Segmental Lung Recruitment in Patients with Bilateral COVID-19 Pneumonia Complicated by Acute Respiratory Distress Syndrome: A Case Report
Abstract
1. Introduction
2. Materials and Methods
2.1. Patients
2.2. Methods
2.3. Statistical Analysis
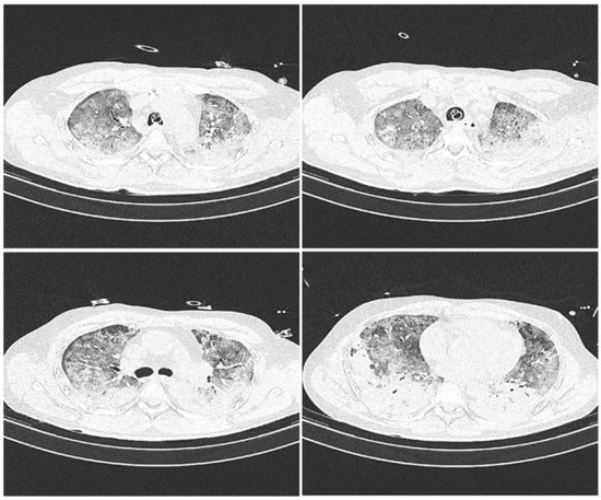
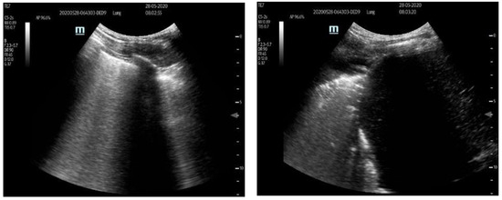
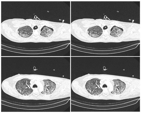
3. Results
4. Discussion
5. Conclusions
Author Contributions
Funding
Institutional Review Board Statement
Informed Consent Statement
Data Availability Statement
Conflicts of Interest
References
- Priyanka; Choudhary, O.P.; Singh, I.; Patra, G. Aerosol transmission of SARS-CoV-2: The unresolved paradox. Travel Med. Infect. Dis. 2020, 37, 101869. [Google Scholar] [CrossRef] [PubMed]
- Chilamakuri, R.; Agarwal, S. COVID-19: Characteristics and Therapeutics. Cells 2021, 10, 206. [Google Scholar] [CrossRef] [PubMed]
- ARDS Definition Task Force; Ranieri, V.M.; Rubenfeld, G.D.; Thompson, B.T.; Ferguson, N.D.; Caldwell, E.; Fan, E.; Camporota, L.; Slutsky, A.S. Acute respiratory distress syndrome: The Berlin Definition. JAMA 2012, 307, 2526–2533. [Google Scholar] [PubMed]
- Fossali, T.; Pavlovsky, B.; Ottolina, D.; Colombo, R.; Basile, M.C.; Castelli, A.; Rech, R.; Borghi, B.; Ianniello, A.; Flor, N.; et al. Effects of Prone Position on Lung Recruitment and Ventilation-Perfusion Matching in Patients with COVID-19 Acute Respiratory Distress Syndrome: A Combined CT Scan/Electrical Impedance Tomography Study. Crit. Care Med. 2022, 50, 723–732. [Google Scholar] [CrossRef] [PubMed]
- Langer, T.; Brioni, M.; Guzzardella, A.; Carlesso, E.; Cabrini, L.; Castelli, G.; Dalla Corte, F.; De Robertis, E.; Favarato, M.; Forastieri, A.; et al. Prone position in intubated, mechanically ventilated patients with COVID-19: A multi-centric study of more than 1000 patients. Crit. Care 2021, 25, 128. [Google Scholar] [CrossRef]
- Ehrmann, S.; Li, J.; Ibarra-Estrada, M.; Perez, Y.; Pavlov, I.; McNicholas, B.; Roca, O.; Mirza, S.; Vines, D.; Garcia-Salcido, R.; et al. Awake Prone Positioning Meta-Trial Group. Awake prone positioning for COVID-19 acute hypoxaemic respiratory failure: A randomised, controlled, multinational, open-label meta-trial. Lancet Respir. Med. 2021, 9, 1387–1395. [Google Scholar] [CrossRef] [PubMed]
- Patel, B.V.; Haar, S.; Handslip, R.; Auepanwiriyakul, C.; Lee, T.M.; Patel, S.; Harston, J.A.; Hosking-Jervis, F.; Kelly, D.; Sanderson, B.; et al. United Kingdom COVID-ICU National Service Evaluation. Natural history, trajectory, and management of mechanically ventilated COVID-19 patients in the United Kingdom. Intensive Care Med. 2021, 47, 549–565. [Google Scholar] [CrossRef] [PubMed]
- Fan, E.; Brodie, D.; Slutsky, A.S. Acute Respiratory Distress Syndrome: Advances in Diagnosis and Treatment. JAMA 2018, 319, 698–710. [Google Scholar] [CrossRef]
- Hodgson, C.L.; Tuxen, D.V.; Davies, A.R.; Bailey, M.J.; Higgins, A.M.; Holland, A.E.; Keating, J.L.; David, V.; Pilcher, D.V.; Westbrook, A.J.; et al. A randomised controlled trial of an open lung strategy with staircase recruitment, titrated PEEP and targeted low airway pressures in patients with acute respiratory distress syndrome. Crit. Care 2011, 1, R133. [Google Scholar] [CrossRef]
- Cavalcanti, A.B.; Suzumura, É.A.; Laranjeira, L.N.; Paisani, D.M.; Damiani, L.P.; Guimarães, H.P.; Romano, E.R.; Regenga, M.M.; Taniguchi, L.N.T.; Teixeira, C.; et al. Effect of Lung Recruitment and Titrated Positive End-Expiratory Pressure (PEEP) vs. Low PEEP on Mortality in Patients with Acute Respiratory Distress Syndrome: A Randomized Clinical Trial. JAMA 2017, 318, 1335–1345. [Google Scholar] [CrossRef]
