Hemostatic Powders in Non-Variceal Upper Gastrointestinal Bleeding: The Open Questions
Abstract
1. Introduction
2. Type, Modality of Action, and Application of Hemostatic Powder
2.1. Pros
2.2. Cons
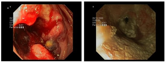
- Clogging of the delivery catheter has been reported [16] during the release of TC-325, as it coagulates when in contact with fresh blood. During an emergency endoscopy with active GIB, it is necessary to aspirate blood from the lumen of the digestive tract, and the presence of blood in the working channel may determine the coagulation of HP, causing occlusion of the catheter. This issue may be overcome by a prolonged insufflation following blood aspiration to dry the working channel immediately before the spraying of HP [17]. Clogging seems to be infrequent (3.6%) with UI-EWD due to the system of delivery adopted [18]. Following the application of HP, the visibility of the target lesion is no longer guaranteed as the HP may obscure the endoscopic view.
- TC-325 has a high cost (US list price of USD 2500 in November 2020); this is the reason guidelines suggest that, in countries such as the United States, TC-325 should not be the initial modality used if other therapies can be readily applied [19].
3. Fields of Application of Hemostatic Powder in Nvugib and Evidence on Short- and Long-Term Efficacy
4. Open Questions
4.1. Peptic-Ulcer-Related NVUGIB: HP Only as Rescue Therapy and Combination Therapy or Also as Monotherapy?
4.2. Is HP a Possible Gold Standard in Malignancy-Related NVUGIB?
5. Conclusions
Author Contributions
Funding
Institutional Review Board Statement
Informed Consent Statement
Data Availability Statement
Conflicts of Interest
References
- Szura, M.; Pasternak, A. Upper non-variceal gastrointestinal bleeding—Review the effectiveness of endoscopic hemostasis methods. World J. Gastrointest. Endosc. 2015, 7, 1088–1095. [Google Scholar] [CrossRef]
- Hearnshaw, S.A.; Logan, R.F.A.; Lowe, D.; Travis, S.P.L.; Murphy, M.F.; Palmer, K.R. Acute upper gastrointestinal bleeding in the UK: Patient characteristics, diagnoses and outcomes in the 2007 UK audit. Gut 2011, 60, 1327–1335. [Google Scholar] [CrossRef]
- Fukuda, S.; Shimodaira, Y.; Watanabe, K.; Takahashi, S.; Sugawara, K.; Suzuki, Y.; Watanabe, N.; Koizumi, S.; Matsuhashi, T.; Iijima, K. Risks for rebleeding and in-hospital mortality after gastrointestinal bleeding in a tertiary referral center in Japan. Digestion 2020, 101, 31–37. [Google Scholar] [CrossRef]
- Schatz, R.A.; Rockey, D.C. Gastrointestinal bleeding due to gastrointestinal tract malignancy: Natural history, management, and outcomes. Dig. Dis. Sci. 2017, 62, 491–501. [Google Scholar] [CrossRef]
- Sheibani, S.; Kim, J.J.; Chen, B.; Park, S.; Saberi, B.; Keyashian, K.; Buxbaum, J.; Laine, L. Natural history of acute upper GI bleeding due to tumours: Short-term success and long-term recurrence with or without endoscopic therapy. Aliment. Pharmacol. Ther. 2013, 38, 144–150. [Google Scholar] [CrossRef]
- Kim, Y.I.; Choi, I.J. Endoscopic Management of Tumor Bleeding from Inoperable Gastric Cancer. Clin. Endosc. 2015, 48, 121–127. [Google Scholar] [CrossRef]
- Savides, T.J.; Jensen, D.M.; Cohen, J.; Randall, G.M.; Kovacs, T.O.; Pelayo, E.; Cheng, S.; Jensen, M.E.; Hsieh, H.Y. Severe upper gastrointestinal tumor bleeding: Endoscopic findings, treatment, and outcome. Endoscopy 1996, 28, 244–248. [Google Scholar] [CrossRef]
- Bustamante-Balén, M.; Plumé, G. Role of hemostatic powders in the endoscopic management of gastrointestinal bleeding. World J. Gastrointest. Pathophysiol. 2014, 5, 284–292. [Google Scholar] [CrossRef]
- Chen, Y.I.; Barkun, A.N. Hemostatic powders in gastrointestinal bleeding: A systematic review. Gastrointest. Endosc. Clin. N Am. 2015, 25, 535–552. [Google Scholar] [CrossRef]
- Polymer Technology. Available online: https://endoclot.com/technology.html (accessed on 4 January 2023).
