Molecular Aspects of Thyroid Calcification
Abstract
1. Introduction
2. Types of Calcification in Thyroid
2.1. Microcalcifications: Psammoma Bodies (PBs)
2.2. Macrocalcifications
2.2.1. Eggshell, Annular, or Rim-Like Calcifications
2.2.2. Coarse Macrocalcifications
3. Calcification in Different Types of Thyroid Cancer
4. Cellular and Molecular Mechanisms for Calcification in Thyroid Tissues
4.1. Runt-related Transcription Factor -2 (Runx-2)
4.2. Secreted Protein Acidic and Rich in Cysteine (SPARC)
4.3. Alkaline Phosphatase (ALP)
4.4. Bone Sialoprotein (BSP)
4.5. Roles of OPN in Mineralization and Related-pathological Conditions
5. Conclusion/Future Prospects
Author Contributions
Funding
Conflicts of Interest
Abbreviations
| ATA | American Thyroid Association |
| ACR | American College of Radiology |
| ACCP | Amorphous carbonated calcium phosphate |
| ALP | Alkaline phosphatase |
| BSP | Bone sialoprotein |
| CA | Carbonated calcium apatite |
| Cbfa 1 | Core binding factor-1 |
| CCL | Chemokine ligand |
| CD44 | Cluster of differentiation 44 |
| CPPD | Calcium pyrophosphate dihydrate |
| CT | Computed tomography |
| DC | Dystrophic calcification |
| DSVPTC | Diffuse sclerosing variant of papillary thyroid carcinoma |
| ECM | Extracellular matrix |
| EMT | Epithelial–mesenchymal transition |
| EV | Extracellular vesicles |
| FNA | Fine needle aspiration |
| FTC | Follicular thyroid cancer |
| FVPTC | Follicular variant of papillary thyroid carcinoma |
| Gal-3 | Galectin-3 |
| HA | Hydroxyapatite |
| HOXA9 | Homeobox family A9 |
| IgG | Immunoglobulin G |
| iNOS | Nitric oxid synthase |
| LCNEC | Large-cell neuroendocrine carcinoma |
| LPV | Leucine/proline/valine |
| M1 | Macrophage type 1 |
| MAPK/ERK | Mitogen-activated protein kinase kinase/ extracellular-signal-regulated kinase |
| M-CSF | Monocyte colony stimulating factor |
| MMP | Metalloproteinase |
| MTC | Medullary thyroid carcinoma |
| MV | Matrix vesicles |
| MVFPTC | Macrofollicular variant of papillary thyroid carcinoma |
| MRI | Magnetic resonance imaging |
| mRNA | Messenger ribonucleic acid |
| OCN | Osteocalcin |
| OPN | Osteopontin |
| OPN-SV | Osteopontin splice variants |
| PB | Psammoma bodies |
| PTC | Papillary thyroid carcinoma |
| PTM | Post-translational modification |
| RGD | Arginine/glycine/aspartate |
| Runx-2 | Runt-related transcription factor-2 |
| SIBLING | Small integrin-binding ligand N-linked glycoprotein |
| SNAI | Snail family transcriptional repressor |
| SPP1 | Secreted phosphoprotein 1 |
| SVVYGLR | Serine/valine/valine/tyrosine/glutamic acid/leucine/arginine |
| SPARC | Secreted protein acidic and rich in cysteine |
| TAM | Tumor-associated macrophage |
| TF | Transcription factor |
| TN | Thyroid nodule |
| TNF | Tumor necrosis factor |
| TIRADS | Thyroid Image Reporting And Data System |
| TWIST | Twist-related protein |
| US | Ultrasound |
| VEGF | Vascular endothelial growth factor |
References
- Cooper, D.S.; Doherty, G.M.; Haugen, B.R.; Kloos, R.T.; Lee, S.L.; Mandel, S.J.; Mazzaferri, E.L.; McIver, B.; Pacini, F.; Schlumberger, M.; et al. Revised American Thyroid Association Management Guidelines for Patients with Thyroid Nodules and Differentiated Thyroid Cancer. Thyroid 2009, 19, 1167–1214. [Google Scholar] [CrossRef]
- Guth, S.; Theune, U.; Aberle, J.; Galach, A.; Bamberger, C.M. Very high prevalence of thyroid nodules detected by high frequency (13 MHz) ultrasound examination. Eur. J. Clin. Investig. 2009, 39, 699–706. [Google Scholar] [CrossRef]
- Marqusee, E.; Benson, C.B.; Frates, M.C.; Doubilet, P.M.; Larsen, P.R.; Cibas, E.S.; Mandel, S.J. Usefulness of ultrasonography in the management of nodular thyroid disease. Ann. Intern. Med. 2000, 133, 696–700. [Google Scholar] [CrossRef]
- Singer, P.A.; Cooper, D.S.; Daniels, G.H.; Ladenson, P.W.; Greenspan, F.S.; Levy, E.G.; Braverman, L.E.; Clark, O.H.; McDougall, I.R.; Ain, K.V.; et al. Treatment Guidelines for Patients With Thyroid Nodules and Well-Differentiated Thyroid Cancer. Arch. Intern. Med. 1996, 156, 2165–2172. [Google Scholar] [CrossRef] [PubMed]
- Desforges, J.F.; Mazzaferri, E.L. Management of a Solitary Thyroid Nodule. N. Engl. J. Med. 1993, 328, 553–559. [Google Scholar] [CrossRef] [PubMed]
- Tan, G.H. Thyroid Incidentalomas: Management Approaches to Nonpalpable Nodules Discovered Incidentally on Thyroid Imaging. Ann. Intern. Med. 1997, 126, 226–231. [Google Scholar] [CrossRef] [PubMed]
- Smith-Bindman, R.; Lebda, P.; Feldstein, V.A.; Sellami, D.; Goldstein, R.B.; Brasic, N.; Jin, C.; Kornak, J. Risk of Thyroid Cancer Based on Thyroid Ultrasound Imaging Characteristics. JAMA Intern. Med. 2013, 173, 1788–1796. [Google Scholar] [CrossRef]
- Nam-Goong, I.S.; Kim, H.Y.; Gong, G.; Lee, H.K.; Shong, Y.K.; Kim, W.B. Ultrasonography-guided fine-needle aspiration of thyroid incidentaloma: Correlation with pathological findings. Clin. Endocrinol. 2004, 60, 21–28. [Google Scholar] [CrossRef]
- Durante, C.; Grani, G.; Lamartina, L.; Filetti, S.; Mandel, S.J.; Cooper, D.S. The Diagnosis and Management of Thyroid Nodules. JAMA 2018, 319, 914–924. [Google Scholar] [CrossRef]
- Brito, J.P.; Ito, Y.; Miyauchi, A.; Tuttle, R.M. A Clinical Framework to Facilitate Risk Stratification When Considering an Active Surveillance Alternative to Immediate Biopsy and Surgery in Papillary Microcarcinoma. Thyroid 2016, 26, 144–149. [Google Scholar] [CrossRef]