- Protić, A.; Bura, M.; Juričić, K. A 23-year-old man with left lung atelectasis treated with a targeted segmental recruitment maneuver: A case report. J. Med. Case Rep. 2020, 14, 77. [Google Scholar] [CrossRef] [PubMed]
- Berg, S.; Bittner, E.A.; Berra, L.; Kacmarek, R.M.; Sonny, A. Independent lung ventilation: Implementation strategies and review of literature. World J. Crit. Care Med. 2019, 8, 49–58. [Google Scholar] [CrossRef]
- Alhazzani, W.; Evans, L.; Alshamsi, F.; Møller, M.H.; Ostermann, M.; Prescott, H.C.; Arabi, Y.M.; Loeb, M.; Ng Gong, M.; Fan, E.; et al. Surviving Sepsis Campaign Guidelines on the Management of Adults with Coronavirus Disease 2019 (COVID-19) in the ICU: First Update. Crit. Care Med. 2021, 49, e219–e234. [Google Scholar] [CrossRef] [PubMed]
- de Alencar, J.C.G.; Marchini, J.F.M.; Marino, L.O.; da Costa Ribeiro, S.C.; Bueno, C.G.; da Cunha, V.P.; Lazar Neto, F.; Brandão Neto, R.A.; Souza, H.P.; COVID U. S. P. Registry Team. Lung ultrasound score predicts outcomes in COVID-19 patients admitted to the emergency department. Ann. Intensive Care 2021, 11, 6. [Google Scholar] [CrossRef] [PubMed]
- Stevic, N.; Chatelain, E.; Dargent, A.; Argaud, L.; Cour, M.; Guerin, C. Lung Recruitability Evaluated by Recruitment-to-Inflation Ratio and Lung Ultrasound in COVID-19 Acute Respiratory Distress Syndrome. Am. J. Respir. Crit. Care Med. 2021, 203, 1025–1027. [Google Scholar] [CrossRef] [PubMed]
- Gattinioni, L.; Busana, M.; Camporota, L.; Marini, J.J.; Chiumello, D. COVID-19 and ARDS: The baby lung size matters. Intensive Care Med. 2021, 47, 133–134. [Google Scholar] [CrossRef]
- Guérin, C.; Albert, R.K.; Beitler, J.; Gattinoni, L.; Jaber, S.; Marini, J.J.; Munshi, L.; Papazian, L.; Pesenti, A.; Vieillard-Baron, A.; et al. Prone position in ARDS patients: Why, when, how and for whom. Intensive Care Med. 2020, 46, 2385–2396. [Google Scholar] [CrossRef]
- Liu, J. The Lung Ultrasound Score Cannot Accurately Evaluate the Severity of Neonatal Lung Disease. J. Ultrasound Med. 2020, 39, 1015–1020. [Google Scholar] [CrossRef]
- Kameda, T.; Kamiyama, N.; Kobayashi, H.; Kanayama, Y.; Taniguchi, N. Ultrasound B-line-like artifacts generated with simple experimental models provides clues to solve key issues in B-lines. Ultrasound Med. Biol. 2019, 45, 1617–1626. [Google Scholar] [CrossRef]
- Kameda, T.; Kamiyama, N.; Taniguchi, N. Simple Experimental Models for Elucidating the Mechanism Underlying Vertical Artifacts in Lung Ultrasound: Tools for Revisiting B-Lines. Ultrasound Med. Biol. 2021, 47, 3543–3555. [Google Scholar] [CrossRef]
- Matthias, I.; Panebianco, N.L.; Maltenfort, M.G.; Dean, A.J.; Baston, C. Effect of Machine Settings on Ultrasound Assessment of B-lines. J. Ultrasound Med. 2021, 40, 2039–2046. [Google Scholar] [CrossRef] [PubMed]
- Schmickl, C.N.; Menon, A.A.; Dhokarh, R.; Seth, B.; Schembri, F. Optimizing B-lines on lung ultrasound: An in-vitro to in-vivo pilot study with clinical implications. J. Clin. Monit. Comput. 2020, 34, 277–284. [Google Scholar] [CrossRef] [PubMed]
- Maiello, L.; Ball, L.; Micali, M.; Iannuzzi, F.; Scherf, N.; Hoffmann, R.T.; de Abreu, M.G.; Pelosi, P.; Huhle, R. Automatic Lung Segmentation and Quantification of Aeration in Computed Tomography of the Chest Using 3D Transfer Learning. Front. Physiol. 2022, 12, 725865. [Google Scholar] [CrossRef] [PubMed]
