A Comprehensive HPTLC-Based Analysis of the Impacts of Temperature on the Chemical Properties and Antioxidant Activity of Honey
Abstract
1. Introduction
2. Results and Discussion
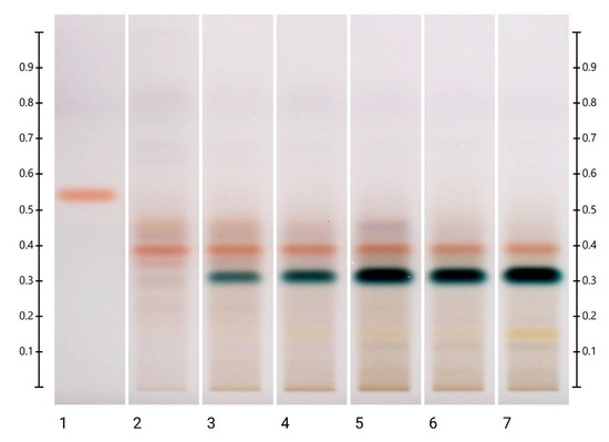
2.1. Analysis of Organic Extracts of Honeys
2.2. Analysis of an Unidentified Honey Artefact Formed during Storage under Extreme Conditions
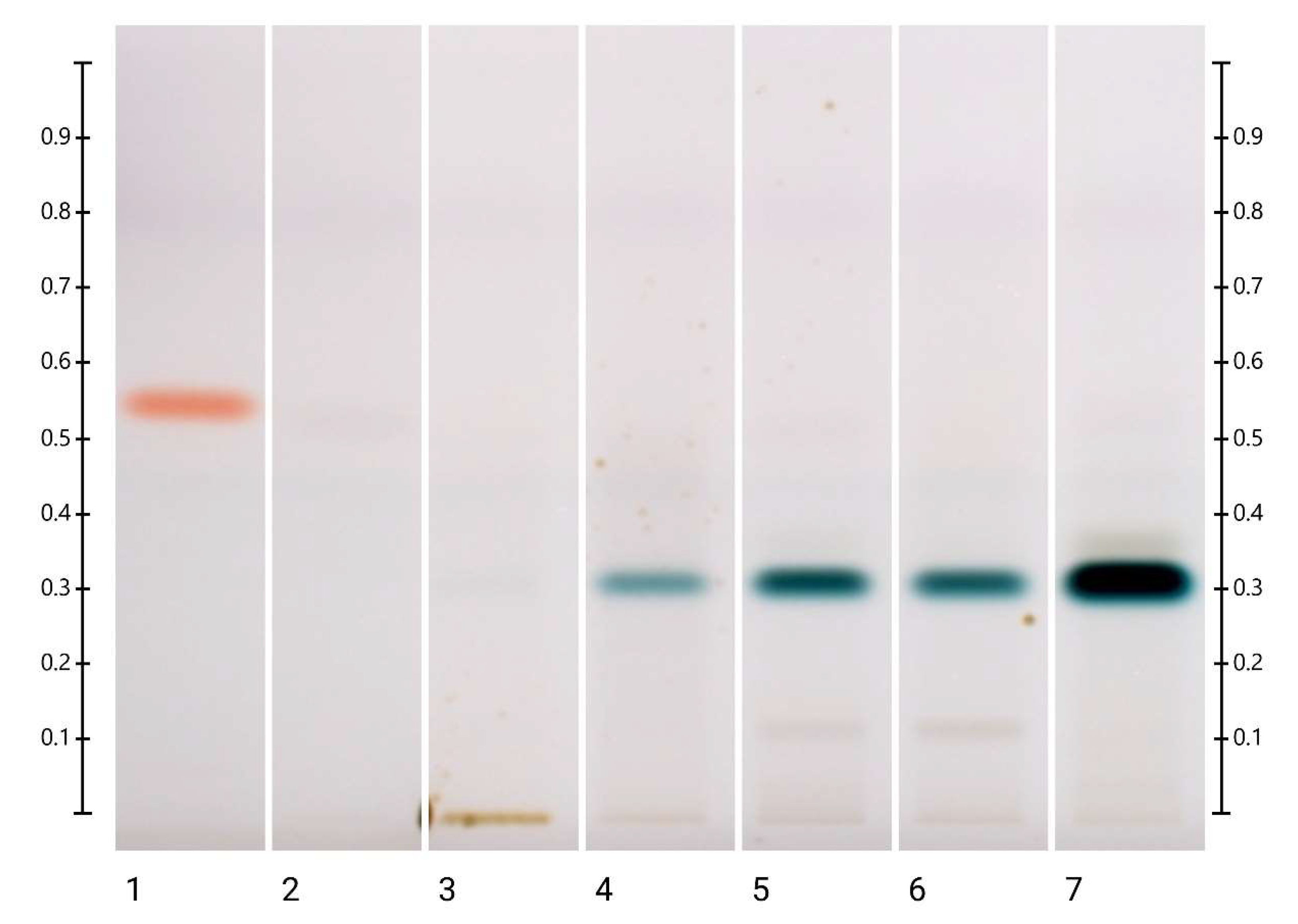
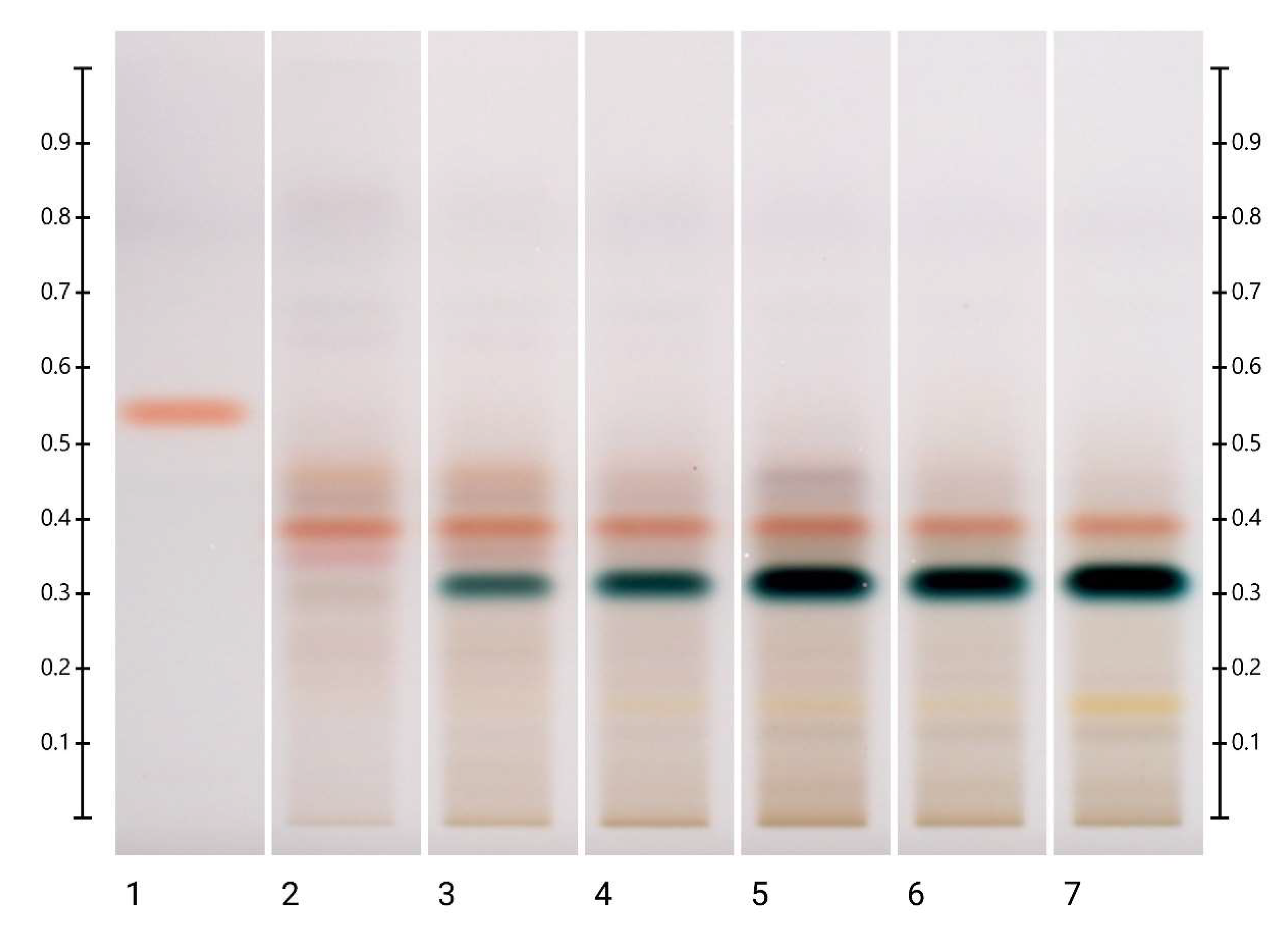
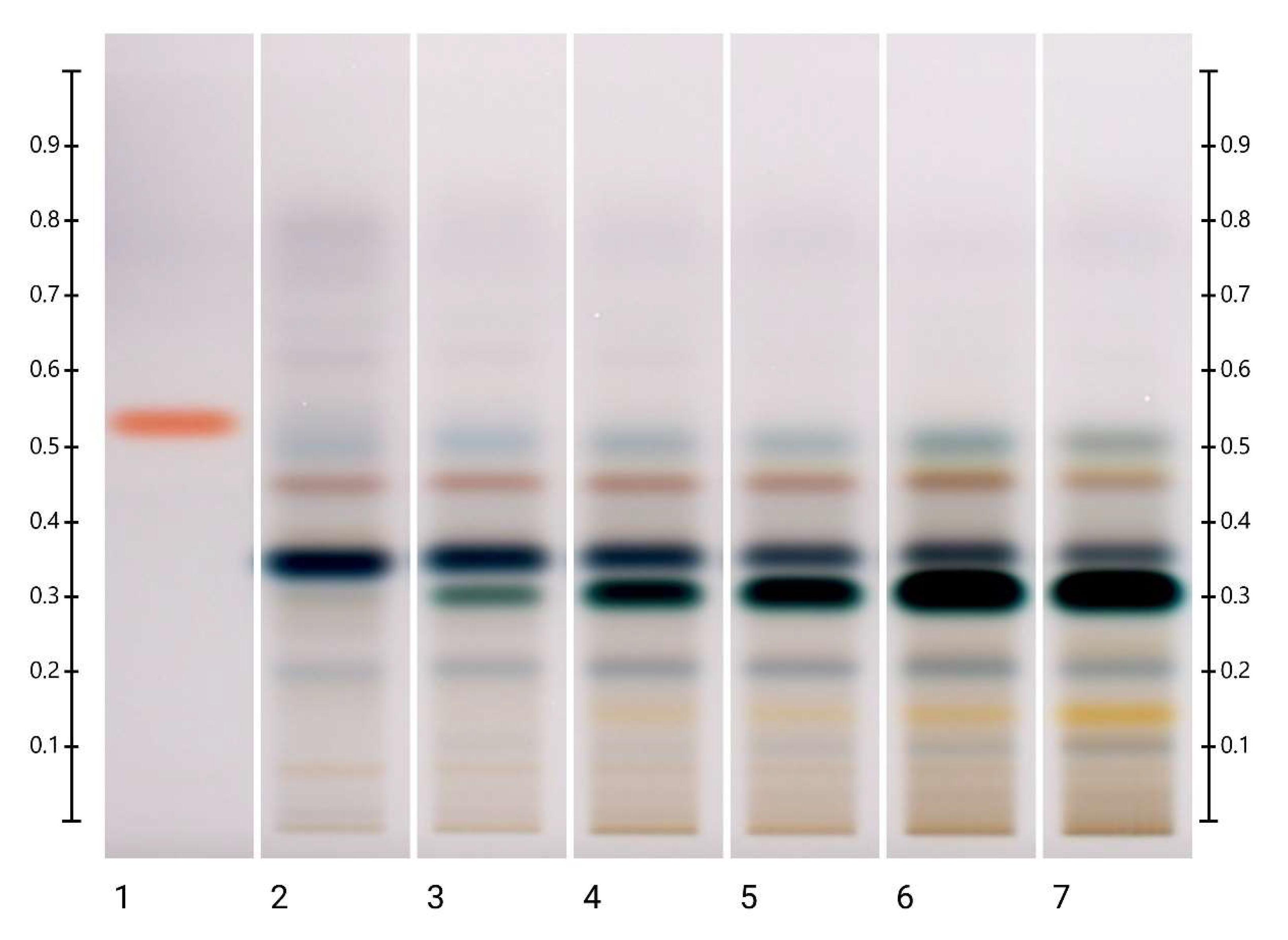
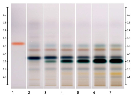
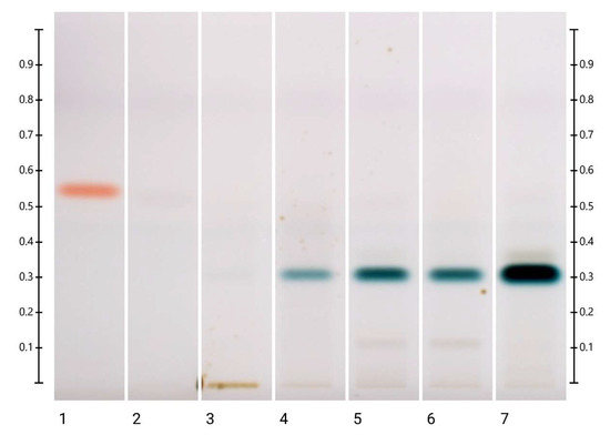
2.3. Analysis of HPTLC-DPPH Activities of the Organic Extracts of the Honeys
2.4. Analysis of the Major Sugars of the Honeys
2.5. Analysis of 5-Hydroxymethylfurfural (HMF) in the Honeys
3. Materials and Methods
3.1. Experimental Design
3.2. Chemicals and Reagents
3.3. Sample Preparation
3.3.1. Standards, Reagents and Mobile Phase Preparation
3.3.2. Preparation of the Samples for Analysis
3.4. Instrumentation and High-Performance Thin-Layer Chromatography (HPTLC) Method
3.4.1. Organic Extract Analysis
3.4.2. HPTLC-DPPH Fingerprint Analysis
3.4.3. Sugar Analysis
3.4.4. 5-Hydroxymethylfurfural (HMF) Analysis
3.5. Statistical Analysis
4. Conclusions
Supplementary Materials
Author Contributions
Funding
Informed Consent Statement
Data Availability Statement
Conflicts of Interest
References
- Bueno-Costa, F.M.; Zambiazi, R.C.; Bohmer, B.W.; Chaves, F.C.; Silva, W.P.D.; Zanusso, J.T.; Dutra, I. Antibacterial and antioxidant activity of honeys from the state of Rio Grande do Sul, Brazil. LWT—Food Sci. Technol. 2016, 65, 333–340. [Google Scholar] [CrossRef]
- Alimentarius, C. Revised codex standard for honey. Codex Stan 2001, 12, 1982. [Google Scholar]
- Albaridi, N.A. Antibacterial Potency of Honey. Int. J. Microbiol. 2019, 2019, 2464507. [Google Scholar] [CrossRef]
- Escuredo, O.; Dobre, I.; Fernández-González, M.; Seijo, M.C. Contribution of botanical origin and sugar composition of honeys on the crystallization phenomenon. Food Chem. 2014, 149, 84–90. [Google Scholar] [CrossRef]
- Machado De-Melo, A.A.; Almeida-Muradian, L.B.D.; Sancho, M.T.; Pascual-Maté, A. Composition and properties of Apis mellifera honey: A review. J. Apic. Res. 2018, 57, 5–37. [Google Scholar] [CrossRef]
