Karyotypes and COI Gene Sequences of Chironomus agilis2, Ch. balatonicus, and Camptochironomus tentans (Diptera, Chironomidae) from Kurchatskoe Lake, Tyumen Region, Russia
Abstract
1. Introduction
2. Materials and Methods
3. Results
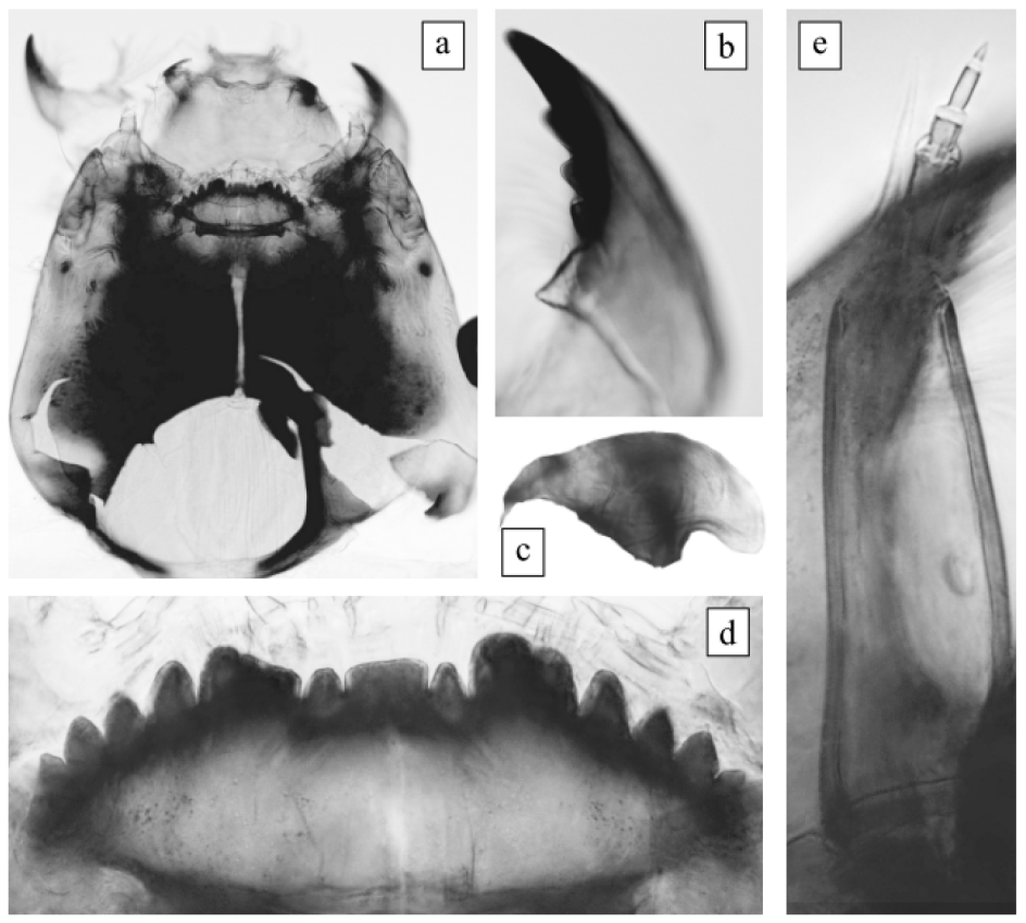
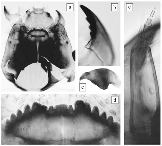
3.1. Morphological Characters of Ch. agilis2 from Kurchatskoe Lake
3.2. Karyotypes of Chironomus from Kurchatskoe Lake
3.2.1. Karyotype of Chironomus agilis2
3.2.2. Karyotype of Chironomus balatonicus
3.2.3. Karyotype of Camptochironomus tentans
3.3. COI Gene Sequences and Phylogenetic Analysis of Chironomus from Kurchatskoe Lake
- Ch. agilis2: GenBank accession number OP435179; length 675 bp; percentage of nucleotides A:24, C:21, G:18, and T:37.
