Sign in to use this feature.

Years

Between: -

Subjects

remove_circle_outline
remove_circle_outline
remove_circle_outline
remove_circle_outline
remove_circle_outline
remove_circle_outline
remove_circle_outline
remove_circle_outline
remove_circle_outline

Journals

remove_circle_outline
remove_circle_outline
remove_circle_outline
remove_circle_outline
remove_circle_outline
remove_circle_outline
remove_circle_outline
remove_circle_outline
remove_circle_outline
remove_circle_outline
remove_circle_outline
remove_circle_outline
remove_circle_outline
remove_circle_outline
remove_circle_outline
remove_circle_outline
remove_circle_outline
remove_circle_outline
remove_circle_outline
remove_circle_outline
remove_circle_outline

Article Types

Countries / Regions

remove_circle_outline
remove_circle_outline
remove_circle_outline
remove_circle_outline
remove_circle_outline

Search Results (2,968)

Search Parameters:
Keywords = water injectivity

Order results
Result details
Results per page
Select all
Export citation of selected articles as:
22 pages, 2215 KB  
Article
Optimization of Nitrogen Injection Huff-and-Puff Parameters for Ultra-High-Temperature and Ultra-High-Pressure Fractured-Vuggy Carbonate Condensate Gas Reservoirs in the Shunbei Area
by Ziyi Chen, Jilong Song, Shan Jiang, Ting Lei and Zitong Zhao
Appl. Sci. 2025, 15(22), 11879; https://doi.org/10.3390/app152211879 - 7 Nov 2025
Abstract
The Shunbei 42X well group belongs to fractured-vuggy carbonate condensate gas reservoirs. This type of reservoir exhibits extreme heterogeneity, differing significantly from conventional reservoirs and posing considerable challenges for exploitation. Research on fractured-vuggy carbonate condensate gas reservoirs can begin with modeling and numerical [...] Read more.
The Shunbei 42X well group belongs to fractured-vuggy carbonate condensate gas reservoirs. This type of reservoir exhibits extreme heterogeneity, differing significantly from conventional reservoirs and posing considerable challenges for exploitation. Research on fractured-vuggy carbonate condensate gas reservoirs can begin with modeling and numerical simulation. By using historical data fitting to refine parameters such as pressure, production, and reserves, we can deepen our understanding of the reservoir and the movement patterns of water and oil. Combined with a geological and reservoir engineering analysis of residual oil distribution, this approach enables the evaluation of steady-state production technology feasibility. This study employs numerical simulation to conduct single-well injection production modeling for well SHB42X. First, a numerical model was created in simulation software, defining parameters such as grid spatial location and reservoir temperature. Second, the numerical model was established, and historical production dynamics were fitted using the software’s PVT module. Finally, after successful fitting, subsequent production parameters were set. By summarizing previous studies on gas injection huff-and-puff mechanisms and analyzing changes in parameters like recovery rates after actual injection, the simulation results for natural gas, nitrogen, water, and depleted reservoir development were compared. Further comparisons are made on the throughput effects of nitrogen under varying injection rates, production rates, injection volumes, and well-killing durations. Optimal parameters are selected to provide reference for enhancing subsequent development efficiency. Full article
12 pages, 944 KB  
Article
Nurses’ Attitudes and Clinical Judgment on Skin Disinfection Before Subcutaneous Injection: Impact of Setting, Experience, and Normative Beliefs
by Yuko Yoshida, Kohei Ikeno and Risa Takashima
Nurs. Rep. 2025, 15(11), 393; https://doi.org/10.3390/nursrep15110393 - 7 Nov 2025
Abstract
Background/Objectives: Skin disinfection before insulin administration is widely regarded as essential for preventing injection-site infection. However, the World Health Organization advises that while hand hygiene and washing with soap and water are crucial, alcohol-based disinfection before subcutaneous injection is not required. Thus, [...] Read more.
Background/Objectives: Skin disinfection before insulin administration is widely regarded as essential for preventing injection-site infection. However, the World Health Organization advises that while hand hygiene and washing with soap and water are crucial, alcohol-based disinfection before subcutaneous injection is not required. Thus, the necessity for pre-injection (subcutaneous) skin preparation remains controversial. Therefore, this study aimed to clarify the determinants of nurses’ attitudes toward the necessity of skin disinfection before subcutaneous injection. We simultaneously examined the effects of workplace setting, years of professional experience, and social norms to identify the most significant factors influencing clinical judgment. Methods: Nurses employed in wards, outpatient settings, and home care settings were surveyed between October 2021 and January 2022 in this cross-sectional study. A structured questionnaire assessed frequency of skin disinfection and attitudes regarding its necessity before subcutaneous injection. Ordinal logistic regression was performed to identify factors associated with the attitude of nurses. Results: Overall, 992 valid responses were analyzed. Ordinal logistic regression indicated that the attitude of nurses were significantly influenced by years of professional experience (Odds Ratio [OR] = 0.98, 95% Confidence Interval [CI] [0.96, 0.99]), normative expectations (OR = 2.88, 95% CI [2.32, 3.56]), and sanctions (OR = 1.36, 95% CI [1.15, 1.62]) (all p < 0.001). Conclusions: Nurses’ beliefs regarding skin disinfection before subcutaneous injections are primarily influenced by normative expectations and professional experience, rather than workplace environment and experiential expectations. Experienced nurses do not disregard norms: they practice greater critical and situational judgment and show understanding of the purpose of disinfection. Full article
22 pages, 28424 KB  
Article
Effect of Water Ring Flow Rate Ratio on Preparation of Yttrium Oxide Coatings by Suspension Plasma Spray
by Aolong Deng, Fuhu Liu, Peng Zhao, Hailong Zhu and Chuanwen Geng
Coatings 2025, 15(11), 1304; https://doi.org/10.3390/coatings15111304 - 7 Nov 2025
Abstract
Yttrium oxide (Y2O3) is a crucial protective material for the inner walls of semiconductor etching chambers. This study employed Suspension Plasma Spray (SPS) technology to deposit Y2O3 coatings on AISI 304 stainless steel substrates. A water [...] Read more.
Yttrium oxide (Y2O3) is a crucial protective material for the inner walls of semiconductor etching chambers. This study employed Suspension Plasma Spray (SPS) technology to deposit Y2O3 coatings on AISI 304 stainless steel substrates. A water ring guide cover, which injects deionized water toward the center of the plasma flame at the torch outlet, was installed. The critical parameter ratio between the water ring flow rate and the suspension feed rate was investigated, with a specific focus on its influence on the coating’s microstructure and mechanical properties. The findings reveal that this parameter exhibits a significant positive correlation with porosity, with the coefficient of determination R2 for their linear fit reaching 0.91236. When the water ring flow rate ratio was reduced to 79.66%, the porosity decreased to 0.946%, while the primary composition of the coating remained unchanged. Bond strength tests demonstrated that the adhesion strength of the coating exhibits an upward trend with increasing proportion of water ring flow. The adhesion strength reached its maximum value of 27.02 MPa when the water ring flow rate proportion was increased to 85.45%. Roughness exhibits a non-monotonic variation trend within the ratio range, attaining its optimal minimum value at the lower end of the ratio, indicating complex interrelationships among process characteristics. This work concludes that a low water ring flow rate ratio is essential for fabricating dense, well-adhered, and smooth Y2O3 coatings via SPS, providing a critical guideline for process optimization for applications such as semiconductor protection. Full article
(This article belongs to the Section Plasma Coatings, Surfaces & Interfaces)
Show Figures