- Brito, J.P.; Gionfriddo, M.R.; Al Nofal, A.; Boehmer, K.R.; Leppin, A.L.; Reading, C.; Callstrom, M.; Elraiyah, T.A.; Prokop, L.J.; Stan, M.N.; et al. The Accuracy of Thyroid Nodule Ultrasound to Predict Thyroid Cancer: Systematic Review and Meta-Analysis. J. Clin. Endocrinol. Metab. 2014, 99, 1253–1263. [Google Scholar] [CrossRef] [PubMed]
- Campanella, P.; Ianni, F.; Rota, C.A.; Corsello, S.M.; Pontecorvi, A. Diagnosis in endocrinology: Quantification of cancer risk of each clinical and ultrasonographic suspicious feature of thyroid nodules: A systematic review and meta-analysis. Eur. J. Endocrinol. 2014, 170, 203–211. [Google Scholar] [CrossRef] [PubMed]
- Tumino, D.; Grani, G.; Di Stefano, M.; Di Mauro, M.; Scutari, M.; Rago, T.; Fugazzola, L.; Castagna, M.G.; Maino, F. Nodular Thyroid Disease in the Era of Precision Medicine. Front. Endocrinol. 2020, 10, 907. [Google Scholar] [CrossRef] [PubMed]
- Lu, Z.; Mu, Y.; Zhu, H.; Luo, Y.; Kong, Q.; Dou, J.; Lu, J. Clinical Value of Using Ultrasound to Assess Calcification Patterns in Thyroid Nodules. World J. Surg. 2010, 35, 122–127. [Google Scholar] [CrossRef]
- Chen, G.; Zhu, X.; Zou, X.; Yao, J.; Liang, J.; Huang, H.; Li, L.; Lin, L. Retrospective Analysis of Thyroid Nodules by Clinical and Pathological Characteristics, and Ultrasonographically Detected Calcification Correlated to Thyroid Carcinoma in South China. Eur. Surg. Res. 2009, 42, 137–142. [Google Scholar] [CrossRef]
- Kim, D.; Choi, Y.S.; Kwon, H.J.; Lee, J.S.; Heo, J.J.; Han, Y.J.; Park, Y.-H.; Kim, J.H. Relationship between patterns of calcification in thyroid nodules and histopathologic findings. Endocr. J. 2012, 60, 155–160. [Google Scholar] [CrossRef]
- Grant, E.G.; Tessler, F.N.; Hoang, J.K.; Langer, J.E.; Beland, M.D.; Berland, L.L.; Cronan, J.J.; Desser, T.S.; Frates, M.C.; Hamper, U.M.; et al. Thyroid Ultrasound Reporting Lexicon: White Paper of the ACR Thyroid Imaging, Reporting and Data System (TIRADS) Committee. J. Am. Coll. Radiol. 2015, 12, 1272–1279. [Google Scholar] [CrossRef]
- Shimizu, M.; Hirokawa, M.; Kanahara, T.; Manabe, T. Calcium Oxalate Crystals in Thyroid Fine Needle Aspiration Cytology. Acta Cytol. 1999, 43, 575–578. [Google Scholar] [CrossRef]
- Wahl, R.; Fuchs, R.; Kallee, E. Oxalate in the Human Thyroid Gland. Clin. Chem. Lab. Med. 1993, 31, 559–565. [Google Scholar] [CrossRef][Green Version]
- Aribas, B.; Arda, K.; Ciledag, N.; Aktas, E.; Çetindag, M.F. Predictive factors for detecting malignancy in central and lateral cervical lymph nodes in papillary carcinoma of the thyroid. Asia Pac. J. Clin. Oncol. 2011, 7, 307–314. [Google Scholar] [CrossRef]
- Beland, M.D.; Kwon, L.; DeLellis, R.A.; Cronan, J.J.; Grant, E.G. Nonshadowing Echogenic Foci in Thyroid Nodules. J. Ultrasound Med. 2011, 30, 753–760. [Google Scholar] [CrossRef] [PubMed]
- Malhi, H.; Beland, M.D.; Cen, S.Y.; Allgood, E.; Daley, K.; Martin, S.E.; Cronan, J.J.; Grant, E.G. Echogenic Foci in Thyroid Nodules: Significance of Posterior Acoustic Artifacts. Am. J. Roentgenol. 2014, 203, 1310–1316. [Google Scholar] [CrossRef]
- Kobayashi, K.; Fujimoto, T.; Ota, H.; Hirokawa, M.; Yabuta, T.; Masuoka, H.; Fukushima, M.; Higashiyama, T.; Kihara, M.; Ito, Y.; et al. Calcifications in Thyroid Tumors on Ultrasonography: Calcification Types and Relationship with Histopathological Type. Ultrasound Int. Open 2018, 4, 45–51. [Google Scholar] [CrossRef] [PubMed]
- Yin, L.; Zhang, W.; Bai, W.; Ning, B. Relationship Between Morphologic Characteristics of Ultrasonic Calcification in Thyroid Nodules and Thyroid Carcinoma. Ultrasound Med. Biol. 2020, 46, 20–25. [Google Scholar] [CrossRef] [PubMed]
- Kim, B.K.; Lee, E.M.; Kim, J.H.; Oak, S.Y.; Kwon, S.K.; Choi, Y.S.; Kim, Y.O. Relationship between ultrasonographic and pathologic calcification patterns in papillary thyroid cancer. Medicine 2018, 97, 12675. [Google Scholar] [CrossRef] [PubMed]
- Lacout, A.; Chevenet, C.; Thariat, J.; Marcy, P.-Y. Thyroid calcifications: A pictorial essay. J. Clin. Ultrasound 2016, 44, 245–251. [Google Scholar] [CrossRef]
- Johannessen, J.V.; Sobrinho-Simões, M. The origin and significance of thyroid psammoma bodies. Lab. Investig. 1980, 43, 287–296. [Google Scholar] [PubMed]
- O’rell, S.R.; Philips, J. Fine-Needle Biopsy and Cytological Diagnosis of Thyroid Lesions. Monographs in Clinical Cytology; Karger: Basel, Switzerland, 1997; Volume 14. [Google Scholar]
- Bai, Y.; Zhou, G.; Nakamura, M.; Ozaki, T.; Mori, I.; Taniguchi, E.; Miyauchi, A.; Ito, Y.; Kakudo, K. Survival impact of psammoma body, stromal calcification, and bone formation in papillary thyroid carcinoma. Mod. Pathol. 2009, 22, 887–894. [Google Scholar] [CrossRef] [PubMed]
- Cotran, R.S.; Kumar, V.; Collins, T.; Robbins, S.L. Pathologic Basis of Disease; W.B. Saunders Co.&Harcourt Asia Pte Ltd.: Noida, India, 1999; Volume 44. [Google Scholar]
- Majno, G.; Joris, I. Cells, Tissues, and Disease: Principle of General Pathology; Blackwell Science: Cambridge, MA, USA, 1996. [Google Scholar]
- Nicolás, M.C. Meningiomas: Morphologic and ultrastructural characteristics of psammoma bodies. Arch. Neurobiol. 1992, 55, 256–261. [Google Scholar]
- Tabuchi, K.; Kawakami, Y.; Nishimoto, A. Immunohistochemical demonstration of IgG in meningioma. Acta Neurochir. 1981, 55, 201–211. [Google Scholar] [CrossRef]
