Identification of Marrubiin as a Cathepsin C Inhibitor for Treating Rheumatoid Arthritis
Abstract
1. Introduction
2. Results
2.1. Screening Campaign for Putative Cathepsin C Inhibitors
2.2. Marrubiin as a Potent and Selective CTSC Inhibitor
2.3. Marrubiin Exerts Anti-Inflammatory Effect via Modulating Cytokine Levels
2.4. Marrubiin Enhances Protein Stability by Binding to Intracellular CTSC
2.5. Docking Study of Marrubiin
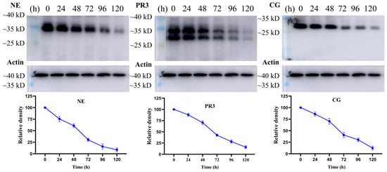
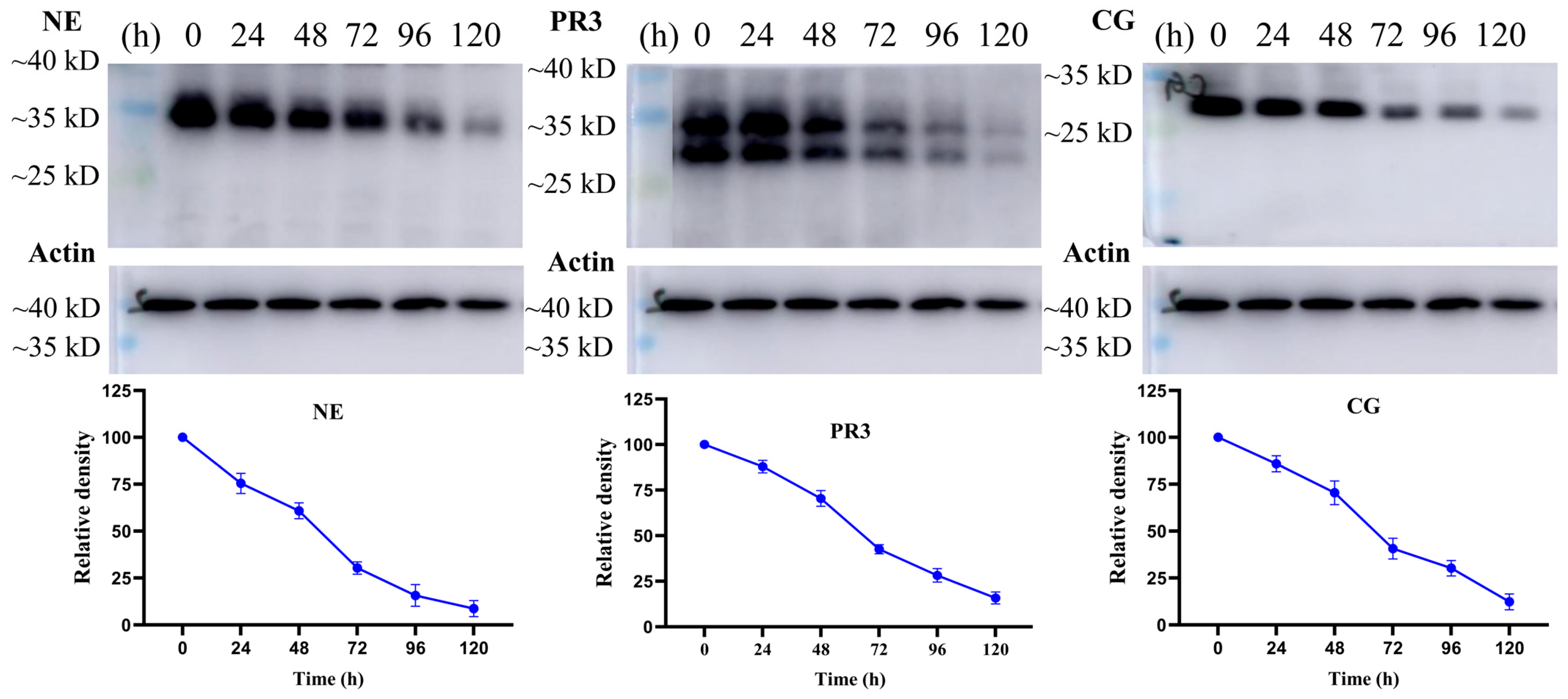
2.6. Marrubiin Suppresses Intracellular NSPs Activities and Protein Levels
2.7. Marrubiin Suppresses CTSC and NSPs Activities In Vivo Without Detectable Toxicity
2.8. Marrubiin Exerts Anti-Inflammatory Effects in AIA Model
3. Discussion
4. Conclusions
5. Materials and Methods
5.1. Natural Product Information
5.2. In Vitro CTSC Enzyme Assay
5.3. Cell Culture
5.4. Intracellular CTSC Enzymatic Activity Assay
5.5. Cytotoxicity Assay of Compounds
5.6. Selectivity Evaluation
5.7. Measurement of NO Production and Cytokine Production Assays
5.8. Western Blot Analysis
5.9. Cellular Thermal Shift Assay
5.10. Molecule Docking
5.11. NSPs Activity Detection In Vitro
5.12. Stability of NSPs In Vitro
5.13. Animal Welfare
5.14. NSPs Activities and Safety Evaluation In Vivo
5.15. AIA Model Induction and Anti-Inflammatory Activity Evaluation of Marrubiin
5.16. Statistical Analysis
Supplementary Materials
Author Contributions
Funding
Institutional Review Board Statement
Informed Consent Statement
Data Availability Statement
Acknowledgments
Conflicts of Interest
Abbreviations
| AIA | Adjuvant-induced arthritis |
| Cat G | Cathepsin G |
| CETSA | Cellular thermal shift assay |
| CFA | Complete Freund’s Adjuvant |
| COPD | Chronic obstructive pulmonary disease |
| CTSB | Cathepsin B |
| CTSC | Cathepsin C |
| CTSK | Cathepsin K |
| CTSL | Cathepsin L |
| CTSS | Cathepsin S |
| CXCL2 | C-X-C motif chemokine ligand 2 |
| DMSO | Dimethyl Sulfoxide |
| H&E | Hematoxylin-eosin |
| IBD | Inflammatory bowel disease |
| IL-1β | Interleukin-1 beta |
| IL-6 | Interleukin-6 |
| LPS | Iipopolysaccharide |
| MCP-1 | Monocyte Chemoattractant Protein-1 |
| NCFBE | Non-Cystic Fibrosis Bronchiectasis |
| NE | Neutrophil Elastase |
| NO | Nitric Oxide |
| NSP | Neutrophil Serine Protease |
| PR3 | Proteinase 3 |
| RA | Rheumatoid Arthritis |
| TNF-α | Tumor Necrosis Factor-alpha |
References
- Shen, X.B.; Chen, X.; Zhang, Z.Y.; Wu, F.F.; Liu, X.H. Cathepsin C inhibitors as anti-inflammatory drug discovery: Challenges and opportunities. Eur. J. Med. Chem. 2021, 225, 113818. [Google Scholar] [CrossRef]