Figure 1

18 pages, 2130 KB  
Article
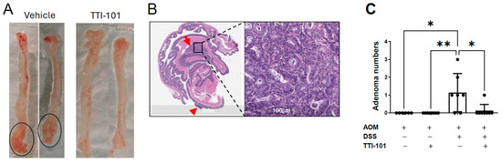
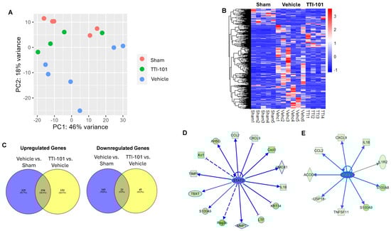
STAT3 Inhibition to Treat Ulcerative Colitis-Associated Colorectal Cancer
by Prema Robinson, Zal Italia, Zara Italia, Tan Hoang, Emma Rodriguez, T. Kris Eckols, Moses Kasembeli, Leticia Hamana Zorrilla, Luisa Maren Solis Soto, Rajasekaran Mahalingam and David J. Tweardy
Int. J. Mol. Sci. 2025, 26(21), 10808; https://doi.org/10.3390/ijms262110808 - 6 Nov 2025
Abstract
In patients with inflammatory bowel disease (IBD), colorectal cancer (CRC) occurs with 20-to-30-fold higher frequency, is more advanced at diagnosis, and has a worse prognosis than in the general population. To improve their treatment options, we determined if targeting STAT3 with TTI-101, a [...] Read more.
In patients with inflammatory bowel disease (IBD), colorectal cancer (CRC) occurs with 20-to-30-fold higher frequency, is more advanced at diagnosis, and has a worse prognosis than in the general population. To improve their treatment options, we determined if targeting STAT3 with TTI-101, a small-molecule STAT3 inhibitor, was beneficial in the azoxymethane (AOM)-disodium sulfate (DSS) mouse model of colitis-associated CRC. C57BL/6 mice received a single intraperitoneal injection of AOM followed by three cycles of 5% DSS in drinking water before receiving TTI-101 (50 mg/kg by oral gavage, OG, and daily) or vehicle for 28 days. TTI-101 treatment reduced adenoma numbers by 89% from 1.14 ± 1.07 in vehicle-treated mice to 0.13 ± 0.35 in TTI-101-treated mice (p ≤ 0.05, Kruskal–Wallis test). Levels of activated STAT3 (pY-STAT3) were increased 3.3-fold in the epithelium and stroma of dysplastic mucosa (147 ± 46; mean ± SD; and n = 4) vs. normal mucosa (45 ± 26; n = 7; and p ≤ 0.05, Kruskal–Wallis test) and were correlated with the adenoma number. TTI-101 was detected at pharmacologically relevant levels in the plasma and colons of TTI-101-treated AOM-DSS mice and was concentrated within colon tissue; plasma TTI-101 levels inversely correlated to pY-STAT3 levels. Importantly, TTI-101 normalized the colon transcriptome of AOM-DSS mice and reduced the expression of STAT3- and STAT1-upregulated genes associated with CRC oncogenesis. Thus, TTI-101 treatment may benefit IBD patients with CRC. Full article
(This article belongs to the Special Issue Current Research on Cancer Biology and Therapeutics: Fourth Edition)
Show Figures

