Complement Properdin Regulates the Metabolo-Inflammatory Response to a High Fat Diet
Abstract
1. Introduction
2. Methods and Materials
2.1. Mice and Experimental Design
2.2. Serum Measurements
2.3. Measurement of Liver Triglyceride Content
2.4. Histology and Immunohistochemistry
2.5. Phosphorylation Arrays
2.6. Enzyme Linked Immunosorbent Assays (ELISA) for C5L2 and CD36
2.7. Antibodies
2.8. Western Blotting
2.9. Flow Cytometry/Microparticles
2.10. Electron Microscopy
2.11. Statistical Analysis
3. Results
3.1. Changes of Biochemical Markers
3.2. Insulin Signalling in Liver Tissue
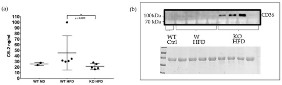
3.3. C5L2 and CD36 Abundances in Adipose Tissue
3.4. Circulating C5L2 and CD36
3.5. Characterisation of Obesity Related Renal Pathology
4. Discussion
5. Conclusions
Author Contributions
Funding
Acknowledgments
Conflicts of Interest
References
- Phieler, J.; Garcia-Martin, R.; Lambris, J.D.; Chavakis, T. The role of the complement system in metabolic organs and metabolic diseases. Semin. Immunol. 2013, 25, 47–53. [Google Scholar] [CrossRef] [PubMed]
- van Greevenbroek, M.M.; Schalkwijk, C.G.; Stehouwer, C.D. Obesity-associated low-grade inflammation in type 2 diabetes mellitus: Causes and consequences. Neth. J. Med. 2013, 71, 174–187. [Google Scholar]
- Fujita, T.; Fujioka, T.; Murakami, T.; Satomura, A.; Fuke, Y.; Matsumoto, K. Chylomicron accelerates C3 tick-over by regulating the role of Factor H, leading to overproduction of acetylation stimulating protein. J. Clin. Lab. Anal. 2007, 21, 14–23. [Google Scholar] [CrossRef] [PubMed]
- Pattrick, M.; Luckett, J.; Yue, L.; Stover, C. Dual role of complement in adipose tissue. Mol. Immunol. 2009, 46, 755–760. [Google Scholar] [CrossRef] [PubMed]
- Kjems, L.; Filozof, C.; Wright, M.; Keefe, D. Association between fasting triglycerides and presence of fasting chylomicrons in patients with severe hypertriglyceridemia. J. Clin. Lipidol. 2014, 8, 312–313. [Google Scholar] [CrossRef]
- Rosen, B.S.; Cook, K.S.; Yaglom, J.; Groves, D.L.; Volanakis, J.E.; Damm, D.; White, T.; Spiegelman, B.M. Adipsin and complement Factor D activity: An immune-related defect in obesity. Science 1989, 244, 1483–1486. [Google Scholar] [CrossRef]
- Kildsgaard, J.; Zsigmond, E.; Chan, L.; Wetsel, R.A. A critical evaluation of the putative role of C3adesArg (ASP) in lipid metabolism and hyperapobetalipoproteinemia. Mol. Immunol. 1999, 36, 869–876. [Google Scholar] [CrossRef]
- Paglialunga, S.; Schrauwen, P.; Roy, C.; Moonen-Kornips, E.; Lu, H.; Hesselink, M.K.; Deshaies, Y.; Richard, D.; Cianflone, K. Reduced adipose tissue triglyceride synthesis and increased muscle fatty acid oxidation in C5L2 knockout mice. J. Endocrinol. 2007, 194, 293–304. [Google Scholar] [CrossRef]
- Rezvani, R.; Smith, J.; Lapointe, M.; Marceau, P.; Tchernof, A.; Cianflone, K. Complement receptors C5aR and C5L2 are associated with metabolic profile, sex hormones, and liver enzymes in obese women pre- and postbariatric surgery. J. Obes. 2014, 2014, 383102. [Google Scholar] [CrossRef]
- Fisette, A.; Munkonda, M.N.; Oikonomopoulou, K.; Paglialunga, S.; Lambris, J.D.; Cianflone, K. C5L2 receptor disruption enhances the development of diet-induced insulin resistance in mice. Immunobiology 2013, 218, 127–133. [Google Scholar] [CrossRef]
- Gauvreau, D.; Roy, C.; Tom, F.Q.; Lu, H.; Miegueu, P.; Richard, D.; Song, W.C.; Stover, C.; Cianflone, K. A new effector of lipid metabolism: Complement factor properdin. Mol. Immunol. 2012, 51, 73–81. [Google Scholar] [CrossRef] [PubMed]
- Cianflone, K.; Xia, Z.; Chen, L.Y. Critical review of acetylation-stimulating protein physiology in humans and rodents. Biochim. Biophys. Acta 2003, 1609, 127–143. [Google Scholar] [CrossRef]
- Gauvreau, D.; Gupta, A.; Fisette, A.; Tom, F.Q.; Cianflone, K. Deficiency of C5L2 increases macrophage infiltration and alters adipose tissue function in mice. PLoS ONE 2013, 8, e60795. [Google Scholar] [CrossRef] [PubMed][Green Version]
