Colorectal Cancer: Differential Gene Expression and In Vitro Response to 5-Fluorouracil, Novel Fluoropyrimidine F10, and Potential Synergy with Lupeol
Abstract
1. Introduction
2. Results
2.1. MSI Is a Strong Predictor of 5-FU Efficacy In Vitro
2.2. MSI and Racial Origin Are Associated with Unique Transcriptomes
2.3. The Novel Fluoropyrimidine F10 Overcomes Negative Predictors of 5-FU Sensitivity
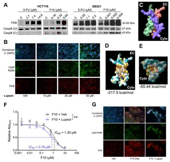
2.4. Synergy of F10 FAS-Mediated Apoptosis and Dietary Lupeol
3. Discussion
4. Materials and Methods
5. Conclusions
Author Contributions
Funding
Institutional Review Board Statement
Informed Consent Statement
Data Availability Statement
Acknowledgments
Conflicts of Interest
References
- Haskins, I.N.; Wang, B.D.; Bernot, J.P.; Cauley, E.; Horvath, A.; Marks, J.H.; Lee, N.H.; Agarwal, S. Genomics of Black American colon cancer disparities: An RNA sequencing (RNA-Seq) study from an academic, tertiary referral center. Surgery 2021, 170, 1160–1167. [Google Scholar] [CrossRef]
- Lieberman, D.A.; Holub, J.L.; Moravec, M.D.; Eisen, G.M.; Peters, D.; Morris, C.D. Prevalence of colon polyps detected by colonoscopy screening in asymptomatic black and white patients. JAMA 2008, 300, 1417–1422. [Google Scholar] [CrossRef]
- Siegel, R.L.; Giaquinto, A.N.; Jemal, A. Cancer statistics, 2024. CA Cancer J. Clin. 2024, 74, 12–49. [Google Scholar] [CrossRef] [PubMed]
- Alexander, D.; Jhala, N.; Chatla, C.; Steinhauer, J.; Funkhouser, E.; Coffey, C.S.; Grizzle, W.E.; Manne, U. High-grade tumor differentiation is an indicator of poor prognosis in African Americans with colonic adenocarcinomas. Cancer 2005, 103, 2163–2170. [Google Scholar] [CrossRef] [PubMed]
- May, F.P.; Mehtsun, W.T.; Jemal, A.; Gupta, S. Black-White disparities across the colorectal cancer care continuum in the USA. Nat. Rev. Gastroenterol. Hepatol. 2025, 22, 603–618. [Google Scholar] [CrossRef]
- Primm, K.M.; Malabay, A.J.; Curry, T.; Chang, S. Who, where, when: Colorectal cancer disparities by race and ethnicity, subsite, and stage. Cancer Med. 2023, 12, 14767–14780. [Google Scholar] [CrossRef]
- Chien, C.; Morimoto, L.M.; Tom, J.; Li, C.I. Differences in colorectal carcinoma stage and survival by race and ethnicity. Cancer 2005, 104, 629–639. [Google Scholar] [CrossRef]
- Clegg, L.X.; Li, F.P.; Hankey, B.F.; Chu, K.; Edwards, B.K. Cancer survival among US whites and minorities: A SEER (Surveillance, Epidemiology, and End Results) Program population-based study. Arch. Intern. Med. 2002, 162, 1985–1993. [Google Scholar] [CrossRef] [PubMed]
- Cooper, G.S.; Yuan, Z.; Rimm, A.A. Racial disparity in the incidence and case-fatality of colorectal cancer: Analysis of 329 United States counties. Cancer Epidemiol. Biomarkers Prev. 1997, 6, 283–285. [Google Scholar]
- Hodgson, D.C.; Fuchs, C.S.; Ayanian, J.Z. Impact of patient and provider characteristics on the treatment and outcomes of colorectal cancer. J. Natl. Cancer Inst. 2001, 93, 501–515. [Google Scholar] [CrossRef]
- Hodgson, D.C.; Zhang, W.; Zaslavsky, A.M.; Fuchs, C.S.; Wright, W.E.; Ayanian, J.Z. Relation of hospital volume to colostomy rates and survival for patients with rectal cancer. J. Natl. Cancer Inst. 2003, 95, 708–716. [Google Scholar] [CrossRef]
- Mayberry, R.M.; Coates, R.J.; Hill, H.A.; Click, L.A.; Chen, V.W.; Austin, D.F.; Redmond, C.K.; Fenoglio-Preiser, C.M.; Hunter, C.P.; Haynes, M.A.; et al. Determinants of black/white differences in colon cancer survival. J. Natl. Cancer Inst. 1995, 87, 1686–1693. [Google Scholar] [CrossRef] [PubMed]
