fossilis. An eosinophil with granules appears closely associated to a NEC. Scale bar = 2 µm.
Thus, eosinophils expressing GABA B R1 and NECs containing immunoreactivities for both GABA B R1 and GAD67, the latter being the principal GABA synthesizing enzyme [8], may have a high impact in the GABA signaling machinery, although the precise subunits constituents of GABA R subunits remain uncharacterized in fish. In B. pectinirostris, close to numerous large 5HT positive NECs in the apical end of the gill filament, and found in the extracellular spaces of these cells, numerous Pis-positive mast cells were observed. Few NECs show Pis immunoreactivity and are seen in the intermediate and apical cell layers. In the ILCM of the gill filament of H. niloticus, some 5HT positive NECs are seen in close contact with Pis-positive mast cells. It is important to keep in mind that a given profile of mediators (not determined in our fish species) may vary considerably according to the species studied, subtype and surrounding microenvironment where mast cells are found. Mast cells are localized in association with the peripheral nervous system and the brain, where they are also aligned, anatomically and functionally, with neurons and neuronal processes throughout the body [90]. As a neuroimmune archetype mast cells participate in mammals as an essential intermediary between the immune and nervous systems. Mast cells express receptors for various classical neurotransmitters, including acetylcholine (Ach), the gaseous neurotransmitters (NO), calcitonin-gene related peptide (CGRP), opioid peptides(enkephalins) and other neuromodulators. Mast cells are found in sites where they launch a first line of defense by releasing AMPs [87]. The authors studied the molecular interactions of piscidins that activate chemotaxis of other immune cells (neutrophils) through the presence of formyl peptide receptors. It was recently reported in Nile tilapia that Piscidin 4 can also reprogram M1 macrophages to M2 phenotypes through the MAPK/ERK pathway and IL-10-STAT3 signaling [91]. In our studied fish species, we found a close interaction of mast cells with nerves and NECs (see above), but also a closeness of mast cells with eosinophils showing immunoreactivity for Pis 1 antibody, nitric oxide (NO) and tyrosine hydroxylase (TH) and 5HT [25]. However, the molecular interaction of mast cells with the diverse immune cells, including the NECs and host-defense molecules, is not known and knowledge of this may help to inform the design of the more complex interactome of immune cells.
6.1. Neuropeptides
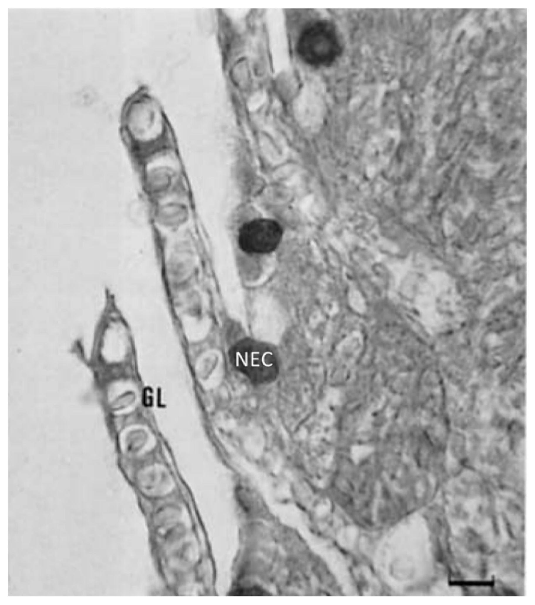
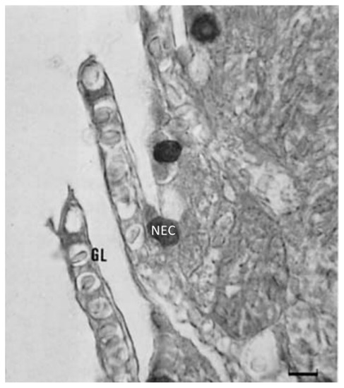
Studies on immunoreactivity for regulatory peptides have been conducted on fish gill epithelia by Zaccone et al. [7]. The authors described two distinct populations of NECs that exhibited immunoreactivity either for 5HT or for met-enkephalin and leu-enkephalin. The immunoreactivity for enkephalins does not coexist with the immunoreactivity for 5HT. The second population of cells reacting positively to met-enkephalin and leuenkephalin is reaching the epithelial surface (Figure 16 and Figure 17). Met-enk immunoreactivity is contained in thick nerve bundles located beneath the basal lamina of the gill filaments (Figure 18). We observed the colocalization of these neuropeptides and Pis in numerous NECs and the presence of only Pis-positive NECs, both along the filament epithelium and in the apical end of the gill epithelium of the catfish H. fossilis (Figure 14C).
Figure 16.
Met-5-enkephalin immunopositive NECs lie in the multi-layered filament epithelium of trout. Scale bar = 20 µm. Figure from Zaccone et al. 1992 https://doi.org/10.1111/j.1463-6395.1992.tb01185.x.
Figure 17.
Leu-5-enkephalin immunoreactive NECs are seen in the leading edge of the gill filament of trout. Scale bar = 20 µm. Figure from Zaccone et al. 1992 https://doi.org/10.1111/j.1463-6395.1992.tb01185.x.
Figure 18.
Met-5-enkephalin positive nerve bundles (arrows) are located beneath the basal lamina of the gill filament of Pangasius sutchi. Scale bar = 20 µm. Figure from Zaccone et al. 2006 https://doi.org/10.1002/jez.a.267.