- Scola, A.M.; Johswich, K.O.; Morgan, B.P.; Klos, A.; Monk, P.N. The human complement fragment receptor, C5L2, is a recycling decoy receptor. Mol. Immunol. 2009, 46, 1149–1162. [Google Scholar] [CrossRef] [PubMed]
- Hsu, W.C.; Yang, F.C.; Lin, C.H.; Hsieh, S.L.; Chen, N.J. C5L2 is required for C5a-triggered receptor internalization and ERK signaling. Cell. Signal. 2014, 26, 1409–1419. [Google Scholar] [CrossRef]
- Zhang, T.; Garstka, M.A.; Li, K. The controversial C5a receptor C5aR2: Its role in health and disease. J. Immunol. Res. 2017, 2017, 1–16. [Google Scholar] [CrossRef]
- Kalant, D.; MacLaren, R.; Cui, W.; Samanta, R.; Monk, P.N.; Laporte, S.A.; Cianflone, K. C5L2 is a functional receptor for acylation-stimulating protein. J. Biol. Chem. 2005, 280, 23936–23944. [Google Scholar] [CrossRef]
- Cui, W.; Lapointe, M.; Gauvreau, D.; Kalant, D.; Cianflone, K. Recombinant C3adesArg/acylation stimulating protein (ASP) is highly bioactive: A critical evaluation of C5L2 binding and 3T3-L1 adipocyte activation. Mol. Immunol. 2009, 46, 3207–3217. [Google Scholar] [CrossRef]
- Cui, W.; Simaan, M.; Laporte, S.; Lodge, R.; Cianflone, K. C5a-and ASP-mediated C5L2 activation, endocytosis and recycling are lost in S323I-C5L2 mutation. Mol. Immunol. 2009, 46, 3086–3098. [Google Scholar] [CrossRef]
- Maslowska, M.; Legakis, H.; Assadi, F.; Cianflone, K. Targeting the signaling pathway of acylation stimulating protein. J. Lipid Res. 2006, 47, 643–652. [Google Scholar] [CrossRef]
- Maslowska, M.; Sniderman, A.D.; Germinario, R.; Cianflone, K. ASP stimulates glucose transport in cultured human adipocytes. Int. J. Obes. Relat. Metab. Disord. 1997, 21, 261–266. [Google Scholar] [CrossRef] [PubMed]
- Murray, I.; Sniderman, A.D.; Cianflone, K. Mice lacking acylation stimulating protein (ASP) have delayed postprandial triglyceride clearance. J. Lipid Res. 1999, 40, 1671–1676. [Google Scholar] [PubMed]
- Murray, I.; Sniderman, A.D.; Cianflone, K. Enhanced triglyceride clearance with intraperitoneal human acylation stimulating protein in C57BL/6 mice. Am. J. Physiol. Endocrinol. Metab. 1999, 277, E474–E480. [Google Scholar] [CrossRef] [PubMed]
- Xia, Z.; Stanhope, K.L.; Digitale, E.; Simion, O.M.; Chen, L.; Havel, P.; Cianflone, K. Acylation-stimulating protein (ASP)/complement C3adesArg deficiency results in increased energy expenditure in mice. J. Biol. Chem. 2004, 279, 4051–4057. [Google Scholar] [CrossRef]
- Scantlebury, T.; Maslowska, M.; Cianflone, K. Chylomicron-specific enhancement of acylation stimulating protein and precursor protein C3 production in differentiated human adipocytes. J. Biol. Chem. 1998, 273, 20903–20909. [Google Scholar] [CrossRef]
- Gao, Y.; Gauvreau, D.; Cianflone, K. Hormone and pharmaceutical regulation of ASP production in 3T3-L1 adipocytes. J. Cell. Biochem. 2010, 109, 896–905. [Google Scholar] [CrossRef]
- Barbu, A.; Hamad, O.A.; Lind, L.; Ekdahl, K.N.; Nilsson, B. The role of complement factor C3 in lipid metabolism. Mol. Immunol. 2015, 67, 101–107. [Google Scholar] [CrossRef]
- Maury, E.; Brichard, S.M. Adipokine dysregulation, adipose tissue inflammation and metabolic syndrome. Mol. Cell Endocrinol. 2010, 314, 1–16. [Google Scholar] [CrossRef]
- Hillian, A.D.; McMullen, M.R.; Sebastian, B.M.; Roychowdhury, S.; Kashyap, S.R.; Schauer, P.R.; Kirwan, J.P.; Feldstein, A.E.; Nagy, L.E. Mice lacking C1q are protected from high fat diet-induced hepatic insulin resistance and impaired glucose homeostasis. J. Biol. Chem. 2013, 288, 22565–22575. [Google Scholar] [CrossRef]
- Yesilova, Z.; Ozata, M.; Oktenli, C.; Bagci, S.; Ozcan, A.; Sanisoglu, S.Y.; Uygun, A.; Yaman, H.; Karaeren, N.; Dagalp, K. Increased acylation stimulating protein concentrations in nonalcoholic fatty liver disease are associated with insulin resistance. Am. J. Gastroenterol. 2005, 100, 842–849. [Google Scholar] [CrossRef]
