Fractal-Percolation Structure Architectonics in Sol-Gel Synthesis
Abstract
:1. Introduction
2. Results
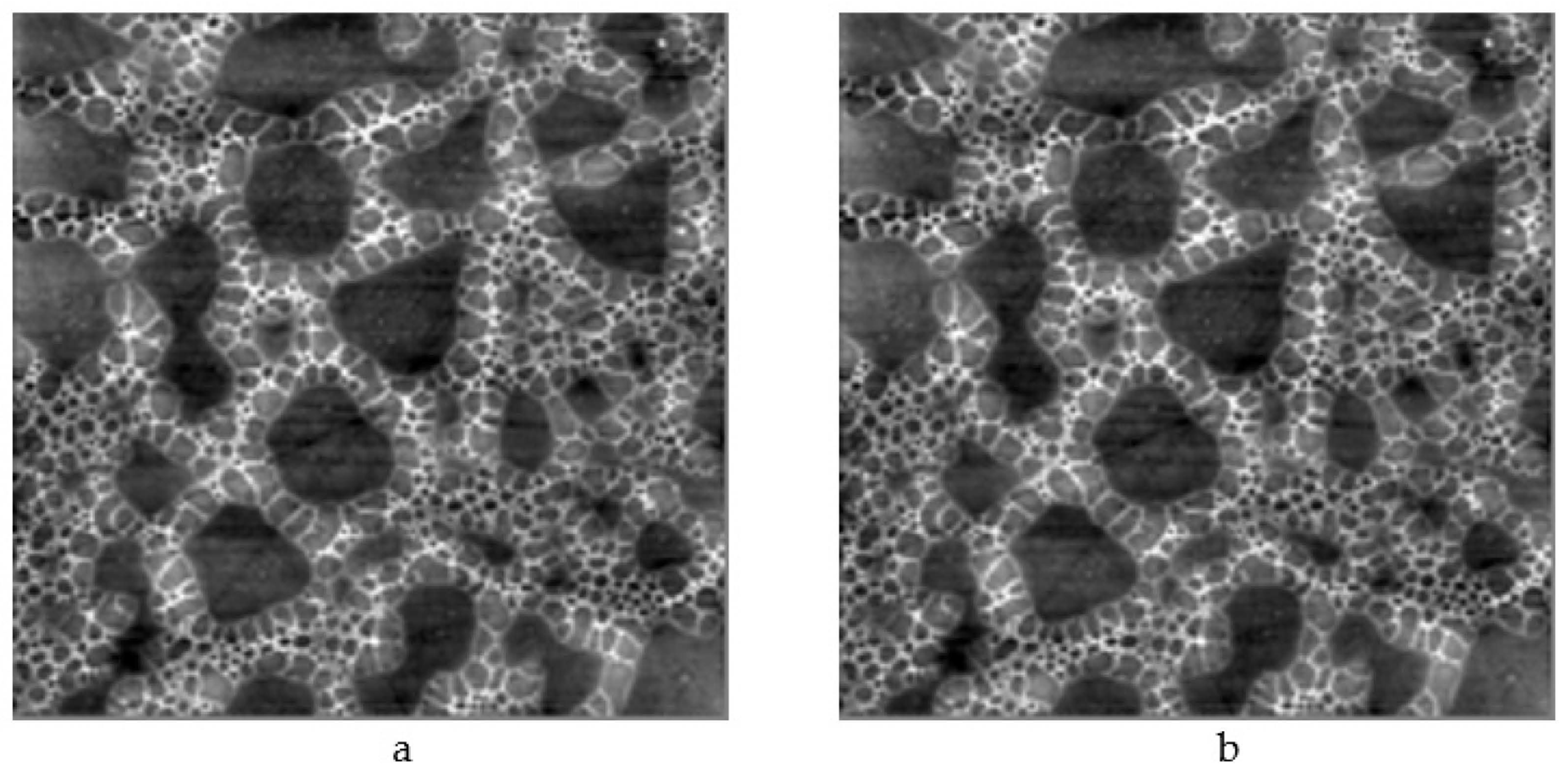
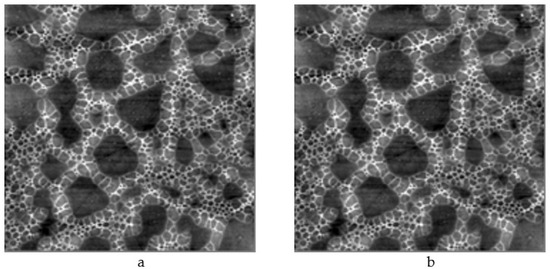
2.1. Porous Materials with a Hierarchical Fractal-Percolation Structure Obtained Using the Sol-Gel Synthesis
2.2. Development of a New Method to Assess Micro- and Mesopores with Sizes below 10 nm
3. Discussion
- pores in the shape of a curved equilateral triangle formed by the gaps between the three touching globules with the circle radius α;
- pores in the shape of a curved hexagon, formed by the gaps between six touching globules with the circle radius α;
- pores formed by the gaps between the six regular hexagons filled with quasi-two-dimensional projections of the Jullien fractal after the 2nd iteration and built-up globules in the contact points of the regular hexagons;
- pores formed by the gaps between the twelve regular hexagons.