- Carethers, J.M. Clinical and Genetic Factors to Inform Reducing Colorectal Cancer Disparitites in African Americans. Front. Oncol. 2018, 8, 531. [Google Scholar] [CrossRef] [PubMed]
- Ashktorab, H.; Azimi, H.; Varma, S.; Lee, E.L.; Laiyemo, A.O.; Nickerson, M.L.; Brim, H. Driver genes exome sequencing reveals distinct variants in African Americans with colorectal neoplasia. Oncotarget 2019, 10, 2607–2624. [Google Scholar] [CrossRef] [PubMed]
- Carethers, J.M. Racial and ethnic factors in the genetic pathogenesis of colorectal cancer. J. Assoc. Acad. Minor. Phys. 1999, 10, 59–67. [Google Scholar] [PubMed]
- Wang, X.; Ji, P.; Zhang, Y.; Lacomb, J.F.; Tian, X.; Li, E.; Williams, J.L. Aberrant DNA Methylation: Implications in Racial Health Disparity. PLoS ONE 2016, 11, e0153125, Correction in PLoS ONE 2016, 11, e0158251. [Google Scholar] [CrossRef]
- Ashktorab, H.; Daremipouran, M.; Goel, A.; Varma, S.; Leavitt, R.; Sun, X.; Brim, H. DNA methylome profiling identifies novel methylated genes in African American patients with colorectal neoplasia. Epigenetics 2014, 9, 503–512. [Google Scholar] [CrossRef]
- Ashktorab, H.; Rahi, H.; Wansley, D.; Varma, S.; Shokrani, B.; Lee, E.; Daremipouran, M.; Laiyemo, A.; Goel, A.; Carethers, J.M.; et al. Toward a comprehensive and systematic methylome signature in colorectal cancers. Epigenetics 2013, 8, 807–815. [Google Scholar] [CrossRef]
- Li, E.; Ji, P.; Ouyang, N.; Zhang, Y.; Wang, X.Y.; Rubin, D.C.; Davidson, N.O.; Bergamaschi, R.; Shroyer, K.R.; Burke, S.; et al. Differential expression of miRNAs in colon cancer between African and Caucasian Americans: Implications for cancer racial health disparities. Int. J. Oncol. 2014, 45, 587–594. [Google Scholar] [CrossRef]
- Igder, S.; Zamani, M.; Fakher, S.; Siri, M.; Ashktorab, H.; Azarpira, N.; Mokarram, P. Circulating Nucleic Acids in Colorectal Cancer: Diagnostic and Prognostic Value. Dis. Markers 2024, 2024, 9943412. [Google Scholar] [CrossRef]
- Spagnardi, M.; Paredes, J.; Zabaleta, J.; Garai, J.; Reyes, T.; Martello, L.A.; Williams, J.L. IL-1β enhances cell viability and decreases 5-FU sensitivity in novel colon cancer cell lines derived from African American patients. Front. Oncol. 2022, 12, 1010380. [Google Scholar] [CrossRef] [PubMed]
- Goldberg, R.M.; Mcleod, H.L.; Sargent, D.J.; Morton, R.F.; Green, E.M.; Fuchs, C.; Ramanathan, R.K.; Williamson, S.K.; Findlay, B.P.; Pitot, H.C.; et al. Genetic polymorphisms, toxicity, and response rate in African Americans (AA) with metastatic colorectal cancer (MCRC) compared to Caucasians (C) when treated with IFL, FOLFOX or IROX in Intergroup N9741. J. Clin. Oncol. 2006, 24, 3503. [Google Scholar] [CrossRef]
- Mattison, L.K.; Fourie, J.; Desmond, R.A.; Modak, A.; Saif, M.W.; Diasio, R.B. Increased prevalence of dihydropyrimidine dehydrogenase deficiency in African-Americans compared with Caucasians. Clin. Cancer Res. 2006, 12, 5491–5495. [Google Scholar] [CrossRef]
- Sissung, T.M.; Cordes, L.; Peer, C.J.; Gandhy, S.; Redman, J.; Strauss, J.; Figg, W.D. Case report: Severe toxicity in an African-American patient receiving FOLFOX carrying uncommon allelic variants in DPYD. Pharmacogenomics 2021, 22, 81–85. [Google Scholar] [CrossRef]
- Bae, S.U.; Lee, J.L.; Yang, C.S.; Park, E.J.; Park, S.Y.; Kim, C.W.; Ji, W.B.; Son, G.M.; Han, Y.D.; Kim, S.H.; et al. Survival benefit of adjuvant chemotherapy in high-risk patients with colon cancer regardless of microsatellite instability. Eur. J. Surg. Oncol. 2025, 51, 109674. [Google Scholar] [CrossRef]
- Luo, Y.; Yang, Z.; Chen, Y.; Lu, X.; Quan, Y. Genomic and immunological features of microsatellite instability in colon cancer. Gene 2021, 781, 145534. [Google Scholar] [CrossRef]
