A Novel Steroidogenic Action of Anti-Müllerian Hormone in Teleosts: Evidence from the European Sea Bass Male (Dicentrarchus labrax)
Abstract
1. Introduction
2. Results
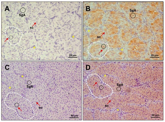
2.1. Localization of Endogenous Amh Type II Receptor, Amhr2, in Pre-Meiotic Testis of Adult Sea Bass
2.2. Effect of Sea Bass Amh on Steroidogenesis in Fish Testis
2.3. In Vivo Effect of sbAmh
2.4. Signalling Pathways of sbAmh
2.4.1. sbAmh Signalling Through the SMAD and cAMP Pathways
2.4.2. Crosstalk Between Signalling Pathways
2.5. Involvement of cAMP Pathway in sbAmh-Stimulated Steroid Production in Testis
3. Discussion
4. Materials and Methods
4.1. Animals
4.2. Hormones and Reagents
4.3. Immunohistochemistry of Endogenous Amhr2 in Adult Sea Bass Testis
4.4. In Vitro Testis Culture
4.5. Injection of sbAmh Plasmid In Vivo
4.6. Sex Steroid Analysis
4.7. RNA Extraction, Reverse Transcription, and Quantitative Real-Time PCR (qPCR)
4.8. Cell Culture, Transfection, and Luciferase Assay
4.9. Statistical Analysis
5. Conclusions
Supplementary Materials
Author Contributions
Funding
Institutional Review Board Statement
Informed Consent Statement
Data Availability Statement
Acknowledgments
Conflicts of Interest
Abbreviations
| 11-KT | 11-ketotestosterone |
| ALK | Activin receptor-like kinase |
| AMH | Anti-Müllerian hormone |
| Amhr2 | Anti-Müllerian hormone type II receptor |
| ATP | Adenosine triphosphate |
| BPG | Brain–pituitary–gonad axis |
| BRE | BMP response element |
| BSA | Bovine serum albumin |
| cAMP | Cyclic adenosine monophosphate |
| CHO | Chinese hamster ovary |
| COS-7 | Cell line from African green monkey kidney fibroblasts |
| CRE | cAMP response element |
| CREB | cAMP response element-binding protein |
| DAB | 3,3′-Diaminobenzidine |
| DMEM | Dulbecco’s modified eagle medium |
| DMSO | dimethyl sulfoxide |
| DSBR/SBR | (Dissection) sea bass ringer |
| E2 | 17β-estradiol |
| EGFP | Enhanced green fluorescent protein |
| EIA | Enzyme immunoassay |
| FBS | Fetal bovine serum |
| Fshr | Follicle-stimulating hormone receptor |
| FSH | Follicle-stimulating hormone |
| GAR-HRP | Goat anti-rabbit horseradish peroxidase |
| GnRH | Gonadotropin-releasing hormone |
| GSI | Gonadosomatic index |
| hAMH | Human anti-Müllerian hormone |
| hAMHR2 | Human anti-Müllerian hormone type II receptor |
| LH | Luteinizing hormone |
| NGS | Normal goat serum |
| PBS | Phosphate-buffered saline |
| PFA | Paraformaldehyde |
| PGCs | Primordial germ cells |
| PKA | Protein kinase A |
| PKA-C | Protein kinase A catalytic subunit |
| PKA-R | Protein kinase A regulatory subunit |
| pPIC9K | Pichia pastoris expression vector pPIC9K |
| RLU | Relative light units |
| sbAmh | Sea bass anti-Müllerian hormone |
| sb-scFsh | Sea bass single-chain follicle-stimulating hormone |
| SCF | Stem cell factor |
| SMAD | Small mother against decapentaplegic |
| T | Testosterone |
| TBS/TBS-T | Tris-buffered saline with Triton X-100 |
| TFG-β | Transforming growth factor beta |
References
- Josso, N. Professor Alfred Jost: The Builder of Modern Sex Differentiation. Sex. Dev. 2008, 2, 55–63. [Google Scholar] [CrossRef]
- Di Clemente, N.; Jamin, S.P.; Lugovskoy, A.; Carmillo, P.; Ehrenfels, C.; Picard, J.Y.; Whitty, A.; Josso, N.; Pepinsky, R.B.; Cate, R.L. Processing of Anti-Müllerian Hormone Regulates Receptor Activation by a Mechanism Distinct from TGF-β. Mol. Endocrinol. 2010, 24, 2193–2206. [Google Scholar] [CrossRef]
- Cate, R.L. Anti-Müllerian Hormone Signal Transduction Involved in Müllerian Duct Regression. Front. Endocrinol. 2022, 13, 905324. [Google Scholar] [CrossRef]
- Silva, M.S.B.; Giacobini, P. New Insights into anti-Müllerian hormone role in the hypothalamic–pituitary–gonadal axis and neuroendocrine development. Cell. Mol. Life Sci. 2020, 78, 1–16. [Google Scholar] [CrossRef] [PubMed]
- Racine, C.; Rey, R.; Forest, M.G.; Louis, F.; Ferre, A.; Huhtaniemi, I.; Josso, N.; Di Clemente, N. Receptors for anti-Müllerian hormone on Leydig cells are responsible for its effects on steroidogenesis and cell differentiation. Proc. Natl. Acad. Sci. USA 1998, 95, 594–599. [Google Scholar] [CrossRef] [PubMed]
