Near-Infrared Photobiomodulation of the Peripheral Nerve Inhibits the Neuronal Firing in a Rat Spinal Dorsal Horn Evoked by Mechanical Stimulation
Abstract
1. Introduction
2. Results
2.1. Effects of Photobiomodulation on the Neuronal Firing in Lamina II of Spinal Dorsal Horn Neurons Evoked by Mechanical Stimulation
2.2. Effects of Lidocaine on the Neuronal Firing in Lamina II of Spinal Dorsal Horn Neurons Evoked by Mechanical Stimulation
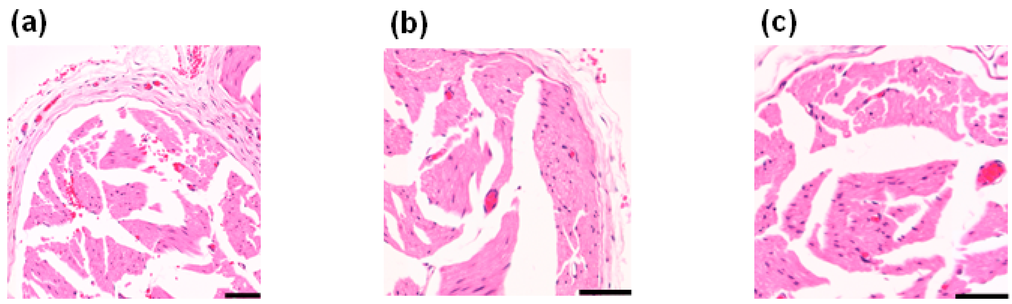
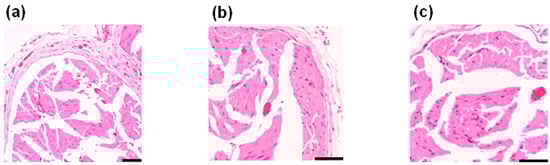
2.3. Histopathological Evaluation of the Sciatic Nerve
3. Discussion
4. Materials and Methods
4.1. Animals
4.2. In Vivo Preparation and Extracellular Recordings from Lamina II Neurons
4.3. In Vivo Extracellular Recordings from Lamina II Neurons
4.4. Laser Irradiation
4.5. Histopathological Evaluation
4.6. Statistical Analysis
5. Conclusions
Author Contributions
Funding
Institutional Review Board Statement
Informed Consent Statement
Data Availability Statement
Acknowledgments
Conflicts of Interest
References
- Dompe, C.; Moncrieff, L.; Matys, J.; Grzech-Leśniak, K.; Kocherova, I.; Bryja, A.; Bruska, M.; Dominiak, M.; Mozdziak, P.; Skiba, T.H.I.; et al. Photobiomodulation—Underlying Mechanism and Clinical Applications. J. Clin. Med. 2020, 9, 1724. [Google Scholar] [CrossRef] [PubMed]
- Cheng, K.; Martin, L.F.; Slepian, M.J.; Patwardhan, A.M.; Ibrahim, M.M. Mechanisms and Pathways of Pain Photobiomodula-tion: A Narrative Review. J. Pain 2021, 22, 763–777. [Google Scholar] [CrossRef] [PubMed]
- Bjordal, J.M.; Johnson, M.I.; Lopes-Martins, R.A.; Bogen, B.; Chow, R.; Ljunggren, A.E. Short-Term Efficacy of Physical Interven-tions in Osteoarthritic Knee Pain. A Systematic Review and Meta-Analysis of Randomised Placebo-Controlled Trials. BMC Musculoskelet. Disord. 2007, 8, 51. [Google Scholar] [CrossRef]
- Chow, R.; Armati, P.; Laakso, E.-L.; Bjordal, J.M.; Baxter, G.D. Inhibitory Effects of Laser Irradiation on Peripheral Mammalian Nerves and Relevance to Analgesic Effects: A Systematic Review. Photomed. Laser Surg. 2011, 29, 365–381. [Google Scholar] [CrossRef]
- Chow, R.T.; Johnson, M.I.; Lopes-Martins, R.A.; Bjordal, J.M. Efficacy of Low-Level Laser Therapy in the Management of Neck Pain: A Systematic Review and Meta-Analysis of Randomised Placebo or Active-Treatment Controlled Trials. Lancet 2009, 374, 1897–1908. [Google Scholar] [CrossRef]
- Gomes, A.O.; Martimbianco, A.L.C.; Junior, A.B.; Horliana, A.C.R.T.; da Silva, T.; Santos, E.M.; Fragoso, Y.D.; Fernandes, K.P.S.; Nammour, S.; Bussadori, S.K. Photobiomodulation for the Treatment of Primary Headache: Systematic Review of Randomized Clinical Trials. Life 2022, 12, 98. [Google Scholar] [CrossRef] [PubMed]