- Jo, W.S.; Carethers, J.M. Chemotherapeutic implications in microsatellite unstable colorectal cancer. Cancer Biomark. 2006, 2, 51–60. [Google Scholar] [CrossRef] [PubMed]
- Bienfait, L.; Doukoure, B.; Verset, L.; Demetter, P. Comparison of the mismatch repair deficiency of colorectal cancers between African and European cohorts. Ann. Pathol. 2020, 40, 12–18. [Google Scholar] [CrossRef]
- Ashktorab, H.; Azimi, H.; Varma, S.; Tavakoli, P.; Nickerson, M.L.; Brim, H. Distinctive DNA mismatch repair and APC rare variants in African Americans with colorectal neoplasia. Oncotarget 2017, 8, 99966–99977. [Google Scholar] [CrossRef] [PubMed]
- Devaraj, B.; Lee, A.; Cabrera, B.L.; Miyai, K.; Luo, L.; Ramamoorthy, S.; Keku, T.; Sandler, R.S.; Mcguire, K.L.; Carethers, J.M. Relationship of EMAST and microsatellite instability among patients with rectal cancer. J. Gastrointest. Surg. 2010, 14, 1521–1528. [Google Scholar] [CrossRef] [PubMed]
- Tajima, A.; Hess, M.T.; Cabrera, B.L.; Kolodner, R.D.; Carethers, J.M. The mismatch repair complex hMutS alpha recognizes 5-fluorouracil-modified DNA: Implications for chemosensitivity and resistance. Gastroenterology 2004, 127, 1678–1684. [Google Scholar] [CrossRef]
- Weber, T.K.; Chin, H.M.; Rodriguez-Bigas, M.; Keitz, B.; Gilligan, R.; O’malley, L.; Urf, E.; Diba, N.; Pazik, J.; Petrelli, N.J. Novel hMLH1 and hMSH2 germline mutations in African Americans with colorectal cancer. JAMA 1999, 281, 2316–2320. [Google Scholar] [CrossRef]
- Tomasello, G.; Ghidini, M.; Galassi, B.; Grossi, F.; Luciani, A.; Petrelli, F. Survival benefit with adjuvant chemotherapy in stage III microsatellite-high/deficient mismatch repair colon cancer: A systematic review and meta-analysis. Sci. Rep. 2022, 12, 1055. [Google Scholar] [CrossRef]
- Zaanan, A.; Taieb, J. Predictive and prognostic value of MSI phenotype in adjuvant colon cancer: Who and how to treat? Bull. Cancer 2019, 106, 129–136. [Google Scholar] [CrossRef] [PubMed]
- Ribic, C.M.; Sargent, D.J.; Moore, M.J.; Thibodeau, S.N.; French, A.J.; Goldberg, R.M.; Hamilton, S.R.; Laurent-Puig, P.; Gryfe, R.; Shepherd, L.E.; et al. Tumor microsatellite-instability status as a predictor of benefit from fluorouracil-based adjuvant chemotherapy for colon cancer. N. Engl. J. Med. 2003, 349, 247–257. [Google Scholar] [CrossRef] [PubMed]
- Loukola, A.; Eklin, K.; Laiho, P.; Salovaara, R.; Kristo, P.; Järvinen, H.; Mecklin, J.P.; Launonen, V.; Aaltonen, L.A. Microsatellite marker analysis in screening for hereditary nonpolyposis colorectal cancer (HNPCC). Cancer Res. 2001, 61, 4545–4549. [Google Scholar] [PubMed]
- Carethers, J.M.; Chauhan, D.P.; Fink, D.; Nebel, S.; Bresalier, R.S.; Howell, S.B.; Boland, C.R. Mismatch repair proficiency and in vitro response to 5-fluorouracil. Gastroenterology 1999, 117, 123–131. [Google Scholar] [CrossRef]
- Ogino, S.; Brahmandam, M.; Kawasaki, T.; Kirkner, G.J.; Loda, M.; Fuchs, C.S. Combined analysis of COX-2 and p53 expressions reveals synergistic inverse correlations with microsatellite instability and CpG island methylator phenotype in colorectal cancer. Neoplasia 2006, 8, 458–464. [Google Scholar] [CrossRef][Green Version]
- Elsaleh, H.; Powell, B.; Mccaul, K.; Grieu, F.; Grant, R.; Joseph, D.; Iacopetta, B. P53 alteration and microsatellite instability have predictive value for survival benefit from chemotherapy in stage III colorectal carcinoma. Clin. Cancer Res. 2001, 7, 1343–1349. [Google Scholar]
- Pocard, M.; Bras-Gonçalves, R.; Hamelin, R.; Northover, J.; Poupon, M.F. Response to 5-fluorouracil of orthotopically xenografted human colon cancers with a microsatellite instability: Influence of P53 status. Anticancer. Res. 2000, 20, 85–90. [Google Scholar]
