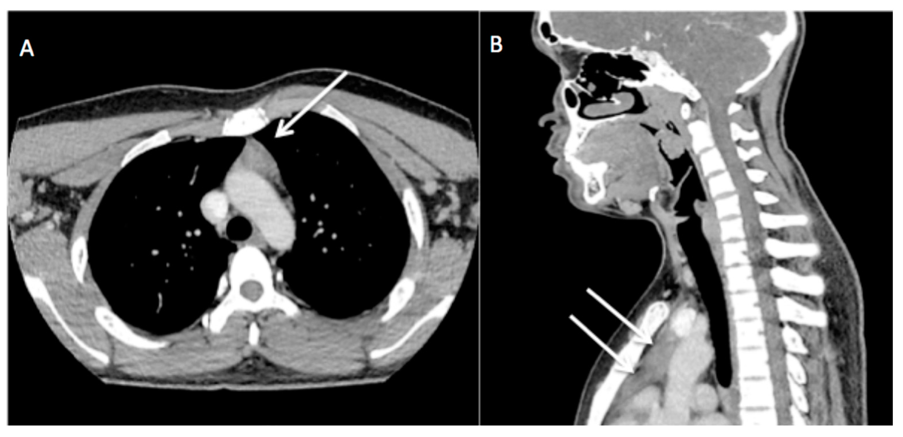
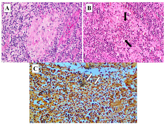
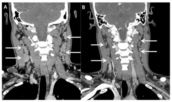
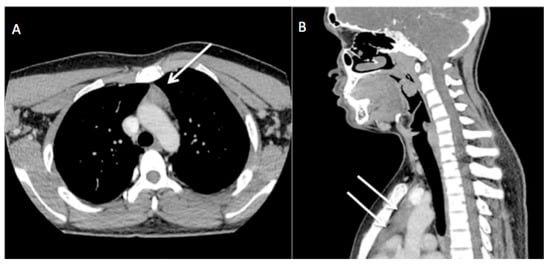
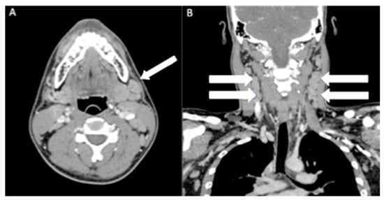
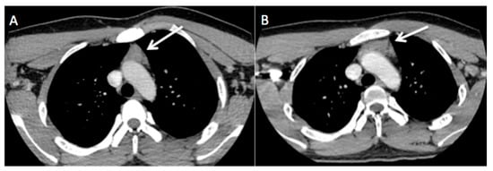
Cat Scratch Disease—A Benign Disease with Thymic Hyperplasia Mimicking Lymphoma
Abstract





Author Contributions
Funding
Institutional Review Board Statement
Informed Consent Statement
Data Availability Statement
Acknowledgments
Conflicts of Interest
References
- Opavsky, M.A. Cat scratch disease: The story continues. Can. J. Infect. Dis. 1997, 8, 43–49. [Google Scholar] [CrossRef] [PubMed]
- Florin, T.A.; Zaoutis, T.E.; Zaoutis, L.B. Beyond cat scratch disease: Widening spectrum of Bartonella henselae infection. Pediatrics 2008, 121, e1413–e1425. [Google Scholar] [CrossRef] [PubMed]
- Chang, C.C.; Lee, C.J.; Ou, L.S.; Wang, C.J.; Huang, Y.C. Disseminated cat-scratch disease: Case report and review of the literature. Paediatr. Int. Child Health 2016, 36, 232–234. [Google Scholar] [CrossRef] [PubMed]
- Rohr, A.; Saettele, M.R.; Patel, S.A.; Lawrence, C.A.; Lowe, L.H. Spectrum of radiological manifestations of paediatric cat-scratch disease. Pediatr. Radiol. 2012, 42, 1380–1384. [Google Scholar] [CrossRef] [PubMed]
- Lee, Y.Y.; Van Tassel, P.; Nauert, C.; North, L.B.; Jing, B.S. Lymphomas of the head and neck: CT findings at initial presentation. AJR Am. J. Roentgenol. 1987, 149, 575–581. [Google Scholar] [CrossRef] [PubMed]
- Tuang, G.J.; Muhammad, A.; Zahedi, F.D. ‘Master of many faces: Extrapulmonary tuberculosis in the eyes of otolaryngologists’. Postgrad. Med. J. 2022, 98, 311–312. [Google Scholar] [CrossRef] [PubMed]
- Suria Hayati, M.P.; Noraidah, M. Kikuchi-Fujimoto Disease: A Clinical and Histological Mimic of Lymphoma. In Proceedings of the 2021 International Congress of Pathology & Laboratory Medicine and 20th Annual General Meeting of CPathAMM, Malaysia, 3–5 March 2021. [Google Scholar]
- Sawali, H.; Sabir Husin Athar, P.P.; Ami, M.; Shamsudin, N.H.; Nair, G. Acute Tonsillitis with Concurrent Kikuchi’s Disease as a Cause of Persistent Lymphadenopathy. Malays. J. Med. Sci. 2009, 16, 73–76. [Google Scholar] [PubMed]
- Lee, S.; Yoo, J.H.; Lee, S.W. Kikuchi Disease: Differentiation from Tuberculous Lymphadenitis Based on Patterns of Nodal Necrosis on CT. Am. J. Neuroradiol. 2012, 33, 135–140. [Google Scholar] [CrossRef] [PubMed]
