High Molecular Diversity of Mycobacterium avium subsp. paratuberculosis in Germany Revealed by Multitarget Genotyping
Abstract
1. Introduction
2. Results
2.1. Genotypes Identified, Origin, and Subdivision of C- and S-Type Strains
2.2. Individual Genotypes and Discriminatory Power of RFLP, MIRU-VNTR, and SSR Typing
2.2.1. Previously Detected and Novel Genotypes
2.2.2. Specific Sequence Pattern at VNTR7
2.2.3. Number and Frequency of Individual IS900-RFLP, MIRU-VNTR, and SSR Types
2.2.4. Discriminatory Power of Typing
2.3. Comparison of Combined Genotypes and Phylogeny
2.4. Distribution of Map Genotypes Among Different Herds, Hosts, and Federal States
2.5. Diversity of Isolates
2.6. Intra-Herd Diversity of Map
2.7. Mixed Genotypes and Co-Infection of Individual Animals
2.7.1. Mixed Genotypes in Individual Isolates
2.7.2. Different Genotypes in Isolates from Individual Animals
2.8. Suspected Epidemiological Linkages
3. Discussion
3.1. Genotyping Markers and Homoplasy
3.2. Phylogenetic Grouping and Comparison with WGS-Based SNP Analysis
3.3. Genotypes of Map S-Type Strains
3.4. Diversity of Map C-Type Strains
3.5. Intra-Herd Diversity of Map and Co-Infections of Herds and Individual Animals
3.6. Epidemiological Findings
4. Materials and Methods
4.1. Map Isolates
4.2. Map Strain Isolation, Cultivation, and Subspecies Identification
4.2.1. Strain Isolation, Cultivation, Sub-Cultivation
4.2.2. DNA Extraction for PCR Reactions
4.2.3. Molecular Map Identification
4.3. Molecular Genotyping
4.3.1. IS900-RFLP Analysis
4.3.2. MIRU-VNTR Typing
4.3.3. SSR Analysis
4.3.4. Analysis of Typing Results and Discriminatory Power
4.4. Comparison of Strains and Analysis of Phylogeny
5. Conclusions
Supplementary Materials
Author Contributions
Funding
Institutional Review Board Statement
Informed Consent Statement
Data Availability Statement
Acknowledgments
Conflicts of Interest
Glossary
References
- Whitlock, R.H.; Buergelt, C. Preclinical and clinical manifestations of paratuberculosis (including pathology). Vet. Clin. N. Am. Food Anim. Pract. 1996, 12, 345–356. [Google Scholar] [CrossRef] [PubMed]
- Windsor, P.A. Paratuberculosis in sheep and goats. Vet. Microbiol. 2015, 181, 161–169. [Google Scholar] [CrossRef] [PubMed]
- Whittington, R.; Donat, K.; Weber, M.F.; Kelton, D.; Nielsen, S.S.; Eisenberg, S.; Arrigoni, N.; Juste, R.; Saez, J.L.; Dhand, N.; et al. Control of paratuberculosis: Who, why and how. A review of 48 countries. BMC Vet. Res. 2019, 15, 198. [Google Scholar] [CrossRef]
- Rasmussen, P.; Barkema, H.W.; Mason, S.; Beaulieu, E.; Hall, D.C. Economic losses due to Johne’s disease (paratuberculosis) in dairy cattle. J. Dairy. Sci. 2021, 104, 3123–3143. [Google Scholar] [CrossRef]
- Sardaro, R.; Pieragostini, E.; Rubino, G.; Petazzi, F. Impact of Mycobacterium avium subspecies paratuberculosis on profit efficiency in semi-extensive dairy sheep and goat farms of Apulia, southern Italy. Prev. Vet. Med. 2017, 136, 56–64. [Google Scholar] [CrossRef]
- Eisenberg, S.; Krieger, M.; Campe, A.; Lorenz, I.; Einax, E.; Donat, K. Herd Prevalence Estimation of Mycobacterium avium Subspecies paratuberculosis Burden in the Three Main Dairy Production Regions of Germany (PraeMAP). Animals 2022, 12, 447. [Google Scholar] [CrossRef]
- Stau, A.; Seelig, B.; Walter, D.; Schroeder, C.; Ganter, M. Seroprevalence of Mycobacterium avium subsp. paratuberculosis in small ruminants in Germany. Small Rumin. Res. 2012, 105, 361–365. [Google Scholar] [CrossRef]
- Fritsch, I.; Luyven, G.; Kohler, H.; Lutz, W.; Mobius, P. Suspicion of Mycobacterium avium subsp. paratuberculosis transmission between cattle and wild-living red deer (Cervus elaphus) by multitarget genotyping. Appl. Environ. Microbiol. 2012, 78, 1132–1139. [Google Scholar] [CrossRef]
- Roller, M.; Hansen, S.; Knauf-Witzens, T.; Oelemann, W.M.R.; Czerny, C.P.; Abd El Wahed, A.; Goethe, R. Mycobacterium avium Subspecies paratuberculosis Infection in Zoo Animals: A Review of Susceptibility and Disease Process. Front. Vet. Sci. 2020, 7, 572724. [Google Scholar] [CrossRef]
- Mobius, P.; Fritsch, I.; Luyven, G.; Hotzel, H.; Kohler, H. Unique genotypes of Mycobacterium avium subsp. paratuberculosis strains of Type III. Vet. Microbiol. 2009, 139, 398–404. [Google Scholar] [CrossRef]
- Rindi, L.; Garzelli, C. Genetic diversity and phylogeny of Mycobacterium avium. Infect. Genet. Evol. 2014, 21, 375–383. [Google Scholar] [CrossRef] [PubMed]
- Wynne, J.W.; Bull, T.J.; Seemann, T.; Bulach, D.M.; Wagner, J.; Kirkwood, C.D.; Michalski, W.P. Exploring the zoonotic potential of Mycobacterium avium subspecies paratuberculosis through comparative genomics. PLoS ONE 2011, 6, e22171. [Google Scholar] [CrossRef] [PubMed]
- Atreya, R.; Bulte, M.; Gerlach, G.F.; Goethe, R.; Hornef, M.W.; Kohler, H.; Meens, J.; Mobius, P.; Roeb, E.; Weiss, S.; et al. Facts, myths and hypotheses on the zoonotic nature of Mycobacterium avium subspecies paratuberculosis. Int. J. Med. Microbiol. 2014, 304, 858–867. [Google Scholar] [CrossRef]
- Hruska, K.; Sechi, L.A. Long History of Queries about Bovine Paratuberculosis as a Risk Factor for Human Health. Pathogens 2021, 10, 1394. [Google Scholar] [CrossRef]
- Agrawal, G.; Aitken, J.; Hamblin, H.; Collins, M.; Borody, T.J. Putting Crohn’s on the MAP: Five Common Questions on the Contribution of Mycobacterium avium subspecies paratuberculosis to the Pathophysiology of Crohn’s Disease. Dig. Dis. Sci. 2021, 66, 348–358. [Google Scholar] [CrossRef]
- Bryant, J.M.; Thibault, V.C.; Smith, D.G.; McLuckie, J.; Heron, I.; Sevilla, I.A.; Biet, F.; Harris, S.R.; Maskell, D.J.; Bentley, S.D.; et al. Phylogenomic exploration of the relationships between strains of Mycobacterium avium subspecies paratuberculosis. BMC Genom. 2016, 17, 79. [Google Scholar] [CrossRef]