- Cavia, M.M.; Fernández-Muiño, M.A.; Gömez-Alonso, E.; Montes-Pérez, M.J.; Huidobro, J.F.; Sancho, M.T. Evolution of fructose and glucose in honey over one year: Influence of induced granulation. Food Chem. 2002, 78, 157–161. [Google Scholar] [CrossRef]
- Kuropatnicki, A.K.; Kłósek, M.; Kucharzewski, M. Honey as medicine: Historical perspectives. J. Apic. Res. 2018, 57, 113–118. [Google Scholar] [CrossRef]
- Kwakman, P.H.S.; Velde, A.A.T.; de Boer, L.; Speijer, D.; Christina Vandenbroucke-Grauls, M.J.; Zaat, S.A.J. How honey kills bacteria. FASEB J. 2010, 24, 2576–2582. [Google Scholar] [CrossRef] [PubMed]
- Molan, P.C. The Antibacterial Activity of Honey. Bee World 1992, 73, 5–28. [Google Scholar] [CrossRef]
- Lawag, I.L.; Lim, L.-Y.; Joshi, R.; Hammer, K.A.; Locher, C. A Comprehensive Survey of Phenolic Constituents Reported in Monofloral Honeys around the Globe. Foods 2022, 11, 1152. [Google Scholar] [CrossRef] [PubMed]
- Roshan, N.; Rippers, T.; Locher, C.; Hammer, K.A. Antibacterial activity and chemical characteristics of several Western Australian honeys compared to manuka honey and pasture honey. Arch. Microbiol. 2017, 199, 347–355. [Google Scholar] [CrossRef]
- Karabagias, V.K.; Karabagias, I.K.; Gatzias, I. The impact of different heating temperatures on physicochemical, color attributes, and antioxidant activity parameters of Greek honeys. J. Food Process Eng. 2018, 41, e12668. [Google Scholar] [CrossRef]
- Wilczyńska, A. Effect of filtration on colour, antioxidant activity and total phenolics of honey. LWT—Food Sci. Technol. 2014, 57, 767–774. [Google Scholar] [CrossRef]
- Islam, M.K.; Lawag, I.L.; Green, K.J.; Sostaric, T.; Hammer, K.A.; Lim, L.Y.; Locher, C. An investigation of the suitability of melissopalynology to authenticate Jarrah honey. Curr. Res. Food Sci. 2022, 5, 506–514. [Google Scholar] [CrossRef]
- Sindi, A.; Chawn, M.V.B.; Hernandez, M.E.; Green, K.; Islam, M.K.; Locher, C.; Hammer, K. Anti-biofilm effects and characterisation of the hydrogen peroxide activity of a range of Western Australian honeys compared to Manuka and multifloral honeys. Sci. Rep. 2019, 9, 17666. [Google Scholar] [CrossRef] [PubMed]
- Molan, P.C.; Allen, K.L. The Effect of Gamma-irradiation on the Antibacterial Activity of Honey. J. Pharm. Pharmacol. 2011, 48, 1206–1209. [Google Scholar] [CrossRef]
- Hussein, S.Z.; Yusoff, K.M.; Makpol, S.; Yusof, Y.A. Antioxidant capacities and total phenolic contents increase with gamma irradiation in two types of Malaysian honey. Molecules 2011, 16, 6378–6395. [Google Scholar] [CrossRef]
