Sign in to use this feature.

Years

Between: -

Subjects

remove_circle_outline
remove_circle_outline
remove_circle_outline
remove_circle_outline
remove_circle_outline
remove_circle_outline
remove_circle_outline
remove_circle_outline
remove_circle_outline

Journals

remove_circle_outline
remove_circle_outline
remove_circle_outline
remove_circle_outline
remove_circle_outline
remove_circle_outline
remove_circle_outline
remove_circle_outline
remove_circle_outline
remove_circle_outline
remove_circle_outline
remove_circle_outline
remove_circle_outline

Article Types

Countries / Regions

remove_circle_outline
remove_circle_outline
remove_circle_outline
remove_circle_outline
remove_circle_outline
remove_circle_outline

Search Results (1,061)

Search Parameters:
Keywords = tyrosine kinase inhibitors (TKIs)

Order results
Result details
Results per page
Select all
Export citation of selected articles as:
9 pages, 1389 KB  
Case Report
Progressive Destructive Hypothyroidism Associated with Sunitinib Therapy: A Three-Year Case Analysis
by Marcin Nosal
J. Clin. Med. 2026, 15(2), 788; https://doi.org/10.3390/jcm15020788 (registering DOI) - 19 Jan 2026
Abstract
Sunitinib, a tyrosine kinase inhibitor (TKI) targeting vascular endothelial growth factor receptors (VEGFRs) and platelet-derived growth factor receptors (PDGFRs), is widely used in renal cell carcinoma. A broad spectrum of thyroid dysfunctions has been observed during TKI therapy, yet their mechanisms and clinical [...] Read more.
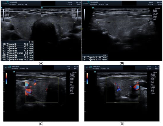
Sunitinib, a tyrosine kinase inhibitor (TKI) targeting vascular endothelial growth factor receptors (VEGFRs) and platelet-derived growth factor receptors (PDGFRs), is widely used in renal cell carcinoma. A broad spectrum of thyroid dysfunctions has been observed during TKI therapy, yet their mechanisms and clinical progression remain only partially explained. A longitudinal case analysis of a woman with metastatic clear-cell renal cell carcinoma treated with cyclical sunitinib therapy (4 weeks on, 2 weeks off) was performed. Thyroid function tests, clinical symptoms, and ultrasound imaging findings were evaluated over time and compared with treatment exposure and dose adjustments. Baseline thyroid function was normal. During the third cycle, thyroid-stimulating hormone (TSH) increased markedly (33.44–41.26 mIU/L), with free thyroid hormones initially remaining within reference limits. TSH fluctuations corresponded to treatment intervals before stabilising into persistent hypothyroidism requiring levothyroxine replacement. Thyroid ultrasound revealed progressive parenchymal destruction and a reduction in gland volume from 18 mL to approximately 2 mL over three years. Endocrine management enabled maintenance of biochemical euthyroidism, and systemic oncological treatment continued without interruption. Sunitinib treatment may lead to progressive destructive hypothyroidism. Routine surveillance of thyroid function is essential, and timely levothyroxine therapy facilitates continued anticancer treatment and symptom control. Full article
(This article belongs to the Section Endocrinology & Metabolism)
Show Figures

