Heterogeneity of Orodental Features in a Family with Noonan Syndrome
Abstract
1. Introduction
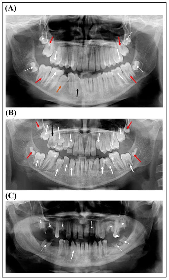
2. Case Presentation
3. Discussion
4. Conclusions
Author Contributions
Funding
Institutional Review Board Statement
Informed Consent Statement
Data Availability Statement
Acknowledgments
Conflicts of Interest
References
- Sharland, M.; Burch, M.; McKenna, W.M.; Paton, M.A. A clinical study of Noonan syndrome. Arch. Dis. Child. 1992, 67, 178–183. [Google Scholar] [CrossRef] [PubMed]
- Tartaglia, M.; Gelb, B.D. Noonan syndrome and related disorders: Genetics and pathogenesis. Annu. Rev. Genom. Hum. Genet. 2005, 6, 45–68. [Google Scholar] [CrossRef]
- Jongmans, M.; Sistermans, E.A.; Rikken, A.; Nillesen, W.M.; Tamminga, R.; Patton, M.; Maier, E.M.; Tartaglia, M.; Noordam, K.; van der Burgt, I. Genotypic and phenotypic characterization of Noonan syndrome: New data and review of the literature. Am. J. Med. Genet. A 2005, 134A, 165–170. [Google Scholar] [CrossRef]
- Zenker, M.; Edouard, T.; Blair, J.C.; Cappa, M. Noonan syndrome: Improving recognition and diagnosis. Arch. Dis. Child. 2022, 107, 1073–1078. [Google Scholar] [CrossRef]
- Shaw, A.C.; Kalidas, K.; Crosby, A.H.; Jeffery, S.; Patton, M.A. The natural history of Noonan syndrome: A long-term follow-up study. Arch. Dis. Child. 2007, 92, 128–132. [Google Scholar] [CrossRef]
- Tartaglia, M.; Gelb, B.D.; Zenker, M. Noonan syndrome and clinically related disorders. Best Pract. Res. Clin. Endocrinol. Metab. 2011, 25, 161–179. [Google Scholar] [CrossRef] [PubMed]
- Cao, H.; Alrejaye, N.; Klein, O.D.; Goodwin, A.F.; Oberoi, S. A review of craniofacial and dental findings of the RASopathies. Orthod. Craniofacial Res. 2017, 20 (Suppl. S1), 32–38. [Google Scholar] [CrossRef]
- Nava, C.; Hanna, N.; Michot, C.; Pereira, S.; Pouvreau, N.; Niihori, T.; Aoki, Y.; Matsubara, Y.; Arveiler, B.; Lacombe, D.; et al. Cardio-facio-cutaneous and Noonan syndromes due to mutations in the RAS/MAPK signalling pathway: Genotype-phenotype relationships and overlap with Costello syndrome. J. Med. Genet. 2007, 44, 763–771. [Google Scholar] [CrossRef] [PubMed]
- Roberts, A.E.; Allanson, J.E.; Tartaglia, M.; Gelb, B.D. Noonan syndrome. Lancet 2013, 381, 333–342. [Google Scholar] [CrossRef]
- Aoki, Y.; Niihori, T.; Inoue, S.; Matsubara, Y. Recent advances in RASopathies. J. Hum. Genet. 2016, 61, 33–39. [Google Scholar] [CrossRef]
- El Bouchikhi, I.; Belhassan, K.; Moufid, F.Z.; Iraqui Houssaini, M.; Bouguenouch, L.; Samri, I.; Atmani, S.; Ouldim, K. Noonan syndrome-causing genes: Molecular update and an assessment of the mutation rate. Int. J. Pediatr. Adolesc. Med. 2016, 3, 133–142. [Google Scholar] [CrossRef]
- Bagattoni, S.; Costi, T.; D’Alessandro, G.; Toni, S.; Gatto, M.R.; Piana, G. Craniofacial and occlusal features of children with Noonan syndrome. Am. J. Med. Genet. A 2021, 185, 820–826. [Google Scholar] [CrossRef]
- Lutz, J.C.; Nicot, R.; Schlund, M.; Schaefer, E.; Bornert, F.; Fioretti, F.; Ferri, J. Dental and maxillofacial features of Noonan Syndrome: Case series of ten patients. J. Cranio-Maxillo-Facial Surg. 2020, 48, 242–250. [Google Scholar] [CrossRef]
- Emral, M.E.; Akcam, M.O. Noonan syndrome: A case report. J. Oral Sci. 2009, 51, 301–306. [Google Scholar] [CrossRef] [PubMed][Green Version]
