Anti-Neuroinflammatory Effects of Arecae pericarpium on LPS-Stimulated BV2 Cells
Abstract
1. Introduction
2. Materials and Methods
2.1. Sample Preparation
2.2. Cell Culture
2.3. Cell Viability Assay
2.4. NO Assay
2.5. Real-Time Reverse Transcription-Polymerase Chain Reaction (RT-PCR)
2.6. Western Blotting
2.7. Statistical Analysis
3. Results
3.1. Effect of the AP Extract on BV2 Cell Viability
3.2. Effect of the AP Extract on NO Production in LPS-Stimulated BV2 Cells
3.3. Effects of the AP Extract on iNOS and COX-2 Expression Levels in LPS-Stimulated BV2 Cells
3.4. Effect of the AP Extract on Pro-Inflammatory Cytokine Production in LPS-Stimulated BV2 Cells
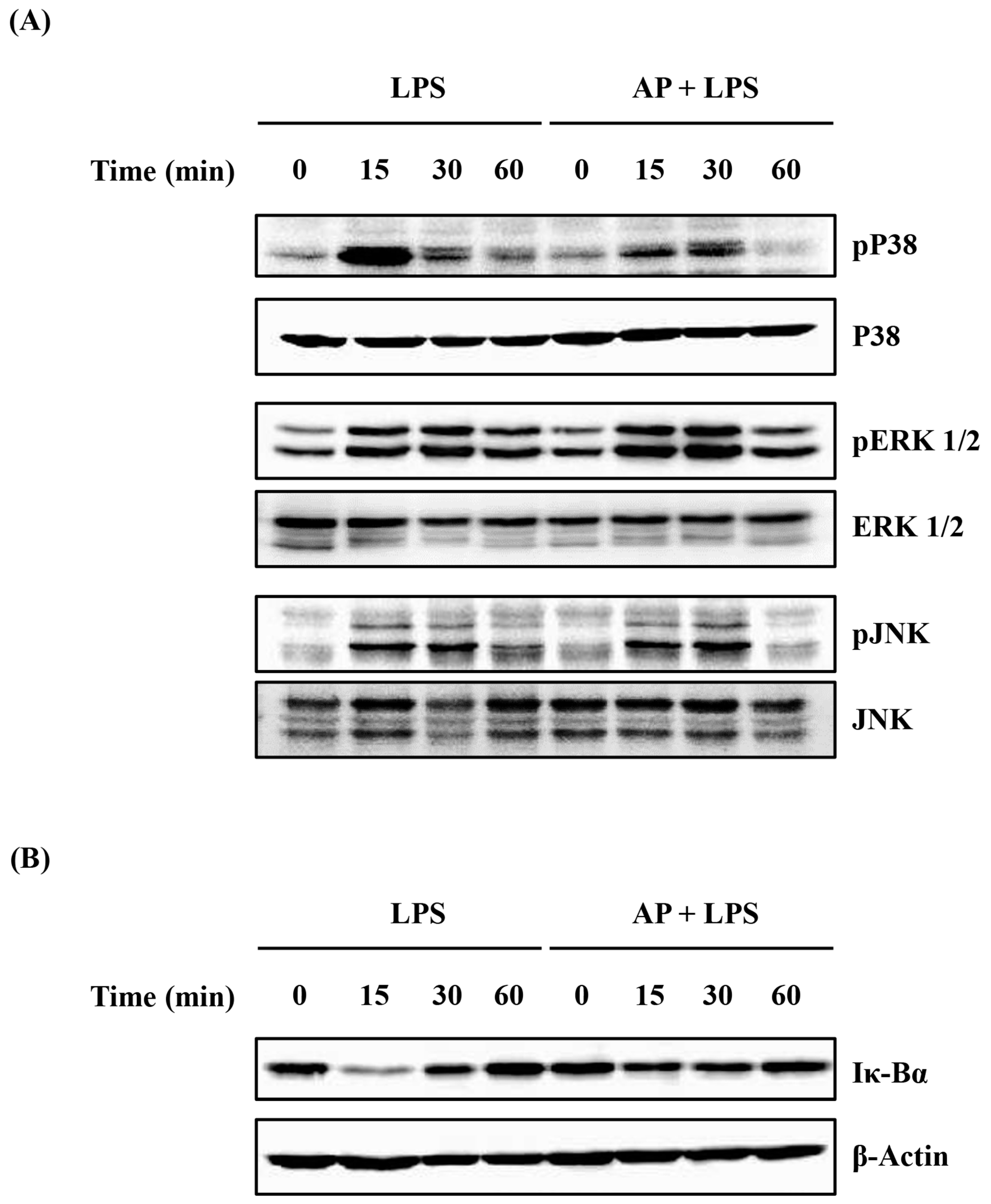
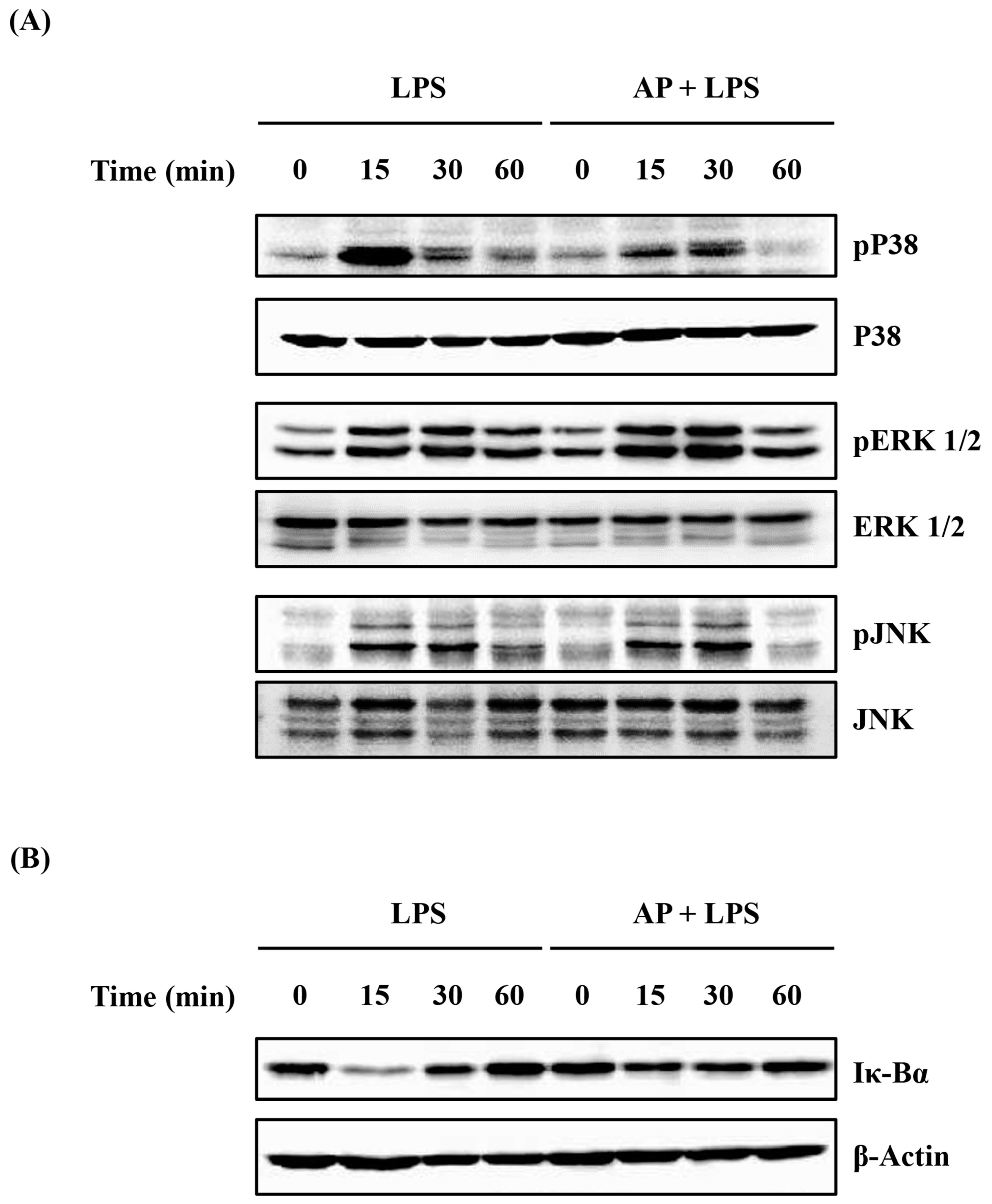
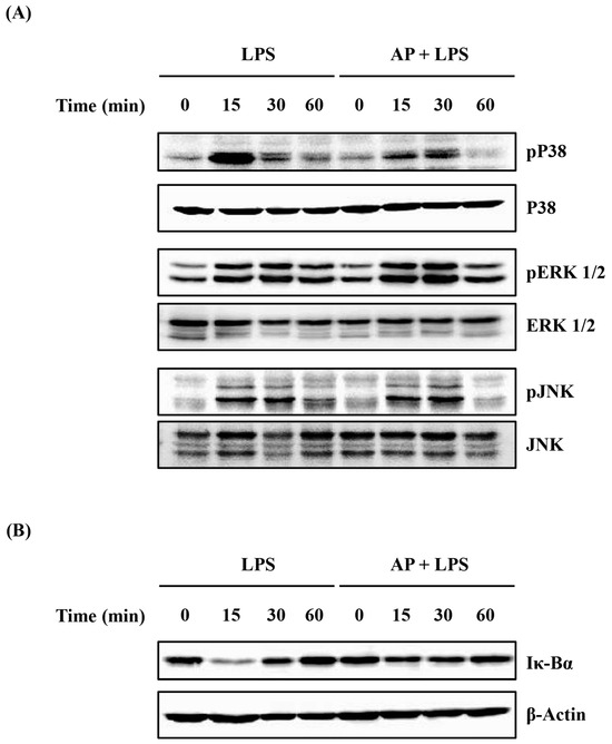
3.5. Effect of AP Extract on MAPK and NF-κB Pathways in LPS-Stimulated BV2 Cells
4. Discussion
5. Conclusions
Supplementary Materials
Author Contributions
Funding
Institutional Review Board Statement
Informed Consent Statement
Data Availability Statement
Conflicts of Interest
References