6.2. Neuro Mast Cell Crosstalk in the Skin
Mammalian and fish skin share protective activities against environments that are rich in infectious agents. Fish epidermis is endowed with an extrinsic barrier consisting of a mucus layer and antimicrobial peptides [92]. Recent findings point to the mechanisms through which pathogens interact with each other on the skin and the signaling systems that mediate the communication between the immune system and skin-associated pathogens. The skin is exposed to the modification of the external environments and actively regulates the microbial colonization and microbial entry into dermis/subcutis. Microbes interact each other and with host cells, including the keratinocytes and immune cells, in turn influencing the skin homeostasis. Skin microbiota can inhibit the colonization of pathogenic microbes that stimulate keratinocyte antimicrobial peptide production and inhibit inflammatory cytokine release and inflammation during wound healing [93]. Although the specific ecological networks regulating the activity of the fish skin-associated microbes, as well as immune-microbe crosstalk, are not yet known, the presence of mast cells in fish epithelia is well documented and their production of piscidins in a wide variety of teleost species. Mast cells in mammalian skin are located in the upper epidermis and contribute to maintaining microbiome-tissue homeostasis [93]. They produce antimicrobial peptides and have bactericidal activity. Mast cells recognize microbes through different mechanisms, including the direct binding of pathogens or their components to Toll-like receptors and activation of complement receptors [93]. Studies on fish mast cells, their degranulation and contribution to promoting innate and adaptative responses are, however, not available, including their interaction with the peripheral nervous system. In addition, regarding the gill mast cells, our recent observations in the skin of the mudskipper B. pectinirostris have shown the immunolocalization of Piscidin 1 in the mast cells and sensory nerves. Combined immunolabeling procedures using an array of antibodies to 5HT, Pis 1 and acetylated tubulin have demonstrated a rich innervation of the capillary networks that are present near the surface of the epidermis and the dermal capillaries in the apex of the so-called dermal bulges or respiratory papillae (Figure 19a,b,g). Pis 1 immunoreactivity was noticed in the mast cells, which was also found in the center of the respiratory papillae (Figure 19c) and the outermost cell layers of the skins. Axon bundles positive to tubulin antibodies are seen opposed to the capillaries in the skin surface (Figure 19b). In mid-epidermis are seen Pis 1 immunopositive mast cells in closest vicinity to sensory axons immunolabelled by tubulin antibodies (Figure 19d) and in the subepithelium, Pis-positive mast cells are approaching met-enk positive nerve fibers (Figure 19f), thus indicating the cross talk between the mast cells and sensory nerves. The physiological relevance of these signals, however, remains to be established. The swollen cells in the intermediate cell layers of the epidermis are also associated with sensory innervation, as demonstrated by d immunolabeling methods with Pis 1 antibodies (Figure 19e).
Figure 19.
(a–g). (a). A dense network of Pis 1 positive nerve fibers (asterisk) is running in the capillaries (C) located in the head epidermal surface of Boleophthalmus pectinirostris. (b). Longitudinal section of the head epidermis of B. pectinirostris stained with antibodies against tubulin and Pis 1. Numerous sensory axons (arrowheads) immunolabeled with tubulin antibodies are seen in close contact with capillaries (long arrows). Pis-positive mast cells (inset) are seen in close contact with a capillary (C) lying at the apex of a dermal bulge (DB) or respiratory papilla. (c). Longitudinal section of a dermal bulge (DB) in the ventral skin of B.pectinirostris stained with antibodies against Pis 1 and 5HT showing the presence of mast cells (long arrows) in the center of dermal bulge (DB). (d). Longitudinal section of the head skin epidermis of B.pectinirostris immunolabeled with antibodies against tubulin and Pis 1 showing mast cell (red arrows) interaction with tubulin positive sensory axons (green arrows). C, Capillaries; SW, Swollen cells. (e). Longitudinal section of the head skin epidermis of B. pectinirostris immunolabeled with antibodies against Pis 1. The dense network of Pis-positive nerve fibers around the swollen cells (SW) of the intermediate epithelium and the capillaries (C) at the outermost surface of the skin are seen. (f). Head skin immunolabelled with antibodies against Pis 1 and met-enk showing the presence of met-enk positive nerve fibers (N) in the center of dermal bulge (DB) and around the swollen cells (SW) in the intermediate epidermis.Note in the subepithelium the site contact of Pis-positive mast cells (in red) with met-enk positive nerve fibers (in green). (g). Head skin immunolabelled with antibodies against met-enk and Pis 1 antibodies showing a rich Pis-positive innervation (arrows) of the capillaries at the apex of a dermal bulge (DB). Scale bars A–E = 20 µm.
7. Conclusions
The increasing knowledge about mucosal barriers (gut, lung, skin)–brain bidirectional communication has provided scientific evidence that this system in mammals involves multiple pathways with the participation of neural, endocrine and immune cells. The existence of a close communication between afferent nerve terminals and immune cells (e.g., eosinophils and mast cells) within the gill and ABO epithelia in fish has been established in this review and previous reports [8,15,26]. For example, the terminals of afferent nerve terminals contain a variety of neuroactive compounds and AMPs that are secreted by mast cells and eosinophils, such as 5-HT, piscidin 1, nitric oxide (NO), tyrosine hydroxylase (TH) and the nicotinic acetylcholine receptor. Furthermore, neuropeptide receptors, such as the GABA B R1, have been identified in eosinophils and NECs, thus suggesting a close communication between the nervous and immune system [94]. Neuroepithelial endocrine cells (NECs) constitute a large population of the gill epithelia [95]. Different NEC populations were identified according to the type of bioactive molecule and immunomodulatory substances. These cells are regarded as hypoxia-sensitive chemoreceptors in fish, initiating the cardiorespiratory reflexes, but also acting as immunomodulators in the lung [96] and communicating with the CNS via paracrine signals to vagal afferents [18]. NECs have been long thought to act as both pre-synaptic and post-synaptic elements in the fish gill [18]. Thus, we also propose that an immune and endocrine pathway may also be a route of the gill–CNS axis, although no studies are currently available regarding the involvement of the NECs in the inflammation. However, reports on the NECs in mammalian lung have highlighted their participation in the recruitment of these cells in immunomodulation [21]. AMPs can be derived from the enzymatic processing of neuropeptides and recent molecular investigations [51] demonstrated that they are an ancient family of host defense peptides not restricted to higher teleost fish. It is likely that fish AMPs are not only powerful endogenous antibiotics—as with the piscidins—with a broad spectrum activity, but they also display roles such as the regulation of inflammatory and immune responses [97]. We have also yet to realize the potential benefits that the discovery of piscidins in fish and their diversity and characterization might offer to biotechnology for their development as drugs in biomedicine and to combat fish bacterial infections in aquaculture [68,98].