- Park, J.S.; Kim, H.K.; Shin, Y.W.; Kwon, K.S.; Lee, D.H. Novel hemostatic adhesive powder for nonvariceal upper gastrointestinal bleeding. Endosc. Int. Open 2019, 7, e1763–e1767. [Google Scholar] [CrossRef]
- Jiang, S.X.; Chahal, D.; Ali-Mohamad, N.; Kastrup, C.; Donnellan, F. Hemostatic powders for gastrointestinal bleeding: A review of old, new, and emerging agents in a rapidly advancing field. Endosc. Int. Open 2022, 10, E1136–E1146. [Google Scholar] [CrossRef]
- Bang, B.W.; Lee, D.H.; Kim, H.K.; Kwon, K.S.; Shin, Y.W.; Hong, S.J.; Moon, J.H. CEGP-003 Spray has a similar hemostatic effect to epinephrine injection in cases of acute upper gastrointestinal bleeding. Dig. Dis. Sci. 2018, 63, 3026–3032. [Google Scholar] [CrossRef]
- Available online: https://www.accessdata.fda.gov/cdrh_docs/reviews/DEN170015.pdf (accessed on 4 January 2023).
- Available online: https://www.accessdata.fda.gov/cdrh_docs/pdf19/K190677.pdf (accessed on 4 January 2023).
- Barkun, A. New topical hemostatic powders in endoscopy. Gastroenterol. Hepatol. 2013, 9, 744–746. [Google Scholar]
- Paoluzi, O.A.; Cardamone, C.; Aucello, A.; Neri, B.; Grasso, E.; Giannelli, M.; Di Iorio, L.; Monteleone, G.; Del Vecchio Blanco, G. Efficacy of hemostatic powders as monotherapy or rescue therapy in gastrointestinal bleeding related to neoplastic or non-neoplastic lesions. Scand. J. Gastroenterol. 2021, 56, 1506–1513. [Google Scholar] [CrossRef]
- Park, J.S.; Bang, B.W.; Hong, S.J.; Lee, E.; Kwon, K.S.; Kim, H.K.; Shin, Y.W.; Lee, D.H. Efficacy of a novel hemostatic adhesive powder in patients with refractory upper gastrointestinal bleeding: A pilot study. Endoscopy 2019, 51, 458–462. [Google Scholar] [CrossRef]
- Laine, L.; Barkun, A.N.; Saltzman, J.R.; Martel, M.; Leontiadis, G.I. ACG clinical guideline: Upper gastrointestinal and ulcer bleeding. Am. J. Gastroenterol. 2021, 116, 899–917. [Google Scholar] [CrossRef]
- Haddara, S.; Jacques, J.; Lecleire, S.; Branche, J.; Leblanc, S.; Le Baleur, Y.; Privat, J.; Heyries, L.; Bichard, P.; Granval, P.; et al. A novel hemostatic powder for upper gastrointestinal bleeding: A multicenter study (the “GRAPHE” registry). Endoscopy 2016, 48, 1084–1095. [Google Scholar] [CrossRef]
- Rodriguez de Santiago, E.; Burgos-Santamaria, D.; Perez-Carazo, L.; Brullet, E.; Ciriano, L.; Riu Pons, F.; de Jorge Turrión, M.A.; Prados, S.; Pérez-Corte, D.; Becerro-Gonzalez, I.; et al. Hemostatic spray powder TC-325 for GI bleeding in a nationwide study: Survival and predictors of failure via competing risks analysis. Gastrointest. Endosc. 2019, 90, 581–590.e6. [Google Scholar] [CrossRef]
- Alzoubaidi, D.; Hussein, M.; Rusu, R.; Napier, D.; Dixon, S.; Rey, J.W.; Steinheber, C.; Jameie-Oskooei, S.; Dahan, M.; Hayee, B.; et al. Outcomes from an international multicenter registry of patients with acute gastrointestinal bleeding undergoing endoscopic treatment with Hemospray. Dig. Endosc. 2020, 32, 96–105. [Google Scholar] [CrossRef]
- Chahal, D.; Lee, J.G.; Ali-Mohamad, N.; Donnellan, F. High rate of re-bleeding after application of Hemospray for upper and lower gastrointestinal bleeds. Dig. Liver Dis. 2020, 52, 768–772. [Google Scholar] [CrossRef]
- Sung, J.J.Y.; Luo, D.; Wu, J.C.Y.; Ching, J.Y.L.; Chan, F.K.L.; Lau, J.Y.W.; Mack, S.; Ducharme, R.; Okolo, P.; Canto, M.; et al. Early clinical experience of the safety and effectiveness of Hemospray in achieving hemostasis in patients with acute peptic ulcer bleeding. Endoscopy 2011, 43, 291–295. [Google Scholar] [CrossRef]