- To estimate the size of pores of the third and fourth type in a multimodal model based on an enhanced Kepler net of the 4612 type with hexagonal cells filled with a quasi-two-dimensional projection of the Jullien fractal using atomic force microscopy (AFM).
- To estimate the experimental size of the necks between the third and fourth types of pores based on the AFM data.
- To calculate the radius size of the globule representing the glass-forming net of silicon dioxide by relating the experimental neck size to 7 and to 11.
- To calculate the size of the first and second types of pores using the ratios (from Equations (1), (2), (6) and (8)):
4. Materials and Methods
Author Contributions
Funding
Conflicts of Interest
References
- Ghosh, D.; Datta, L.P.; Govindaraju, T. Molecular architectonics of DNA for functional nanoarchitectures. Beilstein J. Nanotechnol. 2020, 11, 124–140. [Google Scholar] [CrossRef] [Green Version]
- Yang, X.-Y.; Chen, L.-H.; Li, Y.; Rooke, J.C.; Sanchez, C.; Su, B.-L. Hierarchically porous materials: Synthesis strategies and structure design. Chem. Soc. Rev. 2017, 46, 481–558. [Google Scholar] [CrossRef] [Green Version]
- Thompson, B.R.; Horozov, T.S.; Stoyanov, S.D.; Paunov, V.N. Hierarchically structured composites and porous materials from soft templates: Fabrication and applications. J. Mater. Chem. A 2019, 7, 8030–8049. [Google Scholar] [CrossRef]
- Smerdov, R.; Mustafaev, A.; Spivak, Y.; Moshnikov, V. Functionalized nanostructured materials for novel plasma energy systems. In Topical Issues of Rational Use of Natural Resources 2019; CRC Press: Boca Raton, FL, USA, 2019; pp. 434–441. [Google Scholar]
- Smerdov, R.; Spivak, Y.; Bizyaev, I.; Somov, P.; Gerasimov, V.; Mustafaev, A.; Moshnikov, V. Advances in Novel Low-Macroscopic Field Emission Electrode Design Based on Fullerene-Doped Porous Silicon. Electronics 2020, 10, 42. [Google Scholar] [CrossRef]
- Tomaev, V.; Levine, K.; Stoyanova, T.; Syrkov, A.G. Synthesis and Study of a Polypyrrole–Aluminum Oxide Nanocomposite Film on an Aluminum Surface. Glas. Phys. Chem. 2019, 45, 291–297. [Google Scholar] [CrossRef]
- Krasnyy, V.A. The use of nanomaterials to improve the wear resistance of machine parts under fretting corrosion conditions. In IOP Conference Series: Materials Science and Engineering; IOP Publishing Ltd.: Bristol, UK, 2019; Volume 560, pp. 1–5. [Google Scholar] [CrossRef] [Green Version]
- Salikhov, K.M.; Stoyanov, N.D.; Stoyanova, T.V. Using Optical Activation to Create Hydrogen and Hydrogen-Containing Gas Sensors. Key Eng. Mater. 2020, 854, 87–93. [Google Scholar] [CrossRef]
- Abrashova, E.V.; Kononova, I.E.; Moshnikov, V.A.; Nalimova, S.S. Sol-gel synthesis of Pb-free thin-film nanomaterials for electrocaloric devices. In Journal of Physics: Conference Series; IOP Publishing Ltd.: Bristol, UK, 2014; Volume 2064, p. 030016. [Google Scholar]
- Gasanly, S.A.; Tomaev, V.V.; Stoyanova, T.V. The concept of the phases ratio control during the formation of composite filamentary nanocrystals xInSe-(1–x)In2O3on glass substrates. J. Phys. Conf. Ser. 2017, 917, 32021. [Google Scholar] [CrossRef]
- Syrkov, A.G. On the priority of Saint-Petersburg Mining University in the field of nanotechnology science and nanomaterials. J. Min. Inst. 2016, 221, 730–736. [Google Scholar]
