A Rapid Nano-Liquid Chromatographic Method for the Analysis of Cannabinoids in Cannabis sativa L. Extracts
Abstract
1. Introduction
2. Results and Discussion
2.1. Nano-LC Method Development
2.1.1. Selection of the Stationary Phase and Mobile Phase Composition
2.1.2. Sensitivity
2.2. Evaluation of the Nano-LC Method in Terms of Precision, Linearity and Sensitivity.
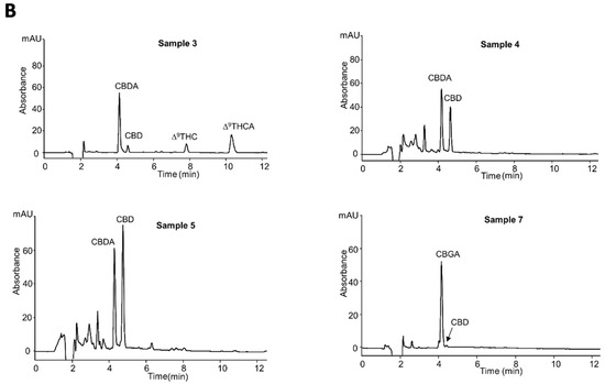
2.3. Analysis of Cannabinoids in Hemp Samples
2.3.1. Extraction Procedures
2.3.2. Determination of Main Cannabinoids in Hemp Extracts
3. Materials and Methods
3.1. Chemicals and Reagents
3.2. Instrumentation
3.3. Capillary Column Preparation
3.4. Sample Preparation
3.4.1. Dynamic Maceration (DM)
3.4.2. Ultrasound-Assisted Extraction (UAE)
3.4.3. Hydro-Alcoholic Extraction Procedure (HAE).
4. Conclusions
Supplementary Materials
Author Contributions
Funding
Institutional Review Board Statement
Informed Consent Statement
Data Availability Statement
Acknowledgments
Conflicts of Interest
Sample Availability
References
- Hartsel, J.A.; Eades, J.; Hickory, B.; Makriyannis, A. Cannabis sativa and Hemp. In Nutraceutical: Efficacy, Safety and Toxicity; Gupta, R.C., Ed.; Elsevier Inc.: London, UK, 2016; pp. 735–754. [Google Scholar]
- Brenneisen, R. Chemistry and analysis of phytocannabinoids and other constituents. In Forensic Science and Medicine: Marijuana and the Cannabinoid; Elsohly, M.A., Ed.; Humana Press Inc.: Totowa, NJ, USA, 2007; pp. 17–49. [Google Scholar]
- Thomas, B.F.; ElSohly, M.A. The Analytical Chemistry of Cannabis: Quality Assessment, Assurance and Regulation of Medicinal Marijuana and Cannabinoid Preparations, 1st ed.; Elsevier Inc.: Amsterdam, The Netherlands, 2015. [Google Scholar]
- Ohlsson, A.; Lindgren, J.E.; Wahlen, A.; Agurell, S.; Hollister, L.E.; Gillespie, H.K. Plasma delta-9-tetrahydrocannabinol concentrations and clinical effects after oral and intravenous administration and smoking. Clin. Pharmacol. Ther. 1980, 28, 409–416. [Google Scholar] [CrossRef]
- Morrison, P.D.; Zois, V.; McKeown, D.A.; Lee, T.D.; Holt, D.W.; Powell, J.F.; Kapur, S.; Murray, R.M. The acute effects of synthetic intravenous Delta9-tetrahydrocannabinol on psychosis, mood and cognitive functioning. Psychol. Med. 2009, 39, 1607–1616. [Google Scholar] [CrossRef]
- Borgelt, L.M.; Franson, K.L.; Nussbaum, A.M.; Wang, G.S. The pharmacologic and clinical effects of medical cannabis. Pharmacotherapy 2013, 33, 195–209. [Google Scholar] [CrossRef] [PubMed]
- Appendino, G.; Chianese, G.; Taglialatela-Scafati, O. Cannabinoids: Occurrence and Medicinal Chemistry. Curr. Med. Chem. 2011, 18, 1085–1099. [Google Scholar] [CrossRef]
- Pellati, F.; Borgonetti, V.; Brighenti, V.; Biagi, M.; Benvenuti, S.; Corsi, L. Cannabis sativa L. and Nonpsychoactive Cannabinoids: Their Chemistry and Role against Oxidative Stress, Inflammation, and Cancer. Biomed Res. Int. 2018, 2018, 1691428. [Google Scholar] [CrossRef]
- Lafaye, G.; Karila, L.; Blecha, L.; Benyamina, A. Cannabis, cannabinoids, and health. Dialogues Clin. Neurosci. 2017, 19, 309–316. [Google Scholar]
- Khan, B.A.; Warner, P.; Wang, H. Antibacterial Properties of Hemp and Other Natural Fibre Plants: A Review. BioResources 2014, 9, 3642–3659. [Google Scholar] [CrossRef][Green Version]
- Chandra, S.; Lata, H.; ElSohly, M.A.; Walker, L.A.; Potter, D. Cannabis cultivation: Methodological issues for obtaining medical-grade product. Epilepsy Behav. 2017, 70, 302–312. [Google Scholar] [CrossRef]
- European Monitoring Centre for Drugs and Drug Addiction (EMCDDA). Cannabis Legislation in Europe—An overview. 2017. Available online: http://www.emcdda.europa.eu/system/files/publications/4135/TD0217210ENN.pdf (accessed on 17 October 2018).