- Ahlstrom, C.; Barkema, H.W.; Stevenson, K.; Zadoks, R.N.; Biek, R.; Kao, R.; Trewby, H.; Haupstein, D.; Kelton, D.F.; Fecteau, G.; et al. Genome-Wide Diversity and Phylogeography of Mycobacterium avium subsp. paratuberculosis in Canadian Dairy Cattle. PLoS ONE 2016, 11, e0149017. [Google Scholar] [CrossRef]
- Collins, D.M.; Gabric, D.M.; de Lisle, G.W. Identification of two groups of Mycobacterium paratuberculosis strains by restriction endonuclease analysis and DNA hybridization. J. Clin. Microbiol. 1990, 28, 1591–1596. [Google Scholar] [CrossRef]
- Whittington, R.J.; Marsh, I.B.; Saunders, V.; Grant, I.R.; Juste, R.; Sevilla, I.A.; Manning, E.J.; Whitlock, R.H. Culture phenotypes of genomically and geographically diverse Mycobacterium avium subsp. paratuberculosis isolates from different hosts. J. Clin. Microbiol. 2011, 49, 1822–1830. [Google Scholar] [CrossRef]
- Stevenson, K. Genetic diversity of Mycobacterium avium subspecies paratuberculosis and the influence of strain type on infection and pathogenesis: A review. Vet. Res. 2015, 46, 64. [Google Scholar] [CrossRef]
- Castellanos, E.; Aranaz, A.; Romero, B.; de Juan, L.; Alvarez, J.; Bezos, J.; Rodriguez, S.; Stevenson, K.; Mateos, A.; Dominguez, L. Polymorphisms in gyrA and gyrB genes among Mycobacterium avium subsp. paratuberculosis type I, II, and III isolates. J. Clin. Microbiol. 2007, 45, 3439–3442. [Google Scholar] [CrossRef] [PubMed]
- Biet, F.; Sevilla, I.A.; Cochard, T.; Lefrancois, L.H.; Garrido, J.M.; Heron, I.; Juste, R.A.; McLuckie, J.; Thibault, V.C.; Supply, P.; et al. Inter- and intra-subtype genotypic differences that differentiate Mycobacterium avium subspecies paratuberculosis strains. BMC Microbiol. 2012, 12, 264. [Google Scholar] [CrossRef] [PubMed]
- Verdugo, C.; Pleydell, E.; Price-Carter, M.; Prattley, D.; Collins, D.; de Lisle, G.; Vogue, H.; Wilson, P.; Heuer, C. Molecular epidemiology of Mycobacterium avium subsp. paratuberculosis isolated from sheep, cattle and deer on New Zealand pastoral farms. Prev. Vet. Med. 2014, 117, 436–446. [Google Scholar] [CrossRef]
- Sevilla, I.; Garrido, J.M.; Geijo, M.; Juste, R.A. Pulsed-field gel electrophoresis profile homogeneity of Mycobacterium avium subsp. paratuberculosis isolates from cattle and heterogeneity of those from sheep and goats. BMC Microbiol. 2007, 7, 18. [Google Scholar] [CrossRef]
- Scherrer, S.; Stephan, R.; Zumthor, J.P.; Kipar, A.; Seehusen, F. Morphological and Molecular Characterization of a New Mycobacterium avium Subsp. paratuberculosis S-Type Strain Genotype in Goats. Front. Vet. Sci. 2019, 6, 250. [Google Scholar] [CrossRef]
- Machackova, M.; Svastova, P.; Lamka, J.; Parmova, I.; Liska, V.; Smolik, J.; Fischer, O.A.; Pavlik, I. Paratuberculosis in farmed and free-living wild ruminants in the Czech Republic (1999–2001). Vet. Microbiol. 2004, 101, 225–234. [Google Scholar] [CrossRef]
- Ghosh, P.; Hsu, C.; Alyamani, E.J.; Shehata, M.M.; Al-Dubaib, M.A.; Al-Naeem, A.; Hashad, M.; Mahmoud, O.M.; Alharbi, K.B.; Al-Busadah, K.; et al. Genome-wide analysis of the emerging infection with Mycobacterium avium subspecies paratuberculosis in the Arabian camels (Camelus dromedarius). PLoS ONE 2012, 7, e31947. [Google Scholar] [CrossRef]
- Mackintosh, C.G.; Labes, R.E.; Clark, R.G.; de Lisle, G.W.; Griffin, J.F. Experimental infections in young red deer (Cervus elaphus) with a bovine and an ovine strain of Mycobacterium avium subsp paratuberculosis. N. Z. Vet. J. 2007, 55, 23–29. [Google Scholar] [CrossRef]
- Mobius, P.; Liebler-Tenorio, E.; Holzer, M.; Kohler, H. Evaluation of associations between genotypes of Mycobacterium avium subsp. paratuberculsis and presence of intestinal lesions characteristic of paratuberculosis. Vet. Microbiol. 2017, 201, 188–194. [Google Scholar] [CrossRef]
- Mizzi, R.; Timms, V.J.; Price-Carter, M.L.; Gautam, M.; Whittington, R.; Heuer, C.; Biggs, P.J.; Plain, K.M. Comparative Genomics of Mycobacterium avium Subspecies Paratuberculosis Sheep Strains. Front. Vet. Sci. 2021, 8, 637637. [Google Scholar] [CrossRef]
- Wibberg, D.; Price-Carter, M.; Ruckert, C.; Blom, J.; Mobius, P. Complete Genome Sequence of Ovine Mycobacterium avium subsp. paratuberculosis Strain JIII-386 (MAP-S/type III) and Its Comparison to MAP-S/type I, MAP-C, and M. avium Complex Genomes. Microorganisms 2020, 9, 70. [Google Scholar] [CrossRef]
- Bannantine, J.P.; Li, L.L.; Sreevatsan, S.; Kapur, V. How does a Mycobacterium change its spots? Applying molecular tools to track diverse strains of Mycobacterium avium subspecies paratuberculosis. Lett. Appl. Microbiol. 2013, 57, 165–173. [Google Scholar] [CrossRef] [PubMed]
- Motiwala, A.S.; Li, L.; Kapur, V.; Sreevatsan, S. Current understanding of the genetic diversity of Mycobacterium avium subsp. paratuberculosis. Microbes Infect. 2006, 8, 1406–1418. [Google Scholar] [CrossRef]
- Castellanos, E.; de Juan, L.; Dominguez, L.; Aranaz, A. Progress in molecular typing of Mycobacterium avium subspecies paratuberculosis. Res. Vet. Sci. 2012, 92, 169–179. [Google Scholar] [CrossRef]
- Fawzy, A.; Zschock, M.; Ewers, C.; Eisenberg, T. Genotyping methods and molecular epidemiology of Mycobacterium avium subsp. paratuberculosis (MAP). Int. J. Vet. Sci. Med. 2018, 6, 258–264. [Google Scholar] [CrossRef]
- Whittington, R.J.; Hope, A.F.; Marshall, D.J.; Taragel, C.A.; Marsh, I. Molecular epidemiology of Mycobacterium avium subsp. paratuberculosis: IS900 restriction fragment length polymorphism and IS1311 polymorphism analyses of isolates from animals and a human in Australia. J. Clin. Microbiol. 2000, 38, 3240–3248. [Google Scholar] [CrossRef]
- Pavlik, I.; Bartl, J.; Dvorska, L.; Svastova, P.; du Maine, R.; Machackova, M.; Yayo Ayele, W.; Horvathova, A. Epidemiology of paratuberculosis in wild ruminants studied by restriction fragment length polymorphism in the Czech Republic during the period 1995–1998. Vet. Microbiol. 2000, 77, 231–251. [Google Scholar] [CrossRef]
