Thymic Hyperplasia with Lymphoepithelial Sialadenitis (LESA)-Like Features: Strong Association with Lymphomas and Non-Myasthenic Autoimmune Diseases
Abstract
Simple Summary
Abstract
1. Introduction
2. Materials and Methods
3. Results
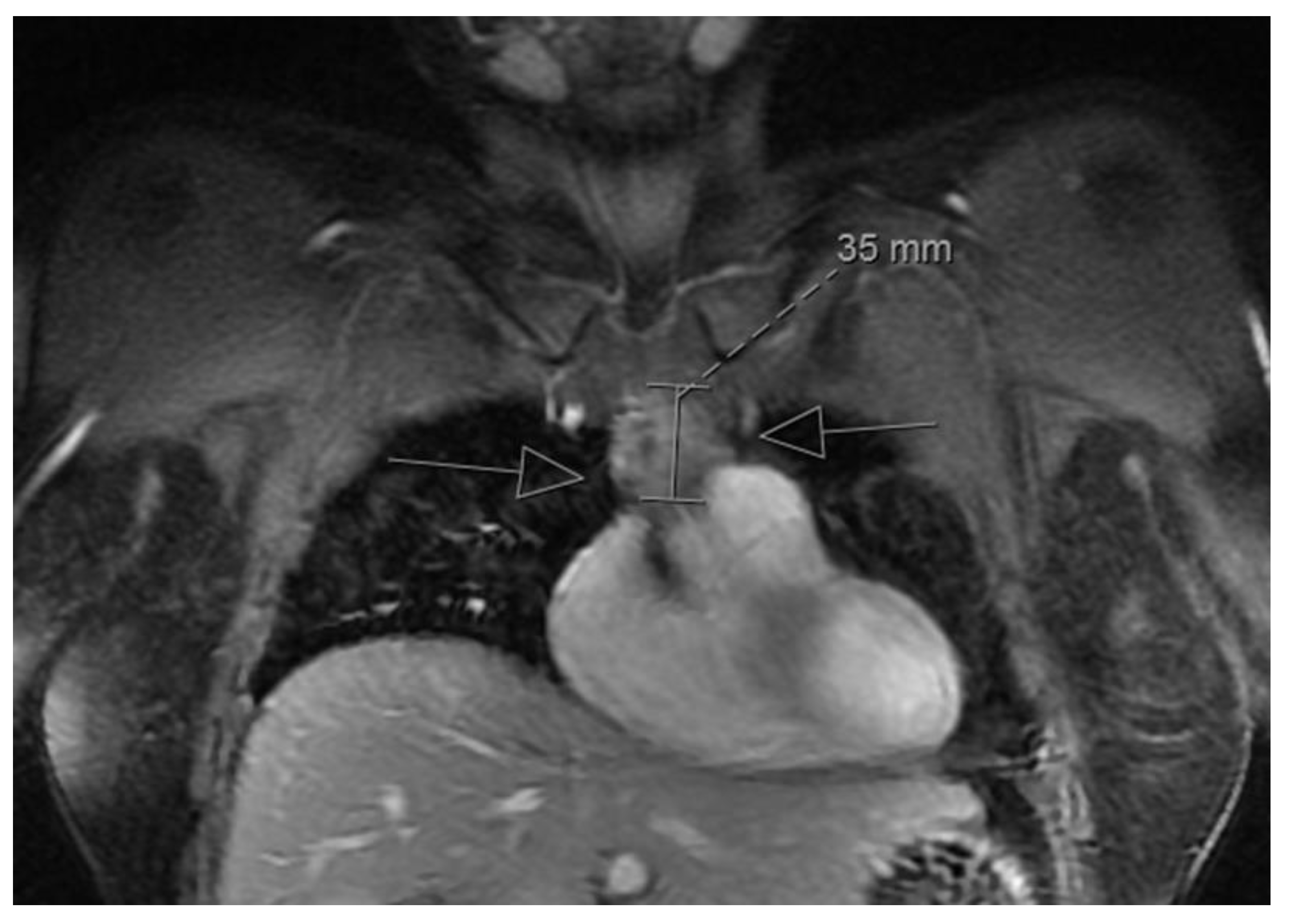
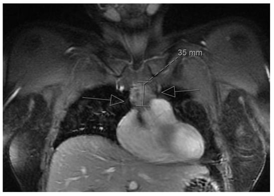
3.1. Clinical Presentation
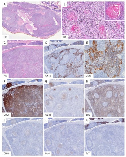
3.2. Histological Findings
3.3. LESA-Like TH-Associated Lymphomas
3.4. LESA-Like TH-Associated Autoimmune Disorders
4. Discussion
5. Conclusions
Supplementary Materials
Author Contributions
Funding
Institutional Review Board Statement
Informed Consent Statement
Data Availability Statement
Conflicts of Interest
References
- Roden, A.C.; Fang, W.; Shen, Y.; Carter, B.W.; White, D.B.; Jenkins, S.M.; Spears, G.M.; Molina, J.R.; Klang, E.; Segni, M.D.; et al. Distribution of Mediastinal Lesions Across Multi-Institutional, International, Radiology Databases. J. Thorac. Oncol. 2020, 15, 568–579. [Google Scholar] [CrossRef] [PubMed]
- Arndt, B.; Gaiser, T.; Marx, A.; Rieger, C. Lymphoepithelial sialadenitis (LESA)-like Thymic hyperplasia: A case report. Dtsch. Med. Wochenschr. 2016, 141, 1026–1029. [Google Scholar] [CrossRef] [PubMed]
- Weissferdt, A.; Moran, C.A. Thymic hyperplasia with lymphoepithelial sialadenitis (LESA)-like features: A clinicopathologic and immunohistochemical study of 4 cases. Am. J. Clin. Pathol. 2012, 138, 816–822. [Google Scholar] [CrossRef] [PubMed]
- Nocturne, G.; Mariette, X. Sjogren Syndrome-associated lymphomas: An update on pathogenesis and management. Br. J. Haematol. 2015, 168, 317–327. [Google Scholar] [CrossRef] [PubMed]
- Isaacson, P.G.; Chan, J.K.; Tang, C.; Addis, B.J. Low-grade B-cell lymphoma of mucosa-associated lymphoid tissue arising in the thymus. A thymic lymphoma mimicking myoepithelial sialadenitis. Am. J. Surg. Pathol. 1990, 14, 342–351. [Google Scholar] [CrossRef] [PubMed]
- Bruggemann, M.; Kotrova, M.; Knecht, H.; Bartram, J.; Boudjogrha, M.; Bystry, V.; Fazio, G.; Fronkova, E.; Giraud, M.; Grioni, A.; et al. Standardized next-generation sequencing of immunoglobulin and T-cell receptor gene recombinations for MRD marker identification in acute lymphoblastic leukaemia; a EuroClonality-NGS validation study. Leukemia 2019, 33, 2241–2253. [Google Scholar] [CrossRef] [PubMed]