- Kowalski, S. Changes of antioxidant activity and formation of 5-hydroxymethylfurfural in honey during thermal and microwave processing. Food Chem. 2013, 141, 1378–1382. [Google Scholar] [CrossRef]
- Bucekova, M.; Juricova, V.; Di Marco, G.; Gismondi, A.; Leonardi, D.; Canini, A.; Majtan, J. Effect of thermal liquefying of crystallised honeys on their antibacterial activities. Food Chem. 2018, 269, 335–341. [Google Scholar] [CrossRef]
- Molaveisi, M.; Beigbabaei, A.; Akbari, E.; Noghabi, M.S.; Mohamadi, M. Kinetics of temperature effect on antioxidant activity, phenolic compounds and color of Iranian jujube honey. Heliyon 2019, 5, e01129. [Google Scholar] [CrossRef]
- Escriche, I.; Visquert, M.; Juan-Borrás, M.; Fito, P. Influence of simulated industrial thermal treatments on the volatile fractions of different varieties of honey. Food Chem. 2009, 112, 329–338. [Google Scholar] [CrossRef]
- Escriche, I.; Kadar, M.; Juan-Borrás, M.; Domenech, E. Suitability of antioxidant capacity, flavonoids and phenolic acids for floral authentication of honey. Impact of industrial thermal treatment. Food Chem. 2014, 142, 135–143. [Google Scholar] [CrossRef] [PubMed]
- Yang, W.; Zhang, C.; Li, C.; Huang, Z.Y.; Miao, X. Pathway of 5-hydroxymethyl-2-furaldehyde formation in honey. J. Food Sci. Technol. 2019, 56, 2417–2425. [Google Scholar] [CrossRef]
- Zarei, M.; Fazlara, A.; Tulabifard, N. Effect of thermal treatment on physicochemical and antioxidant properties of honey. Heliyon 2019, 5, e01894. [Google Scholar] [CrossRef]
- Chen, L.; Xue, X.; Ye, Z.; Zhou, J.; Chen, F.; Zhao, J. Determination of Chinese honey adulterated with high fructose corn syrup by near infrared spectroscopy. Food Chem. 2011, 128, 1110–1114. [Google Scholar] [CrossRef]
- Qiu, P.Y.; Ding, H.B.; Tang, Y.K.; Xu, R.J. Determination of chemical composition of commercial honey by near-infrared spectroscopy. J. Agric. Food Chem. 1999, 47, 2760–2765. [Google Scholar] [CrossRef]
- Basar, B.; Ozdemir, D. Determination of honey adulteration with beet sugar and corn syrup using infrared spectroscopy and genetic-algorithm-based multivariate calibration. J. Sci. Food Agric. 2018, 98, 5616–5624. [Google Scholar] [CrossRef]
