Adipose-Derived Mesenchymal Stem Cells Improve Acute Liver Injury: A Mechanistic Study Based on the TLR4/MyD88/NF-κB Pathway
Abstract
1. Introduction
2. Results
2.1. Characterization of ADSCs from Luopan Mountain Pigs
2.2. Detection of Homing Capacity of Liver Tissue-Derived ADSCs
2.3. ADSC Transplantation Improved Survival Rates in ALI Rats
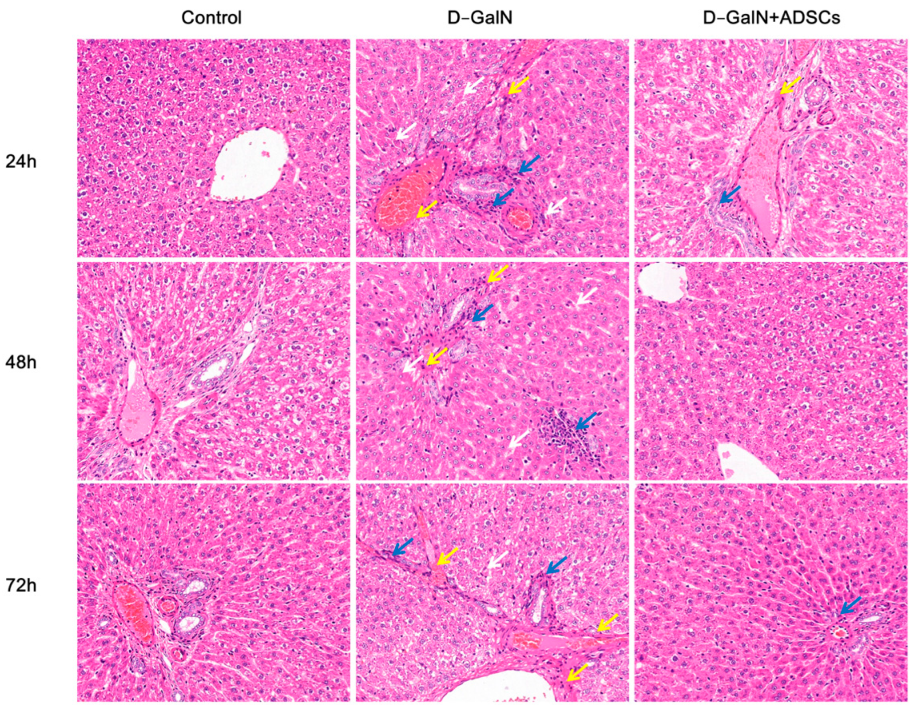
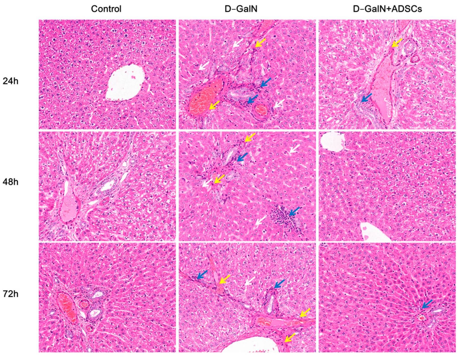
2.4. ADSC Transplantation Improves Liver Tissue Injury in ALI Rats
2.5. ADSC Transplantation Improves Liver Tissue Fibrosis and Abnormal Glycogen Metabolism in ALI Rats
2.6. ADSC Transplantation Improves Liver Function in ALI Rats
2.7. ADSC Transplantation Alleviates Inflammation in ALI Rats
2.8. ADSC Transplantation Reduces Oxidative Stress-Related Markers in ALI Rats
2.9. ADSC Transplantation Promotes Hepatocyte Regeneration in ALI Rats
2.10. ADSCs Downregulate TLR4/MyD88/NF-κB Pathway-Related Protein Expression in ALI Rats
2.11. Effects of ADSC Transplantation on mRNA Expression of Key Pathological Process-Related Genes in Liver Tissue of ALI Rats
3. Discussion
4. Materials and Methods
4.1. Preparation and Characterization of ADSCs
4.1.1. In Vitro Isolation and Culture of ADSCs
4.1.2. Immunofluorescence Identification of Surface Markers on ADSCs
4.1.3. Validation of Multipotent Differentiation Potential of ADSCs
4.2. Experimental Animals and ALI Model Establishment
4.3. Homeotaxis Assay for ADSCs
4.4. Blood Biochemical Indicator Testing
4.5. Serum Cytokine Testing
4.6. Detection of Oxidative Stress Markers in Liver Tissue
4.7. Hepatic Tissue Pathological Analysis
4.8. Immunohistochemical Detection
4.9. Western Blotting
4.10. qPCR
4.11. Statistical Analysis
5. Conclusions
Supplementary Materials
Author Contributions
Funding
Institutional Review Board Statement
Informed Consent Statement
Data Availability Statement
Conflicts of Interest
Abbreviations
| MSCs | Mesenchymal stem cells |
| ADSCs | Adipose-derived mesenchymal stem cells |
| D-GalN | D-galactosamine |
| ALI | Acute liver injury |
References
- Van Campenhout, R.; De Groof, T.W.M.; Kadam, P.; Kwak, B.R.; Muyldermans, S.; Devoogdt, N.; Vinken, M. Nanobody-based pannexin1 channel inhibitors reduce inflammation in acute liver injury. J. Nanobiotechnol. 2023, 21, 371. [Google Scholar] [CrossRef] [PubMed]
- Sun, T.; Xiao, S.; Wang, M.; Xie, Q.; Zhang, L.; Gong, M.; Zhang, D.; Zhou, C. Reactive Oxygen Species Scavenging Nanozymes: Emerging Therapeutics for Acute Liver Injury Alleviation. Int. J. Nanomed. 2023, 18, 7901–7922. [Google Scholar] [CrossRef] [PubMed]
