Sign in to use this feature.

Years

Between: -

Subjects

remove_circle_outline
remove_circle_outline
remove_circle_outline
remove_circle_outline
remove_circle_outline

Journals

Article Types

Countries / Regions

Search Results (23)

Search Parameters:
Keywords = thymic lymphoma

Order results
Result details
Results per page
Select all
Export citation of selected articles as:
15 pages, 8492 KB  
Review
Thymic Hyperplasias in Practice: Clinical Context, Histological Clues, and Management Implications
by Stefan Porubsky
Cancers 2026, 18(1), 84; https://doi.org/10.3390/cancers18010084 - 27 Dec 2025
Viewed by 380
Abstract
Background and Objective: Thymic hyperplasias constitute a heterogeneous group of primarily non-neoplastic conditions characterized by either enlargement of the thymic parenchyma or the proliferation of lymphoid follicles. Differentiating these entities is crucial, as they exhibit significant differences in their epidemiology, clinical associations, and [...] Read more.
Background and Objective: Thymic hyperplasias constitute a heterogeneous group of primarily non-neoplastic conditions characterized by either enlargement of the thymic parenchyma or the proliferation of lymphoid follicles. Differentiating these entities is crucial, as they exhibit significant differences in their epidemiology, clinical associations, and implications for patient management. This review aims to synthesize the current knowledge on true thymic hyperplasia, rebound thymic hyperplasia, thymic follicular hyperplasia, and thymic hyperplasia with lymphoepithelial sialadenitis-like features, and to delineate their diagnostic boundaries in histology. Methods: A systematic literature review of the Medline database was conducted, encompassing all publications available up to November 2025. The search terms included thymic hyperplasia, true thymic hyperplasia, rebound thymic hyperplasia, thymic follicular hyperplasia, and lymphoepithelial-sialadenitis-like thymic hyperplasia. Studies concerning the histopathological, radiological, and clinical presentations as well as reference works concerning age-related thymus size and weight were included. Limitations stem from the scarcity of systematic investigations and heterogeneity of the available studies. Results: Thymic hyperplasia encompasses biologically diverse entities unified solely by their benign nature, yet distinguished by distinct histological patterns and clinical scenarios. True thymic hyperplasia and rebound hyperplasia preserve the organ’s fundamental architecture and lack association with autoimmunity; however, they differ in age distribution and clinical context. Thymic follicular hyperplasia reflects an immune-mediated process, strongly linked to early-onset myasthenia gravis, and is characterized by germinal-center formation within thymic lobes. Lymphoepithelial-sialadenitis-like thymic hyperplasia, by contrast, represents an epithelial–lymphoid proliferation with pronounced architectural distortion, frequent cystic changes, and notable associations with systemic non-myasthenic autoimmune diseases as well as thymic mucosa-associated-lymphatic-tissue lymphoma. Conclusions: Overall, clinical history, serological data, imaging, and detailed histopathology remain indispensable for differentiating thymic hyperplasias, some of which necessitate further systemic evaluation due to their association with autoimmune diseases or lymphomas. Full article
(This article belongs to the Special Issue The Mediastinum—Pandora’s Box)
Show Figures