- Rios-Corripio, M.A.; Rojas-López*, M.; Delgado-Macuil, R. Analysis of adulteration in honey with standard sugar solutions and syrups using attenuated total reflectance-Fourier transform infrared spectroscopy and multivariate methods. CyTA—J. Food 2012, 10, 119–122. [Google Scholar] [CrossRef]
- Wang, J.; Kliks, M.M.; Jun, S.; Jackson, M.; Li, Q.X. Rapid analysis of glucose, fructose, sucrose, and maltose in honeys from different geographic regions using fourier transform infrared spectroscopy and multivariate analysis. J. Food Sci. 2010, 75, C208–C214. [Google Scholar] [CrossRef]
- Bárez, J.A.; Garcia-Villanova, R.J.; Garcia, S.; Palá, T.; Gonzalez-paramas, A.M.; Sánchez, J. Geographical discrimination of honeys through the employment of sugar patterns and common chemical quality parameters. Eur. Food Res. Technol. 2000, 210, 437–444. [Google Scholar]
- de la Fuente, E.; Ruiz-Matute, A.I.; Valencia-Barrera, R.M.; Sanz, J.; Castro, I.M. Carbohydrate composition of Spanish unifloral honeys. Food Chem. 2011, 129, 1483–1489. [Google Scholar] [CrossRef]
- Nayik, G.A.; Dar, B.N.; Nanda, V. Physico-chemical, rheological and sugar profile of different unifloral honeys from Kashmir valley of India. Arab. J. Chem. 2019, 12, 3151–3162. [Google Scholar] [CrossRef]
- Du, B.; Wu, L.; Xue, X.; Chen, L.; Li, Y.; Zhao, J.; Cao, W. Rapid Screening of Multiclass Syrup Adulterants in Honey by Ultrahigh-Performance Liquid Chromatography/Quadrupole Time of Flight Mass Spectrometry. J. Agric. Food Chem. 2015, 63, 6614–6623. [Google Scholar] [CrossRef] [PubMed]
- Sesta, G. Determination of sugars in royal jelly by HPLC. Apidologie 2006, 37. [Google Scholar] [CrossRef]
- Bertelli, D.; Lolli, M.; Papotti, G.; Bortolotti, L.; Serra, G.; Plessi, M. Detection of honey adulteration by sugar syrups using one-dimensional and two-dimensional high-resolution nuclear magnetic resonance. J. Agric. Food Chem. 2010, 58, 8495–8501. [Google Scholar] [CrossRef]
- Schievano, E.; Morelato, E.; Facchin, C.; Mammi, S. Characterization of markers of botanical origin and other compounds extracted from unifloral honeys. J. Agric. Food Chem. 2013, 61, 1747–1755. [Google Scholar] [CrossRef]
- Nayik, G.A.; Nanda, V. A chemometric approach to evaluate the phenolic compounds, antioxidant activity and mineral content of different unifloral honey types from Kashmir, India. LWT 2016, 74, 504–513. [Google Scholar] [CrossRef]