- De Barros, D.D.; Catão, J.S.d.S.B.; Ferreira, A.C.D.; Simões, T.M.S.; Almeida, R.d.A.C.; Catão, M.H.C.d.V. Low-Level Laser Therapy Is Effective in Controlling Postoperative Pain in Lower Third Molar Extractions: A Systematic Review and Me-ta-Analysis. Laser Med. Sci. 2022, 37, 2363–2377. [Google Scholar] [CrossRef]
- Tripodi, N.; Feehan, J.; Husaric, M.; Sidiroglou, F.; Apostolopoulos, V. The Effect of Low-Level Red and near-Infrared Photo-biomodulation on Pain and Function in Tendinopathy: A Systematic Review and Meta-Analysis of Randomized Control Trials. BMC Sport. Sci. Med. Rehabilit. 2021, 13, 91. [Google Scholar] [CrossRef]
- Yang, J.; Mallory, M.J.; Wu, Q.; Bublitz, S.E.; Do, A.; Xiong, D.; Chen, C.Y.Y.; Dorsher, P.T.; Chon, T.Y.; Bauer, B.A. The Safety of Laser Acupuncture: A Systematic Review. Med. Acupunct 2020, 32, 209–217. [Google Scholar] [CrossRef]
- Chow, R.T.; Armati, P.J. Photobiomodulation: Implications for Anesthesia and Pain Relief. Photomed. Laser Surg. 2016, 34, 599–609. [Google Scholar] [CrossRef]
- Hsieh, Y.; Chou, L.; Chang, P.; Yang, C.; Kao, M.; Hong, C. Low-level Laser Therapy Alleviates Neuropathic Pain and Pro-motes Function Recovery in Rats with Chronic Constriction Injury: Possible Involvements in Hypoxia-inducible Factor 1α (HIF-1α). J. Comp. Neurol. 2012, 520, 2903–2916. [Google Scholar] [CrossRef] [PubMed]
- Cidral-Filho, F.J.; Mazzardo-Martins, L.; Martins, D.F.; Santos, A.R.S. Light-Emitting Diode Therapy Induces Analgesia in a Mouse Model of Postoperative Pain through Activation of Peripheral Opioid Receptors and the l-Arginine/Nitric Oxide Pathway. Laser Med. Sci. 2014, 29, 695–702. [Google Scholar] [CrossRef]
- Chow, R.T.; David, N.A.; Armati, P.J. 830 Nm Laser Irradiation Induces Varicosity Formation, Reduces Mitochondrial Membrane Potential and Blocks Fast Axonal Flow in Small and Medium Diameter Rat Dorsal Root Ganglion Neurons: Implications for the Analgesic Effects of 830 Nm Laser. J. Peripher. Nerv. Syst. 2007, 12, 28–39. [Google Scholar] [CrossRef] [PubMed]
- Holanda, V.M.; Chavantes, M.C.; Wu, X.; Anders, J.J. The Mechanistic Basis for Photobiomodulation Therapy of Neuropathic Pain by near Infrared Laser Light. Laser Surg. Med. 2017, 49, 516–524. [Google Scholar] [CrossRef] [PubMed]
- De Sousa, M.V.P.; Kawakubo, M.; Ferraresi, C.; Kaippert, B.; Yoshimura, E.M.; Hamblin, M.R. Pain Management Using Photo-biomodulation: Mechanisms, Location, and Repeatability Quantified by Pain Threshold and Neural Biomarkers in Mice. J. Biophotonics 2018, 11, e201700370. [Google Scholar] [CrossRef]
- Tsuchiya, K.; Kawatani, M.; Takeshige, C.; Sato, T.; Matsumoto, I. Diode Laser Irradiation Selectively Diminishes Slow Com-ponent of Axonal Volleys to Dorsal Roots from the Saphenous Nerve in the Rat. Neurosci. Lett. 1993, 161, 65–68. [Google Scholar] [CrossRef]