Figure 1

12 pages, 850 KB  
Article
An HTLV-1-Infected Humanized Mouse Model Expressing HLA-A*02:01 Demonstrates Effective CTL-Mediated Suppression of HTLV-1
by Shinsuke Nakajima, Motohito Goto, Sung-Il Lee, Tokifumi Odaka, Masaki Hino, Kenta Tezuka, Norihiro Takenouchi, Takaharu Ueno, Fhahira Rizkhika Admadiani, Riichi Takahashi, Isao Hamaguchi, Takeshi Takahashi, Mamoru Ito and Kazu Okuma
Viruses 2025, 17(9), 1249; https://doi.org/10.3390/v17091249 - 16 Sep 2025
Viewed by 993
Abstract
Human T-cell leukemia virus type 1 (HTLV-1) establishes lifelong infection and is associated with severe diseases such as adult T-cell leukemia/lymphoma (ATL) and HTLV-1-associated myelopathy/tropical spastic paraparesis (HAM/TSP). Cytotoxic T lymphocytes (CTLs), especially those specific for the viral protein Tax, play a pivotal [...] Read more.
Human T-cell leukemia virus type 1 (HTLV-1) establishes lifelong infection and is associated with severe diseases such as adult T-cell leukemia/lymphoma (ATL) and HTLV-1-associated myelopathy/tropical spastic paraparesis (HAM/TSP). Cytotoxic T lymphocytes (CTLs), especially those specific for the viral protein Tax, play a pivotal role in controlling HTLV-1 infection. However, conventional humanized mouse models fail to fully reconstitute human immune responses, limiting their utility for evaluating CTL-mediated immunity. This study aimed to establish a physiologically relevant in vivo model to investigate human CTL responses against HTLV-1. To achieve this, we utilized NOG-HLA-A02 transgenic (Tg) mice expressing human HLA-A02:01 on thymic epithelial cells, enabling proper development of HLA-restricted human T cells. Compared to conventional humanized NOG mice, HTLV-1-infected humanized NOG-HLA-A02 Tg mice exhibited significantly reduced HTLV-1 proviral load (PVL), decreased expansion of infected CD4+ T cells, a trend toward increased frequencies of Tax-specific CD8+ T cells, and prolonged survival. These results demonstrate that the expression of HLA-A02:01 facilitates robust CTL-mediated immune control of HTLV-1. This model provides a powerful platform for dissecting HTLV-1 immunopathogenesis and evaluating CTL-targeted therapeutic strategies, including vaccines and immune checkpoint inhibitors. Full article
(This article belongs to the Section Viral Immunology, Vaccines, and Antivirals)
Show Figures

Figure 1

14 pages, 1372 KB  
Article
The Abundance of FOXP3, FOXP3/CD4 and CD8 Cells in the Microenvironment of Nodular Sclerosis and Mixed Cellularity Subtypes Is Associated with the Epstein–Barr Virus Status of Classic Hodgkin Lymphoma
by Antonia Pavlović, Antonija Miljak, Katarina Brzica and Merica Glavina Durdov
Biomedicines 2024, 12(8), 1680; https://doi.org/10.3390/biomedicines12081680 - 27 Jul 2024
Cited by 2 | Viewed by 3321
Abstract
Thymic regulatory lymphocytes (Tregs) are rare in the normal periphery where they mediate immune tolerance but accumulate in the tumor immune microenvironment (TIM), reducing the antitumor response. Subtypes of classical Hodgkin lymphoma (CHL) are characterized by a minority of malignant Hodgkin and Reed–Sternberg [...] Read more.
Thymic regulatory lymphocytes (Tregs) are rare in the normal periphery where they mediate immune tolerance but accumulate in the tumor immune microenvironment (TIM), reducing the antitumor response. Subtypes of classical Hodgkin lymphoma (CHL) are characterized by a minority of malignant Hodgkin and Reed–Sternberg cells (HRS) and an abundant TIM that plays a key role in modulating the disease. CHL is related to the Epstein–Barr virus (EBV), whose oncogenes influence the growth of HRS. We analyzed the number of T lymphocytes expressing the regulatory marker FOXP3 in CHL with regard to EBV status. The tumor tissue of 182 patients was stained by double immunohistochemistry for FOXP3, CD4, and CD8, and the number of different phenotypes was analyzed microscopically. EBV status was determined by EBER in situ hybridization. EBV-positive CHL was confirmed in 28% of patients and was associated with mixed cellularity (MC) (p < 0.001), older age (p < 0.001), and unfavorable outcomes (p = 0.038). The number of CD8+ T lymphocytes differed according to the EBV status of MC and nodular sclerosis (NS), and was the lowest in EBV-negative NS (p = 0.001). Likewise, the numbers for FOXP3 and FOXP3/CD4 were different, and were the lowest in EBV-negative MC (p = 0.035 and p = 0.041, respectively). Values above a median of FOXP3 and CD4 are associated with longer progression-free survival (p = 0.039 and p < 0.001, respectively). EBV impacts the composition of T cell phenotypes in TIM, among which the amount of CD4 and FOXP3 is prognostically valuable. Full article
(This article belongs to the Section Cancer Biology and Oncology)
Show Figures

