Novel Nano-Therapeutic Approach Actively Targets Human Ovarian Cancer Stem Cells after Xenograft into Nude Mice
Abstract
1. Introduction
2. Results
2.1. Characteristics of PTX-Loaded FA/PLGA NPs
2.2. In Vitro Antineoplastic Efficiency of PTX-Loaded FA/PLGA NPs
2.3. In Vivo Targeting Efficiency of PTX-Loaded FA/PLGA NPs
2.3.1. Tumor Volume and Body Weight Change after Treatment
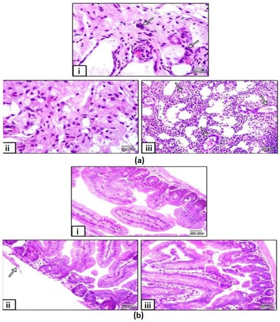
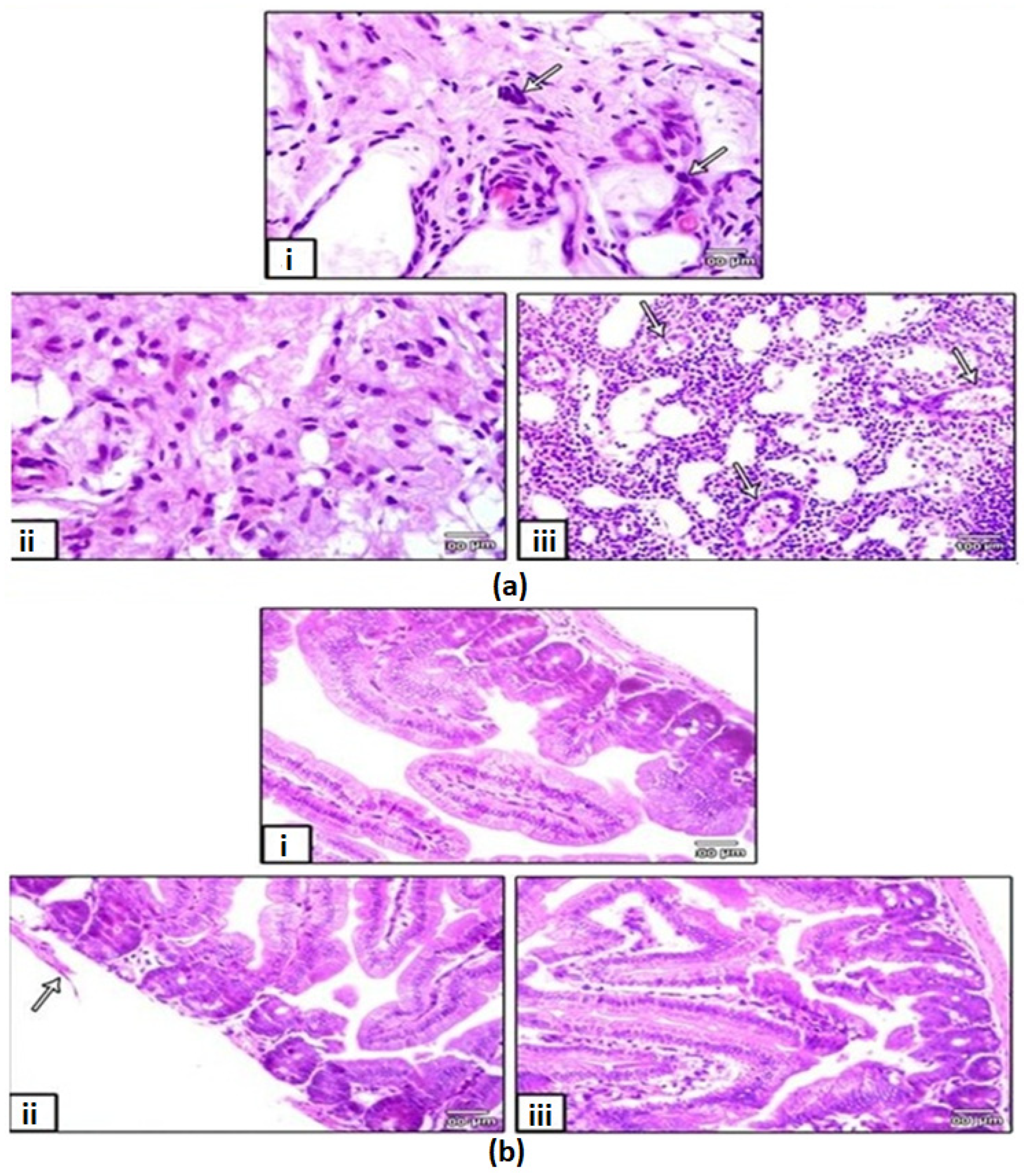
2.3.2. Histopathological Examination of Tumor and Main Organ Sections
2.3.3. Immunohistochemical Examination of Apoptotic and Tumor Suppressor Proteins
2.3.4. mRNA Expression of Apoptotic, Chemo-Resistant and Tumor Suppressor Genes
3. Discussion
4. Materials and Methods
4.1. Chemicals
4.2. Synthesis of PTX-Loaded FA/PLGA NPs
4.3. Characterization of NPs
4.3.1. Particle Size Measurement
4.3.2. Surface Morphology
4.3.3. Drug Loading and Encapsulation Efficiency
4.4. Cell Line
4.5. In Vitro Cytotoxicity of PTX-Loaded FA/PLGA NPs
4.6. Animals
4.7. In Vivo Targeting Efficiency of PTX-Loaded FA/PLGA NPs
4.7.1. Tumor Induction (Xenograft Method)
4.7.2. Experimental Groups
4.7.3. Evaluation of Tumor Volume and Body Weight Change
4.7.4. Histopathological Examination
4.7.5. Immunohistochemical Investigation
4.8. Gene Expression Analysis
4.9. Statistical Analysis
5. Conclusions
Supplementary Materials
Acknowledgments
Author Contributions
Conflicts of Interest
Abbreviations
| DDS | Drug delivery system |
| OCSC | Ovarian cancer stem cell |
| PTX | Paclitaxel |
| PLGA | Poly(lactic-co-glycolic acid) |
| NP | Nanoparticle |
| FA | Folic acid |
| FR | Folic receptor |
| IC50 | Half maximal inhibitory concentration |
References
- Donninger, H.; Bonome, T.; Radonovich, M.; Pise-Masison, C.A.; Brady, J.; Shih, J.H.; Barrett, J.C.; Birrer, M.J. Whole genome expression profiling of advance stage papillary serous ovarian cancer reveals activated pathways. Oncogene 2004, 23, 8065–8077. [Google Scholar] [CrossRef] [PubMed]
- Meng, E.; Long, B.; Sullivan, P.; McClellan, S.; Finan, M.A.; Reed, E.; Shevde, L.; Rocconi, R.P. CD44+/CD24− ovarian cancer cells demonstrate cancer stem cell properties and correlate to survival. Clin. Exp. Metastasis 2012, 29, 939–948. [Google Scholar] [CrossRef] [PubMed]
- Lv, W.; Cheng, L.; Li, B. Development and evaluation of a novel TPGS-mediated paclitaxel-loaded PLGA-mPEG nanoparticle for the treatment of ovarian cancer. Chem. Pharm. Bull. 2015, 63, 68–74. [Google Scholar] [CrossRef] [PubMed]