- Yuan, X.; Zhou, Y.; Sun, J.; Wang, S.; Hu, X.; Li, J.; Huang, J.; Chen, N. Preventing Acute Liver Injury via Hepatocyte-Targeting Nano-Antioxidants. Cell Prolif. 2023, 56, e13494. [Google Scholar] [CrossRef]
- Ma, X.; McKeen, T.; Zhang, J.; Ding, W.X. Role and Mechanisms of Mitophagy in Liver Diseases. Cells 2020, 9, 837. [Google Scholar] [CrossRef] [PubMed]
- Guo, T.; Zhu, L.; Zhou, Y.; Han, S.; Cao, Y.; Hu, Z.; Luo, Y.; Bao, L.; Wu, X.; Qin, D.; et al. Laminarin Ameliorates Alcohol-Induced Liver Damage and Its Molecular Mechanism in Mice. J. Food Biochem. 2022, 46, e14500. [Google Scholar] [CrossRef]
- Mancardi, D.; Mezzanotte, M.; Arrigo, E.; Barinotti, A.; Roetto, A. Iron Overload, Oxidative Stress, and Ferroptosis in the Failing Heart and Liver. Antioxidants 2021, 10, 1864. [Google Scholar] [CrossRef]
- Malik, I.A.; Wilting, J.; Ramadori, G.; Naz, N. Reabsorption of iron into acutely damaged rat liver: A role for ferritins. World J. Gastroenterol. 2017, 23, 7347–7358. [Google Scholar] [CrossRef]
- Zimmermann, H.W.; Trautwein, C.; Tacke, F. Functional role of monocytes and macrophages for the inflammatory response in acute liver injury. Front. Physiol. 2012, 3, 56. [Google Scholar] [CrossRef]
- Kaltenmeier, C.; Wang, R.; Popp, B.; Geller, D.; Tohme, S.; Yazdani, H.O. Role of Immuno-Inflammatory Signals in Liver Ischemia-Reperfusion Injury. Cells 2022, 11, 2222. [Google Scholar] [CrossRef]
- Qi, X.; Lu, X.; Han, Y.; Xing, Y.; Zheng, Y.; Cui, C. Ginseng Polysaccharide Reduces Autoimmune Hepatitis Inflammatory Response by Inhibiting PI3K/AKT and TLRs/NF-κB Signaling Pathways. Phytomedicine 2023, 116, 154859. [Google Scholar] [CrossRef]
- Du, Z.; Ma, Z.; Lai, S.; Ding, Q.; Hu, Z.; Yang, W.; Qian, Q.; Zhu, L.; Dou, X.; Li, S. Atractylenolide I Ameliorates Acetaminophen-Induced Acute Liver Injury via the TLR4/MAPKs/NF-κB Signaling Pathways. Front. Pharmacol. 2022, 13, 797499. [Google Scholar] [CrossRef] [PubMed]
- El-Kashef, D.H.; Serrya, M.S. Sitagliptin ameliorates thioacetamide-induced acute liver injury via modulating TLR4/NF-KB signaling pathway in mice. Life Sci. 2019, 228, 266–273. [Google Scholar] [CrossRef]
- Li, S.; Xie, J.; Zhang, D.; Zhao, G.; Bai, Y.; Li, K.; Li, X.; Li, Q.; Tang, X.; Ge, X. Lycopene Abolishes Typical Polyhalogenated Carbazoles (PHCZs)-Induced Hepatic Injury in Yellow Catfish (Pelteobagrus fulvidraco): Involvement of ROS/PI3K-AKT/NF-κB Signaling. Fish Shellfish Immunol. 2023, 139, 108897. [Google Scholar] [CrossRef]
- Huang, Z.; Wang, H.; Chun, C.; Li, X.; Xu, S.; Zhao, Y. Self-assembled FGF21 nanoparticles alleviate drug-induced acute liver injury. Front. Pharmacol. 2023, 13, 1084799. [Google Scholar] [CrossRef]