- Rensen, S.S.; Slaats, Y.; Nijhuis, J.; Jans, A.; Bieghs, V.; Driessen, A.; Malle, E.; Greve, J.W.; Buurman, W.A. Increased hepatic myeloperoxidase activity in obese subjects with nonalcoholic steatohepatitis. Am. J. Pathol. 2009, 175, 1473–1482. [Google Scholar] [CrossRef] [PubMed]
- Cannito, S.; Morello, E.; Bocca, C.; Foglia, B.; Benetti, E.; Novo, E.; Chiazza, F.; Rogazzo, M.; Fantozzi, R.; Povero, D.; et al. Microvesicles released from fat-laden cells promote activation of hepatocellular NLRP3 inflammasome: A pro-inflammatory link between lipotoxicity and non-alcoholic steatohepatitis. PLoS ONE 2017, 12, e0172575. [Google Scholar] [CrossRef] [PubMed]
- Boulanger, C.M.; Dignat-George, F. Microparticles: An introduction. Arter. Thromb. Vasc. Biol. 2011, 31, 2–3. [Google Scholar] [CrossRef] [PubMed][Green Version]
- Whaley-Connell, A.; Sowers, J.R. Insulin Resistance in Kidney Disease: Is There a Distinct Role Separate from That of Diabetes or Obesity? Cardiorenal Med. 2017, 8, 41–49. [Google Scholar] [CrossRef]
- Ix, J.H.; Sharma, K. Mechanisms linking obesity, chronic kidney disease, and fatty liver disease: The roles of fetuin-A, adiponectin, and AMPK. J. Am. Soc. Nephrol. 2010, 21, 406–412. [Google Scholar] [CrossRef]
- Abumrad, N.A.; El-Maghrabi, M.R.; Amri, E.Z.; Lopez, E.; Grimaldi, P.A. Cloning of a rat adipocyte membrane protein implicated in binding or transport of long-chain fatty acids that is induced during preadipocyte differentiation. Homology with human CD36. J. Biol. Chem. 1993, 268, 17665–17668. [Google Scholar]
- Zhang, X.; Fitzsimmons, R.L.; Cleland, L.G.; Ey, P.L.; Zannettino, A.C.; Farmer, E.A.; Sincock, P.; Mayrhofer, G. CD36/fatty acid translocase in rats: Distribution, isolation from hepatocytes, and comparison with the scavenger receptor SR-B1. Lab. Investig. 2003, 83, 317. [Google Scholar] [CrossRef]
- Takamura, T.; Sakurai, M.; Ota, T.; Ando, H.; Honda, M.; Kaneko, S. Genes for systemic vascular complications are differentially expressed in the livers of type 2 diabetic patients. Diabetologia 2004, 47, 638–647. [Google Scholar] [CrossRef]
- Bordessoule, D.; Jones, M.; Gatter, K.C.; Mason, D.Y. Immunohistological patterns of myeloid antigens: Tissue distribution of CD13, CD14, CD16, CD31, CD36, CD65, CD66 and CD67. Br. J. Haematol. 1993, 83, 370–383. [Google Scholar] [CrossRef]
- Greenwalt, D.E.; Watt, K.W.; So, O.Y.; Jiwani, N. PAS IV, an integral membrane protein of mammary epithelial cells, is related to platelet and endothelial cell CD36 (GP IV). Biochemistry 1990, 29, 7054–7059. [Google Scholar] [CrossRef]
- Endemann, G.; Stanton, L.W.; Madden, K.S.; Bryant, C.M.; White, R.T.; Protter, A.A. CD36 is a receptor for oxidized low density lipoprotein. J. Biol. Chem. 1993, 268, 11811–11816. [Google Scholar]
- Tandon, N.N.; Lipsky, R.H.; Burgess, W.H.; Jamieson, G.A. Isolation and characterization of platelet glycoprotein IV (CD36). J. Biol. Chem. 1989, 264, 7570–7575. [Google Scholar]
- Pepino, M.Y.; Kuda, O.; Samovski, D.; Abumrad, N.A. Structure-function of CD36 and importance of fatty acid signal transduction in fat metabolism. Annu. Rev. Nutr. 2014, 34, 281–303. [Google Scholar] [CrossRef]
- Glatz, J.F.; Luiken, J.J. Dynamic role of the transmembrane glycoprotein CD36 (SR-B2) in cellular fatty acid uptake and utilization. J. Lipid Res. 2018, 59, 1084–1093. [Google Scholar] [CrossRef]
- Handberg, A.; Levin KHøjlund, K.; Beck-Nielsen, H. Identification of the oxidized low-density lipoprotein scavenger receptor CD36 in plasma: A novel marker of insulin resistance. Circulation 2006, 114, 1169–1176. [Google Scholar] [CrossRef]
- Kennedy, D.J.; Kashyap, S.R. Pathogenic role of scavenger receptor CD36 in the metabolic syndrome and diabetes. Metab. Syndr. Relat. Disord. 2011, 9, 239–245. [Google Scholar] [CrossRef]