- Nandi, A.; Counts, N.; Chen, S.; Seligman, B.; Tortorice, D.; Vigo, D.; Bloom, D.E.J.E. Global and regional projections of the economic burden of Alzheimer’s disease and related dementias from 2019 to 2050: A value of statistical life approach. EClinicalMedicine 2022, 51, 101580. [Google Scholar] [CrossRef] [PubMed]
- Shabab, T.; Khanabdali, R.; Moghadamtousi, S.Z.; Kadir, H.A.; Mohan, G. Neuroinflammation pathways: A general review. Int. J. Neurosci. 2017, 127, 624–633. [Google Scholar] [CrossRef] [PubMed]
- Ransohoff, R.M.; Schafer, D.; Vincent, A.; Blachère, N.E.; Bar-Or, A.J.N. Neuroinflammation: Ways in which the immune system affects the brain. Neurotherapeutics 2015, 12, 896–909. [Google Scholar] [CrossRef]
- Schain, M.; Kreisl, W.C. Neuroinflammation in neurodegenerative disorders—A review. Curr. Neurol. Neurosci. Rep. 2017, 17, 25. [Google Scholar] [CrossRef]
- Kempuraj, D.; Thangavel, R.; Natteru, P.; Selvakumar, G.; Saeed, D.; Zahoor, H.; Zaheer, S.; Iyer, S.; Zaheer, A. Neuroinflammation induces neurodegeneration. J. Neurol. Neurosurg. Spine 2016, 1, 1003. [Google Scholar]
- Streit, W.J.; Mrak, R.E.; Griffin, W.S.T. Microglia and neuroinflammation: A pathological perspective. J. Neuroinflamm. 2004, 1, 14. [Google Scholar] [CrossRef] [PubMed][Green Version]
