The Use of Hydroxyapatite Loaded with Doxycycline (HADOX) in Dentoalveolar Surgery as a Risk-Reduction Therapeutic Protocol in Subjects Treated with Different Bisphosphonate Dosages
Abstract
1. Introduction
2. Materials and Methods
2.1. Ethics Considerations
2.2. Animal Characterization and Preparation
2.3. Sample Size Calculation
2.4. Bone-Substitute Synthesis and Characterization
2.5. Anaesthesia and Surgical Procedures
2.6. Euthanasia and Histological Processing
2.7. Descriptive Microscopic Analysis
2.8. Histomorphometric Analysis
2.9. Statistical Analysis
3. Results
3.1. Clinical
3.2. Histological Descriptive Analysis
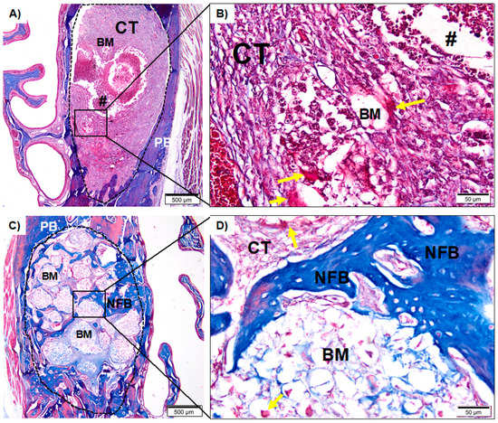
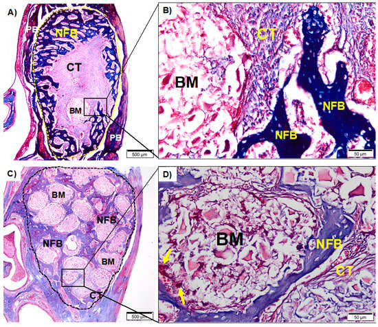
3.2.1. Sham Groups
3.2.2. Animals Treated with 4% ZA and Bone Grafts
3.2.3. Animals Treated with 8% ZA and Bone Grafts
3.3. Histomorphometric and Statistical Evaluations
3.3.1. Newly Formed Bone
3.3.2. Biomaterial
3.3.3. Connective tissue
4. Discussion
- Variations in drug-dosing schedules and regimens (potentially not relevant to human conditions);
- Variable effect of drug exposure or drug absorption and metabolization;
- Variable duration of follow-up, which may not correspond to disease manifestation in humans.
5. Conclusions
- -
- An anti-inflammatory;
- -
- An osteoclast inhibitor;
- -
- A fibroblast stimulator;
- -
- An anti-collagenolytic;
- -
- An antimicrobial agent.
Author Contributions
Funding
Institutional Review Board Statement
Informed Consent Statement
Data Availability Statement
Conflicts of Interest
References
- Ruggiero, S.L.; Dodson, T.B.; Fantasia, J.; Goodday, R.; Aghaloo, T.; Mehrotra, B.; O’Ryan, F. American Association of Oral and Maxillofacial Surgeons. American Association of Oral and Maxillofacial Surgeons position paper on medication-related osteonecrosis of the jaw—2014 Update. J. Oral Maxillofac. Surg. 2014, 72, 1938–1956. [Google Scholar] [CrossRef] [PubMed]
- Mathew, A.; Brufsky, A. Breast cancer: Zoledronic acid—More than just a bone drug. Nat. Rev. Clin. Oncol. 2014, 11, 564–565. [Google Scholar] [CrossRef] [PubMed]
- Plotkin, L.I.; Weinstein, R.S.; Parfitt, A.M.; Roberson, P.K.; Manolagas, S.C.; Bellido, T. Prevention of osteocyte and osteoblast apoptosis by bisphosphonates and calcitonin. J. Clin. Investig. 1999, 104, 1363–1374. [Google Scholar] [CrossRef]
- Plotkin, L.I.; Aguirre, J.I.; Kousteni, S.; Manolagas, S.C.; Bellido, T. Bisphosphonates and estrogens inhibit osteocyte apoptosis via distinct molecular mechanisms downstream of extracellular signal-regulated kinase activation. J. Biol. Chem. 2005, 25, 7317–7325. [Google Scholar] [CrossRef] [PubMed]
- Emery, J.G.; McDonnell, P.; Burke, M.B.; Deen, K.C.; Lyn, S.; Silverman, C.; Dul, E.; Appelbaum, E.R.; Eichman, C.; DiPrinzio, R.; et al. Osteoprotegerin is a receptor for the cytotoxic ligand TRAIL. J. Biol. Chem. 1998, 273, 14363–14367. [Google Scholar] [CrossRef] [PubMed]
- Ominsky, M.S.; Kostenuik, P.J.; Cranmer, P.; Smith, S.Y.; Atkinson, J.E. The RANKL inhibitor OPG-Fc increases cortical and trabecular bone mass in young gonad-intact cynomolgus monkeys. Osteoporos. Int. 2007, 18, 1073–1082. [Google Scholar] [CrossRef]