- Korkmaz, B.; Caughey, G.H.; Chapple, I.; Gauthier, F.; Hirschfeld, J.; Jenne, D.E.; Kettritz, R.; Lalmanach, G.; Lamort, A.S.; Lauritzen, C.; et al. Therapeutic targeting of cathepsin C: From pathophysiology to treatment. Pharmacol. Ther. 2018, 190, 202–236. [Google Scholar] [CrossRef] [PubMed]
- McGuire, M.J.; Lipsky, P.E.; Thiele, D.L. Generation of active myeloid and lymphoid granule serine proteases requires processing by the granule thiol protease dipeptidyl peptidase I. J. Biol. Chem. 1993, 268, 2458–2467. [Google Scholar] [CrossRef] [PubMed]
- Pham, C.T.; Ley, T.J. Dipeptidyl peptidase I is required for the processing and activation of granzymes A and B in vivo. Proc. Natl. Acad. Sci. USA 1999, 96, 8627–8632. [Google Scholar] [CrossRef]
- Wolters, P.J.; Pham, C.T.; Muilenburg, D.J.; Ley, T.J.; Caughey, G.H. Dipeptidyl peptidase I is essential for activation of mast cell chymases, but not tryptases, in mice. J. Biol. Chem. 2001, 276, 18551–18556. [Google Scholar] [CrossRef]
- Sheth, P.D.; Pedersen, J.; Walls, A.F.; McEuen, A.R. Inhibition of dipeptidyl peptidase I in the human mast cell line HMC-1: Blocked activation of tryptase, but not of the predominant chymotryptic activity. Biochem. Pharmacol. 2003, 66, 2251–2262. [Google Scholar] [CrossRef]
- Adkison, A.M.; Raptis, S.Z.; Kelley, D.G.; Pham, C.T.N. Dipeptidyl peptidase I activates neutrophil-derived serine proteases and regulates the development of acute experimental arthritis. J. Clin. Investig. 2002, 109, 363–371. [Google Scholar] [CrossRef]
- Korkmaz, B.; Lesner, A.; Marchand-Adam, S.; Moss, C.; Jenne, D.E. Lung Protection by Cathepsin C Inhibition: A New Hope for COVID-19 and ARDS? J. Med. Chem. 2020, 63, 13258–13265. [Google Scholar] [CrossRef]
- Methot, N.; Guay, D.; Rubin, J.; Ethier, D.; Ortega, K.; Wong, S.; Normandin, D.; Beaulieu, C.; Reddy, T.J.; Riendeau, D.; et al. In vivo inhibition of serine protease processing requires a high fractional inhibition of cathepsin C. Mol. Pharmacol. 2008, 73, 1857–1865. [Google Scholar] [CrossRef]
- Kingwell, K. Neutrophil-targeting drug seeks first approval in an inflammatory lung disease. Nat. Rev. Drug Discov. 2025, 24, 487–489. [Google Scholar] [CrossRef]
- Hamon, Y.; Legowska, M.; Herve, V.; Dallet-Choisy, S.; Marchand-Adam, S.; Vanderlynden, L.; Demonte, M.; Williams, R.; Scott, C.J.; Si-Tahar, M.; et al. Neutrophilic Cathepsin C Is Maturated by a Multistep Proteolytic Process and Secreted by Activated Cells during Inflammatory Lung Diseases. J. Biol. Chem. 2016, 291, 8486–8499. [Google Scholar] [CrossRef]
- Chalmers, J.D.; Mall, M.A.; Chotirmall, S.H.; O’Donnell, A.E.; Flume, P.A.; Hasegawa, N.; Ringshausen, F.C.; Watz, H.; Xu, J.F.; Shteinberg, M.; et al. Targeting neutrophil serine proteases in bronchiectasis. Eur. Respir. J. 2025, 65, 2401050. [Google Scholar] [CrossRef]