- Biluca, F.C.; Della Betta, F.; de Oliveira, G.P.; Pereira, L.M.; Gonzaga, L.V.; Costa, A.C.; Fett, R. 5-HMF and carbohydrates content in stingless bee honey by CE before and after thermal treatment. Food Chem. 2014, 159, 244–249. [Google Scholar] [CrossRef]
- Gul, A.; Pehlivan, T. Antioxidant activities of some monofloral honey types produced across Turkey. Saudi J. Biol. Sci. 2018, 25, 1056–1065. [Google Scholar] [CrossRef]
- Di Marco, G.; Gismondi, A.; Panzanella, L.; Canuti, L.; Impei, S.; Leonardi, D.; Canini, A. Botanical influence on phenolic profile and antioxidant level of Italian honeys. J. Food Sci. Technol. 2018, 55, 4042–4050. [Google Scholar] [CrossRef]
- Green, K.J.; Islam, M.K.; Lawag, I.; Locher, C.; Hammer, K.A. Honeys derived from plants of the coastal sandplains of Western Australia: Antibacterial and antioxidant activity, and other characteristics. J. Apic. Res. 2022, 1–14. [Google Scholar] [CrossRef]
- Gheldof, N.; Engeseth, N.J. Antioxidant capacity of honeys from various floral sources based on the determination of oxygen radical absorbance capacity and inhibition of in vitro lipoprotein oxidation in human serum samples. J. Agric. Food Chem. 2002, 50, 3050–3055. [Google Scholar] [CrossRef]
- Islam, M.K.; Sostaric, T.; Lim, L.Y.; Hammer, K.; Locher, C. A validated method for the quantitative determination of sugars in honey using high-performance thin-layer chromatography. JPC—J. Planar Chromatogr.—Mod. TLC 2020, 33, 489–499. [Google Scholar] [CrossRef]
- Islam, M.K.; Sostaric, T.; Lim, L.Y.; Hammer, K.; Locher, C. Sugar Profiling of Honeys for Authentication and Detection of Adulterants Using High-Performance Thin Layer Chromatography. Molecules 2020, 25, 5289. [Google Scholar] [CrossRef] [PubMed]
- Islam, M.K.; Vinsen, K.; Sostaric, T.; Lim, L.Y.; Locher, C. Detection of syrup adulterants in Manuka and jarrah honey using HPTLC-multivariate data analysis. PeerJ 2021, 9, e12186. [Google Scholar] [CrossRef]
- Locher, C.; Neumann, J.; Sostaric, T. Authentication of honeys of different floral origins via high-performance thin-layer chromatographic fingerprinting. JPC—J. Planar Chromatogr.—Mod. TLC 2017, 30, 57–62. [Google Scholar] [CrossRef]
- Locher, C.; Tang, E.; Neumann, J.; Sostaric, T. High-performance thin-layer chromatography profiling of Jarrah and Manuka honeys. JPC—J. Planar Chromatogr.—Mod. TLC 2018, 31, 181–189. [Google Scholar] [CrossRef]