Future Directions
As with terrestrial vertebrates, fish have a local immune system that protects the host against invading pathogens. We highlight, in this review, the interaction between the peripheral immune and nerve systems in the skin and gill, and predict that these neuro–immune interactions govern immune responses at all mucosal tissue in fish. Aspects of fish mucosal immunity are now focused to mucosal vaccines and neuroimmunology, and much progress has been made towards understanding how fish respond locally and systemically to infections and vaccination [81].
Author Contributions
Conceptualization, G.Z., J.M.O.F. and J.M.I.; methodology, M.A., G.C., M.C.G. and E.R.L.; software, M.A., G.C., M.K., M.C.G. and E.R.L.; validation, A.G., M.K. and K.Z.; formal analysis, M.A., G.C., M.K. and M.C.G.; investigation, M.A., G.C., M.C.G., E.R.L., V.K., J.M.I., A.I., T.A. and R.M.; resources, M.C.G., J.M.I., K.Z. and V.K.; data curation, M.K., M.A., G.C., A.A., P.L.C. and E.R.L.; writing—original draft preparation, G.Z., J.M.O.F. and J.M.I.; writing—review and editing, G.Z., J.M.O.F. and J.M.I.; visualization, A.G., G.C., M.A. and E.R.L.; supervision, G.Z., J.M.O.F., A.G., E.R.L. and J.M.I.; funding acquisition, G.C. and J.M.I. All authors have read and agreed to the published version of the manuscript.
Funding
Research funds were also provided PO FEAMP 2014-2020 2.56 FISH PATH NET, grant n. G47B18000130009 Project code SIPA 01/MS/18.
Institutional Review Board Statement
Not applicable.
Informed Consent Statement
Not applicable.
Data Availability Statement
The data presented in this study are openly available in: Fernandes et al. 2010 https://doi.org/10.1371/journal.pone.0009501; The data presented in this study are available on request from the corresponding author: Capillo et al. 2021 https://doi.org/10.1016/j.fsi.2021.02.006. Rakers et al. J. Invest. Dermatol. 2013, 133, 1140–1149 https://doi.org/10.1038/jid.2012.503. Zaccone et al. 2006 https://doi.org/10.1002/jez.a.267. Zaccone et al. 1992 https://doi.org/10.1111/j.1463-6395.1992.tb01185.x.
Conflicts of Interest
The authors declare no conflict of interest.
References
- Schluesener, H.J.; Su, Y.; Ebrahimi, A.; Pouladsaz, D. Antimicrobial peptides in the brain: Neuropeptides and amyloid. Front. Biosci. 2012, 4, 1375–1380. [Google Scholar] [CrossRef] [PubMed]
- Singh, P.K.; Kushwaha, S.; Rana, A.K.; Misra-Bhattacharya, S. Cofactor Independent Phosphoglycerate Mutase of Brugia malayi Induces a Mixed Th1/Th2 Type Immune Response and Inhibits Larval Development in the Host. BioMed Res. Int. 2014, 2014, 590281. [Google Scholar] [CrossRef] [PubMed] [Green Version]
- El Aidy, S.; Stilling, R.; Dinan, T.G.; Cryan, J.F. Microbiome to brain: Unravelling the multidirectional axes of communication. Microb. Endocrinol. Interkingdom Signal. Infect. Dis. 2016, 301–336. [Google Scholar] [CrossRef]
- Aresti Sanz, J.; El Aidy, S. Microbiota and gut neuropeptides: A dual action of antimicrobial activity and neuroimmune response. Psychopharmacology 2019, 236, 1597–1609. [Google Scholar] [CrossRef] [Green Version]
- Yoo, B.B.; Mazmanian, S.K. The Enteric Network: Interactions between the Immune and Nervous Systems of the Gut. Immunity 2017, 46, 910–926. [Google Scholar] [CrossRef] [PubMed] [Green Version]
- Miki, T.; Goto, R.; Fujimoto, M.; Okada, N.; Hardt, W.-D. The Bactericidal Lectin RegIIIβ Prolongs Gut Colonization and Enteropathy in the Streptomycin Mouse Model for Salmonella Diarrhea. Cell Host Microbe 2017, 21, 195–207. [Google Scholar] [CrossRef] [Green Version]
- Zaccone, G.; Lauweryns, J.M.; Fasulo, S.; Tagliafierro, G.; Ainis, L.; Licata, A. Immunocytochemical Localization of Serotonin and Neuropeptides in the Neuroendocrine Paraneurons of Teleost and Lungfish Gills. Acta Zool. 1992, 73, 177–183. [Google Scholar] [CrossRef]
- Lauriano, E.R.; Capillo, G.; Icardo, J.M.; Fernandes, J.M.O.; Kiron, V.; Kuciel, M.; Zuwala, K.; Guerrera, M.C.; Aragona, M.; Germana’, A.; et al. Neuroepithelial cells (NECs) and mucous cells express a variety of neurotransmitters and neurotransmitter receptors in the gill and respiratory air-sac of the catfish Heteropneustes fossilis (Siluriformes, Heteropneustidae): A possible role in local immune defence. Zoology 2021, 148, 125958. [Google Scholar] [CrossRef]