- Miller, B.E.; Mayer, R.J.; Goyal, N.; Bal, J.; Dallow, N.; Boyce, M.; Carpenter, D.; Churchill, A.; Heslop, T.; Lazaar, A.L. Epithelial desquamation observed in a phase I study of an oral cathepsin C inhibitor (GSK2793660). Br. J. Clin. Pharmacol. 2017, 83, 2813–2820. [Google Scholar] [CrossRef] [PubMed]
- Furber, M.; Tiden, A.K.; Gardiner, P.; Mete, A.; Ford, R.; Millichip, I.; Stein, L.; Mather, A.; Kinchin, E.; Luckhurst, C.; et al. Cathepsin C inhibitors: Property optimization and identification of a clinical candidate. J. Med. Chem. 2014, 57, 2357–2367. [Google Scholar] [CrossRef] [PubMed]
- Doyle, K.; Lonn, H.; Kack, H.; Van de Poel, A.; Swallow, S.; Gardiner, P.; Connolly, S.; Root, J.; Wikell, C.; Dahl, G.; et al. Discovery of Second Generation Reversible Covalent DPP1 Inhibitors Leading to an Oxazepane Amidoacetonitrile Based Clinical Candidate (AZD7986). J. Med. Chem. 2016, 59, 9457–9472. [Google Scholar] [CrossRef] [PubMed]
- Laine, D.I.; Busch-Petersen, J. Inhibitors of cathepsin C (dipeptidyl peptidase I). Expert. Opin. Ther. Pat. 2010, 20, 497–506. [Google Scholar] [CrossRef]
- Guay, D.; Beaulieu, C.; Percival, M.D. Therapeutic utility and medicinal chemistry of cathepsin C inhibitors. Curr. Top. Med. Chem. 2010, 10, 708–716. [Google Scholar] [CrossRef]
- Chitsamankhun, C.; Siritongtaworn, N.; Fournier, B.P.J.; Sriwattanapong, K.; Theerapanon, T.; Samaranayake, L.; Porntaveetus, T. Cathepsin C in health and disease: From structural insights to therapeutic prospects. J. Transl. Med. 2024, 22, 777. [Google Scholar] [CrossRef]
- Chen, X.; Yan, Y.; Zhang, Z.; Zhang, F.; Liu, M.; Du, L.; Zhang, H.; Shen, X.; Zhao, D.; Shi, J.B.; et al. Discovery and In Vivo Anti-inflammatory Activity Evaluation of a Novel Non-peptidyl Non-covalent Cathepsin C Inhibitor. J. Med. Chem. 2021, 64, 11857–11885. [Google Scholar] [CrossRef]
- Chen, X.; Yan, Y.; Du, J.; Shen, X.; He, C.; Pan, H.; Zhu, J.; Liu, X. Non-peptidyl non-covalent cathepsin C inhibitoEEr bearing a unique thiophene-substituted pyridine: Design, structure-activity relationship and anti-inflammatory activity in vivo. Eur. J. Med. Chem. 2022, 236, 114368. [Google Scholar] [CrossRef]
- Chen, X.; Lou, Y.; Zhou, F.; Shi, D.; Liu, X.; Tao, F. Identification of novel indolinone derivatives as CTSC inhibitors to treat inflammatory bowel disease by modulating inflammatory factors. Eur. J. Med. Chem. 2024, 280, 116914. [Google Scholar] [CrossRef]
- Nishibata, Y.; Arai, S.; Taniguchi, M.; Nakade, I.; Ogawa, H.; Kitano, S.; Hosoi, Y.; Shindo, A.; Nishiyama, R.; Masuda, S.; et al. Cathepsin C inhibition reduces neutrophil serine protease activity and improves activated neutrophil-mediated disorders. Nat. Commun. 2024, 15, 6519. [Google Scholar] [CrossRef] [PubMed]