- Li, D.; Chen, Y.; Wan, M.; Mei, F.; Wang, F.; Gu, P.; Zhang, X.; Wei, R.; Zeng, Y.; Zheng, H.; et al. Oral Magnesium Prevents Acetaminophen-Induced Acute Liver Injury by Modulating Microbial Metabolism. Cell Host Microbe 2024, 32, 48–62.e9. [Google Scholar] [CrossRef]
- Xu, H.; Zhang, Z.; Zhang, L.; Chen, Z.; Wang, S. Tungsten Disulfide Nanoflowers with Multi-Nanoenzyme Activities for the Treatment of Acute Liver Injury. J. Colloid Interface Sci. 2022, 625, 544–554. [Google Scholar] [CrossRef]
- Oza, D.; Ivich, F.; Deprey, K.; Bittner, K.; Bailey, K.; Goldman, S.; Yu, M.; Niedre, M.; Tu, H.C.; Amiji, M.M. Treatment of Acute Liver Injury through Selective Tropism of High Mobility Group Box 1 Gene-Silenced Large Peritoneal Macrophages. ACS Nano 2025, 19, 12102–12118. [Google Scholar] [CrossRef]
- Starkey Lewis, P.; Campana, L.; Aleksieva, N.; Cartwright, J.A.; Mackinnon, A.; O’Duibhir, E.; Kendall, T.; Vermeren, M.; Thomson, A.; Gadd, V.; et al. Alternatively Activated Macrophages Promote Resolution of Necrosis Following Acute Liver Injury. J. Hepatol. 2020, 73, 349–360. [Google Scholar] [CrossRef]
- Luk, F.; de Witte, S.F.; Korevaar, S.S.; Roemeling-van Rhijn, M.; Franquesa, M.; Strini, T.; van den Engel, S.; Gargesha, M.; Roy, D.; Dor, F.J.; et al. Inactivated Mesenchymal Stem Cells Maintain Immunomodulatory Capacity. Stem Cells Dev. 2016, 25, 1342–1354. [Google Scholar] [CrossRef] [PubMed]
- Long, R.; Wang, S. Exosomes from PreControlditioned Mesenchymal Stem Cells: Tissue Repair and Regeneration. Regen. Ther. 2024, 25, 355–366. [Google Scholar] [CrossRef] [PubMed]
- Liang, H.; Ding, X.; Yu, Y.; Zhang, H.; Wang, L.; Kan, Q.; Ma, S.; Guan, F.; Sun, T. Adipose-Derived Mesenchymal Stem Cells Ameliorate Acute Liver Injury in Rat Model of CLP Induced-Sepsis via sTNFR1. Exp. Cell Res. 2022, 383, 111465, Correction in Exp. Cell Res. 2022, 413, 113048. [Google Scholar] [CrossRef]
- El Nashar, E.M.; Alghamdi, M.A.; Alasmari, W.A.; Hussein, M.M.A.; Hamza, E.; Taha, R.I.; Ahmed, M.M.; Al-Khater, K.M.; Abdelfattah-Hassan, A. Autophagy Promotes the Survival of Adipose Mesenchymal Stem/Stromal Cells and Enhances Their Therapeutic Effects in Cisplatin-Induced Liver Injury via Modulating TGF-β1/Smad and PI3K/AKT Signaling Pathways. Cells 2021, 10, 2475. [Google Scholar] [CrossRef]
- Zhang, J.; Zhou, S.; Zhou, Y.; Feng, F.; Wang, Q.; Zhu, X.; Ai, H.; Huang, X.; Zhang, X. Hepatocyte Growth Factor Gene-Modified Adipose-Derived Mesenchymal Stem Cells Ameliorate Radiation Induced Liver Damage in a Rat Model. PLoS ONE 2014, 9, e114670. [Google Scholar] [CrossRef]