- Li, Q.; Barres, B.A. Microglia and macrophages in brain homeostasis and disease. Nat. Rev. Immunol. 2018, 18, 225–242. [Google Scholar] [CrossRef]
- González, H.; Elgueta, D.; Montoya, A.; Pacheco, R. Neuroimmune regulation of microglial activity involved in neuroinflammation and neurodegenerative diseases. J. Neuroimmunol. 2014, 274, 1–13. [Google Scholar] [CrossRef]
- Griffin, W.S.T. Inflammation and neurodegenerative diseases. Am. J. Clin. Nutr. 2006, 83, 470S–474S. [Google Scholar] [CrossRef]
- Subhramanyam, C.S.; Wang, C.; Hu, Q.; Dheen, S.T. Microglia-mediated neuroinflammation in neurodegenerative diseases. In Seminars in Cell & Developmental Biology; Elsevier: Amsterdam, The Netherlands, 2019; pp. 112–120. [Google Scholar]
- Peng, W.; Liu, Y.-J.; Wu, N.; Sun, T.; He, X.-Y.; Gao, Y.-X.; Wu, C.-J. Areca catechu L. (Arecaceae): A review of its traditional uses, botany, phytochemistry, pharmacology and toxicology. J. Ethnopharmacol. 2015, 164, 340–356. [Google Scholar] [CrossRef]
- Seo, B.I.; Kwon, D.Y.; Choi, H.Y.; Lee, J.H.; Oh, M.S.; Bu, Y.M. Medicinal Herbology; Younglim-Sa: Seoul, Republic of Korea, 2008. [Google Scholar]