- Tsuchiya, K.; Kawatani, M.; Takeshige, C.; Matsumoto, I. Laser Irradiation Abates Neuronal Responses to Nociceptive Stimu-lation of Rat-Paw Skin. Brain Res. Bull. 1994, 34, 369–374. [Google Scholar] [CrossRef]
- Yan, W.; Chow, R.; Armati, P.J. Inhibitory Effects of Visible 650-nm and Infrared 808-nm Laser Irradiation on Somatosensory and Compound Muscle Action Potentials in Rat Sciatic Nerve: Implications for Laser-induced Analgesia. J. Peripher. Nerv. Syst. 2011, 16, 130–135. [Google Scholar] [CrossRef]
- Yoshimura, M.; Nishi, S. Blind Patch-Clamp Recordings from Substantia Gelatinosa Neurons in Adult Rat Spinal Cord Slices: Pharmacological Properties of Synaptic Currents. Neuroscience 1993, 53, 519–526. [Google Scholar] [CrossRef]
- Shimoyama, N.; lijima, K.; Shimoyama, M.; Mizuguchi, T. The Effects of Helium-Neon Laser on Formalin-Induced Activity of Dorsal Horn Neurons in the Rat. J. Clin Laser Med. Surg. 1992, 10, 91–94. [Google Scholar] [CrossRef]
- Kono, T.; Kasai, S.; Sakamoto, T.; Mito, M. Cord Dorsum Potentials Suppressed by Low Power Laser Irradiation on a Peripheral Nerve in the Cat. J. Clin. Laser Med. Surg. 1993, 11, 115–118. [Google Scholar] [CrossRef] [PubMed]
- Uta, D.; Tsuboshima, K.; Nishijo, H.; Mizumura, K.; Taguchi, T. Neuronal Sensitization and Synaptic Facilitation in the Super-ficial Dorsal Horn of a Rat Reserpine-Induced Pain Model. Neuroscience 2021, 479, 125–139. [Google Scholar] [CrossRef] [PubMed]
- Chow, R.; Yan, W.; Armati, P. Electrophysiological Effects of Single Point Transcutaneous 650 and 808 Nm Laser Irradi-ation of Rat Sciatic Nerve: A Study of Relevance for Low-Level Laser Therapy and Laser Acupuncture. Photomed. Laser Surg. 2012, 30, 530–535. [Google Scholar] [CrossRef]
- Ishibashi, N.; Shimoyama, H.; Kawase, Y.; Motohara, S.; Okayama, T.; Niwa, D.; Koyama, J. Measurement of Light Penetration of Near-Infrared Laser at the Lumbosacral Nerves in Rats. Mech. Photobiomod. 2018, 10477, 1047704. [Google Scholar] [CrossRef]
- Liao, C.-D.; Tsauo, J.-Y.; Liou, T.-H.; Chen, H.-C.; Rau, C.-L. Efficacy of Noninvasive Stellate Ganglion Blockade Performed Using Physical Agent Modalities in Patients with Sympathetic Hyperactivity-Associated Disorders: A Systematic Review and Meta-Analysis. PLoS ONE 2016, 11, e0167476. [Google Scholar] [CrossRef] [PubMed]
- Holanda, V.M.; Chavantes, M.C.; Silva, D.F.T.; de Holanda, C.V.M.; de Oliveira, J.O.; Wu, X.; Anders, J.J. Photobiomodulation of the dorsal root ganglion for the treatment of low back pain: A pilot study. Laser. Surg. Med. 2016, 48, 653–659. [Google Scholar] [CrossRef] [PubMed]
- Torp, K.D.; Metheny, E.; Simon, L.V. Lidocaine Toxicity. [Updated 21 November 2022]. In StatPearls; StatPearls Publishing: Treasure Island, FL, USA, 2022. Available online: https://www.ncbi.nlm.nih.gov/books/NBK482479/ (accessed on 16 January 2023).