Figure 1

15 pages, 5748 KB  
Case Report
Targeting the Uncommon: A Case Report of Osimertinib Response in Advanced NSCLC Patient with Dual EGFR (E701fs and L702fs) Frameshift Deletions
by Angel Kwan Qi Wong, Saqib Raza Khan, Danial Khan Hadi, Daniel Breadner and Mark David Vincent
Curr. Oncol. 2026, 33(1), 55; https://doi.org/10.3390/curroncol33010055 - 18 Jan 2026
Abstract
Non-small cell lung cancer (NSCLC) accounts for approximately 85% of lung cancers with adenocarcinoma being the most common subtype. Patients with stage IV NSCLC typically have poor prognosis. In these patients, identification of actionable genomic alterations allows for the selection of targeted therapy [...] Read more.
Non-small cell lung cancer (NSCLC) accounts for approximately 85% of lung cancers with adenocarcinoma being the most common subtype. Patients with stage IV NSCLC typically have poor prognosis. In these patients, identification of actionable genomic alterations allows for the selection of targeted therapy rather than chemotherapy or chemo-immunotherapy. EGFR mutations are a common oncogenic driver in NSCLC and are targetable by tyrosine kinase inhibitors (TKIs). However, most of the studies primarily focus on common mutations, which are exon 19 deletions (Ex19del) and exon 21 (L858R) point mutations, and there is inconsistent data on efficacy in the treatment of patients with uncommon EGFR mutations. Currently, the first-line treatment for patients with common EGFR mutations involves a third-generation TKI, typically osimertinib. This case describes a 66-year-old gentleman with two uncommon EGFR frameshift deletions (E701fs and L702fs). His tumor staging was denoted as cT3N2M1b, stage IVA. The patient demonstrated a radiological and biochemical response to osimertinib as part of the OCELOT clinical trial (supported by a grant from AstraZeneca), with evidence of tumor marker decline and radiographic improvement within two months of osimertinib treatment initiation. This response has been durable with continued radiological stability and biochemical improvement at 11 months and ongoing. This case will help guide management for patients with this uncommon EGFR mutations and contribute to the scarce literature of EGFR frameshift deletions in advanced NSCLC patients. Full article
(This article belongs to the Section Thoracic Oncology)
13 pages, 510 KB  
Systematic Review
Impacts of Liver Resection with Neoadjuvant Treatment Versus Surgery Alone in Hepatocellular Carcinoma with Portal Vein Tumour Thrombosis: A Systematic Review and Meta-Analysis
by Poyyamozhi Rajagopal, Kesav Aditya Vijayagopal, Shanmuga S. Kannan, Shraddha Shetty and Madhava Pai
Cancers 2026, 18(2), 277; https://doi.org/10.3390/cancers18020277 - 16 Jan 2026
Viewed by 77
Abstract
Background: Hepatocellular carcinoma (HCC) with portal vein tumour thrombosis (PVTT) has a poor prognosis, and the benefits of neoadjuvant therapy are unclear. This systematic review and meta-analysis aim to evaluate the impact of neoadjuvant treatment (NAT) followed by surgery versus surgery alone [...] Read more.
Background: Hepatocellular carcinoma (HCC) with portal vein tumour thrombosis (PVTT) has a poor prognosis, and the benefits of neoadjuvant therapy are unclear. This systematic review and meta-analysis aim to evaluate the impact of neoadjuvant treatment (NAT) followed by surgery versus surgery alone on survival outcomes. Methods: A PRISMA-compliant systematic review was conducted by searching the OVID databases Embase, Medline, PubMed, and Scopus for English-language comparative studies of resectable HCC with PVTT, up to 23 January 2025. Two reviewers independently screened, extracted data, and assessed risk of bias (ROBINS-I/ROB2). Hazard ratios (HRs) for overall survival (OS) and recurrence-free survival (RFS) were pooled for meta-analysis. Results: Seven studies (2015–2024, five retrospective cohorts, one non-randomised comparative, one RCT) included 621 patients. The pooled analysis demonstrated that NAT followed by surgery was associated with a significantly improved OS (HR: 0.48, 95% CI: 0.295–0.67, p-value < 0.001, I2 = 0.00) and improved RFS (HR: 0.4, 95% CI: 0.2–0.58, p-value < 0.001, I2 = 0.00). Conclusions: For patients with HCC and an associated PVTT, neoadjuvant treatment before surgery significantly improves both overall and recurrence-free survival. These findings support a multimodal approach. Current evidence is largely non-randomised and HBV-endemic, warranting prospective validation in aetiologically diverse cohorts, including Western ones. Full article
(This article belongs to the Section Systematic Review or Meta-Analysis in Cancer Research)
Show Figures