- Bhandare, A.M.; Kshirsagar, A.D.; Vyawahare, N.S.; Hadambar, A.A.; Thorve, V.S. Potential analgesic, anti-inflammatory and antioxidant activities of hydroalcoholic extract of Areca catechu L. nut. Food Chem. Toxicol. 2010, 48, 3412–3417. [Google Scholar] [CrossRef] [PubMed]
- LM, S.; Subitha, G. Areca nut (Areca catechu linn.) extract induces cell cycle arrest and reduces Ki-67 activity in oral squamous cell carcinoma cells. J. Plant Biotechnol. 2021, 4, 1–7. [Google Scholar]
- Lee, K.K.; Choi, J.D. The effects of Areca catechu L extract on anti-aging. Int. J. Cosmet. Sci. 1999, 21, 285–295. [Google Scholar] [CrossRef]
- Kim, Y.-J.; Kim, B.-H.; Lee, S.-Y.; Kim, M.-S.; Park, C.-S.; Rhee, M.-S.; Lee, K.-H.; Kim, D.-S. Screening of medicinal plants for development of functional food ingredients with anti-obesity. Appl. Biol. Chem. 2006, 49, 221–226. [Google Scholar]
- Song, S.-Y.; Lee, H.-H. Anti-bacterial and anti-oxidant activities of solvent fractions of Arecae pericarpium extracts. Asian J. Beauty Cosmetol. 2016, 14, 359–368. [Google Scholar] [CrossRef]
- The Korea Food & Drug Administration. The Korean Pharmacopoeia, 10th ed.; The KFDA Notification: Osong, Republic of Korea, 2012.
