Targeting Hyperuricemia and NLRP3 Inflammasome in Gouty Arthritis: A Preclinical Evaluation of Allopurinol and Disulfiram Combination Therapy
Abstract
1. Introduction
2. Results
2.1. Physical Evaluation
2.1.1. Effect of ALP with DSF on Body Weight
2.1.2. Effect of ALP with DSF on Paw Swelling
2.1.3. Effect of ALP with DSF on Inflammation Index
2.1.4. Effect of ALP with DSF on the Dysfunction Index
2.2. Biochemical Estimation
2.2.1. Effect of ALP with DSF on Serum Uric Acid
2.2.2. Effect of ALP with DSF on Pro-Inflammatory Cytokines
2.3. Assessment of Renal Function
Effect of ALP with DSF on Renal Function
2.4. Radiographic Studies
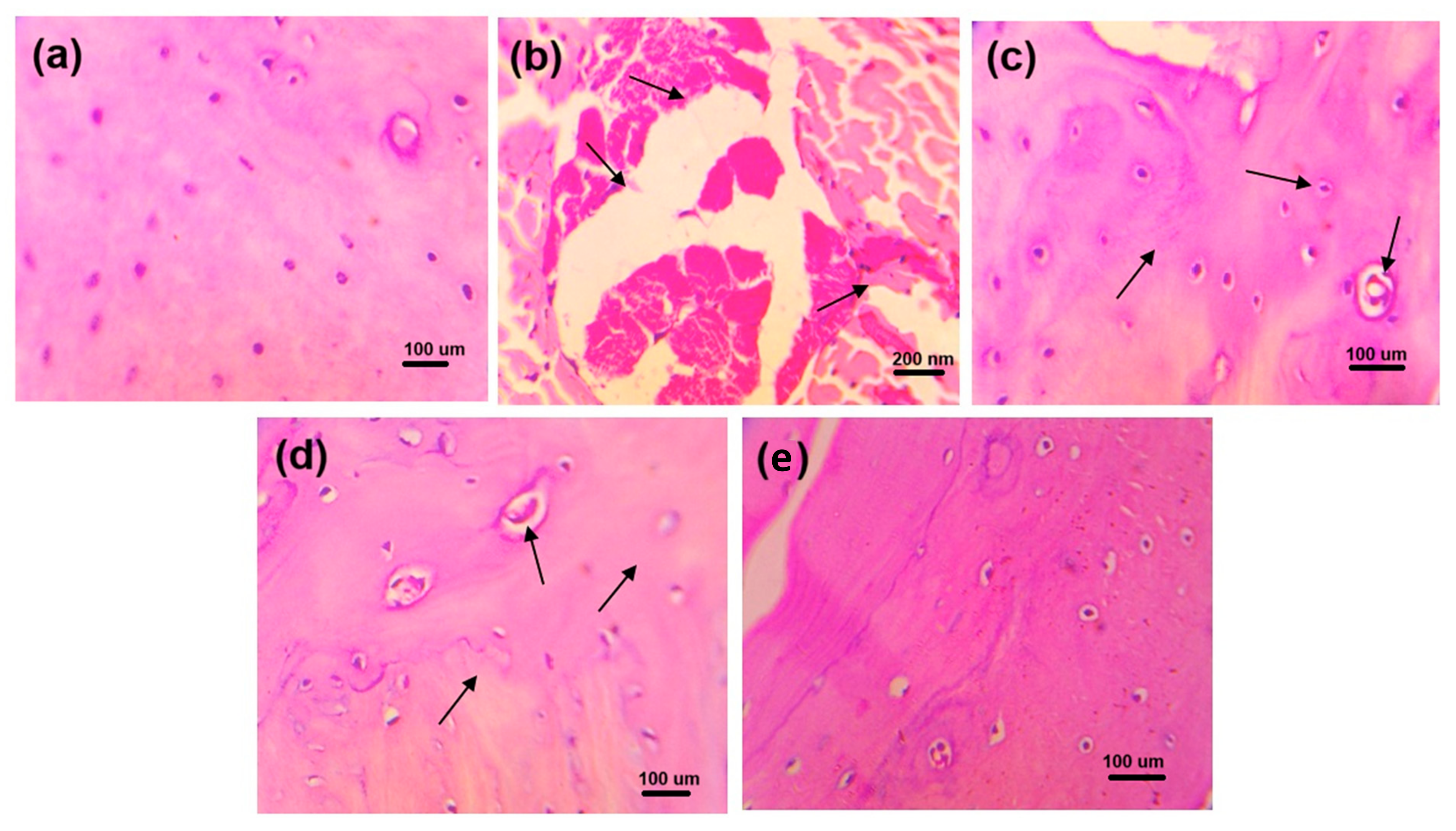
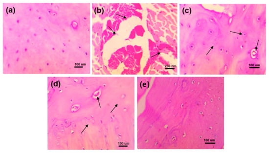
2.5. Histopathological Evaluation
2.6. Effect of Treatment on NLRP3 Protein Expression
3. Discussion
4. Materials and Methods
4.1. Materials
4.2. Synthesis of MSU Crystals
4.3. Pharmacological Study Design
4.3.1. Selection of Animals
4.3.2. Animal Grouping
4.3.3. Training of Animals
4.3.4. Induction of Gouty Arthritis in Rats
4.4. Physical Evaluation
4.4.1. Measurement of Bodyweight
4.4.2. Assessment of Paw Swelling
4.4.3. Inflammation Index and Dysfunction Index
4.4.4. Methodology to Rate the Inflammation
4.4.5. Methodology to Score Dysfunction
4.5. Biochemical Estimation
4.5.1. Estimation of Uric Acid
4.5.2. Estimation of IL-1β, TNF-α, and IL-6
4.5.3. Assessment of Renal Function
4.5.4. Radiographic Analysis
4.6. Histopathological Evaluation
4.7. Western Blot Analysis
4.8. Statistical Analysis
5. Conclusions
Author Contributions
Funding
Institutional Review Board Statement
Informed Consent Statement
Data Availability Statement
Acknowledgments
Conflicts of Interest
References
- Perez-Ruiz, F.; Dalbeth, N.; Bardin, T. A review of uric acid, crystal deposition disease, and gout. Adv. Ther. 2015, 32, 31–41. [Google Scholar] [CrossRef] [PubMed]
- Dalbeth, N.; Merriman, T.R.; Stamp, L.K. Gout. Lancet. 2018, 392, 1373–1387. [Google Scholar] [CrossRef]
- Kim, S.K. The Mechanism of the NLRP3 Inflammasome Activation and Pathogenic Implication in the Pathogenesis of Gout. J. Rheum. Dis. 2022, 29, 140–153. [Google Scholar] [CrossRef] [PubMed] [PubMed Central]
- Zamudio-Cuevas, Y.; Martínez-López, V.; Luján-Juárez, I.A.; Montaño-Armendariz, N.; Martínez-Flores, K.; Fernández-Torres, J.; Gimeno, M.; Sánchez-Sánchez, R. Anti-inflammatory and Antioxidant Effect of Poly-gallic Acid (PGAL) in an In Vitro Model of Synovitis Induced by Monosodium Urate Crystals. Inflammation 2022, 45, 2066–2077. [Google Scholar] [CrossRef]