- Wolfe, G.I.; Kaminski, H.J.; Aban, I.B.; Minisman, G.; Kuo, H.-C.; Marx, A.; Ströbel, P.; Mazia, C.; Oger, J.; Cea, J.G.; et al. Long-term effect of thymectomy plus prednisone versus prednisone alone in patients with non-thymomatous myasthenia gravis: 2-year extension of the MGTX randomised trial. Lancet Neurol. 2019, 18, 259–268. [Google Scholar] [CrossRef]
- Lorsbach, R.B.; Pinkus, G.S.; Shahsafaei, A.; Dorfman, D.M. Primary marginal zone lymphoma of the thymus. Am. J. Clin. Pathol. 2000, 113, 784–791. [Google Scholar] [CrossRef]
- Inagaki, H.; Chan, J.K.; Ng, J.W.; Okabe, M.; Yoshino, T.; Okamoto, M.; Ogawa, H.; Matsushita, H.; Yokose, T.; Matsuno, Y.; et al. Primary thymic extranodal marginal-zone B-cell lymphoma of mucosa-associated lymphoid tissue type exhibits distinctive clinicopathological and molecular features. Am. J. Pathol. 2002, 160, 1435–1443. [Google Scholar] [CrossRef]
- Hyjek, E.; Smith, W.J.; Isaacson, P.G. Primary B-cell lymphoma of salivary glands and its relationship to myoepithelial sialadenitis. Hum. Pathol. 1988, 19, 766–776. [Google Scholar] [CrossRef]
- Agale, S.V.; D’Costa, G.F.; Hastak, M.S.; Shedge, R.T. Primary non-Hodgkin’s lymphoma of the salivary gland: A spectrum of lymphoepithelial sialadenitis, low-grade B-cell lymphoma of mucosa-associated lymphoid tissue with transformation to high-grade lymphoma. Indian J. Pathol. Microbiol. 2010, 53, 364–367. [Google Scholar] [CrossRef] [PubMed]
- Paliga, A.; Farmer, J.; Bence-Bruckler, I.; Lamba, M. Salivary gland lymphoproliferative disorders: A Canadian tertiary center experience. Head Neck Pathol. 2013, 7, 381–388. [Google Scholar] [CrossRef] [PubMed][Green Version]
- Strobel, P.; Marino, M.; Feuchtenberger, M.; Rouziere, A.S.; Tony, H.P.; Wulbrand, U.; Forster, R.; Zettl, A.; Lee Harris, N.; Kreipe, H.; et al. Micronodular thymoma: An epithelial tumour with abnormal chemokine expression setting the stage for lymphoma development. J. Pathol. 2005, 207, 72–82. [Google Scholar] [CrossRef] [PubMed]
- Carrio, R.; Torroella-Kouri, M.; Iragavarapu-Charyulu, V.; Lopez, D.M. Tumor-induced thymic atrophy: Alteration in interferons and Jak/Stats signaling pathways. Int. J. Oncol. 2011, 38, 547–553. [Google Scholar] [CrossRef] [PubMed]
- Liepinsh, D.J.; Kruglov, A.A.; Galimov, A.R.; Shakhov, A.N.; Shebzukhov, Y.V.; Kuchmiy, A.A.; Grivennikov, S.I.; Tumanov, A.V.; Drutskaya, M.S.; Feigenbaum, L.; et al. Accelerated thymic atrophy as a result of elevated homeostatic expression of the genes encoded by the TNF/lymphotoxin cytokine locus. Eur. J. Immunol. 2009, 39, 2906–2915. [Google Scholar] [CrossRef]