- Toureno, L.; Park, J.H. Atypical orofacial conditions in Noonan syndrome: A case report. J. Clin. Pediatr. Dent. 2011, 36, 197–202. [Google Scholar] [CrossRef] [PubMed][Green Version]
- Noonan JA, E.D. Associated noncardiac malformation in children with congenital heart disease. J. Pediatr. 1963, 63, 468–470. [Google Scholar]
- Uloopi, K.S.; Madhuri, V.; Gopal, A.S.; Vinay, C.; Chandrasekhar, R. Multiple Unerupted Permanent Teeth Associated with Noonan Syndrome. Ann. Med. Health Sci. Res. 2015, 5, 317–320. [Google Scholar] [CrossRef] [PubMed]
- Vavetsi, K.; Panagopoulou, O.; Fryssira, E.; Bobetsis, S.A.; Emmanouil, D.; Madianos, P.N.; Bobetsis, Y.A. Oral manifestations of eleven individuals with Noonan syndrome. A case series. Spec. Care Dent. 2023, 43, 492–500. [Google Scholar] [CrossRef]
- Gürsoy, S.; Hazan, F.; Kaderli, B.; Mese, T.; Tükün, A. Orodental, Facial and Clinical Features of Mutation-Positive Noonan Syndrome: A Monocentric Study. J. Clin. Pediatr. Dent. 2020, 44, 262–267. [Google Scholar] [CrossRef]
- Mallineni, S.K.; Yung Yiu, C.K.; King, N.M. Oral manifestations of Noonan syndrome: Review of the literature and a report of four cases. Rom. J. Morphol. Embryol. 2014, 55, 1503–1509. [Google Scholar]
- Janas-Naze, A.; Malkiewicz, K.; Zhang, W. Clinical Findings in Children with Noonan Syndrome-A 17-Year Retrospective Study in an Oral Surgery Center. Children 2022, 9, 1486. [Google Scholar] [CrossRef] [PubMed]
- Schollen, E.; Matthijs, G.; Gewillig, M.; Fryns, J.P.; Legius, E. PTPN11 mutation in a large family with Noonan syndrome and dizygous twinning. Eur. J. Hum. Genet. 2003, 11, 85–88. [Google Scholar] [CrossRef] [PubMed][Green Version]
- Zenker, M.; Voss, E.; Reis, A. Mild variable Noonan syndrome in a family with a novel PTPN11 mutation. Eur. J. Med. Genet. 2007, 50, 43–47. [Google Scholar] [CrossRef]
- Yildirim, R.; Unal, E.; Ozalkak, S.; Akalin, A.; Aykut, A.; Yilmaz, N. Clinical Variability in a Family with Noonan Syndrome with a Homozygous PTPN11 Gene Variant in Two Individuals. J. Clin. Res. Pediatr. Endocrinol. 2024, 16, 76–83. [Google Scholar] [CrossRef]
- Tartaglia, M.; Mehler, E.L.; Goldberg, R.; Zampino, G.; Brunner, H.G.; Kremer, H.; van der Burgt, I.; Crosby, A.H.; Ion, A.; Jeffery, S.; et al. Mutations in PTPN11, encoding the protein tyrosine phosphatase SHP-2, cause Noonan syndrome. Nat. Genet. 2001, 29, 465–468, Correction in Nat. Genet. 2001, 29, 491. https://doi.org/10.1038/ng1201-491c. Erratum in Nat. Genet. 2002, 30, 123. https://doi.org/10.1038/ng0102-123d. [Google Scholar] [CrossRef]
- Solman, M.; Woutersen, D.T.J.; den Hertog, J. Modeling (not so) rare developmental disorders associated with mutations in the protein-tyrosine phosphatase SHP2. Front. Cell Dev. Biol. 2022, 10, 1046415. [Google Scholar] [CrossRef]
- Barberia Leache, E.; Saavedra Ontiveros, D.; Maroto Edo, M. Etiopathogenic analysis of the caries on three patients with Noonan Syndrome. Med. Oral 2003, 8, 136–142. [Google Scholar]
- Bailleul-Forestier, I.; Berdal, A.; Vinckier, F.; de Ravel, T.; Fryns, J.P.; Verloes, A. The genetic basis of inherited anomalies of the teeth. Part 2: Syndromes with significant dental involvement. Eur. J. Med. Genet. 2008, 51, 383–408. [Google Scholar] [CrossRef]
- Salerno, C.; D’Avola, V.; Oberti, L.; Almonte, E.; Bazzini, E.M.; Tartaglia, G.M.; Cagetti, M.G. Rare Genetic Syndromes and Oral Anomalies: A Review of the Literature and Case Series with a New Classification Proposal. Children 2021, 9, 12. [Google Scholar] [CrossRef] [PubMed]