- Popat, S.; Wort, R.; Houlston, R.S. Inter-relationship between microsatellite instability, thymidylate synthase expression, and p53 status in colorectal cancer: Implications for chemoresistance. BMC Cancer 2006, 6, 150. [Google Scholar] [CrossRef][Green Version]
- Gao, X.; Zheng, X.; Zhang, Y.; Dong, L.; Sun, L.; Zhao, N.; Ding, C.; Ma, Z.; Wang, Y. Deficient or R273H and R248W Mutations of p53 Promote Chemoresistance to 5-FU via TCF21/CD44 Axis-Mediated Enhanced Stemness in Colorectal Carcinoma. Front. Cell Dev. Biol. 2021, 9, 788331. [Google Scholar] [CrossRef] [PubMed]
- Paredes, J.; Ji, P.; Lacomb, J.F.; Shroyer, K.R.; Martello, L.A.; Williams, J.L. Establishment of three novel cell lines derived from African American patients with colorectal carcinoma: A unique tool for assessing racial health disparity. Int. J. Oncol. 2018, 53, 1516–1528. [Google Scholar] [CrossRef] [PubMed]
- Adebayo, A.S.; Agbaje, K.; Adesina, S.K.; Olajubutu, O. Colorectal Cancer: Disease Process, Current Treatment Options, and Future Perspectives. Pharmaceutics 2023, 15, 2620. [Google Scholar] [CrossRef] [PubMed]
- Baxter, N.N.; Kennedy, E.B.; Bergsland, E.; Berlin, J.; George, T.J.; Gill, S.; Gold, P.J.; Hantel, A.; Jones, L.; Lieu, C.; et al. Adjuvant Therapy for Stage II Colon Cancer: ASCO Guideline Update. J. Clin. Oncol. 2022, 40, 892–910. [Google Scholar] [CrossRef] [PubMed]
- Alfaro Alfaro Á, E.; Murillo Castillo, B.; Cordero García, E.; Tascón, J.; Morales, A.I. Colon Cancer Pharmacogenetics: A Narrative Review. Pharmacy 2022, 10, 95. [Google Scholar] [CrossRef]
- Gosavi, R.; Chia, C.; Michael, M.; Heriot, A.G.; Warrier, S.K.; Kong, J.C. Neoadjuvant chemotherapy in locally advanced colon cancer: A systematic review and meta-analysis. Int. J. Colorectal Dis. 2021, 36, 2063–2070. [Google Scholar] [CrossRef]
- Wilson, P.M.; Danenberg, P.V.; Johnston, P.G.; Lenz, H.J.; Ladner, R.D. Standing the test of time: Targeting thymidylate biosynthesis in cancer therapy. Nat. Rev. Clin. Oncol. 2014, 11, 282–298. [Google Scholar] [CrossRef]
- Bastos, D.A.; Ribeiro, S.C.; De Freitas, D.; Hoff, P.M. Combination therapy in high-risk stage II or stage III colon cancer: Current practice and future prospects. Ther. Adv. Med. Oncol. 2010, 2, 261–272. [Google Scholar] [CrossRef]
- Rich, T.A.; Shepard, R.C.; Mosley, S.T. Four decades of continuing innovation with fluorouracil: Current and future approaches to fluorouracil chemoradiation therapy. J. Clin. Oncol. 2004, 22, 2214–2232. [Google Scholar] [CrossRef]
- Dodevska, T.; Hadzhiev, D.; Shterev, I. Recent advances in electrochemical determination of anticancer drug 5-fluorouracil. Admet Dmpk 2023, 11, 135–150. [Google Scholar] [CrossRef] [PubMed]
- Sethy, C.; Kundu, C.N. 5-Fluorouracil (5-FU) resistance and the new strategy to enhance the sensitivity against cancer: Implication of DNA repair inhibition. Biomed. Pharmacother. 2021, 137, 111285. [Google Scholar] [CrossRef] [PubMed]
- Jennings, B.A.; Loke, Y.K.; Skinner, J.; Keane, M.; Chu, G.S.; Turner, R.; Epurescu, D.; Barrett, A.; Willis, G. Evaluating predictive pharmacogenetic signatures of adverse events in colorectal cancer patients treated with fluoropyrimidines. PLoS ONE 2013, 8, e78053. [Google Scholar] [CrossRef]
- Yamashita, K.; Yada, H.; Ariyoshi, T. Neurotoxic effects of alpha-fluoro-beta-alanine (FBAL) and fluoroacetic acid (FA) on dogs. J. Toxicol. Sci. 2004, 29, 155–166. [Google Scholar] [CrossRef]