- Sevilla, I.; Li, L.; Amonsin, A.; Garrido, J.M.; Geijo, M.V.; Kapur, V.; Juste, R.A. Comparative analysis of Mycobacterium avium subsp. paratuberculosis isolates from cattle, sheep and goats by short sequence repeat and pulsed-field gel electrophoresis typing. BMC Microbiol. 2008, 8, 204. [Google Scholar] [CrossRef]
- Thibault, V.C.; Grayon, M.; Boschiroli, M.L.; Willery, E.; Allix-Beguec, C.; Stevenson, K.; Biet, F.; Supply, P. Combined multilocus short-sequence-repeat and mycobacterial interspersed repetitive unit-variable-number tandem-repeat typing of Mycobacterium avium subsp. paratuberculosis isolates. J. Clin. Microbiol. 2008, 46, 4091–4094. [Google Scholar] [CrossRef]
- Douarre, P.E.; Cashman, W.; Buckley, J.; Coffey, A.; O’Mahony, J. Molecular characterization of Mycobacterium avium subsp paratuberculosis using multi-locus short sequence repeat (MLSSR) and mycobacterial interspersed repetitive units-variable number tandem repeat (MIRU-VNTR) typing methods. Vet. Microbiol. 2011, 149, 482–487. [Google Scholar] [CrossRef]
- Gerritsmann, H.; Stalder, G.L.; Spergser, J.; Hoelzl, F.; Deutz, A.; Kuebber-Heiss, A.; Walzer, C.; Smith, S. Multiple strain infections and high genotypic diversity among Mycobacterium avium subsp paratuberculosis field isolates from diseased wild and domestic ruminant species in the eastern Alpine region of Austria. Infect. Genet. Evol. 2014, 21, 244–251. [Google Scholar] [CrossRef] [PubMed]
- Ronai, Z.; Csivincsik, A.; Gyuranecz, M.; Kreizinger, Z.; Dan, A.; Janosi, S. Molecular analysis and MIRU-VNTR typing of Mycobacterium avium subsp. paratuberculosis strains from various sources. J. Appl. Microbiol. 2015, 118, 275–283. [Google Scholar] [CrossRef] [PubMed]
- Gioffre, A.; Munoz, M.C.; Pinedo, M.F.A.; Vaca, R.; Morsella, C.; Fiorentino, M.A.; Paolicchi, F.; Ruybal, P.; Zumarraga, M.; Traveria, G.E.; et al. Molecular typing of Argentinian Mycobacterium avium subsp paratuberculosis isolates by multiple-locus variable number-tandem repeat analysis. Braz. J. Microbiol. 2015, 46, 557–564. [Google Scholar] [CrossRef] [PubMed]
- de Kruijf, M.; Lesniak, O.N.; Yearsley, D.; Ramovic, E.; Coffey, A.; O’Mahony, J. Low genetic diversity of bovine Mycobacterium avium subspecies paratuberculosis isolates detected by MIRU-VNTR genotyping. Vet. Microbiol. 2017, 203, 280–285. [Google Scholar] [CrossRef]
- Ricchi, M.; Barbieri, G.; Taddei, R.; Belletti, G.L.; Carra, E.; Cammi, G.; Garbarino, C.A.; Arrigoni, N. Effectiveness of combination of Mini-and Microsatellite loci to sub-type Mycobacterium avium subsp. paratuberculosis Italian type C isolates. BMC Vet. Res. 2011, 7, 54. [Google Scholar] [CrossRef]
- Amonsin, A.; Li, L.L.; Zhang, Q.; Bannantine, J.P.; Motiwala, A.S.; Sreevatsan, S.; Kapur, V. Multilocus short sequence repeat sequencing approach for differentiating among Mycobacterium avium subsp. paratuberculosis strains. J. Clin. Microbiol. 2004, 42, 1694–1702. [Google Scholar] [CrossRef]
- Schulze, M. Studies on the Strain Differentiation of Mycobacterium avium subsp. paratuberculosis. Doctoral Dissertation, Freie Universität Berlin, Mensch und Buch Verlag Berlin, Berlin, Germany, 2009. [Google Scholar]
- Fernandez-Silva, J.A.; Abdulmawjood, A.; Akineden, O.; Drager, K.; Klawonn, W.; Bulte, M. Molecular epidemiology of Mycobacterium avium subsp. paratuberculosis at a regional scale in Germany. Res. Vet. Sci. 2012, 93, 776–782. [Google Scholar] [CrossRef]
- Fawzy, A.; Zschöck, M.; Ewers, C.; Eisenberg, T. Development of a hierarchical typing approach for Mycobacterium avium subsp. paratuberculosis (MAP) and characterization of MAP field cultures from Central Germany. J. Appl. Microbiol. 2020, 129, 1193–1206. [Google Scholar] [CrossRef]
- Thibault, V.C.; Grayon, M.; Boschiroli, M.L.; Hubbans, C.; Overduin, P.; Stevenson, K.; Gutierrez, M.C.; Supply, P.; Biet, F. New variable-number tandem-repeat markers for typing Mycobacterium avium subsp. paratuberculosis and M. avium strains: Comparison with IS900 and IS1245 restriction fragment length polymorphism typing. J. Clin. Microbiol. 2007, 45, 2404–2410. [Google Scholar] [CrossRef]
- Sodoma, E.; Altmann, S.; Mitterhuemer, S.; Moebius, P.; Duenser, M. First comprehensive study on molecular diversity of Austrian Mycobacterium avium subspecies paratuberculosis isolates from domestic and wild ruminants. Berl. Munch. Tierarztl. Wochenschr. 2017, 131, 2–11. [Google Scholar] [CrossRef]
- Mobius, P.; Luyven, G.; Hotzel, H.; Kohler, H. High genetic diversity among Mycobacterium avium subsp. paratuberculosis strains from German cattle herds shown by combination of IS900 restriction fragment length polymorphism analysis and mycobacterial interspersed repetitive unit-variable-number tandem-repeat typing. J. Clin. Microbiol. 2008, 46, 972–981. [Google Scholar] [CrossRef] [PubMed]
- Stevenson, K.; Alvarez, J.; Bakker, D.; Biet, F.; de Juan, L.; Denham, S.; Dimareli, Z.; Dohmann, K.; Gerlach, G.F.; Heron, I.; et al. Occurrence of Mycobacterium avium subspecies paratuberculosis across host species and European countries with evidence for transmission between wildlife and domestic ruminants. BMC Microbiol. 2009, 9, 212. [Google Scholar] [CrossRef] [PubMed]
- Perets, V.; Allen, A.; Crispell, J.; Cassidy, S.; O’Connor, A.; Farrell, D.; Browne, J.A.; O’Mahony, J.; Skuce, R.; Kenny, K.; et al. Evidence for local and international spread of Mycobacterium avium subspecies paratuberculosis through whole genome sequencing of isolates from the island of Ireland. Vet. Microbiol. 2022, 268, 109416. [Google Scholar] [CrossRef]
- Conde, C.; Theze, J.; Cochard, T.; Rossignol, M.N.; Fourichon, C.; Delafosse, A.; Joly, A.; Guatteo, R.; Schibler, L.; Bannantine, J.P.; et al. Genetic Features of Mycobacterium avium subsp. paratuberculosis Strains Circulating in the West of France Deciphered by Whole-Genome Sequencing. Microbiol. Spectr. 2022, 10, e03392-22. [Google Scholar] [CrossRef]