- Stover, C.M.; Luckett, J.C.; Echtenacher, B.; Dupont, A.; Figgitt, S.E.; Brown, J.; Männel, D.N.; Schwaeble, W.J. Properdin plays a protective role in polymicrobial septic peritonitis. J. Immunol. 2008, 180, 3313–3318. [Google Scholar] [CrossRef]
- Kotimaa, J.P.; van Werkhoven, M.B.; O’Flynn, J.; Klar-Mohamad, N.; van Groningen, J.; Schilders, G.; Rutjes, H.; Daha, M.R.; Seelen, M.A.; van Kooten, C. Functional assessment of mouse complement pathway activities and quantification of C3b/C3c/iC3b in an experimental model of mouse renal ischaemia/reperfusion injury. J. Immunol. Methods 2015, 419, 25–34. [Google Scholar] [CrossRef]
- Nishiumi, S.; Ashida, H. Rapid preparation of a plasma membrane fraction from adipocytes and muscle cells: Application to detection of translocated glucose transporter 4 on the plasma membrane. Biosci. Biotechnol. Biochem. 2007, 71, 2343–2346. [Google Scholar] [CrossRef]
- Robert, S.; Poncelet, P.; Lacroix, R.; Arnaud, L.; Giraudo, L.; Hauchard, A.; Sampol, J.; Dignat-George, F. Standardization of platelet-derived microparticle counting using calibrated beads and a cytomics FC500 routine flow cytometer: A first step towards multicenter studies? J. Thromb. Haemost. 2008, 7, 190–197. [Google Scholar] [CrossRef]
- Shehzad, A.; Iqbal, W.; Shehzad, O.; Lee, Y.S. Adiponectin: Regulation of its production and its role in human diseases. Hormones 2012, 11, 8–20. [Google Scholar] [CrossRef]
- Bastard, J.P.; Maachi, M.; van Nhieu, J.T.; Jardel, C.; Bruckert, E.; Grimaldi, A.; Robert, J.J.; Capeau, J.; Hainque, B. Adipose tissue IL-6 content correlates with resistance to insulin activation of glucose uptake both in vivo and in vitro. J. Clin. Endocrinol. Metab. 2002, 87, 2084–2089. [Google Scholar] [CrossRef]
- Faraj, M.; Sniderman, A.; Cianflone, K. ASP enhances in situ lipoprotein lipase activity by increasing fatty acid trapping in adipocytes, doi:10.1194/jlr.M300299-JLR200. J. Lipid Res. 2004, 45, 657–666. [Google Scholar] [CrossRef]
- Inaba, Y.; Furutani, T.; Kimura, K.; Watanabe, H.; Haga, S.; Kido, Y.; Matsumoto, M.; Yamamoto, Y.; Harada, K.; Kaneko, S.; et al. Growth arrest and DNA damage-inducible 34 regulates liver regeneration in hepatic steatosis in mice. Hepatology 2015, 61, 1343–1356. [Google Scholar] [CrossRef]
- van der Heijden, R.A.; Sheedfar, F.; Morrison, M.C.; Hommelberg, P.P.; Kor, D.; Kloosterhuis, N.J.; Gruben, N.; Youssef, S.A.; de Bruin, A.; Hofker, M.H.; et al. High-fat diet induced obesity primes inflammation in adipose tissue prior to liver in C57BL/6j mice. Aging 2015, 7, 256–268. [Google Scholar] [CrossRef]
- Greenwalt, D.E.; Lipsky, R.H.; Ockenhouse, C.F.; Ikeda, H.; Tandon, N.N.; Jamieson, G.A. Membrane glycoprotein CD36: A review of its roles in adherence, signal transduction, and transfusion medicine. Blood 1992, 80, 1105–1115. [Google Scholar] [CrossRef]
- Alessio, M.; Ghigo, D.; Garbarino, G.; Geuna, M.; Malavasi, F. Analysis of the human CD36 leucocyte differentiation antigen by means of the monoclonal antibody NL07. Cell Immunol. 1991, 137, 487–500. [Google Scholar] [CrossRef]
- Hoosdally, S.J.; Andress, E.J.; Wooding, C.; Martin, C.A.; Linton, K.J. The human scavenger receptor CD36 glycosylation status and its role in trafficking and function. J. Biol. Chem. 2009, 284, 16277–16288. [Google Scholar] [CrossRef]
- Alkhatatbeh, M.J.; Mhaidat, N.M.; Enjeti, A.K.; Lincz, L.F.; Thorne, R.F. The putative diabetic plasma marker, soluble CD36, is non cleaved, non-soluble and entirely associated with microparticles. J. Thromb. Haemost. 2011, 9, 844–851. [Google Scholar] [CrossRef]
- Welsh, J.; Holloway, J.; Englyst, N. Microvesicles as Biomarkers in Diabetes, Obesity and Non-Alcoholic Fatty Liver Disease: Current Knowledge and Future Directions. Intern. Med. 2014, S6, S6-009. [Google Scholar] [CrossRef]