- Wei, Y.; Li, Y.; Yan, L.; Sun, C.; Miao, Q.; Wang, Q.; Xiao, X.; Lian, M.; Li, B.; Chen, Y.; et al. Alterations of gut microbiome in autoimmune hepatitis. Gut 2020, 69, 569. [Google Scholar] [CrossRef]
- Rességuier, J.; Dalum, A.S.; Du Pasquier, L.; Zhang, Y.; Koppang, E.O.; Boudinot, P.; Wiegertjes, G.F. Lymphoid Tissue in Teleost Gills: Variations on a Theme. Biology 2020, 9, 127. [Google Scholar] [CrossRef]
- Yu, Y.; Wang, Q.; Huang, Z.; Ding, L.; Xu, Z. Immunoglobulins, Mucosal Immunity and Vaccination in Teleost Fish. Front. Immunol. 2020, 11, 2597. [Google Scholar] [CrossRef]
- Maki Joanne, L.; Dickerson Harry, W. Systemic and Cutaneous Mucus Antibody Responses of Channel Catfish Immunized against the Protozoan Parasite Ichthyophthirius multifiliis. Clin. Vaccine Immunol. 2003, 10, 876–881. [Google Scholar] [CrossRef] [Green Version]
- Ruangsri, J.; Fernandes, J.M.O.; Rombout, J.H.W.M.; Brinchmann, M.F.; Kiron, V. Ubiquitous presence of piscidin-1 in Atlantic cod as evidenced by immunolocalisation. BMC Vet. Res. 2012, 8, 46. [Google Scholar] [CrossRef] [Green Version]
- Ruangsri, J.; Lokesh, J.; Fernandes, J.M.O.; Kiron, V. Transcriptional regulation of antimicrobial peptides in mucosal tissues of Atlantic cod Gadus morhua L. in response to different stimuli. Aquac. Res. 2014, 45, 1893–1905. [Google Scholar] [CrossRef]
- Capillo, G.; Zaccone, G.; Cupello, C.; Fernandes, J.M.O.; Viswanath, K.; Kuciel, M.; Zuwala, K.; Guerrera, M.C.; Aragona, M.; Icardo, J.M.; et al. Expression of acetylcholine, its contribution to regulation of immune function and O2 sensing and phylogenetic interpretations of the African butterfly fish Pantodon buchholzi (Osteoglossiformes, Pantodontidae). Fish Shellfish. Immunol. 2021, 111, 189–200. [Google Scholar] [CrossRef]
- Katzenback, B.A. Antimicrobial Peptides as Mediators of Innate Immunity in Teleosts. Biology 2015, 4, 607. [Google Scholar] [CrossRef] [Green Version]
- Burleson, M.L. Sensory innervation of the Gills: O2-sensitive chemoreceptors and mechanoreceptors. Acta Histochem. 2009, 111, 196–206. [Google Scholar] [CrossRef] [Green Version]
- Bailly, Y. Serotonergic neuroepithelial cells in fish gills: Cytology and innervation. In Airway Chemoreceptors in the Vertebrates; CRC Press: Boca Raton, FL, USA, 2019; pp. 61–97. ISBN 0429526709/9780429526701. [Google Scholar]
- Blake, K.J.; Jiang, X.R.; Chiu, I.M. Neuronal Regulation of Immunity in the Skin and Lungs. Trends Neurosci. 2019, 42, 537–551. [Google Scholar] [CrossRef]
- Branchfield, K.; Nantie, L.; Verheyden Jamie, M.; Sui, P.; Wienhold Mark, D.; Sun, X. Pulmonary neuroendocrine cells function as airway sensors to control lung immune response. Science 2016, 351, 707–710. [Google Scholar] [CrossRef] [Green Version]
- Sui, P.; Wiesner Darin, L.; Xu, J.; Zhang, Y.; Lee, J.; Van Dyken, S.; Lashua, A.; Yu, C.; Klein Bruce, S.; Locksley Richard, M.; et al. Pulmonary neuroendocrine cells amplify allergic asthma responses. Science 2018, 360, eaan8546. [Google Scholar] [CrossRef] [Green Version]
- Veiga-Fernandes, H.; Artis, D. Neuronal–immune system cross-talk in homeostasis. Science 2018, 359, 1465–1466. [Google Scholar] [CrossRef] [Green Version]
- Day, R.; Salzet, M. The neuroendocrine phenotype, cellular plasticity, and the search for genetic switches: Redefining the diffuse neuroendocrine system. Neuroendocrinol. Lett. 2002, 23, 447–451. [Google Scholar]
- Stefano, G.B.; Salzet, B.; Fricchione, G.L. Enkelytin and opioid peptide association in invertebrates and vertebrates: Immune activation and pain. Immunol. Today 1998, 19, 265–268. [Google Scholar] [CrossRef]
- Zaccone, G.; Mauceri, A.; Fasulo, S. Neuropeptides and nitric oxide synthase in the gill and the air-breathing organs of fishes. J. Exp. Zool. Part A Comp. Exp. Biol. 2006, 305, 428–439. [Google Scholar] [CrossRef]
- Maina, J.W.; Pringle, J.M.; Razal, J.M.; Nunes, S.; Vega, L.; Gallucci, F.; Dumée, L.F. Strategies for Integrated Capture and Conversion of CO2 from Dilute Flue Gases and the Atmosphere. ChemSusChem 2021, 14, 1805–1820. [Google Scholar] [CrossRef]
- Luger, T.A.; Lotti, T. Neuropeptides: Role in inflammatory skin diseases. J. Eur. Acad. Dermatol. Venereol. 1998, 10, 207–211. [Google Scholar] [CrossRef]
