You are currently viewing a new version of our website. To view the old version click .
International Journal of Molecular Sciences
  • Case Report
  • Open Access

26 December 2025

Coexistence of Alport Syndrome and Fabry Disease in a Female with R112H Variant: Early Progression of Fabry

,
,
,
,
,
,
,
,
and
1
Department of Medical and Surgical Sciences (DIMEC), Alma Mater Studiorum—University of Bologna, 40126 Bologna, Italy
2
Nephrology, Dialysis and Transplant Unit, IRCCS Azienda Ospedaliero-Universitaria di Bologna, 40126 Bologna, Italy
3
Pathology Unit, IRCCS Azienda Ospedaliero-Universitaria di Bologna, 40126 Bologna, Italy
4
Nephrology and Dialysis, Meyer Children’s Hospital IRCCS, 50139 Florence, Italy
Int. J. Mol. Sci.2026, 27(1), 269;https://doi.org/10.3390/ijms27010269 
(registering DOI)
This article belongs to the Special Issue A Molecular Perspective on the Genetics of Kidney Diseases

Abstract

Fabry disease (FD) is an X-linked lysosomal disorder caused by GLA mutations, typically associated with glycosphingolipid accumulation and a wide phenotypic spectrum. The p.R112H variant is generally linked to a non-classic predominantly renal phenotype with mild biochemical abnormalities and slow progression. We report the case of a young woman carrying the R112H mutation who exhibited early-onset kidney involvement and unusually rapid progression to end-stage renal disease. Clinical history, serial evaluations, and kidney biopsy findings initially supported a diagnosis of Fabry nephropathy; however, re-evaluation of the native kidney biopsy revealed marked remodeling and multilamellation of the glomerular basement membrane, suggesting Alport-like lesions. Subsequent genetic testing confirmed a heterozygous pathogenic COL4A4 variant (G912R), indicating coexistence of Fabry disease and autosomal dominant Alport syndrome. This dual genetic condition likely accounted for the accelerated decline in kidney function, in contrast with the typically mild phenotype associated with R112H. Our literature review indicates that coexistence of these two inherited nephropathies has not previously been confirmed either histologically or genetically. This case underscores the importance of integrating genetic and ultrastructural assessment in patients with atypical or rapidly progressive renal disease