- Monsivais, D.; Matzuk, M.M.; Pangas, S.A. The TGF-β Family in the Reproductive Tract. Cold Spring Harb. Perspect. Biol. 2017, 9, a022251. [Google Scholar] [CrossRef]
- Durlinger, A.L.L.; Gruijters, M.J.G.; Kramer, P.; Karels, B.; Ingraham, H.A.; Nachtigal, M.W.; Uilenbroek, J.T.J.; Anton Grootegoed, J.; Themmen, A.P.N. Anti-Müllerian Hormone Inhibits Initiation of Primordial Follicle Growth in the Mouse Ovary. Endocrinology 2002, 143, 1076–1084. [Google Scholar] [CrossRef] [PubMed]
- Holst, B.S. Diagnostic possibilities from a serum sample—Clinical value of new methods within small animal reproduction, with focus on anti-Müllerian hormone. Reprod. Domest. Anim. 2017, 52, 303–309. [Google Scholar] [CrossRef]
- Dumont, A.; Robin, G.; Catteau-Jonard, S.; Dewailly, D. Role of Anti-Müllerian Hormone in Pathophysiology, Diagnosis and Treatment of Polycystic Ovary Syndrome: A Review. Reprod. Biol. Endocrinol. 2015, 13, 8–10. [Google Scholar] [CrossRef]
- Malone, S.A.; Papadakis, G.E.; Messina, A.; El, N.; Mimouni, H.; Trova, S.; Imbernon, M.; Allet, C.; Cimino, I.; Acierno, J.; et al. Defective AMH signaling disrupts GnRH neuron development and function and contributes to hypogonadotropic hypogonadism. Dev. Biol. Genet. Genom. 2019, 8, e47198. [Google Scholar]
- Cimino, I.; Casoni, F.; Liu, X.; Messina, A.; Parkash, J.; Jamin, S.P.; Catteau-Jonard, S.; Collier, F.; Baroncini, M.; Dewailly, D.; et al. Novel role for anti-Müllerian hormone in the regulation of GnRH neuron excitability and hormone secretion. Nat. Commun. 2016, 7, 10055. [Google Scholar] [CrossRef]
- Garrel, G.; Racine, C.; L’Hote, D.; Denoyelle, C.; Guigon, C.J.; Di Clemente, N.; Cohen-Tannoudji, J. Anti-Mullerian Hormone: A new actor of sexual dimorphism in pituitary gonadotrope activity before puberty. Sci. Rep. 2016, 6, 23790. [Google Scholar] [CrossRef]
- Adolfi, M.C.; Nakajima, R.T.; Nóbrega, R.H.; Schartl, M. Intersex, Hermaphroditism, and Gonadal Plasticity in Vertebrates: Evolution of the Müllerian Duct and Amh/Amhr2 Signaling. Annu. Rev. Anim. Biosci. 2019, 7, 149–172. [Google Scholar] [CrossRef]
- Miura, T.; Miura, C.; Konda, Y.; Yamauchi, K. Spermatogenesis-preventing substance in Japanese eel. Development 2002, 129, 2689–2697. [Google Scholar] [CrossRef]
- Yoshinaga, N.; Shiraishi, E.; Yamamoto, T.; Iguchi, T.; Abe, S.I.; Kitano, T. Sexually dimorphic expression of a teleost homologue of Müllerian inhibiting substance during gonadal sex differentiation in Japanese flounder, Paralichthys olivaceus. Biochem. Biophys. Res. Commun. 2004, 322, 508–513. [Google Scholar] [CrossRef] [PubMed]
- Rodríguez-Marí, A.; Yan, Y.L.; BreMiller, R.A.; Wilson, C.; Cañestro, C.; Postlethwait, J.H. Characterization and expression Pattern of zebrafish anti-Müllerian hormone (amh) relative to sox9a, sox9b, and cyp19a1a, during gonad development. Gene Expr. Patterns 2005, 5, 655–667. [Google Scholar] [CrossRef]
- Klüver, N.; Pfennig, F.; Pala, I.; Storch, K.; Schlieder, M.; Froschauer, A.; Gutzeit, H.O.; Schartl, M. Differential Expression of Anti-Müllerian Hormone (amh) and Anti-Müllerian Hormone Receptor Type II (amhrII) in the Teleost Medaka. Dev. Dyn. 2007, 236, 271–281. [Google Scholar] [CrossRef]
- Halm, S.; Rocha, A.; Miura, T.; Prat, F.; Zanuy, S. Anti-Müllerian Hormone (AMH/AMH) in the European sea bass: Its gene structure, regulatory elements, and the expression of alternatively-spliced isoforms. Gene 2007, 388, 148–158. [Google Scholar] [CrossRef]
- Vizziano, D.; Randuineau, G.; Baron, D.; Cauty, C.; Guiguen, Y. Characterization of Early Molecular Sex Differentiation in Rainbow Trout, Oncorhynchus mykiss. Dev. Dyn. 2007, 236, 2198–2206. [Google Scholar] [CrossRef] [PubMed]
- Ijiri, S.; Kaneko, H.; Kobayashi, T.; Wang, D.S.; Sakai, F.; Paul-Prasanth, B.; Nakamura, M.; Nagahama, Y. Sexual Dimorphic Expression of Genes in Gonads during Early Differentiation of a Teleost Fish, the Nile Tilapia Oreochromis niloticus. Biol. Reprod. 2008, 78, 333–341. [Google Scholar] [CrossRef] [PubMed]