- Lee, E.Y.; Chan, L.C.; Wang, H.; Lieng, J.; Hung, M.; Srinivasan, Y.; Wang, J.; Waschek, J.A.; Ferguson, A.L.; Lee, K.-F.; et al. PACAP is a pathogen-inducible resident antimicrobial neuropeptide affording rapid and contextual molecular host defense of the brain. Proc. Natl. Acad. Sci. USA 2021, 118, e1917623117. [Google Scholar] [CrossRef]
- Gera, S.; Kankuri, E.; Kogermann, K. Antimicrobial peptides—Unleashing their therapeutic potential using nanotechnology. Pharmacol. Ther. 2021, 107990. [Google Scholar] [CrossRef]
- De Becker, G.; Moulin, V.; Pajak, B.; Bruck, C.; Francotte, M.; Thiriart, C.; Urbain, J.; Moser, M. The adjuvant monophosphoryl lipid A increases the function of antigen-presenting cells. Int. Immunol. 2000, 12, 807–815. [Google Scholar] [CrossRef] [PubMed] [Green Version]
- Tasiemski, A.; Salzet, M. Neuro-immune lessons from an annelid: The medicinal leech. Dev. Comp. Immunol. 2017, 66, 33–42. [Google Scholar] [CrossRef] [PubMed]
- Veiga-Fernandes, H.; Mucida, D. Neuro-Immune Interactions at Barrier Surfaces. Cell 2016, 165, 801–811. [Google Scholar] [CrossRef] [PubMed] [Green Version]
- Shouman, K.; Benarroch, E.E. Peripheral neuroimmune interactions: Selected review and some clinical implications. Clin. Auton. Res. 2021, 31, 477–489. [Google Scholar] [CrossRef] [PubMed]
- Siriyappagouder, P.; Kiron, V.; Lokesh, J.; Rajeish, M.; Kopp, M.; Fernandes, J. The Intestinal Mycobiota in Wild Zebrafish Comprises Mainly Dothideomycetes While Saccharomycetes Predominate in Their Laboratory-Reared Counterparts. Front. Microbiol. 2018, 9, 387. [Google Scholar] [CrossRef] [PubMed] [Green Version]
- Batista, S.; Ozório, R.O.A.; Kollias, S.; Dhanasiri, A.K.; Lokesh, J.; Kiron, V.; Valente, L.M.P.; Fernandes, J.M.O. Changes in intestinal microbiota, immune- and stress-related transcript levels in Senegalese sole (Solea senegalensis) fed plant ingredient diets intercropped with probiotics or immunostimulants. Aquaculture 2016, 458, 149–157. [Google Scholar] [CrossRef]
- Lokesh, J.; Kiron, V.; Sipkema, D.; Fernandes, J.M.O.; Moum, T. Succession of embryonic and intestinal bacterial communities of Atlantic salmon. bioRxiv 2017. [Google Scholar] [CrossRef]
- Holzer, P.; Farzi, A. Neuropeptides and the microbiota-gut-brain axis. Microb. Endocrinol. Microbiota-Gut-Brain Axis Health 2014, 195–219. [Google Scholar] [CrossRef] [Green Version]
- Hirsch, T.; Jacobsen, F.; Steinau, H.-U.; Steinstraesser, L. Host defense peptides and the new line of defence against multiresistant infections. Protein Pept. Lett. 2008, 15, 238–243. [Google Scholar] [CrossRef]
- Augustyniak, D.; Nowak, J.T.; Lundy, F. Direct and indirect antimicrobial activities of neuropeptides and their therapeutic potential. Curr. Protein Pept. Sci. 2012, 13, 723–738. [Google Scholar] [CrossRef] [Green Version]
- Zasloff, M. Antimicrobial peptides of multicellular organisms. Nature 2002, 415, 389–395. [Google Scholar] [CrossRef]
- Corrales, L.; Matson, V.; Flood, B.; Spranger, S.; Gajewski, T.F. Innate immune signaling and regulation in cancer immunotherapy. Cell Res. 2017, 27, 96–108. [Google Scholar] [CrossRef] [Green Version]
- Diamond, G.; Beckloff, N.; Weinberg, A.; Kisich, K.O. The roles of antimicrobial peptides in innate host defense. Current Pharm. Des. 2009, 15, 2377–2392. [Google Scholar] [CrossRef] [Green Version]
- Salger, S.A.; Cassady, K.R.; Reading, B.J.; Noga, E.J. A diverse family of host-defense peptides (piscidins) exhibit specialized anti-bacterial and anti-protozoal activities in fishes. PLoS ONE 2016, 11, e0159423. [Google Scholar] [CrossRef] [PubMed] [Green Version]
- Lauth, X.; Shike, H.; Burns, J.C.; Westerman, M.E.; Ostland, V.E.; Carlberg, J.M.; Van Olst, J.C.; Nizet, V.; Taylor, S.W.; Shimizu, C. Discovery and characterization of two isoforms of moronecidin, a novel antimicrobial peptide from hybrid striped bass. J. Biol. Chem. 2002, 277, 5030–5039. [Google Scholar] [CrossRef] [PubMed] [Green Version]
- Salerno, G.; Parrinello, N.; Roch, P.; Cammarata, M. cDNA sequence and tissue expression of an antimicrobial peptide, dicentracin; a new component of the moronecidin family isolated from head kidney leukocytes of sea bass, Dicentrarchus labrax. Comp. Biochem. Physiol. Part B Biochem. Mol. Biol. 2007, 146, 521–529. [Google Scholar] [CrossRef]
