Short Femoral Stem Performance in Femoral Hip Fracture: Clinical and Radiological Evaluation and Comparative Study of Patients Older than 65 Years
Abstract
1. Introduction
2. Materials and Methods
2.1. Study Design
2.2. Surgical Technique
2.3. Postoperative Care
2.4. Statistical Analysis
3. Results
3.1. Intraoperative Outcomes
3.2. Clinical Outcomes
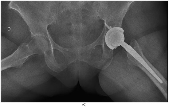
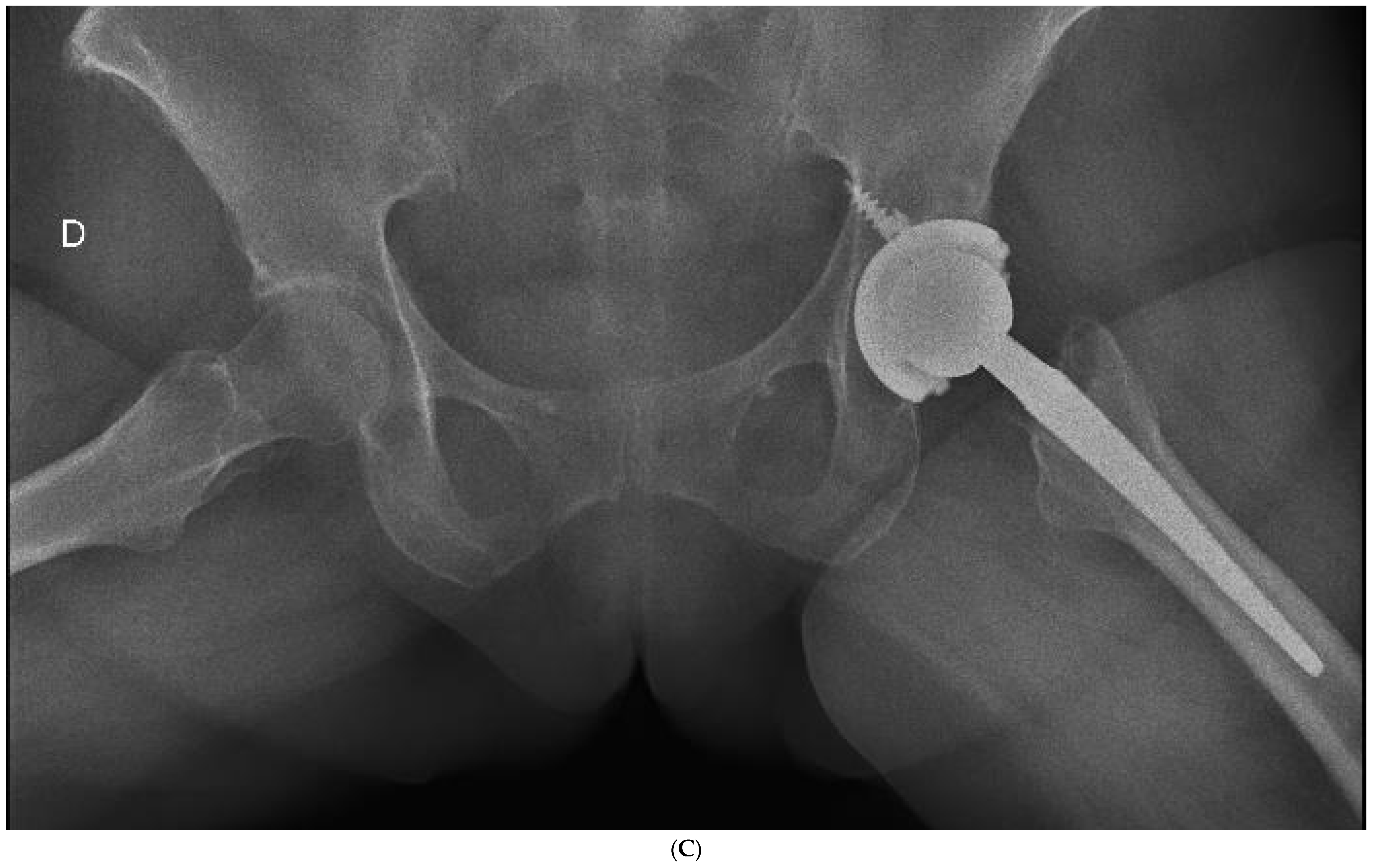
3.3. Radiographic Outcomes
4. Discussion
5. Conclusions
Author Contributions
Funding
Institutional Review Board Statement
Informed Consent Statement
Data Availability Statement
Conflicts of Interest
References
- Learmonth, I.D.; Young, C.; Rorabeck, C. The operation of the century: Total hip replacement. Lancet 2007, 370, 1508–1519. [Google Scholar] [CrossRef] [PubMed]
- Shon, W.Y.; Park, B.-Y.; Rajsankar, N.R.; Park, P.S.; Im, J.T.; Yun, H.H. Total Hip Arthroplasty: Past, Present, and Future. What Has Been Achieved? Hip Pelvis 2019, 31, 179–189. [Google Scholar] [CrossRef] [PubMed]
- National Joint Registry. 20th Annual Report 2023. Available online: https://reports.njrcentre.org.uk/ (accessed on 4 December 2023).