- Ch. balatonicus: GenBank accession number OP435180; length 677 bp; percentage of nucleotides A:25, C:20, G:17, T:38.
- C. tentans: GenBank accession number OP434795; length 671 bp; percentage of nucleotides A:27, C:19, G:16, T:38.
3.3.1. Genetic Distances between Chironomus Obtained with K2P
3.3.2. Analysis of the Phylogenetic Tree
4. Discussion
5. Conclusions
Author Contributions
Funding
Institutional Review Board Statement
Data Availability Statement
Acknowledgments
Conflicts of Interest
References
- Azarov, V.I.; Lezin, V.A.; Krivenko, V.G. Lakes of the Tobolo-Ishim forest-steppe. In Wetlands of Russia.V. 1. Wetlands of International Importance; Krivenko, V.G., Ed.; Wetlands International Publications: Moscow, Russia, 1998; pp. 158–172. [Google Scholar]
- Aleshina, O.A.; Larin, S.I.; Katanaeva, V.G. To assess the state of macrozoobenthos in the lakes of the middle forest-steppe of the Tyumen Ishim region. In Geoecological Problems of the Tyumen Region; Kalinin, V.M., Ed.; Vektor Buk: Tyumen, Russia, 2006; pp. 246–253. [Google Scholar]
- Kozlov, O.V. Crustaceans of Ecosystems of Small Lakes under Conditions of Anthropogenic Stress (on the Example of Reservoirs of the Ishim Plain); Moscow State University: Moscow, Russia, 2005; p. 54. [Google Scholar]
- Stepanova, V.B.; Sharapova, T.A. The fauna of chironomids of Western Siberia. Bull. Ecol. For. Landsc. Stud. 2001, 2, 117–124. [Google Scholar]
- Aleshina, O.A.; Katanaeva, V.G. Distribution and organization of macrozoobenthos in brackish lakes of the Ishim forest-steppe. Bull. Tyumen State Univ. Ecol. Nat. Manag. 2010, 7, 66–75. [Google Scholar]
- Krasnenko, A.S. The Structure of the Macrozoobenthos Population of Reservoirs in the South of the Tyumen Region (on the Example of the Ishim District). Ph.D. Thesis, Omsk State Pedagogical Institute, Omsk, Russia, 2010. [Google Scholar]
- Kiknadze, I.I.; Shilova, A.I.; Shobanov, N.A.; Zelentsov, N.I.; Grebenyuk, L.P.; Istomina, A.G.; Pratasov, V.A. Karyoypes and Larval Morphology in Tribe Chironomini. Atlas; Nauka Publish: Novosibirsk, Russia, 1991; pp. 1–115. [Google Scholar]
- Kiknadze, I.I.; Istomina, A.G.; Gunderina, L.I.; Aimanova, K.G.; Savvinov, D.D. Banding Sequence Pools of Chironomid of Yakutian Permafrost. Tribe Chironomini; Nauka: Novosibirsk, Russia, 1996; pp. 1–166. [Google Scholar]
- Kiknadze, I.I.; Istomina, A.G.; Golygina, V.V.; Gunderina, L.I. Karyotypes of Palearctic and Holarctic Species of the Genus Chironomus [Electronic Resource]; Kiknadze, I.I., Ed.; Russian Academy of Sciences: Moscow, Russia; Siberian Branch: Novosibirsk, Russia; Federal Research Center Institute of Cytology and Genetics: Novosibirsk, Russia; Academic Publishing House “GEO”: Novosibirsk, Russia, 2016; ISBN 9785990885325. [Google Scholar]
- DeSalle, R.; Egan, M.G.; Siddall, M. The unholy trinity: Taxonomy, species delimitation and DNA barcoding. Philos. Trans. R. Soc. B Biol. Sci. 2005, 360, 1905–1916. [Google Scholar] [CrossRef] [PubMed]
