IL-35 and RANKL Synergistically Induce Osteoclastogenesis in RAW264 Mouse Monocytic Cells
Abstract
1. Introduction
2. Results
2.1. IL-35 Synergistically Induces RANKL-Dependent Osteoclastogenesis of RAW264 (RAW) Cells
2.2. IL-35 Synergistically Induces Activation of RANKL-Stimulated Osteoclasts
2.3. IL-35 Synergistically Induces Regulation of Osteoclastic Markers in RANKL-Stimulated RAW Cells
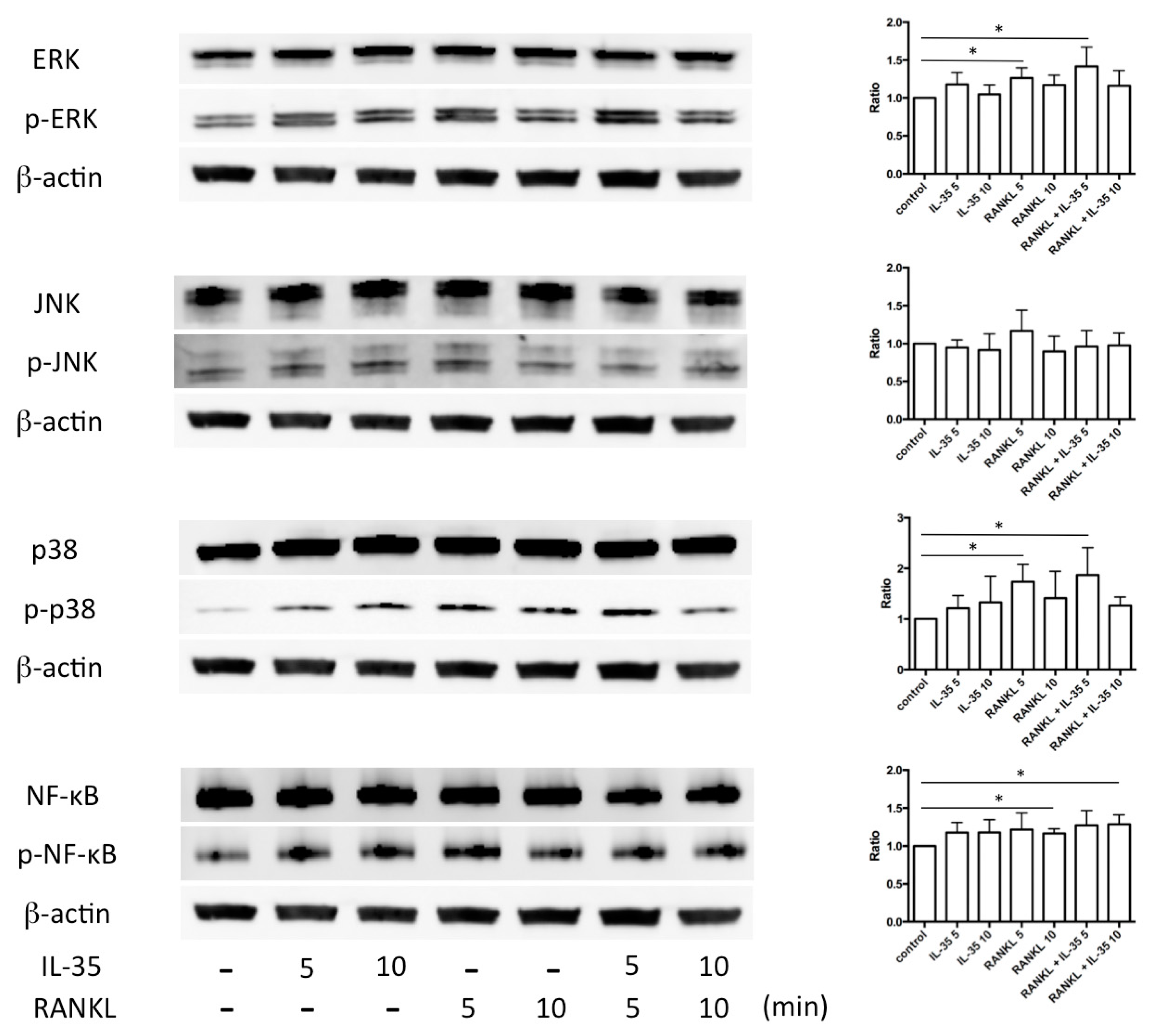
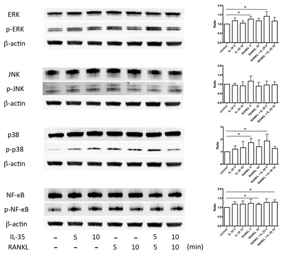
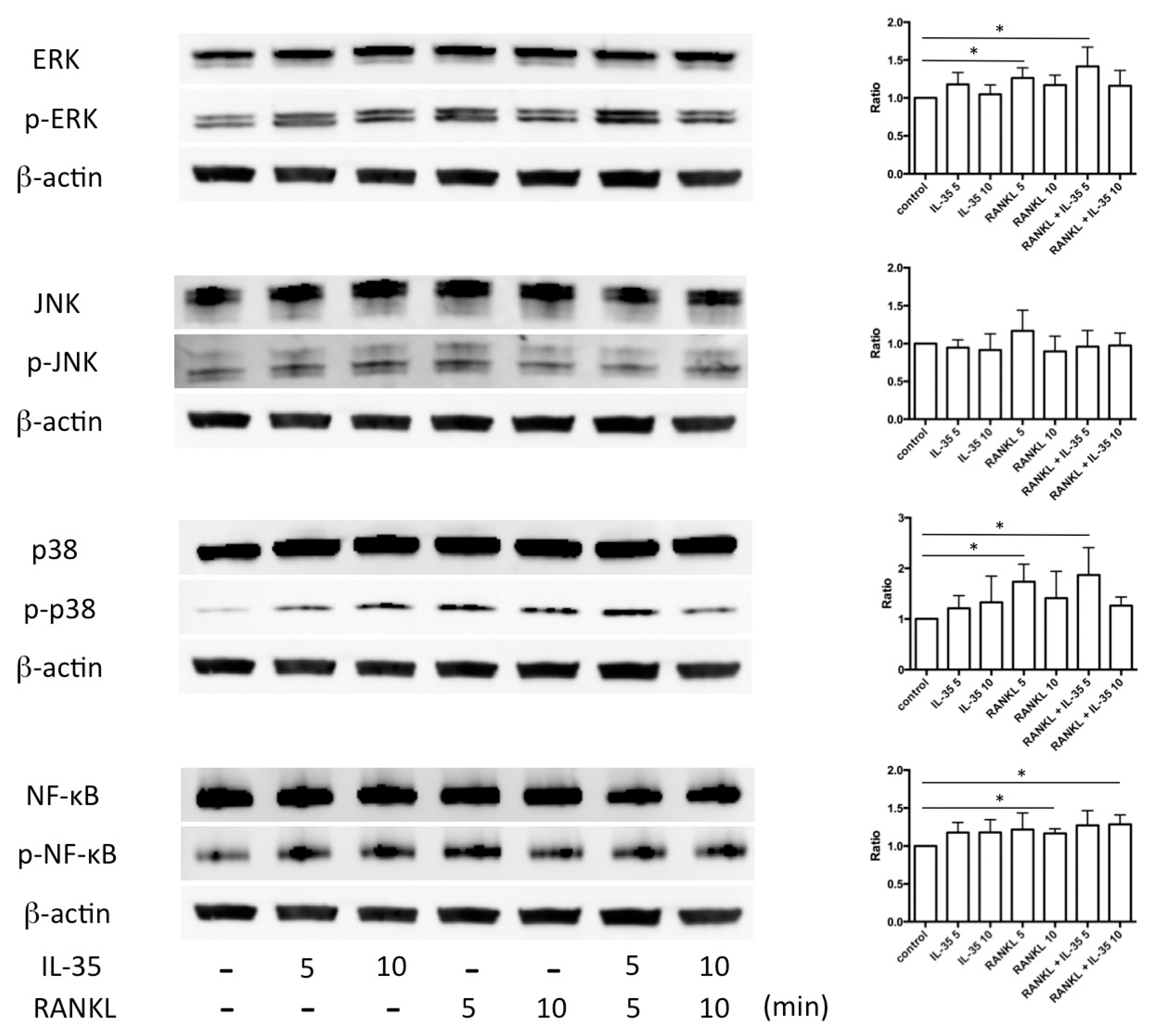
2.4. Signaling Pathways Associated with the Acceleration of RANKL-Dependent Osteoclastogenesis by IL-35
2.5. IL-35 May Enhance RANKL-Dependent Osteoclastogenesis via the ERK Signaling Pathway
3. Discussion
4. Materials and Methods
4.1. Cell Culture
4.2. TRAP Staining
4.3. Hydroxyapatite Resorption Assay
4.4. qPCR Analysis
4.5. Western Blot Analysis
4.6. Effects of MAPK and NF-κB Inhibitors on RANKL/IL-35-Dependent Osteoclastogenesis
4.7. Statistical Analysis
Author Contributions
Funding
Conflicts of Interest
Abbreviations
| NF | nuclear factor |
| RANKL | receptor activator of nuclear factor-κB ligand |
| OPG | osteoprotegerin |
| IL | interleukin |
| TH | T helper |
| Treg | regulatory T cell |
| EBI3 | Epstein–Barr virus induced 3 |
| GCF | gingival crevicular fluid |
| CP | chronic periodontitis |
| CIA | collagen-induced arthritis |
| RAW | RAW264 |
| TRAP | tartrate-resistant acid phosphate |
| qPCR | quantitative polymerase chain reaction |
| MMP | matrix metalloproteinase |
| NFAT | nuclear factor of activated T cells |
| CLCN7 | chloride channel 7 |
| ERK | extracellular signal-regulated kinase |
| JNK | c-jun N-terminal kinases |
| MAPK | mitogen-activated protein kinase |
| BMM | bone marrow derived-macrophage |
| CT | cycle threshold |
References
- Nakano, S.; Morimoto, S.; Suzuki, S.; Tsushima, H.; Yamanaka, K.; Sekigawa, I.; Takasaki, Y. Immunoregulatory role of IL-35 in T cells of patients with rheumatoid arthritis. Rheumatology (Oxf.) 2015, 54, 1498–1506. [Google Scholar] [CrossRef]