- Kweon, B.; Kim, D.-U.; Oh, J.-Y.; Oh, H.; Kim, Y.-C.; Mun, Y.-J.; Bae, G.-S.; Park, S.-J. Arecae pericarpium water extract alleviates chronic pancreatitis by deactivating pancreatic stellate cells. Front. Pharmacol. 2022, 13, 941955. [Google Scholar] [CrossRef]
- Sharma, J.; Al-Omran, A.; Parvathy, S.J.I. Role of nitric oxide in inflammatory diseases. Inflammopharmacology 2007, 15, 252–259. [Google Scholar] [CrossRef] [PubMed]
- Jin, C.Y.; Lee, J.D.; Park, C.; Choi, Y.H.; Kim, G.Y. Curcumin attenuates the release of pro-inflammatory cytokines in lipopolysaccharide-stimulated BV2 microglia 1. Acta Pharmacol. Sin. 2007, 28, 1645–1651. [Google Scholar] [CrossRef]
- Surh, Y.J.; Chun, K.S.; Cha, H.H.; Han, S.S.; Keum, Y.S.; Park, K.K.; Lee, S.S. Molecular mechanisms underlying chemopreventive activities of anti-inflammatory phytochemicals: Down-regulation of COX-2 and iNOS through suppression of NF-κB activation. Mutat. Res./Fundam. Mol. Mech. Mutagen. 2001, 480, 243–268. [Google Scholar] [CrossRef]
- Hu, H.; Li, Z.; Zhu, X.; Lin, R.; Chen, L. Salidroside reduces cell mobility via NF-κB and MAPK signaling in LPS-induced BV2 microglial cells. Evid.-Based Complement. Altern. Med. 2014, 2014, 383821. [Google Scholar] [CrossRef]
- Lo, J.; Liu, C.-C.; Li, Y.-S.; Lee, P.-Y.; Liu, P.-L.; Wu, P.-C.; Lin, T.-C.; Chen, C.-S.; Chiu, C.-C.; Lai, Y.-H.; et al. Punicalagin attenuates LPS-induced inflammation and ROS production in microglia by inhibiting the MAPK/NF-κB signaling pathway and NLRP3 inflammasome activation. J. Inflamm. Res. 2022, 15, 5347–5359. [Google Scholar] [CrossRef] [PubMed]
- Gupta, P.; Warnakulasuriya, S. Global epidemiology of areca nut usage. Addict. Biol. 2002, 7, 77–83. [Google Scholar] [CrossRef]
- IARC Working Group on the Evaluation of Carcinogenic Risks to Humans. A review of human carcinogens. Part E: Personal Habits and Indoor Combustions. In IARC Monographs on the Evaluation of Carcinogenic Risks to Humans; International Agency for Research on Cancer: Lyon, France, 2012; Volume 100. [Google Scholar]
- Warnakulasuriya, S.; Chen, T.H.H. Areca nut and oral cancer: Evidence from studies conducted in humans. J. Dent. Res. 2022, 101, 1139–1146. [Google Scholar] [CrossRef]
- Ko, A.M.-S.; Tu, H.-P.; Ko, Y.-C. Systematic Review of Roles of Arecoline and Arecoline N-Oxide in Oral Cancer and Strategies to Block Carcinogenesis. Cells 2023, 12, 1208. [Google Scholar] [CrossRef] [PubMed]
- He, X.; Liu, Y.; Huang, Y. Fingerprint analysis of different processed products of semen Arecae in frying process. Chin. J. Exp. Tradit. Med. Formulae 2013, 19, 44–46. [Google Scholar]
- Yuan, Y.; Liu, Y.-Y.; Gong, X.; Zhou, W. Effects of different drying conditions on volatile components of Pericarpium Arecae. In IOP Conference Series: Earth and Environmental Science; IOP Publishing: Bristol, UK, 2019; p. 042058. [Google Scholar]