- Holster, I.L.; Kuipers, E.J.; Tjwa, E.T.T.L. Hemospray in the treatment of upper gastrointestinal hemorrhage in patients on antithrombotic therapy. Endoscopy 2013, 45, 63–66. [Google Scholar] [CrossRef]
- Leblanc, S.; Vienne, A.; Dhooge, M.; Coriat, R.; Chaussade, S.; Prat, F. Early experience with a novel hemostatic powder used to treat upper GI bleeding related to malignancies or after therapeutic interventions (with videos). Gastrointest. Endosc. 2013, 78, 169–175. [Google Scholar] [CrossRef]
- Smith, L.A.; Stanley, A.J.; Bergman, J.J.; Kiesslich, R.; Hoffman, A.; Tjwa, E.T.; Kuipers, E.J.; von Holstein, C.S.; Oberg, S.; Brullet, E.; et al. Hemospray application in nonvariceal upper gastrointestinal bleeding: Results of the Survey to Evaluate the Application of Hemospray in the Luminal Tract. J. Clin. Gastroenterol. 2014, 48, e89–e92. [Google Scholar] [CrossRef]
- Sulz, M.C.; Frei, R.; Meyenberger, C.; Bauerfeind, P.; Semadeni, G.M.; Gubler, C. Routine use of Hemospray for gastrointestinal bleeding: Prospective two-center experience in Switzerland. Endoscopy 2014, 46, 619–624. [Google Scholar] [CrossRef]
- Yau, A.H.L.; Ou, G.; Galorport, C.; Amar, J.; Bressler, B.; Donnellan, F.; Ko, H.H.; Lam, E.; Enns, R.A. Safety and Efficacy of Hemospray® in Upper Gastrointestinal Bleeding. Can. J. Gastroenterol. Hepatol. 2014, 28, 72–76. [Google Scholar] [CrossRef]
- Chen, Y.-I.; Barkun, A.; Nolan, S. Hemostatic powder TC-325 in the management of upper and lower gastrointestinal bleeding: A two-year experience at a single institution. Endoscopy 2015, 47, 167–171. [Google Scholar] [CrossRef]
- Giles, H.; Lal, D.; Gerred, S.; Casey, P.; Patrick, A.; Luo, D.; Ogra, R. Affiliations expand. Efficacy and safety of TC-325 (Hemospray™) for non-variceal upper gastrointestinal bleeding at Middle-more Hospital: The early New Zealand experience. N. Z. Med. J. 2016, 129, 38–43. [Google Scholar]
- Sinha, R.; Lockman, K.A.; Church, N.I.; Plevris, J.N.; Hayes, P.C. The use of hemostatic spray as an adjunct to conventional hemostatic measures in high-risk nonvariceal upper GI bleeding (with video). Gastrointest. Endosc. 2016, 84, 900–906.e3. [Google Scholar] [CrossRef]
- Arena, M.; Masci, E.; Eusebi, L.H.; Iabichino, G.; Mangiavillano, B.; Viaggi, P.; Morandi, E.; Fanti, L.; Granata, A.; Traina, M.; et al. Hemospray for treatment of acute bleeding due to upper gastrointestinal tumours. Dig. Liver Dis. 2017, 49, 514–517. [Google Scholar] [CrossRef]
- Cahyadi, O.; Bauder, M.; Meier, B.; Caca, K.; Schmidt, A. Effectiveness of TC-325 (Hemospray) for treatment of diffuse or refractory upper gastrointestinal bleeding—A single center experience. Endosc. Int. Open 2017, 05, E1159–E1164. [Google Scholar] [CrossRef] [PubMed]
- Hagel, A.F.; Albrecht, H.; Nägel, A.; Vitali, F.; Vetter, M.; Dauth, C.; Neurath, M.F.; Raithel, M. The Application of Hemospray in gastrointestinal bleeding during emergency endoscopy. Gastroenterol. Res. Pract. 2017, 2017, e3083481. [Google Scholar] [CrossRef]
- Pittayanon, R.; Rerknimitr, R.; Barkun, A. Prognostic factors affecting outcomes in patients with malignant GI bleeding treated with a novel endoscopically delivered hemostatic powder. Gastrointest. Endosc. 2018, 87, 994–1002. [Google Scholar] [CrossRef] [PubMed]
- Ramírez-Polo, A.I.; Casal-Sánchez, J.; Hernández-Guerrero, A.; Castro-Reyes, L.M.; Yáñez-Cruz, M.; De Giau-Triulzi, L.F.; Vinageras-Barroso, J.; Téllez-Ávila, F.I. Treatment of gastrointestinal bleeding with hemostatic powder (TC-325): A multicenter study. Surg. Endosc. 2019, 33, 2349–2356. [Google Scholar] [CrossRef]