- Kalaitzoglou, E.; Griffin, T.M.; Humphrey, M.B. Innate Immune Responses and Osteoarthritis. Curr. Rheumatol. Rep. 2017, 19, 45. [Google Scholar] [CrossRef]
- De Martinis, M.; Sirufo, M.M.; Ginaldi, L. Osteoporosis: Current and emerging therapies targeted to immunological checkpoints. Curr. Med. Chem. 2019, 26, 1–16. [Google Scholar] [CrossRef]
- Mitani, A.; Niedbala, W.; Fujimura, T.; Mogi, M.; Miyamae, S.; Higuchi, N.; Abe, A.; Hishikawa, T.; Mizutani, M.; Ishihara, Y.; et al. Increased expression of interleukin (IL)-35 and IL-17, but not IL-27, in gingival tissues with chronic periodontitis. J. Periodontol. 2015, 86, 301–308. [Google Scholar] [CrossRef]
- Mbalaviele, G.; Novack, D.V.; Schett, G.; Teitelbaum, S.L. Inflammatory osteolysis: A conspiracy against bone. J. Clin. Investig. 2017, 127, 2030–2039. [Google Scholar] [CrossRef]
- Mori, G.; D’Amelio, P.; Faccio, R.; Brunetti, G. The Interplay between the bone and the immune system. Clin. Dev. Immunol. 2013, 2013, 720504. [Google Scholar] [CrossRef]
- Ciccarelli, F.; De Martinis, M.; Ginaldi, L. Glucocorticoids in patients with rheumatic diseases: Friends or enemies of bone? Curr Med. Chem 2015, 22, 596–603. [Google Scholar] [CrossRef]
- Takayanagi, H. Osteoimmunology and the effects of the immune system on bone. Nat. Rev. Rheumatol. 2009, 5, 667–676. [Google Scholar] [CrossRef]
- Kotake, S.; Udagawa, N.; Takahashi, N.; Matsuzaki, K.; Itoh, K.; Ishiyama, S.; Saito, S.; Inoue, K.; Kamatani, N.; Gillespie, M.T.; et al. IL-17 in synovial fluids from patients with rheumatoid arthritis is a potent stimulator of osteoclastogenesis. J. Clin. Investig. 1999, 103, 1345–1352. [Google Scholar] [CrossRef]
- Collison, L.W.; Vignali, D.A.A. Interleukin-35: Odd one out or part of the family? Immunol. Immunol. Rev. 2008, 226, 248–262. [Google Scholar] [CrossRef]
- Jones, L.L.; Vignali, D.A.A. Molecular interactions within the IL-6/IL-12 cytokine/receptor superfamily. Immunol. Res. 2011, 51, 5–14. [Google Scholar] [CrossRef]
- Hunter, C.A. New IL-12-family members: IL-23 and IL-27, cytokines with divergent functions. Nat. Rev. Immunol. 2005, 5, 521–531. [Google Scholar] [CrossRef]