Figure 1

16 pages, 1719 KB  
Article
Exploration of a Novel Technology for Waterless Fracturing in Shale Reservoirs Based on Microwave Heating
by Lei Ma, Tao Liu, Guangsheng Cao, Ying Liu and Mingyu Qi
Processes 2025, 13(11), 3576; https://doi.org/10.3390/pr13113576 - 6 Nov 2025
Viewed by 87
Abstract
Chinese shale reservoirs are typically deep, clay-rich, and highly water-sensitive, which severely limits the effectiveness of conventional hydraulic fracturing. To address this challenge, we propose a microwave-assisted waterless fracturing method and investigate its feasibility through laboratory experiments on core samples from the Gulong [...] Read more.
Chinese shale reservoirs are typically deep, clay-rich, and highly water-sensitive, which severely limits the effectiveness of conventional hydraulic fracturing. To address this challenge, we propose a microwave-assisted waterless fracturing method and investigate its feasibility through laboratory experiments on core samples from the Gulong shale and tight sandstone formations in the Daqing Oilfield. A coupled model integrating microwave power dissipation, pore water heating, and thermal stress evolution is developed to interpret the underlying mechanisms. Experimental results show that, under microwave irradiation (200 W, 40 s) and initial pore water content of 2.1–6%, fracturing is successfully induced without external fluid injection. The tensile failure of the rock coincides with the peak internal pore pressure generated by rapid vaporization and thermal expansion of pore water, as confirmed by a modified tensile strength measurement method. Fracture patterns observed in SEM and post-treatment imaging align with model predictions, demonstrating that microwave energy absorption by pore water is the primary driver of rock failure. The technique eliminates water-related formation damage and is inherently suitable for deep, water-sensitive reservoirs. This study provides experimental evidence and mechanistic insight supporting microwave-based waterless fracturing as a viable approach for challenging shale formations. Full article
(This article belongs to the Section Energy Systems)
Show Figures