- Lee, S.J.; Yoon, K.S. Favorable Functional Recovery and Stem Stability after Hip Arthroplasty with a Short Metaphyseal Stem in Elderly Patients with Osteoporotic Femoral Neck Fractures. Hip Pelvis 2019, 31, 11–17. [Google Scholar] [CrossRef] [PubMed]
- Luger, M.; Feldler, S.; Pisecky, L.; Klasan, A.; Götterbarm, T.; Schopper, C. Periprosthetic femoral fractures in cementless short versus straight stem total hip arthroplasty: A propensity score matched analysis. J. Arthroplast. 2023, 38, 751–756. [Google Scholar] [CrossRef]
- Bonutti, P.M.; Stroh, A.D.; Issa, K.; Harwin, S.F.; Patel, D.V.; Mont, M.A. Proximally coated cementless bipolar hemiarthroplasty in Dorr type C bone. Orthopedics 2014, 37, e345–e350. [Google Scholar] [CrossRef]
- Khanuja, H.S.; Banerjee, S.; Jain, D.; Pivec, R.; Mont, M.A. Short bone-conserving stems in cementless hip arthroplasty. J. Bone Jt. Surg.—Am. Vol. 2014, 96, 1742–1752. [Google Scholar] [CrossRef]
- Godoy-Monzón, D.; Martínez, S.; Pérez Torres, J.; Avendaño Durán, F.E.; Pascual, J.M.; García-Mansilla, A.M. Primary outcomes of a femoral neck-preserving stem: A multicentre clinical-radiological analysis at 5-year follow-up. Eur. J. Orthop. Surg. Traumatol. 2022, 32, 533–540. [Google Scholar] [CrossRef]
- Jiang, J.; Yang, C.H.; Lin, Q.; Yun, X.D.; Xia, Y.Y. Does arthroplasty provide better outcomes than internal fixation at mid- and long-term follow-up? A Meta-analysis. Clin. Orthop. Relat. Res. 2015, 473, 2672–2679. [Google Scholar] [CrossRef]
- Liu, Y.; Chen, X.; Zhang, P.; Jiang, B. Comparing total hip arthroplasty and hemiarthroplasty for the treatment of displaced femoral neck fracture in the active elderly over 75 years old: A systematic review and meta-analysis of randomized control trials. J. Orthop. Surg. Res. 2020, 15, 215. [Google Scholar] [CrossRef] [PubMed] [PubMed Central]
- Pellicci, P.M.; Boström, M.; Poss, R. Posterior Approach to Total Hip Replacement Using Enhanced Posterior Soft Tissue Repair. Clin. Orthop. Relat. Res. 1998, 355, 224–228. [Google Scholar] [CrossRef]
- Lewinnek, G.E.; Lewis, G.L.; Tarr, R.; Compere, C.L.; Zimmerman, J.R. Dislocations after total hip-replacement arthroplasties. J. Bone Jt. Surg.—Am. Vol. 1978, 60, 217–220. [Google Scholar] [CrossRef]
- Lara-Taranchenko, Y.; Pujol, O.; González-Morgado, D.; Hernández, A.; Barro, V.; Soza, D. Validation of the Spanish Version of the Modified Harris Score. Rev. Esp. Cir. Ortop. Traumatol. 2024, 68, 121–127. [Google Scholar] [CrossRef] [PubMed]
- Roles, N.C.; Maudsley, R.H. Radial Tunnel Syndrome: Resistant Tennis Elbow as a Nerve Entrapment. J. Bone Jt. Surg.—Br. Vol. 1972, 54, 499–508. [Google Scholar] [CrossRef]
- Ackland, M.K.; Bourne, W.B.; Uhthoff, H.K. Anteversion of the Acetabular Cup. Measurement of Angle after Total Hip Replacement. J. Bone Jt. Surg.—Br. Vol. 1986, 68, 409–413. [Google Scholar] [CrossRef] [PubMed]
- Moore, M.S.; McAuley, J.P.; Young, A.M.; Engh, C.A. Radiographic Signs of Osseointegration in Porous-Coated Acetabular Components. Clin. Orthop. Relat. Res. 2006, 444, 176–183. [Google Scholar] [CrossRef]
