A Rare Diagnosis of Parotid Gland Follicular Lymphoma Arising in Warthin Tumor: Case Report and Literature Review
Abstract
1. Introduction
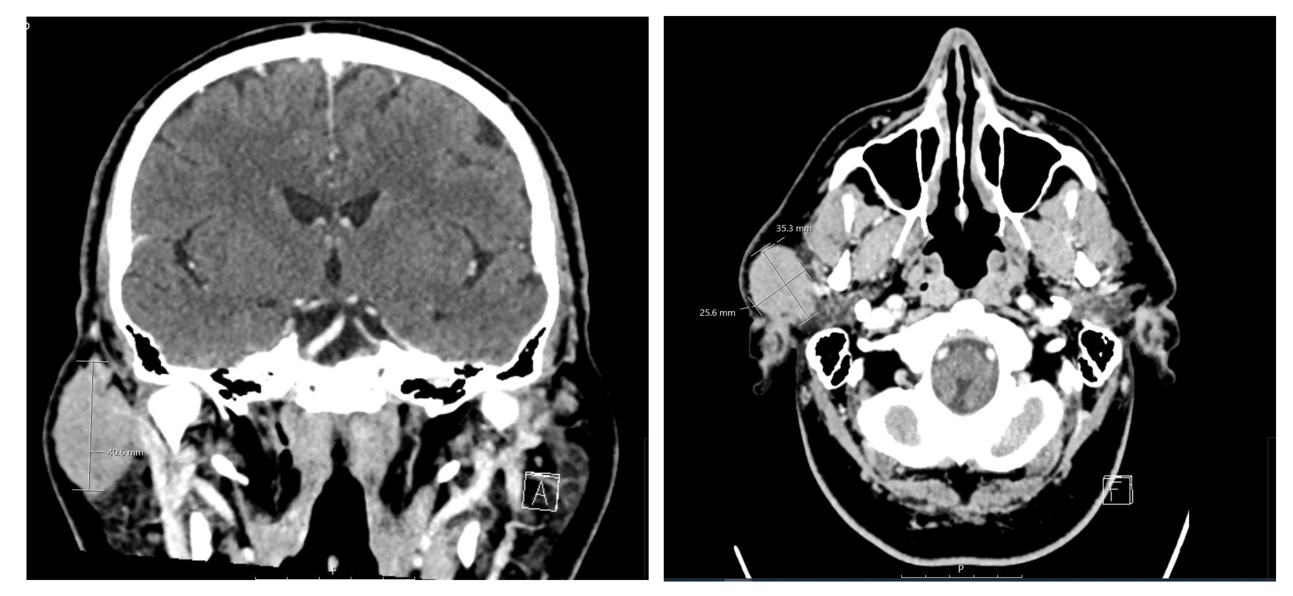
2. Case Report
3. Review of the Literature
4. Discussion
5. Conclusions
Author Contributions
Funding
Institutional Review Board Statement
Informed Consent Statement
Data Availability Statement
Conflicts of Interest
References
- El-Naggar, A.K.; Takata, J.K.C.C.; Grandis, J.R.; Takata, T.; Slootweg, P.J. WHO Classification of Head and Neck Tumours, 4th ed.; International Agency for Research on Cancer: Lyon, France, 2017. [Google Scholar]
- Alsanie, I.; Rajab, S.; Cottom, H.; Adegun, O.; Agarwal, R.; Jay, A.; Graham, L.; James, J.; Barrett, A.W.; van Heerden, W.; et al. Distribution and Frequency of Salivary Gland Tumours: An International Multicenter Study. Head Neck Pathol. 2022, 16, 1043–1054. [Google Scholar] [CrossRef] [PubMed] [PubMed Central]
- Quer, M.; Hernandez-Prera, J.C.; Silver, C.E.; Casasayas, M.; Simo, R.; Vander Poorten, V.; Guntinas-Lichius, O.; Bradley, P.J.; Tong-Ng, W.; Rodrigo, J.P.; et al. Current trends and controversies in the management of warthin tumor of the parotid gland. Diagnostics 2021, 11, 1467. [Google Scholar] [CrossRef] [PubMed]
- Hellquist, H.; Paiva-Correia, A.; Vander Poorten, V.; Quer, M.; Hernandez-Prera, J.C.; Andreasen, S.; Zbären, P.; Skalova, A.; Rinaldo, A.; Ferlito, A. Analysis of the clinical relevance of histological classification of benign epithelial salivary gland tumours. Adv. Ther. 2019, 36, 1950–1974. [Google Scholar] [CrossRef] [PubMed]
- Skálová, A.; Bishop, J.A.; Mehotra, R.; Thompson, L.D.R. Introduction. In WHO Classification of Head and Neck Tumours; IARC: Lyon, France, 2022. [Google Scholar]
- McLean-Holden, A.C.; Bishop, J.A. Low molecular weight cytokeratin immunohistochemistry reveals that most salivary gland Warthin tumors and lymphadenomas arise in intraparotid lymph nodes. Head Neck Pathol. 2021, 15, 438–442. [Google Scholar] [CrossRef]
- Teymoortash, A.; Werner, J.A. Tissue that has lost its track: Warthin’s tumour. Virchows Archiv 2005, 446, 585–588. [Google Scholar] [CrossRef]
- Carbone, A.; Roulland, S.; Gloghini, A.; Younes, A.; von Keudell, G.; López-Guillermo, A.; Fitzgibbon, J. Follicular lymphoma. Nat. Rev. Dis. Primers 2019, 5, 83. [Google Scholar] [CrossRef]
- Dada, R. Diagnosis and management of follicular lymphoma: A comprehensive review. Eur. J. Haematol. 2019, 103, 152–163. [Google Scholar] [CrossRef]
- Jacobsen, E. Follicular lymphoma: 2023 update on diagnosis and management. Am. J. Hematol. 2022, 97, 1638–1651. [Google Scholar] [CrossRef]
- Qualls, D.; Salles, G. Prospects in the management of patients with follicular lymphoma beyond first-line therapy. Haematologica 2022, 107, 19–34. [Google Scholar] [CrossRef]