- Meng, Z.W.; Marr, K.J.; Mohamed, R.; James, P.D. Long-term effectiveness, safety and mortality associated with the use of TC-325 for malignancy-related upper gastrointestinal bleeds: A multicentre retrospective study. J. Can. Assoc. Gastroenterol. 2019, 2, 91–97. [Google Scholar] [CrossRef] [PubMed]
- Baracat, F.I.; de Moura, D.T.H.; Brunaldi, V.O.; Tranquillini, C.V.; Baracat, R.; Sakai, P.; Guimarães Hourneaux de Moura, E. Randomized controlled trial of hemostatic powder versus endoscopic clipping for non-variceal upper gastrointestinal bleeding. Surg. Endosc. 2020, 34, 317–324. [Google Scholar] [CrossRef]
- Chen, Y.; Wyse, J.; Lu, Y.; Martel, M.; Barkun, A.N. TC-325 hemostatic powder versus current standard of care in managing malignant GI bleeding: A pilot randomized clinical trial. Gastrointest. Endosc. 2020, 91, 321–328.e1. [Google Scholar] [CrossRef]
- Hussein, M.; Alzoubaidi, D.; Lopez, M.-F.; Weaver, M.; Ortiz-Fernandez-Sordo, J.; Bassett, P.; Rey, J.W.; Hayee, B.H.; Despott, E.; Murino, A.; et al. Hemostatic spray powder TC-325 in the primary endoscopic treatment of peptic ulcer-related bleeding: Multicenter international registry. Endoscopy 2021, 53, 36–43. [Google Scholar] [CrossRef]
- Becq, A.; Houdeville, C.; Tran Minh, M.-L.; Steuer, N.; Danan, D.; Guillaumot, M.A.; Ali, E.A.; Barret, M.; Amiot, A.; Carbonell, N.; et al. Experience with the use of a hemostatic powder in 152 patients undergoing urgent endoscopy for gastrointestinal bleeding. Clin. Res. Hepatol. Gastroenterol. 2021, 45, 101558. [Google Scholar] [CrossRef]
- Hussein, M.; Alzoubaidi, D.; O’Donnell, M.; de la Serna, A.; Bassett, P.; Varbobitis, I.; Hengehold, T.; Ortiz Fernandez-Sordo, J.; Rey, J.W.; Hayee, B.; et al. Hemostatic powder TC-325 treatment of malignancy-related upper gastrointestinal bleeds: International registry outcomes. J. Gastroenterol. Hepatol. 2021, 36, 3027–3032. [Google Scholar] [CrossRef]
- Kwek, B.E.A.; Ang, T.L.; Ong, P.L.J.; Tan, Y.L.J.; Ang, S.W.D.; Law, N.M.; Thurairajah, P.H.; Fock, K.M. TC-325 versus the conventional combined technique for endoscopic treatment of peptic ulcers with high-risk bleeding stigmata: A randomized pilot study. J. Dig. Dis. 2017, 18, 323–329. [Google Scholar] [CrossRef]
- Vitali, F.; Naegel, A.; Atreya, R.; Zopf, S.; Neufert, C.; Siebler, J.; Neurath, M.F.; Rath, T. Comparison of Hemospray® and EndoclotTM for the treatment of gastrointestinal bleeding. World J. Gastroenterol. 2019, 25, 1592–1602. [Google Scholar] [CrossRef] [PubMed]
- Lau, J.Y.W.; Pittayanon, R.; Kwek, A.; Tang, R.S.; Chan, H.; Rerknimitr, R.; Lee, J.; Ang, T.L.; Suen, B.Y.; Yu, Y.Y.; et al. Comparison of a hemostatic powder and standard treatment in the control of active bleeding from upper nonvariceal lesions: A multicenter, noninferiority, randomized trial. Ann. Intern. Med. 2022, 175, 171–178. [Google Scholar] [CrossRef] [PubMed]
- Sung, J.J.; Moreea, S.; Dhaliwal, H.; Moffatt, D.C.; Ragunath, K.; Ponich, T.; Barkun, A.N.; Kuipers, E.J.; Bailey, R.; Donnellan, F.; et al. Use of topical mineral powder as monotherapy for treatment of active peptic ulcer bleeding. Gastrointest. Endosc. 2022, 96, 28–35.e1. [Google Scholar] [CrossRef] [PubMed]
- Martins, B.C.; Abnader Machado, A.; Scomparin, R.C.; Paulo, G.A.; Safatle-Ribeiro, A.; Naschold Geiger, S.; Lenz, L.; Lima, M.S.; Pennacchi, C.; Ribeiro, U.; et al. TC-325 hemostatic powder in the management of upper gastrointestinal malignant bleeding: A randomized controlled trial. Endosc. Int. Open. 2022, 10, E1350–E1357. [Google Scholar] [CrossRef] [PubMed]