- Kastelein, R.A.; Hunter, C.A.; Cua, D.J. Discovery and biology of IL-23 and IL-27: Related but functionally distinct regulators of inflammation. Annu. Rev. Immunol. 2007, 25, 221–242. [Google Scholar] [CrossRef]
- Langrish, C.L.; McKenzie, B.S.; Wilson, N.J.; Malefyt, R.D.W.; Kastelein, R.A.; Cua, D.J. IL-12 and IL-23: Master regulators of innate and adaptive immunity. Immunol. Rev. 2004, 202, 96–105. [Google Scholar] [CrossRef]
- Pflanz, S.; Timans, J.C.; Cheung, J.; Rosales, R.; Kanzler, H.; Gilbert, J.; Hibbert, L.; Churakova, T.; Travis, M.; Vaisberg, E.; et al. IL-27, a heterodimeric cytokine composed of EBI3 and p28 protein, induces proliferation of naive CD4 + T cells. Immunity 2002, 16, 779–790. [Google Scholar] [CrossRef]
- Catalan-Dibene, J.; McIntyre, L.L.; Zlotnik, A. Interleukin 30 to Interleukin 40. J. Interferon Cytokine Res. 2018, 38, 423–439. [Google Scholar] [CrossRef]
- Collison, L.W.; Delgoffe, G.M.; Guy, C.S.; Vignali, K.M.; Chaturvedi, V.; Fairweather, D.; Satoskar, A.R.; Garcia, K.C.; Hunter, C.A.; Drake, C.G.; et al. The composition and signaling of the IL-35 receptor are unconventional. Nat. Immunol. 2012, 13, 290–299. [Google Scholar] [CrossRef]
- Ning, X.; Jian, Z.; Wang, W. Low serum levels of interleukin 35 in patients with rheumatoid arthritis. Tohoku J. Exp. Med. 2015, 237, 77–82. [Google Scholar] [CrossRef]
- Li, Y.; Wang, Y.; Liu, Y.; Wang, Y.; Zuo, X.; Li, Y.; Lu, X. The possible role of the novel cytokines IL-35 and IL-37 in inflammatory bowel disease. Med. Inflamm. 2014, 2014, 136329. [Google Scholar] [CrossRef]
- Tomcik, M.; Zerr, P.; Palumbo-Zerr, K.; Storkanova, H.; Hulejova, H.; Spiritovic, M.; Kodet, O.; Stork, J.; Becvar, R.; Vencovsky, J.; et al. Interleukin-35 is upregulated in systemic sclerosis and its serum levels are associated with early disease. Rheumatology (Oxf.) 2015, 54, 2273–2282. [Google Scholar] [CrossRef]
- Chen, C.; Deng, Y.; Chen, H.; Wu, X.; Cheng, S.; Xu, Y.; Xiong, W.; Xie, J. Decreased concentration of IL-35 in plasma of patients with asthma and COPD. Asian Pac. J. Allergy Immunol. 2014, 32, 211–217. [Google Scholar]