- Ardeshna, K.M.; Qian, W.; Smith, P.; Braganca, N.; Lowry, L.; Patrick, P.; Warden, J.; Stevens, L.; Pocock, C.F.; Miall, F.; et al. Rituximab versus a watch-and-wait approach in patients with advanced-stage, asymptomatic, non-bulky follicular lymphoma: An open-label randomised phase 3 trial. Lancet Oncol. 2014, 15, 424–435. [Google Scholar] [CrossRef]
- Ardeshna, K.M.; Smith, P.; Norton, A.; Hancock, B.W.; Hoskin, P.J.; MacLennan, K.A.; Marcus, R.E.; Jelliffe, A.; Vaughan, G.; Hudson Linch, D.C. British National Lymphoma Investigation. Long-term effect of a watch and wait policy versus immediate systemic treatment for asymptomatic advanced-stage non-Hodgkin lymphoma: A randomised controlled trial. Lancet 2003, 362, 516–522. [Google Scholar] [CrossRef] [PubMed]
- Solal-Céligny, P.; Roy, P.; Colombat, P.; White, J.; Armitage, J.O.; Arranz-Saez, R.; Au, W.Y.; Bellei, M.; Brice, P.; Caballero, D.; et al. Follicular lymphoma international prognostic index. Blood 2004, 104, 1258–1265. [Google Scholar] [CrossRef] [PubMed]
- Brice, P.; Bastion, Y.; Lepage, E.; Brousse, N.; Haioun, C.; Moreau, P.; Straetmans, N.; Tilly, H.; Tabah, I.; Solal-Céligny, P. Comparison in low-tumor-burden follicular lymphomas between an initial no-treatment policy, prednimustine, or interferon alfa: A randomized study from the Groupe d’Etude des Lymphomes Folliculaires. Groupe d’Etude des Lymphomes de l’Adulte. J. Clin. Oncol. 1997, 15, 1110–1117. [Google Scholar] [CrossRef] [PubMed]
- Melato, M.; Falconieri, G.; Fanin, R.; Baccarani, M. Hodgkin’s disease occurring in a Warthin’s tumor: First case report. Pathol. Res. Pract. 1986, 181, 615–618. [Google Scholar] [CrossRef]
- Badve, S.; Evans, G.; Mady, S.; Coppen, M.; Sloane, J. A case of Warthin’s tumour with coexistent Hodgkin’s disease. Histopathology 1993, 22, 280–281. [Google Scholar] [CrossRef]
- Cozzolino, I.; Zeppa, P.; Cuccuru, A.; Picardi, M.; Vetrani, A.; Palombini, L. Collision Hodgkin lymphoma and Warthin tumour. Report of a case and review of the literature. Oral Surg. 2009, 2, 188–192. [Google Scholar] [CrossRef]
- Liu, Y.Q.; Tang, Q.L.; Wang, L.L.; Liu, Q.Y.; Fan, S.; Li, H.G. Concomitant lymphocyte-rich classical Hodgkin’s lymphoma and Warthin’s tumor. Oral Surg. Oral Med. Oral Pathol. Oral Radiol. 2013, 116, e117–e120. [Google Scholar] [CrossRef]
- Di Napoli, A.; Mallel, G.; Bartolazzi, A.; Cavalieri, E.; Becelli, R.; Cippitelli, C.; Ruco, L. Nodular lymphocyte-predominant Hodgkin lymphoma in a Warthin tumor of the parotid gland: A case report and literature review. Int. J. Surg. Pathol. 2015, 23, 419–423. [Google Scholar] [CrossRef]
- Jun, L.; Ming, Z. Classical Hodgkin lymphoma arising from heterotopic Warthin’s tumor in the cervical lymph node: A case report. Oncol. Lett. 2018, 16, 619–622. [Google Scholar] [CrossRef]