- Marx, R.E. Pamidronate (Aredia) and zoledronate (Zometa) induced avascular necrosis of the jaws: A growing epidemic. J. Oral Maxillofac. Surg. 2003, 61, 1115–1117. [Google Scholar] [CrossRef]
- Otto, S.; Pautke, C.; Van den Wyngaert, T.; Niepel, D.; Schiødt, M. Medication-related osteonecrosis of the jaw: Prevention, diagnosis and management in patients with cancer and bone metastases. Cancer Treat. Rev. 2018, 69, 177–187. [Google Scholar] [CrossRef]
- Ruggiero, S.L. Bisphosphonate-related osteonecrosis of the jaw: An overview. Ann. N. Y. Acad. Sci. 2011, 1218, 38–46. [Google Scholar] [CrossRef]
- Yamazaki, T.; Yamori, M.; Ishizaki, T.; Asai, K.; Goto, K.; Takahashi, K.; Nakayama, T.; Bessho, K. Increased incidence of osteonecrosis of the jaw after tooth extraction in patients treated with bisphosphonates: A cohort study. Int. J. Oral Maxillofac. Surg. 2012, 41, 1397–1403. [Google Scholar] [CrossRef]
- Kajizono, M.; Sada, H.; Sugiura, Y.; Soga, Y.; Kitamura, Y.; Matsuoka, J.; Sendo, T. Incidence and risk factors of osteonecrosis of the jaw in advanced cancer patients after treatment with zoledronic acid or denosumab: A retrospective cohort study. Biol. Pharm. Bull. 2015, 38, 1850–1855. [Google Scholar] [CrossRef]
- Voss, P.J.; Joshi-Oshero, J.; Kovalova-Müller, A.; Veigel Merino, E.A.; Sauerbier, S.; Al-Jamali, J.; Lemound, J.; Metzger, M.C.; Schmelzeisen, R. Surgical treatment of bisphosphonate-associated osteonecrosis of the jaw: Technical report and follow up of 21 patients. J. Craniomaxillofac. Surg. 2012, 40, 719–725. [Google Scholar] [CrossRef]
- Ripamonti, C.I.; Maniezzo, M.; Campa, T.; Fagnoni, E.; Brunelli, C.; Saibene, G.; Bareggi, C.; Ascani, L.; Cislaghi, E. Decreased occurrence of osteonecrosis of the jaw after implementation of dental preventive measures in solid tumour patients with bone metastases treated with bisphosphonates: The experience of the National Cancer Institute of Milan. Ann. Oncol. 2009, 20, 137–145. [Google Scholar] [CrossRef]
- Saia, G.; Blandamura, S.; Bettini, G.; Tronchet, A.; Totola, A.; Bedogni, G.; Ferronato, G.; Nocini, P.F.; Bedogni, A. Occurrence of bisphosphonate-related osteonecrosis of the jaw after surgical tooth extraction. J. Oral Maxillofac. Surg. 2010, 68, 797–804. [Google Scholar] [CrossRef]
- Fliefel, R.; Troltzsch, M.; Kuhnisch, J.; Ehrenfeld, M.; Otto, S. Treatment strategies and outcomes of bisphosphonate related osteonecrosis of the jaw (BRONJ) with characterization of patients: A systematic review. Int. J. Oral Maxillofac. Surg. 2015, 44, 568–585. [Google Scholar] [CrossRef]
- Gaudin, E.; Seidel, L.; Bacevic, M.; Rompen, E.; Lambert, F. Occurrence and risk indicators of medication-related osteonecrosis of the jaw after dental extraction: A systematic review and meta-analysis. J. Clin. Periodontol. 2015, 42, 922–932. [Google Scholar] [CrossRef]
- Beth-Tasdogan, N.H.; Mayer, B.; Hussein, H.; Zolk, O. Interventions for managing medication-related osteonecrosis of the jaw. Cochrane Database Syst. Rev. 2017, 6, CD012432. [Google Scholar] [CrossRef]