Figure 1

14 pages, 560 KB  
Review
Mechanisms Underlying the Development of Murine T-Cell Lymphoblastic Lymphoma/Leukemia Induced by Total-Body Irradiation
by Toshihiko Sado, John B. Cart and Chang-Lung Lee
Cancers 2024, 16(12), 2224; https://doi.org/10.3390/cancers16122224 - 14 Jun 2024
Viewed by 2168
Abstract
Exposure to ionizing radiation is associated with an increased risk of hematologic malignancies in myeloid and lymphoid lineages in humans and experimental mice. Given that substantial evidence links radiation exposure with the risk of hematologic malignancies, it is imperative to deeply understand the [...] Read more.
Exposure to ionizing radiation is associated with an increased risk of hematologic malignancies in myeloid and lymphoid lineages in humans and experimental mice. Given that substantial evidence links radiation exposure with the risk of hematologic malignancies, it is imperative to deeply understand the mechanisms underlying cellular and molecular changes during the latency period between radiation exposure and the emergence of fully transformed malignant cells. One experimental model widely used in the field of radiation and cancer biology to study hematologic malignancies induced by radiation exposure is mouse models of radiation-induced thymic lymphoma. Murine radiation-induced thymic lymphoma is primarily driven by aberrant activation of Notch signaling, which occurs frequently in human precursor T-cell lymphoblastic lymphoma (T-LBL) and T-cell lymphoblastic leukemia (T-ALL). Here, we summarize the literature elucidating cell-autonomous and non-cell-autonomous mechanisms underlying cancer initiation, progression, and malignant transformation in the thymus following total-body irradiation (TBI) in mice. Full article
Show Figures

Figure 1

15 pages, 1006 KB  
Review
Recent Advances in Phytochemical-Based Topical Applications for the Management of Eczema: A Review
by Janani Radhakrishnan, Barry E. Kennedy, Erin B. Noftall, Carman A. Giacomantonio and H. P. Vasantha Rupasinghe
Int. J. Mol. Sci. 2024, 25(10), 5375; https://doi.org/10.3390/ijms25105375 - 15 May 2024
Cited by 12 | Viewed by 7906
Abstract
Eczema (atopic dermatitis, AD) is a skin disease characterized by skin barrier dysfunction due to various factors, including genetics, immune system abnormalities, and environmental triggers. Application of emollients and topical drugs such as corticosteroids and calcineurin inhibitors form the mainstay of treatments for [...] Read more.
Eczema (atopic dermatitis, AD) is a skin disease characterized by skin barrier dysfunction due to various factors, including genetics, immune system abnormalities, and environmental triggers. Application of emollients and topical drugs such as corticosteroids and calcineurin inhibitors form the mainstay of treatments for this challenging condition. This review aims to summarize the recent advances made in phytochemical-based topical applications to treat AD and the different carriers that are being used. In this review, the clinical efficacy of several plant extracts and bioactive phytochemical compounds in treating AD are discussed. The anti-atopic effects of the herbs are evident through improvements in the Scoring Atopic Dermatitis (SCORAD) index, reduced epidermal thickness, decreased transepidermal water loss, and alleviated itching and dryness in individuals affected by AD as well as in AD mouse models. Histopathological studies and serum analyses conducted in AD mouse models demonstrated a reduction in key inflammatory factors, including thymic stromal lymphopoietin (TSLP), serum immunoglobulin E (IgE), and interleukins (IL). Additionally, there was an observed upregulation of the filaggrin (FLG) gene, which regulates the proteins constituting the stratum corneum, the outermost layer of the epidermis. Carriers play a crucial role in topical drug applications, influencing dose delivery, retention, and bioavailability. This discussion delves into the efficacy of various nanocarriers, including liposomes, ethosomes, nanoemulsions, micelles, nanocrystals, solid-lipid nanoparticles, and polymeric nanoparticles. Consequently, the potential long-term side effects such as atrophy, eruptions, lymphoma, pain, and allergic reactions that are associated with current topical treatments, including emollients, topical corticosteroids, topical calcineurin inhibitors, and crisaborole, can potentially be mitigated through the use of phytochemical-based natural topical treatments. Full article
(This article belongs to the Special Issue Molecular Studies of Dermatitis: From Mechanism to Therapy)
Show Figures