- Lovas, A.; Szakmány, T. Haemodynamic Effects of Lung Recruitment Manoeuvres. Biomed. Res. Int. 2015, 2015, 478970. [Google Scholar] [CrossRef] [PubMed]



| ID | Age | Gender | BW | BH | BMI | DM2 | AH | MV |
|---|---|---|---|---|---|---|---|---|
| 1 | 46 | M | 103 | 173 | 34.3 | NO | YES | 120 |
| 2 | 45 | M | 75 | 170 | 26 | NO | NO | 144 |
| 3 | 47 | M | 110 | 181 | 33.6 | YES | NO | 96 |
| 4 | 44 | F | 90 | 168 | 31.9 | NO | YES | 192 |
| ID | MAP (mmHg) | PULSE (bpm) | ||||||
|---|---|---|---|---|---|---|---|---|
| 0 h | 12 h | 24 h | 48 h | 0 h | 12 h | 24 h | 48 h | |
| 1 | 77 | 108 | 100 | 71 | 113 | 116 | 118 | 93 |
| 2 | 82 | 104 | 115 | 105 | 69 | 74 | 77 | 70 |
| 3 | 82 | 109 | 70 | 87 | 88 | 110 | 99 | 80 |
| 4 | 92 | 86 | 78 | 83 | 100 | 100 | 70 | 70 |
| ID | PaO2/FiO2 (mmHg) | PaCO2 (kPa) | LUS | |||||||||
|---|---|---|---|---|---|---|---|---|---|---|---|---|
| 0 h | 12 h | 24 h | 48 h | 0 h | 12 h | 24 h | 48 h | 0 h | 12 h | 24 h | 48 h | |
| 1 | 108 | 103 | 130 | 145 | 24.4 | 7.5 | 8.2 | 8.9 | 28 | 20 | 19 | 18 |
| 2 | 148 | 185 | 179 | 179 | 6.9 | 7.6 | 6.5 | 7.6 | 26 | 15 | 17 | 19 |
| 3 | 58 | 151 | 125 | 157 | 7.4 | 6.9 | 5.5 | 7.3 | 27 | 20 | 19 | 20 |
| 4 | 56 | 75 | 87 | 103 | 10.4 | 6.3 | 5.3 | 6.1 | 22 | 21 | 25 | 24 |
| ID | PEEP (mmHg) | Pplat (mmHg) | ||||||
|---|---|---|---|---|---|---|---|---|
| 0 h | 12 h | 24 h | 48 h | 0 h | 12 h | 24 h | 48 h | |
| 1 | 16 | 12 | 12 | 12 | 28 | 24 | 23 | 23 |
| 2 | 14 | 14 | 14 | 14 | 24 | 24 | 25 | 24 |
| 3 | 15 | 14 | 14 | 14 | 30 | 30 | 29 | 29 |
| 4 | 14 | 12 | 12 | 12 | 28 | 26 | 26 | 25 |
Disclaimer/Publisher’s Note: The statements, opinions and data contained in all publications are solely those of the individual author(s) and contributor(s) and not of MDPI and/or the editor(s). MDPI and/or the editor(s) disclaim responsibility for any injury to people or property resulting from any ideas, methods, instructions or products referred to in the content. |
© 2023 by the authors. Licensee MDPI, Basel, Switzerland. This article is an open access article distributed under the terms and conditions of the Creative Commons Attribution (CC BY) license (https://creativecommons.org/licenses/by/4.0/).
Share and Cite
Protić, A.; Bura, M.; Šustić, A.; Brusić, J.; Sotošek, V. Segmental Lung Recruitment in Patients with Bilateral COVID-19 Pneumonia Complicated by Acute Respiratory Distress Syndrome: A Case Report. Medicina 2023, 59, 142. https://doi.org/10.3390/medicina59010142
Protić A, Bura M, Šustić A, Brusić J, Sotošek V. Segmental Lung Recruitment in Patients with Bilateral COVID-19 Pneumonia Complicated by Acute Respiratory Distress Syndrome: A Case Report. Medicina. 2023; 59(1):142. https://doi.org/10.3390/medicina59010142
Chicago/Turabian StyleProtić, Alen, Matej Bura, Alan Šustić, Josip Brusić, and Vlatka Sotošek. 2023. "Segmental Lung Recruitment in Patients with Bilateral COVID-19 Pneumonia Complicated by Acute Respiratory Distress Syndrome: A Case Report" Medicina 59, no. 1: 142. https://doi.org/10.3390/medicina59010142
APA StyleProtić, A., Bura, M., Šustić, A., Brusić, J., & Sotošek, V. (2023). Segmental Lung Recruitment in Patients with Bilateral COVID-19 Pneumonia Complicated by Acute Respiratory Distress Syndrome: A Case Report. Medicina, 59(1), 142. https://doi.org/10.3390/medicina59010142