- Byrne, A.; Ollier, S.; Tahlan, K.; Biet, F.; Bissonnette, N. Genomic epidemiology of Mycobacterium avium subsp. paratuberculosis isolates from Canadian dairy herds provides evidence for multiple infection events. Front. Genet. 2023, 14, 1043598. [Google Scholar] [CrossRef]
- Hodgeman, R.; Mann, R.; Savin, K.; Djitro, N.; Rochfort, S.; Rodoni, B. Molecular characterisation of Mycobacterium avium subsp. paratuberculosis in Australia. BMC Microbiol. 2021, 21, 101. [Google Scholar] [CrossRef]
- Pavlik, I.; Horvathova, A.; Dvorska, L.; Bartl, J.; Svastova, P.; du Maine, R.; Rychlik, I. Standardisation of restriction fragment length polymorphism analysis for Mycobacterium avium subspecies paratuberculosis. J. Microbiol. Methods 1999, 38, 155–167. [Google Scholar] [CrossRef]
- Whipple, D.; Kapke, P.; Vary, C. Identification of restriction fragment length polymorphisms in DNA from Mycobacterium paratuberculosis. J. Clin. Microbiol. 1990, 28, 2561–2564. [Google Scholar] [CrossRef]
- Leao, C.; Goldstone, R.J.; Bryant, J.; McLuckie, J.; Inacio, J.; Smith, D.G.; Stevenson, K. Novel Single Nucleotide Polymorphism-Based Assay for Genotyping Mycobacterium avium subsp. paratuberculosis. J. Clin. Microbiol. 2016, 54, 556–564. [Google Scholar] [CrossRef]
- Johne, H.A.; Frothingham, L. Ein eigenthuemlicher Fall von tuberkulose beim Rind. Dtsch. Z. Tiermed. Path 1895, 21, 438–454. [Google Scholar]
- Stephens, E.H.G.; Gill, D.A. Johne’s disease. N. Z. J. Agric. 1937, 54, 1–7. [Google Scholar]
- Chiodini, R.J.; Van Kruiningen, H.J.; Merkal, R.S. Ruminant paratuberculosis (Johne’s disease): The current status and future prospects. Cornell Vet. 1984, 74, 218–262. [Google Scholar] [PubMed]
- Jackson, P.J.; Walthers, E.A.; Kalif, A.S.; Richmond, K.L.; Adair, D.M.; Hill, K.K.; Kuske, C.R.; Andersen, G.L.; Wilson, K.H.; Hugh-Jones, M.; et al. Characterization of the variable-number tandem repeats in vrrA from different Bacillus anthracis isolates. Appl. Environ. Microbiol. 1997, 63, 1400–1405. [Google Scholar] [CrossRef] [PubMed]
- Zhou, K.; Aertsen, A.; Michiels, C.W. The role of variable DNA tandem repeats in bacterial adaptation. FEMS Microbiol. Rev. 2014, 38, 119–141. [Google Scholar] [CrossRef]
- Sun, Z.; Li, W.; Xu, S.; Huang, H. The discovery, function and development of the variable number tandem repeats in different Mycobacterium species. Crit. Rev. Microbiol. 2016, 42, 738–758. [Google Scholar] [CrossRef]
- Semret, M.; Turenne, C.Y.; de Haas, P.; Collins, D.M.; Behr, M.A. Differentiating host-associated variants of Mycobacterium avium by PCR for detection of large sequence polymorphisms. J. Clin. Microbiol. 2006, 44, 881–887. [Google Scholar] [CrossRef]
- Castellanos, E.; Aranaz, A.; Gould, K.A.; Linedale, R.; Stevenson, K.; Alvarez, J.; Dominguez, L.; de Juan, L.; Hinds, J.; Bull, T.J. Discovery of stable and variable differences in the Mycobacterium avium subsp. paratuberculosis type I, II, and III genomes by pan-genome microarray analysis. Appl. Environ. Microbiol. 2009, 75, 676–686. [Google Scholar] [CrossRef]
- Bannantine, J.P.; Conde, C.; Bayles, D.O.; Branger, M.; Biet, F. Genetic Diversity Among Mycobacterium avium Subspecies Revealed by Analysis of Complete Genome Sequences. Front. Microbiol. 2020, 11, 1701. [Google Scholar] [CrossRef]
- Comas, I.; Homolka, S.; Niemann, S.; Gagneux, S. Genotyping of genetically monomorphic bacteria: DNA sequencing in Mycobacterium tuberculosis highlights the limitations of current methodologies. PLoS ONE 2009, 4, e7815. [Google Scholar] [CrossRef]
- Ahlstrom, C.; Barkema, H.W.; Stevenson, K.; Zadoks, R.N.; Biek, R.; Kao, R.; Trewby, H.; Haupstein, D.; Kelton, D.F.; Fecteau, G.; et al. Limitations of variable number of tandem repeat typing identified through whole genome sequencing of Mycobacterium avium subsp. paratuberculosis on a national and herd level. BMC Genom. 2015, 16, 161. [Google Scholar] [CrossRef]
- Kasnitz, N.; Kohler, H.; Weigoldt, M.; Gerlach, G.F.; Mobius, P. Stability of genotyping target sequences of Mycobacterium avium subsp. paratuberculosis upon cultivation on different media, in vitro- and in vivo passage, and natural infection. Vet. Microbiol. 2013, 167, 573–583. [Google Scholar] [CrossRef] [PubMed]
- Bauman, C.A.; Jones-Bitton, A.; Ahlstrom, C.; Mutharia, L.; De Buck, J.; Jansen, J.; Kelton, D.; Menzies, P. Identification of Mycobacterium avium subspecies paratuberculosis strains isolated from dairy goats and dairy sheep in Ontario, Canada. Can. J. Vet. Res. 2017, 81, 304–307. [Google Scholar] [PubMed]
- Rasper-Hossinger, M.; Biggel, M.; Stephan, R.; Seehusen, F.; Scherrer, S. Strain diversity in Mycobacterium avium subsp. paratuberculosis-positive bovine fecal samples collected in Switzerland. Front. Vet. Sci. 2023, 10, 1154516. [Google Scholar] [CrossRef]
- Watt, J.A.A. Johne’s disease in a bovine associated with the pigmented strain of Mycobacterium johnei. Vet. Rec. 1954, 66, 387. [Google Scholar]
- Whittington, R.J.; Taragel, C.A.; Ottaway, S.; Marsh, I.; Seaman, J.; Fridriksdottir, V. Molecular epidemiological confirmation and circumstances of occurrence of sheep (S) strains of Mycobacterium avium subsp. paratuberculosis in cases of paratuberculosis in cattle in Australia and sheep and cattle in Iceland. Vet. Microbiol. 2001, 79, 311–322. [Google Scholar] [CrossRef]
- de Juan, L.; Alvarez, J.; Aranaz, A.; Rodriguez, A.; Romero, B.; Bezos, J.; Mateos, A.; Dominguez, L. Molecular epidemiology of Types I/III strains of Mycobacterium avium subspecies paratuberculosis isolated from goats and cattle. Vet. Microbiol. 2006, 115, 102–110. [Google Scholar] [CrossRef]
- Cochard, T.; Branger, M.; Supply, P.; Sreevatsan, S.; Biet, F. MAC-INMV-SSR: A web application dedicated to genotyping members of Mycobacterium avium complex (MAC) including Mycobacterium avium subsp. paratuberculosis strains. Infect. Genet. Evol. 2020, 77, 104075. [Google Scholar] [CrossRef]