- Tian, L.-C.; Qin, S.-R.; Yi, H.; Li, C.; Ma, H.-W.; Ren, C.-T.; Li, Y.; Liu, X.-Q.; Wang, Z.-M. Comparative study on contents of four alkaloids in homologous herbal medicines—Arecae pericarpium and Arecae Semen. Zhongguo Zhongyao Zazhi 2018, 43, 2850–2856. [Google Scholar]
- Van Schependom, J.; D’haeseleer, M. Advances in neurodegenerative diseases. J. Clin. Med. 2023, 12, 1709. [Google Scholar] [CrossRef]
- Lamptey, R.N.; Chaulagain, B.; Trivedi, R.; Gothwal, A.; Layek, B.; Singh, J. A review of the common neurodegenerative disorders: Current therapeutic approaches and the potential role of nanotherapeutics. Int. J. Mol. Sci. 2022, 23, 1851. [Google Scholar] [CrossRef]
- Thameem Dheen, S.; Kaur, C.; Ling, E.-A. Microglial activation and its implications in the brain diseases. Curr. Med. Chem. 2007, 14, 1189–1197. [Google Scholar] [CrossRef]
- Glass, C.K.; Saijo, K.; Winner, B.; Marchetto, M.C.; Gage, F.H. Mechanisms underlying inflammation in neurodegeneration. Cell 2010, 140, 918–934. [Google Scholar] [CrossRef]
- Lee, K.P.; Sudjarwo, G.W.; Kim, J.-S.; Dirgantara, S.; Maeng, W.J.; Hong, H. The anti-inflammatory effect of Indonesian Areca catechu leaf extract in vitro and in vivo. Nutr. Res. Pract. 2014, 8, 267–271. [Google Scholar] [CrossRef] [PubMed]
- Khan, S.; Mehmood, M.H.; Ali, A.N.A.; Ahmed, F.S.; Dar, A.; Gilani, A.-H. Studies on anti-inflammatory and analgesic activities of betel nut in rodents. J. Ethnopharmacol. 2011, 135, 654–661. [Google Scholar] [CrossRef]
- Moncade, S. Nitric oxide: Physiology, pathology, and pharmacology. Pharmacol. Rev. 1991, 517, 317–326. [Google Scholar]
- Nathan, C. Nitric oxide as a secretory product of mammalian cells. FASEB J. 1992, 6, 3051–3064. [Google Scholar] [CrossRef]
- Geller, D.A.; Nussler, A.K.; Di Silvio, M.; Lowenstein, C.J.; Shapiro, R.A.; Wang, S.C.; Simmons, R.L.; Billiar, T.R. Cytokines, endotoxin, and glucocorticoids regulate the expression of inducible nitric oxide synthase in hepatocytes. Proc. Natl. Acad. Sci. USA 1993, 90, 522–526. [Google Scholar] [CrossRef]
- Jiang, Z.; Li, C.; Arrick, D.M.; Yang, S.; Baluna, A.E.; Sun, H. Role of nitric oxide synthases in early blood-brain barrier disruption following transient focal cerebral ischemia. PLoS ONE 2014, 9, e93134. [Google Scholar] [CrossRef] [PubMed]
- Zhang, J.-M.; An, J. Cytokines, inflammation and pain. Int. Anesthesiol. Clin. 2007, 45, 27. [Google Scholar] [CrossRef]
- Dinarello, C.A. Proinflammatory cytokines. Chest 2000, 118, 503–508. [Google Scholar] [CrossRef]
- Chen, L.; Deng, H.; Cui, H.; Fang, J.; Zuo, Z.; Deng, J.; Li, Y.; Wang, X.; Zhao, L. Inflammatory responses and inflammation-associated diseases in organs. Oncotarget 2018, 9, 7204. [Google Scholar] [CrossRef]
- KIM, S.-H.; Kong, G. Role of Immune-Inflammatory Mechanisms in Alzheimer’s Disease and Other Degenerative Diseases. J. Korean Neurol. Assoc. 2002, 20, 575–584. [Google Scholar]