- Chen, X.; Varghese, S.; Zhang, Z.; Du, J.; Ruan, B.; Baell, J.B.; Liu, X. Drug discovery and optimization based on the co-crystal structure of natural product with target. Eur. J. Med. Chem. 2024, 266, 116126. [Google Scholar] [CrossRef] [PubMed]
- Newman, D.J.; Cragg, G.M. Natural Products as Sources of New Drugs from 1981 to 2014. J. Nat. Prod. 2016, 79, 629–661. [Google Scholar] [CrossRef] [PubMed]
- Hamilton, G.; Colbert, J.D.; Schuettelkopf, A.W.; Watts, C. Cystatin F is a cathepsin C-directed protease inhibitor regulated by proteolysis. EMBO J. 2008, 27, 499–508. [Google Scholar] [CrossRef]
- Liu, W.; Yan, M.; Liu, Y.; McLeish, K.R.; Coleman, W.G., Jr.; Rodgers, G.P. Olfactomedin 4 inhibits cathepsin C-mediated protease activities, thereby modulating neutrophil killing of Staphylococcus aureus and Escherichia coli in mice. J. Immunol. 2012, 189, 2460–2467. [Google Scholar] [CrossRef]
- Wang, J.; Chu, Y.; Zhou, X. Inhibitory effect of Triperygium wilfordii polyglucoside on dipeptidyl peptidase I in vivo and in vitro. Biomed. Pharmacother. 2017, 96, 466–470. [Google Scholar] [CrossRef]
- Bahuguna, A.; Khaket, T.P.; Bajpai, V.K.; Shukla, S.; Park, I.; Na, M.; Huh, Y.S.; Han, Y.K.; Kang, S.C.; Kim, M. N-Acetyldopamine dimers from Oxya chinensis sinuosa attenuates lipopolysaccharides induced inflammation and inhibits cathepsin C activity. Comput. Struct. Biotechnol. J. 2022, 20, 1177–1188. [Google Scholar] [CrossRef]
- Liao, H.C.; Kuo, L.M.; Chen, W.T.; Huang, Y.L.; Sethy, B.; Dhandabani, G.K.; Hsieh, P.W. Isolation, synthesis and structure-activity relationships of gallotannin derivatives as cathepsin C inhibitor. Bioorg. Med. Chem. Lett. 2025, 120, 130133. [Google Scholar] [CrossRef]
- Aghdassi, A.A.; Pham, C.; Zierke, L.; Mariaule, V.; Korkmaz, B.; Rhimi, M. Cathepsin C role in inflammatory gastroenterological, renal, rheumatic, and pulmonary disorders. Biochimie 2024, 216, 175–180. [Google Scholar] [CrossRef]
- Newman, D.J.; Cragg, G.M. Natural Products as Sources of New Drugs over the Nearly Four Decades from 01/1981 to 09/2019. J. Nat. Prod. 2020, 83, 770–803. [Google Scholar] [CrossRef]
- Eberhardt, L.; Kumar, K.; Waldmann, H. Exploring and exploiting biologically relevant chemical space. Curr. Drug Targets 2011, 12, 1531–1546. [Google Scholar] [CrossRef]
- Li, C.S.; Di, Y.T.; Mu, S.Z.; He, H.P.; Zhang, Q.; Fang, X.; Zhang, Y.; Li, S.L.; Lu, Y.; Gong, Y.Q.; et al. Daphniphyllum and diterpenoid alkaloids from Daphniphyllum longeracemosum. J. Nat. Prod. 2008, 71, 1202–1206. [Google Scholar] [CrossRef] [PubMed]