- Walters Haygood, C.L.; Arend, R.C.; Straughn, J.M.; Buchsbaum, D.J. Ovarian cancer stem cells: Can targeted therapy lead to improved progression-free survival? World J. Stem Cells 2014, 6, 441–447. [Google Scholar] [CrossRef] [PubMed]
- Blagosklonny, M.V. Target for cancer therapy: Proliferating cells or stem cells. Leukemia 2006, 20, 385–391. [Google Scholar] [CrossRef] [PubMed]
- Lou, H.; Dean, M. Targeted therapy for cancer stem cells: The patched pathway and ABC transporters. Oncogene 2007, 26, 1357–1360. [Google Scholar] [CrossRef] [PubMed]
- Kolhe, S.; Parikh, K. Application of nanotechnology in cancer: A review. Int. J. Bioinform. Res. Appl. 2012, 8, 112–125. [Google Scholar] [CrossRef] [PubMed]
- Bae, K.H.; Chung, H.J.; Park, T.G. Nanomaterials for cancer therapy and imaging. Mol. Cells 2011, 31, 295–302. [Google Scholar] [CrossRef] [PubMed]
- Feng, S.S.; Chien, S. Chemotherapeutic engineering: Application and further development of chemical engineering principles for chemotherapy of cancer and other diseases. Chem. Eng. Sci. 2003, 58, 4087–4114. [Google Scholar] [CrossRef]
- Kumari, A.; Yadav, S.K.; Yadav, S.C. Biodegradable polymeric nanoparticles based drug delivery systems. Colloids Surf. B 2010, 75, 1–18. [Google Scholar] [CrossRef] [PubMed]
- Danhier, F.; Ansorena, E.; Silva, J.M.; Coco, R.; Le Breton, A.; Preat, V. PLGA-based nanoparticles: An overview of biomedical applications. J. Control. Release 2012, 161, 505–522. [Google Scholar] [CrossRef] [PubMed]
- Bertrand, N.; Wu, J.; Xu, X.; Kamaly, N.; Farokhzad, O.C. Cancer nanotechnology: The impact of passive and active targeting in the era of modern cancer biology. Adv. Drug Deliv. Rev. 2014, 66, 2–25. [Google Scholar] [CrossRef] [PubMed]
- Kirpotin, D.B.; Drummond, D.C.; Shao, Y.; Shalaby, M.R.; Hong, K.; Nielsen, U.B.; Marks, J.D.; Benz, C.C.; Park, J.W. Antibody targeting of long-circulating lipidic nanoparticles does not increase tumor localization but does increase internalization in animal models. Cancer Res. 2006, 66, 6732–6740. [Google Scholar] [CrossRef] [PubMed]
- Stella, B.; Marsaud, V.; Arpicco, S.; Geraud, G.; Cattel, L.; Couvreur, P.; Renoir, J.M. Biological characterization of folic acid-conjugated poly(H2NPEGCA-co-HDCA) nanoparticles in cellular models. J. Drug Target 2007, 15, 146–153. [Google Scholar] [CrossRef] [PubMed]