- Acosta, J.; Montero, V.; Carpio, Y.; Velázquez, J.; Garay, H.E.; Reyes, O.; Cabrales, A.; Masforrol, Y.; Morales, A.; Estrada, M.P. Cloning and functional characterization of three novel antimicrobial peptides from tilapia (Oreochromis niloticus). Aquaculture 2013, 372, 9–18. [Google Scholar] [CrossRef]
- Ruangsri, J.; Salger, S.A.; Caipang, C.M.A.; Kiron, V.; Fernandes, J.M.O. Differential expression and biological activity of two piscidin paralogues and a novel splice variant in Atlantic cod (Gadus morhua L.). Fish Shellfish. Immunol. 2012, 32, 396–406. [Google Scholar] [CrossRef]
- Noga, E.J.; Silphaduang, U.; Park, N.G.; Seo, J.K.; Stephenson, J.; Kozlowicz, S. Piscidin 4, a novel member of the piscidin family of antimicrobial peptides. Comp. Biochem. Physiol. Part B Biochem. Mol. Biol. 2009, 152, 299–305. [Google Scholar] [CrossRef]
- Silphaduang, U.; Noga, E.J. Peptide antibiotics in mast cells of fish. Nature 2001, 414, 268–269. [Google Scholar] [CrossRef]
- Sung, W.S.; Lee, D.G. Mechanism of decreased susceptibility for Gram-negative bacteria and synergistic effect with ampicillin of indole-3-carbinol. Biol. Pharm. Bull. 2008, 31, 1798–1801. [Google Scholar] [CrossRef] [Green Version]
- Colorni, A.; Ullal, A.; Heinisch, G.; Noga, E.J. Activity of the antimicrobial polypeptide piscidin 2 against fish ectoparasites. J. Fish Dis. 2008, 31, 423–432. [Google Scholar] [CrossRef]
- Chaturvedi, V.; Koti, P.N.; Sugam, R.; Neog, K.; Hejazi, M. Cooperation or rivalry? Impact of alternative development pathways on India’s long-term electricity generation and associated water demands. Energy 2020, 192, 116708. [Google Scholar] [CrossRef]
- Fernandes, D.; van Heerden, W.; Ribeiro, A.; Brandão, T.; Mello, E.; Rivera, C.; van Heerden, M.; Gondak, R.; Santos-Silva, A.; Vargas, P. Different methods of cell quantification can lead to different results: A comparison of digital methods using a pilot study of dendritic cells in HIV-positive patients. Med. Oral Patol. Oral Y Cir. Bucal 2020, 23, 431–438. [Google Scholar] [CrossRef] [PubMed]
- Barroso-Sousa, R.; Jain, E.; Cohen, O.; Kim, D.; Buendia-Buendia, J.; Winer, E.; Lin, N.; Tolaney, S.M.; Wagle, N. Prevalence and mutational determinants of high tumor mutation burden in breast cancer. Ann. Oncol. 2020, 31, 387–394. [Google Scholar] [CrossRef] [PubMed] [Green Version]
- Raju, S.V.; Sarkar, P.; Kumar, P.; Arockiaraj, J. Piscidin, fish antimicrobial peptide: Structure, classification, properties, mechanism, gene regulation and therapeutical importance. Int. J. Pept. Res. Ther. 2021, 27, 91–107. [Google Scholar] [CrossRef]
- Avci, F.G.; Sariyar Akbulut, B.; Ozkirimli, E. Membrane Active Peptides and Their Biophysical Characterization. Biomolecules 2018, 8, 77. [Google Scholar] [CrossRef] [Green Version]
- Jin, Y.; Mao, Y.; Niu, S.-F.; Pan, Y.; Zheng, W.-H.; Wang, J. Molecular characterisation and biological activity of an antiparasitic peptide from Sciaenops ocellatus and its immune response to Cryptocaryon irritans. Mol. Immunol. 2022, 141, 1–12. [Google Scholar] [CrossRef]
- Noga, E.J.; Ullal, A.J.; Corrales, J.; Fernandes, J.M.O. Application of antimicrobial polypeptide host defenses to aquaculture: Exploitation of downregulation and upregulation responses. Comp. Biochem. Physiol. Part D Genom. Proteom. 2011, 6, 44–54. [Google Scholar] [CrossRef]
- Chen, W.; Cotten, M.L. Expression, purification, and micelle reconstitution of antimicrobial piscidin 1 and piscidin 3 for NMR studies. Protein Expr. Purif. 2014, 102, 63–68. [Google Scholar] [CrossRef]
- Chen, J.-Y.; Lin, W.-J.; Lin, T.-L. A fish antimicrobial peptide, tilapia hepcidin TH2-3, shows potent antitumor activity against human fibrosarcoma cells. Peptides 2009, 30, 1636–1642. [Google Scholar] [CrossRef]
- Chen, J.-Y.; Lin, W.-J.; Wu, J.-L.; Her, G.M.; Hui, C.-F. Epinecidin-1 peptide induces apoptosis which enhances antitumor effects in human leukemia U937 cells. Peptides 2009, 30, 2365–2373. [Google Scholar] [CrossRef]