- Noordhuis, P.; Holwerda, U.; Van Der Wilt, C.L.; Van Groeningen, C.J.; Smid, K.; Meijer, S.; Pinedo, H.M.; Peters, G.J. 5-Fluorouracil incorporation into RNA and DNA in relation to thymidylate synthase inhibition of human colorectal cancers. Ann. Oncol. 2004, 15, 1025–1032. [Google Scholar] [CrossRef]
- Pritchard, D.M.; Watson, A.J.; Potten, C.S.; Jackman, A.L.; Hickman, J.A. Inhibition by uridine but not thymidine of p53-dependent intestinal apoptosis initiated by 5-fluorouracil: Evidence for the involvement of RNA perturbation. Proc. Natl. Acad. Sci. USA 1997, 94, 1795–1799. [Google Scholar] [CrossRef]
- Heidelberger, C.; Danenberg, P.V.; Moran, R.G. Fluorinated pyrimidines and their nucleosides. Adv. Enzymol. Relat. Areas Mol. Biol. 1983, 54, 58–119. [Google Scholar]
- Gmeiner, W.H. Fluoropyrimidine Modulation of the Anti-Tumor Immune Response-Prospects for Improved Colorectal Cancer Treatment. Cancers 2020, 12, 1641. [Google Scholar] [CrossRef] [PubMed]
- Bijnsdorp, I.V.; Comijn, E.M.; Padron, J.M.; Gmeiner, W.H.; Peters, G.J. Mechanisms of action of FdUMP [10]: Metabolite activation and thymidylate synthase inhibition. Oncol. Rep. 2007, 18, 287–291. [Google Scholar] [CrossRef]
- Gmeiner, W.H.; Debinski, W.; Milligan, C.; Caudell, D.; Pardee, T.S. The applications of the novel polymeric fluoropyrimidine F10 in cancer treatment: Current evidence. Future Oncol. 2016, 12, 2009–2020. [Google Scholar] [CrossRef]
- Liao, Z.Y.; Sordet, O.; Zhang, H.L.; Kohlhagen, G.; Antony, S.; Gmeiner, W.H.; Pommier, Y. A novel polypyrimidine antitumor agent FdUMP[10] induces thymineless death with topoisomerase I-DNA complexes. Cancer Res. 2005, 65, 4844–4851. [Google Scholar] [CrossRef] [PubMed]
- Pardee, T.S.; Gomes, E.; Jennings-Gee, J.; Caudell, D.; Gmeiner, W.H. Unique dual targeting of thymidylate synthase and topoisomerase1 by FdUMP[10] results in high efficacy against AML and low toxicity. Blood 2012, 119, 3561–3570. [Google Scholar] [CrossRef]
- Pardee, T.S.; Stadelman, K.; Jennings-Gee, J.; Caudell, D.L.; Gmeiner, W.H. The poison oligonucleotide F10 is highly effective against acute lymphoblastic leukemia while sparing normal hematopoietic cells. Oncotarget 2014, 5, 4170–4179. [Google Scholar] [CrossRef]
- Finan, J.M.; Di Niro, R.; Park, S.Y.; Jeong, K.J.; Hedberg, M.D.; Smith, A.; Mccarthy, G.A.; Haber, A.O.; Muschler, J.; Sears, R.C.; et al. The polymeric fluoropyrimidine CF10 overcomes limitations of 5-FU in pancreatic ductal adenocarcinoma cells through increased replication stress. Cancer Biol. Ther. 2024, 25, 2421584. [Google Scholar] [CrossRef] [PubMed]
- Haber, A.O.; Jain, A.; Mani, C.; Nevler, A.; Agostini, L.C.; Golan, T.; Palle, K.; Yeo, C.J.; Gmeiner, W.H.; Brody, J.R. AraC-FdUMP[10] Is a Next-Generation Fluoropyrimidine with Potent Antitumor Activity in PDAC and Synergy with PARG Inhibition. Mol. Cancer Res. 2021, 19, 565–572. [Google Scholar] [CrossRef] [PubMed]
- Gmeiner, W.H.; Jennings-Gee, J.; Stuart, C.H.; Pardee, T.S. Thymineless death in F10-treated AML cells occurs via lipid raft depletion and Fas/FasL co-localization in the plasma membrane with activation of the extrinsic apoptotic pathway. Leuk. Res. 2015, 39, 229–235. [Google Scholar] [CrossRef][Green Version]
- Kischkel, F.C.; Hellbardt, S.; Behrmann, I.; Germer, M.; Pawlita, M.; Krammer, P.H.; Peter, M.E. Cytotoxicity-dependent APO-1 (Fas/CD95)-associated proteins form a death-inducing signaling complex (DISC) with the receptor. Embo J. 1995, 14, 5579–5588. [Google Scholar] [CrossRef]
- Wajant, H. Principles and mechanisms of CD95 activation. Biol. Chem. 2014, 395, 1401–1416. [Google Scholar] [CrossRef]