- Safi, M.; Sun, X.; Wang, L.; Zhang, X.; Song, J.; Ameen, M. Risk interrelationship among multiple primary tumors: A case report and review of literature. Medicine 2018, 97, e0289. [Google Scholar] [CrossRef]
- Colby, T.V.; Dorfman, R.F. Malignant lymphomas involving the salivary glands. Pathol. Annu. 1979, 14, 307–324. [Google Scholar] [PubMed]
- Seifert, G.; Bull, H.G.; Donath, K. Histologic subclassification of the cystadenolymphoma of the parotid gland: Analysis of 275 cases. Virchows Archiv A 1980, 388, 13–38. [Google Scholar] [CrossRef] [PubMed]
- Miller, R.; Yanagihara, E.T.; Dubrow, A.A.; Lukes, R.J. Malignant lymphoma in a warthin’s tumor report of a case. Cancer 1982, 50, 2948–2950. [Google Scholar] [CrossRef] [PubMed]
- Banik, S.; Howell, J.S.; Wright, D.H. Non-Hodgkin’s lymphoma arising in adenolymphoma—A report of two cases. J. Pathol. 1985, 146, 167–177. [Google Scholar] [CrossRef]
- Hall, G.; Tesluk, H.; Baron, S. Lymphoma arising in an adenolymphoma. Hum. Pathol. 1985, 16, 424–427. [Google Scholar] [CrossRef]
- Griesser, G.H.; Hansmann, M.L.; Bogman, M.J.J.T.; Pielsticker, K.; Lennert, K. Germinal center derived malignant lymphoma in cystadenolymphoma. Virchows Archiv A 1986, 408, 491–496. [Google Scholar] [CrossRef]
- Medeiros, L.J.; Rizzi, R.; Lardelli, P.; Jaffe, E.S. Malignant lymphoma involving a Warthin’s tumor: A case with immunophenotypic and gene rearrangement analysis. Hum. Pathol. 1990, 21, 974–977. [Google Scholar] [CrossRef]
- Giardini, R.; Mastore, M. Follicular non Hodgkin’s lymphoma in adenolymphoma: Report of a case. Tumori J. 1990, 76, 212–215. [Google Scholar] [CrossRef]
- Shikhani, A.H.; Shikhani, L.T.; Kuhajda, F.P.; Allam, C.K. Warthin’s tumor-associated neoplasms: Report of two cases and review of the literature. Ear Nose Throat J. 1993, 72, 264–273. [Google Scholar] [CrossRef]
- Park, C.K.; Manning, J.T., Jr.; Battifora, H.; Medeiros, L.J. Follicle center lymphoma and Warthin tumor involving the same anatomic site: Report of two cases and review of the literature. Am. J. Clin. Pathol. 2000, 113, 113–119. [Google Scholar] [CrossRef]
- Romero, M.; González-Fontal, G.R.; Duarte, M.; Saavedra, C.; Henao-Martínez, A.F. Small clonal B-cell population in the bone marrow as a possible tool in the diagnosis of occult primary parotid lymphoma. Colomb. Méd. 2016, 47, 59–62. [Google Scholar] [CrossRef]
- Alnoor, F.; Gandhi, J.S.; Stein, M.K.; Gradowski, J.F. Follicular lymphoma diagnosed in warthin tumor: A case report and review of the literature. Head Neck Pathol. 2020, 14, 386–391. [Google Scholar] [CrossRef] [PubMed]