- Klinck, G.H.; Winship, T. Psammoma bodies and thyroid cancer. Cancer 1959, 12, 656–662. [Google Scholar] [CrossRef]
- Cai, Y.-F.; Wang, Q.-X.; Ni, C.-J.; Guo, G.-L.; Li, Q.; Wang, O.-C.; Wu, L.; Du, H.-Y.; You, J.; Zhang, X.-H. The Clinical Relevance of Psammoma Body and Hashimoto Thyroiditis in Papillary Thyroid Carcinoma. Medicine 2015, 94, 1881. [Google Scholar] [CrossRef]
- Carneiro, S.S.; Scheithauer, B.W.; Nascimento, A.G.; Hirose, T.; Davis, D.H. Solitary Fibrous Tumor of the Meninges: A Lesion Distinct From Fibrous Meningioma:A Clinicopathologic and Immunohistochemical Study. Am. J. Clin. Pathol. 1996, 106, 217–224. [Google Scholar] [CrossRef] [PubMed]
- Robboy, S.J.; Dugan, M.A.; Kurmann, R.J. The Female Reproductive System, 3rd ed.; Lippincott-Raven: Philadelphia, PA, USA, 1999. [Google Scholar]
- Warner, T.F.; Baron, J.J.; Mallin, S.R.; Golding, J.L. Intestinal development in insulinoma containing Psammoma bodies. Recapitulation of ultrastructural features. Arch. Pathol. Lab. Med. 1980, 104, 432–437. [Google Scholar]
- Lack, E.A.; Farber, J.L.; Rubin, E. The Endocrine System, 3rd ed.; Lippincott-Raven: Philadelphia, PA, USA, 1999. [Google Scholar]
- Cameron, R.I. Extensive psammomatous calcification of the uterus and cervix associated with a uterine serous carcinoma. J. Clin. Pathol. 2004, 57, 888–890. [Google Scholar] [CrossRef]
- Seltzer, V.; Spitzer, M. Psammoma Bodies in Papillary Adenocarcinoma of the Endocervix. Int. J. Gynecol. Pathol. 1983, 2, 216–221. [Google Scholar] [CrossRef] [PubMed]
- Yamada, S.; Sanefuji, H.; Morimoto, H.; Harada, Y.; Mine, S.; Morimoto, I.; Eto, S. Parathyroid hormone-related peptide producing cholangiocellular carcinoma with a marked psammoma formation. J. Gastroenterol. Hepatol. 2000, 15, 1442–1446. [Google Scholar] [CrossRef]
- Cohen, R.J.; Weinstein, S.; Robertson, T.; Sellner, L.N.; Dawkins, H.J.; McNeal, J.E. Variant chromophobe renal cell carcinoma. Arch. Pathol. Lab. Med. 2000, 124, 904–906. [Google Scholar] [PubMed]
- Piura, B.; Rabinovich, A.; Yanai-Inbar, I. Psammomacarcinoma of the peritoneum. Eur. J. Obstet. Gynecol. Reprod. Biol. 2001, 97, 231–234. [Google Scholar] [CrossRef]
- Carcangiu, M.L.; Zampi, G.; Rosai, J. Papillary thyroid carcinoma: A study of its many morphologic expressions and clinical correlates. Pathol. Annu. 1985, 20, 1–44. [Google Scholar]
- Fiorella, R.M.; Isley, W.; Miller, L.K.; Kragel, P.J. Multinodular goiter of the thyroid mimicking malignancy: Diagnostic pitfalls in fine-needle aspiration biopsy. Diagn. Cytopathol. 1993, 9, 351–357. [Google Scholar] [CrossRef] [PubMed]
- Cooper, D.S.; Tiamson, E.; Ladenson, P.W. Psammoma bodies in fine needle aspiration biopsies of benign thyroid nodules. Thyroidology 1988, 1, 55–59. [Google Scholar]
- Riazmontazer, N.; Bedayat, G. Psammoma bodies in fine needle aspirates from thyroids containing nontoxic hyperplastic nodular goiters. Acta Cytol. 1991, 35, 563–566. [Google Scholar]
- Dugan, J.M.; Atkinson, B.F.; Avitabile, A.; Schimmel, M.; LiVolsi, A.V. Psammoma bodies in fine needle aspirate of the thyroid in lymphocytic thyroiditis. Acta Cytol. 1987, 31, 330–334. [Google Scholar]
- Lindsay, S. The pathology of the nodular goiter. Calif Med. 1949, 71, 207. [Google Scholar] [PubMed]
- Taki, S.; Terahata, S.; Yamashita, R.; Kinuya, K.; Nobata, K.; Kakuda, K.; Kodama, Y.; Yamamoto, I. Thyroid calcifications. Clin. Imaging 2004, 28, 368–371. [Google Scholar] [CrossRef]
- Park, Y.J.; Kim, J.-A.; Son, E.J.; Youk, J.H.; Kim, E.-K.; Kwak, J.Y.; Park, C.S. Thyroid Nodules with Macrocalcification: Sonographic Findings Predictive of Malignancy. Yonsei Med. J. 2014, 55, 339–344. [Google Scholar] [CrossRef] [PubMed]
- Park, C.H.; Rothermel, F.J.; Judge, D.M. Unusual Calcification in Mixed Papillary and Follicular Carcinoma of the Thyroid Gland. Radiology 1976, 119, 554. [Google Scholar] [CrossRef]
- Tahvildari, A.M.; Pan, L.; Kong, C.S.; Desser, T. Sonographic-Pathologic Correlation for Punctate Echogenic Reflectors in Papillary Thyroid Carcinoma. J. Ultrasound Med. 2016, 35, 1645–1652. [Google Scholar] [CrossRef]
- Wang, N.; Xu, Y.; Ge, C.; Guo, R.; Guo, K. Association of sonographically detected calcification with thyroid carcinoma. Head Neck 2006, 28, 1077–1083. [Google Scholar] [CrossRef]
- Baek, H.J.; Kim, D.W.; Shin, G.W.; Heo, Y.J.; Baek, J.W.; Lee, Y.J.; Cho, Y.J.; Park, H.K.; Ha, T.K.; Kim, D.H.; et al. Ultrasonographic Features of Papillary Thyroid Carcinomas According to Their Subtypes. Front. Endocrinol. 2018, 9, 223. [Google Scholar] [CrossRef]
- Hughes, N.M.; Nae, A.; Barry, J.; Fitzgerald, B.; Feeley, L.; Sheahan, P. Sonographic differences between conventional and follicular variant papillary thyroid carcinoma. Eur. Arch. Oto-Rhino-Laryngol. 2017, 274, 2907–2913. [Google Scholar] [CrossRef]
- Pillai, S.; Gopalan, V.; Smith, R.A.; Lam, A.K.Y. Diffuse sclerosing variant of papillary thyroid carcinoma—An update of its clinicopathological features and molecular biology. Crit. Rev. Oncol. 2015, 94, 64–73. [Google Scholar] [CrossRef] [PubMed]
- Shin, J.H. Ultrasonographic imaging of papillary thyroid carcinoma variants. Ultrasonography 2017, 36, 103–110. [Google Scholar] [CrossRef] [PubMed]