- Pleskunov, I.V.; Syrkov, A.G. Development of research of low – dimension metal-containing systems from P.P. Weymarn to our days. J. Min. Inst. 2018, 231, 287. [Google Scholar]
- Karpova, S.S.; Moshnikov, V.A.; Mjakin, S.V.; Kolovangina, E.S. Surface functional composition and sensor properties of ZnO, Fe2O3, and ZnFe2O4. Semiconductors 2013, 47, 392–395. [Google Scholar] [CrossRef]
- Abrashova, E.V.; Kononova, I.E.; Moshnikov, V.A.; Nalimova, S.S. Sol-gel synthesis of Pb-free thin-film nanomaterials for electrocaloric devices. J. Phys. Conf. Ser. 2014, 572, 012023. [Google Scholar] [CrossRef]
- Bobkov, A.A.; Maximov, A.I.; Moshnikov, V.A.; Somov, P.A.; Terukov, E.I. Zinc-oxide-based nanostructured materials for heterostructure solar cells. Semiconductors 2015, 49, 1357–1360. [Google Scholar] [CrossRef]
- Moshnikov, V.; Gracheva, I.E.; An’Chkov, M.G. Investigation of sol-gel derived nanomaterials with a hierarchical structure. Glas. Phys. Chem. 2011, 37, 485–495. [Google Scholar] [CrossRef]
- Lashkova, N.A.; Maximov, A.I.; Ryabko, A.A.; Bobkov, A.A.; Moshnikov, V.A.; Terukov, E.I. Synthesis of ZnO-based nanostructures for heterostructure photovoltaic cells. Semiconductors 2016, 50, 1254–1260. [Google Scholar] [CrossRef]
- Pronin, I.A.; Averin, I.A.; Donkova, B.V.; Dimitrov, D.T.; Pencheva, J.A.; Moshnikov, V.A. Relationship between the photocatalytic and photoluminescence properties of zinc oxide doped with copper and manganese. Semiconductors 2014, 48, 842–847. [Google Scholar] [CrossRef]
- Muratova, E.N.; Spivak, Y.M.; Moshnikov, V.; Petrov, D.V.; Shemukhin, A.A.; Shimanova, V.V. Influence of technological parameters of nanoporous Al2O3 Layers’ preparation on their structural characteristics. Glas. Phys. Chem. 2013, 39, 320–328. [Google Scholar] [CrossRef]
- Bobkov, A.A.; Lashkova, N.A.; Maximov, A.I.; Moshnikov, V.A.; Nalimova, S.S. Fabrication of oxide heterostructures for promising solar cells of a new generation. Semiconductors 2017, 51, 61–65. [Google Scholar] [CrossRef]
- Abrashova, E.V.; Gracheva, I.E.; Moshnikov, V.A. Functional nanomaterials based on metal oxides with hierarchical structure. J. Phys. Conf. Ser. 2013, 461, 012019. [Google Scholar] [CrossRef]
- Kononova, I.E.; Moshnikov, V.A.; Krishtab, M.; Pronin, I.A. Fractally aggregated micro- and nanosystems synthesized from sols. Glas. Phys. Chem. 2014, 40, 190–202. [Google Scholar] [CrossRef]
- Gracheva, I.E.; Moshnikov, V.; Maraeva, E.; Karpova, S.S.; Alexsandrova, O.A.; Alekseyev, N.I.; Kuznetsov, V.V.; Olchowik, G.; Semenov, K.; Startseva, A.V.; et al. Nanostructured materials obtained under conditions of hierarchical self-assembly and modified by derivative forms of fullerenes. J. Non-Cryst. Solids 2012, 358, 433–439. [Google Scholar] [CrossRef]
- Moshnikov, V.; Gracheva, I.E.; Kuznezov, V.V.; Maximov, A.; Karpova, S.S.; Ponomareva, A.A. Hierarchical nanostructured semiconductor porous materials for gas sensors. J. Non-Cryst. Solids 2010, 356, 2020–2025. [Google Scholar] [CrossRef]
- Moshnikov, V.A.; Gracheva, I.; Lenshin, A.S.; Spivak, Y.M.; Anchkov, M.G.; Kuznetsov, V.V.; Olchowik, J.M. Porous silicon with embedded metal oxides for gas sensing applications. J. Non-Cryst. Solids 2012, 358, 590–595. [Google Scholar] [CrossRef]