Figure 1

13 pages, 278 KB  
Article
Adverse Respiratory Reactions to Tyrosine Kinase Inhibitors: A Disproportionality Analysis of Spontaneous Reports from European Countries
by Ilaria Ammendolia, Carmen Mannucci, Emanuela Esposito, Gioacchino Calapai, Mariaconcetta Currò, Paola Midiri, Cristina Mondello, Antonino Cancellieri, Luigi Cardia and Fabrizio Calapai
Life 2026, 16(1), 113; https://doi.org/10.3390/life16010113 - 13 Jan 2026
Viewed by 218
Abstract
Background: The tyrosine kinase inhibitors (TKIs) asciminib, bosutinib, dasatinib, imatinib, nilotinib, and ponatinib have been approved for chronic myelogenous leukemia (CML) therapy. However, pharmacovigilance reports associated with these drugs are neither consistent nor homogenous, with reports of pulmonary toxicity, which could limit their [...] Read more.
Background: The tyrosine kinase inhibitors (TKIs) asciminib, bosutinib, dasatinib, imatinib, nilotinib, and ponatinib have been approved for chronic myelogenous leukemia (CML) therapy. However, pharmacovigilance reports associated with these drugs are neither consistent nor homogenous, with reports of pulmonary toxicity, which could limit their utilization. To better clarify TKIs’ pulmonary risk, we used the European database EudraVigilance to conduct a study on adverse events suspected to be caused by the TKIs asciminib, bosutinib, dasatinib, imatinib, nilotinib, and ponatinib when used for CML therapy. Methods: Suspected adverse reactions to TKIs in the EudraVigilance database (2020–2024) coming from European countries and the United Kingdom were analyzed and compared through a disproportionality analysis. Results: The most frequent alerts concerned the respiratory disorders “pleural effusion” (PE) and “pulmonary arterial hypertension” (PAH) in relation to dasatinib and bosutinib use. Among the TKIs, the prescription of dasatinib is associated with a higher occurrence of PE and PAH, while the prescription of bosutinib induces PE at a minor frequency that nonetheless carries a significant risk for PAH, occurring more often in women. Conclusions: The results indicate that respiratory disorders induced by the TKIs dasatinib and bosutinib need to be diagnosed in a timely manner, and suggest that caution should be taken when prescribing these TKIs to patients affected by CML and pulmonary comorbidities. Full article
8 pages, 982 KB  
Article
Detecting EGFR Gene Mutations on a Nanobioarray Chip
by Fang Xu, Montek Boparai, Christopher Oberc and Paul C. H. Li
Biomedicines 2026, 14(1), 142; https://doi.org/10.3390/biomedicines14010142 - 10 Jan 2026
Viewed by 152
Abstract
In this study, three point mutations of EGFR relevant to lung cancer therapy are detected. Mutated EGFR is the target of a therapy for non-small cell lung cancer (NSCLC) using tyrosine kinase inhibitors (TKIs) as treatment drugs. Background/Objectives: Point mutations in exon 21 [...] Read more.
In this study, three point mutations of EGFR relevant to lung cancer therapy are detected. Mutated EGFR is the target of a therapy for non-small cell lung cancer (NSCLC) using tyrosine kinase inhibitors (TKIs) as treatment drugs. Background/Objectives: Point mutations in exon 21 (L858R and L861Q) of the EGFR gene are TKI-sensitive; however, mutations in exon 20 (T790M) are TKI-resistant. Therefore, a fast detection method that classifies an NSCLC patient to be drug sensitive or drug resistant is highly clinically relevant. Methods: Probes were designed to detect three point mutations in genomic samples based on DNA hybridization on a solid surface. A method has been developed to detect single nucleotide polymorphism (SNP) for these mutation detections in the 16-channel nanobioarray chip. The wash by gold-nanoparticles (AuNP) was used to assist the differentiation detection. Results: The gold nanoparticle-assisted wash method has enhanced differentiation between WT and mutated sequences relevant to the EGFR sensitivity to tyrosine kinase inhibitors. Conclusions: The WT and mutated sequences (T790M, L858R and L861Q) in genomic samples were successfully differentiated from each other. Full article
(This article belongs to the Section Nanomedicine and Nanobiology)
Show Figures

Figure 1

9 pages, 2319 KB  
Case Report
Targeted Therapy for a Rare PDGFRB-Rearranged Myeloproliferative Neoplasm: A Case Report
by Cosimo Barbato, Vito A. Lasorsa, Francesco Grimaldi, Santa Errichiello, Ida Pisano, Maurizio Capuozzo, Mariangela Capone, Viviana Izzo, Fabrizio Quarantelli, Alessandra Potenza, Roberta Visconti, Alessandra Galdiero, Angelo Zanniti, Ciro Del Prete, Teresa Femiano, Giuseppina Esposito, Novella Pugliese, Roberta Russo, Mario Capasso and Barbara Izzo
Int. J. Mol. Sci. 2026, 27(2), 656; https://doi.org/10.3390/ijms27020656 - 8 Jan 2026
Viewed by 195
Abstract
Myeloproliferative neoplasms (MPNs) are a heterogeneous group of diseases originating from hematopoietic stem cell transformation, characterized by the clonal proliferation of hematopoietic progenitors. A specific subset includes myeloid/lymphoid neoplasms with eosinophilia and tyrosine kinase (TK) gene fusions, particularly involving PDGFR A or B [...] Read more.
Myeloproliferative neoplasms (MPNs) are a heterogeneous group of diseases originating from hematopoietic stem cell transformation, characterized by the clonal proliferation of hematopoietic progenitors. A specific subset includes myeloid/lymphoid neoplasms with eosinophilia and tyrosine kinase (TK) gene fusions, particularly involving PDGFR A or B, which are sensitive to TK inhibitor treatment. We report a case of a 21-year-old patient with a myeloproliferative/myelodysplastic neoplasm, presenting with hyperleukocytosis, anemia, thrombocytopenia, and elevated LDH. The peripheral blood smear showed hypogranular neutrophils, eosinophils, basophils, and myeloid precursors. The absence of BCR::ABL1 and mutations in JAK2, CALR, and MPL excluded common MPNs. Cytogenetic analysis revealed a rearrangement between chromosomes 5 and 14. FISH analysis confirmed an inverted insertion from chromosome 5 to chromosome 14, involving the PDGFRB gene. WGS and RNAseq identified a fusion between PDGFRB and CCDC88C, causing the constitutive activation of PDGFRB. The fusion gene was confirmed by sequencing. This allowed for targeted therapy with a tyrosine kinase inhibitor (TKI), leading to molecular remission monitored by RT-qPCR. This case highlights how a multidisciplinary approach can identify atypical transcripts in MPN, guiding targeted therapy with TK inhibitors, thus resulting in effective treatment and molecular remission. Full article
(This article belongs to the Special Issue Molecular Research in Hematologic Malignancies)
Show Figures