- Beg, S.; Al-Bakir, I.; Bhuva, M.; Patel, J.; Fullard, M.; Leahy, A. Early clinical experience of the safety and efficacy of EndoClot in the management of non-variceal upper gastrointestinal bleeding. Endosc. Int. Open 2015, 03, E605–E609. [Google Scholar] [CrossRef]
- Prei, J.C.; Barmeyer, C.; Bürgel, N.; Daum, S.; Epple, H.J.; Günther, U.; Maul, J.; Siegmund, B.; Schumann, M.; Tröger, H.; et al. EndoClot polysaccharide hemostatic system in nonvariceal gastrointestinal bleeding: Results of a prospective multicenter observational pilot study. J. Clin. Gastroenterol. 2016, 50, e95–e100. [Google Scholar] [CrossRef]
- Kim, Y.J.; Park, J.C.; Kim, E.H.; Shin, S.K.; Kil Lee, S.; Lee, Y.C. Hemostatic powder application for control of acute upper gastrointestinal bleeding in patients with gastric malignancy. Endosc. Int. Open 2018, 06, E700–E705. [Google Scholar] [CrossRef]
- Park, J.C.; Kim, Y.J.; Kim, E.H.; Lee, J.; Yang, H.S.; Kim, E.H.; Hahn, K.Y.; Shin, S.K.; Lee, S.K.; Lee, Y.C. Effectiveness of the polysaccharide hemostatic powder in non-variceal upper gastrointestinal bleeding: Using propensity score matching. J. Gastroenterol. Hepatol. 2018, 33, 1500–1506. [Google Scholar] [CrossRef]
- Hagel, A.F.; Raithel, M.; Hempen, P.; Preclik, G.; Dauth, W.; Neurath, M.F.; Gschossman, J.; Konturek, P.C.; Albrecht, H. Multicenter analysis of endoclot as hemostatic powder in different endoscopic settings of the upper gastrointestinal tract. J. Physiol. Pharmacol. 2020, 71, 657–664. [Google Scholar]
- Kurt, M.; Akdogan, M.; Onal, I.K.; Kekilli, M.; Arhan, M.; Shorbagi, A.; Aksu, S.; Kurt, O.K.; Haznedaroglu, I.C. Endoscopic topical application of Ankaferd Blood Stopper for neoplastic gastrointestinal bleeding: A retrospective analysis. Dig. Liver Dis. 2010, 42, 196–199. [Google Scholar] [CrossRef] [PubMed]
- Karaman, A.; Baskol, M.; Gursoy, S.; Torun, E.; Yurci, A.; Çelikbilek, M.; Guven, K.; Ozbakir, O.; Yucesoy, M. Endoscopic Topical Application of Ankaferd Blood Stopper® in Gastrointestinal Bleeding. J. Altern. Complement. Med. 2012, 18, 65–68. [Google Scholar] [CrossRef] [PubMed]
- Gungor, G.; Goktepe, M.H.; Biyik, M.; Polat, I.; Tuna, T.; Ataseven, H.; Demir, A. Efficacy of ankaferd blood stopper application on non-variceal upper gastrointestinal bleeding. World, J. Gastrointest. Endosc. 2012, 4, 556–560. [Google Scholar] [CrossRef]
- Shin, J.; Cha, B.; Park, J.-S.; Ko, W.; Kwon, K.S.; Lee, J.-W.; Kim, H.K.; Shin, Y.W. Efficacy of a novel hemostatic adhesive powder in patients with upper gastrointestinal tumor bleeding. BMC Gastroenterol. 2021, 21, 40. [Google Scholar] [CrossRef]
- Facciorusso, A.; Takahashi, M.; Postula, C.E.; Buccino, V.R.; Muscatiello, N. Efficacy of hemostatic powders in upper gastrointestinal bleeding: A systematic review and meta-analysis. Dig. Liver Dis. 2019, 51, 1633–1640. [Google Scholar] [CrossRef] [PubMed]
- Mutneja, H.; Bhurwal, A.; Go, A.; Sidhu, G.S.; Arora, S.; Attar, B.M. Efficacy of Hemospray in Upper Gastrointestinal Bleeding: A Systematic Review and Meta-Analysis. J. Gastrointest. Liver Dis. 2020, 29, 69–76. [Google Scholar] [CrossRef] [PubMed]
- Sung, J.J.Y.; Chiu, P.; Chan, F.K.L.; Lau, J.Y.; Goh, K.-L.; Ho, L.H.; Jung, H.-Y.; Sollano, J.D.; Gotoda, T.; Reddy, N.; et al. Asia-Pacific working group consensus on non-variceal upper gastrointestinal bleeding: An update 2018. Gut 2018, 67, 1757–1768. [Google Scholar] [CrossRef] [PubMed]