- Eisenberg, T.; Volmer, R.; Eskens, U.; Moser, I.; Nesseler, A.; Sauerwald, C.; Seeger, H.; Klewer-Fromentin, K.; Mobius, P. Outbreak of reproductive disorders and mycobacteriosis in swine associated with a single strain of Mycobacterium avium subspecies hominissuis. Vet. Microbiol. 2012, 159, 69–76. [Google Scholar] [CrossRef]
- Subangkit, M.; Yamamoto, T.; Ishida, M.; Nomura, A.; Yasiki, N.; Sudaryatma, P.E.; Goto, Y.; Okabayashi, T. Genotyping of swine Mycobacterium avium subsp. hominissuis isolates from Kyushu, Japan. J. Vet. Med. Sci. 2019, 81, 1074–1079. [Google Scholar] [CrossRef]
- Marcordes, S.; Lueders, I.; Grund, L.; Sliwa, A.; Maurer, F.P.; Hillemann, D.; Mobius, P.; Barth, S.A. Clinical outcome and diagnostic methods of atypical mycobacteriosis due to Mycobacterium avium ssp. hominissuis in a group of captive lowland tapirs (Tapirus terrestris). Transbound. Emerg. Dis. 2021, 68, 1305–1313. [Google Scholar] [CrossRef]
- Fawzy, A.; Zschock, M.; Ewers, C.; Eisenberg, T. New polymorphisms within the variable number tandem repeat (VNTR) 7 locus of Mycobacterium avium subsp. paratuberculosis. Mol. Cell. Probes 2016, 30, 132–137. [Google Scholar] [CrossRef] [PubMed]
- Imperiale, B.R.; Moyano, R.D.; AB, D.I.G.; Romero, M.A.; Alvarado Pinedo, M.F.; Santangelo, M.P.; Traveria, G.E.; Morcillo, N.S.; Romano, M.I. Genetic diversity of Mycobacterium avium complex strains isolated in Argentina by MIRU-VNTR. Epidemiol. Infect. 2017, 145, 1382–1391. [Google Scholar] [CrossRef] [PubMed]
- Pradhan, A.K.; Mitchell, R.M.; Kramer, A.J.; Zurakowski, M.J.; Fyock, T.L.; Whitlock, R.H.; Smith, J.M.; Hovingh, E.; Van Kessel, J.A.; Karns, J.S.; et al. Molecular epidemiology of Mycobacterium avium subsp. paratuberculosis in a longitudinal study of three dairy herds. J. Clin. Microbiol. 2011, 49, 893–901. [Google Scholar] [CrossRef]
- Harris, N.B.; Payeur, J.B.; Kapur, V.; Sreevatsan, S. Short-sequence-repeat analysis of Mycobacterium avium subsp. paratuberculosis and Mycobacterium avium subsp. avium isolates collected from animals throughout the United States reveals both stability of loci and extensive diversity. J. Clin. Microbiol. 2006, 44, 2970–2973. [Google Scholar] [CrossRef]
- van Hulzen, K.J.; Heuven, H.C.; Nielen, M.; Hoeboer, J.; Santema, W.J.; Koets, A.P. Different Mycobacterium avium subsp. paratuberculosis MIRU-VNTR patterns coexist within cattle herds. Vet. Microbiol. 2011, 148, 419–424. [Google Scholar] [CrossRef]
- Antognoli, M.C.; Garry, F.B.; Hirst, H.L.; Lombard, J.E.; Dennis, M.M.; Gould, D.H.; Salman, M.D. Characterization of Mycobacterium avium subspecies paratuberculosis disseminated infection in dairy cattle and its association with antemortem test results. Vet. Microbiol. 2008, 127, 300–308. [Google Scholar] [CrossRef]
- Brady, C.; O’Grady, D.; O’Meara, F.; Egan, J.; Bassett, H. Relationships between clinical signs, pathological changes and tissue distribution of Mycobacterium avium subspecies paratuberculosis in 21 cows from herds affected by Johne’s disease. Vet. Rec. 2008, 162, 147–152. [Google Scholar] [CrossRef]
- Cousins, D.V.; Williams, S.N.; Hope, A.; Eamens, G.J. DNA fingerprinting of Australian isolates of Mycobacterium avium subsp paratuberculosis using IS900 RFLP. Aust. Vet. J. 2000, 78, 184–190. [Google Scholar] [CrossRef]
- de Juan, L.; Alvarez, J.; Romero, B.; Bezos, J.; Castellanos, E.; Aranaz, A.; Mateos, A.; Dominguez, L. Comparison of four different culture media for isolation and growth of type II and type I/III Mycobacterium avium subsp. paratuberculosis strains isolated from cattle and goats. Appl. Environ. Microbiol. 2006, 72, 5927–5932. [Google Scholar] [CrossRef]
- Blanc, D.S.; Hauser, P.M.; Francioli, P.; Bille, J. Molecular typing methods and their discriminatory power. Clin. Microbiol. Infect. 1998, 4, 61–63. [Google Scholar] [CrossRef]
- Beaunee, G.; Vergu, E.; Ezanno, P. Modelling of paratuberculosis spread between dairy cattle farms at a regional scale. Vet. Res. 2015, 46, 111. [Google Scholar] [CrossRef] [PubMed]
- Pickrodt, C.; Kohler, H.; Moog, U.; Liebler-Tenorio, E.M.; Mobius, P. Molecular Diversity of Mycobacterium avium subsp. paratuberculosis in Four Dairy Goat Herds from Thuringia (Germany). Animals 2023, 13, 3542. [Google Scholar] [CrossRef]
- Stief, B.; Mobius, P.; Turk, H.; Horugel, U.; Arnold, C.; Pohle, D. [Paratuberculosis in a miniature donkey (Equus asinus f. asinus)]. Berl. Munch. Tierarztl. Wochenschr. 2012, 125, 38–44. [Google Scholar] [CrossRef]
- Glawischnig, W.; Steineck, T.; Spergser, J. Infections caused by Mycobacterium avium subspecies avium, hominissuis, and paratuberculosis in free-ranging red deer (Cervus elaphus hippelaphus) in Austria, 2001–2004. J. Wildl. Dis. 2006, 42, 724–731. [Google Scholar] [CrossRef]
- Kohler, H.; Muller, J.; Kloss, E.; Mobius, P.; Barth, S.A.; Sickinger, M.; Gies, N.; Heydel, C.; Peters, M. Paratuberculosis in South American camelids: Two independent cases in alpacas in Germany. BMC Vet. Res. 2024, 20, 550. [Google Scholar] [CrossRef]
- Möbius, P.; Nordsiek, G.; Hölzer, M.; Jarek, M.; Marz, M.; Köhler, H. Complete genome sequence of JIII-1961, a bovine Mycobacterium avium subsp. paratuberculosis field isolate from Germany. Genome Announc. 2017, 5, 34. [Google Scholar] [CrossRef]
- Mobius, P.; Holzer, M.; Felder, M.; Nordsiek, G.; Groth, M.; Kohler, H.; Reichwald, K.; Platzer, M.; Marz, M. Comprehensive insights in the Mycobacterium avium subsp. paratuberculosis genome using new WGS data of sheep strain JIII-386 from Germany. Genome Biol. Evol. 2015, 7, 2585–2601. [Google Scholar] [CrossRef][Green Version]
- Friedrich-Loeffler-Institut. Paratuberkulose (Mycobacterium avium subsp. paratuberculosis). Available online: https://www.openagrar.de/servlets/MCRFileNodeServlet/openagrar_derivate_00028517/TK18-Paratuberkulose-2023-04-26_bf.pdf (accessed on 10 December 2024).