Figure 1

24 pages, 7830 KB  
Article
Research on the Metallogenic Enrichment Model of Poly-Metallic Black Shales and Their Geological Significance: A Case Study of the Cambrian Niutitang Formation
by Kai Shi, Zhiyong Ni, Ganggang Shao, Wen Zhang and Nuo Cheng
Processes 2025, 13(11), 3537; https://doi.org/10.3390/pr13113537 - 4 Nov 2025
Viewed by 203
Abstract
The Lower Cambrian Niutitang Formation was deposited precisely during the Cambrian Explosion period, a short-lived interval marked by drastic shifts in oceanic chemistry and climate. This stratigraphic sequence preserves a comprehensive record of early-ocean evolution and constitutes a world-class reservoir for rare and [...] Read more.
The Lower Cambrian Niutitang Formation was deposited precisely during the Cambrian Explosion period, a short-lived interval marked by drastic shifts in oceanic chemistry and climate. This stratigraphic sequence preserves a comprehensive record of early-ocean evolution and constitutes a world-class reservoir for rare and precious metals, widely termed the “poly-metallic enrichment layer”. Despite its metallogenic prominence, the genetic model for metal enrichment in the Niutitang Formation remains contentious. In this study, we employed inductively coupled plasma mass spectrometry (ICP-MS), carbon and sulfur analyzer, and X-ray fluorescence spectrometry (XRF) to quantify trace-metal abundances, redox-sensitive element distribution patterns, rare-earth element signatures, and total organic carbon contents. Results reveal that metal enrichment in the Niutitang Formation was governed by temporally distinct mechanisms. Member I records extreme enrichment in As, Ag, V, Re, Ba, Cr, Cs, Ga, Ge, Se and In. This anomaly was driven by the Great Oxidation Event and intensified upwelling that oxidized surface waters, elevated primary productivity and delivered abundant organic matter. Subsequent microbial sulfate reduction generated high H2S concentrations, converting the water column to euxinic conditions. Basin restriction imposed persistent anoxia in bottom waters, establishing a pronounced redox stratification. Concurrent vigorous hydrothermal activity injected large metal fluxes, leading to efficient scavenging of the above metals at the sulfidic–anoxic interface. In Members II and III, basin restriction waned, permitting enhanced water-mass exchange and a concomitant shift from euxinic to anoxic–suboxic conditions. Hydrothermal metal fluxes declined, yet elevated organic-matter fluxes continued to sequester Ag, Mo, Ni, Sb, Re, Th, Ga, and Tl via carboxyl- and thiol-complexation. Thus, “organic ligand shuttling” superseded “sulfide precipitation” as the dominant enrichment mechanism. Collectively, the polymetallic enrichment in the Niutitang Formation reflects a hybrid model controlled by seawater redox gradients, episodic hydrothermal metal supply, and organic-complexation processes. Consequently, metal enrichment in Member I was primarily governed by the interplay between vigorous hydrothermal flux and a persistently sulfidic water column, whereas enrichment in Members II and III was dominated by organic-ligand complexation and fluctuations in the marine redox interface. This study clarifies the stage-dependent metal enrichment model of the Niutitang Formation and provides a theoretical basis for accurate prediction and efficient exploration of polymetallic resources in the region. Full article
(This article belongs to the Section Energy Systems)
Show Figures

Figure 1

18 pages, 7033 KB  
Article
Implications of Flume Simulation for the Architectural Analysis of Shallow-Water Deltas: A Case Study from the S Oilfield, Offshore China
by Lixin Wang, Ge Xiong, Yanshu Yin, Wenjie Feng, Jie Li, Pengfei Xie, Xun Hu and Xixin Wang
J. Mar. Sci. Eng. 2025, 13(11), 2095; https://doi.org/10.3390/jmse13112095 - 3 Nov 2025
Viewed by 206
Abstract
The shallow-water delta-front reservoir in Member II of the Oligocene Dongying Formation (Ed2), located in an oilfield within the Bohai Bay Basin, is a large-scale composite sedimentary system dominated by subaqueous distributary channels and mouth bars. Within this system, reservoir sand bodies exhibit [...] Read more.
The shallow-water delta-front reservoir in Member II of the Oligocene Dongying Formation (Ed2), located in an oilfield within the Bohai Bay Basin, is a large-scale composite sedimentary system dominated by subaqueous distributary channels and mouth bars. Within this system, reservoir sand bodies exhibit significant thickness, complex internal architecture, poor injection–production correspondence during development, and an ambiguous understanding of remaining oil distribution. To enhance late-stage development efficiency, it is imperative to deepen the understanding of the genesis and evolution of the subaqueous distributary channel–mouth bar system, analyze the internal reservoir architecture, and clarify sand body connectivity relationships. Based on sedimentary physical modeling experiments, integrated with core, well logging, and seismic data, this study systematically reveals the architectural characteristics and spatial stacking patterns of the mouth bar reservoirs using Miall’s architectural element analysis method. The results indicate that the study area is dominated by sand-rich, shallow-water delta front deposits, which display a predominantly coarsening-upward character. The main reservoir units are mouth bar sand bodies (accounting for 30%), with a vertical stacking thickness ranging from 3 to 20 m, and they exhibit lobate distribution patterns in plan view. Sedimentary physical modeling reveals the formation mechanism and stacking patterns of these sand-rich, thick sand bodies. Upon entering the lake, the main distributary channel unloads its sediment, forming accretionary bodies. The main channel then bifurcates, and a new main channel forms in the subsequent unit, which transports sediment away and initiates a new phase of deposition. Multi-phase deposition ultimately builds large-scale lobate complexes composed of channel–mouth bar assemblages. These complexes exhibit internal architectural styles, including channel–channel splicing, channel–bar splicing, and bar–bar splicing. Reservoir architecture analysis demonstrates that an individual distributary channel governs the formation of an individual lobe, whereas multiple distributary channels control the development of composite lobes. These lobes are laterally spliced and vertically superimposed, exhibiting a multi-phase progradational stacking pattern. Dynamic production data analysis validates the reliability of this reservoir architecture classification. This research elucidates the genetic mechanisms of thick sand bodies in delta fronts and establishes a region-specific reservoir architecture model. This study clarifies the spatial distribution of mudstone interlayers and preferential flow pathways within the composite sand bodies. It provides a geological basis for optimizing injection–production strategies and targeting residual oil during the ultra-high water-cut stage. The findings offer critical guidance for the efficient development of shallow-water delta front reservoirs. Full article
(This article belongs to the Section Geological Oceanography)
Show Figures