- Salger, S.A.; Reading, B.J.; Baltzegar, D.A.; Sullivan, C.V.; Noga, E.J. Molecular characterization of two isoforms of piscidin 4 from the hybrid striped bass (Morone chrysops × Morone saxatilis). Fish Shellfish. Immunol. 2011, 30, 420–424. [Google Scholar] [CrossRef]
- Peng, K.C.; Lee, S.H.; Hour, A.L.; Pan, C.Y.; Lee, L.H.; Chen, J.Y. Five different piscidins from Nile tilapia, Oreochromis niloticus: Analysis of their expressions and biological functions. PLoS ONE 2012, 7, e50263. [Google Scholar] [CrossRef]
- Yoshida, K.; Mukai, Y.; Niidome, T.; Takashi, C.; Tokunaga, Y.; Hatakeyama, T.; Aoyagi, H. Interaction of pleurocidin and its analogs with phospholipid membrane and their antibacterial activity. J. Pept. Res. 2001, 57, 119–126. [Google Scholar] [CrossRef]
- Sun, Y.; Forrest, S.R. High-efficiency white organic light emitting devices with three separate phosphorescent emission layers. Appl. Phys. Lett. 2007, 91, 263503. [Google Scholar] [CrossRef]
- Rathinakumar, R.; Walkenhorst, W.F.; Wimley, W.C. Broad-Spectrum Antimicrobial Peptides by Rational Combinatorial Design and High-Throughput Screening: The Importance of Interfacial Activity. J. Am. Chem. Soc. 2009, 131, 7609–7617. [Google Scholar] [CrossRef] [Green Version]
- Browne, M.A.; Dissanayake, A.; Galloway, T.S.; Lowe, D.M.; Thompson, R.C. Ingested microscopic plastic translocates to the circulatory system of the mussel, Mytilus edulis (L.). Environ. Sci. Technol. 2008, 42, 5026–5031. [Google Scholar] [CrossRef]
- Narayana, J.L.; Huang, H.-N.; Wu, C.-J.; Chen, J.-Y. Epinecidin-1 antimicrobial activity: In vitro membrane lysis and In vivo efficacy against Helicobacter pylori infection in a mouse model. Biomaterials 2015, 61, 41–51. [Google Scholar] [CrossRef]
- Li, M.V.; Chen, W.; Harmancey, R.N.; Nuotio-Antar, A.M.; Imamura, M.; Saha, P.; Taegtmeyer, H.; Chan, L. Glucose-6-phosphate mediates activation of the carbohydrate responsive binding protein (ChREBP). Biochem. Biophys. Res. Commun. 2010, 395, 395–400. [Google Scholar] [CrossRef] [Green Version]
- Pan, C.-Y.; Tsai, T.-Y.; Su, B.-C.; Hui, C.-F.; Chen, J.-Y. Study of the antimicrobial activity of tilapia piscidin 3 (TP3) and TP4 and their effects on immune functions in hybrid tilapia (Oreochromis spp.). PLoS ONE 2017, 12, e0169678. [Google Scholar] [CrossRef] [Green Version]
- Yang, J.; Lu, X.-J.; Chai, F.-C.; Chen, J. Molecular characterization and functional analysis of a piscidin gene in large yellow croaker (Larimichthys crocea). Zool Res. 2016, 37, 347–355. [Google Scholar] [CrossRef]
- Iijima, N.; Tanimoto, N.; Emoto, Y.; Morita, Y.; Uematsu, K.; Murakami, T.; Nakai, T. Purification and characterization of three isoforms of chrysophsin, a novel antimicrobial peptide in the gills of the red sea bream, Chrysophrys major. Eur. J. Biochem. 2003, 270, 675–686. [Google Scholar] [CrossRef] [PubMed]
- Han, H.M.; Gopal, R.; Park, Y. Design and membrane-disruption mechanism of charge-enriched AMPs exhibiting cell selectivity, high-salt resistance, and anti-biofilm properties. Amino Acids 2016, 48, 505–522. [Google Scholar] [CrossRef] [PubMed]
- Sun, D.; Wu, S.; Jing, C.; Zhang, N.; Liang, D.; Xu, A. Identification, synthesis and characterization of a novel antimicrobial peptide HKPLP derived from Hippocampus kuda Bleeker. J. Antibiot. 2012, 65, 117–121. [Google Scholar] [CrossRef] [PubMed] [Green Version]
- Niu, S.-F.; Jin, Y.; Xu, X.; Qiao, Y.; Wu, Y.; Mao, Y.; Su, Y.-Q.; Wang, J. Characterization of a novel piscidin-like antimicrobial peptide from Pseudosciaena crocea and its immune response to Cryptocaryon irritans. Fish Shellfish. Immunol. 2013, 35, 513–524. [Google Scholar] [CrossRef]
- McDonald, M.; Mannion, M.; Pike, D.; Lewis, K.; Flynn, A.; Brannan, A.M.; Browne, M.J.; Jackman, D.; Madera, L.; Power Coombs, M.R.; et al. Structure–function relationships in histidine-rich antimicrobial peptides from Atlantic cod. Biochim. Biophys. Acta (BBA) Biomembr. 2015, 1848, 1451–1461. [Google Scholar] [CrossRef] [Green Version]
- Fernandes, J.M.; Ruangsri, J.; Kiron, V. Atlantic cod piscidin and its diversification through positive selection. PLoS ONE 2010, 5, e9501. [Google Scholar] [CrossRef] [Green Version]
- Salzet, M.; Verger-Bocquet, M. Elements of angiotensin system are involved in leeches and mollusks immune response modulation. Mol. Brain Res. 2001, 94, 137–147. [Google Scholar] [CrossRef]