- Joung, J.Y.; Kim, T.H.; Jeong, D.J.; Park, S.-M.; Cho, Y.Y.; Jang, H.W.; Jung, Y.Y.; Oh, Y.L.; Yim, H.S.; Kim, Y.-L.; et al. Diffuse sclerosing variant of papillary thyroid carcinoma: Major genetic alterations and prognostic implications. Histopathology 2016, 69, 45–53. [Google Scholar] [CrossRef]
- Santana, N.O.; De Freitas, R.M.C.; Marcos, V.N.; Chammas, M.C.; Camargo, R.Y.A.; Schmerling, C.K.; Vanderlei, F.A.B.; Hoff, A.O.; Marui, S.; Danilovic, D.L.S. Diagnostic performance of thyroid ultrasound in Hürthle cell carcinomas. Arch. Endocrinol. Metab. 2019, 63, 300–305. [Google Scholar] [CrossRef] [PubMed]
- Cracolici, V.; Krausz, T.; Cipriani, N.A. Ubiquitin Immunostaining in Thyroid Neoplasms Marks True Intranuclear Cytoplasmic Pseudoinclusions and May Help Differentiate Papillary Carcinoma from NIFTP. Head Neck Pathol. 2018, 12, 522–528. [Google Scholar] [CrossRef]
- You, S.-H.; Lee, K.E.; Yoo, R.-E.; Choi, H.J.; Jung, K.C.; Won, J.K.; Kang, K.M.; Yoon, T.J.; Choi, S.H.; Sohn, C.-H.; et al. Prevention of total thyroidectomy in noninvasive follicular thyroid neoplasm with papillary-like nuclear features (NIFTP) based on combined interpretation of ultrasonographic and cytopathologic results. Clin. Endocrinol. 2017, 88, 114–122. [Google Scholar] [CrossRef] [PubMed]
- Lee, S.K.; Rho, B.H.; Woo, S.-K. Hürthle cell neoplasm: Correlation of gray-scale and power Doppler sonographic findings with gross pathology. J. Clin. Ultrasound 2010, 38, 169–176. [Google Scholar] [CrossRef]
- Sillery, J.C.; Reading, C.C.; Charboneau, J.W.; Henrichsen, T.L.; Hay, I.D.; Mandrekar, J.N. Thyroid Follicular Carcinoma: Sonographic Features of 50 Cases. Am. J. Roentgenol. 2010, 194, 44–54. [Google Scholar] [CrossRef]
- Park, S.H.; Suh, E.H.; Chi, J.G. A Histopathologic Study on 1,095 Surgically Resected Thyroid Specimens. Jpn. J. Clin. Oncol. 1988, 18, 297–302. [Google Scholar] [CrossRef] [PubMed]
- Rosai, J.; Carcangiu, M.; DeLellis, R.A. Tumors of the Thyroid Gland; Armed Forces Institute of Pathology: Washington, DC, USA, 1992. [Google Scholar]
- LiVolsi, V.A. Papillary thyroid carcinoma: An update. Mod. Pathol. 2011, 24, 1–9. [Google Scholar] [CrossRef] [PubMed]
- Kim, D.S.; Kim, J.H.; Na, D.G.; Park, S.H.; Kim, E.; Chang, K.H.; Sohn, C.H.; Choi, Y.H. Sonographic features of follicular variant papillary thyroid carcinomas in comparison with conventional papillary thyroid carcinomas. J. Ultrasound Med. 2009, 28, 1685–1692. [Google Scholar] [CrossRef] [PubMed]
- DeLellis, R.A.; Lloyd, R.V.; Heitz, P.U.; Eng, C. World Health Organization Classification of Tumours Pathology and Genetics Tumours of Endocrine Organs; IARC PRESS: Lyon, France, 2004. [Google Scholar]
- Koshikawa, T.; Takagi, N.; Hirokawa, M. Cytological findings of the diffuse sclerosing variant of papillary thyroid carcinoma. J. Jpn. Soc. Clin. Cytol. 2014, 53, 515–520. [Google Scholar] [CrossRef]
- Liu, M.-J.; Liu, Z.-F.; Hou, Y.-Y.; Men, Y.-M.; Zhang, Y.-X.; Gao, L.-Y.; Liu, H. Ultrasonographic characteristics of medullary thyroid carcinoma: A comparison with papillary thyroid carcinoma. Oncotarget 2017, 8, 27520–27528. [Google Scholar] [CrossRef] [PubMed]
- Valderrabano, P.; Klippenstein, D.L.; Tourtelot, J.B.; Ma, Z.; Thompson, Z.J.; Lilienfeld, H.S.; McIver, B. New American Thyroid Association Sonographic Patterns for Thyroid Nodules Perform Well in Medullary Thyroid Carcinoma: Institutional Experience, Systematic Review, and Meta-Analysis. Thyroid 2016, 26, 1093–1100. [Google Scholar] [CrossRef] [PubMed]
- Jing, L.; Li, L.; Sun, Z.; Bao, Z.; Shao, C.; Yan, J.; Pang, Q.; Geng, Y.; Zhang, L.; Wang, X.; et al. Role of Matrix Vesicles in Bone–Vascular Cross-Talk. J. Cardiovasc. Pharmacol. 2019, 74, 372–378. [Google Scholar] [CrossRef]
- Sharma, V.; Srinivasan, A.; Nikolajeff, F.; Kumar, S. Biomineralization process in hard tissues: The interaction complexity within protein and inorganic counterparts. Acta Biomater. 2020. [Google Scholar] [CrossRef]
- Sallam, T.; Cheng, H.; Demer, L.L.; Tintut, Y. Regulatory circuits controlling vascular cell calcification. Cell. Mol. Life Sci. 2012, 70, 3187–3197. [Google Scholar] [CrossRef]
- Dean, D.D.; Schwartz, Z.; Muniz, O.E.; Gomez, R.; Swain, L.D.; Howell, D.S.; Boyan, B.D. Matrix vesicles are enriched in metalloproteinases that degrade proteoglycans. Calcif. Tissue Int. 1992, 50, 342–349. [Google Scholar] [CrossRef]
- Dean, D.D.; Schwartz, Z.; Bonewald, L.; Muniz, O.E.; Morales, S.; Gomez, R.; Brooks, B.P.; Qiao, M.; Howell, D.S.; Boyan, B.D. Matrix vesicles produced by osteoblast-like cells in culture become significantly enriched in proteoglycan-degrading metalloproteinases after addition of beta-glycerophosphate and ascorbic acid. Calcif. Tissue Int. 1994, 54, 399–408. [Google Scholar] [CrossRef] [PubMed]
- Bonucci, E. Fine structure of early cartilage calcification. J. Ultrastruct. Res. 1967, 20, 33–50. [Google Scholar] [CrossRef]
- Anderson, H.C. Matrix vesicles and calcification. Curr. Rheumatol. Rep. 2003, 5, 222–226. [Google Scholar] [CrossRef] [PubMed]
- Anderson, H.C. Mechanisms of pathologic calcification. Rheum. Dis. Clin. N. Am. 1988, 14, 303–319. [Google Scholar]
- Morhayim, J.; Van De Peppel, J.; Demmers, J.A.A.; Kocer, G.; Nigg, A.L.; Van Driel, M.; Chiba, H.; Van Leeuwen, J.P.T.M. Proteomic signatures of extracellular vesicles secreted by nonmineralizing and mineralizing human osteoblasts and stimulation of tumor cell growth. FASEB J. 2014, 29, 274–285. [Google Scholar] [CrossRef] [PubMed]