- Li, X.; Meng, X.; Timofeeva, M.; Tzoulaki, I.; Tsilidis, K.K.; Ioannidis, J.P.A. Serum uric acid levels and multiple health outcomes: Umbrella review of meta-analyses of observational studies. BMJ 2020, 368, j2376. [Google Scholar] [CrossRef]
- Du, L.; Zong, Y.; Li, H.; Wang, Q.; Xie, L.; Yang, B.; Pang, Y.; Zhang, C.; Zhong, Z.; Gao, J. Hyperuricemia and its related diseases: Mechanisms and advances in therapy. Signal Transduct. Target. Ther. 2024, 9, 212. [Google Scholar] [CrossRef]
- Oh, Y.J.; Moon, K.W. Presence of tophi is associated with a rapid decline in the renal function in patients with gout. Sci. Rep. 2021, 11, 5684. [Google Scholar] [CrossRef]
- Roddy, E.; Choi, H.K. Epidemiology of gout. Arthritis Res. Ther. 2013, 15, 221. [Google Scholar] [CrossRef]
- Cronstein, B.N.; Sunkureddi, P. Mechanistic aspects of inflammatory arthritis: The role of adenosine and adenosine receptors. Nat. Rev. Rheumatol. 2013, 9, 703–713. [Google Scholar] [CrossRef]
- Ahn, E.Y.; So, M.W. The pathogenesis of gout. J. Rheum. Dis. 2025, 32, 8–16. [Google Scholar] [CrossRef]
- Wu, M.; Hu, X.; Lu, T.; Liu, C.; Lu, H. Uric acid is independently associated with interleukin-1β levels in tear fluid of hyperuricemia and gout patients. Immun. Inflamm. Dis. 2023, 11, e805. [Google Scholar] [CrossRef] [PubMed]
- Wang, M.; Lin, X.; Yang, X.; Yang, Y. Research progress on related mechanisms of uric acid activating NLRP3 inflammasome in chronic kidney disease. Ren. Fail. 2022, 44, 615–624. [Google Scholar] [CrossRef]
- Borghi, C.; Agnoletti, D.; Cicero, A.F.G.; Lurbe, E.; Virdis, A. Uric Acid and Hypertension: A Review of Evidence and Future Perspectives for the Management of Cardiovascular Risk. Hypertension 2022, 79, 1927–1936. [Google Scholar] [CrossRef]
- Kasahara, K.; Kerby, R.L.; Zhang, Q.; Pradhan, M.; Mehrabian, M.; Lusis, A.J.; Bergström, G.; Bäckhed, F.; Rey, F.E. Gut bacterial metabolism contributes to host global purine homeostasis. Cell Host Microbe 2023, 31, 1038–1053.E10. [Google Scholar] [CrossRef]
- Schlesinger, N. The safety of treatment options available for gout. Expert Opin. Drug Saf. 2017, 16, 429–436. [Google Scholar] [CrossRef]