- Islam, M.K.; Sostaric, T.; Lim, L.Y.; Hammer, K.; Locher, C. Antioxidant HPTLC-DPPH Fingerprinting of Honeys and Tracking of Antioxidant Constituents upon Thermal Exposure. Foods 2021, 10, 357. [Google Scholar] [CrossRef] [PubMed]
- Chernetsova, E.S.; Revelsky, I.A.; Morlock, G.E. Fast quantitation of 5-hydroxymethylfurfural in honey using planar chromatography. Anal. Bioanal. Chem. 2011, 401, 325–332. [Google Scholar] [CrossRef] [PubMed]
- Islam, M.K.; Sostaric, T.; Lim, L.Y.; Hammer, K.; Locher, C. Development and validation of an HPTLC–DPPH assay and its application to the analysis of honey. JPC—J. Planar Chromatogr.—Mod. TLC 2020, 33, 301–311. [Google Scholar] [CrossRef]
- Wagner, K.H.; Derkits, S.; Herr, M.; Schuh, W.; Elmadfa, I. Antioxidative potential of melanoidins isolated from a roasted glucose–glycine model. Food Chem. 2002, 78, 375–382. [Google Scholar] [CrossRef]
- Turkmen, N.; Sari, F.; Poyrazoglu, E.S.; Velioglu, Y.S. Effects of prolonged heating on antioxidant activity and colour of honey. Food Chem. 2006, 95, 653–657. [Google Scholar] [CrossRef]
- Alimentarius, C. Standard for Honey CXS 12-1981. Adopted in 1981. Revised in 1987, 2001. Amended in 2019. 2017. Available online: http://www.fao.org/fao-who-codexalimentarius/codex-texts/list-standards/en/ (accessed on 1 February 2022).
- Cooper, R.A.; Molan, P.C.; Harding, K.G. The sensitivity to honey of Gram-positive cocci of clinical significance isolated from wounds. J. Appl. Microbiol. 2002, 93, 857–863. [Google Scholar] [CrossRef] [PubMed]
- Team RC. RStudio: Integrated Development Environment for R; RStudio, PBC: Boston, MA, USA, 2020. [Google Scholar]
- Team RC. R: A Language and Environment for Statistical Computing; R Foundation for Statistical Computing: Vienna, Austria, 2020. [Google Scholar]













| ID | HPTLC Fingerprint Bands (Rf) | |||||||
|---|---|---|---|---|---|---|---|---|
| After Development | After Derivatisation | |||||||
| R 254 | R 366 | T White | R 366 | |||||
| Rf | Colour | Rf | Colour | Rf | Colour | Rf | Colour | |
| ART | - | - | - | - | - | - | 0.53 | Faint blue |
| LEP | 0.23 | 0.10 | Faint yellow | 0.23 | Dark | 0.10 | ||
| 0.33 | 0.23 | Bright blue | 0.32 | Green | 0.11 | |||
| 0.40 | 0.32 | Blue | 0.40 | Orange | 0.22 | Blue | ||
| 0.41 | 0.31 | Blue | ||||||
| 0.48 | Blue | 0.35 | Blue | |||||
| 0.40 | ||||||||
| MAR | 0.33 | 0.10 | 0.41 | Red | 0.17 | |||