- Thouverey, C.; Malinowska, A.; Balcerzak, M.; Strzelecka, A.; Buchet, R.; Dadlez, M.; Pikula, S. Proteomic characterization of biogenesis and functions of matrix vesicles released from mineralizing human osteoblast-like cells. J. Proteom. 2011, 74, 1123–1134. [Google Scholar] [CrossRef]
- Kim, H.-S.; Choi, D.-Y.; Yun, S.J.; Choi, S.-M.; Kang, J.W.; Jung, J.W.; Hwang, D.; Kim, K.P.; Kim, D.-W. Proteomic Analysis of Microvesicles Derived from Human Mesenchymal Stem Cells. J. Proteome Res. 2011, 11, 839–849. [Google Scholar] [CrossRef] [PubMed]
- Golub, E.E. Biomineralization and matrix vesicles in biology and pathology. Semin. Immunopathol. 2010, 33, 409–417. [Google Scholar] [CrossRef]
- Nik, A.B.; Hutcheson, J.D.; Aikawa, M. Extracellular Vesicles as Mediators of Cardiovascular Calcification. Front. Cardiovasc. Med. 2017, 4. [Google Scholar] [CrossRef]
- New, S.E.P.; Goettsch, C.; Aikawa, M.; Marchini, J.F.; Shibasaki, M.; Yabusaki, K.; Libby, P.; Shanahan, C.M.; Croce, K.; Aikawa, E. Macrophage-Derived Matrix Vesicles. Circ. Res. 2013, 113, 72–77. [Google Scholar] [CrossRef]
- Tunio, G.M.; Hirota, S.; Nomura, S.; Kitamura, Y. Possible relation of osteopontin to development of psammoma bodies in human papillary thyroid cancer. Arch. Pathol. Lab. Med. 1998, 122, 1087–1090. [Google Scholar] [PubMed]
- Sharma, T.; Radosevich, J.A.; Pachori, G.; Mandal, C.C. A Molecular View of Pathological Microcalcification in Breast Cancer. J. Mammary Gland Biol. Neoplasia 2016, 21, 25–40. [Google Scholar] [CrossRef] [PubMed]
- Ducy, P.; Zhang, R.; Geoffroy, V.; Ridall, A.L.; Karsenty, G. Osf2/Cbfa1: A transcriptional activator of osteoblast differentiation. Cell 1997, 89, 747–754. [Google Scholar] [CrossRef]
- Yamaguchi, A.; Komori, T.; Suda, T. Regulation of osteoblast differentiation mediated by bone morphogenetic proteins, hedgehogs, and Cbfa1. Endocr. Rev. 2000, 21, 393–411. [Google Scholar] [CrossRef] [PubMed]
- Tyson, K.L.; Reynolds, J.L.; McNair, R.; Zhang, Q.; Weissberg, P.L.; Shanahan, C.M. Osteo/Chondrocytic Transcription Factors and Their Target Genes Exhibit Distinct Patterns of Expression in Human Arterial Calcification. Arter. Thromb. Vasc. Biol. 2003, 23, 489–494. [Google Scholar] [CrossRef] [PubMed]
- Zelzer, E.; Glotzer, D.J.; Hartmann, C.; Thomas, D.; Fukai, N.; Soker, S.; Olsen, B.R. Tissue specific regulation of VEGF expression during bone development requires Cbfa1/Runx2. Mech. Dev. 2001, 106, 97–106. [Google Scholar] [CrossRef]
- Inman, C.K.; Shore, P. The osteoblast transcription factor Runx2 is expressed in mammary epithelial cells and mediates osteopontin expression. J. Biol. Chem. 2003, 278, 48684–48689. [Google Scholar] [CrossRef] [PubMed]
- Barnes, G.L.; Javed, A.; Waller, S.M.; Kamal, M.H.; Hebert, K.E.; Hassan, M.Q.; Bellahcene, A.; Van Wijnen, A.J.; Young, M.F.; Lian, J.B.; et al. Osteoblast-related transcription factors Runx2 (Cbfa1/AML3) and MSX2 mediate the expression of bone sialoprotein in human metastatic breast cancer cells. Cancer Res. 2003, 63, 2631–2637. [Google Scholar] [PubMed]
- Brubaker, K.D.; Vessella, R.L.; Brown, L.G.; Corey, E. Prostate cancer expression of runt-domain transcription factor Runx2, a key regulator of osteoblast differentiation and function. Prostate 2003, 56, 13–22. [Google Scholar] [CrossRef]
- Wai, P.Y.; Mi, Z.; Gao, C.; Guo, H.; Marroquin, C.; Kuo, P.C. Ets-1 and Runx2 Regulate Transcription of a Metastatic Gene, Osteopontin, in Murine Colorectal Cancer Cells. J. Biol. Chem. 2006, 281, 18973–18982. [Google Scholar] [CrossRef]
- Niu, D.-F.; Kondo, T.; Nakazawa, T.; Oishi, N.; Kawasaki, T.; Mochizuki, K.; Yamane, T.; Katoh, R. Transcription factor Runx2 is a regulator of epithelial–mesenchymal transition and invasion in thyroid carcinomas. Lab. Investig. 2012, 92, 1181–1190. [Google Scholar] [CrossRef] [PubMed]
- Carbonare, L.D.; Frigo, A.; Francia, G.; Davi’, M.V.; Donatelli, L.; Stranieri, C.; Brazzarola, P.; Zatelli, M.C.; Menestrina, F.; Valenti, M.T. Runx2 mRNA Expression in the Tissue, Serum, and Circulating Non-Hematopoietic Cells of Patients with Thyroid Cancer. J. Clin. Endocrinol. Metab. 2012, 97, 1249–1256. [Google Scholar] [CrossRef]
- Jin, Y.; Kim, H.K.; Lee, J.; Soh, E.Y.; Kim, J.H.; Song, I.; Chung, Y.S.; Choi, Y.J. Transcription Factor HOXA9 is Linked to the Calcification and Invasion of Papillary Thyroid Carcinoma. Sci. Rep. 2019, 9, 6773. [Google Scholar] [CrossRef] [PubMed]
- Endo, T.; Ohta, K.; Kobayashi, T. Expression and function of Cbfa-1/Runx2 in thyroid papillary carcinoma cells. J. Clin. Endocrinol. Metab. 2008, 93, 2409–2412. [Google Scholar] [CrossRef]
- Kaptan, E.; Bas, S.S.; Sancakli, A.; Aktas, H.G.; Bayrak, B.B.; Yanardag, R.; Bolkent, S. Runt-Related Transcription Factor 2 (Runx2) Is Responsible for Galectin-3 Overexpression in Human Thyroid Carcinoma. J. Cell. Biochem. 2017, 118, 3911–3919. [Google Scholar] [CrossRef] [PubMed]
- Sawangareetrakul, P.; Srisomsap, C.; Chokchaichamnankit, D.; Svasti, J. Galectin-3 expression in human papillary thyroid carcinoma. Cancer Genom. Proteom. 2008, 5, 117–122. [Google Scholar]
- Komori, T.; Yagi, H.; Nomura, S.; Yamaguchi, A.; Sasaki, K.; Deguchi, K.; Shimizu, Y.; Bronson, R.; Gao, Y.-H.; Inada, M.; et al. Targeted Disruption of Cbfa1 Results in a Complete Lack of Bone Formation owing to Maturational Arrest of Osteoblasts. Cell 1997, 89, 755–764. [Google Scholar] [CrossRef]