- Singh, J.A.; Saag, K.G.; Bridges, S.L., Jr.; Akl, E.A.; Bannuru, R.R.; Sullivan, M.C.; Vaysbrot, E.; McNaughton, C.; Osani, M.; Shmerling, R.H.; et al. 2015 American College of Rheumatology guideline for the treatment of rheumatoid arthritis. Arthritis Rheumatol. 2016, 68, 1–26. [Google Scholar] [CrossRef]
- Tian, Y.; He, X.; Li, R.; Wu, Y.; Ren, Q.; Hou, Y. Recent advances in the treatment of gout with NLRP3 inflammasome inhibitors. Bioorg. Med. Chem. 2024, 112, 117874. [Google Scholar] [CrossRef]
- Shi, C.; Lyu, W.; Yu, J.; Chen, Y.; Xiu, S.; Zhang, X.; Zhang, L.; Liu, Z. Scaffold hopping-driven optimization for the identification of NLRP3 inhibitors as potential gout therapeutics. Eur. J. Med. Chem. 2024, 279, 116881. [Google Scholar] [CrossRef]
- Jansen, T.; Klück, V.; Janssen, M.; Comarniceanu, A.; Efdé, M.; Scribner, C.; Barrow, R.; Skouras, D.; Dinarello, C.; Joosten, L. P160 The first phase 2A proof-of-concept study of a selective NLRP3 inflammasome inhibitor, dapansutrile™ (OLT1177™), in acute gout. Ann. Rheum. Dis. 2019, 78, A70–A71. [Google Scholar] [CrossRef]
- Xue, Y.; Li, R.; Fang, P.; Ye, Z.-Q.; Zhao, Y.; Zhou, Y.; Zhang, K.-Q.; Li, L. NLRP3 inflammasome inhibitor cucurbitacin B suppresses gout arthritis in mice. J. Mol. Endocrinol. 2021, 67, 27–40. [Google Scholar] [CrossRef]
- Tang, D.H.; Ye, Y.S.; Wang, C.Y.; Li, Z.L.; Zheng, H.; Ma, K.L. Potassium oxonate induces acute hyperuricemia in the tree shrew (tupaia belangeri chinensis). Exp. Anim. 2017, 66, 209–216. [Google Scholar] [CrossRef] [PubMed]
- Deng, W.; Yang, Z.; Yue, H.; Ou, Y.; Hu, W.; Sun, P. Disulfiram suppresses NLRP3 inflammasome activation to treat peritoneal and gouty inflammation. Free Radic. Biol. Med. 2020, 156, 57–69. [Google Scholar] [CrossRef] [PubMed]
- Xu, J.; Pickard, J.M.; Núñez, G. FDA-approved disulfiram inhibits the NLRP3 inflammasome by regulating NLRP3 palmitoylation. Cell Rep. 2024, 43, 114609. [Google Scholar] [CrossRef]
- Ramalingam, V. NLRP3 inhibitors: Unleashing their therapeutic potential against inflammatory diseases. Biochem. Pharmacol. 2023, 218, 115915. [Google Scholar] [CrossRef]
- Wang, C.; Pan, Y.; Zhang, Q.-Y.; Wang, F.-M.; Kong, L.-D. Quercetin and allopurinol ameliorate kidney injury in STZ-treated rats via regulation of renal NLRP3 inflammasome activation. PLoS ONE 2012, 7, e38285. [Google Scholar] [CrossRef]
- Zhou, Y.; Chen, Y.; Zhong, X.; Xia, H.; Zhao, M.; Zhao, M.; Xu, L.; Guo, X.; You, C.G. Lipoxin A4 attenuates MSU-crystal-induced NLRP3 inflammasome activation through suppressing Nrf2 thereby increasing TXNRD2. Front. Immunol. 2022, 13, 1060441. [Google Scholar] [CrossRef]