- Sakkas, L.I.; Mavropoulos, A.; Perricone, C.; Bogdanos, D.P. IL-35: A new immunomodulator in autoimmune rheumatic diseases. Immunol. Res. 2018, 66, 305–312. [Google Scholar] [CrossRef]
- Jing, L.; Kim, S.; Sun, L.; Wang, L.; Mildner, E.; Divaris, K.; Jiao, Y.; Offenbacher, S. IL-37- and IL-35/IL-37-Producing Plasma Cells in Chronic Periodontitis. J. Dent. Res. 2019, 98, 813–821. [Google Scholar] [CrossRef]
- Niedbala, W.; Wei, X.-q.; Cai, B.; Hueber, A.J.; Leung, B.P.; McInnes, I.B.; Liew, F.Y. IL-35 is a novel cytokine with therapeutic effects against collagen-induced arthritis through the expansion of regulatory T cells and suppression of Th17 cells. Eur. J. Immunol. 2007, 37, 3021–3029. [Google Scholar] [CrossRef]
- Quan, G.-H.; Wang, H.; Cao, J.; Zhang, Y.; Wu, D.; Peng, Q.; Liu, N. Calycosin Suppresses RANKL-Mediated Osteoclastogenesis through Inhibition of MAPKs and NF-κB. Int. J. Mol. Sci. 2015, 16, 29496–29507. [Google Scholar] [CrossRef]
- Li, H.; Wang, J.; Sun, Q.; Chen, G.; Sun, S.; Ma, X.; Qiu, H.; Liu, X.; Xu, L.; Liu, M. Jatrorrhizine Hydrochloride Suppresses RANKL-Induced Osteoclastogenesis and Protects against Wear Particle-Induced Osteolysis. Int. J. Mol. Sci. 2018, 19, 3698. [Google Scholar] [CrossRef]
- Logar, D.B.; Komadina, R.; Preželj, J.; Ostanek, B.; Trošt, Z.; Marc, J. Expression of bone resorption genes in osteoarthritis and in osteoporosis. J. Bone Miner. Metab. 2007, 25, 219–225. [Google Scholar] [CrossRef]
- Okabe, I.; Kikuchi, T.; Mogi, M.; Takeda, H.; Aino, M.; Kamiya, Y.; Fujimura, T.; Goto, H.; Okada, K.; Hasegawa, Y.; et al. IL-15 and RANKL Play a Synergistically Important Role in Osteoclastogenesis. J. Cell. Biochem. 2017, 118, 739–747. [Google Scholar] [CrossRef]
- Yago, T.; Nanke, Y.; Ichikawa, N.; Kobashigawa, T.; Mogi, M.; Kamatani, N.; Kotake, S. IL-17 induces osteoclastogenesis from human monocytes alone in the absence of osteoblasts, which is potently inhibited by anti-TNF-alpha antibody: A novel mechanism of osteoclastogenesis by IL-17. J. Cell. Biochem. 2009, 108, 947–955. [Google Scholar] [CrossRef]