- Jung, C.; Ou, Y.-C.; Yeung, F.; Frierson, H.F.; Kao, C. Osteocalcin is incompletely spliced in non-osseous tissues. Gene 2001, 271, 143–150. [Google Scholar] [CrossRef]
- Gadeau, A.-P.; Chaulet, H.; Daret, D.; Kockx, M.; Daniel-Lamazière, J.-M.; Desgranges, C. Time Course of Osteopontin, Osteocalcin, and Osteonectin Accumulation and Calcification After Acute Vessel Wall Injury. J. Histochem. Cytochem. 2001, 49, 79–86. [Google Scholar] [CrossRef]
- Ferreira, L.B.; Lima, R.T.; Bastos, A.; Silva, A.M.; Tavares, C.; Pestana, A.; Rios, E.; Eloy, C.; Sobrinho-Simões, M.; Gimba, E.R.P.; et al. OPNa Overexpression Is Associated with Matrix Calcification in Thyroid Cancer Cell Lines. Int. J. Mol. Sci. 2018, 19, 2990. [Google Scholar] [CrossRef]
- Brekken, R.A.; Sage, E. SPARC, a matricellular protein: At the crossroads of cell–matrix communication. Matrix Biol. 2001, 19, 815–827. [Google Scholar] [CrossRef]
- Iacobuzio-Donahue, C.A.; Argani, P.; Hempen, P.M.; Jones, J.; Kern, S.E. The desmoplastic response to infiltrating breast carcinoma: Gene expression at the site of primary invasion and implications for comparisons between tumor types. Cancer Res. 2002, 62, 5351–5357. [Google Scholar]
- Prasad, N.B.; Somervell, H.; Tufano, R.P.; Dackiw, A.P.; Marohn, M.R.; Califano, J.A.; Wang, Y.; Westra, W.H.; Clark, D.P.; Umbricht, C.B.; et al. Identification of Genes Differentially Expressed in Benign versus Malignant Thyroid Tumors. Clin. Cancer Res. 2008, 14, 3327–3337. [Google Scholar] [CrossRef] [PubMed]
- Takano, T.; Hasegawa, Y.; Miyauchi, A.; Matsuzuka, F.; Yoshida, H.; Kuma, K.; Hayashi, N.; Nakamori, S.; Amino, N. Quantitative Analysis of Osteonectin mRNA in Thyroid Carcinomas. Endocr. J. 2002, 49, 511–516. [Google Scholar] [CrossRef]
- Toba, H.; Brás, L.E.D.C.; Baicu, C.F.; Zile, M.R.; Lindsey, M.L.; Bradshaw, A.D. Secreted protein acidic and rich in cysteine facilitates age-related cardiac inflammation and macrophage M1 polarization. Am. J. Physiol. Cell Physiol. 2015, 308, 972–982. [Google Scholar] [CrossRef]
- Li, G.; Qiao, W.; Zhang, W.; Li, F.; Shi, J.; Dong, N. The shift of macrophages toward M1 phenotype promotes aortic valvular calcification. J. Thorac. Cardiovasc. Surg. 2017, 153, 1318–1327.e1. [Google Scholar] [CrossRef] [PubMed]
- Siller, A.F.; Whyte, M.P. Alkaline Phosphatase: Discovery and Naming of Our Favorite Enzyme. J. Bone Miner. Res. 2017, 33, 362–364. [Google Scholar] [CrossRef] [PubMed]
- Orimo, H. The Mechanism of Mineralization and the Role of Alkaline Phosphatase in Health and Disease. J. Nippon Med. Sch. 2010, 77, 4–12. [Google Scholar] [CrossRef]
- Linder, C.H.; Ek-Rylander, B.; Krumpel, M.; Norgård, M.; Narisawa, S.; Millán, J.L.; Andersson, G.; Magnusson, P. Bone Alkaline Phosphatase and Tartrate-Resistant Acid Phosphatase: Potential Co-regulators of Bone Mineralization. Calcif. Tissue Int. 2017, 101, 92–101. [Google Scholar] [CrossRef]
- O’Grady, S.; Morgan, M.P. Deposition of calcium in an in vitro model of human breast tumour calcification reveals functional role for ALP activity, altered expression of osteogenic genes and dysregulation of the TRPM7 ion channel. Sci. Rep. 2019, 9, 542. [Google Scholar] [CrossRef]
- Usoro, N.I.; Omabbe, M.C.; Usoro, C.; Nsonwu, A. Calcium, inorganic phosphates, alkaline and acid phosphatase activities in breast cancer patients in Calabar, Nigeria. Afr. Health Sci. 2010, 10, 9–13. [Google Scholar] [PubMed]
- Korpela, J.; Tiitinen, S.L.; Hiekkanen, H.; Halleen, J.M.; Selander, K.S.; Väänänen, H.K.; Suominen, P.; Helenius, H.; Salminen, E. Serum TRACP 5b and ICTP as markers of bone metastases in breast cancer. Anticancer Res. 2006, 26, 3127–3132. [Google Scholar]
- Sarvari, B.K.D.; Mahadev, D.S.; Rupa, S.; Mastan, S.A. Detection of Bone Metastases in Breast Cancer (BC) Patients by Serum Tartrate-Resistant Acid Phosphatase 5b (TRACP 5b), a Bone Resorption Marker and Serum Alkaline Phosphatase (ALP), a Bone Formation Marker, in Lieu of Whole Body Skeletal Scintigraphy with Technetium99m MDP. Indian J. Clin. Biochem. 2013, 30, 66–71. [Google Scholar] [CrossRef] [PubMed][Green Version]
- Singh, A.K.; Pandey, A.K.; Tewari, M.K.; Kumar, R.; Sharma, A.; Singh, K.A.; Pandey, H.P.; Shukla, H.S. Advanced stage of breast cancer hoist alkaline phosphatase activity: Risk factor for females in India. 3 Biotechnology 2013, 3, 517–520. [Google Scholar] [CrossRef] [PubMed]
- Choudhari, A.; Desai, P.; Indumati, V.; Kadi, S. Activities of serum Ada, GGT and alp in carcinoma breast-a case control study for diagnostic and prognostic significance. Indian J. Med. Sci. 2013, 67, 123. [Google Scholar] [CrossRef]
- Bellahcène, A.; Castronovo, V.; Ogbureke, K.U.; Fisher, L.W.; Fedarko, N.S. Small integrin-binding ligand N-linked glycoproteins (SIBLINGs): Multifunctional proteins in cancer. Nat. Rev. Cancer 2008, 8, 212–226. [Google Scholar] [CrossRef]
- Bellahcene, A.; Menard, S.; Bufalino, R.; Moreau, L.; Castronovo, V. Expression of bone sialoprotein in primary human breast cancer is associated with poor survival. Int. J. Cancer 1996, 69, 350–353. [Google Scholar] [CrossRef]