- Lee, Y.; Park, K.S.; Chung, S.Y. Cervical tuberculous lymphadenitis: CT findings. J. Comput. Assist. Tomogr. 1994, 18, 370–375. [Google Scholar] [CrossRef] [PubMed]
- Rossi, E.; Perrone, A.; Bongini, U.; Cangelosi, A.M.; Sollai, S.; Narese, D.; Defilippi, C. Chest Imaging of a rare case of cat-scratch disease in a 2-years-old baby. Acta Biomed. 2019, 89, 585–588. [Google Scholar] [CrossRef] [PubMed]
- Wong, S.K.; Mohamad, N.V.; Giaze, T.R.; Chin, K.Y.; Mohamed, N.; Ima-Nirwana, S. Prostate Cancer and Bone Metastases: The Underlying Mechanisms. Int. J. Mol. Sci. 2019, 20, 2587. [Google Scholar] [CrossRef] [PubMed]
Disclaimer/Publisher’s Note: The statements, opinions and data contained in all publications are solely those of the individual author(s) and contributor(s) and not of MDPI and/or the editor(s). MDPI and/or the editor(s) disclaim responsibility for any injury to people or property resulting from any ideas, methods, instructions or products referred to in the content. |
© 2023 by the authors. Licensee MDPI, Basel, Switzerland. This article is an open access article distributed under the terms and conditions of the Creative Commons Attribution (CC BY) license (https://creativecommons.org/licenses/by/4.0/).
Share and Cite
Leong, M.H.; Nabillah, M.J.; Rizuana, I.H.; Asma, A.; Kew, T.Y.; Tan, G.C. Cat Scratch Disease—A Benign Disease with Thymic Hyperplasia Mimicking Lymphoma. Diagnostics 2023, 13, 2457. https://doi.org/10.3390/diagnostics13142457
Leong MH, Nabillah MJ, Rizuana IH, Asma A, Kew TY, Tan GC. Cat Scratch Disease—A Benign Disease with Thymic Hyperplasia Mimicking Lymphoma. Diagnostics. 2023; 13(14):2457. https://doi.org/10.3390/diagnostics13142457
Chicago/Turabian StyleLeong, Ming Hui, Mohd Jadi Nabillah, Iqbal Hussain Rizuana, Abdullah Asma, Thean Yean Kew, and Geok Chin Tan. 2023. "Cat Scratch Disease—A Benign Disease with Thymic Hyperplasia Mimicking Lymphoma" Diagnostics 13, no. 14: 2457. https://doi.org/10.3390/diagnostics13142457
APA StyleLeong, M. H., Nabillah, M. J., Rizuana, I. H., Asma, A., Kew, T. Y., & Tan, G. C. (2023). Cat Scratch Disease—A Benign Disease with Thymic Hyperplasia Mimicking Lymphoma. Diagnostics, 13(14), 2457. https://doi.org/10.3390/diagnostics13142457