- Hahn, N.; Failing, K.; Eisenberg, T.; Schlez, K.; Zschock, P.M.; Donat, K.; Einax, E.; Kohler, H. Evaluation of different diagnostic methods for the detection of Mycobacterium avium subsp. paratuberculosis in boot swabs and liquid manure samples. BMC Vet. Res. 2017, 13, 259. [Google Scholar] [CrossRef]
- Englund, S.; Ballagi-Pordany, A.; Bolske, G.; Johansson, K.E. Single PCR and nested PCR with a mimic molecule for detection of Mycobacterium avium subsp. paratuberculosis. Diagn. Microbiol. Infect. Dis. 1999, 33, 163–171. [Google Scholar] [CrossRef]
- Guerrero, C.; Bernasconi, C.; Burki, D.; Bodmer, T.; Telenti, A. A novel insertion element from Mycobacterium avium, IS1245, is a specific target for analysis of strain relatedness. J. Clin. Microbiol. 1995, 33, 304–307. [Google Scholar] [CrossRef]
- Kunze, Z.M.; Portaels, F.; McFadden, J.J. Biologically distinct subtypes of Mycobacterium avium differ in possession of insertion sequence IS901. J. Clin. Microbiol. 1992, 30, 2366–2372. [Google Scholar] [CrossRef] [PubMed]
- Conde, C.; Price-Carter, M.; Cochard, T.; Branger, M.; Stevenson, K.; Whittington, R.; Bannantine, J.P.; Biet, F. Whole-Genome Analysis of Mycobacterium avium subsp. paratuberculosis IS900 Insertions Reveals Strain Type-Specific Modalities. Front. Microbiol. 2021, 12, 660002. [Google Scholar] [CrossRef]
- O’Shea, B.; Khare, S.; Klein, P.; Roussel, A.; Adams, L.G.; Ficht, T.A.; Rice-Ficht, A.C. Amplified fragment length polymorphism reveals specific epigenetic distinctions between Mycobacterium avium subspecies paratuberculosis isolates of various isolation types. J. Clin. Microbiol. 2011, 49, 2222–2229. [Google Scholar] [CrossRef] [PubMed]
- van Soolingen, D.; Hermans, P.W.; de Haas, P.E.; Soll, D.R.; van Embden, J.D. Occurrence and stability of insertion sequences in Mycobacterium tuberculosis complex strains: Evaluation of an insertion sequence-dependent DNA polymorphism as a tool in the epidemiology of tuberculosis. J. Clin. Microbiol. 1991, 29, 2578–2586. [Google Scholar] [CrossRef]
- de Lisle, G.W.; Yates, G.F.; Collins, D.M. Paratuberculosis in farmed deer: Case reports and DNA characterization of isolates of Mycobacterium paratuberculosis. J. Vet. Diagn. Invest. 1993, 5, 567–571. [Google Scholar] [CrossRef]
- Saunders, V.F.; Eamens, G.J.; Turner, M.J.; Jessep, T.M. Identification of a new RFLP type of Mycobacterium avium subsp paratuberculosis in epidemiological tracing of bovine Johne’s disease. Aust. Vet. J. 2003, 81, 564–566. [Google Scholar] [CrossRef]
- Overduin, P.; Schouls, L.; Roholl, P.; van der Zanden, A.; Mahmmod, N.; Herrewegh, A.; van Soolingen, D. Use of multilocus variable-number tandem-repeat analysis for typing Mycobacterium avium subsp. paratuberculosis. J. Clin. Microbiol. 2004, 42, 5022–5028. [Google Scholar] [CrossRef]
- Bull, T.J.; Sidi-Boumedine, K.; McMinn, E.J.; Stevenson, K.; Pickup, R.; Hermon-Taylor, J. Mycobacterial interspersed repetitive units (MIRU) differentiate Mycobacterium avium subspecies paratuberculosis from other species of the Mycobacterium avium complex. Mol. Cell. Probes 2003, 17, 157–164. [Google Scholar] [CrossRef]
- Schmidt, V.; Kohler, H.; Heenemann, K.; Mobius, P. Mycobacteriosis in Various Pet and Wild Birds from Germany: Pathological Findings, Coinfections, and Characterization of Causative Mycobacteria. Microbiol. Spectr. 2022, 10, e0045222. [Google Scholar] [CrossRef]
- Castellanos, E.; Romero, B.; Rodriguez, S.; de Juan, L.; Bezos, J.; Mateos, A.; Dominguez, L.; Aranaz, A. Molecular characterization of Mycobacterium avium subspecies paratuberculosis Types II and III isolates by a combination of MIRU-VNTR loci. Vet. Microbiol. 2010, 144, 118–126. [Google Scholar] [CrossRef]
- Radomski, N.; Thibault, V.C.; Karoui, C.; de Cruz, K.; Cochard, T.; Gutierrez, C.; Supply, P.; Biet, F.; Boschiroli, M.L. Determination of genotypic diversity of Mycobacterium avium subspecies from human and animal origins by mycobacterial interspersed repetitive-unit-variable-number tandem-repeat and IS1311 restriction fragment length polymorphism typing methods. J. Clin. Microbiol. 2010, 48, 1026–1034. [Google Scholar] [CrossRef]
- Hunter, P.R.; Gaston, M.A. Numerical index of the discriminatory ability of typing systems: An application of Simpson’s index of diversity. J. Clin. Microbiol. 1988, 26, 2465–2466. [Google Scholar] [CrossRef]


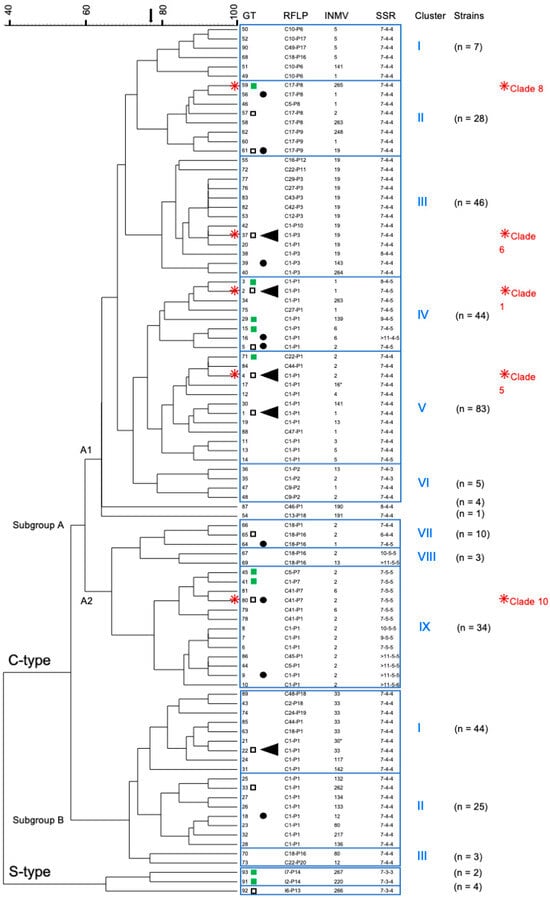
GTs of five German isolates included in a previous WGS-based SNP analysis [16] and a SNP-based assay with assignment to specific phylogenetic clades [60] are shown with the respective clade number in red letters.
GTs of five German isolates included in a previous WGS-based SNP analysis [16] and a SNP-based assay with assignment to specific phylogenetic clades [60] are shown with the respective clade number in red letters.