- Proulx, I.; Martin, J.; Carew, M.; Hare, L. Using various lines of evidence to identify Chironomus species (Diptera: Chironomidae) in eastern Canadian lakes. Zootaxa 2013, 3741, 401–458. [Google Scholar] [CrossRef] [PubMed]
- Ekrem, T.; Willassen, E.; Stur, E. A comprehensive DNA sequence library is essential for identification with DNA barcodes. Mol. Phylogenet. Evol. 2007, 43, 530–542. [Google Scholar] [CrossRef]
- Kiknadze, I.I.; Istomina, A.G. Karyotypes and Chromosomal Polymorphisms in Siberian Chironomids (Diptera, Chironomidae). Sib. Ecol. J. 2000, 4, 445–460. [Google Scholar]
- Kiknadze, I.I. The role of chromosomal polymorphism in divergence of populations and species of the genus Chironomus (Diptera). Entomol. Rev. 2008, 88, 509–524. [Google Scholar] [CrossRef]
- Kiknadze, I.I.; Siirin, M.T.; Filippova, M.; Gunderina, L.I.; Kalachikov, S.M. The change of the pericentromeric heterochromatin mass in one of important ways of the chironomid evolution. Tsitologiia 1991, 33, 90–98. [Google Scholar]
- Golygina, V.V.; Kiknadze, I.I.; Broshkov, A.D.; Karamysheva, T.V.; Rubtsov, N.B. Structural features of centromeres in poletene chromosomes of chironomidae (Diptera) species. VOGiS Her. 2010, 14, 622–631. [Google Scholar]
- Dévai, G.; Wülker, W.F.; Scholl, A. Revision der Gattung Chironomus Meigen (Diptera). IX. C. balatonicus sp. n. aus Flachsee Balaton. Acta Zool. Acad. Sci. Hung. 1983, 29, 357–374. [Google Scholar]
- Maksimova, F.L.; Petrova, N.A. Geographical variability of the karyotype of Chironomus plumosus (Diptera, Chironomidae). Zool. Zhurnal 1978, 57, 1816–1826. [Google Scholar]
- Maksimova, F.L. The inversion polymorphism of Chironomus plumosus nature populations. New Data Karyosyst. Diptera Proc. Zool. Inst. 1980, 95, 31–39. [Google Scholar]
- Dévai, G.; Miskolczi, M.; Wülker, W.F. Standardization of chromosome arms B, C and D in Chironomus (Diptera, Chironomidae). Acta Biol. Debricina. Suppl. Oecologica Hung. 1989, 2, 79–92. [Google Scholar]
- Michailova, P.; Petrova, N.A. Cytogenetic characteristics of Chironomus balatonicus Devai, Wulker, Scholl (Diptera, Chironomidae) from Chernobyl region. Cytobios 1994, 79, 15–29. [Google Scholar] [PubMed]
- Markiyanova, M.F. The main parameters of the cytogenetic structure of the population of Chironomus balatonicus Dévai et al. from the Vislinsky Bay of the Baltic Sea. Bull. I. Kant Russ. State Univ. 2009, 7, 42–49. [Google Scholar]
- Golygina, V.V.; Istomina, A.G.G.; Rakisheva, A.Z.; Kiknadze, I.I. New banding sequences in the Chironomus balatonicus karyofund. Tsitologiya 1996, 38, 869–883. [Google Scholar]
- Gunderina, L.I.; Kiknadze, I.I.; Golygina, V.V. Differentiation of the Cytogenetic structure of natural populations in the plumosus group of sibling species Chironomus balatonicus, Chironomus entis, Chironomus muratensis, Chironomus nudiventris (Chironomidae: Diptera). Genetica 1999, 35, 606–614. [Google Scholar]