- Chen, T.S.; Lai, Y.A.; Lai, Y.J.; Chien, C.T. Adipose Stem Cells Preincubated with Theanine Exert Liver Regeneration Through Increase of Stem Cell Paracrine VEGF and Suppression of ROS, Pyroptosis as Well as Autophagy Markers in Liver Damage Induced by N-Nitrosodiethylamine. Life Sci. 2022, 308, 120969. [Google Scholar] [CrossRef]
- Qu, Y.; Zhang, Q.; Cai, X.; Li, F.; Ma, Z.; Xu, M.; Lu, L. Exosomes Derived from miR-181-5p-Modified Adipose-Derived Mesenchymal Stem Cells Prevent Liver Fibrosis via Autophagy Activation. J. Cell. Mol. Med. 2017, 21, 2491–2502. [Google Scholar] [CrossRef]
- Liu, H.; Wang, X.; Deng, H.; Huang, H.; Liu, Y.; Zhong, Z.; Shen, L.; Cao, S.; Ma, X.; Zhou, Z.; et al. Integrated Transcriptome and Metabolomics to Reveal the Mechanism of Adipose Mesenchymal Stem Cells in Treating Liver Fibrosis. Int. J. Mol. Sci. 2023, 24, 16086. [Google Scholar] [CrossRef] [PubMed]
- Lin, H.J.; Ramesh, S.; Chang, Y.M.; Tsai, C.T.; Tsai, C.C.; Shibu, M.A.; Tamilselvi, S.; Mahalakshmi, B.; Kuo, W.W.; Huang, C.Y. D-Galactose-Induced Toxicity Associated Senescence Mitigated by Alpinate Oxyphyllae Fructus Fortified Adipose-Derived Mesenchymal Stem Cells. Environ. Toxicol. 2021, 36, 86–94. [Google Scholar] [CrossRef] [PubMed]
- Long, F.; Lin, H.; Zhang, X.; Zhang, J.; Xiao, H.; Wang, T. Atractylenolide-I Suppresses Tumorigenesis of Breast Cancer by Inhibiting Toll-Like Receptor 4-Mediated Nuclear Factor-κB Signaling Pathway. Front. Pharmacol. 2020, 11, 598939. [Google Scholar] [CrossRef] [PubMed]
- Xu, X.; Wang, W.; Lin, L.; Chen, P. Liraglutide in Combination with Human Umbilical Cord Mesenchymal Stem Cell Could Improve Liver Lesions by Modulating TLR4/NF-κB Inflammatory Pathway and Oxidative Stress in T2DM/NAFLD Rats. Tissue Cell 2020, 66, 101382. [Google Scholar] [CrossRef]
- Wang, K.; Lv, L.; Yan, R.; Wang, Q.; Jiang, H.; Wu, W.; Li, Y.; Ye, J.; Wu, J.; Yang, L.; et al. Bifidobacterium longum R0175 Protects Rats against d-Galactosamine-Induced Acute Liver Failure. Msphere 2020, 5, e00791-19. [Google Scholar] [CrossRef]
- Luo, J.; Zhang, Y.; Hu, X.; Zhong, S.; Chen, G.; Wang, Y.; Lin, W.; Yi, C.; Zhu, H. The effects of modified sini decoction on liver injury and regeneration in acute liver failure induced by D-galactosamine in rats. J. Ethnopharmacol. 2015, 161, 53–59. [Google Scholar] [CrossRef]
- Huang, H.; Tohme, S.; Al-Khafaji, A.B.; Tai, S.; Loughran, P.; Chen, L.; Wang, S.; Kim, J.; Billiar, T.; Wang, Y.; et al. Damage-associated molecular pattern-activated neutrophil extracellular trap exacerbates sterile inflammatory liver injury. Hepatology 2015, 62, 600–614. [Google Scholar] [CrossRef]