- Sempowski, G.D.; Hale, L.P.; Sundy, J.S.; Massey, J.M.; Koup, R.A.; Douek, D.C.; Patel, D.D.; Haynes, B.F. Leukemia inhibitory factor, oncostatin M, IL-6, and stem cell factor mRNA expression in human thymus increases with age and is associated with thymic atrophy. J. Immunol. 2000, 164, 2180–2187. [Google Scholar] [CrossRef]
- Vidalain, P.O.; Laine, D.; Zaffran, Y.; Azocar, O.; Servet-Delprat, C.; Wild, T.F.; Rabourdin-Combe, C.; Valentin, H. Interferons mediate terminal differentiation of human cortical thymic epithelial cells. J. Virol. 2002, 76, 6415–6424. [Google Scholar] [CrossRef]
- Marx, A.; Willcox, N.; Leite, M.I.; Chuang, W.Y.; Schalke, B.; Nix, W.; Strobel, P. Thymoma and paraneoplastic myasthenia gravis. Autoimmunity 2010, 43, 413–427. [Google Scholar] [CrossRef]
- Bernard, C.; Frih, H.; Pasquet, F.; Kerever, S.; Jamilloux, Y.; Tronc, F.; Guibert, B.; Isaac, S.; Devouassoux, M.; Chalabreysse, L.; et al. Thymoma associated with autoimmune diseases: 85 cases and literature review. Autoimmun. Rev. 2016, 15, 82–92. [Google Scholar] [CrossRef]
- Fang, F.; Sveinsson, O.; Thormar, G.; Granqvist, M.; Askling, J.; Lundberg, I.E.; Ye, W.; Hammarstrom, L.; Pirskanen, R.; Piehl, F. The autoimmune spectrum of myasthenia gravis: A Swedish population-based study. J. Intern. Med. 2015, 277, 594–604. [Google Scholar] [CrossRef]
- Gilhus, N.E.; Nacu, A.; Andersen, J.B.; Owe, J.F. Myasthenia gravis and risks for comorbidity. Eur. J. Neurol. 2015, 22, 17–23. [Google Scholar] [CrossRef] [PubMed]
- Lopomo, A.; Berrih-Aknin, S. Autoimmune Thyroiditis and Myasthenia Gravis. Front. Endocrinol. 2017, 8, 169. [Google Scholar] [CrossRef] [PubMed]
- Strobel, P.; Helmreich, M.; Menioudakis, G.; Lewin, S.R.; Rudiger, T.; Bauer, A.; Hoffacker, V.; Gold, R.; Nix, W.; Schalke, B.; et al. Paraneoplastic myasthenia gravis correlates with generation of mature naive CD4(+) T cells in thymomas. Blood 2002, 100, 159–166. [Google Scholar] [CrossRef] [PubMed]
- Gilhus, N.E.; Tzartos, S.; Evoli, A.; Palace, J.; Burns, T.M.; Verschuuren, J. Myasthenia gravis. Nat. Rev. Dis. Primers 2019, 5, 30. [Google Scholar] [CrossRef] [PubMed]
- Leite, M.I.; Strobel, P.; Jones, M.; Micklem, K.; Moritz, R.; Gold, R.; Niks, E.H.; Berrih-Aknin, S.; Scaravilli, F.; Canelhas, A.; et al. Fewer thymic changes in MuSK antibody-positive than in MuSK antibody-negative MG. Ann. Neurol. 2005, 57, 444–448. [Google Scholar] [CrossRef]