1. Introduction

Fabry disease (FD, OMIM 301500) is a rare inherited storage disorder caused by mutations in the GLA gene (located at Xq22) that result in deficient or absent lysosomal α-galactosidase A (GLA) activity [1]. The ubiquitous presence of lysosomes, essential for breaking down and recycling cellular materials, suggests that FD has a broad impact, influencing various organs and exhibiting a range of phenotypes shaped by the degree of their involvement [2]. Enzymatic defects lead to an accumulation of glycosphingolipids, such as globotriaosylceramide (Gb3) and globotriaosylsphingosine (lyso-Gb3), in multiple cell types, tissues, and organs [3]. It has been demonstrated that exposure to plasma lyso-Gb3 correlates with the severity of disease manifestations [4].
The clinical presentation of FD is highly variable, with phenotypes ranging from the early onset “classic form” (no residual enzymatic activity, markedly elevated lyso-Gb3 levels, and rapid progression to organ failure) to the “late-onset form” (delayed onset disease with low residual enzymatic activity, mildly elevated lyso-Gb3 levels, and slow progression).
In patients with classic form, symptoms typically appear in childhood and involve multiple organs with acroparesthesia at the extremities, angiokeratomas, hypohidrosis, cornea verticillata, gastrointestinal symptoms (such as abdominal pain or diarrhea), and albuminuria. As patients progress into adolescence and adulthood, they may develop overt proteinuria and chronic renal failure, hypertrophic cardiomyopathy, and cerebrovascular complications. Kidney function progressively declines, often leading to end-stage kidney disease (ESKD) in males in the third to fifth decade.
By contrast, in late-onset phenotypes, patients exhibit residual leukocyte α-Gal A activity ranging from 10% to 30%, symptom onset typically occurs in the fourth to fifth decades of life [5], while disease progression and severity are variable, with symptoms predominantly involving cardiac complications.
Heterozygous females may either remain asymptomatic or experience milder symptoms with a later onset compared to males. However, it is not uncommon for some females to present with symptoms as severe as those seen in males with the classic phenotype. This phenotypic variability among heterozygotes can be influenced by several factors, including random X-chromosome inactivation [6].
More than 1000 different GLA variants have been identified in patients with Fabry disease (http://fabry-database.org (accessed on 20 November 2025). Most GLA mutations are linked to a non-classic phenotype; however, in a significant number of cases, the diagnosis of Fabry disease remains uncertain due to the presence of genetic variants of unknown significance (VUS) [7].
The p.R112H (c.335G > A) variant is generally associated with a late-onset phenotype, and it is characterized by almost normal to mildly elevated lyso-Gb3 levels and mild clinical symptoms, despite relatively low GLA enzymatic activity. It is thought to involve only the renal system and generally occurs in the advanced decades of life [8,9,10,11].
Alport syndrome (AS) is an inherited disorder caused by mutations in the COL4A5 (OMIM 303630), COL4A4 (OMIM 120131), and COL4A3 (OMIM 120070) genes, which compromise the integrity of the type IV collagen network within the glomerular basement membrane (GBM), leading to X-linked, autosomal, or digenic patterns of inheritance [12,13].
The X-linked form (XLAS), resulting from COL4A5 mutations, represents the most common type and accounts for approximately 80% of all Alport syndrome cases [14].
In contrast, the autosomal dominant (ADAS) and autosomal recessive (ARAS) forms are estimated to account for about 5% and 15% of cases, respectively [15].
Recent evidence suggests that pathogenic variants in COL4A3 and COL4A4 may be more frequent than previously recognized [16].
Clinically, the disease presents with hematuria, proteinuria, and progressive renal failure, often accompanied by hearing impairment and ocular defects [17].
In this study, we report the case of a young woman with Fabry disease caused by the GLA R112H variant, characterized by early kidney involvement that rapidly progressed to end-stage kidney disease (ESKD), in whom renal biopsy revealed Alport-like lesions, further confirmed by the identification of a heterozygous COL4A4 mutation (G912R).
We reviewed the literature, analyzed the clinical characteristics and pathological findings, and shared pathophysiological mechanisms between Fabry disease and Alport syndrome, aiming to provide clinical insights and facilitate more accurate diagnoses. To the best of our knowledge, this is the first histologically proven case reporting the coexistence of these two genetic diseases.