- Seger, R.; Krebs, E.G. The MAPK signaling cascade. FASEB J. 1995, 9, 726–735. [Google Scholar] [CrossRef]
- Zhang, W.; Liu, H.T. MAPK signal pathways in the regulation of cell proliferation in mammalian cells. Cell Res. 2002, 12, 9–18. [Google Scholar] [CrossRef] [PubMed]
- Nam, N.-H. Naturally occurring NF-κB inhibitors. Mini Rev. Med. Chem. 2006, 6, 945–951. [Google Scholar] [CrossRef]
- Manzoor, Z.; Koh, Y.-S. Mitogen-activated protein kinases in inflammation. J. Bacteriol. Virol. 2012, 42, 189–195. [Google Scholar] [CrossRef]
- Carmody, R.J.; Chen, Y.H. Nuclear factor-kappaB: Activation and regulation during toll-like receptor signaling. Cell. Mol. Immunol. 2007, 4, 31–41. [Google Scholar] [PubMed]
- Winter, A.N.; Brenner, M.C.; Punessen, N.; Snodgrass, M.; Byars, C.; Arora, Y.; Linseman, D.A. Comparison of the neuroprotective and anti-inflammatory effects of the anthocyanin metabolites, protocatechuic acid and 4-hydroxybenzoic acid. Oxidative Med. Cell. Longev. 2017, 2017, 6297080. [Google Scholar] [CrossRef]
- Mittraphab, Y.; Amen, Y.; Nagata, M.; Matsumoto, M.; Wang, D.; Shimizu, K. Anti-Phototoxicity Effect of Phenolic Compounds from Acetone Extract of Entada phaseoloides Leaves via Activation of COX-2 and iNOS in Human Epidermal Keratinocytes. Molecules 2022, 27, 440. [Google Scholar] [CrossRef] [PubMed]
- Puttaswamy, N.; Malojiao, V.H.; Mohammed, Y.H.E.; Sherapura, A.; Prabhakar, B.; Khanum, S.A. Synthesis and amelioration of inflammatory paw edema by novel benzophenone appended oxadiazole derivatives by exhibiting cyclooxygenase-2 antagonist activity. Biomed. Pharmacother. 2018, 103, 1446–1455. [Google Scholar] [CrossRef]
- Kim, S.-R.; Seong, K.-J.; Kim, W.-J.; Jung, J.-Y. Epigallocatechin gallate protects against hypoxia-induced inflammation in microglia via NF-κB suppression and Nrf-2/HO-1 activation. Int. J. Mol. Sci. 2022, 23, 4004. [Google Scholar] [CrossRef]
- Cheng, C.-Y.; Barro, L.; Tsai, S.-T.; Feng, T.-W.; Wu, X.-Y.; Chao, C.-W.; Yu, R.-S.; Chin, T.-Y.; Hsieh, M.F. Epigallocatechin-3-gallate-loaded liposomes favor anti-inflammation of microglia cells and promote neuroprotection. Int. J. Mol. Sci. 2021, 22, 3037. [Google Scholar] [CrossRef]
- Seo, K.H.; Choi, S.Y.; Jin, Y.; Son, H.; Kang, Y.S.; Jung, S.H.; Kim, Y.I.; Eum, S.; Yoo, H.M.; Whang, W.K. Anti-inflammatory role of Prunus persica L. Batsch methanol extract on lipopolysaccharide-stimulated glial cells. Mol. Med. Rep. 2020, 21, 2030–2040. [Google Scholar] [CrossRef] [PubMed]
- Syed Hussein, S.S.; Kamarudin, M.N.A.; Abdul Kadir, H. (+)-Catechin attenuates NF-κB activation through regulation of Akt, MAPK, and AMPK signaling pathways in LPS-induced BV-2 microglial cells. Am. J. Chin. Med. 2015, 43, 927–952. [Google Scholar] [CrossRef] [PubMed]