- Alnoor, F.N.U.; Gandhi, J.S.; Stein, M.K.; Solares, J.; Gradowski, J.F. Prevalence of lymphoid neoplasia in a retrospective analysis of Warthin tumor: A single institution experience. Head Neck Pathol. 2020, 14, 944–950. [Google Scholar] [CrossRef] [PubMed]
- Reiner, M.; Goldhirsch, A.; Luscieti, P.R.; Pedrinis, E.; Kaplan, E.; Cavalli, F. Warthin’s tumor with Sjogren’s syndrome and non-Hodgkin’s lymphoma. Ear Nose Throat J. 1979, 58, 345–350. [Google Scholar]
- Gorai, S.; Numata, T.; Kawada, S.; Nakano, M.; Tamaru, J.I.; Kobayashi, T. Malignant lymphoma arising from heterotopic Warthin’s tumor in the neck: Case report and review of the literature. Tohoku J. Exp. Med. 2007, 212, 199–205. [Google Scholar] [CrossRef][Green Version]
- Özkök, G.; Taşlı, F.; Özsan, N.; Öztürk, R.; Postacı, H. Diffuse large B-cell lymphoma arising in Warthin’s tumor: Case study and review of the literature. Korean J. Pathol. 2013, 47, 579. [Google Scholar] [CrossRef]
- Chu, C.Y.; Pan, S.C.; Chang, K.C. EBV-positive diffuse large B-cell lymphoma of the elderly involving Warthin tumor. Pathol. Int. 2015, 65, 677–679. [Google Scholar] [CrossRef]
- Wang, C.S.; Chu, X.; Yang, D.; Ren, L.; Meng, N.L.; Lv, X.X.; Yun, T.; Cao, Y.S. Diffuse large B-cell lymphoma arising from follicular lymphoma with warthin’s tumor of the parotid gland-immunophenotypic and genetic features: A case report. World J. Clin. Cases 2019, 7, 3895. [Google Scholar] [CrossRef]
- Gutierrez-Alvarez, M.; Martinez, C.; Lopez, A.P.C.; Fuentes, K.; Aviña, J.A.R. Warthin’s Tumor of the Parotid Gland With Degeneration to Diffuse Large B-cell Lymphoma: A Case Report and Review of Literature. Cureus 2023, 15, e36802. [Google Scholar] [CrossRef]
- Bunker, M.L.; Locker, J. Warthin’s tumor with malignant lymphoma: DNA analysis of paraffin-embedded tissue. Am. J. Clin. Pathol. 1989, 91, 341–344. [Google Scholar] [CrossRef]
- Saxena, A.; Memauri, B.; Hasegawa, W. Initial diagnosis of small lymphocytic lymphoma in parotidectomy for Warthin tumour, a rare collision tumour. J. Clin. Pathol. 2005, 58, 331–333. [Google Scholar] [CrossRef] [PubMed]
- Jawad, H.; McCarthy, P.; O’Leary, G.; Heffron, C.C. Presentation of chronic lymphocytic leukemia/small lymphocytic lymphoma in a Warthin tumor: Case report and literature review. Int. J. Surg. Pathol. 2018, 26, 256–260. [Google Scholar] [CrossRef] [PubMed]
- Arcega, R.S.; Feinstein, A.J.; Bhuta, S.; Blackwell, K.E.; Rao, N.P.; Pullarkat, S.T. An unusual initial presentation of mantle cell lymphoma arising from the lymphoid stroma of warthin tumor. Diagn. Pathol. 2015, 10, 209. [Google Scholar] [CrossRef] [PubMed]
- Marioni, G.; Marchese-Ragona, R.; Marino, F.; Poletti, A.; Ottaviano, G.; Filippis, C.D.; Staffieri, A. MALT-type lymphoma and Warthin’s tumour presenting in the same parotid gland. Acta Oto-Laryngol. 2004, 124, 318–323. [Google Scholar] [CrossRef]