- Tamraz, M.; Al Ghossaini, N.; Temraz, S. The Ketogenic Diet in Colorectal Cancer: A Means to an End. Int. J. Mol. Sci. 2023, 24, 3683. [Google Scholar] [CrossRef]
- Drew, D.A.; Chan, A.T. Towards a cancer-chemopreventive diet. Nat. Biomed. Eng. 2018, 2, 6–7. [Google Scholar] [CrossRef]
- Sen, K.; Kumar Das, S.; Ghosh, N.; Sinha, K.; Sil, P.C. Lupeol: A dietary and medicinal triterpene with therapeutic potential. Biochem. Pharmacol. 2024, 229, 116545. [Google Scholar] [CrossRef]
- Fatma, H.; Jameel, M.; Siddiqui, A.J.; Kuddus, M.; Buali, N.S.; Bahrini, I.; Siddique, H.R. Chemotherapeutic potential of lupeol against cancer in pre-clinical model: A systematic review and meta-analysis. Phytomedicine 2024, 132, 155777. [Google Scholar] [CrossRef]
- Liu, K.; Zhang, X.; Xie, L.; Deng, M.; Chen, H.; Song, J.; Long, J.; Li, X.; Luo, J. Lupeol and its derivatives as anticancer and anti-inflammatory agents: Molecular mechanisms and therapeutic efficacy. Pharmacol. Res. 2021, 164, 105373. [Google Scholar] [CrossRef] [PubMed]
- Saleem, M. Lupeol, a novel anti-inflammatory and anti-cancer dietary triterpene. Cancer Lett. 2009, 285, 109–115. [Google Scholar] [CrossRef] [PubMed]
- Saleem, M.; Kweon, M.H.; Yun, J.M.; Adhami, V.M.; Khan, N.; Syed, D.N.; Mukhtar, H. A novel dietary triterpene Lupeol induces fas-mediated apoptotic death of androgen-sensitive prostate cancer cells and inhibits tumor growth in a xenograft model. Cancer Res. 2005, 65, 11203–11213. [Google Scholar] [CrossRef] [PubMed]
- Saleem, M.; Kaur, S.; Kweon, M.H.; Adhami, V.M.; Afaq, F.; Mukhtar, H. Lupeol, a fruit and vegetable based triterpene, induces apoptotic death of human pancreatic adenocarcinoma cells via inhibition of Ras signaling pathway. Carcinogenesis 2005, 26, 1956–1964. [Google Scholar] [CrossRef]
- Nöpel-Dünnebacke, S.; Schulmann, K.; Reinacher-Schick, A.; Porschen, R.; Schmiegel, W.; Tannapfel, A.; Graeven, U. Prognostic value of microsatellite instability and p53 expression in metastatic colorectal cancer treated with oxaliplatin and fluoropyrimidine-based chemotherapy. Z. Gastroenterol. 2014, 52, 1394–1401. [Google Scholar] [CrossRef]
- Gmeiner, W.H.; Okechukwu, C.C. Review of 5-FU resistance mechanisms in colorectal cancer: Clinical significance of attenuated on-target effects. Cancer Drug Resist. 2023, 6, 257–272. [Google Scholar] [CrossRef]
- Snyder, R.A.; He, J.; Le-Rademacher, J.; Ou, F.-S.; Dodge, A.B.; Zemla, T.J.; Paskett, E.D.; Chang, G.J.; Innocenti, F.; Blanke, C.; et al. Racial differences in survival and response to therapy in patients with metastatic colorectal cancer: A secondary analysis of CALGB/SWOG 80405 (Alliance A151931). Cancer 2021, 127, 3801–3808. [Google Scholar] [CrossRef]
- Yoon, H.H.; Shi, Q.; Alberts, S.R.; Goldberg, R.M.; Thibodeau, S.N.; Sargent, D.J.; Sinicrope, F.A. Racial Differences in BRAF/KRAS Mutation Rates and Survival in Stage III Colon Cancer Patients. J. Natl. Cancer Inst. 2015, 107, djv186. [Google Scholar] [CrossRef]
- Yothers, G.; Sargent, D.J.; Wolmark, N.; Goldberg, R.M.; O’connell, M.J.; Benedetti, J.K.; Saltz, L.B.; Dignam, J.J.; Blackstock, A.W. Outcomes among black patients with stage II and III colon cancer receiving chemotherapy: An analysis of ACCENT adjuvant trials. J. Natl. Cancer Inst. 2011, 103, 1498–1506. [Google Scholar] [CrossRef] [PubMed]
- Yang, C.M.; Kang, M.K.; Jung, W.J.; Joo, J.S.; Kim, Y.J.; Choi, Y.; Kim, H.P. p53 expression confers sensitivity to 5-fluorouracil via distinct chromatin accessibility dynamics in human colorectal cancer. Oncol. Lett. 2021, 21, 226. [Google Scholar] [CrossRef] [PubMed]