Figure 1

6 pages, 4337 KB  
Interesting Images
Cat Scratch Disease—A Benign Disease with Thymic Hyperplasia Mimicking Lymphoma
by Ming Hui Leong, Mohd Jadi Nabillah, Iqbal Hussain Rizuana, Abdullah Asma, Thean Yean Kew and Geok Chin Tan
Diagnostics 2023, 13(14), 2457; https://doi.org/10.3390/diagnostics13142457 - 24 Jul 2023
Cited by 2 | Viewed by 2673
Abstract
Cat scratch disease (CSD) is a benign condition caused by the inoculation of Bartonella henselae. The imaging findings are non-specific, and it is difficult to diagnose the disease via imaging. However, imaging studies help exclude other differential diagnoses in diagnostic dilemmas. We encountered [...] Read more.
Cat scratch disease (CSD) is a benign condition caused by the inoculation of Bartonella henselae. The imaging findings are non-specific, and it is difficult to diagnose the disease via imaging. However, imaging studies help exclude other differential diagnoses in diagnostic dilemmas. We encountered a case of a 17-year-old adolescent who presented with painful neck swelling. CT showed multiple bilateral cervical lymphadenopathies with triangular soft tissue mass at the anterior mediastinum likely to be thymic hyperplasia, which is unusual in CSD and was mistaken for a lymphoproliferative disorder. Tissue diagnosis with a thorough clinical history yielded the diagnosis of cat scratch disease, and follow-up imaging showed resolution of the cervical lymphadenopathy and thymic hyperplasia. Full article
(This article belongs to the Section Medical Imaging and Theranostics)
Show Figures

Figure 1

13 pages, 2201 KB  
Article
An MRI-Based Clinical-Perfusion Model Predicts Pathological Subtypes of Prevascular Mediastinal Tumors
by Chia-Ying Lin, Yi-Ting Yen, Li-Ting Huang, Tsai-Yun Chen, Yi-Sheng Liu, Shih-Yao Tang, Wei-Li Huang, Ying-Yuan Chen, Chao-Han Lai, Yu-Hua Dean Fang, Chao-Chun Chang and Yau-Lin Tseng
Diagnostics 2022, 12(4), 889; https://doi.org/10.3390/diagnostics12040889 - 2 Apr 2022
Cited by 10 | Viewed by 3190
Abstract
This study aimed to build machine learning prediction models for predicting pathological subtypes of prevascular mediastinal tumors (PMTs). The candidate predictors were clinical variables and dynamic contrast–enhanced MRI (DCE-MRI)–derived perfusion parameters. The clinical data and preoperative DCE–MRI images of 62 PMT patients, including [...] Read more.
This study aimed to build machine learning prediction models for predicting pathological subtypes of prevascular mediastinal tumors (PMTs). The candidate predictors were clinical variables and dynamic contrast–enhanced MRI (DCE-MRI)–derived perfusion parameters. The clinical data and preoperative DCE–MRI images of 62 PMT patients, including 17 patients with lymphoma, 31 with thymoma, and 14 with thymic carcinoma, were retrospectively analyzed. Six perfusion parameters were calculated as candidate predictors. Univariate receiver-operating-characteristic curve analysis was performed to evaluate the performance of the prediction models. A predictive model was built based on multi-class classification, which detected lymphoma, thymoma, and thymic carcinoma with sensitivity of 52.9%, 74.2%, and 92.8%, respectively. In addition, two predictive models were built based on binary classification for distinguishing Hodgkin from non-Hodgkin lymphoma and for distinguishing invasive from noninvasive thymoma, with sensitivity of 75% and 71.4%, respectively. In addition to two perfusion parameters (efflux rate constant from tissue extravascular extracellular space into the blood plasma, and extravascular extracellular space volume per unit volume of tissue), age and tumor volume were also essential parameters for predicting PMT subtypes. In conclusion, our machine learning–based predictive model, constructed with clinical data and perfusion parameters, may represent a useful tool for differential diagnosis of PMT subtypes. Full article
(This article belongs to the Section Medical Imaging and Theranostics)
Show Figures