- Pescarmona, E.; Perez, M.; Faraggiana, T.; Granati, L.; Baroni, C.D. Nodal peripheral T-cell lymphoma associated with Warthin’s tumour. Histopathology 2005, 47, 221–222. [Google Scholar] [CrossRef]
- Giaslakiotis, K.; Androulaki, A.; Panagoulias, G.; Kyrtsonis, M.C.; Lazaris, A.C.; Kanakis, D.N.; Patsouris, E.S. T cell lymphoblastic lymphoma in parotidectomy for Warthin’s tumor: Case report and review of the literature. Int. J. Hematol. 2009, 89, 359–364. [Google Scholar] [CrossRef]
- Pan, X.; Yu, S.; Che, L.; Xu, J.; Zhou, H. Terminal deoxynucleotidyl transferase negative T-cell lymphoblastic lymphoma from heterotopic Warthin’s tumor in cervical lymph nodes: A case report and review of literature. Int. J. Clin. Exp. Pathol. 2019, 12, 4167. [Google Scholar]
- Franzen, A.M.; Kaup Franzen, C.; Guenzel, T.; Lieder, A. Increased incidence of Warthin tumours of the parotid gland: A 42-year evaluation. Eur. Arch. Oto-Rhino-Laryngol. 2018, 275, 2593–2598. [Google Scholar] [CrossRef]
- Skolnik, E.M.; Friedman, M.; Becker, S.; Sisson, G.A.; Keyes, G.R. Tumors of the major salivary glands. Laryngoscope 1977, 87, 843–861. [Google Scholar] [CrossRef]
- Saravakos, P.; Kourtidis, S.; Hartwein, J.; Preyer, S. Parotid Gland Tumors: A Multicenter Analysis of 1020 Cases. Increasing Incidence of Warthin’s Tumor. Indian J. Otolaryngol. Head Neck Surg. 2022, 74 (Suppl. 2), 2033–2040. [Google Scholar] [CrossRef]
- Ruebner, B.; Bramhall, J.L. Malignant papillary cystadenoma lymphomatosum. Arch. PathoJ. 1960, 69, 110–117. [Google Scholar]
- Kuzenko, Y.V.; Romanuk, A.M.; Dyachenko, O.O.; Hudymenko, O. Pathogenesis of Warthin’s tumors. Interv. Med. Appl. Sci. 2016, 8, 41–48. [Google Scholar] [CrossRef] [PubMed]
- Seok, J.; Jeong, W.J.; Ahn, S.H.; Jung, Y.H. The growth rate and the positive prediction of needle biopsy of clinically diagnosed Warthin’s tumor. Eur. Arch. Oto-Rhino-Laryngol. 2019, 276, 2091–2096. [Google Scholar] [CrossRef] [PubMed]
- Shum, J.W.; Emmerling, M.; Lubek, J.E.; Ord, R.A. Parotid lymphoma: A review of clinical presentation and management. Oral Surg. Oral Med. Oral Pathol. Oral Radiol. 2014, 118, e1–e5. [Google Scholar] [CrossRef]
- Mantsopoulos, K.; Koch, M.; Klintworth, N.; Zenk, J.; Iro, H. Evolution and changing trends in surgery for benign parotid tumors. Laryngoscope 2015, 125, 122–127. [Google Scholar] [CrossRef]





| Study and Year | Age | Sex | Site | FNA Result | Lymphoma Type |
|---|---|---|---|---|---|
| Hodgkin Lymphoma | |||||
| Melato et al. (1986) [16] | 69 | M | Right parotid | NA | CHL, mixed cellularity |
| Badve et al. (1993) [17] | 76 | M | Left parotid | NA | CHL, not distinguished |
| Cozzolino et al. (2009) [18] | 60 | M | Right parotid | WT | CHL, not distinguished |