- Lin, L.; Chow, K.L.; Leng, Y. Study of hydroxyapatite osteoinductivity with an osteogenic differentiation of mesenchymal stem cells. J. Biomed. Mater. Res. A 2009, 89, 326–335. [Google Scholar] [CrossRef]
- Wang, S.; Wen, S.; Shen, M.; Guo, R.; Cao, X.; Wang, J.; Shi, X. Aminopropyltriethoxysilane-mediated surface functionalization of hydroxyapatite nanoparticles: Synthesis, characterization, and in vitro toxicity assay. Int. J. Nanomed. 2011, 6, 3449–3459. [Google Scholar]
- Ye, F.; Guo, H.; Zhang, H.; He, X. Polymeric micelle-templated synthesis of hydroxyapatite hollow nanoparticles for a drug delivery system. Acta Biomater. 2010, 6, 2212–2218. [Google Scholar] [CrossRef]
- Lew, D.; Farrell, B.; Bardach, J.; Keller, J. Repair of craniofacial defects with hydroxyapatite cement. J. Oral Maxillofac. Surg. 1997, 55, 1441–1449. [Google Scholar] [CrossRef] [PubMed]
- Parent, M.; Baradari, H.; Champion, E.; Damia, C.; Viana-Trecant, M. Design of calcium phosphate ceramics for drug delivery applications in bone diseases: A review of the parameters affecting the loading and release of the therapeutic substance. J. Control. Release 2017, 252, 1–17. [Google Scholar] [CrossRef] [PubMed]
- Kolmas, J.; Krukowski, S.; Laskus, A.; Jurkitewicz, M. Synthetic hydroxyapatite in pharmaceutical applications. Ceram. Int. 2016, 42, 2472–2487. [Google Scholar] [CrossRef]
- Martin, V.; Bettencourt, A. Bone regeneration: Biomaterials as local delivery systems with improved osteoinductive properties. Mater. Sci. Eng. C 2018, 82, 363–371. [Google Scholar] [CrossRef] [PubMed]
- Soriano-Souza, C.A.; Rossi, A.L.; Mavropoulos, E.; Hausen, M.A.; Tanaka, M.N.; Calasans-Maia, M.; Granjeiro, J.; Rocha-Leão, M.H.M.; Rossi, A.M. Chlorhexidineloaded hydroxyapatite microspheres as an antimicrobial delivery system and its effect on in vivo osteo-conductive properties. J. Mater. Sci. Mater. Med. 2015, 26, 166. [Google Scholar] [CrossRef]
- Jafari, S.; Adibkia, K. Application of hydroxyapatite nanoparticle in the drug delivery systems. J. Mol. Pharm. Org. Process. Res. 2014, 3, e118. [Google Scholar] [CrossRef]
- Golub, L.; Elburki, K.; Walker, C.; Ryan, M.; Sorsa, T.; Tnenbaum, H.; Goldberg, M.; Wolff, M.; Gu, Y. Nonantibacterial tetracycline formulations: Hostmodulators in the treatment of periodontitis and relevant systemic diseases. Int. Dent. J. 2016, 66, 127–135. [Google Scholar] [CrossRef]
- Ding, L.; Zhang, P.; Wang, X.; Hao, J.; Aoki, K.; Kuroda, S.; Kasugai, S. Effect of doxycycline-treated hydroxyapatite surface on bone apposition: A histomophometric study in murine maxillae. Dent. Mater. J. 2018, 37, 130–138. [Google Scholar] [CrossRef]
- Del Rosso, J.Q.; Webster, G.F.; Jackson, M.; Rendon, M.; Rich, P.; Torok, H.; Bradshaw, M. Two randomized phase III clinical trials evaluating anti-inflammatory dose doxycycline (40-mg doxycycline, USP capsules) administered once daily for treatment of rosacea. J. Am. Acad. Dermatol. 2007, 56, 791–802. [Google Scholar] [CrossRef]
- Gomes, K.D.N.; Alves, A.P.N.N.; Dutra, P.G.P.; Viana, G.S.B. Doxycycline induces bone repair and changes in Wnt signalling. Int. J. Oral Sci. 2017, 9, 158–166. [Google Scholar] [CrossRef]
