Adiponectin-Based Peptide (ADP355) Inhibits Transforming Growth Factor-β1-Induced Fibrosis in Keloids
Abstract
1. Introduction
2. Results
2.1. Effect of ADP355 on Keloid Fibroblast Viability and the AMP-Activated Protein Kinase (AMPK) Pathway
2.2. ADP355 Suppressed the Production of Procollagen Type 1 Expression
2.3. ADP355 Attenuated Phosphorylation of ERK and SMAD3 and Accentuated AMPK in TGF-β1-Treated Keloid Fibroblasts
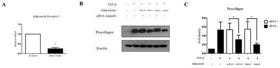
2.4. Knockdown of AdipoR1 Attenuated the Inhibitory Effect of ADP355 on TGF-β-Induced Fibrosis
2.5. Intralesional Injection of ADP355 Reduced the Size and Procollagen Expression of Xenotransplanted Keloid Tissue
3. Discussion
4. Materials and Methods
4.1. Isolation of Keloid and Keloid Dermal Fibroblast Primary Cell Culture
4.2. Adiponectin Peptide Treatment
4.3. Cell Viability Analysis
4.4. Western Blot Analysis
4.5. siRNA Transfection
4.6. Animal Model and Keloid Xenotransplantation
4.7. Tissue Analysis
4.8. Statistical Analysis
Author Contributions
Funding
Conflicts of Interest
Abbreviations
| AdipoQ | Adiponectin recombinant protein |
| AdipoR | Adiponectin receptor |
| ADP355 | Adiponectin 355 |
| AMPK | AMP-activated protein kinase |
| ECM | Extracellular matrix |
| ERK | Extracellular signal-regulated kinase |
| p-AMPK | Phosphorylation AMP-activated protein kinase |
| p-ERK | Phosphorylated extracellular signal-regulated kinase |
| p-AMPK | Phosphorylated AMP-activated protein kinase |
| siRNA | Small interfering RNA |
| t-AMPK | Total AMP-activated protein kinase |
| TGF-β | Transforming growth factor beta |
References
- Murray, J.C. Keloids and Hypertrophic Scars. Clin. Dermatol. 1994, 12, 27–37. [Google Scholar] [CrossRef]
- Hsueh, W.T.; Hung, K.S.; Chen, Y.C.; Huang, Y.T.; Hsu, C.K.; Ogawa, R.; Hsueh, Y.Y. Adjuvant Radiotherapy After Keloid Excision: Preliminary Experience in Taiwan. Ann. Plast. Surg. 2019, 82 (Suppl. 1), S39–S44. [Google Scholar] [CrossRef] [PubMed]
- Seo, B.F.; Jung, S.N. The Immunomodulatory Effects of Mesenchymal Stem Cells in Prevention or Treatment of Excessive Scars. Stem Cells Int. 2016, 2016, 6937976. [Google Scholar] [CrossRef] [PubMed]
- Gauglitz, G.G.; Korting, H.C.; Pavicic, T.; Ruzicka, T.; Jeschke, M.G. Hypertrophic Scarring and Keloids: Pathomechanisms and Current and Emerging Treatment Strategies. Mol. Med. 2011, 17, 113–125. [Google Scholar] [CrossRef] [PubMed]
- Otvos, L.; Haspinger, E.; La Russa, F.; Maspero, F.; Graziano, P.; Kovalszky, I.; Lovas, S.; Nama, K.; Hoffmann, R.; Knappe, D.; et al. Design and Development of a Peptide-Based Adiponectin Receptor Agonist for Cancer Treatment. BMC. Biotechnol. 2011, 11, 90. [Google Scholar] [CrossRef] [PubMed]
- Brochu-Gaudreau, K.; Rehfeldt, C.; Blouin, R.; Bordignon, V.; Murphy, B.D.; Palin, M.F. Adiponectin Action from Head to Toe. Endocrine 2010, 37, 11–32. [Google Scholar] [CrossRef]
- Yamauchi, T.; Kamon, J.; Minokoshi, Y.; Ito, Y.; Waki, H.; Uchida, S.; Yamashita, S.; Noda, M.; Kita, S.; Ueki, K.; et al. Adiponectin Stimulates Glucose Utilization and Fatty-Acid Oxidation by Activating AMP-Activated Protein Kinase. Nat. Med. 2002, 8, 1288–1295. [Google Scholar] [CrossRef]