2. Case Description

A 40-year-old woman (weight 62 kg, height 167 cm, BMI 21 Kg/m2) was admitted to our referral center for a clinical evaluation due to FD secondary to the R112H mutation in the GLA gene. The family medical history was positive for Fabry disease: the patient’s mother, who was also affected by the disease, died at the age of 47 due to acute myocardial infarction (AMI) and stroke.
The proband’s medical history revealed disease onset at the age of 13, presenting with proteinuria. At 20 years of age, she developed renal colic in the context of arterial hypertension and hypercholesterolemia. The diagnosis of FD was made in 2006, when a kidney biopsy revealed the typical zebra bodies of Fabry nephropathy. The leukocyte enzyme activity was 2.4 nmol/mg/h (reference values > 3). Soon after, she started enzyme replacement therapy (ERT) with agalsidase beta (1 mg/kg/bw eow) together with ACE inhibitor. Subsequently, due to shortage of agalsidase beta, the treatment was switched to agalsidase alfa (0.2 mg/kg/bw eow).
In 2010, cardiac magnetic resonance imaging (MRI) showed no signs of cardiac involvement. In 2018, because of the worsening of kidney function and proteinuria (creatinine di 1.96 mg/dL, eGFR 33 mL/min, urea 98 mg/dL, serum total proteins 54 g/L, proteinuria 1.56 g/die, albuminemia 28 g/L), a second kidney biopsy was performed: light microscopy revealed diffuse chronic lesions, while electron microscopy showed chronic alterations and lipid inclusions. In 2020, the patient was switched again to agalsidase-beta (1 mg/kg/bw eow). Finally, in 2021 the patient underwent kidney transplantation. In the same period the lyso-Gb3 was 2.3 nmol/L.
In August 2024, the patient underwent further evaluation at our center. Potential multisystem involvement was assessed: no signs of cardiac disease were detected (IVS 7 mm; absence of left ventricular hypertrophy on cardiac MRI); at the peripheral nervous system (PNS) level, no acroparesthesia was noted, though mild hypohidrosis was present; brain MRI revealed millimetric foci of gliosis in the white matter; there were no signs of cornea verticillata; audiometry was within normal limits, and no angiokeratomas were observed. The Lyso-Gb3 levels were 2.91 nmol/mL. Blood tests indicated impaired kidney function, with creatinine at 3.18 mg/dL (eGFR 16 mL/min), leading to the patient being placed on the waiting list for a second kidney transplant.
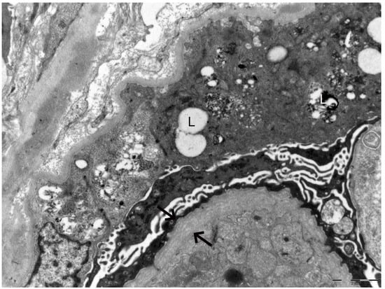
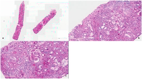
In 2025, owing to the unusually rapid loss of graft function (creatinine 3.89 mg/dL, eGFR 14 mL/min, urea 102 mg/dL, serum total proteins 56 g/L, AUCR 127 mg/g crea, proteinuria 0.81 g/die), the kidney biopsy performed on the native kidney in 2018 was re-evaluated at our center: a diagnosis of chronic interstitial nephritis with advanced glomerular sclerosis and severe arteriolar nephrosclerosis was established (Figure 1). On re-evaluation of the biopsy by electron microscopy, the residual glomerular capillary loops exhibited marked remodeling and multilamellation of the glomerular basement membrane, consistent with an Alport-like ultrastructural pattern. Podocytes contained abundant lipid droplets, autophagic vacuoles, and distorted myeloid bodies. Remnants of electron-dense deposits and areas of hyaline material were also seen. Numerous interstitial foam cells were present (Figure 2 and Figure 3).
Figure 1. (a) Hematoxylin and Eosin (×400). Diffuse interstitial fibrosis and glomerular sclerosis. (b) Periodic acid–Schiff (×400). Chronic interstitial nephritis with scattered tubulitis and diffuse foam cells foci. (c) Periodic acid–Schiff (×400). Glomerulus nearly globally sclerosed with multiple adhesions. Moderate arteriolosclerosis.
Figure 2. Electron microscopy of the kidney biopsy. The arrows indicate marked remodeling and multilamellation of the glomerular basement membrane. The letter L highlights lipid droplets, autophagic vacuoles, and distorted myeloid bodies present within podocytes.
Figure 3. Electron microscopy of the kidney biopsy. The arrows indicate marked remodeling and multilamellation of the glomerular basement membrane.
These ultrastructural findings prompted us to perform genetic testing for Alport syndrome, which revealed a heterozygous pathogenic variant, G912R, in the COL4A4 gene.
A timeline summarizing the patient’s clinical course is provided in Table 1.
Table 1. Timeline of the patient’s clinical events.