Figure 1

29 pages, 4039 KB  
Review
Targeting Mesenchymal-Epidermal Transition (MET) Aberrations in Non-Small Cell Lung Cancer: Current Challenges and Therapeutic Advances
by Fahua Deng, Weijie Ma and Sixi Wei
Cancers 2026, 18(2), 207; https://doi.org/10.3390/cancers18020207 - 8 Jan 2026
Viewed by 408
Abstract
The mesenchymal–epithelial transition (MET) receptor is a tyrosine kinase activated by its sole known ligand, hepatocyte growth factor (HGF). MET signaling regulates key cellular processes, including proliferation, survival, migration, motility, and angiogenesis. Dysregulation and hyperactivation of this pathway are implicated in multiple malignancies, [...] Read more.
The mesenchymal–epithelial transition (MET) receptor is a tyrosine kinase activated by its sole known ligand, hepatocyte growth factor (HGF). MET signaling regulates key cellular processes, including proliferation, survival, migration, motility, and angiogenesis. Dysregulation and hyperactivation of this pathway are implicated in multiple malignancies, including lung, breast, colorectal, and gastrointestinal cancers. In non–small cell lung cancer (NSCLC), aberrant activation of the MET proto-oncogene contributes to 1% of known oncogenic drivers and is associated with poor clinical outcomes. Several mechanisms can induce MET hyperactivation, including MET gene amplification, transcriptional upregulation of MET or HGF, MET fusion genes, and MET exon 14 skipping mutations. Furthermore, MET pathway activation represents a frequent mechanism of acquired resistance to EGFR- and ALK-targeted tyrosine kinase inhibitors (TKIs) in EGFR- and ALK-driven NSCLCs. Although MET has long been recognized as a promising therapeutic target in NSCLC, the clinical efficacy of MET-targeted therapies has historically lagged behind that of EGFR and ALK inhibitors. Encouragingly, several MET TKIs such as capmatinib, tepotinib, and savolitinib have been approved for the treatment of MET exon 14 skipping mutations. They have also demonstrated potential in overcoming MET-driven resistance to EGFR TKIs or ALK TKIs. On 14 May 2025, the U.S. Food and Drug Administration granted accelerated approval to telisotuzumab vedotin-tllv for adult patients with locally advanced or metastatic non-squamous NSCLC whose tumors exhibit high c-Met protein overexpression and who have already received prior systemic therapy. In this review, we summarize the structure and physiological role of the MET receptor, the molecular mechanisms underlying aberrant MET activation, its contribution to acquired resistance against targeted therapies, and emerging strategies for effectively targeting MET alterations in NSCLC. Full article
Show Figures

Figure 1

16 pages, 9877 KB  
Article
The Crosstalk Mechanism of EGFR and ER in EGFR-Mutant Lung Adenocarcinoma
by Ying-Yi Chen, Wei-Ting Huang, Yu-Fu Su, Yi-Jen Hung, Hao-Ai Shui, Yi-Shing Shieh and Tsai-Wang Huang
Cells 2026, 15(2), 98; https://doi.org/10.3390/cells15020098 - 6 Jan 2026
Viewed by 232
Abstract
Breast cancer and lung adenocarcinoma share common features, including female predominance and the expression of estrogen receptor (ER) and epidermal growth factor receptor (EGFR) during carcinogenesis. Patients with breast cancer have a significantly higher risk of developing second primary lung cancer than those [...] Read more.
Breast cancer and lung adenocarcinoma share common features, including female predominance and the expression of estrogen receptor (ER) and epidermal growth factor receptor (EGFR) during carcinogenesis. Patients with breast cancer have a significantly higher risk of developing second primary lung cancer than those without breast cancer. ER beta expression is associated with resistance to EGFR tyrosine kinase inhibitors (TKIs) in EGFR-mutant lung adenocarcinoma, indicating a potentially important interaction between ER and EGFR. However, the mechanisms underlying this crosstalk remain poorly understood. Our clinical data showed a significant correlation between antiestrogen treatment for breast cancer and mutant EGFR expression (p = 0.021) in lung adenocarcinoma patients. In vitro, tamoxifen upregulated phosphorylated EGFR (p-EGFR) in EGFR-mutant lung adenocarcinoma cell lines. Heparin-binding EGF-like growth factor was identified as a key mediator from the ER pathway that stimulates p-EGFR. Tamoxifen counteracts estrogen’s effect and restores p-EGFR upregulation. Furthermore, coadministration of tamoxifen and the EGFR TKI gefitinib potentially inhibited p-EGFR expression in EGFR-mutant lung adenocarcinoma. Regular follow-up with chest computed tomography is recommended for patients with breast cancer. For those diagnosed with both ER-positive breast cancer and EGFR-mutant lung adenocarcinoma, combined tamoxifen and EGFR TKI therapy may offer an effective targeted treatment strategy. Full article
(This article belongs to the Special Issue Signal Transduction and Targeted Therapy for Tumors)
Show Figures