| 0.42 | 0.32 | Light blue | 0.47 | Orange | 0.21 | Beige | ||
| 0.47 | 0.36 | Green | ||||||
| 0.40 | Orange-brown | |||||||
| 0.48 | Blue-green | |||||||
| PEP | 0.22 | 0.10 | Bright yellow | 0.39 | Blue | 0.10 | ||
| 0.32 | 0.32 | Bright blue | 0.49 | Orange | 0.32 | Bright blue | ||
| 0.38 | 0.39 | Brick red | ||||||
| 0.51 | 0.49 | Bright red | ||||||
| ID | Bands | Temperature | ||||
|---|---|---|---|---|---|---|
| At 40 °C | At 60 °C | At 80 °C | ||||
| 0–48 h | 48 h–5 Months | 0–48 h | 48 h–5 Months | 0–48 h | ||
| ART | Baseline | - | - | ↓ Intensity over time | ↓ Intensity over time | ↓ Intensity over time |
| New band * | Appeared at 2 months ↑ intensity over time | Appeared at 1 month ↑↑ intensity over time | Appeared at 6 h ↑↑ intensity over time | |||
| LEP | Baseline | - | ↓ intensity over time | - | ↓↓ intensity over time | ↓ intensity over time |
| New band * | Appeared at 1 month ↑ intensity over time | Appeared at 1 month ↑↑ intensity over time | Appeared at 12 h ↑↑ intensity over time | |||
| MAR | Baseline | - | ↓ intensity over time | - | ↓↓ intensity over time | ↓ intensity over time |
| New band * | Appeared at 1 month ↑ intensity over time | Appeared at 1 month ↑↑ intensity over time | Appeared at 12 h ↑↑ intensity over time | |||
| PEP | Baseline | - | ↓ intensity over time | - | ↓↓ intensity over time | ↓ intensity over time |
| New band * | Appeared at 2 months ↑ intensity over time | Appeared at 1 month ↑↑ intensity over time | Appeared at 24 h ↑ intensity over time | |||
| Honey | Fructose (mg per g Honey) | Glucose (mg per g Honey) | F/G |
|---|---|---|---|
| Average ± SD | Average ± SD | ||
| ART | 395.58 ± 7.46 | 325.12 ± 20.06 | 1.22 |
| LEP | 400.89 ± 9.74 | 274.63 ± 4.81 | 1.46 |
| MAR | 423.68 ± 6.05 | 236.61 ± 5.71 | 1.79 |
| PEP | 404.31 ± 12.11 | 247.94 ± 9.25 | 1.63 |
| Honey | Term | Temperature | Time Point (p-Value) |
|---|---|---|---|
| ART | Short | 40 °C | No significant difference |
| 60 °C | No significant difference | ||
| 80 °C | No significant difference | ||
| Long | 40 °C | No significant difference | |
| 60 °C | 3 months (p = 0.00292), 4 months (p = 0.03763) and 5 months (p = 0.0397) | ||
| LEP | Short | 40 °C | No significant difference |
| 60 °C | No significant difference | ||
| 80 °C | No significant difference | ||
| Long | 40 °C | No significant difference | |