- Gan, L.; Zheng, Y.; Deng, L.; Sun, P.; Ye, J.; Wei, X.; Liu, F.; Yu, L.; Ye, W.; Fan, C.; et al. Diterpenoid Lactones with Anti-Inflammatory Effects from the Aerial Parts of Andrographis paniculata. Molecules 2019, 24, 2726. [Google Scholar] [CrossRef] [PubMed]
- Fei, D.Q.; Dong, L.L.; Qi, F.M.; Fan, G.X.; Li, H.H.; Li, Z.Y.; Zhang, Z.X. Euphorikanin A, a Diterpenoid Lactone with a Fused 5/6/7/3 Ring System from Euphorbia kansui. Org. Lett. 2011, 8, 2844–2847. [Google Scholar] [CrossRef] [PubMed]
- Lee, C.W.; Wang, B.Y.; Wong, S.H.; Chen, Y.F.; Cao, Q.; Hsiao, A.W.; Fung, S.H.; Chen, Y.F.; Wu, H.H.; Cheng, P.Y.; et al. Ginkgolide B increases healthspan and lifespan of female mice. Nat. Aging 2025, 5, 237–258. [Google Scholar] [CrossRef]
- Wei, Y.; Wang, C.; Cheng, Z.; Tian, X.; Jia, J.; Cui, Y.; Feng, L.; Sun, C.; Zhang, B.; Ma, X. Heterodimeric Diterpenoids Isolated from Euphorbia ebracteolata Roots and Their Inhibitory Effects on α-Glucosidase. J. Nat. Prod. 2017, 80, 3218–3223. [Google Scholar] [CrossRef]
- Acimovic, M.; Jeremic, K.; Salaj, N.; Gavaric, N.; Kiprovski, B.; Sikora, V.; Zeremski, T. Marrubium vulgare L.: A Phytochemical and Pharmacological Overview. Molecules 2020, 25, 2898. [Google Scholar] [CrossRef]
- Popoola, O.K.; Elbagory, A.M.; Ameer, F.; Hussein, A.A. Marrubiin. Molecules 2013, 18, 9049–9060. [Google Scholar] [CrossRef]
- Amri, B.; Martino, E.; Vitulo, F.; Corana, F.; Kaab, L.B.; Rui, M.; Rossi, D.; Mori, M.; Rossi, S.; Collina, S. Marrubium vulgare L. Leave Extract: Phytochemical Composition, Antioxidant and Wound Healing Properties. Molecules 2017, 22, 1851. [Google Scholar] [CrossRef]
- Stulzer, H.K.; Tagliari, M.P.; Zampirolo, J.A.; Cechinel-Filho, V.; Schlemper, V. Antioedematogenic effect of marrubiin obtained from Marrubium vulgare. J. Ethnopharmacol. 2006, 108, 379–384. [Google Scholar] [CrossRef]
- Mnonopi, N.; Levendal, R.A.; Mzilikazi, N.; Frost, C.L. Marrubiin, a constituent of Leonotis leonurus, alleviates diabetic symptoms. Phytomedicine 2012, 19, 488–493. [Google Scholar] [CrossRef] [PubMed]
- Rezgui, M.; Majdoub, N.; Mabrouk, B.; Baldisserotto, A.; Bino, A.; Ben Kaab, L.B.; Manfredini, S. Antioxidant and antifungal activities of marrubiin, extracts and essential oil from Marrubium vulgare L. against pathogenic dermatophyte strains. J. De. Mycol. Médicale 2020, 30, 100927. [Google Scholar] [CrossRef] [PubMed]
- Nakhlband, A.; Garjani, A.; Saeedi, N.; Omidi, Y.; Ghaffari, S.; Barar, J.; Eskandani, M. Atherosclerosis preventive effects of marrubiin against (TNF-alpha)-induced oxidative stress and apoptosis. J. Cardiovasc. Thorac. Res. 2023, 15, 174–180. [Google Scholar] [CrossRef] [PubMed]