- Brogden, K.A. Antimicrobial peptides: Pore formers or metabolic inhibitors in bacteria? Nat. Rev. Microbiol. 2005, 3, 238–250. [Google Scholar] [CrossRef]
- Wang, H.-X.; Wang, Y.-P. Gut microbiota-brain axis. Chin. Med. J. 2016, 129, 2373–2380. [Google Scholar] [CrossRef]
- Grenham, S.; Clarke, G.; Cryan, J.; Dinan, T. Brain–Gut–Microbe Communication in Health and Disease. Front. Physiol. 2011, 2. [Google Scholar] [CrossRef] [Green Version]
- Montiel-Castro, A.; González-Cervantes, R.; Bravo-Ruiseco, G.; Pacheco-Lopez, G. The microbiota-gut-brain axis: Neurobehavioral correlates, health and sociality. Front. Integr. Neurosci. 2013, 7, 70. [Google Scholar] [CrossRef] [Green Version]
- Downing, J.E.G.; Miyan, J.A. Neural immunoregulation: Emerging roles for nerves in immune homeostasis and disease. Immunol. Today 2000, 21, 281–289. [Google Scholar] [CrossRef]
- Das, P.K.; Salinas, I. Fish nasal immunity: From mucosal vaccines to neuroimmunology. Fish Shellfish. Immunol. 2020, 104, 165–171. [Google Scholar] [CrossRef]
- Sundin, L.; Nilsson, S. Branchial innervation. J. Exp. Zool. 2002, 293, 232–248. [Google Scholar] [CrossRef]
- Tian, L.; Ma, L.; Kaarela, T.; Li, Z. Neuroimmune crosstalk in the central nervous system and its significance for neurological diseases. J. Neuroinflamm. 2012, 9, 155. [Google Scholar] [CrossRef] [Green Version]
- Ransohoff, R.M.; Brown, M.A. Innate immunity in the central nervous system. J. Clin. Investig. 2012, 122, 1164–1171. [Google Scholar] [CrossRef]
- Pinho-Ribeiro, F.A.; Verri, W.A.; Chiu, I.M. Nociceptor Sensory Neuron–Immune Interactions in Pain and Inflammation. Trends Immunol. 2017, 38, 5–19. [Google Scholar] [CrossRef] [Green Version]
- Da Silva, E.Z.M.; Jamur, M.C.; Oliver, C. Mast Cell Function: A New Vision of an Old Cell. J. Histochem. Cytochem. 2014, 62, 698–738. [Google Scholar] [CrossRef]
- Kim, N.; Yun, M.; Oh, Y.J.; Choi, H.-J. Mind-altering with the gut: Modulation of the gut-brain axis with probiotics. J. Microbiol. 2018, 56, 172–182. [Google Scholar] [CrossRef]
- Mazzoli, R.; Pessione, E. The Neuro-endocrinological Role of Microbial Glutamate and GABA Signaling. Front. Microbiol. 2016, 7, 1934. [Google Scholar] [CrossRef] [Green Version]
- Bhandage, A.K.; Barragan, A. GABAergic signaling by cells of the immune system: More the rule than the exception. Cell. Mol. Life Sci. 2021, 78, 5667–5679. [Google Scholar] [CrossRef]
- Xu, J.; Zanvit, P.; Hu, L.; Tseng, P.-Y.; Liu, N.; Wang, F.; Liu, O.; Zhang, D.; Jin, W.; Guo, N.; et al. The Cytokine TGF-β Induces Interleukin-31 Expression from Dermal Dendritic Cells to Activate Sensory Neurons and Stimulate Wound Itching. Immunity 2020, 53, 371–383.e375. [Google Scholar] [CrossRef]
- Liu, C.-W.; Su, B.-C.; Chen, J.-Y. Tilapia piscidin 4 (TP4) reprograms M1 macrophages to M2 phenotypes in cell models of Gardnerella Vaginalis-induced vaginosis. J. Front. Immunol. 2021, 5213. [Google Scholar] [CrossRef]
- Rakers, S.; Niklasson, L.; Steinhagen, D.; Kruse, C.; Schauber, J.; Sundell, K.; Paus, R. Antimicrobial Peptides (AMPs) from Fish Epidermis: Perspectives for Investigative Dermatology. J. Investig. Dermatol. 2013, 133, 1140–1149. [Google Scholar] [CrossRef] [PubMed] [Green Version]
- Lunjani, N.; Ahearn-Ford, S.; Dube, F.S.; Hlela, C.; O’Mahony, L. Mechanisms of microbe-immune system dialogue within the skin. Genes Immun. 2021, 22, 276–288. [Google Scholar] [CrossRef] [PubMed]
- Dantzer, R. Neuroimmune Interactions: From the Brain to the Immune System and Vice Versa. Physiol Rev. 2018, 98, 477–504. [Google Scholar] [CrossRef] [PubMed]
- Zaccone, G.; Lauriano, E.R.; Capillo, G.; Kuciel, M. Air-breathing in fish: Air-breathing organs and control of respiration: Nerves and neurotransmitters in the air-breathing organs and the skin. Acta Histochem. 2018, 120, 630–641. [Google Scholar] [CrossRef]
Publisher’s Note: MDPI stays neutral with regard to jurisdictional claims in published maps and institutional affiliations. |
© 2022 by the authors. Licensee MDPI, Basel, Switzerland. This article is an open access article distributed under the terms and conditions of the Creative Commons Attribution (CC BY) license (https://creativecommons.org/licenses/by/4.0/).


