Graphical abstract

12 pages, 1211 KB  
Article
Serum Oxidized LDL and Interleukin-10 as Biomarkers for Peripheral Artery Disease in Chronic Myeloid Leukemia Patients Receiving Tyrosine Kinase Inhibitor Therapy
by Hernycane Sosilya, Muhammad Noor Diansyah, Merlyna Savitri, Putu Niken Ayu Amrita, Pradana Zaky Romadhon, Hermina Novida, Nadya Luthfah, Ami Ashariati and Siprianus Ugroseno Yudho Bintoro
Hemato 2026, 7(1), 3; https://doi.org/10.3390/hemato7010003 - 4 Jan 2026
Viewed by 203
Abstract
Background/Objectives: Tyrosine kinase inhibitors (TKIs) have transformed the treatment of chronic myeloid leukemia (CML), yet emerging evidence indicates an increased risk of vascular adverse events, particularly peripheral artery disease (PAD). Reliable biomarkers for early detection of TKI-related vascular toxicity are still lacking. Methods: [...] Read more.
Background/Objectives: Tyrosine kinase inhibitors (TKIs) have transformed the treatment of chronic myeloid leukemia (CML), yet emerging evidence indicates an increased risk of vascular adverse events, particularly peripheral artery disease (PAD). Reliable biomarkers for early detection of TKI-related vascular toxicity are still lacking. Methods: A cross-sectional study was conducted on 78 patients with chronic-phase CML treated at Dr. Soetomo General Hospital, Surabaya. PAD was confirmed using ankle–brachial index. Serum oxidized low-density lipoprotein (OxLDL) and interleukin-10 (IL-10) levels were measured using ELISA. Results: PAD was detected in 20% of subjects. The PAD group showed significantly higher OxLDL, lower IL-10, and a markedly elevated OxLDL/IL-10 ratio (all p < 0.001). OxLDL remained independently associated with PAD after adjustment (adjusted OR = 1.132, 95% CI 1.020–1.255, p = 0.019). OxLDL/IL-10 ratio yielded a good diagnostic value (sensitivity 87.5% and specificity of 88.7%). Conclusions: Elevated OxLDL and an increased OxLDL/IL-10 ratio are associated with PAD in CML patients receiving TKI therapy and demonstrated a good diagnostic performance for early detection of TKI-induced vascular toxicity. Full article
Show Figures