- Golygina, V.V.; Kiknadze, I.I. A revision of chromosome II (CD) mapping in Chironomus plumosus (Linnaeus, 1758) group (Diptera, Chironomidae). Comp. Cytogenet. 2012, 6, 249–266. [Google Scholar] [CrossRef]
- Golygina, V.V.; Kiknadze, I.I. The revision of chromosome III (EF) mapping in Chironomus plumosus (Linnaeus, 1758) group (Diptera, Chironomidae). Comp. Cytogenet. 2018, 12, 201–222. [Google Scholar] [CrossRef]
- Petrova, N.A.; Vinokurova, N.V.; Danilova, M.V.; Sharton, A.Y. Inversion polymorphism in the population of Camptochironomus tentans from Kaliningrad city. Tsitologiya 2011, 53, 580–585. [Google Scholar]
- Beermann, W. Chromomeren Konstanz und spezifische Modifikationen der Chromosomen Struktur inder Entwicklung und Organdiffernzierung von Chronomus tentans. Chromosoma 1952, 5, 139–198. [Google Scholar] [CrossRef]
- Beermann, W. Zytologische Analyse eines Camptochironomus–Artbastards: 1. Kreuzungsergebnisse und die Evolution des Karyotypus. Chromosoma 1955, 7, 198–259. [Google Scholar] [CrossRef]
- Acton, A.B. Chromosome inversions in natural populations of chirnomus tentans. J. Genet. 1957, 55, 61–94. [Google Scholar] [CrossRef]
- Acton, A.B. A cytological comparison of Nearctic and Palearctic representatives of Chironomus tentans. Proc. Linn. Soc. 1958, 169, 129–131. [Google Scholar]
- Acton, A.B. A study of the differences between widely separated populations of Chironomus (=Tendipes) tentans (Diptera). Proc. R. Soc. London. Ser. B. Biol. Sci. 1959, 151, 277–296. [Google Scholar] [CrossRef]
- Michailova, P.V. The polytene chromosomes and their significance to the family Chironomidae, Diptera. Acta Zool. Fenn. 1989, 186, 1–107. [Google Scholar]
- Kiknadze, I.I.; Aimanova, K.T.; Gunderina, L.I.; Philippova, M.A.; Istomina, A.G. Chromosomal polymorphism in the Ural and Siberian populations of Camptochironomus tentans. Zool. Zhurnal 1993, 72, 59–75. [Google Scholar]
- Gunderina, L.I.; Kiknadze, I.I.; Aimanova, K.G.; Istomina, A.G.; Proviz, V.I.; Salova, T.A.; Rakisheva, A.Z.; Butler, M.G. Cytogenetic differentiation of natural and laboratory populations of Camptochironomus tentans (Fabricius) (Chironomidae: Diptera). Russ. J. Genet. 1996, 32, 45–57. [Google Scholar]
- Kiknadze, I.I.; Aimanova, K.G.; Gunderina, L.I.; Butler, M.G.; Cooper, J.K. Geographic variation in the polytene chromosome banding pattern of the Holarctic midge Chironomus (Camptochironomus) tentans (Fabricius). Can. J. Zool. 1996, 74, 171–191. [Google Scholar] [CrossRef]
- Kiknadze, I.I.; Butler, M.G.; Aimanova, K.G.; Andreeva, E.N.; Martin, J.; Gunderina, L.I. Divergent cytogenetic evolution in Nearctic and Palearctic populations of sibling species in the subgenus (Camptochironomus) Kieffer. Can. J. Zool. 1998, 76, 361–376. [Google Scholar] [CrossRef]
- Petrova, N.A.; Ilyinskaya, N.B. Inversion polymorphism of natural populations of Camptochironomus tentans (Diptera, Chironomidae) from north-western part of Russia. In Karyosystematics of Invertebrates; MSU Botanical Garden: Moscow, Russia, 1996; pp. 36–57. [Google Scholar]