- Spivak, Y.M.; Mjakin, S.V.; Moshnikov, V.A.; Panov, M.F.; Belorus, A.O.; Бoбкoв, A. Surface Functionality Features of Porous Silicon Prepared and Treated in Different Conditions. J. Nanomater. 2016, 2016, 1–8. [Google Scholar] [CrossRef] [Green Version]
- Wu, L.; Li, Y.; Fu, Z.; Su, B.-L. Hierarchically structured porous materials: Synthesis strategies and applications in energy storage. Natl. Sci. Rev. 2020, 7, 1667–1701. [Google Scholar] [CrossRef]
- Hammi, N.; El Hankari, S.; Katir, N.; Marcotte, N.; Draoui, K.; Royer, S.; El Kadib, A. Polysaccharide templated biomimetic growth of hierarchically porous metal-organic frameworks. Microporous Mesoporous Mater. 2020, 306, 110429. [Google Scholar] [CrossRef]
- Lu, X.; Hasegawa, G.; Kanamori, K.; Nakanishi, K. Hierarchically porous monoliths prepared via sol–gel process accompanied by spinodal decomposition. J. Sol-Gel Sci. Technol. 2020, 95, 530–550. [Google Scholar] [CrossRef]
- Lu, X.; Kanamori, K.; Nakanishi, K. Synthesis of hierarchically porous MgO monoliths with continuous structure via sol–gel process accompanied by phase separation. J. Sol-Gel Sci. Technol. 2019, 89, 29–36. [Google Scholar] [CrossRef]
- Brinker, C.J. Hydrolysis and condensation of silicates: Effects on structure. J. Non-Cryst. Solids 1988, 100, 31–50. [Google Scholar] [CrossRef] [Green Version]
- Gheonea, R.; Crasmareanu, E.C.; Plesu, N.; Sauca, S.; Simulescu, V.; Ilia, G. New Hybrid Materials Synthesized with Different Dyes by Sol-Gel Method. Adv. Mater. Sci. Eng. 2017, 2017, 1–8. [Google Scholar] [CrossRef] [Green Version]
- Brazhe, R.A.; Kochaev, A.I. 2D-kristally s pyat’yu mezhatomnymi svyazyami tipa setok Keplera. Izvestiya vysshih uchebnyh zavedenij. Povolzhskij region. Fiz. Mat. Nauk. 2016, 37, 87–100. [Google Scholar]
- Julien, R. Fractal aggregates. Uspekhi Fiz. Nauk 1989, 157, 339–357. (In Russian) [Google Scholar]


















| 1 | 0.18 | 1.09 | 9.00 | 18.00 |
| 2.7 | 0.48 | 2.94 | 24.30 | 48.60 |
| 2.8 | 0.49 | 3.05 | 25.20 | 50.40 |
| 2.9 | 0.51 | 3.16 | 26.10 | 52.20 |
| 25 | 4.40 | 27.23 | 225.00 | 449.99 |
| 50 | 8.81 | 54.46 | 450 | 899.98 |
Publisher’s Note: MDPI stays neutral with regard to jurisdictional claims in published maps and institutional affiliations. |
© 2021 by the authors. Licensee MDPI, Basel, Switzerland. This article is an open access article distributed under the terms and conditions of the Creative Commons Attribution (CC BY) license (https://creativecommons.org/licenses/by/4.0/).
Share and Cite
Kononova, I.; Kononov, P.; Moshnikov, V.; Ignat’ev, S. Fractal-Percolation Structure Architectonics in Sol-Gel Synthesis. Int. J. Mol. Sci. 2021, 22, 10521. https://doi.org/10.3390/ijms221910521
Kononova I, Kononov P, Moshnikov V, Ignat’ev S. Fractal-Percolation Structure Architectonics in Sol-Gel Synthesis. International Journal of Molecular Sciences. 2021; 22(19):10521. https://doi.org/10.3390/ijms221910521
Chicago/Turabian StyleKononova, Irina, Pavel Kononov, Vyacheslav Moshnikov, and Sergey Ignat’ev. 2021. "Fractal-Percolation Structure Architectonics in Sol-Gel Synthesis" International Journal of Molecular Sciences 22, no. 19: 10521. https://doi.org/10.3390/ijms221910521
APA StyleKononova, I., Kononov, P., Moshnikov, V., & Ignat’ev, S. (2021). Fractal-Percolation Structure Architectonics in Sol-Gel Synthesis. International Journal of Molecular Sciences, 22(19), 10521. https://doi.org/10.3390/ijms221910521