Figure 1

31 pages, 1393 KB  
Review
The Evolving Role of Second- and Third-Generation Tyrosine Kinase Inhibitors in Gastrointestinal Malignancies: Advances in Targeted Therapy with Sunitinib, Regorafenib, and Avapritinib
by Piotr Kawczak and Tomasz Bączek
J. Clin. Med. 2026, 15(1), 317; https://doi.org/10.3390/jcm15010317 - 1 Jan 2026
Viewed by 282
Abstract
Gastrointestinal stromal tumors (GISTs) are the most common mesenchymal tumors of the gastrointestinal tract. While imatinib revolutionized first-line therapy, resistance and specific mutation profiles necessitate subsequent generations of tyrosine kinase inhibitors (TKIs). Sunitinib, regorafenib, and avapritinib represent second-line, third-line, and mutation-specific therapies, respectively, [...] Read more.
Gastrointestinal stromal tumors (GISTs) are the most common mesenchymal tumors of the gastrointestinal tract. While imatinib revolutionized first-line therapy, resistance and specific mutation profiles necessitate subsequent generations of tyrosine kinase inhibitors (TKIs). Sunitinib, regorafenib, and avapritinib represent second-line, third-line, and mutation-specific therapies, respectively, offering improved precision and disease control. This review summarizes clinical trial evidence, real-world data, and translational studies evaluating the efficacy, safety, and mechanistic basis of second- and third-generation TKIs in GIST. Emphasis is placed on therapeutic sequencing, resistance mechanisms, and molecularly guided treatment selection. Sunitinib, a multitargeted TKI inhibiting KIT, PDGFR, and VEGFR, provides effective disease control in imatinib-resistant or intolerant patients. Regorafenib, a broad-spectrum multikinase inhibitor, improves progression-free survival in refractory GIST and targets additional angiogenic and oncogenic pathways. Avapritinib, a next-generation TKI, selectively inhibits PDGFRA D842V and KIT exon 17 mutations, addressing a previously untreatable, mutation-driven subgroup. Integration of these agents into treatment algorithms exemplifies a shift toward personalized therapy, with outcomes guided by mutation profiling and biomarker-driven decisions. Second- and third-generation TKIs have transformed the management of advanced GIST, extending survival and offering mutation-specific precision therapy. Ongoing research into resistance mechanisms, combination strategies, and novel inhibitors promises further optimization of patient-centered care. Full article
(This article belongs to the Special Issue Diagnosis and Treatment of Gastrointestinal Malignancies)
Show Figures

Figure 1

21 pages, 1834 KB  
Review
Lineage Plasticity and Histologic Transformation in EGFR-TKI Resistant Lung Cancer
by Li Yieng Eunice Lau, Anders Jacobsen Skanderup and Aaron C. Tan
Int. J. Mol. Sci. 2026, 27(1), 445; https://doi.org/10.3390/ijms27010445 - 31 Dec 2025
Viewed by 336
Abstract
Lineage plasticity, the ability of cancer cells to alter their differentiated state through transcriptional and epigenetic reprogramming, has emerged as a key mechanism of therapeutic resistance across cancers. This adaptive process can manifest in multiple ways, including epithelial–mesenchymal transition, acquisition of stem-like features, [...] Read more.
Lineage plasticity, the ability of cancer cells to alter their differentiated state through transcriptional and epigenetic reprogramming, has emerged as a key mechanism of therapeutic resistance across cancers. This adaptive process can manifest in multiple ways, including epithelial–mesenchymal transition, acquisition of stem-like features, and histological transformation, the most striking and clinically apparent example. In EGFR-mutant lung adenocarcinoma (LUAD), lineage plasticity is increasingly recognized as a prevalent mechanism of acquired resistance to tyrosine kinase inhibitors (TKIs). Among its visible manifestations, histologic transformation into small-cell lung cancer (SCLC) is the most frequent, while squamous transformation and other phenotypic shifts also occur. Transformed tumors typically retain the initiating EGFR mutation but lose EGFR dependence, acquire neuroendocrine features, and display aggressive clinical behavior with poor clinical outcomes compared with both de novo SCLC and non-transformed LUAD. Recent studies show that plasticity arises through combined genomic, transcriptomic, and epigenetic reprogramming, often foreshadowed by molecular alterations before overt histological change. Spatial and single-cell profiling reveal heterogeneous trajectories and intermediate states, while functional models and multi-omics approaches have begun to identify therapeutic vulnerabilities distinct from both de novo EGFR-mutated SCLC and classical EGFR-mutated LUAD. Thus, lineage plasticity, whether manifested as histologic transformation or through more subtle epigenetic reprogramming, represents a formidable resistance mechanism in NSCLC. Defining its molecular basis and temporal dynamics will be essential for early detection, prognostication, and the development of tailored therapies. Full article
Show Figures