- Montoro-García, S.; Shantsila, E.; Wrigley, B.J.; Tapp, L.D.; Abellán Alemán, J.; Lip, G.Y. Small-size Microparticles as Indicators of Acute Decompensated State in Ischemic Heart Failure. Rev. Esp. Cardiol. (Engl. Ed.) 2015, 68, 951–958. [Google Scholar] [CrossRef]
- de Vries, A.P.; Ruggenenti, P.; Ruan, X.Z.; Praga, M.; Cruzado, J.M.; Bajema, I.M.; D’Agati, V.D.; Lamb, H.J.; Pongrac Barlovic, D.; Hojs, R.; et al. Fatty kidney: Emerging role of ectopic lipid in obesity-related renal disease. Lancet Diabetes Endocrinol. 2014, 2, 417–426. [Google Scholar] [CrossRef]
- Bin-Meferij, M.; El-Kott, A.; Shati, A.; Eid, R. Ginger Extract Ameliorates Renal Damage in High Fat Diet-Induced Obesity in Rats: Biochemical and Ultrastructural Study. Int. J. Morphol. 2019, 37, 438–447. [Google Scholar] [CrossRef]
- Martínez-García, C.; Izquierdo, A.; Velagapudi, V.; Vivas, Y.; Velasco, I.; Campbell, M.; Burling, K.; Cava, F.; Ros, M.; Orešič, M.; et al. Accelerated renal disease is associated with the development of metabolic syndrome in a glucolipotoxic mouse model. Dis. Mod. Mech. 2012, 5, 636–648. [Google Scholar] [CrossRef]
- Schrauwen, P.; Hesselink, M.K. Oxidative capacity, lipotoxicity, and mitochondrial damage in type 2 diabetes. Diabetes 2004, 53, 1412–1417. [Google Scholar] [CrossRef]
- Zeng, X.; Hossain, D.; Bostwick, D.G.; Herrera, G.A.; Zhang, P.L. Urinary β2-Microglobulin Is a Good Indicator of Proximal Tubule Injury: A Correlative Study with Renal Biopsies. J. Biomark. 2014, 2014, 492838. [Google Scholar] [CrossRef]
- Horita, S.; Nakamura, M.; Suzuki, M.; Satoh, N.; Suzuki, A.; Seki, G. Selective Insulin Resistance in the Kidney. Biomed. Res. Int. 2016, 2016, 5825170. [Google Scholar] [CrossRef]
- Artunc, F.; Schleicher, E.; Weigert, C.; Fritsche, A.; Stefan, N.; Häring, H.U. The impact of insulin resistance on the kidney and vasculature. Nat. Rev. Nephrol. 2016, 12, 721–737. [Google Scholar] [CrossRef]
- Liu, J.; Zhang, C.; Hu, W.; Feng, Z. Tumor suppressor p53 and metabolism. J. Mol. Cell Biol. 2019, 11, 284–292. [Google Scholar] [CrossRef]
- Li, M.; Jia, F.; Zhou, H.; Di, J.; Yang, M. Elevated aerobic glycolysis in renal tubular epithelial cells influences the proliferation and differentiation of podocytes and promotes renal interstitial fibrosis. Eur. Rev. Med. Pharmacol. Sci. 2018, 22, 5082–5090. [Google Scholar] [CrossRef]
- Fergusson, G.; Éthier, M.; Guévremont, M.; Chrétien, C.; Attané, C.; Joly, E.; Fioramonti, X.; Prentki, M.; Poitout, V.; Alquier, T. Defective insulin secretory response to intravenous glucose in C57Bl/6J compared to C57Bl/6N mice. Mol. Metab. 2014, 3, 848–854. [Google Scholar] [CrossRef]
- Dupont, A.; Mohamed, F.; Salehen, N.A.; Glenn, S.; Francescut, L.; Adib, R.; Byrne, S.; Brewin, H.; Elliott, I.; Richards, L.; et al. Septicaemia models using Streptococcus pneumoniae and Listeria monocytogenes: Understanding the role of complement properdin. Med. Microbiol. Immunol. 2014, 203, 257–271. [Google Scholar] [CrossRef]
- Dimitrova, P.; Ivanovska, N.; Belenska, L.; Milanova, V.; Schwaeble, W.; Stover, C. Abrogated RANKL expression in properdin-deficient mice is associated with better outcome from collagen-antibody-induced arthritis. Arthritis Res. Ther. 2012, 14, R173. [Google Scholar] [CrossRef]
- Dimitrova, P.; Ivanovska, N.; Schwaeble, W.; Gyurkovska, V.; Stover, C. The role of properdin in murine zymosan-induced arthritis. Mol. Immunol. 2010, 47, 1458–1466. [Google Scholar] [CrossRef]
- Ivanovska, N.D.; Dimitrova, P.A.; Luckett, J.C.; El-Rachkidy Lonnen, R.; Schwaeble, W.J.; Stover, C.M. Properdin deficiency in murine models of nonseptic shock. J. Immunol. 2008, 180, 6962–6969. [Google Scholar] [CrossRef]
- Steiner, T.; Francescut, L.; Byrne, S.; Hughes, T.; Jayanthi, A.; Guschina, I.; Harwood, J.; Cianflone, K.; Stover, C.; Francis, S. Protective role for properdin in progression of experimental murine atherosclerosis. PLoS ONE 2014, 9, e92404. [Google Scholar] [CrossRef]