- Deepa, S.S.; Zhou, L.; Ryu, J.; Wang, C.; Mao, X.; Li, C.; Zhang, N.; Musi, N.; DeFronzo, R.A.; Liu, F.; et al. APPL1 Mediates Adiponectin-Induced LKB1 Cytosolic Localization Through the PP2A-PKCzeta Signaling Pathway. Mol. Endocrinol. 2011, 25, 1773–1785. [Google Scholar] [CrossRef]
- Achari, A.E.; Jain, S.K. Adiponectin, a Therapeutic Target for Obesity, Diabetes, and Endothelial Dysfunction. Int. J. Mol. Sci. 2017, 18, 1321. [Google Scholar] [CrossRef]
- Luo, L.; Li, J.; Liu, H.; Jian, X.; Zou, Q.; Zhao, Q.; Le, Q.; Chen, H.; Gao, X.; He, C. Adiponectin Is Involved in Connective Tissue Growth Factor-Induced Proliferation, Migration and Overproduction of the Extracellular Matrix in Keloid Fibroblasts. Int. J. Mol. Sci. 2017, 18, 1044. [Google Scholar] [CrossRef]
- Wu, X.; Motoshima, H.; Mahadev, K.; Stalker, T.J.; Scalia, R.; Goldstein, B.J. Involvement of AMP-Activated Protein Kinase in Glucose Uptake Stimulated by the Globular Domain of Adiponectin in Primary Rat Adipocytes. Diabetes 2003, 52, 1355–1363. [Google Scholar] [CrossRef] [PubMed]
- Wang, H.; Zhang, H.; Zhang, Z.; Huang, B.; Cheng, X.; Wang, D.; la Gahu, Z.; Xue, Z.; Da, Y.; Li, D.; et al. Adiponectin-Derived Active Peptide ADP355 Exerts Anti-Inflammatory and Antifibrotic Activities in Thioacetamide-Induced Liver Injury. Sci. Rep. 2016, 6, 19445. [Google Scholar] [CrossRef] [PubMed]
- Kumar, P.; Smith, T.; Rahman, K.; Thorn, N.E.; Anania, F.A. Adiponectin Agonist ADP355 Attenuates CCl4-Induced Liver Fibrosis in Mice. PLoS ONE 2014, 9, e110405. [Google Scholar] [CrossRef] [PubMed]
- Marangoni, R.G.; Masui, Y.; Fang, F.; Korman, B.; Lord, G.; Lee, J.; Lakota, K.; Wei, J.; Scherer, P.E.; Otvos, L.; et al. Adiponectin Is an Endogenous Antifibrotic Mediator and Therapeutic Target. Sci. Rep. 2017, 7, 4397. [Google Scholar] [CrossRef] [PubMed]
- Berman, B.; Maderal, A.; Raphael, B. Keloids and Hypertrophic Scars: Pathophysiology, Classification, and Treatment. Dermatol. Surg. 2017, 43 (Suppl. 1), S3–S18. [Google Scholar] [CrossRef]
- Martin, P.; Dickson, M.C.; Millan, F.A.; Akhurst, R.J. Rapid Induction and Clearance of TGF Beta 1 Is an Early Response to Wounding in the Mouse Embryo. Dev. Genet. 1993, 14, 225–238. [Google Scholar] [CrossRef]
- Babu, M.; Diegelmann, R.; Oliver, N. Keloid Fibroblasts Exhibit an Altered Response to TGF-Beta. J. Invest. Dermatol. 1992, 99, 650–655. [Google Scholar] [CrossRef]
- Wang, W.; Qu, M.; Xu, L.; Wu, X.; Gao, Z.; Gu, T.; Zhang, W.; Ding, X.; Liu, W.; Chen, Y.L. Sorafenib Exerts an Anti-Keloid Activity by Antagonizing TGF-Beta/Smad and MAPK/ERK Signaling Pathways. J. Mol. Med. (Berl.) 2016, 94, 1181–1194. [Google Scholar] [CrossRef]
- Ruan, C.-C.; Li, Y.; Ma, Y.; Zhu, D.-L.; Gao, P.-J. YIA 03–02 Adiponectin-Mediated Epithelial Autophagy Attenuates Hypertensive Renal Fibrosis. J. Hypertens. 2016, 34, e204. [Google Scholar] [CrossRef]
- Pepping, J.K.; Otvos, L., Jr.; Surmacz, E.; Gupta, S.; Keller, J.N.; Bruce-Keller, A.J. Designer Adiponectin Receptor Agonist Stabilizes Metabolic Function and Prevents Brain Injury Caused by HIV Protease Inhibitors. J. Neuroimmune Pharmacol. 2014, 9, 388–398. [Google Scholar] [CrossRef][Green Version]