- Pala, I.; Klüver, N.; Thorsteinsdóttir, S.; Schartl, M.; Coelho, M.M. Expression pattern of anti-Müllerian hormone (amh) in the hybrid fish complex of Squalius alburnoides. Gene 2008, 410, 249–258. [Google Scholar] [CrossRef]
- Johnsen, H.; Tveiten, H.; Torgersen, J.S.; Andersen, Ø. Divergent and Sex-Dimorphic Expression of the Paralogs of the Sox9-Amh-Cyp19a1 Regulatory Cascade in Developing and Adult Atlantic Cod (Gadus morhua L.). Mol. Reprod. Dev. 2013, 80, 358–370. [Google Scholar] [CrossRef]
- Pfennig, F.; Standke, A.; Gutzeit, H.O. The role of Amh signaling in teleost fish—Multiple functions not restricted to the gonads. Gen. Comp. Endocrinol. 2015, 223, 87–107. [Google Scholar] [CrossRef]
- Pan, Q.; Feron, R.; Yano, A.; Guyomard, R.; Jouanno, E.; Vigouroux, E.; Wen, M.; Busne, J.M.; Bobe, J.; Concordet, J.P.; et al. Identification of the master sex determining gene in Northern Pike (Esox lucius) reveals restricted sex chromosome differentiation. PLoS Genet. 2019, 15, e1008013. [Google Scholar] [CrossRef]
- Hattori, R.S.; Murai, Y.; Oura, M.; Masuda, S.; Majhi, S.K.; Sakamoto, T.; Fernandino, J.I.; Somoza, G.M.; Yokota, M.; Strüssmann, C.A. A Y-linked anti-Müllerian hormone duplication takes over a critical role in sex determination. Proc. Natl. Acad. Sci. USA 2012, 109, 2955–2959. [Google Scholar] [CrossRef]
- Yamamoto, Y.; Zhang, Y.; Sarida, M.; Hattori, R.S.; Strüssmann, C.A. Coexistence of Genotypic and Temperature-Dependent Sex Determination in Pejerrey Odontesthes bonariensis. PLoS ONE 2014, 9, e102574. [Google Scholar] [CrossRef] [PubMed]
- Li, M.; Sun, Y.; Zhao, J.; Shi, H.; Zeng, S.; Ye, K.; Jiang, D.; Zhou, L.; Sun, L.; Tao, W.; et al. A Tandem Duplicate of Anti-Müllerian Hormone with a Missense SNP on the Y Chromosome Is Essential for Male Sex Determination in Nile Tilapia, Oreochromis niloticus. PLoS Genet. 2015, 11, e1005678. [Google Scholar] [CrossRef] [PubMed]
- Hattori, R.S.; Kumazawa, K.; Nakamoto, M.; Nakano, Y.; Yamaguchi, T.; Kitano, T.; Yamamoto, E.; Fuji, K.; Sakamoto, T. Y-specific Amh allele, amhy, is the master sex-determining gene in Japanese flounder Paralichthys olivaceus. Front. Genet. 2022, 13, 1007548. [Google Scholar] [CrossRef]
- Song, W.; Xie, Y.; Sun, M.; Li, X.; Fitzpatrick, C.K.; Vaux, F.; O’Malley, K.G.; Zhang, Q.; Qi, J.; He, Y. A duplicated amh is the master sex-determining gene for Sebastes rockfish in the Northwest pacific. Open Biol. 2021, 11, 210063. [Google Scholar] [CrossRef]
- Curzon, A.Y.; Shirak, A.; Ron, M.; Seroussi, E. Master-Key Regulators of Sex Determination in Fish and Other Vertebrates—A Review. Int. J. Mol. Sci. 2023, 24, 2468. [Google Scholar] [CrossRef] [PubMed]
- Baron, D.; Houlgatte, R.; Postier, A.; Guiguen, Y. Large-Scale Temporal Gene Expression Profiling during Gonadal Differentiation and Early Gametogenesis in Rainbow Trout. Biol. Reprod. 2005, 73, 959–966. [Google Scholar] [CrossRef] [PubMed]
- Shen, Z.G.; Wang, H.P. Molecular players involved in temperature-dependent sex determination and sex differentiation in teleost fish. Genet. Sel. Evol. 2014, 46, 26. [Google Scholar] [CrossRef]
- Shiraishi, E.; Yoshinaga, N.; Miura, T.; Yokoi, H.; Wakamatsu, Y.; Abe, S.I.; Kitano, T. Müllerian Inhibiting Substance Is Required for Germ Cell Proliferation during Early Gonadal Differentiation in Medaka (Oryzias latipes). Endocrinology 2008, 149, 1813–1819. [Google Scholar] [CrossRef]
- Morinaga, C.; Saito, D.; Nakamura, S.; Sasaki, T.; Asakawa, S.; Shimizu, N.; Mitani, H.; Furutani-Seiki, M.; Tanaka, M.; Kondoh, H. The hotei mutation of medaka in the anti-Müllerian hormone receptor causes the dysregulation of germ cell and sexual development. Proc. Natl. Acad. Sci. USA 2007, 104, 9691–9696. [Google Scholar] [CrossRef]
- Lin, Q.; Mei, J.; Li, Z.; Zhang, X.; Zhou, L.; Gui, J. Distinct and Cooperative Roles of amh and dmrt1 in Self-Renewal and Differentiation of Male Germ Cells in Zebrafish. Genetics 2017, 207, 1007–1022. [Google Scholar] [CrossRef]