- Gralnek, I.M.; Stanley, A.J.; Morris, A.J.; Camus, M.; Lau, J.; Lanas, A.; Laursen, S.B.; Radaelli, F.; Papanikolaou, I.S.; Gonçalves, T.C.; et al. Endoscopic diagnosis and management of nonvariceal upper gastrointestinal hemorrhage (NVUGIH): European Society of Gastrointestinal Endoscopy (ESGE) Guideline—Update 2021. Endoscopy 2021, 53, 300–332. [Google Scholar] [CrossRef]
- Sung, J.J.; Barkun, A.; Kuipers, E.J.; Mössner, J.; Jensen, D.M.; Stuart, R.; Lau, J.Y.; Ahlbom, H.; Kilhamn, J.; Lind, T.; et al. Intravenous esomeprazole for prevention of recurrent peptic ulcer bleeding: A randomized trial. Ann. Intern. Med. 2009, 150, 455–464. [Google Scholar] [CrossRef]
- Laine, L.; McQuaid, K.R. Endoscopic Therapy for Bleeding Ulcers: An Evidence-Based Approach Based on Meta-Analyses of Randomized Controlled Trials. Clin. Gastroenterol. Hepatol. 2009, 7, 33–47. [Google Scholar] [CrossRef]
- Roberts, S.E.; Button, L.A.; Williams, J.G. Prognosis following Upper Gastrointestinal Bleeding. PLoS ONE 2012, 7, e49507. [Google Scholar] [CrossRef] [PubMed]
- Akhtar, K.; Byrne, J.P.; Bancewicz, J.; Attwood, S.E. Argon beam plasma coagulation in the management of cancers of the esophagus and stomach. Surg. Endosc. 2000, 14, 1127–1130. [Google Scholar] [CrossRef]
- Ofosu, A.; Ramai, D.; Latson, W.; Adler, D.G. Endoscopic management of bleeding gastrointestinal tumors. Ann. Gastroenterol. 2019, 32, 346–351. [Google Scholar] [CrossRef] [PubMed]
- Karna, R.; Deliwala, S.; Ramgopal, B.; Mohan, B.P.; Kassab, L.; Becq, A.; Dhawan, M.; Adler, D.G. Efficacy of topical hemostatic agents in malignancy-related gastrointestinal bleeding: A systematic review and meta-analysis. Gastrointest. Endosc. 2022, in press. [CrossRef]
- Da Costa Martins, B.; Scomparin, R.C.; Bento, L.H.; Pires, C.B.; Pennacchi, C.; Lenz, L.; Franco, M.C.; Kawaguti, F.S.; Safatle-Ribeiro, A.V.; Ribeiro, U. Preliminary results of a randomized controlled trial comparing hemostatic powder versus optimal clinical treatment in the management of gastro-intestinal bleeding from malignancy. Gastrointest. Endosc. 2018, 87, AB415–AB416. [Google Scholar] [CrossRef]
- Bazarbashi, A.N.; Al Obaid, L.; McCarty, T.R.; Hathorn, K.; Aihara, H.; Thompson, C.C. Endoscopic he-mostatic powder for the treatment of malignancy related gastrointestinal bleeding: A single cen-ter US experience. Gastrointest. Endosc. 2020, 91, AB48. [Google Scholar] [CrossRef]
- Disney, B.; Kurup, A.; Muhammad, H.; Ishaq, S. PTU-031 Hemospray use for the management of acute bleeding from upper gastrointestinal cancer: The russells hall experience. Gut 2015, 64, A71–A72. [Google Scholar] [CrossRef]



| Trade Name | Market Area | Composition | Action |
|---|---|---|---|
| Hemospray | Canada, Europe, USA | inert mineral | absorption of water, promotion of clotting, coagulation cascade activation, mechanical tamponade |
| Endoclot | Turkey, Europe, Malaysia Australia | starch-derived polysaccharides | absorption of water promotion of clotting, coagulation cascade activation |
| Ankaferd Blood Stopper | Turkey | herbal ingredients | protein network promoting erythrocyte aggregation interaction with blood protein |
| Nexpowder | South Korea, Europe, USA | aldehyde dextran and succinic acid modified ε-poly (l-lysine) | adhesive hydrogel with multiple crosslinks within the hydrogel and between the hydrogel and tissue |
| CGBio | South Korea | hydroxyethylcellulose, EGF | adhesive seal in which the EGF promotes wound healing |