- Ilyinskaya, N.B.; Petrova, N.A. Karyotype and inversion polymorphism of natural populations of Camptochironomus tentans (Diptera, Chironomidae) from north-western part of Russia. Tsitologiya 1997, 39, 848–856. [Google Scholar]
- Michailova, P. Chromosome Polymorphism of Camptochironomus tentans (Fabricius 1805) (Diptera: Chironomidae) from Łuknajno (Mazurian Lakeland), Poland. Acta Zool. Bulg. 2008, 60, 155–163. [Google Scholar]
- Kiknadze, I.I.; Shobanov, N.A.; Aimanova, K.G.; Andreeva, E.N. Karyotype and morphology of Camptochironomus setivalva (Diptera, chironomidae) larva. Zool. Zhurnal 2000, 79, 695–703. [Google Scholar]
- Shobanov, N.A.; Kiknadze, I.I.; Butler, M.G. Palearctic and Nearctic Chironomus (Camptochironomus) tentans (Fabricius) are different species (Diptera, Chironomidae). Entomol. Scand. 1999, 30, 311–322. [Google Scholar]
- Martin, J.; Guryev, V.; Blinov, A. Population variability in Chironomus (Camptochironomus) species (Diptera, Nematocera) with a Holarctic distribution: Evidence of mitochondrial gene flow. Insect Mol. Biol. 2002, 11, 387–397. [Google Scholar] [CrossRef] [PubMed]
- Polukonova, N.V.; Shaternikov, A.N.; Karmokov, M.K. Inversion polymorphism of non-biting midges Camptochironomus tentans (Fabricius) 1805 (Diptera, Chironomidae) from populations of the Lower Volga region and Central Caucasus. Russ. J. Genet. 2015, 51, 22–32. [Google Scholar] [CrossRef]
- Belyanina, S.I.; Loginova, N.V. A list of chromosomal sequences in chironomus spp. of plumosus group. I. The karyofund of Chironomus balatonicus Devai, Wulker, Scholl, 1983. Tsitologiia 1993, 35, 87–92. [Google Scholar]
- Bolshakov, V.V. Variability of Karyofunds of Chironomus plumosus (Diptera, Chironomidae) from the Rybinsk Reservoir during the Period of Climate Warming. Inland Water Biol. 2021, 14, 256–262. [Google Scholar] [CrossRef]
- Dyomin, S.Y. Variability of the Degree of Condensation of Polytene Chromosomes in the Cells of Different Organs of Chironomus plumosus Larvae from Nature. Ph.D. Thesis, Institute of Cytology of the USSR Academy of Sciences, Leningrad, Russia, 1989. [Google Scholar]
- Ilyinskaya, N.B. The development of 4th instar larvae and diapause. In Chironomus plumosus L. (Diptera, Chironomidae). Systematics, Morphology, Ecology, Production; Sokolova, N.Y., Ed.; Nauka Publishers: Moscow, Russia, 1983; pp. 167–188. [Google Scholar]
- Kiknadze, I.I.; Golygina, V.V.; Filippova, M.A. Evidence of species-specific pericentric inversion in the karyotype of the midge Chironomus balatonicus. Tsitologiia 2002, 44, 97–101. [Google Scholar]
- Keyl, H.G. Chromosomenevolution bei Chironomus. II. Chromosomenumbauten und phylogenetische beziehungen der arten. Chromosoma 1962, 13, 464–514. [Google Scholar] [CrossRef]
- Keyl, H.-G. Chromosomenevolution bei Chironomus I. Strukturabwandlungen an Speicheldrüsen-Chromosomen. Chromosoma 1961, 12, 26–47. [Google Scholar] [CrossRef]