- Doerner, S.K.; Reis, E.S.; Leung, E.S.; Ko, J.S.; Heaney, J.D.; Berger, N.A.; Lambris, J.D.; Nadeau, J.H. High-Fat Diet-Induced Complement Activation Mediates Intestinal Inflammation and Neoplasia, Independent of Obesity. Mol. Cancer Res. 2016, 14, 953–965. [Google Scholar] [CrossRef]
- Wellen, K.E.; Hotamisligil, G.S. Inflammation, stress, and diabetes. J. Clin. Investig. 2005, 115, 1111–1119. [Google Scholar] [CrossRef]
- Hernandez-Mijares, A.; Jarabo, M.; López-Ruiz, A.; Sola, E.; Morillas, C.; Martínez-Triguero, M. Levels of C3 in patients with severe, morbid and extreme obesity: Its relationship to insulin resistance and different cardiovascular risk factors. Int. J. Obes. 2005, 31, 927–932. [Google Scholar] [CrossRef]
- Zhao, Y.; Luo, C.; Chen, J.; Sun, Y.; Pu, D.; Lv, A.; Zhu, S.; Wu, J.; Wang, M.; Zhou, J.; et al. High glucose-induced complement component 3 up-regulation via RAGE-p38MAPK-NF-κB signalling in astrocytes: In vivo and in vitro studies. J. Cell Mol. Med. 2018, 22, 6087–6098. [Google Scholar] [CrossRef]
- Afonso, C.B.; Spickett, C.M. Lipoproteins as targets and markers of lipoxidation. Redox Biol. 2018, 23, 101066. [Google Scholar] [CrossRef] [PubMed]
- Natoli, R.; Fernando, N.; Dahlenburg, T.; Jiao, H.; Aggio-Bruce, R.; Barnett, N.L.; de La Barca, J.M.C.; Tcherkez, G.; Reynier, P.; Fang, J.; et al. Obesity-induced metabolic disturbance drives oxidative stress and complement activation in the retinal environment. Mol. Vis. 2018, 24, 201–217. [Google Scholar] [PubMed]
- Celik, S.; Tangi, F.; Kilicaslan, E.; Sanisoglu, Y.S.; Oktenli, C.; Top, C. Increased acylation stimulating protein levels in young obese males is correlated with systemic markers of oxidative stress. Obesity 2013, 21, 1613–1617. [Google Scholar] [CrossRef] [PubMed]
- Guilherme, A.; Virbasius, J.V.; Puri, V.; Czech, M.P. Adipocyte dysfunctions linking obesity to insulin resistance and type 2 diabetes. Nat. Rev. Mol. Cell Biol. 2008, 9, 367–377. [Google Scholar] [CrossRef] [PubMed]
- Klop, B.; Elte, J.W.; Cabezas, M.C. Dyslipidemia in obesity: Mechanisms and potential targets. Nutrients 2013, 5, 1218–1240. [Google Scholar] [CrossRef]
- Wahba, I.M.; Mak, R.H. Obesity and obesity-initiated metabolic syndrome: Mechanistic links to chronic kidney disease. Clin. J. Am. Soc. Nephrol. 2007, 2, 550–562. [Google Scholar] [CrossRef]
- Baba, S.P.; Hellmann, J.; Srivastava, S.; Bhatnagar, A. Aldose reductase (AKR1B3) regulates the accumulation of advanced glycosylation end products (AGEs) and the expression of AGE receptor (RAGE). Chem. Biol. Interact. 2011, 191, 357–363. [Google Scholar] [CrossRef]
- Furukawa, S.; Fujita, T.; Shimabukuro, M.; Iwaki, M.; Yamada, Y.; Nakajima, Y.; Nakayama, O.; Makishima, M.; Matsuda, M.; Shimomura, I. Increased oxidative stress in obesity and its impact on metabolic syndrome. J. Clin. Investig. 2004, 114, 1752–1761. [Google Scholar] [CrossRef]
- Wen, H.; Gris, D.; Lei, Y.; Jha, S.; Zhang, L.; Huang, M.T.; Brickey, W.J.; Ting, J.P. Fatty acid-induced NLRP3-ASC inflammasome activation interferes with insulin signaling. Nat. Immunol. 2011, 12, 408–415. [Google Scholar] [CrossRef]
- Silverstein, R.L.; Febbraio, M. CD36, a scavenger receptor involved in immunity, metabolism, angiogenesis, and behavior. Sci. Signal. 2009, 2, re3. [Google Scholar] [CrossRef] [PubMed]
- Wilson, C.G.; Tran, J.L.; Erion, D.M.; Vera, N.B.; Febbraio, M.; Weiss, E.J. Hepatocyte-Specific Disruption of CD36 Attenuates Fatty Liver and Improves Insulin Sensitivity in HFD-Fed Mice. Endocrinology 2016, 157, 570–585. [Google Scholar] [CrossRef] [PubMed]
- Kennedy, D.J.; Kuchibhotla, S.; Westfall, K.M.; Silverstein, R.L.; Morton, R.E.; Febbraio, M. A CD36-dependent pathway enhances macrophage and adipose tissue inflammation and impairs insulin signalling. Cardiovasc. Res. 2011, 89, 604–613. [Google Scholar] [CrossRef] [PubMed]