- Hammami, S.; Li, Z.; Huang, M.; El Mokni, R.; Dhaouadi, H.; Yin, S. New bioactive labdane diterpenoids from Marrubium aschersonii. Nat. Prod. Res. 2016, 30, 2142–2148. [Google Scholar] [CrossRef]
- Xu, X.; Li, J.; Liu, M.; Zhang, B. Neuroprotective effect of marrubiin against MPTP-induced experimental Parkinson’s disease in male wistar rats. Toxicol. Mech. Methods 2024, 34, 908–919. [Google Scholar] [CrossRef]
- Radulovic, N.S.; Dordevic Zlatkovic, M.R.; Stojanovic, N.M.; Nesic, M.S.; Zlatkovic, D.B.; Potic Floranovic, M.S.; Trickovic Vukic, D.S.; Randjelovic, P.J. Marrubiin Inhibits Peritoneal Inflammatory Response Induced by Carrageenan Application in C57 Mice. Int. J. Mol. Sci. 2024, 25, 4496. [Google Scholar] [CrossRef]
- Wang, X.; Li, J.; Xu, C.; Li, Y.; Gong, T.; Sun, X.; Fu, Y.; He, Q.; Zhang, Z. Scopine as a novel brain-targeting moiety enhances the brain uptake of chlorambucil. Bioconjugate Chem. 2014, 25, 2046–2054. [Google Scholar] [CrossRef]
- Yu, D.; Hu, H.; Zhang, Q.; Wang, C.; Xu, M.; Xu, H.; Geng, X.; Cai, M.; Zhang, H.; Guo, M.; et al. Acevaltrate as a novel ferroptosis inducer with dual targets of PCBP1/2 and GPX4 in colorectal cancer. Signal Transduct. Target. Ther. 2025, 10, 211. [Google Scholar] [CrossRef]
- Guzmán, L.; Villalón, K.; Marchant, M.J.; Tarnok, M.E.; Cárdenas, P.; Aquea, G.; Acevedo, W.; Padilla, L.; Bernal, G.; Molinari, A.; et al. In vitro evaluation and molecular docking of QS-21 and quillaic acid from Quillaja saponaria Molina as gastric cancer agents. Sci. Rep. 2020, 10, 10534. [Google Scholar] [CrossRef]
- Amorim Franco, T.M.; Favrot, L.; Vergnolle, O.; Blanchard, J.S. Mechanism-Based Inhibition of the Mycobacterium tuberculosis Branched-Chain Aminotransferase by d- and l-Cycloserine. ACS Chem. Biol. 2017, 12, 1235–1244. [Google Scholar] [CrossRef]
- Martinez Molina, D.; Nordlund, P. The Cellular Thermal Shift Assay: A Novel Biophysical Assay for In Situ Drug Target Engagement and Mechanistic Biomarker Studies. Annu. Rev. Pharmacol. Toxicol. 2016, 56, 141–161. [Google Scholar] [CrossRef]
- Kakeya, H. Natural products-prompted chemical biology: Phenotypic screening and a new platform for target identification. Nat. Prod. Rep. 2016, 33, 648–654. [Google Scholar] [CrossRef] [PubMed]
- Tromsdorf, N.; Ullrich, F.T.H.; Rethmeier, M.; Sommerhoff, C.P.; Schaschke, N. E-64c-Hydrazide Based Cathepsin C Inhibitors: Optimizing the Interactions with the S1’-S2’ Area. ChemMedChem 2023, 18, e202300218. [Google Scholar] [CrossRef] [PubMed]
- Muno, D.; Ishidoh, K.; Ueno, T.; Kominami, E. Processing and transport of the precursor of cathepsin C during its transfer into lysosomes. Arch. Biochem. Biophys. 1993, 306, 103–110. [Google Scholar] [CrossRef] [PubMed]