- Wu, D.; Chen, Q.; Chen, X.; Han, F.; Chen, Z.; Wang, Y. The blood–brain barrier: Structure, regulation, and drug delivery. Signal Transduct. Target. Ther. 2023, 8, 217. [Google Scholar] [CrossRef] [PubMed]
- Banks, W.A. From blood–brain barrier to blood–brain interface: New opportunities for CNS drug delivery. Nat. Rev. Drug Discov. 2016, 15, 275–292. [Google Scholar] [CrossRef]
- Faria, A.; Pestana, D.; Teixeira, D.; Couraud, P.-O.; Romero, I.; Weksler, B.; de Freitas, V.; Mateus, N.; Calhau, C. Insights into the putative catechin and epicatechin transport across blood-brain barrier. Food Funct. 2011, 2, 39–44. [Google Scholar] [CrossRef]





| Gene | Primer |
|---|---|
| iNOS (F) | 5′-GTT GAA GAC TGA GAC TCT GG-3′ |
| iNOS (R) | 5′-GAC TAG GCT ACT CCG TGG A-3′ |
| COX-2 (F) | 5′-GGT GGC TGT TTT GGT AGG CTG-3′ |
| COX-2 (R) | 5′-GGG TTG CTG GGG GAA GAA ATG-3′ |
| IL-1β (F) | 5′-CCT CGT GCT GTC GGA CCC AT-3′ |
| IL-1β (R) | 5′-CAG GCT TGT GCT CTG CTT GTG A-3′ |
| IL-6 (F) | 5′-CCG GAG AGG AGA CTT CAC AG-3′ |
| IL-6 (R) | 5′-CAG AAT TGC CAT TGC ACA AC-3′ |
| TNF-α (F) | 5′-AAC TAG TGG TGC CAG CCG AT-3′ |
| TNF-α (R) | 5′-CTT CAC AGA GCA ATG ACT CC-3′ |
| GAPDH (F) | 5′-TGT GTC CGT CGT GGA TCT GA-3′ |
| GAPDH (R) | 5′-TTG CTG TTG AAG TCG CAG GAG-3′ |
Disclaimer/Publisher’s Note: The statements, opinions and data contained in all publications are solely those of the individual author(s) and contributor(s) and not of MDPI and/or the editor(s). MDPI and/or the editor(s) disclaim responsibility for any injury to people or property resulting from any ideas, methods, instructions or products referred to in the content. |
© 2024 by the authors. Licensee MDPI, Basel, Switzerland. This article is an open access article distributed under the terms and conditions of the Creative Commons Attribution (CC BY) license (https://creativecommons.org/licenses/by/4.0/).
Share and Cite
Cho, H.-g.; Kim, D.-U.; Oh, J.-Y.; Park, S.-J.; Kweon, B.; Bae, G.-S. Anti-Neuroinflammatory Effects of Arecae pericarpium on LPS-Stimulated BV2 Cells. Curr. Issues Mol. Biol. 2024, 46, 884-895. https://doi.org/10.3390/cimb46010056
Cho H-g, Kim D-U, Oh J-Y, Park S-J, Kweon B, Bae G-S. Anti-Neuroinflammatory Effects of Arecae pericarpium on LPS-Stimulated BV2 Cells. Current Issues in Molecular Biology. 2024; 46(1):884-895. https://doi.org/10.3390/cimb46010056
Chicago/Turabian StyleCho, Hyeon-gyu, Dong-Uk Kim, Jin-Young Oh, Sung-Joo Park, Bitna Kweon, and Gi-Sang Bae. 2024. "Anti-Neuroinflammatory Effects of Arecae pericarpium on LPS-Stimulated BV2 Cells" Current Issues in Molecular Biology 46, no. 1: 884-895. https://doi.org/10.3390/cimb46010056
APA StyleCho, H.-g., Kim, D.-U., Oh, J.-Y., Park, S.-J., Kweon, B., & Bae, G.-S. (2024). Anti-Neuroinflammatory Effects of Arecae pericarpium on LPS-Stimulated BV2 Cells. Current Issues in Molecular Biology, 46(1), 884-895. https://doi.org/10.3390/cimb46010056