- Chen, J.; Shapiro, H.S.; Wrana, J.L.; Reimers, S.; Heersche, J.N.; Sodek, J. Localization of bone sialoprotein (BSP) expression to sites of mineralized tissue formation in fetal rat tissues by In Situ hybridization. Matrix 1991, 11, 133–143. [Google Scholar] [CrossRef]
- Hunter, G.K.; Goldberg, H.A. Nucleation of hydroxyapatite by bone sialoprotein. Proc. Natl. Acad. Sci. USA 1993, 90, 8562–8565. [Google Scholar] [CrossRef]
- Bellahcéne, A.; Albert, V.; Pollina, L.; Basolo, F.; Fisher, L.W.; Castronovo, V. Ectopic expression of bone sialoprotein in human thyroid cancer. Thyroid 1998, 8, 637–641. [Google Scholar] [CrossRef]
- Wu, G.; Guo, J.-J.; Ma, Z.-Y.; Wang, J.; Zhou, Z.-W.; Wang, Y. Correlation between calcification and bone sialoprotein and osteopontin in papillary thyroid carcinoma. Int. J. Clin. Exp. Pathol. 2015, 8, 2010–2017. [Google Scholar] [PubMed]
- Qi, S.; Huang, G.; Pan, J.; Li, J.; Zhang, X.; Fang, L.; Liu, B.; Meng, W.; Zhang, Y.; Liu, X. Involvement of osteopontin as a core protein in craniopharyngioma calcification formation. J. Neurooncol. 2010, 98, 21–30. [Google Scholar] [PubMed]
- Icer, M.A.; Gezmen-Karadag, M. The multiple functions and mechanisms of osteopontin. Clin. Biochem. 2018, 59, 17–24. [Google Scholar] [CrossRef] [PubMed]
- Boskey, A.L. Osteopontin and Related Phosphorylated Sialoproteins: Effects on Mineralization. Ann. N. Y. Acad. Sci. 1995, 760, 249–256. [Google Scholar] [CrossRef]
- Gericke, A.; Qin, C.; Spevak, L.; Fujimoto, Y.; Butler, W.T.; Sørensen, E.S.; Boskey, A.L. Importance of Phosphorylation for Osteopontin Regulation of Biomineralization. Calcif. Tissue Int. 2005, 77, 45–54. [Google Scholar] [CrossRef]
- Tuck, A.B.; Chambers, A.F.; Allan, A.L. Osteopontin overexpression in breast cancer: Knowledge gained and possible implications for clinical management. J. Cell. Biochem. 2007, 102, 859–868. [Google Scholar] [CrossRef]
- Rodan, G.A. Osteopontin overview. Ann. N. Y. Acad. Sci. 1995, 760, 1–5. [Google Scholar] [CrossRef]
- Giachelli, C.M.; Schwartz, S.M.; Liaw, L. Molecular and cellular biology of osteopontin Potential role in cardiovascular disease. Trends Cardiovasc. Med. 1995, 5, 88–95. [Google Scholar] [CrossRef]
- Butler, W.T. Structural and Functional Domains of Osteopontin. Ann. N. Y. Acad. Sci. 1995, 760, 6–11. [Google Scholar] [CrossRef]
- Giachelli, C.M.; Steitz, S. Osteopontin: A versatile regulator of inflammation and biomineralization. Matrix Biol. 2000, 19, 615–622. [Google Scholar] [CrossRef]
- Zhao, H.; Chen, Q.; Alam, A.; Cui, J.; Suen, K.C.; Soo, A.P.; Eguchi, S.; Gu, J.; Ma, D. The role of osteopontin in the progression of solid organ tumour. Cell Death Dis. 2018, 9, 1–15. [Google Scholar] [CrossRef]
- Kaleta, B. The role of osteopontin in kidney diseases. Inflamm. Res. 2018, 68, 93–102. [Google Scholar] [CrossRef]
- Rittling, S.R.; Denhardt, D.T. Osteopontin Function in Pathology: Lessons from Osteopontin-Deficient Mice. Nephron 1999, 7, 103–113. [Google Scholar] [CrossRef]
- Rizwan, A.; Paidi, S.K.; Zheng, C.; Cheng, M.; Barman, I.; Glunde, K. Mapping the genetic basis of breast microcalcifications and their role in metastasis. Sci. Rep. 2018, 8, 11067. [Google Scholar] [CrossRef] [PubMed]
- Magro, C.M.; Momtahen, S.; Hagen, J.W. Osteopontin expression in biopsies of calciphylaxis. Eur. J. Dermatol. EJD 2015, 25, 20–25. [Google Scholar] [CrossRef] [PubMed]
- Nakamura, M.; Oka, M.; Iizuka, N.; Kawauchi, S.; Gondo, T.; Ueno, T.; Tangoku, A. Osteopontin Expression in Chronic Pancreatitis. Pancreas 2002, 25, 182–187. [Google Scholar] [CrossRef]
- Oyama, T.; Sano, T.; Hikino, T.; Xue, Q.; Iijima, K.; Nakajima, T.; Koerner, F. Microcalcifications of breast cancer and atypical cystic lobules associated with infiltration of foam cells expressing osteopontin. Virchows Archiv 2001, 440, 267–273. [Google Scholar] [CrossRef] [PubMed]
- Huan, J.-L.; Xing, L.; Qin, X.-J.; Gao, Z.-G.; Pan, X.-F.; Zhao, Z.-D. Expression and clinical significance of osteopontin in calcified breast tissue. Asian Pac. J. Cancer Prev. 2012, 13, 5219–5223. [Google Scholar] [CrossRef] [PubMed][Green Version]
- Kuroda, N.; Hamaguchi, N.; Ohara, M.; Hirouchi, T.; Mizuno, K.; Lee, G.-H. Large cell neuroendocrine carcinoma of the lung with calcification and expression of osteopontin. Med. Mol. Morphol. 2007, 40, 218–220. [Google Scholar] [CrossRef] [PubMed]
- Hirota, S.; Nakajima, Y.; Yoshimine, T.; Kohri, K.; Nomura, S.; Taneda, M.; Hayakawa, T.; Kitamura, Y. Expression of Bone-related Protein Messenger RNA in Human Meningiomas: Possible Involvement of Osteopontin in Development of Psammoma Bodies. J. Neuropathol. Exp. Neurol. 1995, 54, 698–703. [Google Scholar] [CrossRef] [PubMed]
- Sun, Y.; Fang, S.; Dong, H.; Zhao, C.; Yang, Z.; Li, P.; Wang, J. Correlation between osteopontin messenger RNA expression and microcalcification shown on sonography in papillary thyroid carcinoma. J. Ultrasound Med. 2011, 30, 765–771. [Google Scholar] [CrossRef] [PubMed]
- Gong, T.; Wang, J. The analysis of the calcification in differentiating malignant thyroid neoplasm and the molecular mechanisms for the formation of the calcification. Lin Chuang Er Bi Yan Hou Tou Jing Wai Ke Za Zhi 2012, 26, 763–766. [Google Scholar] [PubMed]
- Ferreira, L.B.; Tavares, C.; Pestana, A.; Pereira, C.L.; Eloy, C.; Pinto, M.T.; Castro, P.; Batista, R.; Rios, E.; Sobrinho-Simões, M.; et al. Osteopontin-a splice variant is overexpressed in papillary thyroid carcinoma and modulates invasive behavior. Oncotarget 2016, 7, 52003–52016. [Google Scholar] [CrossRef]