- Abouelnaga, A.; Mutawa, G.A.; Abdelghaffar, H.; Sobh, M.; Hamed, S.; Mousa, S.A. Establishment and characterization of primary human ovarian cancer stem cell line (CD44+ve). J. Cancer Res. Updates 2016, 5, 59–66. [Google Scholar]
- Zheng, X.; Cui, D.; Xu, S.; Brabant, G.; Derwahl, M. Doxorubicin fails to eradicate cancer stem cells derived from anaplastic thyroid carcinoma cells: Characterization of resistant cells. Int. J. Oncol. 2010, 37, 307–315. [Google Scholar] [PubMed]
- De Jong, W.H.; Borm, P.J. Drug delivery and nanoparticles:Applications and hazards. Int. J. Nanomed. 2008, 3, 133–149. [Google Scholar] [CrossRef]
- Caldorera-Moore, M.; Guimard, N.; Shi, L.; Roy, K. Designer nanoparticles: Incorporating size, shape and triggered release into nanoscale drug carriers. Expert Opin. Drug Deliv. 2010, 7, 479–495. [Google Scholar] [CrossRef] [PubMed]
- Mathew, A.; Fukuda, T.; Nagaoka, Y.; Hasumura, T.; Morimoto, H.; Yoshida, Y.; Maekawa, T.; Venugopal, K.; Kumar, D.S. Curcumin loaded-PLGA nanoparticles conjugated with tet-1 peptide for potential use in alzheimer's disease. PLoS ONE 2012, 7, e32616. [Google Scholar] [CrossRef] [PubMed]
- Lopez-Gasco, P.; Iglesias, I.; Benedi, J.; Lozano, R.; Teijon, J.M.; Blanco, M.D. Paclitaxel-loaded polyester nanoparticles prepared by spray-drying technology: In vitro bioactivity evaluation. J. Microencapsul. 2011, 28, 417–429. [Google Scholar] [CrossRef] [PubMed]
- Vicari, L.; Musumeci, T.; Giannone, I.; Adamo, L.; Conticello, C.; De Maria, R.; Pignatello, R.; Puglisi, G.; Gulisano, M. Paclitaxel loading in PLGA nanospheres affected the in vitro drug cell accumulation and antiproliferative activity. BMC Cancer 2008, 8, 212. [Google Scholar] [CrossRef] [PubMed]
- Danhier, F.; Lecouturier, N.; Vroman, B.; Jerome, C.; Marchand-Brynaert, J.; Feron, O.; Preat, V. Paclitaxel-loaded pegylated PLGA-based nanoparticles: In vitro and in vivo evaluation. J. Control. Release 2009, 133, 11–17. [Google Scholar] [CrossRef] [PubMed]
- Fonseca, C.; Simoes, S.; Gaspar, R. Paclitaxel-loaded PLGA nanoparticles: Preparation, physicochemical characterization and in vitro anti-tumoral activity. J. Control. Release 2002, 83, 273–286. [Google Scholar] [CrossRef]
- Sneh-Edri, H.; Likhtenshtein, D.; Stepensky, D. Intracellular targeting of PLGA nanoparticles encapsulating antigenic peptide to the endoplasmic reticulum of dendritic cells and its effect on antigen cross-presentation in vitro. Mol. Pharm. 2011, 8, 1266–1275. [Google Scholar] [CrossRef] [PubMed]