- Paredes, J.; Zabaleta, J.; Garai, J.; Ji, P.; Imtiaz, S.; Spagnardi, M.; Alvarado, J.; Li, L.; Akadri, M.; Barrera, K.; et al. Immune-Related Gene Expression and Cytokine Secretion Is Reduced Among African American Colon Cancer Patients. Front. Oncol. 2020, 10, 1498. [Google Scholar] [CrossRef]
- Thorn, C.F.; Marsh, S.; Carrillo, M.W.; Mcleod, H.L.; Klein, T.E.; Altman, R.B. PharmGKB summary: Fluoropyrimidine pathways. Pharmacogenet Genom. 2011, 21, 237–242. [Google Scholar] [CrossRef]
- Strimpakos, A.S.; Cunningham, D.; Mikropoulos, C.; Petkar, I.; Barbachano, Y.; Chau, I. The impact of carcinoembryonic antigen flare in patients with advanced colorectal cancer receiving first-line chemotherapy. Ann. Oncol. 2010, 21, 1013–1019. [Google Scholar] [CrossRef]
- Modrak, D.E.; Gold, D.V.; Goldenberg, D.M.; Blumenthal, R.D. Colonic tumor CEA, CSAp and MUC-1 expression following radioimmunotherapy or chemotherapy. Tumour Biol. 2003, 24, 32–39. [Google Scholar] [CrossRef]
- Fu, Q.; Fu, T.M.; Cruz, A.C.; Sengupta, P.; Thomas, S.K.; Wang, S.; Siegel, R.M.; Wu, H.; Chou, J.J. Structural Basis and Functional Role of Intramembrane Trimerization of the Fas/CD95 Death Receptor. Mol. Cell 2016, 61, 602–613. [Google Scholar] [CrossRef]
- Zavala, V.A.; Bracci, P.M.; Carethers, J.M.; Carvajal-Carmona, L.; Coggins, N.B.; Cruz-Correa, M.R.; Davis, M.; De Smith, A.J.; Dutil, J.; Figueiredo, J.C.; et al. Cancer health disparities in racial/ethnic minorities in the United States. Br. J. Cancer 2021, 124, 315–332. [Google Scholar] [CrossRef]
- Jia, J.; Zhang, P.; Gou, M.; Yang, F.; Qian, N.; Dai, G. The Role of Serum CEA and CA19-9 in Efficacy Evaluations and Progression-Free Survival Predictions for Patients Treated with Cetuximab Combined with FOLFOX4 or FOLFIRI as a First-Line Treatment for Advanced Colorectal Cancer. Dis. Markers 2019, 2019, 6812045. [Google Scholar] [CrossRef] [PubMed]
- Okechukwu, C.C.; Gmeiner, W.H. CF10/LV overcomes acquired resistance to 5-FU/LV in colorectal cancer cells through downregulation of the c-Myc/ABCB5 axis. Cancer Drug Resist. 2025, 8, 35. [Google Scholar] [CrossRef]
- Okechukwu, C.C.; Ma, X.; Sah, N.; Mani, C.; Palle, K.; Gmeiner, W.H. Enhanced Therapeutic Efficacy of the Nanoscale Fluoropyrimidine Polymer CF10 in a Rat Colorectal Cancer Liver Metastasis Model. Cancers 2024, 16, 1360. [Google Scholar] [CrossRef]
- Gmeiner, W.H.; Dominijanni, A.; Haber, A.O.; Ghiraldeli, L.P.; Caudell, D.L.; D’agostino, R., Jr.; Pasche, B.C.; Smith, T.L.; Deng, Z.; Kiren, S.; et al. Improved Antitumor Activity of the Fluoropyrimidine Polymer CF10 in Preclinical Colorectal Cancer Models through Distinct Mechanistic and Pharmacologic Properties. Mol. Cancer Ther. 2021, 20, 553–563. [Google Scholar] [CrossRef] [PubMed]
- Dominijanni, A.; Gmeiner, W.H. Improved potency of F10 relative to 5-fluorouracil in colorectal cancer cells with p53 mutations. Cancer Drug Resist. 2018, 1, 48–58. [Google Scholar] [CrossRef]
- Zhang, Y.; Rohde, L.H.; Wu, H. Involvement of nucleotide excision and mismatch repair mechanisms in double strand break repair. Curr. Genom. 2009, 10, 250–258. [Google Scholar] [CrossRef] [PubMed]
- Reijns, M.a.M.; Parry, D.A.; Williams, T.C.; Nadeu, F.; Hindshaw, R.L.; Rios Szwed, D.O.; Nicholson, M.D.; Carroll, P.; Boyle, S.; Royo, R.; et al. Signatures of TOP1 transcription-associated mutagenesis in cancer and germline. Nature 2022, 602, 623–631. [Google Scholar] [CrossRef]
- Wang, M.; Ran, X.; Leung, W.; Kawale, A.; Saxena, S.; Ouyang, J.; Patel, P.S.; Dong, Y.; Yin, T.; Shu, J.; et al. ATR inhibition induces synthetic lethality in mismatch repair-deficient cells and augments immunotherapy. Genes. Dev. 2023, 37, 929–943. [Google Scholar] [CrossRef]