| GT | RFLP a | VNTR b | INMV c | SSR d | [n] | Host |
|---|---|---|---|---|---|---|
| 1 | C1-P1 | 42332228 | 1 | 7-4-4 | 17 | C, G |
| 2 | C1-P1 | 42332228 | 1 | 7-4-5 | 16 | C, S, D |
| 3 | C1-P1 | 42332228 | 1 | 8-4-5 | 1 | G |
| 4 | C1-P1 | 32332228 | 2 | 7-4-4 | 53 | C, G, S |
| 5 | C1-P1 | 32332228 | 2 | 7-4-5 | 13 | C, S |
| 6 | C1-P1 | 32332228 | 2 | 7-5-5 | 1 | C |
| 7 | C1-P1 | 32332228 | 2 | 9-5-5 | 2 | C |
| 8 | C1-P1 | 32332228 | 2 | 10-5-5 | 1 | C |
| 9 | C1-P1 | 32332228 | 2 | ≥11-5-5 | 7 | C |
| 10 | C1-P1 | 32332228 | 2 | ≥11-5-6 | 1 | C |
| 11 | C1-P1 | 32332218 | 3 | 7-4-4 | 3 | C |
| 12 | C1-P1 | 32332229 | 4 | 7-4-4 | 1 | C |
| 13 | C1-P1 | 42332218 | 5 | 7-4-4 | 1 | C |
| 14 | C1-P1 | 42332218 | 5 | 7-4-5 | 1 | C |
| 15 | C1-P1 | 32332128 | 6 | 7-4-5 | 1 | H |
| 16 | C1-P1 | 32332128 | 6 | ≥11-4-5 | 9 | C |
| 17 | C1-P1 | 32332(5) e 28 | 16 * | 7-4-4 | 2 | C |
| 18 | C1-P1 | 22522228 | 12 | 7-4-4 | 10 | C |
| 19 | C1-P1 | 22332228 | 13 | 7-4-4 | 2 | C |
| 20 | C1-P1 | 42332128 | 19 | 7-4-4 | 3 | C |
| 21 | C1-P1 | 32522(3) f 28 | 30 * | 7-4-4 | 1 | C |
| 22 | C1-P1 | 32522228 | 33 | 7-4-4 | 29 | C, G, S |
| 23 | C1-P1 | 22522226 | 80 | 7-4-4 | 4 | C |
| 24 | C1-P1 | 32322228 | 117 | 7-4-4 | 3 | C |
| 25 | C1-P1 | 12322226 | 132 | 7-4-4 | 1 | C |
| 26 | C1-P1 | 12522226 | 133 | 7-4-4 | 1 | C |
| 27 | C1-P1 | 12322126 | 134 | 7-4-4 | 1 | C |
| 28 | C1-P1 | 22522128 | 136 | 7-4-4 | 4 | C |
| 29 | C1-P1 | 52332228 | 139 | 9-4-5 | 1 | DO |
| 30 | C1-P1 | 42322228 | 141 | 7-4-4 | 1 | C |
| 31 | C1-P1 | 32422128 | 142 | 7-4-4 | 1 | C |
| 32 | C1-P1 | 22522218 | 217 | 7-4-4 | 1 | C |
| 33 | C1-P1 | 22322226 | 262 | 7-4-4 | 3 | C, G |
| 34 | C1-P1 | 42332226 | 263 | 7-4-5 | 1 | C |
| 35 | C1-P2 | 32332228 | 2 | 7-4-3 | 2 | C |
| 36 | C1-P2 | 22332228 | 13 | 7-4-3 | 1 | C |
| 37 | C1-P3 | 42332128 | 19 | 7-4-4 | 23 | C, G, D |
| 38 | C1-P3 | 42332128 | 19 | 8-4-4 | 1 | C |
| 39 | C1-P3 | 43332128 | 143 | 7-4-4 | 8 | C |
| 40 | C1-P3 | 43332118 | 264 | 7-4-4 | 1 | C |
| 41 | C1-P7 | 32332228 | 2 | 7-5-5 | 1 | D |
| 42 | C1-P10 | 42332128 | 19 | 7-4-4 | 1 | C |
| 43 | C2-P18 | 32522228 | 33 | 7-4-4 | 2 | C |
| 44 | C5-P1 | 32332228 | 2 | ≥11-5-5 | 1 | C |
| 45 | C5-P7 | 32332228 | 2 | 7-5-5 | 1 | D |
| 46 | C5-P8 | 42332228 | 1 | 7-4-4 | 1 | C |
| 47 | C9-P2 | 42332228 | 1 | 7-4-4 | 1 | C |
| 48 | C9-P2 | 32332228 | 2 | 7-4-4 | 1 | C |
| 49 | C10-P6 | 42332228 | 1 | 7-4-4 | 1 | C |
| 50 | C10-P6 | 42332218 | 5 | 7-4-4 | 2 | C |
| 51 | C10-P6 | 42322228 | 141 | 7-4-4 | 1 | C |
| 52 | C10-P17 | 42332218 | 5 | 7-4-4 | 1 | C |
| 53 | C12-P3 | 42332128 | 19 | 7-4-4 | 1 | C |
| 54 | C13-P18 | 32332227 | 191 | 7-4-4 | 1 | C |
| 55 | C16-P12 | 42332128 | 19 | 7-4-4 | 1 | C |
| 56 | C17-P8 | 42332228 | 1 | 7-4-4 | 12 | C |
| 57 | C17-P8 | 32332228 | 2 | 7-4-4 | 3 | C, D |
| 58 | C17-P8 | 42332226 | 263 | 7-4-4 | 1 | C |
| 59 | C17-P8 | 42342228 | 265 | 7-4-4 | 1 | C |
| 60 | C17-P9 | 42332228 | 1 | 7-4-4 | 1 | C |
| 61 | C17-P9 | 42332128 | 19 | 7-4-4 | 8 | C, S |
| 62 | C17-P9 | 12332228 | 248 | 7-4-4 | 1 | C |
| 63 | C18-P1 | 32522228 | 33 | 7-4-4 | 1 | C |
| 64 | C18-P16 | 42332228 | 1 | 7-4-5 | 7 | C |
| 65 | C18-P16 | 32332228 | 2 | 6-4-4 | 2 | C, D |
| 66 | C18-P16 | 32332228 | 2 | 7-4-4 | 1 | C |
| 67 | C18-P16 | 32332228 | 2 | 10-5-5 | 2 | C |
| 68 | C18-P16 | 42332218 | 5 | 7-4-4 | 1 | C |
| 69 | C18-P16 | 22332228 | 13 | ≥11-5-5 | 1 | C |
| 70 | C18-P16 | 22522226 | 80 | 7-4-4 | 2 | C |
| 71 | C22-P1 | 32332228 | 2 | 7-4-4 | 1 | D |
| 72 | C22-P11 | 42332128 | 19 | 7-4-4 | 1 | C |
| 73 | C22-P20 | 22522228 | 12 | 7-4-4 | 1 | C |
| 74 | C24-P19 | 32522228 | 33 | 7-4-4 | 4 | C |
| 75 | C27-P1 | 42332228 | 1 | 7-4-5 | 2 | C |
| 76 | C27-P3 | 42332128 | 19 | 7-4-4 | 1 | C |
| 77 | C29-P3 | 42332128 | 19 | 7-4-4 | 1 | C |
| 78 | C41-P1 | 32332228 | 2 | 7-5-5 | 2 | C |
| 79 | C41-P1 | 32332128 | 6 | 7-5-5 | 1 | C |
| 80 | C41-P7 | 32332228 | 2 | 7-5-5 | 14 | C, D, S, B |
| 81 | C41-P7 | 32332128 | 6 | 7-5-5 | 1 | C |
| 82 | C42-P3 | 42332128 | 19 | 7-4-4 | 1 | C |
| 83 | C43-P3 | 42332128 | 19 | 7-4-4 | 3 | C |
| 84 | C44-P1 | 32332228 | 2 | 7-4-4 | 1 | C |
| 85 | C44-P1 | 32522228 | 33 | 7-4-4 | 1 | C |
| 86 | C45-P1 | 32332228 | 2 | ≥11-5-5 | 1 | C |
| 87 | C46-P1 | 42332229 | 190 | 8-4-4 | 4 | C |
| 88 | C47-P1 | 42332228 | 1 | 7-4-4 | 1 | C |
| 89 | C48-P18 | 32522228 | 33 | 7-4-4 | 1 | C |
| 90 | C49-P17 | 42332218 | 5 | 7-4-4 | 1 | C |
| 91 | I2-P14 | 22331(1.5) g 18 | 220 | 7-3-4 | 1 | S |
| 92 | I6-P13 | 42131(1.5)18 | 266 | 7-3-4 | 4 | S, C |
| 93 | I7-P14 | 52331(1.5)18 | 267 | 7-3-3 | 1 | S |
| INMV Code | INMV Profile | Map-Type | Host Origin | Herd, Location (Loc) a |
|---|---|---|---|---|
| 22322226 | 262 | C | cattle, goat | BB-2, RP-29, BB/Loc3 |
| 42332226 | 263 | C | cattle | RP-33, RP-34 |
| 43332118 | 264 | C | cattle | SL-6 |
| 42342228 | 265 | C | red deer | NRW/Loc13 |