Figure 1

17 pages, 5562 KB  
Article
Obtaining Iron Chelates and Iron Oxide Nanoparticles via Multispark Discharge Treatment of EDTA Solutions in Argon Atmosphere
by Viktoriia V. Gudkova, Valentin D. Borzosekov, Maria A. Zimina, Igor V. Moryakov, Dmitry V. Malakhov, Namik Gusein-zade and Evgeny M. Konchekov
Plasma 2025, 8(4), 45; https://doi.org/10.3390/plasma8040045 - 3 Nov 2025
Viewed by 209
Abstract
This study investigates the physicochemical processes in aqueous solutions treated with a high-current (up to 300 A) pulsed multispark discharge. Pulse length was 2 μs at a 50 Hz repetition rate. The discharge occurred within bubbles of argon injected between the stainless-steel electrodes [...] Read more.
This study investigates the physicochemical processes in aqueous solutions treated with a high-current (up to 300 A) pulsed multispark discharge. Pulse length was 2 μs at a 50 Hz repetition rate. The discharge occurred within bubbles of argon injected between the stainless-steel electrodes at the constant flow rate. The erosion of electrode material during the discharge led to iron and other alloy components entering the liquid. Optical emission spectra confirmed the erosion of electrode material (Fe, Cr, Ni atoms and ions). EDTA and its disodium salt were used in order to study their effect on the metal particle formation process. Treatment with deionized water led to an increase in conductivity and the generation of hydrogen peroxide (up to 1200 µM). In contrast, the presence of EDTA and its disodium salt drastically altered the reaction pathways: the H2O2 yield decreased, and the solution conductivity dropped substantially for the acidic form of EDTA, while the decrease was minor for EDTA-Na2. This effect is attributed to the buffered chelation of eroded metal ions, forming stable Fe-EDTA complexes, as confirmed by a characteristic absorption band at 260 nm. The results demonstrate the critical role of complex-forming agents in modulating plasma–liquid interactions, shifting the process from direct erosion products to the formation of stable coordination compounds. Full article
Show Figures

Figure 1

15 pages, 5853 KB  
Article
Functional Characterization of Fp2Cas9, a Cold-Adapted Type II-C CRISPR Nuclease from Flavobacterium psychrophilum
by Ran Zhao, Jianqiang Zhu, Jing Wang, Di Wang, Xinting Liu, Lanlan Han and Shaowu Li
Int. J. Mol. Sci. 2025, 26(21), 10681; https://doi.org/10.3390/ijms262110681 - 2 Nov 2025
Viewed by 208
Abstract
Cas9 with specialized temperature adaptations are essential for broadening the application of CRISPR-based genome editing across diverse biological contexts. Although Cas9 orthologs from thermophilic and mesophilic organisms have been characterized for high- and moderate-temperature applications, cold-active variants remain largely unexplored, limiting genome engineering [...] Read more.
Cas9 with specialized temperature adaptations are essential for broadening the application of CRISPR-based genome editing across diverse biological contexts. Although Cas9 orthologs from thermophilic and mesophilic organisms have been characterized for high- and moderate-temperature applications, cold-active variants remain largely unexplored, limiting genome engineering in low-temperature systems such as aquaculture species. Here, we report the functional characterization of Fp2Cas9, a cold-adapted Type II-C nuclease from Flavobacterium psychrophilum. In vitro assays showed that Fp2Cas9 efficiently cleaves double-stranded DNA with a refined PAM requirement of 5′-SNAAAG-3′, and that its engineered sgRNA scaffold (sgRNA-V2) supports programmable DNA targeting. Notably, Fp2Cas9 retains 75% cleavage efficiency at 5 °C, approximately 2.5-fold higher than SpCas9 under the same conditions, but shows a marked reduction in activity at 35 °C. In vivo, a nuclear-localized variant (2NLS-Fp2Cas9) mediated efficient mutagenesis of the zebrafish slc45a2 gene, yielding ~60% indel frequencies and pigmentation-deficient phenotypes in ~43% of injected embryos. Collectively, these findings establish Fp2Cas9 as a cold-adapted Cas9 with reliable activity at low temperatures. This work adds a valuable tool to the CRISPR-Cas9 toolkit and may facilitate genome editing in cold-water organisms and other low-temperature systems. Full article
Show Figures