3. Discussion

R112H is a missense mutation that results in an amino acid substitution in GLA. R112 is positioned within the loop of the barrel domain in the GLA structure, close to the molecule’s surface, and the amino acid substitution does not impact the active site. Patients carrying the R112H mutation generally exhibit a mild GLA enzymatic activity reduction leading to nearly normal plasma lyso-Gb3 levels [8,9,10,11].
Generally, most patients carrying the R112H mutation are males and exhibit mild symptoms (primarily affecting the kidney system) with a non-classic FD phenotype [4,5,6,7,8,9]. However, some studies have reported severe manifestation, such as ESKD in one male patient at 39 years old [11]. Rombach et al. showed that among eleven patients carrying the R112H mutation, ten exhibited no symptoms of classic Fabry disease phenotype, while one male developed kidney insufficiency at the age of 43 [4]. Tanaka et al. reported the case of a male who showed only kidney involvement as well [18]. Sakuraba et al. reported that in 207 Japanese FD patients, five males with R112H had a late onset phenotype [9]. Only two studies have reported female patients with the R112H variant exhibiting mild isolated proteinuria during adulthood [11,19].
In our study, the patient carrying the R112H mutation exhibited a slightly reduced enzymatic activity (2.4 nmol/mg/h) and mildly elevated plasma lyso-Gb3 levels (2.91 nmol/L). Nevertheless, she showed a severe and early impairment of kidney function, without evidence of cardiac or cerebral involvement, requiring the early start of hemodialysis and subsequent kidney transplantation at the age of 37. The clinical and histopathological findings indicate a rapid progression of Fabry nephropathy in a young female patient with a variant that is generally associated in the literature with late-onset phenotypes [4,9].
Therefore, the presence of significant histological lesions, along with those typical of Fabry nephropathy, and the rapid and early progression to ESKD, rule out the pathogenicity of a late-onset variant in our case.
Of note, we recognized similar histologic lesions as reported in the kidney biopsy of an analogous case report of a female with the R122H variant, which initially suggested a possible complement-related disease but was subsequently excluded by genetic testing [11].
Moreover, the re-evaluation of the renal biopsy revealed features suggestive of Alport syndrome, subsequently confirmed by genetic testing, which identified a heterozygous pathogenic variant, G912R, in the COL4A4 gene.
The pathogenic COL4A4 variant identified in the patient is located within the triple-helical domain of the extracellular matrix protein type IV collagen α4 chain, leading to the substitution of a glycine residue that plays a critical role in maintaining the structural stability of the type IV collagen network.
Considering the early onset of kidney damage in a patient carrying a Fabry mutation typically associated with late-onset disease, it is likely that Alport syndrome may have significantly contributed to the renal decline.
Cases of coexistence of Fabry disease and Alport syndrome are extremely rare and have been only sporadically reported in the literature. Importantly, to date, no case has been documented with definitive confirmation of both diseases by combined genetic and histopathological evidence.
Ren et al. reported a patient with Fabry disease and immunoglobulin A nephropathy presenting with Alport syndrome–like histological findings, underscoring the diagnostic overlap between these entities. The diagnosis of both conditions was based solely on histopathological evaluation: IgA nephropathy was identified by light microscopy and immunofluorescence, whereas Fabry disease was recognized by electron microscopy, which demonstrated sphingolipid accumulation within podocytes and mesangial cells. Genetic testing would be necessary to confirm Fabry disease and to exclude Alport syndrome in light of the glomerular basement membrane alterations [20].
Similarly, Hao et al. reported a case of a patient with IgA nephropathy initially suspected to be associated with Fabry disease based on renal biopsy findings, including the presence of zebra bodies. However, subsequent whole-exome sequencing revealed a c.3209C > T mutation in the COL4A3 gene, confirming Alport syndrome, while no mutation was detected in the GLA gene [21].
More recently, Ponleitner et al. documented a male patient with mild renal impairment and microhematuria, in whom whole-exome sequencing revealed novel variants in both the COL4A4 (c.1181G > T, p.Gly394Val) and GLA (c.460A > G, p.Ile154Val) genes; however, the clinical and laboratory presentation was more consistent with Alport syndrome, and the pathogenic role of the GLA variant remained uncertain [22].
Our case is therefore particularly significant, as it represents the first reported instance with evidence from both renal histopathology and genetic testing, demonstrating the coexistence of Fabry disease and Alport syndrome.
Moreover, this experience should prompt us to investigate potential causes of unexplained findings that cannot be clarified by a simple evaluation of the clinical history.