| Ye-qing Liu et al. (2013) [19] | 78 | M | Left parotid | NA | CHL, lymphocyte-rich |
| Napoli et al. (2015) [20] | 73 | M | Left cervical mass | NA | NLPHL |
| Jun et al. (2018) [21] | 59 | M | Right neck mass | NA | CHL, mixed cellularity |
| Safi et al. (2018) [22] | 80 | M | Left parotid | NA | CHL, not distinguished |
| Non-Hodgkin Lymphoma | |||||
| Colby et al. (1979) [23] | NA | NA | Parotid | NA | Follicular lymphoma/grade 1 |
| Seifert et al. (1980) [24] | 83 | M | Parotid | NA | Follicular lymphoma |
| Miller et al. (1982) [25] | 49 | M | Angle of mandible | NA | Follicular lymphoma/grade 1 |
| Banik et al. (1984) [26] | 75 | M | Left parotid | NA | Follicular lymphoma/grade 2 |
| 76 | M | Right parotid | NA | Follicular lymphoma/grade 2 | |
| Hall et al. (1985) [27] | 64 | M | Right parotid | NA | Follicular lymphoma/grade 2 |
| Griesser et al. (1986) [28] | 64 | F | Palate | NA | Follicular lymphoma/grade 2 |
| Medeiros et al. (1990) [29] | 71 | M | Left parotid | NA | Follicular lymphoma/grade 2 |
| Giardini et al. (1990) [30] | 57 | M | Right and left parotid | NA | Follicular lymphoma/grade 1 |
| Shikhani et al. (1993) [31] | 56 | M | Right parotid | WT | Follicular lymphoma |
| Park et al. (2000) [32] | 68 | F | Right perparotid lymph node | NA | Follicular lymphoma/grade 1 |
| 55 | M | Right parotid | NA | Follicular lymphoma/grade 1 | |
| Romero et al. (2016) [33] | 82 | F | Right parotid | NA | Follicular lymphoma |
| Alnoor et al. (2020) [34] | 69 | M | Right neck swelling | WT | Follicular lymphoma/grade 1–2 |
| Alnoor et al. (2020) [35] | 74 | M | Left parotid (bilateral on CT) | WT | In situ follicular neoplasia |
| Current case | 64 | M | Right parotid | WT | Follicular lymphoma/grade 1–2 |
| Reiner et al. (1979) [36] | 56 | M | Right parotid | NA | DLBCL |
| Griesser et al. (1986) [28] | 82 | M | Left submandibular | NA | DLBCL |
| Gorai et al. (2007) [37] | 102 | M | Left neck mass | Class II or no malignancy | DLBCL |
| Ozkok et al. (2012) [38] | 60 | M | Left side of the jaw, swelling | NA | DLBCL |
| Chu et al. (2015) [39] | 83 | M | Left parotid | NA | EBV-positive DLBCL |
| Wang et al. (2019) [40] | 67 | M | Right parotid | NA | DLBCL |
| Gutierrez-Alvarez (2023) [41] | 65 | M | Right parotid | NA | DLBCL |
| Bunker et al. (1989) [42] | 63 | F | Left parotid | NA | SLL/CLL |
| Saxena et al. (2005) [43] | 60 | M | Left parotid | NA | SLL/CLL |
| Jawad et al. (2018) [44] | 80 | M | Right parotid | Small lymphocytes admixed with occasional larger lymphoid cells | SLL/CLL |
| Alnoor et al. (2020) [35] | 60 | M | Right parotid | WT | SLL/CLL |
| Seifert et al. (1980) [24] | 71 | M | Parotid | NA | Mantle-cell lymphoma |
| Arcega et al. (2015) [45] | 70 | M | Left neck mass | NA | Mantle-cell lymphoma |