Figure 1

14 pages, 1783 KB  
Article
A Multikinase Inhibitor AX-0085 Blocks FGFR1 Activation to Overcomes Osimertinib Resistance in Non-Small Cell Lung Cancer
by Byung-Ho Rhie, Janardhan Keshav Karapurkar, Hyun-Yi Kim, Sang Hyeon Woo, D. A. Ayush Gowda, Dong Ha Kim, Myeong Jun Choi, Young Jun Park, Viswanathaiah Matam, Yoonki Hong, Seok-Ho Hong, Suresh Ramakrishna and Kye-Seong Kim
Biomedicines 2026, 14(1), 66; https://doi.org/10.3390/biomedicines14010066 - 28 Dec 2025
Viewed by 355
Abstract
Background: Osimertinib is a third-generation epidermal growth factor receptor (EGFR) tyrosine kinase inhibitor (TKI) with high efficacy in treating patients with advanced non-small cell lung cancer (NSCLC) harboring EGFR-activating mutations. Although osimertinib is a frontline anticancer agent for NSCLC, several patients inevitably develop [...] Read more.
Background: Osimertinib is a third-generation epidermal growth factor receptor (EGFR) tyrosine kinase inhibitor (TKI) with high efficacy in treating patients with advanced non-small cell lung cancer (NSCLC) harboring EGFR-activating mutations. Although osimertinib is a frontline anticancer agent for NSCLC, several patients inevitably develop tumor recurrence caused by osimertinib resistance. The activation of anexelekto (AXL) or fibroblast growth factor receptor 1 (FGFR1) is reported as a major factor driving osimertinib resistance in NSCLC. Thus, targeting AXL and FGFR1 offers the potential to overcome osimertinib resistance. Methods: In this study, we generated osimertinib-resistant cell lines from EGFR-mutant NSCLC cell lines in vitro and investigated the biological significance of AX-0085 on these cell lines by conducting transcriptomic analyses. Results: The expression of several genes associated with MAPK, ERK, and FGF receptor signaling pathways, including AXL, was altered upon AX-0085 treatment of osimertinib-resistant cells. Furthermore, AX-0085 treatment effectively blocked AXL and FGFR1 activation and sensitized osimertinib-resistant cells. Additionally, AX-0085 inhibited AXL and FGFR1-dependent oncogenic events, including cell proliferation, clonogenicity, and migration. Conclusions: The dual inhibition of AXL and FGFR1 by AX-0085 can overcome acquired osimertinib resistance, supporting its potential as a therapeutic strategy for treating patients with osimertinib-resistant tumors. Full article
Show Figures

Figure 1

20 pages, 5618 KB  
Article
Leveraging Acquired EGFR-TKI-Resistant Models to Identify MUC16 as a Therapeutic Vulnerability in Lung Adenocarcinoma
by Yinhua Tan, Chunxiu Xiao, Zhifan Wang, Yuhang Kong, Yamei Huang, Zhichang Liu, Qiang Wu, Chenyu Wu, Manyu Zhao, Jingyao Chen and Kai Xiao
Pharmaceuticals 2026, 19(1), 47; https://doi.org/10.3390/ph19010047 - 25 Dec 2025
Viewed by 342
Abstract
Background/Objectives: Acquired resistance to epidermal growth factor receptor (EGFR)-tyrosine kinase inhibitors (TKIs) remains a major challenge in the treatment of EGFR-mutant lung adenocarcinoma (LUAD). This study aimed to develop and characterize representative models of acquired EGFR-TKI resistance and to identify potential therapeutic [...] Read more.
Background/Objectives: Acquired resistance to epidermal growth factor receptor (EGFR)-tyrosine kinase inhibitors (TKIs) remains a major challenge in the treatment of EGFR-mutant lung adenocarcinoma (LUAD). This study aimed to develop and characterize representative models of acquired EGFR-TKI resistance and to identify potential therapeutic targets mediating this process. Methods: Resistant models of PC9 and LUAD-PDCs were generated using a standardized dose-escalation protocol. The resulting models were characterized by drug response assays, morphology, and transcriptomic sequencing. Candidate target genes were validated across all resistant models using siRNA knockdown followed by re-sensitization assays. Clinical relevance was further examined through analysis of publicly available datasets. Results: These generated models displayed stable resistant phenotypes and unique transcriptomic alterations. Cross-model analysis revealed MUC16 as a consistently upregulated gene associated with resistance. Functional validation demonstrated that MUC16 depletion re-sensitized all resistant models to EGFR-TKIs. Furthermore, analysis of clinical data linked high MUC16 expression to poorer patient outcomes. Conclusions: This study establishes stable in vitro models for investigating acquired resistance in EGFR-mutant LUAD and identifies MUC16 as a functionally validated and clinically relevant mediator of EGFR-TKI resistance, providing a potential therapeutic target for overcoming drug resistance. Full article
(This article belongs to the Special Issue Combating Drug Resistance in Cancer)
Show Figures