- Kelley, N.; Jeltema, D.; Duan, Y.; He, Y. The NLRP3 Inflammasome: An Overview of Mechanisms of Activation and Regulation. Int. J. Mol. Sci. 2019, 20, 3328. [Google Scholar] [CrossRef]
- Zhao, J.; Wei, K.; Jiang, P.; Chang, C.; Xu, L.; Xu, L.; Shi, Y.; Guo, S.; Xue, Y.; He, D. Inflammatory response to regulated cell death in gout and its functional implications. Front. Immunol. 2022, 13, 888306. [Google Scholar] [CrossRef]
- Tian, J.; Wang, B.; Xie, B.; Liu, X.; Zhou, D.; Hou, X.; Xiang, L. Pyroptosis inhibition alleviates potassium oxonate- and monosodium urate-induced gouty arthritis in mice. Mod. Rheumatol. 2021, 32, 221–230. [Google Scholar] [CrossRef]
- Al-Kuraishy, H.M.; Al-Gareeb, A.I.; Al-Niemi, M.S.; Aljowaie, R.M.; Almutairi, S.M.; Alexiou, A.; Batiha, G.E. The Prospective Effect of Allopurinol on the Oxidative Stress Index and Endothelial Dysfunction in COVID-19. Inflammation 2022, 45, 1651–1667. [Google Scholar] [CrossRef]
- Zheng, D.; Liwinski, T.; Elinav, E. Inflammasome activation and regulation: Toward a better understanding of complex mechanisms. Cell Discov. 2020, 6, 36. [Google Scholar] [CrossRef] [PubMed]
- Peng, X.; Liu, K.; Hu, X.; Gong, D.; Zhang, G. Hesperitin-Copper(II) Complex Regulates the NLRP3 Pathway and Attenuates Hyperuricemia and Renal Inflammation. Foods 2024, 13, 591. [Google Scholar] [CrossRef]
- Cao, Y.; Hu, Y.; Jin, X.F.; Liu, Y.; Zou, J.M. Dimethyl fumarate attenuates MSU-induced gouty arthritis by inhibiting NLRP3 inflammasome activation and oxidative stress. Eur. Rev. Med. Pharmacol. Sci. 2023, 27, 628–641. [Google Scholar] [CrossRef]
- Bernier, M.; Mitchell, S.J.; Wahl, D.; Diaz, A.; Singh, A.; Seo, W.; Wang, M.; Ali, A.; Kaiser, T.; Price, N.L.; et al. Disulfiram Treatment Normalizes Body Weight in Obese Mice. Cell Metab. 2020, 32, 203–214.E4. [Google Scholar] [CrossRef]
- Wei, S.; Xiao, Z.; Huang, J.; Peng, Z.; Zhang, B.; Li, W. Disulfiram inhibits oxidative stress and NLRP3 inflammasome activation to prevent LPS-induced cardiac injury. Int. Immunopharmacol. 2022, 105, 108545. [Google Scholar] [CrossRef]
- Seok, J.K.; Kang, H.C.; Cho, Y.Y.; Lee, H.S.; Lee, J.Y. Therapeutic regulation of the NLRP3 inflammasome in chronic inflammatory diseases. Arch. Pharm. Res. 2021, 44, 16–35. [Google Scholar] [CrossRef]
- Landis, R.C.; Haskard, D.O. Pathogenesis of crystal-induced inflammation. Curr. Rheumatol. Rep. 2001, 3, 36–41. [Google Scholar] [CrossRef]