Figure 1

20 pages, 3991 KB  
Article
Tubing String Dynamics During Transient Start-Up and Shutdown in CO2 Flooding
by Xiangyang Wu, Jianxun Li, Dong Chen, Yinping Cao, Yihua Dou and Xin Luo
Processes 2025, 13(11), 3514; https://doi.org/10.3390/pr13113514 - 1 Nov 2025
Viewed by 253
Abstract
In CO2 flooding technology, the injection tubing string is prone to intense fluid–structure interaction (FSI) vibrations and water hammer effects during transient start-up and shutdown processes, which seriously threaten injection safety. This study is based on a four-equation FSI model and employs [...] Read more.
In CO2 flooding technology, the injection tubing string is prone to intense fluid–structure interaction (FSI) vibrations and water hammer effects during transient start-up and shutdown processes, which seriously threaten injection safety. This study is based on a four-equation FSI model and employs the method of characteristics (MOC) and numerical simulations to analyze the dynamic responses of fluid velocity, pressure, axial vibration velocity, and additional stress in the tubing string during start-up and shutdown processes. The results indicate that the most severe vibrations occur within 12 s after pump start-up, with a significant increase in the amplitude of axial additional stress. Increasing the injection rate leads to a notable rise in the peak water hammer pressure. Extending the shutdown time effectively reduces impact loads. This research provides an important theoretical basis for the safe design and operational control of the CO2 injection wells. It is recommended to adopt operational strategies such as low rate, slow start-up, and reasonably extended shutdown times to mitigate vibration hazards. Full article
(This article belongs to the Section Energy Systems)
Show Figures

Figure 1

15 pages, 2878 KB  
Article
Research on Crack Propagation in Hard Rock Coal via Hydraulic Fracturing
by Qingguo Dong, Caixia Li, Hongmei Liu, Qingwei Liu and Yi Xu
Appl. Sci. 2025, 15(21), 11696; https://doi.org/10.3390/app152111696 - 1 Nov 2025
Viewed by 184
Abstract
Hydraulic fracturing is a technique employed to weaken rock formations during hard rock excavation. This study aims to investigate the impact of hydraulic fracturing on crack propagation in rock walls and its subsequent effect on the load borne by roadheaders during the cutting [...] Read more.
Hydraulic fracturing is a technique employed to weaken rock formations during hard rock excavation. This study aims to investigate the impact of hydraulic fracturing on crack propagation in rock walls and its subsequent effect on the load borne by roadheaders during the cutting of pre-cracked rock. A three-dimensional model for the crack growth process in rock walls under hydraulic fracturing is developed using the CFD-DEM (Computational Fluid Dynamics–Discrete Element Method) two-way fluid–structure coupling approach. The results indicate that crack propagation under hydraulic fracturing occurs in four distinct phases: the initiation of the main crack, the further development of the main crack, the fine cracking phase, and the retardation of the main crack with the subsequent expansion of secondary cracks. The study analyzes the influence of pore size and water injection pressure on crack growth. It is observed that an increase in pore size and injection pressure within a certain range results in a nonlinear increase in crack propagation. Specifically, when the hydraulic fracturing aperture expands from 85 mm to 100 mm, the number of fracture bonds increases by 56.2%. Similarly, as water injection pressure rises from 25 MPa to 40 MPa, the number of broken bonds increases by 153.9%. The force exerted on rock with pre-existing cracks is found to be 9.05% lower compared to unfractured rock, with the average forces in the Z and Y directions reduced by 11.46% and 7.2%, respectively. However, the average force in the X direction increases by 5.49%. These findings provide a valuable reference for optimizing hydraulic fracturing procedures in hard rock excavation. Full article
Show Figures