| 42131(1.5) b 18 | 266 | S | sheep, cattle | NRW/Loc11, TH/Loc24; BY-2, BY-5 |
| 52331(1.5) b 18 | 267 | S | sheep | NRW/Loc10 |
| 325223*28 | 30* | C | cattle | TH21 |
| Genotype | IS900-RFLP/MIRU-VNTR/SSR | Herds * [n] | Federal State [n] |
|---|---|---|---|
| GT4 | C1-P1/INMV2 (32332228)/7-4-4 | 48 (20%) | 9 |
| GT22 | C1-P1/INMV33 (32522228)/7-4-4 | 26 (11%) | 10 |
| GT37 | C1-P3/INMV19 (42332128)/7-4-4 | 21 (9%) | 8 |
| GT1 | C1-P1/INMV1 (42332228)/7-4-4 | 16 (7%) | 7 |
| GT2 | C1-P1/INMV1 (42332228)/7-4-5 | 14 (6%) | 7 |
| No. | INMV Code | INMV Profile a | SSR | IS900-RFLP b | GT c | Isolate (n) | Herd d (n) |
|---|---|---|---|---|---|---|---|
| 1 | (3+4)2332228 | 2 + 1 | 7-4/5-4/5 | C1-(P1 + P3) | - | 1 | NRW-12 |
| 2 | (3+4)2332(1+2)28 | 2 + 19 | 7-4-3/4 | C1-(P2 + P3) | 35 + 37 | 1 | RP-23 |
| 3 | 42332(1+2)28 | 1 + 19 | 7-4-4/5 | C1-(P1 + P3) | 2 + 37 | 1 | RP-31 |
| 4 | 4233222(6+8) | 263 + 1 | 7-4-5 | C1-P1 | 34 + 2 | 1 | RP-33 |
| 5 | 4233222(6+8) | 263 + 1 | 7-4-4 | C17-P8 | 58 + 56 | 2 | RP-34 |
| 6 | 32(3+5)22228 | 117 + 33 | 7-4-4 | C1-P1 | 24 + 22 | 1 | SL-2 |
| 7 | 433321(1+2)8 | 264 + 143 | 7-4-4 | C1-P3 | 40 + 39 | 1 | SL-6 |
| 8 | 32332(5*+2)28 | 16 * + 2 | 7-4-4 | C1-P1 | 17 + 4 | 2 | TH-42,43 |
| N° a | Host | Origin a | Isolate | Tissue Origin | RFLP b | INMV c | Code d | SSR e | GT |
|---|---|---|---|---|---|---|---|---|---|
| 1 | Cattle | TH-1 | 01A0432 | Jejunal LN | C17-P9 | 19 | 42332128 | 7-4-4 | 61 |
| 01A0435 | Liver | C17-P9 | 19 | 42332128 | 7-4-4 | 61 | |||
| 01A0441 | Muscle | C1-P1 | 1 | 42332228 | 7-4-4 | 1 | |||
| 2 | Cattle | TH-1 | 01A0534 | Jejunal LN f | C1-P1 | 2 | 32332228 | 7-4-5 | 5 |
| 01A0535 | Jejunal LN g | C17-P9 | 19 | 42332128 | 7-4-4 | 61 | |||
| 3 | Cattle | TH-1 | 02A0112 | Feces | C17-P9 | 19 | 42332128 | 7-4-4 | 61 |
| 02A0116 | Ileo-caecal LN | C17-P9 | 19 | 42332128 | 7-4-5 | - | |||
| 02A0117 | Jejunal LN | C17-P9 | 19 | 42332128 | 7-4-4 | 61 | |||
| 02A0118 | Liver | C17-P9 | 19 | 42332128 | 7-4-4 | 61 | |||
| 02A0119 | Liver LN | C17-P9 | 19 | 42332128 | 7-4-4 | 61 | |||
| 4 | Cattle | TH-1 | 02A1191 | Feces | C17-P9 | 19 | 42332128 | 7-4-4 | 61 |
| 02A1192 | Ileum | C17-P9 | 19 | 42332128 | 7-4-4 | 61 | |||
| 02A1194 | Caecum | C16-P12 | 19 | 42332128 | 7-4-4 | 55 | |||
| 5 | Cattle | TH-3 | 05A2326 | Feces | C9-P2 | 1 | 42332228 | 7-4-4 | 47 |
| 05A2327 | Ileum LN | C9-P2 | 1 | 42332228 | 7-4-4 | 47 | |||
| 05A2328 | Spleen LN | C9-P2 | 2 | 32332228 | 7-4-4 | 48 | |||
| 05A2330 | Lung of foetus | C9-P2 | 1 | 42332228 | 7-4-4 | 47 | |||
| 6 | Cattle | NRW-3 | 06A1283 | Feces 1 * | C17-P8 | 2 | 32332228 | 7-4-4 | 57 |
| 06A1284 | Feces 2 * | C41-P7 | 2 | 32332228 | 7-5-5 | 80 | |||
| 7 | Cattle | NRW-13 | 06A1281 | Feces 1 * | C17-P9 | 19 | 42332128 | 7-4-4 | 61 |
| 06A1282 | Feces 2 * | C17-P8 | 1 | 42332228 | 7-4-4 | 56 | |||
| 8 | Roe deer | NRW-Loc17 | 06A1278 | Feces 2 * | C5-P7 | 2 | 32332228 | 7-5-5 | 45 |
| 06A1279 | Feces 3 * | C1-P7 | 2 | 32332228 | 7-5-5 | 41 | |||
| 9 | Sheep | TH-Loc24 | 11MA0986 | Mesenteric LN | I6-P13 | 266 | 42131(1.5)18 | 7-3-4 | 92 |
| 11MA0987a | Feces 1 (LJ) | I6-P13 | 266 | 42131(1.5)18 | 7-3-4 | 92 | |||
| 11MA0987b | Feces 2 (Her) | n.d. | 2 | 32332228 | 7-5-5 | - |
Disclaimer/Publisher’s Note: The statements, opinions and data contained in all publications are solely those of the individual author(s) and contributor(s) and not of MDPI and/or the editor(s). MDPI and/or the editor(s) disclaim responsibility for any injury to people or property resulting from any ideas, methods, instructions or products referred to in the content. |
© 2025 by the authors. Licensee MDPI, Basel, Switzerland. This article is an open access article distributed under the terms and conditions of the Creative Commons Attribution (CC BY) license (https://creativecommons.org/licenses/by/4.0/).
Share and Cite
Möbius, P.; Price-Carter, M.; Köhler, H. High Molecular Diversity of Mycobacterium avium subsp. paratuberculosis in Germany Revealed by Multitarget Genotyping. Int. J. Mol. Sci. 2025, 26, 5273. https://doi.org/10.3390/ijms26115273
Möbius P, Price-Carter M, Köhler H. High Molecular Diversity of Mycobacterium avium subsp. paratuberculosis in Germany Revealed by Multitarget Genotyping. International Journal of Molecular Sciences. 2025; 26(11):5273. https://doi.org/10.3390/ijms26115273
Chicago/Turabian StyleMöbius, Petra, Marian Price-Carter, and Heike Köhler. 2025. "High Molecular Diversity of Mycobacterium avium subsp. paratuberculosis in Germany Revealed by Multitarget Genotyping" International Journal of Molecular Sciences 26, no. 11: 5273. https://doi.org/10.3390/ijms26115273
APA StyleMöbius, P., Price-Carter, M., & Köhler, H. (2025). High Molecular Diversity of Mycobacterium avium subsp. paratuberculosis in Germany Revealed by Multitarget Genotyping. International Journal of Molecular Sciences, 26(11), 5273. https://doi.org/10.3390/ijms26115273