- Xu, W.; Huang, Y.; Zhou, R. NLRP3 inflammasome in neuroinflammation and central nervous system diseases. Cell Mol. Immunol. 2025, 22, 341–355. [Google Scholar] [CrossRef]
- Patil, T.; Soni, A.; Acharya, S. A brief review on in vivo models for gouty arthritis. Metab. Open 2021, 11, 100100. [Google Scholar] [CrossRef]
- Riaz, M.; Al Kury, L.T.; Atzaz, N.; Alattar, A.; Alshaman, R.; Shah, F.A.; Li, S. Carvacrol Alleviates Hyperuricemia-Induced Oxidative Stress and Inflammation by Modulating the NLRP3/NF-κB Pathwayt. Drug Des. Devel. Ther. 2022, 16, 1159–1170. [Google Scholar] [CrossRef]
- Omran, Z.; Sheikh, R.; Baothman, O.A.; Zamzami, M.A.; Alarjah, M. Repurposing Disulfiram as an Anti-Obesity Drug: Treating and Preventing Obesity in High-Fat-Fed Rats. Diabetes Metab. Syndr. Obes. 2020, 13, 1473–1480. [Google Scholar] [CrossRef] [PubMed]
- Martillo, M.A.; Nazzal, L.; Crittenden, D.B. The crystallization of monosodium urate. Curr. Rheumatol. Rep. 2014, 16, 400. [Google Scholar] [CrossRef] [PubMed]
- Li, S.; Sun, Y.; Song, M.; Song, Y.; Fang, Y.; Zhang, Q.; Li, X.; Song, N.; Ding, J.; Lu, M.; et al. NLRP3/caspase-1/GSDMD-mediated pyroptosis exerts a crucial role in astrocyte pathological injury in mouse model of depression. JCI Insight 2021, 6, e146852. [Google Scholar] [CrossRef] [PubMed]
- Parasuraman, S.; Zhen, K.M.; Raveendran, R. Retro-orbital Blood Sample Collection in Rats-a Video Article. PTB Rep. 2015, 1, 37–40. [Google Scholar] [CrossRef]
- Umare, V.; Pradhan, V.; Nadkar, M.; Rajadhyaksha, A.; Patwardhan, M.; Ghosh, K.K.; Nadkarni, A.H. Effect of proinflammatory cytokines (IL-6, TNF-α, and IL-1β) on clinical manifestations in Indian SLE patients. Mediat. Inflamm. 2014, 2014, 385297. [Google Scholar] [CrossRef]
- Martinon, F.; Pétrilli, V.; Mayor, A.; Tardivel, A.; Tschopp, J. Gout-associated uric acid crystals activate the NALP3 inflammasome. Nature 2006, 440, 237–241. [Google Scholar] [CrossRef]









| S.No | Treatment | Before Treatment | After Treatment |
|---|---|---|---|
| 1 | Group I (Normal Control) | 175.8 ± 1.721 | 180.0 ± 0.5774 ****a, ****b, |
| 2 | Group II (Disease Control) | 180.7 ± 1.430 | 128.5 ± 2.232 ****c, ****d, ****e |
| 3 | Group III (ALP) | 171.3 ± 4.022 | 159.7 ± 1.358 ** |
| 4 | Group IV (DSF) | 181.3 ± 2.028 | 177.3 ± 1.116 |
| 5 | Group V (ALP + DSF) | 180.2 ± 2.358 | 179.7 ± 1.453 *** |