- Zhang, Z.; Zhu, B.; Chen, W.; Ge, W. Anti-Müllerian hormone (Amh/amh) plays dual roles in maintaining gonadal homeostasis and gametogenesis in zebrafish. Mol. Cell. Endocrinol. 2020, 517, 110963. [Google Scholar] [CrossRef]
- Liu, X.; Dai, S.; Wu, J.; Wei, X.; Zhou, X.; Chen, M.; Tan, D.; Pu, D.; Li, M.; Wang, D. Roles of anti-Müllerian hormone and its duplicates in sex determination and germ cell proliferation of Nile tilapia. Genetics 2022, 220, iyab237. [Google Scholar] [CrossRef]
- Wu, G.C.; Li, H.W.; Luo, J.W.; Chen, C.; Chang, C.F. The Potential Role of Amh to Prevent Ectopic Female Development in Testicular Tissue of the Protandrous Black Porgy, Acanthopagrus schlegelii. Biol. Reprod. 2015, 92, 158. [Google Scholar] [CrossRef]
- Wu, G.C.; Li, H.W.; Tey, W.G.; Lin, C.J.; Chang, C.F. Expression profile of amh/Amh during bidirectional sex change in the protogynous orange-spotted grouper Epinephelus coioides. PLoS ONE 2017, 12, e0185864. [Google Scholar] [CrossRef]
- Han, Y.; Peng, C.; Wang, L.; Guo, J.; Lu, M.; Chen, J.; Liu, Y.; Li, S.; Zhao, M.; Zhang, Y.; et al. Female-to-male sex reversal in orange-spotted grouper (Epinephelus coioides) caused by overexpressing of Amh in Vivo. Biol. Reprod. 2018, 99, 1205–1215. [Google Scholar] [CrossRef] [PubMed]
- Xu, Y.; Zhong, Z.; Feng, Y.; Zhang, Z.; Ao, L.; Liu, H.; Wang, Y.; Jiang, Y. Expression pattern analysis of anti-Mullerian hormone in testis development of Pearlscale angelfish (Centropyge vrolikii). J. Fish Biol. 2023, 102, 1067–1078. [Google Scholar] [CrossRef]
- Oliveira, M.A.; Martinez, E.R.M.; Butzge, A.J.; Doretto, L.B.; Ricci, J.M.B.; Rodrigues, M.S.; Vigoya, A.A.A.; Gómez-González, N.E.; Stewart, A.B.; Nóbrega, R.H. Molecular characterization and expression analysis of anti-Müllerian hormone in Common carp (Cyprinus carpio) adult testes. Gene Expr. Patterns 2021, 40, 119169. [Google Scholar] [CrossRef] [PubMed]
- Skaar, K.S.; Nóbrega, R.H.; Magaraki, A.; Olsen, L.C.; Schulz, R.W.; Male, R. Proteolytically Activated, Recombinant Anti-Müllerian Hormone Inhibits Androgen Secretion, Proliferation, and Differentiation of Spermatogonia in Adult Zebrafish Testis Organ Cultures. Endocrinology 2011, 152, 3527–3540. [Google Scholar] [CrossRef] [PubMed]
- Morais, R.D.V.S.; Crespo, D.; Nóbrega, R.H.; Lemos, M.S.; van de Kant, H.J.G.; de França, L.R.; Male, R.; Bogerd, J.; Schulz, R.W. Antagonistic regulation of spermatogonial differentiation in Zebrafish (Danio rerio) by Igf3 and Amh. Mol. Cell. Endocrinol. 2017, 454, 112–124. [Google Scholar] [CrossRef]
- Zhang, G.; Wang, W.; Su, M.; Zhang, J. Effects of recombinant gonadotropin hormones on the gonadal maturation in the Spotted scat, Scatophagus argus. Aquaculture 2018, 483, 263–272. [Google Scholar] [CrossRef]
- Mazón, M.J.; Gómez, A.; Yilmaz, O.; Carrillo, M.; Zanuy, S. Administration of Follicle-Stimulating Hormone in Vivo Triggers Testicular Recrudescence of Juvenile European Sea Bass (Dicentrarchus labrax). Biol. Reprod. 2014, 90, 6. [Google Scholar] [CrossRef]
- Rey, R.; Lukas-Croisier, C.; Lasala, C.; Bedecarrás, P. AMH/MIS: What we know already about the gene, the protein and its regulation. Mol. Cell. Endocrinol. 2003, 211, 21–31. [Google Scholar] [CrossRef]
- Mazón, M.J.; Molés, G.; Rocha, A.; Crespo, B.; Lan-Chow-Wing, O.; Espigares, F.; Muñoz, I.; Felip, A.; Carrillo, M.; Zanuy, S.; et al. Gonadotropins in European sea bass: Endocrine roles and biotechnological applications. Gen. Comp. Endocrinol. 2015, 221, 31–41. [Google Scholar] [CrossRef] [PubMed]
- Piferrer, F.; Blázquez, M.; Navarro, L.; González, A. Genetic, endocrine, and environmental components of sex determination and differentiation in the European sea bass (Dicentrarchus labrax L.). Gen. Comp. Endocrinol. 2005, 142, 102–110. [Google Scholar] [CrossRef]
- Vandeputte, M.; Gagnaire, P.A.; Allal, F. The European sea bass: A key marine fish model in the wild and in aquaculture. Anim. Genet. 2019, 50, 195–206. [Google Scholar] [CrossRef]