| Author, Year (Reference) | Country | Design | Hemostatic Powder | Indication | Forrest Ia/Ib (%) | Application | Hemostasis |
|---|---|---|---|---|---|---|---|
| Sung, 2011 [24] | Hong Kong | PC, N = 20 | TC-325 | PUD | 5/95 | Mono | I: 95% D: 95% (30 days) |
| Holster, 2013 [25] | The Netherlands | PC, N = 16 | TC-325 | MR-GIB, PUD, Other | 31/25 | Mono, Rescue | I: 81% D: 49.7% (7 days) |
| Leblanc, 2013 [26] | France | CS, N = 17 | TC-325 | MR-GIB, Other | NA | Mono, Rescue | I: 100% D: 88% (7 days) |
| Smith, 2014 [27] | France, Denmark, Germany Italy, Spain, Sweden, UK, The Netherlands | RC, N = 63 | TC-325 | MR-GIB, PUD, Other | 17/25 | Mono, Combo | I: 85% D: 70% (7 days) |
| Sulz, 2014 [28] | Switzerland | CS, N = 16 | TC-325 | PUD, Other | 0/25 | Mono, Rescue | I: 94% D: 81% (7 days) |
| Yau, 2014 [29] | Canada | RC, N = 19 | TC-325 | UGIB | 21/57 | Mono, Rescue | I: 93% D: 61% (7 days) |
| Chen, 2015 [30] | Canada | RC, N = 66 | TC-325 | UGIB, LGIB | 7/23 | Mono, Rescue | I: 99% D: 84% (30 days) |
| Giles, 2016 [31] | New Zealand | CS, N = 36 | TC-325 | PUD, Other | 20/60 | Mono, Rescue | I: 100% D: 89% (7 days) |
| Haddara, 2016 [20] | France | PC, N = 202 | TC-325 | MR-GIB, PUD, Other | 7/21 | Mono, Rescue | I: 96.5% D: 63.2% (30 days) |
| Sinha, 2016 [32] | UK | RC, N = 20 | TC-325 | PUD | 60/40 | Rescue, Combo | I: 92–100% D: 75–83% (7 days) |
| Arena, 2017 [33] | Italy | RC, N = 15 | TC-325 | MR-UGIB | NA | Mono | I: 93% D: 72% (6 days) |
| Cahyadi, 2017 [34] | Germany | RC, N = 52 | TC-325 | MR-GIB, PUD, Other | 0/39 | Mono, Rescue | I: 98% D: 51% (7 days) |
| Hagel, 2017 [35] | Germany | RC, N = 25 | TC-325 | MR-GIB, PUD, Other | ND | Mono, Rescue | I: 96% D: 60% (30 days) |
| Pittayanon, 2018 [36] | Canada | RC, N = 86 | TC-325 | MR-GIB | 1/94 | Mono, Rescue | I: 98% D: 72% (30 days) |
| Ramírez-Polo, 2019 [37] | Mexico | RC, N = 81 | TC-325 | MR-GIB, PUD, Other | ND | Mono, Combo | I: 99% D: 79% (5 days) |
| Rodriguez De Santiago, 2019 [21] | Spain | RC, N = 261 | TC-325 | MR-GIB, PUD, Other | 25/64 | Mono, Rescue | I: 93% D: 73% (30 days) |
| Meng, 2019 [38] | Canada | RC, N = 25 | TC-325 | MR-GIB | 8/76 | Mono, Rescue | I: 88%, D: 50% (14 days) |
| Alzoubaidi, 2020 [22] | France, Germany UK | PC, N = 314 | TC-325 | MR-GIB, PUD, Other | 17/60 | Mono, Combo, Rescue | I: 89% D:79% (3 days) |
| Baracat, 2020 [39] | Brazil | RCT, N = 19 N = 20 | TC-325 CHEP | MR-GIB, PUD, Other | 16/84 5/95 | Mono, Combo | I: 100% D: 74% (7 days) I: 90% D: 75% (7 days) |
| Chahal, 2020 [23] | Canada | RC, N = 86 | TC-325 | MR-GIB, PUD, Other | 14/53 | Mono, Combo | I: 88% D: 55% (30 days) |
| Chen, 2020 [40] | Canada | RCT, N = 10 N = 10 | TC-325 CHEP | UGIB, LGIB | NA | Mono, Rescue | I: 90% D: 70% (180 days) I: 40% D: NA |
| Hussein, 2021 [41] | France, Germany UK, USA | PC, N = 202 | TC-325 | PUD | 19/58 | Mono, Combo, Rescue | I: 88% D: 71% (30 days) |
| Becq, 2021 [42] | France | RC, N = 152 | TC-325 | UGIB, LGIB | ND | Mono, Rescue | I: 79% D: 39% (30 days) |
| Hussein, 2021 [43] | France, Germany Spain, UK, USA | PC, N = 105 | TC-325 | MR-GIB | NA | Mono, Combo, Rescue | I: 97% D: 82% (30 days) |
| Kwek, 2017 [44] | Singapore | RCT, N = 20 | TC-325 CHEP | PUD | 10/40 0/33 | Mono | I: 90% D: 67% (4 weeks) I: 100% D: 90% (4 weeks) |
| Vitali, 2019 [45] | Germany | PC, N = 154 | TC-325 EndoClot | MR-GIB, PUD, Other | 11/66 | Mono, Rescue | I: 81% D: 67% (30 days) I: 81% D: 56% (30 days) |
| Paoluzi, 2021 [17] | Italy | PC, N = 43 | TC-325, Endoclot CHEP | MR-GIB, PUD | 16/84 22/78 | Mono, Rescue | I: 86–100% D: 45–86% (30 days) I: 42–78%; D: 33–69% (30 days) |