Figure 1

17 pages, 4403 KB  
Article
Exploring the Mechanisms of CO2-Driven Coalbed Methane Recovery Through Molecular Simulations
by Yongcheng Long, Jiayi Huang, Zhijun Li, Songze Li, Cen Chen, Qun Cheng, Yanqi He and Gang Wang
Processes 2025, 13(11), 3509; https://doi.org/10.3390/pr13113509 - 1 Nov 2025
Viewed by 214
Abstract
Efficient coalbed methane (CBM) recovery combined with carbon dioxide (CO2) sequestration is a promising strategy for sustainable energy production and greenhouse gas mitigation. However, the molecular mechanisms controlling pressure-dependent CH4 displacement by CO2 in coal nanopores remain insufficiently understood. [...] Read more.
Efficient coalbed methane (CBM) recovery combined with carbon dioxide (CO2) sequestration is a promising strategy for sustainable energy production and greenhouse gas mitigation. However, the molecular mechanisms controlling pressure-dependent CH4 displacement by CO2 in coal nanopores remain insufficiently understood. In this study, molecular dynamics simulations were conducted to investigate CO2-driven CH4 recovery in a slit-pore coal model under driving pressures of 15, 20, and 25 Mpa. The simulations quantitatively captured the competitive adsorption, diffusion, and migration behaviors of CH4, CO2, and water, providing insights into how pressure influences enhanced coalbed methane (ECBM) recovery at the nanoscale. The results show that as the pressure increases from 15 to 25 Mpa, the mean residence time of CH4 on the coal surface decreases from 0.0104 ns to 0.0087 ns (a 16% reduction), reflecting accelerated molecular mobility. The CH4–CO2 radial distribution function peak height rises from 2.20 to 3.67, indicating strengthened competitive adsorption and interaction between the two gases. Correspondingly, the number of CO2 molecules entering the CH4 region grows from 214 to 268, demonstrating higher invasion efficiency at elevated pressures. These quantitative findings illustrate a clear shift from capillary-controlled desorption at low pressure to pressure-driven convection at higher pressures. The results provide molecular-level evidence for optimizing CO2 injection pressure to improve CBM recovery efficiency and CO2 storage capacity. Full article
(This article belongs to the Section Energy Systems)
Show Figures

Figure 1

49 pages, 15439 KB  
Article
Geomechanical Integrity of Offshore Oil Reservoir During EOR-CO2 Process: A Case Study
by Piotr Ruciński
Energies 2025, 18(21), 5751; https://doi.org/10.3390/en18215751 - 31 Oct 2025
Viewed by 168
Abstract
The aim of this work was to investigate the evolution of the mechanical integrity of the selected offshore oil reservoir during its life cycle. The geomechanical stability of the reservoir formation, including the caprock and base rock, was investigated from the exploitation phase [...] Read more.
The aim of this work was to investigate the evolution of the mechanical integrity of the selected offshore oil reservoir during its life cycle. The geomechanical stability of the reservoir formation, including the caprock and base rock, was investigated from the exploitation phase through waterflooding production to the final phase of enhanced oil recovery (EOR) with CO2 injection. In this study, non-isothermal flow simulations were performed during the process of cold water and CO2 injection into the oil reservoir as part of the secondary EOR method. The analysis of in situ stress was performed to improve quality of the geomechanical model. The continuous changes in elastic and thermal properties were taken into account. The stress–strain tensor was calculated to efficiently describe and analyze the geomechanical phenomena occurring in the reservoir as well as in the caprock and base rock. The integrity of the reservoir formation was then analyzed in detail with regard to potential reactivation or failure associated with plastic deformation. The consideration of poroelastic and thermoelastic effects made it possible to verify the development method of the selected oil reservoir with regard to water and CO2 injection. The numerical method that was applied to describe the evolution of an offshore oil reservoir in the context of evaluating the geomechanical state has demonstrated its usefulness and effectiveness. Thermally induced stresses have been found to play a dominant role over poroelastic stresses in securing the geomechanical stability of the reservoir and the caprock during oil recovery enhanced by water and CO2 injection. It was found that the injection of cold water or CO2 in a supercritical state mostly affected horizontal stress components, and the change in vertical stress was negligible. The transition from the initial strike-slip regime to the normal faulting due to formation cooling was closely related to the observed failure zones in hybrid and tensile modes. It has been estimated that changes in the geomechanical state of the oil reservoir can increase the formation permeability by sixteen times (fracture reactivation) to as much as thirty-five times (tensile failure). Despite these events, the integrity of the overburden was maintained in the simulations, demonstrating the safety of enhanced oil recovery with CO2 injection (EOR-CO2) in the selected offshore oil reservoir. Full article
(This article belongs to the Special Issue Advanced Solutions for Carbon Capture, Storage, and Utilization)
Show Figures