| S. No | Treatment | Paw Swelling (Mm) | ||
|---|---|---|---|---|
| Day 21 | Day 26 | Day 30 | ||
| 1. | Group I (Normal Control) | 3.44 ± 0.07 *a | 3.44 ± 0.07 ****a, ****b | 3.25 ± 0.10 ****a, ****b |
| 2. | Group II (Disease Control) | 3.44 ± 0.09 *b | 6.78 ± 0.65 *c, ** | 6.35 ± 0.62 ***c |
| 3. | Group III (ALP) | 3.54 ± 0.06 | 5.96 ± 0.18 ***b, ****c | 4.70 ± 0.06 ****c |
| 4. | Group IV (DSF) | 3.55 ± 0.18 | 5.53 ± 0.14 ****d | 4.15 ± 0.13 ****d |
| 5. | Group V (ALP + DSF) | 3.52 ± 0.08 | 4.72 ± 0.05 ***a | 3.37 ± 0.02 *d |
| S.NO | Treatment | Unit | After Injection of MSU Crystal | |||||||
|---|---|---|---|---|---|---|---|---|---|---|
| On Day 26 | On Day 30 | |||||||||
| Grade 0 | Grade 1 | Grade 2 | Grade 3 | Grade 0 | Grade 1 | Grade 2 | Grade 3 | |||
| 1. | Group I (Normal Control) | pcs | 0.00 ± 0.00 | 0.00 ± 0.00 **a | 0.00 ± 0.00 | 0.00 ± 0.00 | 0.00 ± 0.00 | 0.00 ± 0.00 **a | 0.00 ± 0.00 | 0.00 ± 0.00 |
| 2. | Group II (Disease Control) | pcs | 0.00 ± 0.00 | 1.33 ± 0.33 *a | 3.66 ± 0.21 ****a | 5.66 ± 0.21 ***a | 0.00 ± 0.00 | 1.16 ± 0.30 **e | 2.83 ± 0.16 ****a | 4.33 ± 0.33 ****a |
| 3. | Group III (ALP) | pcs | 0.00 ± 0.00 | 0.66 ± 0.21 *b | 2.83 ± 0.16 | 4.50 ± 0.22 ***b | 0.00 ± 0.00 | 0.86 ± 0.21 | 2.33 ± 0.42 ***b | 3.25 ± 0.25 ****b |
| 4. | Group IV (DSF) | pcs | 0.00 ± 0.00 | 1.16 ± 0.30 | 2.50 ± 0.22 **b | 4.16 ± 0.16 **b | 0.00 ± 0.00 | 0.83 ± 0.21 **d | 1.50 ± 0.36 **b | 2. ± 0.33 ****c |
| 5. | Group V (ALP + DSF) | pcs | 0.00 ± 0.00 | 1.00 ± 0.25 *c | 2.66 ± 0.21 **c | 2.25 ± 0.47 ***d | 0.00 ± 0.00 | 0.50 ± 0.22 ****b | 0.10 ± 0.10 ***c | 1.27 ± 0.33 ***c |
| S. No | Treatment | Urea (mg/dL) | Creatinine (mg/dL) |
|---|---|---|---|
| 1. | Group I (Normal Control) | 45.60 ± 1.03 ****a, ****b, **a | 0.50 ± 0.03 ****a, **a, **b, ***a |
| 2. | Group II (Disease Control) | 69.82 ± 0.61 ****c | 1.33 ± 0.17 *a, ***b, ***c |
| 3. | Group III (ALP) | 58.70 ± 0.25 | 0.92 ± 0.19 **c |
| 4. | Group IV (DSF) | 49.47 ± 0.39 ****d | 0.71 ± 0.14 |
| 5. | Group V (ALP + DSF) | 46.85 ± 0.23 ****e | 0.60 ± 0.04 *b |
| S.No | Groups | Treatment | Animals Required | |
|---|---|---|---|---|
| 1 | Group I | Normal control | Saline 0.5 mL p.o | 6 |
| 2 | Group II | Disease control | MSU crystals 0.2 mL (25 mg/mL) sub-plantar + PO 250 mg/kg i.p | 6 |
| 3 | Group III | ALP Treatment | MSU crystals 0.2 mL (25 mg/mL) sub-plantar +PO 250 mg/kg i.p + ALP 10 mg/kg p.o | 6 |