- Petrova, N.A.; Maksimova, F.L. The role of chromosomal rearrangements in the speciation of chironomids (Diptera, chironomidae). Genetica 1978, 14, 1201–1207. (In Russian) [Google Scholar]
- Folmer, O.; Black, M.; Hoeh, W.; Lutz, R.; Vrijenhoek, R. DNA primers for amplification of mitochondrial cytochrome c oxidase subunit I from diverse metazoan invertebrates. Mol. Mar. Biol. Biotechnol. 1994, 3, 294–299. [Google Scholar]
- Tamura, K.; Stecher, G.; Peterson, D.; Filipski, A.; Kumar, S. MEGA6: Molecular evolutionary genetics analysis version 6.0. Mol. Biol. Evol. 2013, 30, 2725–2729. [Google Scholar] [CrossRef]
- Ronquist, F.; Huelsenbeck, J.P. MrBayes 3: Bayesian phylogenetic inference under mixed models. Bioinformatics 2003, 19, 1572–1574. [Google Scholar] [CrossRef]
- Ronquist, F.; Teslenko, M.; van der Mark, P.; Ayres, D.L.; Darling, A.; Höhna, S.; Larget, B.; Liu, L.; Suchard, M.A.; Huelsenbeck, J.P. MrBayes 3.2: Efficient Bayesian Phylogenetic Inference and Model Choice Across a Large Model Space. Syst. Biol. 2012, 61, 539–542. [Google Scholar] [CrossRef]
- Karmokov, M.K. Karyotype characteristics, chromosomal polymorphism and gene COI sequences of Chironomus heteropilicornis Wülker, 1996 (Diptera, Chironomidae) from the South Caucasus. Comp. Cytogenet. 2019, 13, 339–357. [Google Scholar] [CrossRef]
- Bolshakov, V.V.; Prokin, A.A. Karyotype and COI sequences of Chironomus sokolovae Istomina, Kiknadze et Karyotype and COI sequences of Chironomus sokolovae Istomina, Kiknadze et Siirin, 1999 (Diptera, Chironomidae) from the bay of Orkhon River, Mongolia. Comp. Cytogenet. 2021, 15, 149–157. [Google Scholar] [CrossRef]
- Bolshakov, V.V.; Movergoz, E.A. Karyotype and COI gene sequences of Chironomus melanotus Keyl, 1961 from the Yaroslavl region, Russia, and the difficulties with its identification using GenBank and BOLD systems. Comp. Cytogenet. 2022, 16, 161–172. [Google Scholar] [CrossRef]
- FigTree v.1.4.3. Available online: http://tree.bio.ed.ac.uk/software/figtree/ (accessed on 27 September 2022).
- Shobanov, N.A.; Demin, A.G. Chironomus agilis—New species of group plumosus (Diptera, Chironomidae). Zool. Zhurnal 1988, 67, 1489–1497. (In Russian) [Google Scholar]
- Shobanov, N.A. The karyofund of Chironomus plumosus (L.) (Diptera, Chironomidae) I. Standartization of bands according to the Maximova system. Tsitologiia 1994, 36, 117–122. [Google Scholar]
- Golygina, V.V.; Kiknadze, I.I. The revision of chromosome I (AB) mapping in Chironomus plumosus group (Diptera: Chironomidae). Comp. Cytogenet. 2008, 2, 37–55. [Google Scholar]
- Shobanov, N.A. Karyotype and larva morphology of Chironomus oculatus sp.n. (Diptera, chironomidae). Zool. Zhurnal 1996, 75, 1668–1675. (In Russian) [Google Scholar]
- Guryev, V.; Makarevitch, I.; Blinov, A.; Martin, J. Phylogeny of the genus Chironomus (Diptera) inferred from DNA sequences of mitochondrial Cytochrome b and Cytochrome oxidase I. Mol. Phylogenet. Evol. 2001, 19, 9–21. [Google Scholar] [CrossRef] [PubMed]