Figure 1

18 pages, 24648 KB  
Article
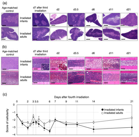
Post-Irradiation Thymic Regeneration in B6C3F1 Mice Is Age Dependent and Modulated by Activation of the PI3K-AKT-mTOR Pathway
by Masaaki Sunaoshi, Benjamin J. Blyth, Yi Shang, Chizuru Tsuruoka, Takamitsu Morioka, Mayumi Shinagawa, Mari Ogawa, Yoshiya Shimada, Akira Tachibana, Daisuke Iizuka and Shizuko Kakinuma
Biology 2022, 11(3), 449; https://doi.org/10.3390/biology11030449 - 16 Mar 2022
Cited by 4 | Viewed by 3418
Abstract
The risk of radiation-induced carcinogenesis depends on age at exposure. We previously reported principal causative genes in lymphomas arising after infant or adult exposure to 4-fractionated irradiation as Pten or Ikzf1, respectively, suggesting that cells with mutation in these genes might be [...] Read more.
The risk of radiation-induced carcinogenesis depends on age at exposure. We previously reported principal causative genes in lymphomas arising after infant or adult exposure to 4-fractionated irradiation as Pten or Ikzf1, respectively, suggesting that cells with mutation in these genes might be the origin of lymphomas arising after irradiation depending on age at exposure. Here, we clarified the age-dependent differences in thymus-cell dynamics in mice during the initial post-irradiation period. The thymocyte number initially decreased, followed by two regeneration phases. During the first regeneration, the proportion of phosphorylated-AKT-positive (p-AKT+) cells in cell-cycle phases S+G2/M of immature CD4CD8 and CD4+CD8+ thymocytes and in phases G0/G1 of mature CD4+CD8 and CD4CD8+ thymocytes was significantly greater in irradiated infants than in irradiated adults. During the second regeneration, the proportion of p-AKT+ thymocytes in phases G0/G1 increased in each of the three populations other than CD4CD8 thymocytes more so than during the first regeneration. Finally, PI3K-AKT-mTOR signaling in infants contributed, at least in part, to biphasic thymic regeneration through the modification of cell proliferation and survival after irradiation, which may be associated with the risk of Pten mutation-associated thymic lymphoma. Full article
(This article belongs to the Section Cancer Biology)
Show Figures

Figure 1

22 pages, 746 KB  
Review
Genetic Landscape of Peripheral T-Cell Lymphoma
by Vivian Hathuc and Friederike Kreisel
Life 2022, 12(3), 410; https://doi.org/10.3390/life12030410 - 11 Mar 2022
Cited by 16 | Viewed by 7556
Abstract
Peripheral T-Cell lymphoma (PTCL) comprises a heterogenous group of uncommon lymphomas derived from mature, post-thymic or “peripheral” T- and natural killer cells. The World Health Organization (WHO) emphasizes a multiparameter approach in the diagnosis and subclassification of these neoplasms, integrating clinical, morphologic, immunophenotypic, [...] Read more.
Peripheral T-Cell lymphoma (PTCL) comprises a heterogenous group of uncommon lymphomas derived from mature, post-thymic or “peripheral” T- and natural killer cells. The World Health Organization (WHO) emphasizes a multiparameter approach in the diagnosis and subclassification of these neoplasms, integrating clinical, morphologic, immunophenotypic, and genetic features into the final diagnosis. Clinical presentation is particularly important due to histologic, immunophenotypic and genetic variations within established subtypes, and no convenient immunophenotypic marker of monoclonality exists. In recent years, widespread use of gene expression profiling and next-generation sequencing (NGS) techniques have contributed to an improved understanding of the pathobiology in PTCLs, and these have been incorporated into the 2016 revised WHO classification of mature T- and NK-cell neoplasms which now encompasses nearly 30 distinct entities. This review discusses the genetic landscape of PTCL and its role in subclassification, prognosis, and potential targeted therapy. In addition to discussing T-Cell lymphoma subtypes with relatively well-defined or relevant genetic aberrancies, special attention is given to genetic advances in T-Cell lymphomas of T follicular helper cell (TFH) origin, highlighting genetic overlaps between angioimmunoblastic T-Cell lymphoma (AITL), follicular T-Cell lymphoma, and nodal peripheral T-Cell lymphoma with a TFH phenotype. Furthermore, genetic drivers will be discussed for ALK-negative anaplastic large cell lymphomas and their role in differentiating these from CD30+ peripheral T-Cell lymphoma, not otherwise specified (NOS) and primary cutaneous anaplastic large cell lymphoma. Lastly, a closer look is given to genetic pathways in peripheral T-Cell lymphoma, NOS, which may guide in teasing out more specific entities in a group of T-Cell lymphomas that represents the most common subcategory and is sometimes referred to as a “wastebasket” category. Full article
(This article belongs to the Special Issue Molecular Pathways in Hematologic Neoplasm)
Show Figures