- FRUTON, J.S.; MYCEK, M.J. Studies on beef spleen cathepsin C. Arch. Biochem. Biophys. 1956, 65, 11–20. [Google Scholar] [CrossRef]
- Guarino, C.; Hamon, Y.; Croix, C.; Lamort, A.S.; Dallet-Choisy, S.; Marchand-Adam, S.; Lesner, A.; Baranek, T.; Viaud-Massuard, M.C.; Lauritzen, C.; et al. Prolonged pharmacological inhibition of cathepsin C results in elimination of neutrophil serine proteases. Biochem. Pharmacol. 2017, 131, 52–67. [Google Scholar] [CrossRef]
- Batson, S.; de Chiara, C.; Majce, V.; Lloyd, A.J.; Gobec, S.; Rea, D.; Fülöp, V.; Thoroughgood, C.W.; Simmons, K.J.; Dowson, C.G.; et al. Inhibition of D-Ala:D-Ala ligase through a phosphorylated form of the antibiotic D-cycloserine. Nat. Commun. 2017, 8, 1939. [Google Scholar] [CrossRef]
- Chen, K.J.; Zhang, J.; LaSala, D.; Basso, J.; Chun, D.; Zhou, Y.; McDonald, P.P.; Perkins, W.R.; Cipolla, D.C. Brensocatib, an oral, reversible inhibitor of dipeptidyl peptidase 1, mitigates interferon-α-accelerated lupus nephritis in mice. Front. Immunol. 2023, 14, 1185727. [Google Scholar] [CrossRef]
- McDonald, P.P.; Leifer, F.G.; Basso, J.; Lasala, D.; Li, D.; Chen, K.J.; Zhang, J.; Perkins, W.R.; Cipolla, D.C. Brensocatib (an oral, reversible inhibitor of dipeptidyl peptidase-1) attenuates disease progression in two animal models of rheumatoid arthritis. Front. Immunol. 2023, 14, 1231047. [Google Scholar] [CrossRef]
- Basso, J.; Chen, K.J.; Zhou, Y.; Mark, L.; LaSala, D.; Dorfman, A.; Atalla, M.; Chun, D.; Viramontes, V.; Chang, C.; et al. The pharmacokinetic profile of brensocatib and its effect on pharmacodynamic biomarkers including NE, PR3, and CatG in various rodent species. Front. Pharmacol. 2023, 14, 1208780. [Google Scholar] [CrossRef]
- Huang, Y.; Zhou, M.Y.; Li, L.L.; Lv, M.; Xu, Z.S.; Wu, X.J.; Gu, S.L.; Zhang, M.Y.; Cai, L.; Li, R. Bacopaside I, acting as an aquaporin 1 inhibitor, ameliorates rheumatoid arthritis via suppressing aquaporin 1-mediated autophagy. Phytomedicine 2025, 138, 156444. [Google Scholar] [CrossRef]
- Hu, Y.; Pham, C.T. Dipeptidyl peptidase I regulates the development of collagen-induced arthritis. Arthritis Rheum. 2005, 52, 2553–2558. [Google Scholar] [CrossRef]
- Chu, Y.; Guo, Y.; Walls, A.F.; Zhou, X. The regulatory role of Dipeptidyl peptidase I on the activation of immune granulocytes. Cell Biol. Int. 2017, 41, 1093–1102. [Google Scholar] [CrossRef]
- Korkmaz, B.; Lesner, A.; Wysocka, M.; Gieldon, A.; Hakansson, M.; Gauthier, F.; Logan, D.T.; Jenne, D.E.; Lauritzen, C.; Pedersen, J. Structure-based design and in vivo anti-arthritic activity evaluation of a potent dipeptidyl cyclopropyl nitrile inhibitor of cathepsin C. Biochem. Pharmacol. 2019, 164, 349–367. [Google Scholar] [CrossRef]
