- Kilkenny, C.; Browne, W.; Cuthill, I.C.; Emerson, M.; Altman, D.G.; NC3Rs Reporting Guidelines Working Group. Animal research: Reporting in vivo experiments: The ARRIVE guidelines. Br. J. Pharmacol. 2010, 160, 1577–1579. [Google Scholar] [CrossRef]
- Smith, A.J.; Clutton, R.E.; Lilley, E.; Hansen, K.E.A.; Brattelid, T. PREPARE: Guidelines for planning animal research and testing. Lab. Anim. 2018, 52, 135–141. [Google Scholar] [CrossRef]
- Soriano-Souza, C.; Valiense, H.; Mavropoulos, E.; Martinez-Zelaya, V.; Costa, A.M.; Alves, A.T.; Longuinho, M.; Resende, R.; Mourão, C.; Granjeiro, J.; et al. Doxycycline containing hydroxyapatite ceramic microspheres as a bone-targeting drug delivery system. J. Biomed. Mater. Res. B 2020, 108, 1351–1362. [Google Scholar] [CrossRef]
- de Souza, C.A.; Colombo, A.P.; Souto, R.M.; Silva-Boghossian, C.M.; Granjeiro, J.M.; Alves, G.G.; Rossi, A.M.; Rocha-Leão, M.H. Adsorption of chlorhexidine on synthetic hydroxyapatite and in vitro biological activity. Colloids Surf. B Biointerfaces 2011, 87, 310–318. [Google Scholar] [CrossRef]
- Lodi, G.; Sardella, A.; Salis, A.; Demarosi, F.; Tarozzi, M.; Carrassi, A. Tooth extraction in patients taking intravenous bisphosphonates: A preventive protocol and case series. J. Oral Maxillofac. Surg. 2010, 68, 107–110. [Google Scholar] [CrossRef]
- McGowan, K.; McGowan, T.; Ivanovski, S. Risk factors for medication-related osteonecrosis of the jaws: A systematic review. Oral Dis. 2018, 24, 527–536. [Google Scholar] [CrossRef]
- Ruggiero, S.L.; Dodson, T.B.; Aghaloo, T.; Carlson, E.R.; Ward, B.B.; Kademani, D. American Association of Oral and Maxillofacial Surgeons’ Position Paper on Medication-Related Osteonecrosis of the Jaw—2022 Update. J. Oral Maxillofac. Surg. 2022, 80, 920–943. [Google Scholar] [CrossRef]
- Diniz-Freitas, M.; Limeres, J. Prevention of medication-related osteonecrosis of the jaws secondary to tooth extractions. A systematic review. Med. Oral Patol. Oral Cir. Bucal. 2016, 21, e250–e259. [Google Scholar] [CrossRef]
- Gu, W.; Wu, C.; Chen, J.; Xiao, Y. Nanotechnology in the targeted drug delivery for bone diseases and bone regeneration. Int. J. Nanomed. 2013, 8, 2305–2317. [Google Scholar] [CrossRef]
- Cazalbou, S.; Bertrand, G.; Drouet, C. Tetracycline-loaded biomimetic apatite: An adsorption study. J. Phys. Chem. B 2015, 119, 3014–3024. [Google Scholar] [CrossRef]
- Poubel, V.L.D.N.; Silva, C.A.B.; Mezzomo, L.A.M.; De Luca Canto, G.; Rivero, E.R.C. The risk of osteonecrosis on alveolar healing after tooth extraction and systemic administration of antiresorptive drugs in rodents: A systematic review. J. Craniomaxillofac. Surg. 2018, 46, 245–256. [Google Scholar] [CrossRef] [PubMed]
- Biasotto, M.; Chiandussi, S.; Zacchigna, S.; Moimas, S.; Dore, F.; Pozzato, G.; Cavalli, F.; Zanconati, F.; Contardo, L.; Giacca, M.; et al. A novel animal model to study non-spontaneous bisphosphonates osteonecrosis of jaw. J. Oral Pathol. Med. 2010, 39, 390–396. [Google Scholar] [CrossRef] [PubMed]










| Newly Formed Bone | Biomaterial | Connective Tissue | |||||||
|---|---|---|---|---|---|---|---|---|---|
| Mean (%) | CI (95%) | p-Value | Mean (%) | CI (95%) | p-Value | Mean (%) | CI (95%) | p-Value | |