- Minsart, C.; Liefferinckx, C.; Lemmers, A.; Dressen, C.; Quertinmont, E.; Leclercq, I.; Devière, J.; Moreau, R.; Gustot, T. New insights in acetaminophen toxicity: HMGB1 contributes by itself to amplify hepatocyte necrosis in vitro through the TLR4-TRIF-RIPK3 axis. Sci. Rep. 2020, 10, 5557. [Google Scholar] [CrossRef]
- Yuan, Y.; Zhang, J.; Li, H.; Yuan, F.; Cui, Q.; Wu, D.; Yuan, H.; Piao, G. Scopoletin alleviates acetaminophen-induced hepatotoxicity through modulation of NLRP3 inflammasome activation and Nrf2/HMGB1/TLR4/NF-κB signaling pathway. Int. Immunopharmacol. 2025, 148, 114132. [Google Scholar] [CrossRef]
- Chen, H.; Wang, S.; Chen, Q.; Yu, W.; Nie, H.; Liu, L.; Zheng, B.; Gong, Q. Aloperine Ameliorates Acetaminophen-Induced Acute Liver Injury through HMGB1/TLR4/NF-κB and NLRP3/Inflammasome Pathway. Mediat. Inflamm. 2024, 2024, 3938136. [Google Scholar] [CrossRef] [PubMed]
- Weiss, A.R.R.; Dahlke, M.H. Immunomodulation by Mesenchymal Stem Cells (MSCs): Mechanisms of Action of Living, Apoptotic, and Dead MSCs. Front. Immunol. 2019, 10, 1191. [Google Scholar] [CrossRef] [PubMed]
- Guo, D.L.; Wang, Z.G.; Xiong, L.K.; Pan, L.Y.; Zhu, Q.; Yuan, Y.F.; Liu, Z.S. Hepatogenic differentiation from human adipose-derived stem cells and application for mouse acute liver injury. Artif. Cells Nanomed. Biotechnol. 2017, 45, 224–232. [Google Scholar] [CrossRef] [PubMed]
- Zolocinska, A.; Siennicka, K.; Debski, T.; Gut, G.; Mazur, S.; Gajewska, M.; Kaminski, A.; Pojda, Z. Comparison of mouse, rat and rabbit models for adipose-derived stem cells (ASC) research. Curr. Res. Transl. Med. 2020, 68, 205–210. [Google Scholar] [CrossRef] [PubMed]
- Meyerholz, D.K.; Burrough, E.R.; Kirchhof, N.; Anderson, D.J.; Helke, K.L. Swine models in translational research and medicine. Vet. Pathol. 2024, 61, 512–523. [Google Scholar] [CrossRef]
- Helal, M.G.; Samra, Y.A. Irbesartan mitigates acute liver injury, oxidative stress, and apoptosis induced by acetaminophen in mice. J. Biochem. Mol. Toxicol. 2020, 34, e22447, Correction in J. Biochem. Mol. Toxicol. 2021, 35, e22772. [Google Scholar] [CrossRef]
- Kakizaki, M.; Yamamoto, Y.; Nakayama, S.; Kameda, K.; Nagashima, E.; Ito, M.; Suyama, T.; Matsuzaki, Y.; Chiba, T.; Sumiyoshi, H.; et al. Human hepatocyte-derived extracellular vesicles attenuate the carbon tetrachloride-induced acute liver injury in mice. Cell Death Dis. 2021, 12, 1010. [Google Scholar] [CrossRef]
- Shin, M.R.; Kim, M.J.; Lee, J.A.; Roh, S.S. Effect of Uncaria rhynchophylla against Thioacetamide-Induced Acute Liver Injury in Rat. Can. J. Gastroenterol. Hepatol. 2021, 2021, 5581816. [Google Scholar] [CrossRef]