- Matsumoto, M.; Sudo, T.; Saito, T.; Osada, H.; Tsujimoto, M. Involvement of p38 mitogen-activated protein kinase signaling pathway in osteoclastogenesis mediated by receptor activator of NF-κ B ligand (RANKL). J. Biol. Chem. 2000, 275, 31155–31161. [Google Scholar] [CrossRef]
- Li, X.; Udagawa, N.; Itoh, K.; Suda, K.; Murase, Y.; Nishihara, T.; Suda, T.; Takahashi, N. P38 MAPK-mediated signals are required for inducing osteoclast differentiation but not for osteoclast function. Endocrinology 2002, 143, 3105–3113. [Google Scholar] [CrossRef]
- Peng, S.; Zhang, Y.; Zhang, J.; Wang, H.; Ren, B. ERK in learning and memory: A review of recent research. Int. J. Mol. Sci. 2010, 11, 222–232. [Google Scholar] [CrossRef]
- Yokota, K.; Sato, K.; Miyazaki, T.; Kitaura, H.; Kayama, H.; Miyoshi, F.; Araki, Y.; Akiyama, Y.; Takeda, K.; Mimura, T. Combination of tumor necrosis factor α and interleukin-6 induces mouse osteoclast-like cells with bone resorption activity both in vitro and in vivo. Arthritis Rheumatol. 2014, 66, 121–129. [Google Scholar] [CrossRef]
- Schaper, F.; Gendo, C.; Eck, M.; Schmitz, J.; Grimm, C.; Anhuf, D.; Kerr, I.M.; Heinrich, P.C. Activation of the protein tyrosine phosphatase SHP2 via the interleukin-6 signal transducing receptor protein gp130 requires tyrosine kinase Jak1 and limits acute-phase protein expression. Biochem. J. 1998, 335, 557–565. [Google Scholar] [CrossRef]
- Sasaki, T.; Kojima, H.; Kishimoto, R.; Ikeda, A.; Kunimoto, H.; Nakajima, K. Spatiotemporal Regulation of c-Fos by ERK5 and the E3 Ubiquitin Ligase UBR1, and Its Biological Role. Mol. Cell 2006, 24, 63–75. [Google Scholar] [CrossRef]
- Takayanagi, H.; Kim, S.; Koga, T.; Nishina, H.; Isshiki, M.; Yoshida, H.; Saiura, A.; Isobe, M.; Yokochi, T.; Inoue, J.; et al. Induction and activation of the transcription factor NFATc1 (NFAT2) integrate RANKL signaling in terminal differentiation of osteoclasts. Dev. Cell 2002, 3, 889–901. [Google Scholar] [CrossRef]
- Peng, M.; Wang, Y.; Qiang, L.; Xu, Y.; Li, C.; Li, T.; Zhou, X.; Xiao, M.; Wang, J. Interleukin-35 Inhibits TNF-α-Induced Osteoclastogenesis and Promotes Apoptosis via Shifting the Activation from TNF Receptor-Associated Death Domain (TRADD)-TRAF2 to TRADD-Fas-Associated Death Domain by JAK1/STAT1. Front. Immunol. 2018, 9, 1417. [Google Scholar] [CrossRef]