- Gunasekaran, M.; Ravi, R.; Subramanian, K. Molecular docking analysis of lupeol with different cancer targets. Bioinformation 2022, 18, 134–140. [Google Scholar] [CrossRef]
- Liu, Y.; Bodmer, W.F. Analysis of P53 mutations and their expression in 56 colorectal cancer cell lines. Proc. Natl. Acad. Sci. USA 2006, 103, 976–981. [Google Scholar] [CrossRef]
- Altschul, S.F.; Gish, W.; Miller, W.; Myers, E.W.; Lipman, D.J. Basic local alignment search tool. J. Mol. Biol. 1990, 215, 403–410. [Google Scholar] [CrossRef]
- Database resources of the National Center for Biotechnology Information. Nucleic Acids Res. 2018, 46, D8–D13. [CrossRef] [PubMed]
- Wang, J.; Dokholyan, N.V. MedusaDock 2.0: Efficient and Accurate Protein-Ligand Docking with Constraints. J. Chem. Inf. Model. 2019, 59, 2509–2515. [Google Scholar] [CrossRef] [PubMed]
- National Center for Biotechnology Information. PubChem Compound Summary for CID 259846, Lupeol. 2022. Available online: https://pubchem.ncbi.nlm.nih.gov/compound/Lupeol (accessed on 14 April 2022).
- Berman, H.M.; Westbrook, J.; Feng, Z.; Gilliland, G.; Bhat, T.N.; Weissig, H.; Shindyalov, I.N.; Bourne, P.E. The Protein Data Bank. Nucleic Acids Res. 2000, 28, 235–242. [Google Scholar] [CrossRef] [PubMed]
- Pettersen, E.F.; Goddard, T.D.; Huang, C.C.; Meng, E.C.; Couch, G.S.; Croll, T.I.; Morris, J.H.; Ferrin, T.E. UCSF ChimeraX: Structure visualization for researchers, educators, and developers. Protein Sci. 2021, 30, 70–82. [Google Scholar] [CrossRef] [PubMed]




Disclaimer/Publisher’s Note: The statements, opinions and data contained in all publications are solely those of the individual author(s) and contributor(s) and not of MDPI and/or the editor(s). MDPI and/or the editor(s) disclaim responsibility for any injury to people or property resulting from any ideas, methods, instructions or products referred to in the content. |
© 2025 by the authors. Licensee MDPI, Basel, Switzerland. This article is an open access article distributed under the terms and conditions of the Creative Commons Attribution (CC BY) license (https://creativecommons.org/licenses/by/4.0/).
Share and Cite
Thaker, S.D.; Paredes, J.; Garai, J.; Martello, L.A.; Gmeiner, W.H.; Zabaleta, J.; Williams, J. Colorectal Cancer: Differential Gene Expression and In Vitro Response to 5-Fluorouracil, Novel Fluoropyrimidine F10, and Potential Synergy with Lupeol. Int. J. Mol. Sci. 2025, 26, 11134. https://doi.org/10.3390/ijms262211134
Thaker SD, Paredes J, Garai J, Martello LA, Gmeiner WH, Zabaleta J, Williams J. Colorectal Cancer: Differential Gene Expression and In Vitro Response to 5-Fluorouracil, Novel Fluoropyrimidine F10, and Potential Synergy with Lupeol. International Journal of Molecular Sciences. 2025; 26(22):11134. https://doi.org/10.3390/ijms262211134
Chicago/Turabian StyleThaker, Shrey D., Jenny Paredes, Jone Garai, Laura A. Martello, William H. Gmeiner, Jovanny Zabaleta, and Jennie Williams. 2025. "Colorectal Cancer: Differential Gene Expression and In Vitro Response to 5-Fluorouracil, Novel Fluoropyrimidine F10, and Potential Synergy with Lupeol" International Journal of Molecular Sciences 26, no. 22: 11134. https://doi.org/10.3390/ijms262211134
APA StyleThaker, S. D., Paredes, J., Garai, J., Martello, L. A., Gmeiner, W. H., Zabaleta, J., & Williams, J. (2025). Colorectal Cancer: Differential Gene Expression and In Vitro Response to 5-Fluorouracil, Novel Fluoropyrimidine F10, and Potential Synergy with Lupeol. International Journal of Molecular Sciences, 26(22), 11134. https://doi.org/10.3390/ijms262211134