4. Conclusions

In conclusion, the R112H mutation in the GLA gene exhibits a wide phenotypic spectrum, ranging from asymptomatic individuals to those with severe manifestations predominantly affecting the kidneys.
Our findings support the concept that this variant is associated with a predominantly renal phenotype. However, the distinctive feature of the present case is the unusually rapid progression of renal damage, which led to early renal replacement therapy in a young female patient.
The re-evaluation of the renal biopsy and subsequent genetic testing revealed the coexistence of a heterozygous pathogenic COL4A4 variant (G912R), indicating a concurrent diagnosis of Alport syndrome. This dual genetic condition likely contributed to the early and severe deterioration of renal function, emphasizing the complexity of genotype–phenotype correlations in inherited nephropathies.
This case highlights the crucial importance of an integrated diagnostic approach combining genetic and histopathological investigations, especially in patients with atypical or unexpectedly severe clinical courses. A thorough evaluation of unexplained renal findings may uncover coexisting genetic disorders, leading to a more accurate diagnosis, better risk stratification, and timely therapeutic intervention aimed at slowing disease progression toward end-stage kidney disease.

Author Contributions

Conceptualization: A.G., A.A., F.C., V.A., G.V., I.C., R.M. and G.L.M.; Methodology: A.G., G.V., B.F., F.B., G.P. and I.C.; Formal analysis and investigation: A.G., A.A., F.C. and V.A.; Writing—original draft preparation: A.A.; Writing—review and editing: I.C., V.A., G.V., A.A., F.C., R.M. and G.L.M.; Supervision: I.C., G.V., R.M. and G.L.M. All authors have read and agreed to the published version of the manuscript.

Funding

This research received no external funding.

Institutional Review Board Statement

Not applicable.

Data Availability Statement

The original contributions presented in this study are included in the article. Further inquiries can be directed to the corresponding author.

Conflicts of Interest

The authors declare no conflicts of interest.

Abbreviations

The following abbreviations are used in this manuscript:
FDFabry disease
GLAGalactosidase alpha
Gb3Globotriaosylceramide
Lyso-Gb3Globotriaosylsphingosine
ESKDEnd-stage kidney disease
VUSVariants of unknown significance
ASAlport syndrome
GBMGlomerular basement membrane
XLASX-linked Alport syndrome
ADASAutosomal dominant Alport syndrome
ARASAutosomal recessive Alport syndrome
AMIAcute myocardial infarction
ERTEnzyme replacement therapy
ACEAngiotensin-converting enzyme
MRIMagnetic resonance imaging
IVS Interventricular septum
PNSPeripheral nervous system
eGFREstimated glomerular filtration rate