- Rocha, A.; Zanuy, S.; Gómez, A. Conserved Anti-Müllerian Hormone: Anti-Müllerian Hormone Type-2 Receptor Specific Interaction and Intracellular Signaling in Teleosts. Biol. Reprod. 2016, 94, 141. [Google Scholar] [CrossRef] [PubMed]
- Zapater, C.; Rocha, A.; Molés, G.; Mascoli, A.; Ibañez, S.; Zanuy, S.; Gómez, A. Functional Activity of Recombinant Forms of Amh and Synergistic Action with Fsh in European Sea Bass Ovary. Int. J. Mol. Sci. 2021, 22, 10092. [Google Scholar] [CrossRef] [PubMed]
- Bhattacharya, I.; Dey, S.; Banerjee, A. Revisiting the gonadotropic regulation of mammalian spermatogenesis: Evolving lessons during the past decade. Front. Endocrinol. 2023, 14, 1110572. [Google Scholar] [CrossRef] [PubMed]
- García-López, Á.; De Jonge, H.; Nóbrega, R.H.; De Waal, P.P.; Van Dijk, W.; Hemrika, W.; Taranger, G.L.; Bogerd, J.; Schulz, R.W. Studies in Zebrafish Reveal Unusual Cellular Expression Patterns of Gonadotropin Receptor Messenger Ribonucleic Acids in the Testis and Unexpected Functional Differentiation of the Gonadotropins. Endocrinology 2010, 151, 2349–2360. [Google Scholar] [CrossRef]
- Levavi-Sivan, B.; Bogerd, J.; Mañanós, E.L.; Gómez, A.; Lareyre, J.J. Perspectives on fish gonadotropins and their receptors. Gen. Comp. Endocrinol. 2010, 165, 412–437. [Google Scholar] [CrossRef]
- Molés, G.; Hausken, K.; Carrillo, M.; Zanuy, S.; Gómez, A. Generation and use of recombinant gonadotropins in fish. Gen. Comp. Endocrinol. 2020, 299, 113555. [Google Scholar] [CrossRef]
- Burow, S.; Mizrahi, N.; Maugars, G.; Von Krogh, K.; Nourizadeh-lillabadi, R.; Hollander-cohen, L.; Shpilman, M.; Atre, I. Characterization of gonadotropin receptors Fshr and Lhr in Japanese medaka, Oryzias latipes. Gen. Comp. Endocrinol. 2020, 285, 113276. [Google Scholar] [CrossRef]
- Rocha, A.; Zanuy, S.; Carrillo, M.; Gómez, A. Seasonal changes in gonadal expression of gonadotropin receptors, steroidogenic acute regulatory protein and steroidogenic enzymes in the European sea bass. Gen. Comp. Endocrinol. 2009, 162, 265–275. [Google Scholar] [CrossRef]
- Yaron, Z.; Gur, G.; Melamed, P.; Rosenfeld, H.; Elizur, A.; Levavi-Sivan, B. Regulation of Fish Gonadotropins. Int. Rev. Cytol. 2003, 225, 131–185. [Google Scholar] [CrossRef]
- Molés, G.; Gómez, A.; Carrillo, M.; Zanuy, S. Development of a homologous enzyme-linked immunosorbent assay for European sea bass FSH. Reproductive cycle plasma levels in both sexes and in yearling precocious and non-precocious males. Gen. Comp. Endocrinol. 2012, 176, 70–78. [Google Scholar] [CrossRef] [PubMed]
- Molés, G.; Zanuy, S.; Muñoz, I.; Crespo, B.; Martínez, I.; Mañanós, E.; Gómez, A. Receptor Specificity and Functional Comparison of Recombinant Sea Bass (Dicentrarchus labrax) Gonadotropins (Fsh and Lh) Produced in Different Host Systems. Biol. Reprod. 2011, 84, 1171–1181. [Google Scholar] [CrossRef]
- Molés, G.; Gómez, A.; Rocha, A.; Carrillo, M.; Zanuy, S. Purification and characterization of follicle-stimulating hormone from pituitary glands of sea bass (Dicentrarchus labrax). Gen. Comp. Endocrinol. 2008, 158, 68–76. [Google Scholar] [CrossRef]
- Liu, H.; Wang, J.; Zhang, L.; Guo, Q.; Ma, X.; Wu, L.; Tian, X.; Nie, G.; Li, X. Effects of recombinant AMH during oocyte maturation in Spotted steed Hemibarbus maculatus. Aquaculture 2021, 543, 736961. [Google Scholar] [CrossRef]
- Grossman, M.P.; Nakajima, S.T.; Fallat, M.E.; Siow, Y.; Ph, D. Müllerian-inhibiting substance inhibits cytochrome P450 aromatase activity in human granulosa lutein cell culture. Fertil. Steril. 2008, 89 (Suppl. 3), 1364–1370. [Google Scholar] [CrossRef]
- Durlinger, A.L.L.; Gruijters, M.J.G.; Kramer, P.; Karels, B.; Ingraham, H.A.; Nachtigal, M.W.; Uilenbroek, J.T.J.; Gootegoed, J.A.; Themmen, A.P.N. Anti-Mullerian Hormone Attenuates the Effects of FSH on Follicle Development in the Mouse Ovary. Endocrinology 2001, 142, 4891–4899. [Google Scholar] [CrossRef] [PubMed]
- Visser, J.A.; Themmen, A.P.N. Role of anti-Müllerian hormone and bone morphogenetic proteins in the regulation of FSH sensitivity. Mol. Cell. Endocrinol. 2014, 382, 460–465. [Google Scholar] [CrossRef] [PubMed]