- Antal, G.; Zsigmond, A.; Till, A.; Orsi, E.; Szanto, I.; Buki, G.; Kereskai, L.; Herbert, Z.; Hadzsiev, K.; Bene, J. Case report: Initial atypical skeletal symptoms and dental anomalies as first signs of Gardner syndrome: The importance of genetic analysis in the early diagnosis. Pathol. Oncol. Res. 2024, 30, 1611768. [Google Scholar] [CrossRef]
- Romano, A.A.; Allanson, J.E.; Dahlgren, J.; Gelb, B.D.; Hall, B.; Pierpont, M.E.; Roberts, A.E.; Robinson, W.; Takemoto, C.M.; Noonan, J.A. Noonan syndrome: Clinical features, diagnosis, and management guidelines. Pediatrics 2010, 126, 746–759. [Google Scholar] [CrossRef] [PubMed]



| Patients in This Study | Frequency in Patients with Noonan Syndrome | ||||||
|---|---|---|---|---|---|---|---|
| Features | P1 | P2 | Gürsoy et al., 2020 [19] (n = 17) | Mallineni et al., 2014 [20] (n = 4) | Lutz et al., 2020 [13] (n = 10) | Vavetsi et al., 2023 [18] (n = 11) | Janas-Naze et al., 2022 [21] (n = 42) |
| delayed dental eruption | X | X | N/A | - | 10% | - | N/A |
| high-arched palate | X | X | 76.4% | 100% | - | 90.9% | N/A |
| open-bite | - | X | 11.7% | - | 10% | 36.4% | N/A |
| micrognathia | - | X | - | 75% | 10% | N/A | N/A |
| hypoplastic jaw | - | X | N/A | 50% | N/A | N/A | N/A |
| malocclusion | - | X | 11.7% | 100% | 30% | 63.6% | N/A |
| crowded teeth | - | X | - | 100% | - | 18.2% | N/A |
| hypodontia | - | - | 11.7% | 75% | 10% | - | N/A |
| supernumerary teeth | - | - | - | - | - | - | 26.2 |
| impacted teeth | - | - | - | 100% | N/A | - | 23.8 |
| taurodontism | - | - | N/A | 100% | - | N/A | N/A |
| caries | X | X | 35.2% | - | - | 100% | N/A |
| enamel hypoplasia | - | - | - | 75% | - | N/A | N/A |
| gingivitis | - | X | 35.2% | 75% | - | 100% | N/A |
Disclaimer/Publisher’s Note: The statements, opinions and data contained in all publications are solely those of the individual author(s) and contributor(s) and not of MDPI and/or the editor(s). MDPI and/or the editor(s) disclaim responsibility for any injury to people or property resulting from any ideas, methods, instructions or products referred to in the content. |
© 2025 by the authors. Licensee MDPI, Basel, Switzerland. This article is an open access article distributed under the terms and conditions of the Creative Commons Attribution (CC BY) license (https://creativecommons.org/licenses/by/4.0/).
Share and Cite
Antal, G.; Csabai, L.; Zsigmond, A.; Szanto, I.; Hadzsiev, K.; Bene, J. Heterogeneity of Orodental Features in a Family with Noonan Syndrome. Int. J. Mol. Sci. 2025, 26, 11414. https://doi.org/10.3390/ijms262311414
Antal G, Csabai L, Zsigmond A, Szanto I, Hadzsiev K, Bene J. Heterogeneity of Orodental Features in a Family with Noonan Syndrome. International Journal of Molecular Sciences. 2025; 26(23):11414. https://doi.org/10.3390/ijms262311414
Chicago/Turabian StyleAntal, Gréta, Laura Csabai, Anna Zsigmond, Ildiko Szanto, Kinga Hadzsiev, and Judit Bene. 2025. "Heterogeneity of Orodental Features in a Family with Noonan Syndrome" International Journal of Molecular Sciences 26, no. 23: 11414. https://doi.org/10.3390/ijms262311414
APA StyleAntal, G., Csabai, L., Zsigmond, A., Szanto, I., Hadzsiev, K., & Bene, J. (2025). Heterogeneity of Orodental Features in a Family with Noonan Syndrome. International Journal of Molecular Sciences, 26(23), 11414. https://doi.org/10.3390/ijms262311414