- Fernández-Mayola, M.; Betancourt, L.; Molina-Kautzman, A.; Palomares, S.; Mendoza-Marí, Y.; Ugarte-Moreno, D.; Aguilera-Barreto, A.; Bermúdez-Álvarez, Y.; Besada, V.; González, L.J.; et al. Growth Hormone-Releasing peptide 6 Prevents Cutaneous Hypertrophic Scarring: Early Mechanistic Data from a Proteome Study. Int. Wound J. 2018, 15, 538–546. [Google Scholar] [CrossRef] [PubMed]
- Grek, C.L.; Montgomery, J.; Sharma, M.; Ravi, A.; Rajkumar, J.S.; Moyer, K.E.; Gourdie, R.G.; Ghatnekar, G.S. A Multicenter Randomized Controlled Trial Evaluating a Cx43-Mimetic Peptide in Cutaneous Scarring. J. Invest. Dermatol. 2017, 137, 620–630. [Google Scholar] [CrossRef] [PubMed]
- Zhao, B.M.; Hoffmann, F.M. Inhibition of Transforming Growth Factor-beta1-Induced Signaling and Epithelial-To-Mesenchymal Transition by the Smad-Binding Peptide Aptamer Trx-SARA. Mol. Biol. Cell 2006, 17, 3819–3831. [Google Scholar] [CrossRef] [PubMed]
- Mishra, R.; Cool, B.L.; Laderoute, K.R.; Foretz, M.; Viollet, B.; Simonson, M.S. AMP-Activated Protein Kinase Inhibits Transforming Growth Factor-Beta-Induced Smad3-Dependent Transcription and Myofibroblast Transdifferentiation. J. Biol. Chem. 2008, 283, 10461–10469. [Google Scholar] [CrossRef]
- Kretzschmar, M.; Doody, J.; Timokhina, I.; Massagué, J. A Mechanism of Repression of TGFbeta/ Smad Signaling by Oncogenic Ras. Genes Dev. 1999, 13, 804–816. [Google Scholar] [CrossRef]
- Marttala, J.; Andrews, J.P.; Rosenbloom, J.; Uitto, J. Keloids: Animal Models and Pathologic Equivalents to Study Tissue Fibrosis. Matrix Biol. 2016, 51, 47–54. [Google Scholar] [CrossRef]
- Kisiel, M.A.; Klar, A.S. Isolation and Culture of Human Dermal Fibroblasts; Böttcher-Haberzeth, S., Biedermann, T., Eds.; Skin Tissue Engineering: Methods and Protocols; Springer: New York, NY, USA, 2019; pp. 71–78. [Google Scholar]





© 2020 by the authors. Licensee MDPI, Basel, Switzerland. This article is an open access article distributed under the terms and conditions of the Creative Commons Attribution (CC BY) license (http://creativecommons.org/licenses/by/4.0/).
Share and Cite
Darmawan, C.C.; Montenegro, S.E.; Jo, G.; Kusumaningrum, N.; Lee, S.-H.; Chung, J.-H.; Mun, J.-H. Adiponectin-Based Peptide (ADP355) Inhibits Transforming Growth Factor-β1-Induced Fibrosis in Keloids. Int. J. Mol. Sci. 2020, 21, 2833. https://doi.org/10.3390/ijms21082833
Darmawan CC, Montenegro SE, Jo G, Kusumaningrum N, Lee S-H, Chung J-H, Mun J-H. Adiponectin-Based Peptide (ADP355) Inhibits Transforming Growth Factor-β1-Induced Fibrosis in Keloids. International Journal of Molecular Sciences. 2020; 21(8):2833. https://doi.org/10.3390/ijms21082833
Chicago/Turabian StyleDarmawan, Claudia C., Sara E. Montenegro, Gwanghyun Jo, Novi Kusumaningrum, Si-Hyung Lee, Jin-Ho Chung, and Je-Ho Mun. 2020. "Adiponectin-Based Peptide (ADP355) Inhibits Transforming Growth Factor-β1-Induced Fibrosis in Keloids" International Journal of Molecular Sciences 21, no. 8: 2833. https://doi.org/10.3390/ijms21082833
APA StyleDarmawan, C. C., Montenegro, S. E., Jo, G., Kusumaningrum, N., Lee, S.-H., Chung, J.-H., & Mun, J.-H. (2020). Adiponectin-Based Peptide (ADP355) Inhibits Transforming Growth Factor-β1-Induced Fibrosis in Keloids. International Journal of Molecular Sciences, 21(8), 2833. https://doi.org/10.3390/ijms21082833