| 4 | Group IV | DSF treatment | MSU crystals 0.2 mL (25 mg/mL) sub-plantar + PO 250 mg/kg i.p + DSF 50 mg/kg p.o | 6 |
| 5 | Group V | ALP + DSF | MSU crystals 0.2 mL (25 mg/mL) sub-plantar + PO 250 mg/kg i.p + ALP 10 mg/kg p.o + DSF 50 mg/kg p.o | 6 |
| Total number of animals | 30 | |||
Disclaimer/Publisher’s Note: The statements, opinions and data contained in all publications are solely those of the individual author(s) and contributor(s) and not of MDPI and/or the editor(s). MDPI and/or the editor(s) disclaim responsibility for any injury to people or property resulting from any ideas, methods, instructions or products referred to in the content. |
© 2025 by the authors. Licensee MDPI, Basel, Switzerland. This article is an open access article distributed under the terms and conditions of the Creative Commons Attribution (CC BY) license (https://creativecommons.org/licenses/by/4.0/).
Share and Cite
Asiri, Y.I.; Pichaivel, M.; Parameshwaran, S.P.; Venkatesan, K.; Alqahtani, S.; Alqahtani, T.; Ahmed, R.; Elfadil, H.; Elodemi, M.; Genena, S.; et al. Targeting Hyperuricemia and NLRP3 Inflammasome in Gouty Arthritis: A Preclinical Evaluation of Allopurinol and Disulfiram Combination Therapy. Pharmaceuticals 2025, 18, 762. https://doi.org/10.3390/ph18050762
Asiri YI, Pichaivel M, Parameshwaran SP, Venkatesan K, Alqahtani S, Alqahtani T, Ahmed R, Elfadil H, Elodemi M, Genena S, et al. Targeting Hyperuricemia and NLRP3 Inflammasome in Gouty Arthritis: A Preclinical Evaluation of Allopurinol and Disulfiram Combination Therapy. Pharmaceuticals. 2025; 18(5):762. https://doi.org/10.3390/ph18050762
Chicago/Turabian StyleAsiri, Yahya I., Manimekalai Pichaivel, Selva Prasanthi Parameshwaran, Krishnaraju Venkatesan, Saud Alqahtani, Taha Alqahtani, Rehab Ahmed, Hassabelrasoul Elfadil, Mahmoud Elodemi, Shaimaa Genena, and et al. 2025. "Targeting Hyperuricemia and NLRP3 Inflammasome in Gouty Arthritis: A Preclinical Evaluation of Allopurinol and Disulfiram Combination Therapy" Pharmaceuticals 18, no. 5: 762. https://doi.org/10.3390/ph18050762
APA StyleAsiri, Y. I., Pichaivel, M., Parameshwaran, S. P., Venkatesan, K., Alqahtani, S., Alqahtani, T., Ahmed, R., Elfadil, H., Elodemi, M., Genena, S., Sivadasan, D., & Paulsamy, P. (2025). Targeting Hyperuricemia and NLRP3 Inflammasome in Gouty Arthritis: A Preclinical Evaluation of Allopurinol and Disulfiram Combination Therapy. Pharmaceuticals, 18(5), 762. https://doi.org/10.3390/ph18050762