- MacLaren, R.; Kalant, D.; Cianflone, K. The ASP receptor C5L2 is regulated by metabolic hormones associated with insulin resistance. Biochem. Cell Biol. 2007, 85, 11–21. [Google Scholar] [CrossRef] [PubMed]
- Onat, A.; Altay, S.; Yüksel, M.; Karadeniz, Y.; Can, G.; Yüksel, H.; Ademoğlu, E. Low acylation stimulating protein levels are associated with cardiometabolic disorders-secondary to autoimmune activation? Anatol. J. Cardiol. 2017, 17, 97–106. [Google Scholar] [CrossRef] [PubMed]
- Liang, C.P.; Han, S.; Okamoto, H.; Carnemolla, R.; Tabas, I.; Accili, D.; Tall, A.R. Increased CD36 protein as a response to defective insulin signaling in macrophages. J. Clin. Investig. 2004, 113, 764–773. [Google Scholar] [CrossRef] [PubMed]
- Ouwens, D.M.; Diamant, M.; Fodor, M.; Habets, D.D.J.; Pelsers, M.M.A.L.; El Hasnaoui, M.; Dang, Z.C.; Van den Brom, C.E.; Vlasblom, R.; Rietdijk, A. Cardiac contractile dysfunction in insulin-resistant rats fed a high-fat diet is associated with elevated CD36-mediated fatty acid uptake and esterification. Diabetologia 2007, 50, 1938–1948. [Google Scholar] [CrossRef]
- Yang, J.; Park, K.W.; Cho, S. Inhibition of the CD36 receptor reduces visceral fat accumulation and improves insulin resistance in obese mice carrying the BDNF-Val66Met variant. J. Biol. Chem. 2018, 293, 13338–13348. [Google Scholar] [CrossRef]
- Roy, C.; Paglialunga, S.; Schaart, G.; Moonen-Kornips, E.; Meex, R.C.; Phielix, E.; Hoeks, J.; Hesselink, M.K.; Cianflone, K.; Schrauwen, P. Relationship of C5L2 receptor to skeletal muscle substrate utilization. PLoS ONE 2013, 8, e57494. [Google Scholar] [CrossRef]
- Petta, S.; Gastaldelli, A.; Rebelos, E.; Bugianesi, E.; Messa, P.; Miele, L.; Svegliati-Baroni, G.; Valenti, L.; Bonino, F. Pathophysiology of non alcoholic fatty liver disease. Int. J. Mol. Sci. 2016, 17, 2082. [Google Scholar] [CrossRef]
- Szeto, H.H.; Liu, S.; Soong, Y.; Alam, N.; Prusky, G.T.; Seshan, S.V. Protection of mitochondria prevents high-fat diet-induced glomerulopathy and proximal tubular injury. Kidney Int. 2016, 90, 997–1011. [Google Scholar] [CrossRef]
- Fuke, N.; Nagata, N.; Suganuma, H.; Ota, T. Regulation of Gut Microbiota and Metabolic Endotoxemia with Dietary Factors. Nutrients 2019, 11, 2277. [Google Scholar] [CrossRef] [PubMed]
- Lynes, M.; Narisawa, S.; Millán, J.L.; Widmaier, E.P. Interactions between CD36 and global intestinal alkaline phosphatase in mouse small intestine and effects of high-fat diet. Am. J. Physiol. Regul. Integr. Comp. Physiol. 2011, 301, R1738–R1747. [Google Scholar] [CrossRef]
- Benis, N.; Wells, J.M.; Smits, M.A.; Kar, S.K.; Van Der Hee, B.; Dos Santos, V.A.M.; Suarez-Diez, M.; Schokker, D. High-level integration of murine intestinal transcriptomics data highlights the importance of the complement system in mucosal homeostasis. BMC Genom. 2019, 20, 1028. [Google Scholar] [CrossRef]
- Kopp, Z.A.; Jain, U.; Van Limbergen, J.; Stadnyk, A.W. Do antimicrobial peptides and complement collaborate in the intestinal mucosa? Front. Immunol. 2015, 6, 17. [Google Scholar] [CrossRef] [PubMed]
- Jain, U.; Midgen, C.A.; Schwaeble, W.J.; Stover, C.M.; Stadnyk, A.W. Properdin Regulation of Complement Activation Affects Colitis in Interleukin 10 Gene–Deficient Mice. Inflamm. Bowel Dis. 2015, 21, 1519–1528. [Google Scholar] [CrossRef] [PubMed]
- Sears, B.; Perry, M. The role of fatty acids in insulin resistance. Lipids Health Dis. 2015, 14, 121. [Google Scholar] [CrossRef] [PubMed]
- Bachmaier, K.; Guzman, E.; Kawamura, T.; Gao, X.; Malik, A.B. Sphingosine kinase 1 mediation of expression of the anaphylatoxin receptor C5L2 dampens the inflammatory response to endotoxin. PLoS ONE 2012, 7, e30742. [Google Scholar] [CrossRef] [PubMed]









| Parameter (Expressed as Means ± SD) | HFD WT (n = 3) | HFD KO (n = 3) | Unpaired t-Test |