- Fischedick, J.T.; Hazekamp, A.; Erkelens, T.; Choi, Y.H.; Verpoorte, R. Metabolic fingerprinting of Cannabis sativa L., cannabinoids and terpenoids for chemotaxonomic and drug standardization purposes. Phytochemistry 2010, 71, 2058–2073. [Google Scholar] [CrossRef] [PubMed]
- Citti, C.; Braghiroli, D.; Vandelli, M.A.; Cannazza, G. Pharmaceutical and biomedical analysis of Cannabinoids: A critical review. J. Pharm. Biomed. Anal. 2018, 147, 565–579. [Google Scholar] [CrossRef] [PubMed]
- Nahar, L.; Onder, A.; Sarker, S.D. A review on the recent advances in HPLC, UHPLC and UPLC analyses of naturally occurring cannabinoids. Phytochem. Anal. 2020, 31, 413–457. [Google Scholar] [CrossRef]
- Mandrioli, M.; Tura, M.; Scotti, S.; Toschi, T.G. Fast detection of 10 cannabinoids by RP-HPLC-UV method in Cannabis sativa L. Molecules 2019, 24, 2113. [Google Scholar] [CrossRef] [PubMed]
- De Backer, B.; Debrus, B.; Lebrun, P.; Theunis, L.; Dubois, N.; Decock, L.; Verstraete, A.; Hubert, P.; Charlier, C. Innovative development and validation of an HPLC/DAD method for the qualitative and quantitative determination of major cannabinoids in cannabis plant material. J. Chromatogr. B 2009, 877, 4115–4124. [Google Scholar] [CrossRef]
- Patel, B.; Wene, D.; Fan, Z.H. Qualitative and quantitative measurement of cannabinoids in cannabis using modified HPLC/DAD method. J. Pharm. Biomed. Anal. 2017, 146, 15–23. [Google Scholar] [CrossRef] [PubMed]
- Brighenti, V.; Pellati, F.; Steinbach, M.; Maran, D. Development of a new extraction technique and HPLC method for the analysis of non-psychoactive cannabinoids in fibre-type Cannabis sativa L. (hemp). J. Pharm. Biomed. Anal. 2017, 143, 228–236. [Google Scholar] [CrossRef]
- Hädener, M.; König, S.; Weinmann, W. Quantitative determination of CBD and THC and their acid precursors in confiscated cannabis samples by HPLC-DAD. Forensic Sci. Int. 2019, 299, 142–150. [Google Scholar] [CrossRef] [PubMed]
- Citti, C.; Battisti, U.M.; Braghiroli, D.; Ciccarella, G.; Schmid, M.; Vandelli, M.A.; Cannazza, G. A metabolomic approach applied to a liquid chromatography coupled to high-resolution tandem mass spectrometry method (HPLC-ESI-HRMS/MS): Towards the comprehensive evaluation of the chemical composition of cannabis medicinal extracts. Phytochem. Anal. 2018, 29, 144–155. [Google Scholar] [CrossRef] [PubMed]
- Tiscione, N.B.; Miller, R.; Shan, X.; Sprague, J.; Yeatman, D.T. An efficient, robust method for the determination of cannabinoids in whole blood by LC-MS-MS. J. Anal. Toxicol. 2016, 40, 639–648. [Google Scholar] [CrossRef] [PubMed]
- Azipurua-Olaizola, O.; Omar, J.; Navarro, P.; Olivares, M.; Etxenarria, N.; Usobiaga, A. Identification and quantification of cannabinoids in Cannabis sativa L. plants by high performance liquid chromatography mass spectrometry. Anal. Bional. Chem. 2014, 406, 7549–7560. [Google Scholar] [CrossRef] [PubMed]