| Cpd. | CTSC Enz (IC50: nM) | Cell-Based Enz (IC50: nM) | U937 Cytotoxicity (IC50: μM) | RAW264.7 Cytotoxicity (IC50: μM) |
|---|---|---|---|---|
| Marrubiin | 57.5 ± 1.3 | 51.6 ± 3.2 | >10 | >10 |
| Scopine | 134.8 ± 4.7 | 337.0 ± 1.8 | >10 | >10 |
| Quillaic acid | 125.0 ± 2.9 | >5000 | >10 | >10 |
| Acevaltrate | 1053.2 ± 2.2 | 702.1 ± 3.2 | >10 | >10 |
| l-Cycloserine | 1101.4 ± 2.0 | >5000 | >10 | >10 |
| AZD7986 | 9.0 ± 0.2 | 23.5 ± 1.2 | >10 | >10 |
| Cpd. | CTSC Enz (IC50: nM) | CTSL Enz (IC50: μM) | CTSS Enz (IC50: μM) | CTSB Enz (IC50: μM) | CTSK Enz (IC50: μM) |
|---|---|---|---|---|---|
| Marrubiin | 57.5 ± 1.3 | 4.4 ± 0.5 | >5 | 9.8 ± 1.1 | >5 |
| Cpd. | Dipeptidyl Peptidase 4 Enz (IC50: μM) | Dipeptidyl Peptidase 8 Enz (IC50: μM) | Dipeptidyl Peptidase 9 Enz (IC50: μM) |
|---|---|---|---|
| Marrubiin | >10 | >10 | >10 |
| Cpd. | Cat G Enz (IC50: μM) | NE Enz (IC50: μM) | PR3 Enz (IC50: μM) |
|---|---|---|---|
| Marrubiin | >10 | >10 | >10 |
Disclaimer/Publisher’s Note: The statements, opinions and data contained in all publications are solely those of the individual author(s) and contributor(s) and not of MDPI and/or the editor(s). MDPI and/or the editor(s) disclaim responsibility for any injury to people or property resulting from any ideas, methods, instructions or products referred to in the content. |
© 2025 by the authors. Licensee MDPI, Basel, Switzerland. This article is an open access article distributed under the terms and conditions of the Creative Commons Attribution (CC BY) license (https://creativecommons.org/licenses/by/4.0/).
Share and Cite
Zhou, F.-L.; Zhang, Y.; Chang, C.; Shi, D.-X.; Chen, X.; Liu, X.-H.; Shen, X.-B. Identification of Marrubiin as a Cathepsin C Inhibitor for Treating Rheumatoid Arthritis. Molecules 2025, 30, 4170. https://doi.org/10.3390/molecules30214170
Zhou F-L, Zhang Y, Chang C, Shi D-X, Chen X, Liu X-H, Shen X-B. Identification of Marrubiin as a Cathepsin C Inhibitor for Treating Rheumatoid Arthritis. Molecules. 2025; 30(21):4170. https://doi.org/10.3390/molecules30214170
Chicago/Turabian StyleZhou, Fei-Long, Yu Zhang, Cui Chang, Da-Xing Shi, Xing Chen, Xin-Hua Liu, and Xiao-Bao Shen. 2025. "Identification of Marrubiin as a Cathepsin C Inhibitor for Treating Rheumatoid Arthritis" Molecules 30, no. 21: 4170. https://doi.org/10.3390/molecules30214170
APA StyleZhou, F.-L., Zhang, Y., Chang, C., Shi, D.-X., Chen, X., Liu, X.-H., & Shen, X.-B. (2025). Identification of Marrubiin as a Cathepsin C Inhibitor for Treating Rheumatoid Arthritis. Molecules, 30(21), 4170. https://doi.org/10.3390/molecules30214170