| Marioni et al. (2004) [46] | 61 | F | Right parotid | WT | MALT-type lymphoma |
| Pescarmona et al. (2005) [47] | 66 | M | Right cervical lymphadenopathy | WT | Nodal peripheral T-cell lymphoma, NOS |
| Giaslakiotis et al. (2009) [48] | 81 | M | Right parotid | NA | T-cell lymphoblastic lymphoma |
| Pan et al. (2019) [49] | 69 | F | Left side of neck | NA | T-cell lymphoblastic lymphoma |
| Colby et al. (1979) [23] | 52 | M | Parotid | NA | Lymphoma, unclassified |
| WT and Lymphoma | N= 41 |
| Hodgkin Lymphoma (n = 7, 17.07%) | Frequency |
| CHL, mixed cellularity | 2 (31, 35) |
| CHL, lymphocyte-rich | 1 (34) |
| CHL, not distinguished | 3 (32, 33, 36) |
| NLPHL | 1 (27) |
| Hodgkin Lymphoma (n = 34, 82.92%) | Frequency |
| Follicular lymphoma | 15 (22, 25, 37–46) |
| In situ follicular neoplasia | 1 (21) |
| DLBCL | 7 (23, 42, 47–51) |
| SLL/CLL | 4 (21, 52–54) |
| Mantle-cell lymphoma | 2 (38, 24) |
| MALT-type lymphoma | 1 (55) |
| Peripheral T-cell lymphoma | 1 (56) |
| T-cell lymphoblastic lymphoma | 2 (57–58) |
| Unclassified | 1 (37) |
Disclaimer/Publisher’s Note: The statements, opinions and data contained in all publications are solely those of the individual author(s) and contributor(s) and not of MDPI and/or the editor(s). MDPI and/or the editor(s) disclaim responsibility for any injury to people or property resulting from any ideas, methods, instructions or products referred to in the content. |
© 2024 by the authors. Published by MDPI on behalf of the Lithuanian University of Health Sciences. Licensee MDPI, Basel, Switzerland. This article is an open access article distributed under the terms and conditions of the Creative Commons Attribution (CC BY) license (https://creativecommons.org/licenses/by/4.0/).
Share and Cite
Vaknin, I.; Allon, I.; Zafrir-Haver, S.; Abramson, A. A Rare Diagnosis of Parotid Gland Follicular Lymphoma Arising in Warthin Tumor: Case Report and Literature Review. Medicina 2024, 60, 2086. https://doi.org/10.3390/medicina60122086
Vaknin I, Allon I, Zafrir-Haver S, Abramson A. A Rare Diagnosis of Parotid Gland Follicular Lymphoma Arising in Warthin Tumor: Case Report and Literature Review. Medicina. 2024; 60(12):2086. https://doi.org/10.3390/medicina60122086
Chicago/Turabian StyleVaknin, Ido, Irit Allon, Shirley Zafrir-Haver, and Alex Abramson. 2024. "A Rare Diagnosis of Parotid Gland Follicular Lymphoma Arising in Warthin Tumor: Case Report and Literature Review" Medicina 60, no. 12: 2086. https://doi.org/10.3390/medicina60122086
APA StyleVaknin, I., Allon, I., Zafrir-Haver, S., & Abramson, A. (2024). A Rare Diagnosis of Parotid Gland Follicular Lymphoma Arising in Warthin Tumor: Case Report and Literature Review. Medicina, 60(12), 2086. https://doi.org/10.3390/medicina60122086