References

  1. Brady, R.O.; Gal, A.E.; Bradley, R.M.; Martensson, E.; Warshaw, A.L.; Laster, L. Enzymatic Defect in Fabry’s Disease—Ceramidetrihexosidase deficiency. N. Engl. J. Med. 1967, 276, 1163–1167. [Google Scholar] [CrossRef]
  2. Mignani, R.; Pieruzzi, F.; Berri, F.; Burlina, A.; Chinea, B.; Gallieni, M.; Pieroni, M.; Salviati, A.; Spada, M. FAbry STabilization indEX (FASTEX): An innovative tool for the assessment of clinical stabilization in Fabry disease. Clin. Kidney J. 2016, 9, 739–747. [Google Scholar] [CrossRef]
  3. Mehta, A.; Clarke, J.T.R.; Giugliani, R.; Elliott, P.; Linhart, A.; Beck, M.; Sunder-Plassmann, G. FOS Investigators. Natural course of Fabry disease: Changing pattern of causes of death in FOS—Fabry Outcome Survey. J. Med. Genet. 2009, 46, 548–552. [Google Scholar] [CrossRef] [PubMed]
  4. Rombach, S.; Dekker, N.; Bouwman, M.; Linthorst, G.; Zwinderman, A.; Wijburg, F.; Kuiper, S.; Weerman, M.V.B.; Groener, J.; Poorthuis, B.; et al. Plasma globotriaosylsphingosine: Diagnostic value and relation to clinical manifestations of Fabry disease. Biochim. Biophys. Acta 2010, 1802, 741–748. [Google Scholar] [CrossRef] [PubMed]
  5. Echevarria, L.; Benistan, K.; Toussaint, A.; Dubourg, O.; Hagege, A.A.; Eladari, D.; Jabbour, F.; Beldjord, C.; De Mazancourt, P.; Germain, D.P. X-chromosome inactivation in female patients with Fabry disease. Clin. Genet. 2016, 89, 44–54. [Google Scholar] [CrossRef]
  6. Germain, D.P.; Levade, T.; Hachulla, E.; Knebelmann, B.; Lacombe, D.; Seguin, V.L.; Nguyen, K.; Noël, E.; Rabès, J.P. Challenging the traditional approach for interpreting genetic variants: Lessons from Fabry disease. Clin. Genet. 2022, 101, 390–402. [Google Scholar] [CrossRef]
  7. van der Tol, L.; Smid, B.E.; Poorthuis, B.J.; Biegstraaten, M.; Deprez, R.H.; Linthorst, G.E.; Hollak, C.E. A systematic review on screening for Fabry disease: Prevalence of individuals with genetic variants of unknown significance. J. Med. Genet. 2014, 51, 1–9. [Google Scholar] [CrossRef] [PubMed]
  8. Tsukimura, T.; Nakano, S.; Togawa, T.; Tanaka, T.; Saito, S.; Ohno, K.; Shibasaki, F.; Sakuraba, H. Plasma mutant α-galactosidase A protein and globotriaosylsphingosine level in Fabry disease. Mol. Genet. Metab. Rep. 2014, 1, 288–298. [Google Scholar] [CrossRef]
  9. Sakuraba, H.; Tsukimura, T.; Togawa, T.; Tanaka, T.; Ohtsuka, T.; Sato, A.; Shiga, T.; Saito, S.; Ohno, K. Fabry disease in a Japanese population-molecular and biochemical characteristics. Mol. Genet. Metab. Rep. 2018, 17, 73–79. [Google Scholar] [CrossRef]
  10. Eng, C.M.; Desnick, R.J. Molecular basis of Fabry disease: Mutations and polymorphisms in the human α-galactosidase A gene. Hum. Mutat. 1994, 3, 103–111. [Google Scholar] [CrossRef] [PubMed]
  11. Haninger-Vacariu, N.; El-Hadi, S.; Pauler, U.; Foretnik, M.; Kain, R.; Prohászka, Z.; Schmidt, A.; Skuban, N.; Barth, J.A.; Sunder-Plassmann, G. Pregnancy Outcome after Exposure to Migalastat for Fabry Disease: A Clinical Report. Case Rep. Obstet. Gynecol. 2019, 2019, 1030259. [Google Scholar] [CrossRef]
  12. Kashtan, C.E.; Michael, A.F. Alport syndrome. Kidney Int. 1996, 50, 1445–1463. [Google Scholar] [CrossRef] [PubMed]