- Wu, X.; Zhang, N.; Lee, M.M. Müllerian Inhibiting Substance Recruits ALK3 to Regulate Leydig Cell Differentiation. Endocrinology 2012, 153, 4929–4937. [Google Scholar] [CrossRef][Green Version]
- Zheng, S.; Long, J.; Liu, Z.; Tao, W.; Wang, D. Identification and Evolution of TGF-β Signaling Pathway Members in Twenty-Four Animal Species and Expression in Tilapia. Int. J. Mol. Sci. 2018, 19, 1154. [Google Scholar] [CrossRef]
- Rajakumar, A.; Senthilkumaran, B. Steroidogenesis and its regulation in teleost-a review. Fish Physiol. Biochem. 2020, 46, 803–818. [Google Scholar] [CrossRef] [PubMed]
- Stocco, D.M. StAR Protein and the Regulation of Steroid Hormone Biosynthesis. Annu. Rev. Physiol. 2001, 63, 193–213. [Google Scholar] [CrossRef]
- Miller, W.L.; Bose, H.S. Early steps in steroidogenesis: Intracellular cholesterol trafficking. J. Lipid Res. 2011, 52, 2111–2135. [Google Scholar] [CrossRef] [PubMed]
- Lavoie, H.A.; King, S.R. Transcriptional Regulation of Steroidogenic Genes: STARD1, CYP11A1 and HSD3B. Exp. Biol. Med. 2009, 234, 880–907. [Google Scholar] [CrossRef]
- Stocco, D.M.; Wang, X.; Jo, Y.; Manna, P.R. Multiple Signaling Pathways Regulating Steroidogenesis and Steroidogenic Acute Regulatory Protein Expression: More Complicated than We Thought. Mol. Endocrinol. 2005, 19, 2647–2659. [Google Scholar] [CrossRef]
- Miller, W.L.; Auchus, R.J. The Molecular Biology, Biochemistry, and Physiology of Human Steroidogenesis and Its Disorders. Endocr. Rev. 2011, 32, 81–151. [Google Scholar] [CrossRef]
- Arakane, F.; King, S.R.; Du, Y.; Kallen, C.B.; Walsh, L.P.; Watari, H.; Stocco, D.M.; Strauss, J.F. Phosphorylation of Steroidogenic Acute Regulatory Protein (StAR) Modulates Its Steroidogenic Activity*. J. Biol. Chem. 1997, 272, 32656–32662. [Google Scholar] [CrossRef]
- Hatsumi, T.; Yakamuro, Y. Downregulation of Estrogen Receptor Gene Expression by Exogenous 17p-Estradiol in the Mammary Glands of Lactating Mice. Exp. Biol. Med. 2006, 231, 311–316. [Google Scholar] [CrossRef]
- Menon, B.; Franzo-romain, M.; Damanpour, S.; Menon, K.M.J. Luteinizing Hormone Receptor MRNA Down-Regulation Is Mediated through ERK-Dependent Induction of RNA Binding Protein. Mol. Endocrinol. 2011, 25, 282–290. [Google Scholar] [CrossRef]
- Detti, L.; Fletcher, N.M.; Saed, G.M.; Peregrin-Alvarez, I.; Uhlmann, R.A. Anti-Müllerian Hormone (AMH) May Stall Ovarian Cortex Function Through Modulation of Hormone Receptors Other Than the AMH Receptor. Reprod. Sci. 2017, 25, 1218–1223. [Google Scholar] [CrossRef]
- Rodríguez, L.; Begtashi, I.; Zanuy, S.; Carrillo, M. Long-term exposure to continuous light inhibits precocity in European male sea bass (Dicentrarchus labrax, L.): Hormonal aspects. Gen. Comp. Endocrinol. 2005, 140, 116–125. [Google Scholar] [CrossRef] [PubMed]
- Prat, F.; Zanuy, S.; Bromage, N.; Carrillo, M. Effects of constant short and long photoperiod regimes on the spawning performance and sex steroid levels of female and male sea bass. J. Fish Biol. 1999, 54, 125–137. [Google Scholar] [CrossRef]
- Miao, C.; Li, Z.; Yao, T.Z.; Wang, M.T.; Ding, M.; Zhang, X.J.; Wang, Y.; Wang, Z.W.; Zhou, L.; Gui, J.F.; et al. Anti-Müllerian hormone deficiency leads to two distinct ovarian phenotypes with different alterations of sex hormones in gynogenetic carp. Aquaculture 2025, 595, 741621. [Google Scholar] [CrossRef]
- Zhang, Z.; Wu, K.; Ren, Z.; Ge, W. Genetic evidence for Amh modulation of gonadotropin actions to control gonadal homeostasis and gametogenesis in zebrafish and its noncanonical signaling through Bmpr2a receptor. Development 2020, 147, dev189811. [Google Scholar] [CrossRef]
- Renlund, N.; Pieretti-vanmarcke, R.; O’Neill, F.H.; Zhang, L.; Donahoe, P.K.; Teixeira, J. c-Jun N-terminal Kinase Inhibitor II (SP600125) Activates Müllerian Inhibiting Substance Type II Receptor-Mediated Signal Transduction. Endocrinology 2008, 149, 108–115. [Google Scholar] [CrossRef]