| 60 °C | 3 months (p = 0.01994), 4 months (p = 0.000003) and 5 months (p = 0.0000005) | ||
| MAR | Short | 40 °C | No significant difference |
| 60 °C | No significant difference | ||
| 80 °C | No significant difference | ||
| Long | 40 °C | No significant difference | |
| 60 °C | 2 months (p = 0.0005369), 3 months (p = 0.00000), 4 months (p = 0.0000024) and 5 months (p = 0.00000) | ||
| PEP | Short | 40 °C | No significant difference |
| 60 °C | No significant difference | ||
| 80 °C | No significant difference | ||
| Long | 40 °C | 5 months (p = 0.00367) | |
| 60 °C | 5 months (p = 0.00133) |
| Honey | HMF (mg/kg) | SD |
|---|---|---|
| ART | – | – |
| LEP | 189.51 | 5.43 |
| MAR | 36.75 | 6.34 |
| PEP | – | – |
| Honey Type | Floral Source | Sample ID |
|---|---|---|
| Artificial | N/A | ART |
| Manuka | Leptospermum sp. | LEP |
| Marri/WA Red Gum | Corymbia calophylla | MAR |
| Coastal Peppermint | Agonis flexuosa | PEP |
Publisher’s Note: MDPI stays neutral with regard to jurisdictional claims in published maps and institutional affiliations. |
© 2022 by the authors. Licensee MDPI, Basel, Switzerland. This article is an open access article distributed under the terms and conditions of the Creative Commons Attribution (CC BY) license (https://creativecommons.org/licenses/by/4.0/).
Share and Cite
Islam, M.K.; Sostaric, T.; Lim, L.Y.; Hammer, K.; Locher, C. A Comprehensive HPTLC-Based Analysis of the Impacts of Temperature on the Chemical Properties and Antioxidant Activity of Honey. Molecules 2022, 27, 8491. https://doi.org/10.3390/molecules27238491
Islam MK, Sostaric T, Lim LY, Hammer K, Locher C. A Comprehensive HPTLC-Based Analysis of the Impacts of Temperature on the Chemical Properties and Antioxidant Activity of Honey. Molecules. 2022; 27(23):8491. https://doi.org/10.3390/molecules27238491
Chicago/Turabian StyleIslam, Md Khairul, Tomislav Sostaric, Lee Yong Lim, Katherine Hammer, and Cornelia Locher. 2022. "A Comprehensive HPTLC-Based Analysis of the Impacts of Temperature on the Chemical Properties and Antioxidant Activity of Honey" Molecules 27, no. 23: 8491. https://doi.org/10.3390/molecules27238491
APA StyleIslam, M. K., Sostaric, T., Lim, L. Y., Hammer, K., & Locher, C. (2022). A Comprehensive HPTLC-Based Analysis of the Impacts of Temperature on the Chemical Properties and Antioxidant Activity of Honey. Molecules, 27(23), 8491. https://doi.org/10.3390/molecules27238491