- Protti, M.; Brighenti, V.; Battaglia, M.R.; Anceschi, L.; Pellati, F.; Mercolini, L. Cannabinoids from Cannabis sativa L.: A new tool based on HPLC DAD-MS/MS for a rational use in medicinal chemistry. ACS Med. Chem. Lett. 2019, 10, 539–544. [Google Scholar] [CrossRef] [PubMed]
- Asensio-Ramos, M.; Fanali, C.; D’Orazio, G.; Fanali, S. Nano-liquid chromatography. In Liquid Chromatography, Fundamentals and Instrumentation; Fanali, S., Haddad, P., Poole, C., Riekkola, M.L., Eds.; Elsevier Inc.: Amsterdam, The Netherlands, 2017; Volume I, pp. 638–687. [Google Scholar]
- Maciel, E.V.S.; de Toffoli, A.L.; Sobieski, E.; Domingues Nazario, C.E.; Lanças, F.M. Miniaturized liquid chromatography focusing on analytical columns and mass spectrometry: A review. Anal. Chim. Acta 2020, 1103, 11–31. [Google Scholar] [CrossRef]
- Welch, C.J.; Wu, N.; Biba, M.; Hartman, R.; Brkovic, T.; Gong, X.; Helmy, R.; Schafer, W.; Cuff, J.; Pirzada, Z.; et al. Greening analytical chromatography. Trends Anal. Chem. 2010, 29, 667–680. [Google Scholar] [CrossRef]
- Fanali, C.; Dugo, L.; Dugo, P.; Mondello, L. Capillary-liquid chromatography (CLC) and nano-LC in food analysis. Trends Anal. Chem. 2013, 52, 226–238. [Google Scholar] [CrossRef]
- Aturki, Z.; Rocco, A.; Rocchi, S.; Fanali, S. Current applications of miniaturized chromatographic and electrophoretic techniques in drug analysis. J. Pharm. Biomed. Anal. 2014, 101, 194–220. [Google Scholar] [CrossRef] [PubMed]
- Merola, G.; Aturki, Z.; D’Orazio, G.; Gottardo, R.; Macchia, T.; Tagliaro, F.; Fanali, S. Analysis of synthetic cannabinoids in herbal blends by means of nano-liquid chromatography. J. Pharm. Biomed. Anal. 2012, 71, 45–53. [Google Scholar] [CrossRef] [PubMed]
- Jornet-Martínez, N.; Ortega-Sierra, A.; Verdú-Andrés, J.; Herráez-Hernández, R.; Campíns-Falcó, P. Analysis of contact traces of cannabis by in-tube solid-phase microextraction coupled to nano-liquid chromatography. Molecules 2018, 23, 2359. [Google Scholar] [CrossRef]
- Wang, Y.H.; Avula, B.; El-Sohly, M.A.; Radwan, M.M.; Wang, M.; Wanas, A.S.; Mehmedic, Z.; Khan, I.A. Quantitative determination of Δ9-THC, CBG, CBD, their acid precursors and five other neutral cannabinoids by UHPLC-UV-MS. Planta Med. 2018, 84, 260–266. [Google Scholar] [CrossRef]
- Peschel, W.; Politi, M. 1H NMR and HPLC/DAD for Cannabis sativa L. chemotype distinction, extract profiling and specification. Talanta 2015, 140, 150–165. [Google Scholar] [CrossRef]
- Mateos-Vivas, M.; Fanali, S.; Rodríguez-Gonzalo, E.; Carabias-Martínez, R.; Aturki, Z. Rapid determination of nucleotides in infant formula by means of nano-liquid chromatography. Electrophoresis 2016, 37, 1873–1880. [Google Scholar] [CrossRef] [PubMed]
- D’Orazio, G.; Fanali, C.; Gentili, A.; Tagliaro, F.; Fanali, S. Nano-liquid chromatography for enantiomers separation of baclofen by using vancomycin silica stationary phase. J. Chromatogr. A 2019, 1605, 360358. [Google Scholar] [CrossRef]