- DeLee, J.G.; Charnley, J. Radiological Demarcation of Cemented Sockets in Total Hip Replacement. Clin. Orthop. Relat. Res. 1976, 121, 20–32. [Google Scholar] [CrossRef]
- Gruen, T.A.; McNeice, G.M.; Amstutz, H.C. “Modes of Failure” of Cemented Stem-Type Femoral Components: A Radiographic Analysis of Loosening. Clin. Orthop. Relat. Res. 1979, 141, 17–27. [Google Scholar] [CrossRef]
- Loudon, J.R.; Charnley, J. Subsidence of the femoral prosthesis in total hip replacement in relation to the design of the stem. J. Bone Jt. Surg.—Br. Vol. 1980, 62, 450–453. [Google Scholar] [CrossRef]
- Kjellberg, M.; Al-Amiry, B.; Englund, E.; Sjödén, G.O.; Sayed-Noor, A.S. Measurement of Leg Length Discrepancy after Total Hip Arthroplasty. The Reliability of a Plain Radiographic Method Compared to CT-Scanogram. Skelet. Radiol. 2012, 41, 187–191. [Google Scholar] [CrossRef]
- Brooker, A.F.; Bowerman, J.W.; Robinson, R.A.; Riley, L.H. Ectopic Ossification Following Total Hip Replacement: Incidence and a Method of Classification. J. Bone Jt. Surg.—Am. Vol. 1973, 55, 1629–1632. [Google Scholar]
- Gkagkalis, G.; Goetti, P.; Mai, S.; Meinecke, I.; Helmy, N.; Bosson, D.; Kutzner, K.P. Cementless short-stem total hip arthroplasty in the elderly patient—Is it a safe option? A prospective multicentre observational study. BMC Geriatr. 2019, 19, 112. [Google Scholar] [CrossRef] [PubMed]
- Innmann, M.M.; Streit, M.R.; Kolb, J.; Heiland, J.; Parsch, D.; Aldinger, P.R.; Königshausen, M.; Götterbarm, T.; Merle, C. Influence of surgical approach on component positioning in primary total hip arthroplasty. BMC Musculoskelet. Disord. 2015, 16, 180. [Google Scholar] [CrossRef] [PubMed]
- Kutzner, K.P.; Walz, A.; Afghanyar, Y.; Drees, P.; Schneider, M. Calcar-guided short-stem THA in femoral neck fractures: Prospective study of 68 hips. Arch. Orthop. Trauma Surg. 2024, 144, 1793–1802. [Google Scholar] [CrossRef] [PubMed]
- Zimmerer, A.; Slouka, S.; Kinkel, S.; Fritz, T.; Weiss, S.; Sobau, C.; Miehlke, W. Comparison of short-stem with convention-al-stem prostheses in total hip arthroplasty: An 8-year follow-up study. Arch. Orthop. Trauma Surg. 2020, 140, 1285–1291. [Google Scholar] [CrossRef]
- Formica, M.; Zanirato, A.; Bori, E.; Revetria, T.A.; Ditting, J.; Innocenti, B. Biomechanical analysis of different THA ce-mentless femoral stem designs in physiological and osteoporotic bone during static loading conditions. Arch. Orthop. Trauma Surg. 2024, 144, 917–926. [Google Scholar] [CrossRef]
- Mauch, M.; Brecht, H.; Clauss, M.; Stoffel, K. Use of Short Stems in Revision Total Hip Arthroplasty: A Retrospective Observational Study of 31 Patients. Medicina 2023, 59, 1822. [Google Scholar] [CrossRef]
- Mahmoud, A.N.; Kesteris, U.; Flivik, G. Stable migration pattern of an ultra-short anatomical uncemented hip stem: A prospective study with 2 years radiostereometric analysis follow-up. Hip Int. 2017, 27, 259–266. [Google Scholar] [CrossRef]