  13. Savige, J.; Gregory, M.; Gross, O.; Kashtan, C.; Ding, J.; Flinter, F. Expert guidelines for the management of Alport syndrome and thin basement membrane nephropathy. J. Am. Soc. Nephrol. 2013, 24, 364–375. [Google Scholar] [CrossRef]
  14. Nozu, K.; Nakanishi, K.; Abe, Y.; Udagawa, T.; Okada, S.; Okamoto, T.; Kaito, H.; Kanemoto, K.; Kobayashi, A.; Tanaka, E.; et al. A review of clinical characteristics and genetic backgrounds in Alport syndrome. Clin. Exp. Nephrol. 2018, 23, 158–168. [Google Scholar] [CrossRef]
  15. Imafuku, A.; Nozu, K.; Sawa, N.; Hasegawa, E.; Hiramatsu, R.; Kawada, M.; Hoshino, J.; Tanaka, K.; Ishii, Y.; Takaichi, K.; et al. Autosomal dominant form of type IV collagen nephropathy exists among patients with hereditary nephritis difficult to diagnose clinicopathologically. Nephrology 2017, 23, 940–947. [Google Scholar] [CrossRef]
  16. Savige, J. Heterozygous Pathogenic COL4A3 and COL4A4 Variants (Autosomal Dominant Alport Syndrome) Are Common, and Not Typically Associated with End-Stage Kidney Failure, Hearing Loss, or Ocular Abnormalities. Kidney Int. Rep. 2022, 7, 1933–1938. [Google Scholar] [CrossRef]
  17. Savige, J.; Sheth, S.; Leys, A.; Nicholson, A.; Mack, H.G.; Colville, D. Ocular features in Alport syndrome: Pathogenesis and clinical significance. Clin. J. Am. Soc. Nephrol. 2015, 10, 703–709. [Google Scholar] [CrossRef] [PubMed]
  18. Yamashita, S.; Saotome, M.; Satoh, H.; Kajihara, J.; Mochizuki, Y.; Mizuno, K.; Nobuhara, M.; Miyajima, K.; Kumazawa, A.; Tominaga, H.; et al. Plasma Globotriaosylsphingosine Level as a Primary Screening Target for Fabry Disease in Patients with Left Ventricular Hypertrophy. Circ. J. 2019, 83, 1901–1907. [Google Scholar] [CrossRef]
  19. Tanaka, K.; Sugiyama, H.; Morinaga, H.; Onishi, A.; Tanabe, K.; Uchida, H.A.; Maruyama, H.; Wada, J. Late-onset renal variant Fabry disease with R112H mutation and mild increase in plasma globotriaosylsphingosine: A case report. Front. Med. 2024, 11, 1383309. [Google Scholar] [CrossRef] [PubMed]
  20. Ren, H.; Li, L.; Yu, J.; Wu, S.; Zhou, S.; Zheng, Y.; Sun, W. Fabry disease and immunoglobulin A nephropathy presenting with Alport syndrome-like findings: A case report. Medicine 2019, 98, e16256. [Google Scholar] [CrossRef]
  21. Hao, W.; Ao, L.; Zhang, C.; Zhu, L.; Xie, D. IgA nephropathy suspected to be combined with Fabry disease or Alport syndrome: A case report. J. Int. Med Res. 2020, 48, 300060519891290. [Google Scholar] [CrossRef] [PubMed]
  22. Ponleitner, M.; Allmer, D.M.; Hecking, M.; Gatterer, C.; Graf, S.; Smogavec, M.; Laccone, F.; Rommer, P.S.; Sunder-Plassmann, G. Phenotyping of a novel COL4A4 and novel GLA variant in a patient presenting with microhematuria and mildly impaired kidney function: A case report. Front. Genet. 2023, 14, 1211858. [Google Scholar] [CrossRef] [PubMed]
Disclaimer/Publisher’s Note: The statements, opinions and data contained in all publications are solely those of the individual author(s) and contributor(s) and not of MDPI and/or the editor(s). MDPI and/or the editor(s) disclaim responsibility for any injury to people or property resulting from any ideas, methods, instructions or products referred to in the content.

Article Metrics

Citations

Article Access Statistics

Article metric data becomes available approximately 24 hours after publication online.