- Radovich, M.; Pickering, C.R.; Felau, I.; Ha, G.; Zhang, H.; Jo, H.; Hoadley, K.A.; Anur, P.; Zhang, J.; McLellan, M.; et al. The Integrated Genomic Landscape of Thymic Epithelial Tumors. Cancer Cell 2018, 33, 244–258.e10. [Google Scholar] [CrossRef]
- Walters, M.; Pittelkow, M.R.; Hasserjian, R.P.; Harris, N.L.; Macon, W.R.; Kurtin, P.J.; Rech, K.L.G. Follicular Dendritic Cell Sarcoma With Indolent T-Lymphoblastic Proliferation Is Associated With Paraneoplastic Autoimmune Multiorgan Syndrome. Am. J. Surg. Pathol. 2018, 42, 1647–1652. [Google Scholar] [CrossRef]




| Case | Age (y) | Sex | Size (cm) | Autoimmune Disorder | Lymphoma |
|---|---|---|---|---|---|
| 1 | 57 | f | 7.0 | ||
| 2 | 70 | m | 7.0 | clonal JH rearrangement but no lymphoma | |
| 3 | 47 | m | 5.0 | ||
| 4 | 62 | f | n.r. | thymic MALT lymphoma (IgG) | |
| 5 | 50 | m | 3.5 | ||
| 6 | 45 | m | 6.5 | ||
| 7 | 65 | f | 8.5 | ||
| 8 | 38 | m | n.r. | Grave’s disease | |
| 9 | 57 | m | n.r. | ||
| 10 | 55 | m | n.r. | ||
| 11 | 51 | m | n.r. | ||
| 12 | 47 | m | 8.5 | ||
| 13 | 54 | f | 1.0 | pure red cell aplasia | |
| 14 | 44 | f | n.r. | ||
| 15 | 45 | m | n.r. | ||
| 16 | 80 | m | 3.5 | ||
| 17 | 51 | f | 9.0 | rheumatoid arthritis, asthma | |
| 18 | 52 | m | n.r. | ||
| 19 | 43 | f | 8.0 | ||
| 20 | 54 | f | n.r. | ||
| 21 | 62 | m | 4.0 | rheumatoid arthritis | |
| 22 | 37 | f | 7 | anti-phospholipid syndrome, suspicious for SLE, neurologic deficits not typical for MG but MuSK-positive | |
| 23 | 42 | m | 5.4 | ||
| 24 | 60 | f | 4.5 | asthma | |
| 25 | 39 | f | 5.6 | thymic MALT lymphoma (IgG) | |
| 26 | 35 | f | 9.0 | ||
| 27 | 67 | f | n.r. | SLE | |
| 28 | 61 | m | 14.5 | ||
| 29 | 70 | m | 10.0 | Sjögren syndrome, SLE, rheumatoid arthritis | thymic MALT lymphoma (IgM) |
| 30 | 32 | f | 7.0 | MG (AChR-positive; MuSK, titin-negative) | |
| 31 | 35 | m | n.r. | thymic MALT lymphoma (IgG) | |
| 32 | 67 | m | 7.0 | MG (titin-positive, AChR low) | |
| 33 | 47 | f | 12.0 | SLE, scleroderma | |
| 34 | 65 | m | 6.0 | diffuse large B-cell lymphoma (n.hcr.) | |
| 35 | 66 | m | n.r. | anti-IgLON5-Syndrom | |
| 36 | 39 | m | 17 |
| Case | Age (y) | Sex | Size (cm) | Autoimmune Disorders | LESA-like TH | Lymphoma |
|---|---|---|---|---|---|---|
| 1 | 34 | f | n.r. | MALT lymphoma (IgG) | ||
| 2 | 62 | m | >10 | MALT lymphoma (n.m.) | ||
| 3 | 44 | f | 4.0 | present | MALT lymphoma (IgA) | |