- Li, J.; Song, D.; Zhang, B.; Guo, J.; Li, W.; Zhang, X.; Zhao, Q. Hepatoprotective Effects of Heracleum candicans Against Carbon Tetrachloride-Induced Acute Liver Injury in Rats. Dose Response 2021, 19, 15593258211029510. [Google Scholar] [CrossRef]
- Mohamed Azar, K.A.H.; Ezhilarasan, D.; Shree Harini, K.; Karthick, M.; Uthirappan, M. Coleus vettiveroides ethanolic root extract protects against thioacetamide-induced acute liver injury in rats. Cell Biochem. Funct. 2023, 41, 876–888. [Google Scholar] [CrossRef] [PubMed]
- Teshima, T.; Matsumoto, H.; Michishita, M.; Matsuoka, A.; Shiba, M.; Nagashima, T.; Koyama, H. Allogenic Adipose Tissue-Derived Mesenchymal Stem Cells Ameliorate Acute Hepatic Injury in Dogs. Stem Cells Int. 2017, 2017, 3892514. [Google Scholar] [CrossRef] [PubMed]
- Abdelbaset-Ismail, A.; Tharwat, A.; Ahmed, A.E.; Khamis, T.; Abd El-Rahim, I.H.; Alhag, S.K.; Dowidar, M.F. Transplantation of Adipose-Derived Mesenchymal Stem Cells Ameliorates Acute Hepatic Injury Caused by Nonsteroidal Anti-Inflammatory Drug Diclofenac Sodium in Female Rats. Biomed. Pharmacother. 2022, 155, 113805. [Google Scholar] [CrossRef] [PubMed]
- Ramanathan, R.; Rupert, S.; Selvaraj, S.; Satyanesan, J.; Vennila, R.; Rajagopal, S. Role of Human Wharton’s Jelly Derived Mesenchymal Stem Cells (WJ-MSCs) for Rescue of d-Galactosamine Induced Acute Liver Injury in Mice. J. Clin. Exp. Hepatol. 2017, 7, 205–214. [Google Scholar] [CrossRef]
- Zhang, Y.; Wang, H.; Zheng, Y.; Wu, Z.; Liu, J.; Cheng, F.; Wang, K. Degradation of Angelica sinensis polysaccharide: Structures and protective activities against ethanol-induced acute liver injury. Carbohydr. Polym. 2024, 328, 121745. [Google Scholar] [CrossRef]
- Barkaoui, T.; Hamimed, S.; Bellamine, H.; Bankaji, I.; Sleimi, N.; Landoulsi, A. Alleviated Actions of Plantago albicans Extract on Lead Acetate-Produced Hepatic Damage in Rats Through Antioxidant and Free Radical Scavenging Capacities. J. Med. Food 2020, 23, 1201–1215. [Google Scholar] [CrossRef]
- Kheiripour, N.; Karimi, J.; Khodadadi, I.; Tavilani, H.; Taghi Goodarzi, M.; Hashemnia, M. Hepatoprotective Effects of Silymarin on Liver Injury via Irisin Upregulation and Oxidative Stress Reduction in Rats with Type 2 Diabetes. Iran. J. Med. Sci. 2019, 44, 108–117. [Google Scholar]
- Chen, X.; Xue, H.; Fang, W.; Chen, K.; Chen, S.; Yang, W.; Shen, T.; Chen, X.; Zhang, P.; Ling, W. Adropin protects against liver injury in nonalcoholic steatohepatitis via the Nrf2 mediated antioxidant capacity. Redox Biol. 2019, 21, 101068. [Google Scholar] [CrossRef]