- Fanali, S.; Aturki, Z.; D’Orazio, G.; Rocco, A. Separation of basic compounds of pharmaceutical interest by using nanoliquid chromatography coupled with mass spectrometry. J. Chromatogr. A 2007, 1150, 252–258. [Google Scholar] [CrossRef] [PubMed]
- Zöllner, T.; Schwarz, M. Herbal Reference Standards: Applications, definitions and regulatory requirements. Braz. J. Pharmacogn. 2013, 23, 1–21. [Google Scholar] [CrossRef]







| Analytes | Intra-Day Precision (n = 6) | Inter-Day Precision (3 Days, n = 15) | Column-to-Column Reproducibility (3 Columns, n = 9) | |||
|---|---|---|---|---|---|---|
| tr, min (RSD%) | Peak Area (A) (RSD%) | tr, min (RSD%) | Peak Area (A) (RSD%) | tr, min (RSD%) | Peak Area (A) (RSD%) | |
| CBG | 4.75 (1.05) | 49.41 (3.71) | 4.88 (1.94) | 45.78 (4.20) | 4.82 (3.46) | 47.94 (4.55) |
| CBD | 4.94 (1.24) | 47.44 (2.76) | 5.01 (2.85) | 48.44 (3.76) | 5.12 (3.78) | 48.23 (3.88) |
| Δ9THC | 8.08 (1.56) | 43.04 (2.98) | 8.25 (2.04) | 42.48 (3.95) | 8.28 (3.96) | 43.76 (4.22) |
| CBC | 10.27 (1.78) | 37.50 (3.38) | 10.35 (2.50) | 39.48 (4.36) | 10.31 (3.65) | 41.78 (5.01) |
| Analytes | UV Detection | MS Detection | Linear Dynamic Range (μg/mL) | Slope ± SD | Intercept ± SD | R2 | ||
|---|---|---|---|---|---|---|---|---|
| LOD (µg/mL) | LOQ(µg /mL) | LOD (µg/mL) | LOQ (µg/mL) | |||||
| CBG | 0.125 | 0.50 | 0.020 | 0.055 | 1–100 | 14.537 ± 0.038 | −33.574 ± 2.856 | 0.9998 |
| CBD | 0.125 | 0.50 | 0.020 | 0.055 | 0.5–100 | 14.861 ± 0.047 | −18.298 ± 1.785 | 0.9996 |
| Δ9THC | 0.25 | 0.50 | 0.035 | 0.055 | 0.5–100 | 19.285 ± 0.076 | −32.452 ± 2.129 | 0.9994 |
| CBC | 1.0 | 2.0 | 0.125 | 0.175 | 2–150 | 6.488 ± 0.029 | −27.255 ± 1.985 | 0.9998 |
| Extraction Procedure | Initial Content (mg/g ± SD) | Content Found after Addition (mg/g ± SD) | Recovery (%) (RSD, %) | ||
|---|---|---|---|---|---|
| DM | Spiked Level (0.2 mg/g) | Spiked Level (1 mg/g) | Spiked Level (0.2 mg/g) | Spiked Level (1 mg/g) | |
| CBG | n.d. | 0.17 ± 1.8 | 0.88± 3.5 | 85. 1 (4.9) | 88.0 (3.4) |
| CBD | 7.9 ± 1.4 | 6.8 ± 0.9 | 7.5 ± 1.5 | 86.1 (5.1) | 94.9 (2.9) |
| Δ9-THC | n.d. | 0.16 ± 4.8 | 0.92 ± 2.9 | 80.0 (3.2) | 92.0 (1.8) |
| UAE | |||||
| CBG | n.d. | 0.15 ± 4.4 | 0.85 ± 2.9 | 75.0 (3.8) | 85.0 (5.7) |
| CBD | 7.6 ± 2.3 | 6.1 ± 3.7 | 6.9 ± 2.1 | 80.2 (4.9) | 90.7 (2.8) |
| Δ9-THC | n.d. | 0.15 ± 1.9 | 0.91 ± 5.1 | 75.0 (4.9) | 91.0 (3.1) |
| HAE | |||||
| CBG | n.d. | 0.18 ± 4.9 | 1.04 ± 2.5 | 90.0 (1.8) | 104.0 (4.1) |
| CBD | 8.1 ± 1.2 | 7.6 ± 2.5 | 8.0 ± 3.8 | 93.8 (2.5) | 98.7 (1.3) |
| Δ9-THC | n.d. | 0.13 ± 5.8 | 0.76 ± 2.4 | 65.0 (4.7) | 76.0 (4.1) |
| Peak Number | Compound | tr (min) | MW | Precursor ion (m/z) [M + H]+ | Product Ion (m/z) |
|---|---|---|---|---|---|
| 1 | CBDA | 6.4 | 358.5 | 359.3 | 341.5 |
| 2 | CBGA | 6.7 | 360.5 | 361.3 | 343.5 |