- Cotler, H.B.; Chow, R.T.; Hamblin, M.R.; Carroll, J. The Use of Low Level Laser Therapy (LLLT) For Musculoskeletal Pain. MOJ Orthop. Rheumatol. 2015, 2, 00068. [Google Scholar] [CrossRef] [PubMed]
- Derouiche, S.; Li, T.; Sakai, Y.; Uta, D.; Aoyagi, S.; Tominaga, M. Inhibition of Transient Receptor Potential Vanilloid 1 and Transient Receptor Potential Ankyrin 1 by Mosquito and Mouse Saliva. Pain 2022, 163, 299–307. [Google Scholar] [CrossRef]
- Hara, K.; Harris, R.A. The Anesthetic Mechanism of Urethane: The Effects on Neurotransmitter-Gated Ion Channels. Aneasth. Analg. 2002, 94, 313–318. [Google Scholar] [CrossRef]
- Uta, D.; Oti, T.; Sakamoto, T.; Sakamoto, H. In Vivo Electrophysiology of Peptidergic Neurons in Deep Layers of the Lumbar Spinal Cord after Optogenetic Stimulation of Hypothalamic Paraventricular Oxytocin Neurons in Rats. Int. J. Mol. Sci. 2021, 22, 3400. [Google Scholar] [CrossRef]






| Wavelength | 808 nm |
| Power | 790 mW |
| Area | 0.79 cm2 |
| Power density | 1 W/cm2 |
| Irradiation time | 180 s |
| Fluence | 180 J/cm2 |
| Mode | Continuous wave |
Disclaimer/Publisher’s Note: The statements, opinions and data contained in all publications are solely those of the individual author(s) and contributor(s) and not of MDPI and/or the editor(s). MDPI and/or the editor(s) disclaim responsibility for any injury to people or property resulting from any ideas, methods, instructions or products referred to in the content. |
© 2023 by the authors. Licensee MDPI, Basel, Switzerland. This article is an open access article distributed under the terms and conditions of the Creative Commons Attribution (CC BY) license (https://creativecommons.org/licenses/by/4.0/).
Share and Cite
Uta, D.; Ishibashi, N.; Konno, T.; Okada, Y.; Kawase, Y.; Tao, S.; Kume, T. Near-Infrared Photobiomodulation of the Peripheral Nerve Inhibits the Neuronal Firing in a Rat Spinal Dorsal Horn Evoked by Mechanical Stimulation. Int. J. Mol. Sci. 2023, 24, 2352. https://doi.org/10.3390/ijms24032352
Uta D, Ishibashi N, Konno T, Okada Y, Kawase Y, Tao S, Kume T. Near-Infrared Photobiomodulation of the Peripheral Nerve Inhibits the Neuronal Firing in a Rat Spinal Dorsal Horn Evoked by Mechanical Stimulation. International Journal of Molecular Sciences. 2023; 24(3):2352. https://doi.org/10.3390/ijms24032352
Chicago/Turabian StyleUta, Daisuke, Naoya Ishibashi, Takahiro Konno, Yuki Okada, Yuki Kawase, Shinichi Tao, and Toshiaki Kume. 2023. "Near-Infrared Photobiomodulation of the Peripheral Nerve Inhibits the Neuronal Firing in a Rat Spinal Dorsal Horn Evoked by Mechanical Stimulation" International Journal of Molecular Sciences 24, no. 3: 2352. https://doi.org/10.3390/ijms24032352
APA StyleUta, D., Ishibashi, N., Konno, T., Okada, Y., Kawase, Y., Tao, S., & Kume, T. (2023). Near-Infrared Photobiomodulation of the Peripheral Nerve Inhibits the Neuronal Firing in a Rat Spinal Dorsal Horn Evoked by Mechanical Stimulation. International Journal of Molecular Sciences, 24(3), 2352. https://doi.org/10.3390/ijms24032352