- Takeda, H.; Kikuchi, T.; Soboku, K.; Okabe, I.; Mizutani, H.; Mitani, A.; Ishihara, Y.; Noguchi, T. Effect of IL-15 and natural killer cells on osteoclasts and osteoblasts in a mouse coculture. Inflammation 2014, 37, 657–669. [Google Scholar] [CrossRef]
- Yago, T.; Nanke, Y.; Kawamoto, M.; Kobashigawa, T.; Yamanaka, H.; Kotake, S. IL-35 inhibits human osteoclastogenesis from monocytes induced by receptor-activator of NF-κB ligand. Cent. Eur. J. Immunol. 2018, 43, 148–154. [Google Scholar] [CrossRef]
- Of men, not mice. Nat. Med. 2013, 19, 379. [CrossRef][Green Version]
- Liu, D.X.; Jin, Y.; Lin, X.P. Expression and correlation of IL-35 in gingival crevicular fluid and serum with chronic periodontitis. Shanghai Kou Qiang Yi Xue 2015, 24, 455–459. [Google Scholar] [PubMed]
- Raj, S.C.; Panda, S.M.; Dash, M.; Patnaik, K.; Mohanty, D.; Katti, N.; Mahapatra, A.; Mishra, D.; Praharaj, K. Association of Human Interleukin-35 Level in Gingival Crevicular Fluid and Serum in Periodontal Health, Disease, and after Nonsurgical Therapy: A Comparative Study. Contemp Clin Dent. 2018, 9, 293–297. [Google Scholar] [CrossRef] [PubMed]
- Jin, Y.; Liu, D.; Lin, X. IL-35 may maintain homeostasis of the immune microenvironment in periodontitis. Exp. Ther. Med. 2017, 14, 5605–5610. [Google Scholar] [CrossRef] [PubMed][Green Version]
- Li, Y.; Li, D.J.; Wu, S.; Jiang, S.Y.; Lin, T.; Xia, L.; Shen, H.; Lu, J. Interleukin-35 upregulates OPG and inhibits RANKL in mice with collagen-induced arthritis and fibroblast-like synoviocytes. Osteoporos. Int 2016, 27, 1537–1546. [Google Scholar] [CrossRef] [PubMed]
- Thiolat, A.; Denys, A.; Petit, M.; Biton, J.; Lemeiter, D.; Herve, R.; Lutomski, D.; Boissier, M.C.; Bessis, N. Interleukin-35 gene therapy exacerbates experimental rheumatoid arthritis in mice. Cytokine 2014, 69, 87–93. [Google Scholar] [CrossRef]
- Kuo, J.; Nardelli, D.T.; Warner, T.F.; Callister, S.M.; Schell, R.F. Interleukin-35 enhances Lyme arthritis in Borrelia-vaccinated and -infected mice. Clin. Vaccine Immunol. 2011, 18, 1125–1132. [Google Scholar] [CrossRef]