- Steitz, S.A.; Speer, M.Y.; McKee, M.D.; Liaw, L.; Almeida, M.; Yang, H.; Giachelli, C.M. Osteopontin Inhibits Mineral Deposition and Promotes Regression of Ectopic Calcification. Am. J. Pathol. 2002, 161, 2035–2046. [Google Scholar] [CrossRef]
- Wozniak, M.; Fausto, A.; Carron, C.P.; Meyer, D.M.; Hruska, K.A. Mechanically strained cells of the osteoblast lineage organize their extracellular matrix through unique sites of alphavbeta3-integrin expression. J. Bone. Miner. Res. 2000, 15, 1731–1745. [Google Scholar] [CrossRef]
- Rosenthal, A.K.; Gohr, C.M.; Uzuki, M.; Masuda, I. Osteopontin promotes pathologic mineralization in articular cartilage. Matrix Biol. 2007, 26, 96–105. [Google Scholar] [CrossRef]
- Nakajima, Y.; Inagaki, Y.; Hiroshima, Y.; Kido, J.-I.; Nagata, T. Advanced Glycation End-products Enhance Calcification in Cultured Rat Dental Pulp Cells. J. Endod. 2013, 39, 873–878. [Google Scholar] [CrossRef]
- Grases, F.; Prieto, R.M.; Sanchis, P.; Saus, C.; De Francisco, T. Role of phytate and osteopontin in the mechanism of soft tissue calcification. J. Nephrol. 2008, 21, 768–775. [Google Scholar]
- Kaartinen, M.T.; Pirhonen, A.; Linnala-Kankkunen, A.; Mäenpää, P.H. Cross-linking of Osteopontin by Tissue Transglutaminase Increases Its Collagen Binding Properties. J. Biol. Chem. 1999, 274, 1729–1735. [Google Scholar] [CrossRef]
- Jono, S.; Peinado, C.; Giachelli, C.M. Phosphorylation of Osteopontin Is Required for Inhibition of Vascular Smooth Muscle Cell Calcification. J. Biol. Chem. 2000, 275, 20197–20203. [Google Scholar] [CrossRef]



| Localization | Type of Lesion | Description | |
|---|---|---|---|
| Microcalcification ≤1 mm | |||
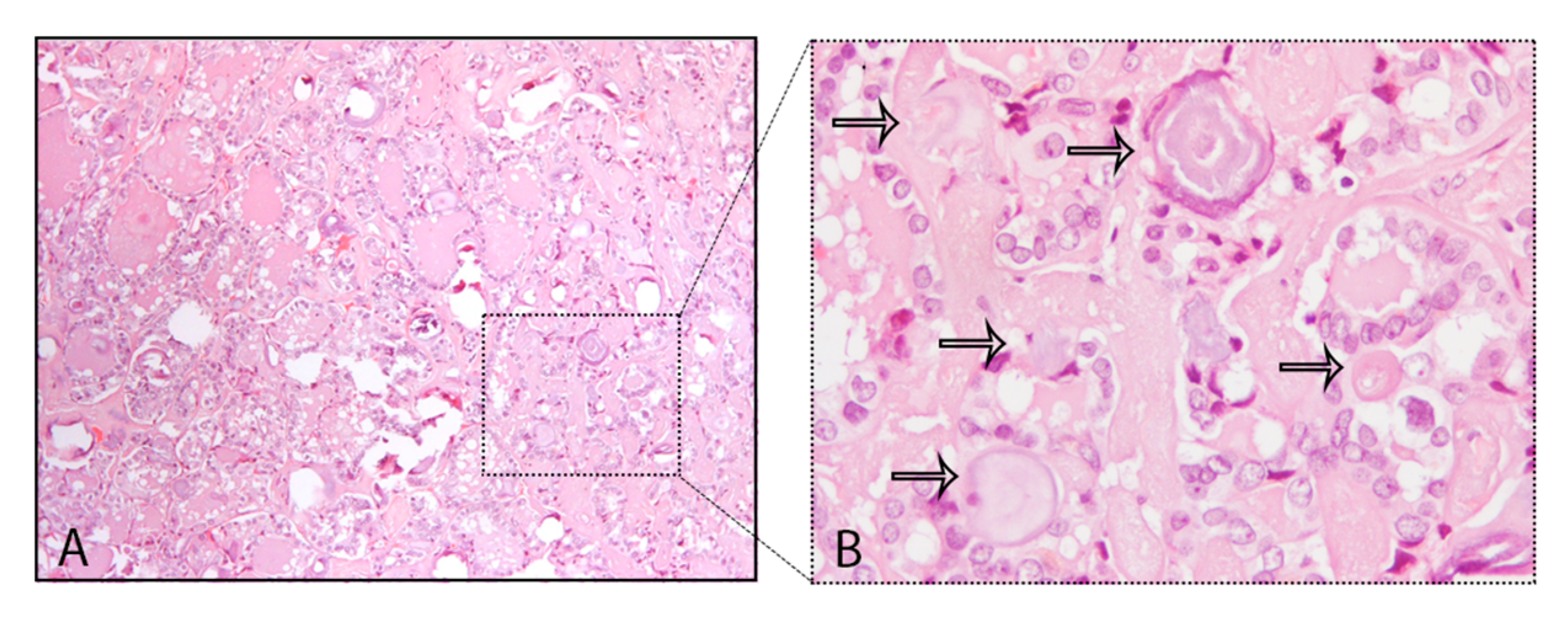
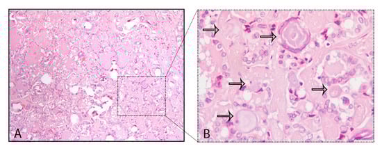
| Psammoma bodies (PBs) | Inside lymph vessels or in the papillae axis | True PBs Classical PTC | 50–70 μm round-shaped, concentrically laminated, calcified concretions with a glassy appearance (Figure 1C). |
| Inspissated colloid calcified | Inside follicles | False PBs Benign nodules | Thick colloid (colloid crystals) can present microcalcifications over inspissated colloid and lead to focal hyperechogenic foci; can potentially be confused with PBs (Figure 1B). |
| Stromal microcalcification | Around follicles | False PBs | Spherical crystalline bodies with a diameter of 0.1–2.5 μm. Usually too small to be detected by light microscopy and apparently arise within basal laminae as a result of concentric deposition of calcium salts or calcifications of membrane-bound vesicles. Calcified collagen fibrils can rarely be observed [27,28] (Figure 1A). |
| Bone calcification | Connective tissue | False PBs | Bone formation is considered when there is both bone matrix and osteocytes in the connective tissue of a thyroid nodule, regardless of being neoplastic or not [29,30] |
| Macrocalcification >1 mm | |||
| Eggshell, annular, or rim-like calcifications | Benign and malignant lesions | Annular or rim-like peripheral calcification, defined in US as curvilinear hyperechoic structures parallel to the margin of the nodule. | |
| Coarse calcifications | Stroma | Benign and malignant lesions | An irregularly shaped focus of calcification (can comprise micro- and macrocalcifications) (Figure 1D). |
| Calcification (micro/macro) | Tumor Subtype |
|---|---|
| Micro- and macrocalcifications [28,55] | classical/conventional PTC |
| Microcalcifications [56,57] | infiltrative follicular variant of PTC |
| Microcalcifications [58] Scattered microcalcifications [59,60] | diffuse sclerosing variant of PTC |
| Lymph node involvement with nodal microcalcifications [59,60] | macrofollicular variant of PTC |
| Micro- and macrocalcifications [61] | Hürthle cell carcinoma |
| Microcalcifications [59] | hobnail variant of PTC |
| Microcalcifications [62] Macrocalcifications [63] | hobnail variant of PTC |
| Macrocalcification [64,65] | Hürthle cell tumors |
| Micro and macrocalcifications [23] | MTC |
Publisher’s Note: MDPI stays neutral with regard to jurisdictional claims in published maps and institutional affiliations. |
© 2020 by the authors. Licensee MDPI, Basel, Switzerland. This article is an open access article distributed under the terms and conditions of the Creative Commons Attribution (CC BY) license (http://creativecommons.org/licenses/by/4.0/).
Share and Cite
Ferreira, L.B.; Gimba, E.; Vinagre, J.; Sobrinho-Simões, M.; Soares, P. Molecular Aspects of Thyroid Calcification. Int. J. Mol. Sci. 2020, 21, 7718. https://doi.org/10.3390/ijms21207718
Ferreira LB, Gimba E, Vinagre J, Sobrinho-Simões M, Soares P. Molecular Aspects of Thyroid Calcification. International Journal of Molecular Sciences. 2020; 21(20):7718. https://doi.org/10.3390/ijms21207718
Chicago/Turabian StyleFerreira, Luciana Bueno, Etel Gimba, João Vinagre, Manuel Sobrinho-Simões, and Paula Soares. 2020. "Molecular Aspects of Thyroid Calcification" International Journal of Molecular Sciences 21, no. 20: 7718. https://doi.org/10.3390/ijms21207718
APA StyleFerreira, L. B., Gimba, E., Vinagre, J., Sobrinho-Simões, M., & Soares, P. (2020). Molecular Aspects of Thyroid Calcification. International Journal of Molecular Sciences, 21(20), 7718. https://doi.org/10.3390/ijms21207718