Figure 1

13 pages, 1757 KB  
Article
Canine Epithelial Thymic Tumors: Outcome in 28 Dogs Treated by Surgery
by Marina Martano, Paolo Buracco and Emanuela Maria Morello
Animals 2021, 11(12), 3444; https://doi.org/10.3390/ani11123444 - 2 Dec 2021
Cited by 11 | Viewed by 8078
Abstract
Thymoma is a tumor rarely reported in dogs and should be differentiated from mediastinal lymphoma. Clinical signs may have a late onset, and thymoma is often diagnosed when symptoms related to the space-occupying effect or paraneoplastic syndromes occur. CT and fine-needle aspirates or [...] Read more.
Thymoma is a tumor rarely reported in dogs and should be differentiated from mediastinal lymphoma. Clinical signs may have a late onset, and thymoma is often diagnosed when symptoms related to the space-occupying effect or paraneoplastic syndromes occur. CT and fine-needle aspirates or core biopsies are helpful in differential diagnosis, but flow cytometry may improve the pre-operative diagnostic ability. Concurrent paraneoplastic syndromes such as myasthenia gravis and hypercalcemia have been reported; however, their role as prognostic factors is not well determined. Surgical excision is the treatment of choice; adjuvant radiotherapy and/or chemotherapy may prolong survival in cases of incomplete excision or when a thymic carcinoma is diagnosed. Local recurrence and metastasis are infrequently reported; therefore, a long survival time is expected if the tumor is completely excised or if adjuvant therapy is undertaken. This article reports the authors’ experience with 28 dogs affected by 18 thymomas and 10 thymic carcinomas. The median overall survival in this series was 1173 days, and the median disease-free interval was 903 days. Dogs with thymic carcinoma had significantly shorter disease-free intervals and shorter, although not statistically significant, survival times. Dogs with Masaoka Stage III tumors had worse outcomes. Full article
(This article belongs to the Special Issue Surgical Oncology in Companion Animals)
Show Figures

Figure 1

16 pages, 2209 KB  
Review
DLX Genes: Roles in Development and Cancer
by Yinfei Tan and Joseph R. Testa
Cancers 2021, 13(12), 3005; https://doi.org/10.3390/cancers13123005 - 15 Jun 2021
Cited by 50 | Viewed by 7961
Abstract
Homeobox genes control body patterning and cell-fate decisions during development. The homeobox genes consist of many families, only some of which have been investigated regarding a possible role in tumorigenesis. Dysregulation of HOX family genes have been widely implicated in cancer etiology. DLX [...] Read more.
Homeobox genes control body patterning and cell-fate decisions during development. The homeobox genes consist of many families, only some of which have been investigated regarding a possible role in tumorigenesis. Dysregulation of HOX family genes have been widely implicated in cancer etiology. DLX homeobox genes, which belong to the NK-like family, exert dual roles in development and cancer. The DLX genes are the key transcription factors involved in regulating the development of craniofacial structures in vertebrates. The three DLX bigenes have overlapping expression in the branchial arches. Disruption of DLX function has destructive consequences in organogenesis and is associated with certain congenital disorders in humans. The role of DLX genes in oncogenesis is only beginning to emerge. DLX2 diminishes cellular senescence by regulating p53 function, whereas DLX4 has been associated with metastasis in breast cancer. In human ovarian cancer cells, DLX5 is essential for regulating AKT signaling, thereby promoting cell proliferation and survival. We previously implicated Dlx5 as an oncogene in murine T-cell lymphoma driven by a constitutively active form of Akt2. In this mouse model, overexpression of Dlx5 was caused by a chromosomal rearrangement that juxtaposed the Tcr-beta promoter region near the Dlx5 locus. Moreover, transgenic mice overexpressing Dlx5, specifically in immature T-cells, develop spontaneous thymic lymphomas. Oncogenesis in this mouse model involves binding of Dlx5 to the Notch1 and Notch3 gene loci to activate their transcription. Dlx5 also cooperates with Akt signaling to accelerate lymphomagenesis by activating Wnt signaling. We also discuss the fact that human DLX5 is aberrantly expressed in several human malignancies. Full article
(This article belongs to the Special Issue NKL Homeobox Genes in Normal and Aberrant Hematopoiesis)
Show Figures