- Liu, P.; Situ, J.Q.; Li, W.S.; Shan, C.L.; You, J.; Yuan, H.; Hu, F.Q.; Du, Y.Z. High tolerated paclitaxel nano-formulation delivered by poly (lactic-co-glycolic acid)-g-dextran micelles to efficient cancer therapy. Nanomedicine 2015, 11, 855–866. [Google Scholar] [CrossRef] [PubMed]
- Noori Koopaei, M.; Khoshayand, M.R.; Mostafavi, S.H.; Amini, M.; Khorramizadeh, M.R.; Jeddi Tehrani, M.; Atyabi, F.; Dinarvand, R. Docetaxel loaded PEG-PLGA nanoparticles: Optimized drug loading, in vitro cytotoxicity and in vivo antitumor effect. Iran. J. Pharm. Res. 2014, 13, 819–833. [Google Scholar] [PubMed]
- Taghian, A.G.; Abi-Raad, R.; Assaad, S.I.; Casty, A.; Ancukiewicz, M.; Yeh, E.; Molokhia, P.; Attia, K.; Sullivan, T.; Kuter, I.; et al. Paclitaxel decreases the interstitial fluid pressure and improves oxygenation in breast cancers in patients treated with neoadjuvant chemotherapy: Clinical implications. J. Clin. Oncol. 2005, 23, 1951–1961. [Google Scholar] [CrossRef] [PubMed]
- Lakshman, M.; Subramaniam, V.; Rubenthiran, U.; Jothy, S. CD44 promotes resistance to apoptosis in human colon cancer cells. Exp. Mol. Pathol. 2004, 77, 18–25. [Google Scholar] [CrossRef] [PubMed]
- Godar, S.; Ince, T.A.; Bell, G.W.; Feldser, D.; Donaher, J.L.; Bergh, J.; Liu, A.; Miu, K.; Watnick, R.S.; Reinhardt, F.; et al. Growth-inhibitory and tumor- suppressive functions of p53 depend on its repression of CD44 expression. Cell 2008, 134, 62–73. [Google Scholar] [CrossRef] [PubMed]
- Xue, X.; Liang, X.J. Overcoming drug efflux-based multidrug resistance in cancer with nanotechnology. Chin. J. Cancer 2012, 31, 100–109. [Google Scholar] [CrossRef] [PubMed]
- Zhao, T.; Chen, H.; Dong, Y.; Zhang, J.; Huang, H.; Zhu, J.; Zhang, W. Paclitaxel-loaded poly(glycolide-co-epsilon-caprolactone)-b-d-α-tocopheryl polyethylene glycol 2000 succinate nanoparticles for lung cancer therapy. Int. J. Nanomed. 2013, 8, 1947–1957. [Google Scholar] [PubMed]
- Boddu, S.H.S.; Vaishya, R.; Jwala, J.; Vadlapudi, A.; Pal, D.; Mitra, A.K. Preparation and characterization of folate conjugated nanoparticles of doxorubicin using Plga-Peg-Fol polymer. Med. Chem. 2012, 2, 68–75. [Google Scholar] [CrossRef]
- Katsikogianni, G.; Avgoustakis, K. Poly(lactide-co-glycolide)-methoxy-poly(ethylene glycol) nanoparticles: Drug loading and release properties. J. Nanosci. Nanotechnol. 2006, 6, 3080–3086. [Google Scholar] [CrossRef] [PubMed]