- Kuang, Y.; Han, X.; Xu, M.; Wang, Y.; Zhao, Y.; Yang, Q. Oxaloacetate Ameliorates Chemical Liver Injury via Oxidative Stress Reduction and Enhancement of Bioenergetic Fluxes. Int. J. Mol. Sci. 2018, 19, 1626. [Google Scholar] [CrossRef]
- Shi, L.; Liu, Y.; Liu, Q.; Chang, C.; Liu, W.; Zhang, Z. Adipose-derived stem cells can alleviate RHDV2-induced acute liver injury in rabbits. Res. Vet. Sci. 2024, 172, 105255. [Google Scholar] [CrossRef]
- Shams, S.; Mohsin, S.; Nasir, G.A.; Khan, M.; Khan, S.N. Mesenchymal Stem Cells Pretreated with HGF and FGF4 Can Reduce Liver Fibrosis in Mice. Stem Cells Int. 2015, 2015, 747245. [Google Scholar] [CrossRef]
- Huang, B.; Cheng, X.; Wang, H.; Huang, W.; la Ga Hu, Z.; Wang, D.; Zhang, K.; Zhang, H.; Xue, Z.; Da, Y.; et al. Mesenchymal stem cells and their secreted molecules predominantly ameliorate fulminant hepatic failure and chronic liver fibrosis in mice respectively. J. Transl. Med. 2016, 14, 45. [Google Scholar] [CrossRef] [PubMed]
- Ding, H.R.; Wang, J.L.; Tang, Z.T.; Wang, Y.; Zhou, G.; Liu, Y.; Ren, H.Z.; Shi, X.L. Mesenchymal Stem Cells Improve Glycometabolism and Liver Regeneration in the Treatment of Post-hepatectomy Liver Failure. Front. Physiol. 2019, 10, 412. [Google Scholar] [CrossRef] [PubMed]
- Yan, Y.; Fang, J.; Wen, X.; Teng, X.; Li, B.; Zhou, Z.; Peng, S.; Arisha, A.; Liu, W.; Hua, J. Therapeutic applications of adipose-derived mesenchymal stem cells on acute liver injury in canines. Res. Vet. Sci. 2019, 126, 233–239. [Google Scholar] [CrossRef] [PubMed]
- Ock, S.A.; Kim, S.Y.; Kim, Y.I.; Ju, W.S.; Lee, P. Enhanced In Vitro Recapitulation of In Vivo Liver Regeneration by Co-Culturing Hepatocyte Organoids with Adipose-Derived Mesenchymal Stem Cells, Alleviating Steatosis and Apoptosis in Acute Alcoholic Liver Injury. Cells 2024, 13, 1303. [Google Scholar] [CrossRef] [PubMed]
- Sakr, A.G.; Kafl, H.E.; El-Kashef, D.H. Rupatadine modulates TLR4/MYD88/NF-κB and AKT/PI3K signaling pathways, attenuating sepsis-induced liver injury in mice. Eur. J. Pharmacol. 2025, 1002, 177873. [Google Scholar] [CrossRef]
- Zhang, C.; Yang, Y. Targeting toll-like receptor 4 (TLR4) and the NLRP3 inflammasome: Novel and emerging therapeutic targets for hyperuricaemia nephropathy. Biomol. Biomed. 2023, 24, 688–697. [Google Scholar] [CrossRef]
- Liao, H.; Du, S.; Jiang, T.; Zheng, M.; Xiang, Z.; Yang, J. UMSCs Attenuate LPS/D-GalN-induced Acute Liver Failure in Mice by Down-regulating the MyD88/NF-κB Pathway. J. Clin. Transl. Hepatol. 2021, 9, 690–701. [Google Scholar] [CrossRef] [PubMed]