| Lau, 2022 [46] | Hong Kong, Thailand, Singapore | RCT, N = 224 | TC-325 CHEP | MR-GIB, PUD, Other | 8/92 11/89 | Mono | I: 93%, D: 90% (30 days) I: 91% D: 81% (30 days) |
| Sung, 2022 [47] | Canada, Hong Kong, The Netherlands, UK | PC, N = 67 | TC-325 | PUD | 16/84 | Mono | I: 91% D: 78% (30 days) |
| Martins, 2022 [48] | Brazil | RCT, N = 59 | TC-325 CHEP | MR-UGIB | NA | Mono | I: 100% D: 68% (30 days) I: 100% D: 80% (30 days) |
| Beg, 2015 [49] | UK | RC, N = 21 | EndoClot | PUD, Other | 24/76 | Rescue | I: 100% D: 95% (30 days) |
| Prei, 2016 [50] | Germany | PC, N = 70 | EndoClot | UGIB, LGIB | 1/66 | Mono, Rescue | I: 83% D: 72% (3 days) |
| Kim, 2018 [51] | South Korea | RC, N = 12 | EndoClot | MR-GIB | NA | Mono, Rescue | I: 100% D: 84% (3–5 days) |
| Park, 2018 [52] | South Korea | CC, N = 30 | EndoClot | UGIB | 17/70 | Mono, Combo | I: 97% D: 94% (30 days) |
| Hagel, 2020 [53] | Germany | RC, N = 43 | EndoClot | UGIB | ND | Mono, Rescue | I: 100% D: 76% (1 day) |
| Kurt, 2010 [54] | Turkey | CS, N = 10 | ABS | MR-GIB | NA | Mono | I: 100% D: 100% (7–48 days) |
| Karaman, 2012 [55] | Turkey | PC, N = 30 | ABS | UGIB | ND | Mono, Combo | I: 87% D: 100% (7 days) |
| Gungor, 2012 [56] | Turkey | PC, N = 26 | ABS | UGIB | 15/85 | Mono, Combo | I: 73% D: 53% (2 days) |
| Bang, 2018 [13] | South Korea | RCT, N = 35 | CEGP-003 CHEP | UGIB | 0/86 0/81 | Mono | I: 89% D: 86% (3 days) |
| Park, 2019 [18] | South Korea | PC, N = 17 | UI-EWD | UGIB | 12/88 | Rescue | I: 94% D: 75% (30 days) |
| Park, 2019 [11] | South Korea | RC, N = 56 | UI-EWD | UGIB | 0/64 | Mono | I: 96% D: 92% (7 days) |
| Shin, 2021 [57] | South Korea | RC, N = 41 | UI-EWD | MR-GIB | 7l-93 | Mono, Rescue | I: 97% D: 67% (28 days) |
Disclaimer/Publisher’s Note: The statements, opinions and data contained in all publications are solely those of the individual author(s) and contributor(s) and not of MDPI and/or the editor(s). MDPI and/or the editor(s) disclaim responsibility for any injury to people or property resulting from any ideas, methods, instructions or products referred to in the content. |
© 2023 by the authors. Licensee MDPI, Basel, Switzerland. This article is an open access article distributed under the terms and conditions of the Creative Commons Attribution (CC BY) license (https://creativecommons.org/licenses/by/4.0/).
Share and Cite
Paoluzi, O.A.; Troncone, E.; De Cristofaro, E.; Sibilia, M.; Monteleone, G.; Del Vecchio Blanco, G. Hemostatic Powders in Non-Variceal Upper Gastrointestinal Bleeding: The Open Questions. Medicina 2023, 59, 143. https://doi.org/10.3390/medicina59010143
Paoluzi OA, Troncone E, De Cristofaro E, Sibilia M, Monteleone G, Del Vecchio Blanco G. Hemostatic Powders in Non-Variceal Upper Gastrointestinal Bleeding: The Open Questions. Medicina. 2023; 59(1):143. https://doi.org/10.3390/medicina59010143
Chicago/Turabian StylePaoluzi, Omero Alessandro, Edoardo Troncone, Elena De Cristofaro, Mezia Sibilia, Giovanni Monteleone, and Giovanna Del Vecchio Blanco. 2023. "Hemostatic Powders in Non-Variceal Upper Gastrointestinal Bleeding: The Open Questions" Medicina 59, no. 1: 143. https://doi.org/10.3390/medicina59010143
APA StylePaoluzi, O. A., Troncone, E., De Cristofaro, E., Sibilia, M., Monteleone, G., & Del Vecchio Blanco, G. (2023). Hemostatic Powders in Non-Variceal Upper Gastrointestinal Bleeding: The Open Questions. Medicina, 59(1), 143. https://doi.org/10.3390/medicina59010143