- Kashi, T.S.; Eskandarion, S.; Esfandyari-Manesh, M.; Marashi, S.M.; Samadi, N.; Fatemi, S.M.; Atyabi, F.; Eshraghi, S.; Dinarvand, R. Improved drug loading and antibacterial activity of minocycline-loaded PLGA nanoparticles prepared by solid/oil/water ion pairing method. Int. J. Nanomed. 2012, 7, 221–234. [Google Scholar] [PubMed]
- Jensen, M.M.; Jørgensen, J.T.; Binderup, T.; Kjær, A. Tumor volume in subcutaneous mouse xenografts measured by microct is more accurate and reproducible than determined by 18F-FDG-microPET or external caliper. BMC Med. Imaging 2008, 8, 16. [Google Scholar] [CrossRef] [PubMed]
- Livak, K.J.; Schmittgen, T.D. Analysis of relative gene expression data using real-time quantitative PCR and the 2−ΔΔCT method. Methods 2001, 25, 402–408. [Google Scholar] [CrossRef] [PubMed]






© 2017 by the authors. Licensee MDPI, Basel, Switzerland. This article is an open access article distributed under the terms and conditions of the Creative Commons Attribution (CC BY) license (http://creativecommons.org/licenses/by/4.0/).
Share and Cite
Abou-ElNaga, A.; Mutawa, G.; El-Sherbiny, I.M.; Abd-ElGhaffar, H.; Allam, A.A.; Ajarem, J.; Mousa, S.A. Novel Nano-Therapeutic Approach Actively Targets Human Ovarian Cancer Stem Cells after Xenograft into Nude Mice. Int. J. Mol. Sci. 2017, 18, 813. https://doi.org/10.3390/ijms18040813
Abou-ElNaga A, Mutawa G, El-Sherbiny IM, Abd-ElGhaffar H, Allam AA, Ajarem J, Mousa SA. Novel Nano-Therapeutic Approach Actively Targets Human Ovarian Cancer Stem Cells after Xenograft into Nude Mice. International Journal of Molecular Sciences. 2017; 18(4):813. https://doi.org/10.3390/ijms18040813
Chicago/Turabian StyleAbou-ElNaga, Amoura, Ghada Mutawa, Ibrahim M. El-Sherbiny, Hassan Abd-ElGhaffar, Ahmed A. Allam, Jamaan Ajarem, and Shaker A. Mousa. 2017. "Novel Nano-Therapeutic Approach Actively Targets Human Ovarian Cancer Stem Cells after Xenograft into Nude Mice" International Journal of Molecular Sciences 18, no. 4: 813. https://doi.org/10.3390/ijms18040813
APA StyleAbou-ElNaga, A., Mutawa, G., El-Sherbiny, I. M., Abd-ElGhaffar, H., Allam, A. A., Ajarem, J., & Mousa, S. A. (2017). Novel Nano-Therapeutic Approach Actively Targets Human Ovarian Cancer Stem Cells after Xenograft into Nude Mice. International Journal of Molecular Sciences, 18(4), 813. https://doi.org/10.3390/ijms18040813