- Li, Y.; Wei, L.; Meinsohn, M.; Suliman, R.; Chauvin, M.; Berstler, J.; Hartland, K.; Jensen, M.M.; Sicher, N.A.; Nagykery, N.; et al. A screen of repurposed drugs identifies AMHR2/MISR2 agonists as potential contraceptives. Int. J. Mol. Sci. 2022, 23, e2122512119. [Google Scholar] [CrossRef]
- Josso, N.; Picard, J.-Y. Genetics of anti-Müllerian hormone and its signaling pathway. Best Pract. Res. Clin. Endocrinol. Metab. 2022, 36, 101634. [Google Scholar] [CrossRef] [PubMed]
- Cuny, G.D.; Yu, P.B.; Laha, J.K.; Xing, X.; Liu, J.; Lai, C.S.; Deng, D.Y.; Sachidanandan, C.; Bloch, K.D.; Peterson, R.T. Structure—Activity relationship study of bone morphogenetic protein (BMP) signaling inhibitors. Bioorg. Med. Chem. Lett. 2008, 18, 4388–4392. [Google Scholar] [CrossRef]
- Mohedas, A.H.; Xing, X.; Armstrong, K.A.; Bullock, A.N.; Cuny, G.D.; Yu, P.B. Development of an ALK2-Biased BMP Type I Receptor Kinase Inhibitor. ACS Chem. Biol. 2013, 8, 1291–1302. [Google Scholar] [CrossRef]
- Méndez, E.; Mæland, M.; Skålhegg, B.S.; Planas, J.V. Activation of the cAMP-dependent protein kinase signaling pathway by luteinizing hormone in trout theca layers. Mol. Cell. Endocrinol. 2003, 205, 11–20. [Google Scholar] [CrossRef]
- García-López, Á.; Bogerd, J.; Granneman, J.C.M.; van Dijk, W.; Trant, J.M.; Taranger, G.L.; Schulz, R.W. Leydig Cells Express Follicle-Stimulating Hormone. Reprod. Dev. 2009, 150, 357–365. [Google Scholar] [CrossRef]
- Thatcher, J.D. The CAMP Signal Transduction Pathway. Sci. Signal. 2010, 3, tr2. [Google Scholar] [CrossRef] [PubMed]
- Yamaguchi, T.; Kitano, T. Amh/Amhr2 Signaling Causes Masculinization by Inhibiting Estrogen Synthesis during Gonadal Sex Differentiation in Japanese Flounder (Paralichthys olivaceus). Int. J. Mol. Sci. 2023, 24, 2480. [Google Scholar] [CrossRef] [PubMed]
- Schwede, F.; Maronde, E.; Genieser, H.; Jastorff, B. Cyclic nucleotide analogs as biochemical tools and prospective drugs. Pharmacol. Ther. 2000, 87, 199–226. [Google Scholar] [CrossRef] [PubMed]
- Poppe, H.; Rybalkin, S.D.; Rehmann, H.; Hinds, T.R.; Thang, X.B.; Christensen, A.E.; Schwede, F.; Genieser, H.G.; Bos, J.L.; Doskeland, S.O.; et al. Cyclic nucleotide analogs as probes of signaling pathways. Nat. Methods 2008, 5, 277–278. [Google Scholar] [CrossRef]
- Schwede, F.; Chepurny, O.G.; Kaufholz, M.; Bertinetti, D.; Leech, C.A.; Cabrera, O.; Zhu, Y.; Mei, F.; Cheng, X.; Manning Fox, J.E.; et al. Rp-CAMPS Prodrugs Reveal the CAMP Dependence of First-Phase Glucose-Stimulated Insulin Secretion. Mol. Endocrinol. 2015, 29, 988–1005. [Google Scholar] [CrossRef]
- Runa, F.; Ortiz-soto, G.; De Barros, N.R.; Kelber, J.A. Targeting SMAD-Dependent Signaling: Considerations in Epithelial and Mesenchymal Solid Tumors. Pharmaceuticals 2024, 17, 326. [Google Scholar] [CrossRef] [PubMed]
- Chia, Z.; Kumarapperuma, H.; Zhang, R.; Little, P.J.; Kamato, D. Smad transcription factors as mediators of 7 transmembrane G protein-coupled receptor signalling. Acta Pharmacol. Sin. 2024, 46, 795–804. [Google Scholar] [CrossRef]
- Wang, L.; Zhu, Y.; Sharma, K. Transforming Growth Factor-Β1 Stimulates Protein Kinase A in Mesangial Cells. J. Biol. Chem. 1998, 273, 8522–8527. [Google Scholar] [CrossRef]
- Zhang, L.; Duan, C.J.; Binkley, C.; Li, G.; Uhler, M.D.; Logsdon, C.D.; Simeone, D.M. A Transforming Growth Factor β-Induced Smad3/Smad4 Complex Directly Activates Protein Kinase A. Mol. Cell. Biol. 2004, 24, 2169–2180. [Google Scholar] [CrossRef]
- Yang, H.; Li, G.; Wu, J.; Wang, L.; Uhler, M.; Simeone, D.M. Protein Kinase A Modulates Transforming Growth Factor-β Signaling through a Direct Interaction with Smad4 Protein. J. Biol. Chem. 2013, 288, 8737–8749. [Google Scholar] [CrossRef]
- Fu, Y.X.; Wang, F.M.; Ou-yang, X.E.; Yang, H.M.; Hu, T.; Wang, Y.F.; Wang, Y.F.; Wang, H.; Hu, R. Anti-Müllerian Hormone Regulates Stem Cell Factor via CAMP/PKA Signaling Pathway in Human Granulosa Cells by Inhibiting the Phosphorylation of CREB. Reprod. Sci. 2020, 27, 325–333. [Google Scholar] [CrossRef]