- Guryev, V.P.; Blinov, A.G. Phylogenetic Relationships among Holarctic Populations of Chironomus entis and Chironomus plumosus in View of Possible Horisontal Transfer of Mitochondrial Genes. Russ. J. Genet. 2002, 38, 239–243. [Google Scholar] [CrossRef]
- Kondo, N.I.; Ueno, R.; Ohbayashi, K.; Golygina, V.V.; Takamura, K. DNA barcoding supports reclassification of Japanese Chironomus species (Diptera: Chironomidae). Entomol. Sci. 2016, 19, 337–350. [Google Scholar] [CrossRef]
- Bolshakov, V.V.; Prokin, A.A.; Artemenko, S.V. Karyotype and COI gene sequence of Chironomus heteropilicornis Wülker, 1996 (Diptera, Chironomidae) from the Gydan Peninsula, Russia. Comp. Cytogenet. 2021, 15, 447–458. [Google Scholar] [CrossRef]
- Karmokov, M.K. Karyotype characteristics and gene COI sequences of Chironomus bonus Shilova et Dzhvarsheishvili, 1974 (Diptera, Chironomidae) from the South Caucasus (Republic of Georgia, Paravani river). Comp. Cytogenet. 2022, 16, 19–38. [Google Scholar] [CrossRef]
- Roslin, T.; Somervuo, P.; Pentinsaari, M.; Hebert, P.D.N.; Agda, J.; Ahlroth, P.; Anttonen, P.; Aspi, J.; Blagoev, G.; Blanco, S.; et al. A molecular-based identification resource for the arthropods of Finland. Mol. Ecol. Resour. 2022, 22, 803–822. [Google Scholar] [CrossRef]
- Demin, A.G.; Polukonova, N.V.; Mugue, N.S. Molecular phylogeny and the time of divergence of minges (Chironomidae, Nematocera, Diptera) inferred from a partial nucleotide sequence of the cytochrome oxidase I gene (COI). Russ. J. Genet. 2011, 47, 1168–1180. [Google Scholar] [CrossRef]
- Song, C.; Wang, X.; Bu, W.; Qi, X. Morphology lies: A case-in-point with a new non-biting midge species from oriental China (Diptera, chironomidae). Zookeys 2020, 2020, 67–77. [Google Scholar] [CrossRef]
- Shobanov, N.A. The Genus Chironomus Meigen (Diptera, Chironomidae) (Systematics, Biology, Evolution). Ph.D. Dissertation, Saint-Petersburg State University, Saint-Petersburg, Russia, 2000. [Google Scholar]
- Golygina, V.V.; Kiknadze, I.I.; Burlak, V.A. Response of an inversion-polymorphic populations of Chironomus plumosus and Chironomus balatonicus to Infection by the entomopathogenic bacterium Bacillus thuringiensis israelensis. Sib. Ecol. J. 2000, 4, 523–528. [Google Scholar]
- Sasa, M.; Kawai, K. Studies on the chironomids midges of Lake Biwa (Diptera, Chironomidae). Lake Biwa Study Monogr. 1987, 3, 1–119. [Google Scholar]





| No. | 1 | 2 | 3 | 4 | 5 | 6 | 7 | 8 | 9 | 10 | 11 | 12 | 13 | 14 | 15 | 16 | 17 |
|---|---|---|---|---|---|---|---|---|---|---|---|---|---|---|---|---|---|
| Ch. agilis2 OP435179 Tyumen reg. | Ch. agilis2 AF192190 Novosibirsk reg. | Ch. balatonicus OP435180 Tyumen reg. | Ch. balatonicus JN016827 Saratov reg. | Ch. balatonicus JN016826 Sararov reg. | Ch. balatonicus AF192193 Novosibirsk reg. | C. tentans OP434795 Tyumen reg. | C. tentans MN942989 China | C. tentans MZ658107 Finland | C. tentans F110158 Sweden | C. tentans AF110157 Altai reg. | C. tentans AF110156 Yakutia reg. | C. pallidivittatus AF110164 Yakutia reg. | C. biwaprimus AF110166 Japan | Ch. agilis MZ656297 Finland | Ch. cingulatus MZ660558 Finland | Ch. cingulatus AF192191 Novosibirsk reg. | |