- Ralph, P.; Nakoinz, I. Antibody-dependent killing of erythrocyte and tumor targets by macrophage-related cell lines: Enhancement by PPD and LPS. J. Immunol. 1977, 119, 950–954. [Google Scholar]
- Kartner, N.; Yao, Y.; Li, K.; Crasto, G.J.; Datti, A.; Manolson, M.F. Inhibition of osteoclast bone resorption by disrupting vacuolar H + -ATPase a3-B2 subunit interaction. J. Biol. Chem. 2010, 285, 37476–37490. [Google Scholar] [CrossRef]





© 2020 by the authors. Licensee MDPI, Basel, Switzerland. This article is an open access article distributed under the terms and conditions of the Creative Commons Attribution (CC BY) license (http://creativecommons.org/licenses/by/4.0/).
Share and Cite
Kamiya, Y.; Kikuchi, T.; Goto, H.; Okabe, I.; Takayanagi, Y.; Suzuki, Y.; Sawada, N.; Okabe, T.; Suzuki, Y.; Kondo, S.; et al. IL-35 and RANKL Synergistically Induce Osteoclastogenesis in RAW264 Mouse Monocytic Cells. Int. J. Mol. Sci. 2020, 21, 2069. https://doi.org/10.3390/ijms21062069
Kamiya Y, Kikuchi T, Goto H, Okabe I, Takayanagi Y, Suzuki Y, Sawada N, Okabe T, Suzuki Y, Kondo S, et al. IL-35 and RANKL Synergistically Induce Osteoclastogenesis in RAW264 Mouse Monocytic Cells. International Journal of Molecular Sciences. 2020; 21(6):2069. https://doi.org/10.3390/ijms21062069
Chicago/Turabian StyleKamiya, Yosuke, Takeshi Kikuchi, Hisashi Goto, Iichiro Okabe, Yuhei Takayanagi, Yuki Suzuki, Noritaka Sawada, Teppei Okabe, Yuki Suzuki, Shun Kondo, and et al. 2020. "IL-35 and RANKL Synergistically Induce Osteoclastogenesis in RAW264 Mouse Monocytic Cells" International Journal of Molecular Sciences 21, no. 6: 2069. https://doi.org/10.3390/ijms21062069
APA StyleKamiya, Y., Kikuchi, T., Goto, H., Okabe, I., Takayanagi, Y., Suzuki, Y., Sawada, N., Okabe, T., Suzuki, Y., Kondo, S., Hayashi, J.-i., & Mitani, A. (2020). IL-35 and RANKL Synergistically Induce Osteoclastogenesis in RAW264 Mouse Monocytic Cells. International Journal of Molecular Sciences, 21(6), 2069. https://doi.org/10.3390/ijms21062069