- Kutzner, K.P.; Kovacevic, M.P.; Roeder, C.; Rehbein, P.; Pfeil, J. Reconstruction of femoro-acetabular offsets using a short-stem. Int. Orthop. 2015, 39, 1269–1275. [Google Scholar] [CrossRef]
- Carli, A.V.; Negus, J.J.; Haddad, F.S. Periprosthetic femoral fractures and trying to avoid them: What is the contribution of femoral component design to the increased risk of periprosthetic femoral fracture? Bone Jt. J. 2017, 99-B, 50–59. [Google Scholar] [CrossRef]
- Dietrich, M.; Kabelitz, M.; Dora, C.; Zingg, P.O. Perioperative fractures in cementless total hip arthroplasty using the direct anterior minimally invasive approach: Reduced risk with short stems. J. Arthroplast. 2018, 33, 548–554. [Google Scholar] [CrossRef]
- Steinbrück, A.; Grimberg, A.W.; Elliott, J.; Melsheimer, O.; Jansson, V. Short versus conventional stem in cementless total hip arthroplasty: An evidence-based approach with registry data of mid-term survival. Orthopade 2021, 50, 296–305. [Google Scholar] [CrossRef]
- Lewis, P.L.; Gill, D.R.; McAuliffe, M.J.; Stoney, J.D.; Vertullo, C.J.; Wall, C.J.; Corfield, S.; Esaian, R.; Moylan, S.; Du, P.; et al. Hip, Knee and Shoulder Arthroplasty: 2025 Annual Report, Australian Orthopaedic Association National Joint Replacement Registry; AOA: Adelaide, Australia, 2025. [Google Scholar] [CrossRef]








| Variable | SFS Group (n = 38) | CSS Group (n = 76) | p-Value |
|---|---|---|---|
| Age, years (mean ± SD, range) | 73.1 (65–83) | 72.9 (65–82) | n.s. |
| Sex distribution | 22 female/16 male | 37 female/29 male | 0.582 |
| BMI (kg/m2) | 26.7 ± 3.7 | 27.0 ± 3.1 | 0.209 |
| ASA grade II (%) | 24 (63%) | 54 (59%) | 0.752 |
| Comorbidities | HTA 11 (29%) DMTS 7 (18%) Cardiac disease 3 (8%) | HTA 21 (28%) DMTS 11 (15%) Cardiac disease 8 (10.5%) | n.s. |
| Variable | SFS Group (n = 38) | CSS Group (n = 76) | p-Value |
|---|---|---|---|
| Operative time (min) | 49.5 ± 4.7 | 50.2 ± 4.3 | n.s. |
| Incision length (cm) | 11–16 (mean 14.5) | 12–17 (mean 15) | n.s. |
| Intraoperative blood loss (mL) | 385 ± 70 | 400 ± 50 | n.s. |
| Postoperative transfusions (n) | 3 | 6 | n.s. |
| Hospital stay (days) | 5.6 ± 1.5 (4–8) | 5.7 ± 1 (4–8) | n.s. |
| Neurovascular injury | 0 | 0 | n.s. |
| Intraoperative fractures | 1 (lesser trochanter) | 2 (lesser + 1 greater trochanter) | n.s. |
| Early postoperative complications | 1 dislocation | 1 DVT; 1 DAIR for hematoma | n.s. |
| Mortality during follow-up | 0 | 1 (at 3.5 years) | n.s. |
| Clinical Measure | SFS Group (n = 38) | CSS Group (n = 76) | p-Value |
|---|---|---|---|
| Final HHS (mean ± SD) | 87 ± 2.7 (range: 86–94) | 88 ± 2.5 (range: 86–95) | 0.231 |
| Roles and Maudsley satisfaction | 37 excellent, 1 good | 64 excellent, 12 good | n.s. |
| Thigh pain at 3 months | 3 cases | 5 cases | n.s. |
| Thigh pain at 6 months | 1 (mild) | 1 (stairs) | n.s. |
| Thigh pain at final follow-up | 0 | 1 (early standing) | n.s. |