| 3 | CBG | 6.9 | 316.5 | 317.5 | 193.3 |
| 4 | CBD | 7.2 | 314.5 | 315.5 | - |
| 5 | Δ9THC | 11.1 | 314.5 | 315.5 | - |
| 6 | CBC | 11.9 | 314.5 | 315.5 | - |
| 7 | Δ9THCA | 13.2 | 358.5 | 359.3 | 341.5 |
| Sample Type | Sample No. | Content (mg/g ± SD) | |||||
|---|---|---|---|---|---|---|---|
| Fiber-Type Cannabis | CBDA | CBGA | CBG | CBD | Δ9THC | Δ9THCA | |
| 1 | 1-UAE | 4.7 ± 0.1 | - | - | 16.1 ± 0.1 | - | - |
| 1-DM | 5.6 ± 0.1 | - | - | 23.1 ± 0.3 | - | - | |
| 1-HAE | 7.2 ± 0.6 | - | - | 30.5 ± 4.6 | - | - | |
| 2 | 2-UAE | 28.1 ± 0.6 | - | - | 5.9 ± 0.2 | <LOQ ** | <LOQ ** |
| 2-DM | 31.7 ± 0.6 | - | - | 6.6 ± 0.4 | <LOQ ** | <LOQ ** | |
| 2-HAE | 33.9 ± 0.2 | - | - | 22.7 ± 0.9 | - | - | |
| 3 | 3-UAE | 31.7 ± 1.1 | - | - | 6.4 ± 1.4 | 0.8 ± 1.9 | 10.6 ± 1.4 |
| 3-DM | 35.3 ± 1.8 | - | - | 7.9 ± 0.2 | 1.2 ± 1.1 | 12.4 ± 0.2 | |
| 3-HAE | 40.9 ± 0.7 | - | - | 32.5 ± 1.7 | <LOQ | <LOQ | |
| 4 * | 4-HAE | 23.8 ± 0.5 | - | - | 19.5 ± 1.3 | - | - |
| 5 * | 5-HAE | 27.4 ± 1.7 | - | - | 31.3 ± 0.9 | - | - |
| 6 | 6-UAE | - | 36.3 ± 1.8 | 9.7 ± 1.8 | 13.8 ± 0.5 | - | - |
| 6-DM | - | 37.5 ± 0.9 | 10.9 ± 1.9 | 10.4 ± 1.1 | - | - | |
| 6-HAE | - | 39.5 ± 1.3 | 12.7 ± 0.8 | 15.3 ± 0.3 | - | - | |
| 7 * | 7-UAE | - | 27.9 ± 0.7 | 1.6 ± 0.5 | - | - | - |
| 7-DM | - | 31.8 ± 0.1 | 2.3 ± 0.3 | - | - | - | |
| Drug-type Cannabis 8 | 8-UAE 8-DM | 4.1 ± 0.8 5.2 ± 1.1 | - - | - - | 7.7 ± 1.4 9.1 ± 1.7 | 11.8 ± 0.3 13.3 ± 0.7 | 1.8 ± 0.3 3.2 ± 0.7 |
| 8-HAE | 7.8 ± 1.4 | - | - | 10.4 ± 1.7 | 6.5 ± 1.4 | <LOQ * | |
Publisher’s Note: MDPI stays neutral with regard to jurisdictional claims in published maps and institutional affiliations. |
© 2021 by the authors. Licensee MDPI, Basel, Switzerland. This article is an open access article distributed under the terms and conditions of the Creative Commons Attribution (CC BY) license (http://creativecommons.org/licenses/by/4.0/).
Share and Cite
Žampachová, L.; Aturki, Z.; Mariani, F.; Bednář, P. A Rapid Nano-Liquid Chromatographic Method for the Analysis of Cannabinoids in Cannabis sativa L. Extracts. Molecules 2021, 26, 1825. https://doi.org/10.3390/molecules26071825
Žampachová L, Aturki Z, Mariani F, Bednář P. A Rapid Nano-Liquid Chromatographic Method for the Analysis of Cannabinoids in Cannabis sativa L. Extracts. Molecules. 2021; 26(7):1825. https://doi.org/10.3390/molecules26071825
Chicago/Turabian StyleŽampachová, Lucie, Zeineb Aturki, Francesca Mariani, and Petr Bednář. 2021. "A Rapid Nano-Liquid Chromatographic Method for the Analysis of Cannabinoids in Cannabis sativa L. Extracts" Molecules 26, no. 7: 1825. https://doi.org/10.3390/molecules26071825
APA StyleŽampachová, L., Aturki, Z., Mariani, F., & Bednář, P. (2021). A Rapid Nano-Liquid Chromatographic Method for the Analysis of Cannabinoids in Cannabis sativa L. Extracts. Molecules, 26(7), 1825. https://doi.org/10.3390/molecules26071825