- Hu, R.; Wang, F.M.; Yu, L.; Luo, Y.; Wu, X.; Li, J.; Zhang, X.M.; Oehninger, S.; Bocca, S. Anti-müllerian hormone regulates stem cell factor expression in human granulosa cells. Fertil. Steril. 2014, 102, 1742–1750.e1. [Google Scholar] [CrossRef]
- Begtashi, I.; Rodríguez, L.; Moles, G.; Zanuy, S.; Carrillo, M. Long-term exposure to continuous light inhibits precocity in juvenile male European sea bass (Dicentrarchus labrax, L.). I. Morphological Aspects. Aquaculture 2004, 241, 539–559. [Google Scholar] [CrossRef]
- Sorbera, L.A.; Asturiano, J.F.; Carrillo, M.; Cerda, J.; Kime, D.E.; Zanuy, S. In vitro oocyte maturation in the sea bass: Effects of hCG, pituitary extract and steroids. J. Fish Biol. 1999, 55, 9–25. [Google Scholar] [CrossRef]
- Muñoz, I.; Zanuy, S.; Mazón, M.J.; Carrillo, M.; Gómez, A. Somatic gene transfer in European sea bass (Dicentrarchus labrax): Optimal fish conditions and exogenous control of foreign genes. Aquaculture 2013, 388–391, 60–69. [Google Scholar] [CrossRef]
- Rodríguez, L.; Begtashi, I.; Zanuy, S.; Carrillo, M. Development and validation of an enzyme immunoassay for testosterone: Effects of photoperiod on plasma testosterone levels and gonadal development in male sea bass (Dicentrarchus labrax, L.) at puberty. Fish Physiol. Biochem. 2000, 23, 141–150. [Google Scholar] [CrossRef]
- Mitter, K.; Kotoulas, G.; Magoulas, A.; Mulero, V.; Sepulcre, P.; Figueras, A.; Novoa, B.; Sarropoulou, E. Evaluation of candidate reference genes for QPCR during ontogenesis and of immune-relevant tissues of European seabass (Dicentrarchus labrax). Comp. Biochem. Physiol. Part B 2009, 153, 340–347. [Google Scholar] [CrossRef]
- Mazón, M.J. Estudio de la Función de la Hormona Estimuladora del Folículo de Lubina: Su Implicación en la Espermatogénesis y sus Rutas de Señalización Intracelular. Ph.D. Thesis, University of Murcia, Murcia, Spain, 2014. [Google Scholar]
- Korchynskyi, O.; Ten Dijke, P. Identification and Functional Characterization of Distinct Critically Important Bone Morphogenetic Protein-Specific Response Elements in the Id1 Promoter. J. Biol. Chem. 2002, 277, 4883–4891. [Google Scholar] [CrossRef] [PubMed]








Disclaimer/Publisher’s Note: The statements, opinions and data contained in all publications are solely those of the individual author(s) and contributor(s) and not of MDPI and/or the editor(s). MDPI and/or the editor(s) disclaim responsibility for any injury to people or property resulting from any ideas, methods, instructions or products referred to in the content. |
© 2025 by the authors. Licensee MDPI, Basel, Switzerland. This article is an open access article distributed under the terms and conditions of the Creative Commons Attribution (CC BY) license (https://creativecommons.org/licenses/by/4.0/).
Share and Cite
Mascoli, A.; Zapater, C.; Ibañez, S.; Adolfi, M.C.; Schartl, M.; Gómez, A. A Novel Steroidogenic Action of Anti-Müllerian Hormone in Teleosts: Evidence from the European Sea Bass Male (Dicentrarchus labrax). Int. J. Mol. Sci. 2025, 26, 7554. https://doi.org/10.3390/ijms26157554
Mascoli A, Zapater C, Ibañez S, Adolfi MC, Schartl M, Gómez A. A Novel Steroidogenic Action of Anti-Müllerian Hormone in Teleosts: Evidence from the European Sea Bass Male (Dicentrarchus labrax). International Journal of Molecular Sciences. 2025; 26(15):7554. https://doi.org/10.3390/ijms26157554
Chicago/Turabian StyleMascoli, Alessia, Cinta Zapater, Soledad Ibañez, Mateus Contar Adolfi, Manfred Schartl, and Ana Gómez. 2025. "A Novel Steroidogenic Action of Anti-Müllerian Hormone in Teleosts: Evidence from the European Sea Bass Male (Dicentrarchus labrax)" International Journal of Molecular Sciences 26, no. 15: 7554. https://doi.org/10.3390/ijms26157554
APA StyleMascoli, A., Zapater, C., Ibañez, S., Adolfi, M. C., Schartl, M., & Gómez, A. (2025). A Novel Steroidogenic Action of Anti-Müllerian Hormone in Teleosts: Evidence from the European Sea Bass Male (Dicentrarchus labrax). International Journal of Molecular Sciences, 26(15), 7554. https://doi.org/10.3390/ijms26157554