Figure 1

22 pages, 4391 KB  
Article
Laboratory Assessment of Residual Oil Saturation Under Multi-Component Solvent SAGD Coinjection
by Fernando Rengifo Barbosa, Amin Kordestany and Brij Maini
Energies 2025, 18(21), 5743; https://doi.org/10.3390/en18215743 - 31 Oct 2025
Viewed by 159
Abstract
Solvent-assisted steam-assisted gravity drainage (SA-SAGD) is an advanced hybrid oil recovery technique designed to enhance the extraction of heavy oil and bitumen. Unlike the conventional SAGD process, which relies solely on thermal energy from injected steam, SA-SAGD incorporates a coinjected solvent phase to [...] Read more.
Solvent-assisted steam-assisted gravity drainage (SA-SAGD) is an advanced hybrid oil recovery technique designed to enhance the extraction of heavy oil and bitumen. Unlike the conventional SAGD process, which relies solely on thermal energy from injected steam, SA-SAGD incorporates a coinjected solvent phase to improve oil mobility through the combined action of heat and mass transfer. This synergistic mechanism significantly reduces the demand for water and natural gas used in steam generation, thereby improving the energy efficiency and environmental sustainability of the process. Importantly, SA-SAGD retains the same well pair configuration as SAGD, meaning that its implementation often requires minimal modifications to existing infrastructure. This study explores the residual oil saturation following multi-component solvent coinjection in SA-SAGD using a linear sand pack model designed to emulate the properties and operational parameters of the Long Lake reservoir. Experiments were conducted with varying constant concentrations of cracked naphtha and gas condensate to assess their effectiveness in enhancing bitumen recovery. The results reveal that the injection of 15 vol% cracked naphtha achieved the lowest residual oil saturation and the highest rate of oil recovery, indicating superior solvent performance. Notably, gas condensate at just 5 vol% concentration outperformed 10 vol% cracked naphtha, demonstrating its effectiveness even at lower concentrations. These findings provide valuable insight into the phase behaviour and recovery dynamics of solvent–steam coinjection systems. The results strongly support the strategic selection of solvent type and concentration to optimise recovery efficiency while minimising steam consumption. Furthermore, the outcomes offer a robust basis for calibrating reservoir simulation models to improve the design and field-scale application of SA-SAGD, particularly in pilot operations such as those conducted by Nexen Energy ULC in the Athabasca Oil Sands. Full article
(This article belongs to the Special Issue Enhanced Oil Recovery: Numerical Simulation and Deep Machine Learning)
Show Figures

Figure 1

17 pages, 4285 KB  
Article
Research on the Distribution Characteristics of Urea-Formaldehyde Resin Gel Influenced by Structural Development in Fractured-Vuggy Reservoirs
by Zhengcong Song, Weipeng Wu, Ming Qu, Jiaxin Xi, Min Yang, Xingliang Jia, Yuheng Zhao, Lu Liu and Haihua Cui
Gels 2025, 11(11), 868; https://doi.org/10.3390/gels11110868 - 30 Oct 2025
Viewed by 214
Abstract
Profile control is widely employed to improve oil recovery in fractured-vuggy carbonate reservoirs. However, the limitation of current experimental evaluation methods restricts their practical guidance for field applications. In this study, urea-formaldehyde resin gel (URG) is studied using SEM, rheological analysis, FTIR, and [...] Read more.
Profile control is widely employed to improve oil recovery in fractured-vuggy carbonate reservoirs. However, the limitation of current experimental evaluation methods restricts their practical guidance for field applications. In this study, urea-formaldehyde resin gel (URG) is studied using SEM, rheological analysis, FTIR, and Raman spectroscopy. Typical structural models of fractured-vuggy reservoirs are fabricated by 3D printing technology. The distribution patterns of the URG in different fractured-vuggy models are also investigated by using online NMR analysis and core slice characterization. Results show that URG exhibits a kind of 3D mesh structure with a size of 10 μm after gelation at 140 °C. The storage modulus (G′) and loss modulus (G″) of the URG gel are 387.51 Pa and 131.48 Pa, respectively. Chemical composition analysis reveals that URG is mainly composed of amide groups and sulfonate groups, showing excellent thermal stability and salt tolerance. Furthermore, after injecting URG into three types of typical models, URG displays a longitudinally decreasing distribution pattern from the injection side to the outlet side, accompanied by transverse accumulation phenomenon along the fracture walls in the slab fracture model. In the fractured-vuggy model, the gel shows continuous longitudinal distribution and uniform transverse distribution characteristics. In the beaded-vug train model, the gel’s distribution morphology gradually transforms from a “pipeline-filling” pattern at the injection side to a “conduit-dominant” pattern toward the outlet side, with a stepped distribution in the transverse direction. The breakthrough pressures during subsequent water flooding are as follows: beaded-vug train model (11.6 MPa) > fractured-vuggy model (8.1 MPa) > slab fracture model (5.9 MPa). Field application results show that the water cut is reduced from 85% to 30%, with a total incremental oil production of 2416 tons. This study conducts experimental investigations on the distribution patterns of URG in simulated fractured-vuggy models, thereby establishing a novel technical evaluation method for profile control in actual fractured-vuggy carbonate reservoirs. Full article
(This article belongs to the Section Gel Applications)
Show Figures

Figure 1

Back to TopTop