| 4 | 72 | f | n.r. | Composite MALT and mantle-cell lymphoma (IgM) | ||
| 5 | 61 | f | n.r. | MALT lymphoma (n.m.) | ||
| 6 | 49 | f | n.r. | MALT lymphoma (n.m.) | ||
| 7 | 75 | m | n.r. | present | MALT lymphoma (n.hcr.) | |
| 8 | 52 | f | 4.5 | MALT lymphoma (IgG) | ||
| 9 | 79 | f | biopsy | MALT lymphoma (n.hcr.) | ||
| 10 | 78 | f | 1.2 | MALT lymphoma (n.hcr.) | ||
| 11 | 63 | f | biopsy | Sjögren syndrome | MALT lymphoma (IgA) |
Publisher’s Note: MDPI stays neutral with regard to jurisdictional claims in published maps and institutional affiliations. |
© 2021 by the authors. Licensee MDPI, Basel, Switzerland. This article is an open access article distributed under the terms and conditions of the Creative Commons Attribution (CC BY) license (http://creativecommons.org/licenses/by/4.0/).
Share and Cite
Porubsky, S.; Popovic, Z.V.; Badve, S.; Banz, Y.; Berezowska, S.; Borchert, D.; Brüggemann, M.; Gaiser, T.; Graeter, T.; Hollaus, P.; et al. Thymic Hyperplasia with Lymphoepithelial Sialadenitis (LESA)-Like Features: Strong Association with Lymphomas and Non-Myasthenic Autoimmune Diseases. Cancers 2021, 13, 315. https://doi.org/10.3390/cancers13020315
Porubsky S, Popovic ZV, Badve S, Banz Y, Berezowska S, Borchert D, Brüggemann M, Gaiser T, Graeter T, Hollaus P, et al. Thymic Hyperplasia with Lymphoepithelial Sialadenitis (LESA)-Like Features: Strong Association with Lymphomas and Non-Myasthenic Autoimmune Diseases. Cancers. 2021; 13(2):315. https://doi.org/10.3390/cancers13020315
Chicago/Turabian StylePorubsky, Stefan, Zoran V. Popovic, Sunil Badve, Yara Banz, Sabina Berezowska, Dietmar Borchert, Monika Brüggemann, Timo Gaiser, Thomas Graeter, Peter Hollaus, and et al. 2021. "Thymic Hyperplasia with Lymphoepithelial Sialadenitis (LESA)-Like Features: Strong Association with Lymphomas and Non-Myasthenic Autoimmune Diseases" Cancers 13, no. 2: 315. https://doi.org/10.3390/cancers13020315
APA StylePorubsky, S., Popovic, Z. V., Badve, S., Banz, Y., Berezowska, S., Borchert, D., Brüggemann, M., Gaiser, T., Graeter, T., Hollaus, P., Huettl, K. S., Kotrova, M., Kreft, A., Kugler, C., Lötscher, F., Möller, B., Ott, G., Preissler, G., Roessner, E., ... Marx, A. (2021). Thymic Hyperplasia with Lymphoepithelial Sialadenitis (LESA)-Like Features: Strong Association with Lymphomas and Non-Myasthenic Autoimmune Diseases. Cancers, 13(2), 315. https://doi.org/10.3390/cancers13020315