| Cane use at final follow-up | 11 patients (7 due to fear of falling, 4 due to joint pathology) | 21 patients (11 due to fear of falling, 9 due to joint pathology, 1 due to stroke) | n.s. |
| Implant-related complications | 0 | 0 | n.s. |
| Dislocation | 1 (successfully reduced) | 0 | n.s. |
| Parameter | SFS Group | CSS Group | p-Value |
|---|---|---|---|
| Cup inclination mean ± SD (range) | 43° ± 3° (38–50°) | 44° ± 5° (37–50°) | n.s. |
| Cup anteversion mean (range) | 10° (0–15°) | 5° (3–15°) | n.s. |
| Cup position within Lewinnek’s safe zone | 100% | 100% | n.a. |
| Radiolucent lines/cup migration/broken screws | None observed | None observed | n.a. |
| Radiographic osseointegration | 100%; ≥3 Moore’s criteria in all cases | 100% | n.a. |
| Femoral radiolucency or periprosthetic osteolysis | None detected | None detected | n.a. |
| Stem subsidence (~3 mm at 3 months) | 2 hips, asymptomatic | 3 hips, asymptomatic | n.s. |
| Femoral stem loosening | None observed | None observed | n.a. |
| Leg length discrepancy (LLD) | 3 hips; mean 4 ± 3 mm (<1 cm) | 8 hips; mean 4 ± 5 mm (<1 cm) | n.s. |
| Clinical impact of LLD | None | None | n.a. |
| Heterotopic ossification | None observed | None observed | n.a. |
Disclaimer/Publisher’s Note: The statements, opinions and data contained in all publications are solely those of the individual author(s) and contributor(s) and not of MDPI and/or the editor(s). MDPI and/or the editor(s) disclaim responsibility for any injury to people or property resulting from any ideas, methods, instructions or products referred to in the content. |
© 2026 by the authors. Published by MDPI on behalf of the Lithuanian University of Health Sciences. Licensee MDPI, Basel, Switzerland. This article is an open access article distributed under the terms and conditions of the Creative Commons Attribution (CC BY) license.
Share and Cite
Godoy-Monzon, D.; Pascual Espinosa, J.M.; Telesca, P. Short Femoral Stem Performance in Femoral Hip Fracture: Clinical and Radiological Evaluation and Comparative Study of Patients Older than 65 Years. Medicina 2026, 62, 126. https://doi.org/10.3390/medicina62010126
Godoy-Monzon D, Pascual Espinosa JM, Telesca P. Short Femoral Stem Performance in Femoral Hip Fracture: Clinical and Radiological Evaluation and Comparative Study of Patients Older than 65 Years. Medicina. 2026; 62(1):126. https://doi.org/10.3390/medicina62010126
Chicago/Turabian StyleGodoy-Monzon, Daniel, Jose Manuel Pascual Espinosa, and Patricio Telesca. 2026. "Short Femoral Stem Performance in Femoral Hip Fracture: Clinical and Radiological Evaluation and Comparative Study of Patients Older than 65 Years" Medicina 62, no. 1: 126. https://doi.org/10.3390/medicina62010126
APA StyleGodoy-Monzon, D., Pascual Espinosa, J. M., & Telesca, P. (2026). Short Femoral Stem Performance in Femoral Hip Fracture: Clinical and Radiological Evaluation and Comparative Study of Patients Older than 65 Years. Medicina, 62(1), 126. https://doi.org/10.3390/medicina62010126