Graphical abstract

7 pages, 1319 KB  
Communication
Thymic Carcinomas and Second Malignancies: A Single-Center Review
by Sunil S. Badve, Rachel Dougherty, Michael Balatico, Kenneth A. Kesler, Patrick Loehrer and Yesim Gökmen-Polar
Cancers 2021, 13(10), 2472; https://doi.org/10.3390/cancers13102472 - 19 May 2021
Cited by 7 | Viewed by 2325
Abstract
Thymic carcinomas account for less than 0.01% of new cancer diagnoses annually and are more aggressive than thymomas. Autoimmune disorders have been associated with thymomas and only recently with thymic carcinomas. Second malignancies are well described after thymomas. The aim of this study [...] Read more.
Thymic carcinomas account for less than 0.01% of new cancer diagnoses annually and are more aggressive than thymomas. Autoimmune disorders have been associated with thymomas and only recently with thymic carcinomas. Second malignancies are well described after thymomas. The aim of this study was to analyze the incidence of second malignancies in patients with thymic carcinomas. All cases of thymic carcinomas were identified from the pathology archives of Indiana University. Histological materials were reviewed and further correlated with clinical data to identify incidence of second cancers in patients with thymic carcinomas. Histological material was available for review in 92 cases of thymic carcinoma. Clinical data were available for 85 patients. Fourteen of these (16.5%) patients had a second malignancy; these included small cell lung carcinoma, “testicular cancer”, embryonal carcinoma, seminoma, breast carcinoma (two cases), prostatic adenocarcinoma, Hodgkin’s lymphoma, thyroid carcinoma, bladder carcinoma (two cases), renal cell carcinoma, and melanoma. The latter could precede, be concurrent with, or follow the diagnosis thymic carcinoma. The incidence of second cancers in patients with thymic carcinomas is similar to that reported for thymomas. Abnormalities in immunological surveillance may be responsible for this high incidence of second malignancies in thymic tumors. Full article
(This article belongs to the Section Cancer Pathophysiology)
Show Figures

Figure 1

24 pages, 1816 KB  
Review
Diffuse Large B-Cell Lymphoma: Recognition of Markers for Targeted Therapy
by Laura Tomas-Roca, Marta Rodriguez, Ruth Alonso-Alonso, Socorro M. Rodriguez-Pinilla and Miguel Angel Piris
Hemato 2021, 2(2), 281-304; https://doi.org/10.3390/hemato2020017 - 14 May 2021
Cited by 1 | Viewed by 9599
Abstract
Diffuse large B-cell lymphomas (DLBCL)s, the most common type of Non-Hodgkin’s Lymphoma, constitute a heterogeneous group of disorders including different disease sites, strikingly diverse molecular features and a profound variability in the clinical behavior. Molecular studies and clinical trials have partially revealed the [...] Read more.
Diffuse large B-cell lymphomas (DLBCL)s, the most common type of Non-Hodgkin’s Lymphoma, constitute a heterogeneous group of disorders including different disease sites, strikingly diverse molecular features and a profound variability in the clinical behavior. Molecular studies and clinical trials have partially revealed the underlying causes for this variability and have made possible the recognition of some molecular variants susceptible of specific therapeutic approaches. The main histogenetic groups include the germinal center, activated B cells, thymic B cells and terminally differentiated B cells, a basic scheme where the large majority of DLBCL cases can be ascribed. The nodal/extranodal origin, specific mutational changes and microenvironment peculiarities provide additional layers of complexity. Here, we summarize the status of the knowledge and make some specific proposals for addressing the future development of targeted therapy for DLBC cases. Full article
Show Figures