Figure 1

35 pages, 5474 KB  
Article
BRG1 (SMARCA4) Status Dictates the Response to EGFR Inhibitors in Wild-Type EGFR Non-Small Cell Lung Cancer
by Rebaz Ahmed, Ranganayaki Muralidharan, Narsireddy Amreddy, Akhil Srivastava, Meghna Mehta, Janani Panneerselvam, Rodrigo Orlandini de Castro, William L. Berry, Susmita Ghosh, Murali Ragothaman, Pawan Acharya, Yan D. Zhao, Roberto Jose Pezza, Anupama Munshi and Rajagopal Ramesh
Cancers 2026, 18(1), 62; https://doi.org/10.3390/cancers18010062 - 24 Dec 2025
Viewed by 390
Abstract
Background: Epidermal growth factor receptor (EGFR)-targeted tyrosine kinase inhibitors (TKIs) have exhibited efficacy in EGFR-mutant non-small cell lung cancer (NSCLC) patients. However, the response is modest in patients with wild-type (wt)-EGFR, and approximately 30–40% of patients develop TKI resistance. Recently, a role [...] Read more.
Background: Epidermal growth factor receptor (EGFR)-targeted tyrosine kinase inhibitors (TKIs) have exhibited efficacy in EGFR-mutant non-small cell lung cancer (NSCLC) patients. However, the response is modest in patients with wild-type (wt)-EGFR, and approximately 30–40% of patients develop TKI resistance. Recently, a role for BRG1 (SMARCA4) in regulating gene expression and its frequent alteration in various cancers, including NSCLC, has been reported. Yet, its specific function in response to EGFR-TKI therapy remains elusive. Herein, we investigated the role of BRG1 in EGFR-TKI response in vitro and in vivo using lung cancer models. Methods: In vitro, A549, H358, and HCC827 cell lines that varied in their EGFR and BRG1 status were assessed for response to EGFR-TKI upon overexpression or gene silencing of BRG1 through cell viability, cell migration, and Western blotting assays. In vivo, A549 and H358 tumor xenografts that overexpressed BRG1 or had BRG1 silenced were investigated for tumor growth response to EGFR-TKI. Results: EGFRwt/BRG1mt (A549) cells were resistant to TKI, and restoration of wt-BRG1 expression reverted them to TKI sensitivity both in vitro and in vivo. In contrast, silencing of BRG1wt in H358 cells showed a tendency toward TKI resistance. Additionally, wt-EGFR and pAKTSer473 protein complex formation in A549 cells was disrupted with an AKT inhibitor (MK2206), resulting in enhanced cytotoxicity in vitro. Conclusions: Our study demonstrates that EGFR-TKI response in wt-EGFR cells is dictated by BRG1 status. These findings propose screening of wt-EGFR NSCLC patients for BRG1 status for identifying individuals likely to benefit from EGFR-TKI therapy versus patients who will benefit from AKT inhibitor treatment. Full article
(This article belongs to the Section Cancer Therapy)
Show Figures

Figure 1

16 pages, 3190 KB  
Article
Establishment of a Flow Cytometry Protocol for Binarily Detecting Circulating Tumor Cells with EGFR Mutation
by Cheng-Yu Chang, Chia-Chun Tu, Shian-Ren Lin, Chih-Hao Fang, Po-Wei Tseng, Wan-En Liao, Li-Yun Huang, Shiu-Lan Wang, Wan-Yu Lai, Yee Chao, Yen-Ling Chiu and Jan-Mou Lee
Diseases 2025, 13(12), 406; https://doi.org/10.3390/diseases13120406 - 17 Dec 2025
Viewed by 436
Abstract
Background: Patients with EGFR-mutated non-small cell lung cancer (NSCLC) respond well to EGFR tyrosine kinase inhibitors (TKIs), but current EGFR mutation profiling relies on invasive tumor biopsies. Developing less invasive approaches, particularly proteomic evaluation of circulating tumor cells (CTCs) for EGFR mutation profiling, [...] Read more.
Background: Patients with EGFR-mutated non-small cell lung cancer (NSCLC) respond well to EGFR tyrosine kinase inhibitors (TKIs), but current EGFR mutation profiling relies on invasive tumor biopsies. Developing less invasive approaches, particularly proteomic evaluation of circulating tumor cells (CTCs) for EGFR mutation profiling, remains crucial. Methods: A flow cytometry method for detecting EGFRL858R-bearing CTCs was established by spiking NCI-H1975 cells into blood from cancer-naive donors. The method was then applied to blood samples from 21 NSCLC patients and 10 cancer-naive donors. Results: The gating strategy was defined by CD45CK-7/8+CK-14/15/16/19EpCAM+vimentin+EGFRL858R, with a cut-off value of 5 cells/mL. The method yielded positive results in all seven patients with the EGFRL858R mutation and negative results in all ten cancer-naive donors. Compared to the PCR-based reference method, the approach showed 100% positive and 71% negative agreement. Crucially, our in-house method detected EGFRL858R-bearing CTCs in three patients initially identified as EGFR wild-type and one patient with a different EGFR mutation. The remaining samples were concordant with PCR. Notably, two patients with these discordant results received EGFR-TKIs and experienced partial responses. Conclusions: This study introduces a feasible, less invasive proteomic approach for binarily detecting EGFR mutations in CTCs, offering a novel means for patient identification. Full article
Show Figures

Figure 1

Back to TopTop