|---|---|---|---|
| HbA1c * (fmol/L) | 42.95 ± 1.04 | 76.06 ± 4.58 | p < 0.0005 |
| Adiponectin (ng/mL) | 1.90 ± 0.14 | 1.53 ± 0.1 | p < 0.02 |
| Triglycerides (mg/dL) | 23.11 ± 1.70 | 41.55 ± 5.93 | p < 0.01 |
| NEFA (mmol/L) | 0.37 ± 0.1 | 0.59 ± 0.02 | p < 0.005 |
| Endotoxin (IU/mL) | 4.53 ± 0.78 | 13.92 ± 4.12 | p < 0.02 |
| Malondialdehyde (nmol/mL) | 0.27 ± 0.01 | 0.32 ± 0.02 | p < 0.01 |
| IL-6 (ng/mL) | 8.13 ± 1.71 | 14.67 ± 1.33 | p < 0.01 |
| C5a (ng/mL) | 321.5 ± 10.61 | 212.6 ± 12.16 | p < 0.02 |
| ALT (IU/L) | 65.8 ± 9.45 | 109.1 ± 12.88 | p < 0.01 |
| Genotype, Diet | Pathway Tested | Activity Relative to NMS * |
|---|---|---|
| WT ND | Alternative pathway | 89% |
| KO ND | Alternative pathway | 6% |
| WT HFD | Alternative pathway | 27% |
| KO HFD | Alternative pathway | n.d. |
| WT ND | Classical pathway | 80% |
| KO ND | Classical pathway | 40% |
| WT HFD | Classical pathway | 72% |
| KO HFD | Classical pathway | 47% |
| Phosphorylated Protein | Genotype | % Difference from Control | % Difference between Genotypes |
|---|---|---|---|
| ERK 1/2 | WT KO | +176.3 | 62 |
| +238 | |||
| PRAS40 | WT KO | +90.7 | 48 |
| +138.8 | |||
| PTEN | WT KO | +69.6 | 11 |
| +80.2 | |||
| GSK3α | WT KO | +98.4 | 4 |
| +94.3 | |||
| GSK3β | WT KO | +101.0 | 12 |
| +79.9 | |||
| Raf-1 | WT KO | +77.2 | 12 |
| +89.4 | |||
| mTOR | WT KO | +70.6 | 21 |
| +58.4 | |||
| AKT | WT KO | +162.5 | 91 |
| +71.4 | |||
| RPS6 | WT KO | +65.9 | 13 |
| +78.7 | |||
| P27 | WT KO | +38.0 | 20 |
| +57.9 | |||
| RSK1 | WT KO | +43.7 | 10 |
| +53.5 | |||
| RSK2 | WT KO | +64.5 | 10 |
| +74.1 | |||
| AMPK | WT KO | +57.0 | 11 |
| +45.9 | |||
| P53 | WT KO | +68.3 | 23 |
| +91.0 | |||
| BAD | WT KO | +40.5 | 27 |
| +67.9 | |||
| P70S6K | WT KO | +138.5 | 35 |
| +173.5 | |||
| PDK1 | WT KO | +50.4 | 0 |
| +50.8 |
| Phosphorylated Protein | Genotype | % Difference from Control | % Difference between Genotypes |
|---|---|---|---|
| ERK 1/2 | WT KO | +62.0 | 48 |
| +13.9 | |||
| PRAS40 | WT KO | +112.9 | 76 |
| +37.2 | |||
| PTEN | WT KO | +57.7 | 22 |
| +36.1 | |||
| GSK3α | WT KO | +72.2 | 23 |
| +49.2 | |||
| GSK3β | WT KO | +76.0 | 25 |
| +51.0 | |||
| Raf-1 | WT KO | +59.7 | 33 |
| +26.5 | |||
| mTOR | WT KO | +70.6 | 30 |
| +40.3 | |||
| AKT | WT KO | +57.3 | 8 |
| +64.8 | |||
| RPS6 | WT KO | +55.5 | 41 |
| +14.6 | |||
| P27 | WT KO | +43.0 | 59 |
| −16.4 | |||
| RSK1 | WT KO | +41.7 | 34 |
| +7.7 | |||
| RSK2 | WT KO | +25.3 | 26 |
| −0.3 | |||
| AMPK | WT KO | +44.9 | 13 |
| +58.0 | |||
| P53 | WT KO | +36.6 | 39 |
| −2.4 | |||
| BAD | WT KO | +47.8 | 7 |
| +41.2 | |||
| P70S6K | WT KO | +14.2 | 32 |
| −46.6 | |||
| PDK1 | WT KO | +35.9 | 16 |
| +20.0 |
© 2020 by the authors. Licensee MDPI, Basel, Switzerland. This article is an open access article distributed under the terms and conditions of the Creative Commons Attribution (CC BY) license (http://creativecommons.org/licenses/by/4.0/).
Share and Cite
Thomas, R.C.; Kheder, R.; Alaridhee, H.; Martin, N.; Stover, C.M. Complement Properdin Regulates the Metabolo-Inflammatory Response to a High Fat Diet. Medicina 2020, 56, 484. https://doi.org/10.3390/medicina56090484
Thomas RC, Kheder R, Alaridhee H, Martin N, Stover CM. Complement Properdin Regulates the Metabolo-Inflammatory Response to a High Fat Diet. Medicina. 2020; 56(9):484. https://doi.org/10.3390/medicina56090484
Chicago/Turabian StyleThomas, Rόisín C., Ramiar Kheder, Hasanain Alaridhee, Naomi Martin, and Cordula M. Stover. 2020. "Complement Properdin Regulates the Metabolo-Inflammatory Response to a High Fat Diet" Medicina 56, no. 9: 484. https://doi.org/10.3390/medicina56090484
APA StyleThomas, R. C., Kheder, R., Alaridhee, H., Martin, N., & Stover, C. M. (2020). Complement Properdin Regulates the Metabolo-Inflammatory Response to a High Fat Diet. Medicina, 56(9), 484. https://doi.org/10.3390/medicina56090484