Graphical abstract

13 pages, 1222 KB  
Review
The Japanese Wild-Derived Inbred Mouse Strain, MSM/Ms in Cancer Research
by Kazuhiro Okumura, Megumi Saito, Eriko Isogai and Yuichi Wakabayashi
Cancers 2021, 13(5), 1026; https://doi.org/10.3390/cancers13051026 - 1 Mar 2021
Cited by 7 | Viewed by 4114
Abstract
MSM/Ms is a unique inbred mouse strain derived from the Japanese wild mouse, Mus musculus molossinus, which has been approximately 1 million years genetically distant from standard inbred mouse strains mainly derived from M. m. domesticus. Due to its genetic divergence, [...] Read more.
MSM/Ms is a unique inbred mouse strain derived from the Japanese wild mouse, Mus musculus molossinus, which has been approximately 1 million years genetically distant from standard inbred mouse strains mainly derived from M. m. domesticus. Due to its genetic divergence, MSM/Ms has been broadly used in linkage studies. A bacterial artificial chromosome (BAC) library was constructed for the MSM/Ms genome, and sequence analysis of the MSM/Ms genome showed approximately 1% of nucleotides differed from those in the commonly used inbred mouse strain, C57BL/6J. Therefore, MSM/Ms mice are thought to be useful for functional genome studies. MSM/Ms mice show unique characteristics of phenotypes, including its smaller body size, resistance to high-fat-diet-induced diabetes, high locomotive activity, and resistance to age-onset hearing loss, inflammation, and tumorigenesis, which are distinct from those of common inbred mouse strains. Furthermore, ES (Embryonic Stem) cell lines established from MSM/Ms allow the MSM/Ms genome to be genetically manipulated. Therefore, genomic and phenotypic analyses of MSM/Ms reveal novel insights into gene functions that were previously not obtained from research on common laboratory strains. Tumorigenesis-related MSM/Ms-specific genetic traits have been intensively investigated in Japan. Furthermore, radiation-induced thymic lymphomas and chemically-induced skin tumors have been extensively examined using MSM/Ms. Full article
(This article belongs to the Collection Carcinogenesis Model)
Show Figures

Figure 1

13 pages, 2166 KB  
Article
Thymic Hyperplasia with Lymphoepithelial Sialadenitis (LESA)-Like Features: Strong Association with Lymphomas and Non-Myasthenic Autoimmune Diseases
by Stefan Porubsky, Zoran V. Popovic, Sunil Badve, Yara Banz, Sabina Berezowska, Dietmar Borchert, Monika Brüggemann, Timo Gaiser, Thomas Graeter, Peter Hollaus, Katrin S. Huettl, Michaela Kotrova, Andreas Kreft, Christian Kugler, Fabian Lötscher, Burkhard Möller, German Ott, Gerhard Preissler, Eric Roessner, Andreas Rosenwald, Philipp Ströbel and Alexander Marxadd Show full author list remove Hide full author list
Cancers 2021, 13(2), 315; https://doi.org/10.3390/cancers13020315 - 16 Jan 2021
Cited by 17 | Viewed by 5019
Abstract
Thymic hyperplasia (TH) with lymphoepithelial sialadenitis (LESA)-like features (LESA-like TH) has been described as a tumor-like, benign proliferation of thymic epithelial cells and lymphoid follicles. We aimed to determine the frequency of lymphoma and autoimmunity in LESA-like TH and performed retrospective analysis of [...] Read more.
Thymic hyperplasia (TH) with lymphoepithelial sialadenitis (LESA)-like features (LESA-like TH) has been described as a tumor-like, benign proliferation of thymic epithelial cells and lymphoid follicles. We aimed to determine the frequency of lymphoma and autoimmunity in LESA-like TH and performed retrospective analysis of cases with LESA-like TH and/or thymic MALT-lymphoma. Among 36 patients (21 males) with LESA-like TH (age 52 years, 32–80; lesion diameter 7.0 cm, 1–14.5; median, range), five (14%) showed associated lymphomas, including four (11%) thymic MALT lymphomas and one (3%) diffuse large B-cell lymphoma. One additional case showed a clonal B-cell-receptor rearrangement without evidence of lymphoma. Twelve (33%) patients (7 women) suffered from partially overlapping autoimmune diseases: systemic lupus erythematosus (n = 4, 11%), rheumatoid arthritis (n = 3, 8%), myasthenia gravis (n = 2, 6%), asthma (n = 2, 6%), scleroderma, Sjögren syndrome, pure red cell aplasia, Grave’s disease and anti-IgLON5 syndrome (each n = 1, 3%). Among 11 primary thymic MALT lymphomas, remnants of LESA-like TH were found in two cases (18%). In summary, LESA-like TH shows a striking association with autoimmunity and predisposes to lymphomas. Thus, a hematologic and rheumatologic workup should become standard in patients diagnosed with LESA-like TH. Radiologists and clinicians should be aware of LESA-like TH as a differential diagnosis for mediastinal mass lesions in patients with autoimmune diseases. Full article
(This article belongs to the Special Issue Novel Approaches in Thymic Epithelial Tumors Diagnosis and Treatment)
Show Figures

Figure 1

Back to TopTop