| Clot | |||||||||
| ZA 4% | 64.40 | 61.75-67.06 | 35.60 | 32.94–38.25 | |||||
| ZA 8% | 55.94 | 46.10–65.78 | 44.06 | 34.22–53.90 | |||||
| HA | |||||||||
| ZA 4% | 15.69 | 4.89–26.48 | a (<0.0001) | 5.26 | 1.80–8.71 | 79.06 | 69.20–88.91 | a (<0.0001) | |
| ZA 8% | 18.65 | 10.29–27.02 | a (<0.0001) | 3.5 | 1.54–5.45 | 77.84 | 68.11–87.58 | a (<0.0001) | |
| HADOX | |||||||||
| ZA 4% | 28.38 | a (<0.0001); b (0.008) | 35.12–50.54 | b (<0.0001) | 28.79 | 24.20–33.38 | b (<0.0001) | ||
| ZA 8% | 33.85 | a (<0.0001); b (0.002) | 36.23–47.88 | b (<0.0001) | 24.10 | 15.30–32.89 | a (0.0002), b (<0.0001) | ||
Disclaimer/Publisher’s Note: The statements, opinions and data contained in all publications are solely those of the individual author(s) and contributor(s) and not of MDPI and/or the editor(s). MDPI and/or the editor(s) disclaim responsibility for any injury to people or property resulting from any ideas, methods, instructions or products referred to in the content. |
© 2022 by the authors. Licensee MDPI, Basel, Switzerland. This article is an open access article distributed under the terms and conditions of the Creative Commons Attribution (CC BY) license (https://creativecommons.org/licenses/by/4.0/).
Share and Cite
Sacco, R.; Sartoretto, S.C.; de Brito Resende, R.F.; de Albuquerque Calasans-Maia, J.; Rossi, A.M.; de Souza Lima, V.H.; de Almeida Barros Mourão, C.F.; Granjeiro, J.M.; Yates, J.; Calasans-Maia, M.D. The Use of Hydroxyapatite Loaded with Doxycycline (HADOX) in Dentoalveolar Surgery as a Risk-Reduction Therapeutic Protocol in Subjects Treated with Different Bisphosphonate Dosages. Medicina 2023, 59, 46. https://doi.org/10.3390/medicina59010046
Sacco R, Sartoretto SC, de Brito Resende RF, de Albuquerque Calasans-Maia J, Rossi AM, de Souza Lima VH, de Almeida Barros Mourão CF, Granjeiro JM, Yates J, Calasans-Maia MD. The Use of Hydroxyapatite Loaded with Doxycycline (HADOX) in Dentoalveolar Surgery as a Risk-Reduction Therapeutic Protocol in Subjects Treated with Different Bisphosphonate Dosages. Medicina. 2023; 59(1):46. https://doi.org/10.3390/medicina59010046
Chicago/Turabian StyleSacco, Roberto, Suelen Cristina Sartoretto, Rodrigo Figueiredo de Brito Resende, Jose de Albuquerque Calasans-Maia, Alexandre Malta Rossi, Victor Hugo de Souza Lima, Carlos Fernando de Almeida Barros Mourão, Jose Mauro Granjeiro, Julian Yates, and Monica Diuana Calasans-Maia. 2023. "The Use of Hydroxyapatite Loaded with Doxycycline (HADOX) in Dentoalveolar Surgery as a Risk-Reduction Therapeutic Protocol in Subjects Treated with Different Bisphosphonate Dosages" Medicina 59, no. 1: 46. https://doi.org/10.3390/medicina59010046
APA StyleSacco, R., Sartoretto, S. C., de Brito Resende, R. F., de Albuquerque Calasans-Maia, J., Rossi, A. M., de Souza Lima, V. H., de Almeida Barros Mourão, C. F., Granjeiro, J. M., Yates, J., & Calasans-Maia, M. D. (2023). The Use of Hydroxyapatite Loaded with Doxycycline (HADOX) in Dentoalveolar Surgery as a Risk-Reduction Therapeutic Protocol in Subjects Treated with Different Bisphosphonate Dosages. Medicina, 59(1), 46. https://doi.org/10.3390/medicina59010046