- Piao, C.; Zhang, Q.; Xu, J.; Wang, Y.; Liu, T.; Ma, H.; Liu, G.; Wang, H. Optimal intervention time of ADSCs for hepatic ischemia-reperfusion combined with partial resection injury in rats. Life Sci. 2021, 285, 119986. [Google Scholar] [CrossRef] [PubMed]
- Chen, Z.; Ruan, B.; Long, G.; Lin, W. Adipose tissue-derived mesenchymal stem cells attenuate lung inflammation and fibrosis in the bleomycin-induced pulmonary fibrosis rat model via caveolin-1/NF-κB signaling axis. Physiol. Res. 2022, 71, 657–666. [Google Scholar] [CrossRef] [PubMed]
- Wang, Y.; Piao, C.; Liu, T.; Lu, X.; Ma, Y.; Zhang, J.; Liu, G.; Wang, H. Effects of the exosomes of adipose-derived mesenchymal stem cells on apoptosis and pyroptosis of injured liver in miniature pigs. Biomed. Pharmacother. 2023, 169, 115873. [Google Scholar] [CrossRef]












Disclaimer/Publisher’s Note: The statements, opinions and data contained in all publications are solely those of the individual author(s) and contributor(s) and not of MDPI and/or the editor(s). MDPI and/or the editor(s) disclaim responsibility for any injury to people or property resulting from any ideas, methods, instructions or products referred to in the content. |
© 2025 by the authors. Licensee MDPI, Basel, Switzerland. This article is an open access article distributed under the terms and conditions of the Creative Commons Attribution (CC BY) license (https://creativecommons.org/licenses/by/4.0/).
Share and Cite
Wang, Z.; Li, M.; Yan, X.; Liu, Y.; Yang, P.; Liu, W.; Guan, W. Adipose-Derived Mesenchymal Stem Cells Improve Acute Liver Injury: A Mechanistic Study Based on the TLR4/MyD88/NF-κB Pathway. Int. J. Mol. Sci. 2025, 26, 11798. https://doi.org/10.3390/ijms262411798
Wang Z, Li M, Yan X, Liu Y, Yang P, Liu W, Guan W. Adipose-Derived Mesenchymal Stem Cells Improve Acute Liver Injury: A Mechanistic Study Based on the TLR4/MyD88/NF-κB Pathway. International Journal of Molecular Sciences. 2025; 26(24):11798. https://doi.org/10.3390/ijms262411798
Chicago/Turabian StyleWang, Zhongfa, Minjuan Li, Xingxing Yan, Yanchen Liu, Pengkun Yang, Wenzhong Liu, and Weijun Guan. 2025. "Adipose-Derived Mesenchymal Stem Cells Improve Acute Liver Injury: A Mechanistic Study Based on the TLR4/MyD88/NF-κB Pathway" International Journal of Molecular Sciences 26, no. 24: 11798. https://doi.org/10.3390/ijms262411798
APA StyleWang, Z., Li, M., Yan, X., Liu, Y., Yang, P., Liu, W., & Guan, W. (2025). Adipose-Derived Mesenchymal Stem Cells Improve Acute Liver Injury: A Mechanistic Study Based on the TLR4/MyD88/NF-κB Pathway. International Journal of Molecular Sciences, 26(24), 11798. https://doi.org/10.3390/ijms262411798