| 1 | |||||||||||||||||
| 2 | 1.0 | ||||||||||||||||
| 3 | 6.8 | 6.2 | |||||||||||||||
| 4 | 6.8 | 6.2 | 0.0 | ||||||||||||||
| 5 | 6.8 | 6.2 | 0.0 | 0.0 | |||||||||||||
| 6 | 6.8 | 6.2 | 0.8 | 0.8 | 0.8 | ||||||||||||
| 7 | 16.7 | 16.2 | 14.8 | 14.8 | 14.8 | 13.9 | |||||||||||
| 8 | 18.0 | 17.0 | 17.0 | 17.0 | 17.0 | 16.0 | 4.5 | ||||||||||
| 9 | 16.7 | 16.2 | 14.8 | 14.8 | 14.8 | 13.9 | 0.0 | 4.5 | |||||||||
| 10 | 16.5 | 16.0 | 14.8 | 14.8 | 14.8 | 13.9 | 0.4 | 4.7 | 0.4 | ||||||||
| 11 | 16.5 | 16.0 | 14.6 | 14.6 | 14.6 | 14.1 | 0.2 | 4.7 | 0.2 | 0.6 | |||||||
| 12 | 16.5 | 16.0 | 15.1 | 15.1 | 15.1 | 14.1 | 0.2 | 4.3 | 0.2 | 0.6 | 0.4 | ||||||
| 13 | 16.7 | 16.2 | 15.3 | 15.3 | 15.3 | 14.4 | 1.1 | 4.3 | 1.1 | 1.5 | 1.3 | 1.0 | |||||
| 14 | 17.5 | 16.5 | 16.8 | 16.8 | 16.8 | 15.8 | 4.7 | 1.0 | 4.7 | 4.9 | 4.9 | 4.5 | 4.5 | ||||
| 15 | 17.2 | 16.9 | 17.7 | 17.7 | 17.7 | 17.7 | 16.0 | 16.0 | 16.0 | 16.2 | 15.7 | 16.2 | 16.2 | 16.2 | |||
| 16 | 17.2 | 16.9 | 17.7 | 17.7 | 17.7 | 17.7 | 16.0 | 16.0 | 16.0 | 16.2 | 15.7 | 16.2 | 16.2 | 16.2 | 0.0 | ||
| 17 | 12.3 | 11.2 | 10.8 | 10.8 | 10.8 | 10.3 | 16.9 | 16.9 | 16.9 | 16.9 | 17.1 | 16.7 | 17.1 | 17.2 | 13.9 | 13.9 | 0.0 |
Publisher’s Note: MDPI stays neutral with regard to jurisdictional claims in published maps and institutional affiliations. |
© 2022 by the authors. Licensee MDPI, Basel, Switzerland. This article is an open access article distributed under the terms and conditions of the Creative Commons Attribution (CC BY) license (https://creativecommons.org/licenses/by/4.0/).
Share and Cite
Bolshakov, V.; Movergoz, E.; Stolbov, V. Karyotypes and COI Gene Sequences of Chironomus agilis2, Ch. balatonicus, and Camptochironomus tentans (Diptera, Chironomidae) from Kurchatskoe Lake, Tyumen Region, Russia. Diversity 2022, 14, 1044. https://doi.org/10.3390/d14121044
Bolshakov V, Movergoz E, Stolbov V. Karyotypes and COI Gene Sequences of Chironomus agilis2, Ch. balatonicus, and Camptochironomus tentans (Diptera, Chironomidae) from Kurchatskoe Lake, Tyumen Region, Russia. Diversity. 2022; 14(12):1044. https://doi.org/10.3390/d14121044
Chicago/Turabian StyleBolshakov, Viktor, Ekaterina Movergoz, and Vitaly Stolbov. 2022. "Karyotypes and COI Gene Sequences of Chironomus agilis2, Ch. balatonicus, and Camptochironomus tentans (Diptera, Chironomidae) from Kurchatskoe Lake, Tyumen Region, Russia" Diversity 14, no. 12: 1044. https://doi.org/10.3390/d14121044
APA StyleBolshakov, V., Movergoz, E., & Stolbov, V. (2022). Karyotypes and COI Gene Sequences of Chironomus agilis2, Ch. balatonicus, and Camptochironomus tentans (Diptera, Chironomidae) from Kurchatskoe Lake, Tyumen Region, Russia. Diversity, 14(12), 1044. https://doi.org/10.3390/d14121044
