Sign in to use this feature.

Years

Between: -

Subjects

remove_circle_outline
remove_circle_outline
remove_circle_outline
remove_circle_outline
remove_circle_outline
remove_circle_outline
remove_circle_outline
remove_circle_outline
remove_circle_outline

Journals

remove_circle_outline
remove_circle_outline
remove_circle_outline
remove_circle_outline
remove_circle_outline
remove_circle_outline
remove_circle_outline
remove_circle_outline
remove_circle_outline
remove_circle_outline
remove_circle_outline

Article Types

Countries / Regions

remove_circle_outline
remove_circle_outline
remove_circle_outline
remove_circle_outline
remove_circle_outline
remove_circle_outline

Search Results (1,204)

Search Parameters:
Keywords = switching cycle

Order results
Result details
Results per page
Select all
Export citation of selected articles as:
35 pages, 1396 KB  
Article
A Multilevel Inverter with Different Input Voltages Having Different Voltage Levels Based on Different Switch Switching Types
by Kuo-Ing Hwu and Jenn-Jong Shieh
Appl. Sci. 2025, 15(24), 13110; https://doi.org/10.3390/app152413110 - 12 Dec 2025
Abstract
This study presents a versatile single-phase multilevel inverter designed to accommodate varying input voltages and output levels. Unlike conventional fixed topologies, the proposed design utilizes a unified structure of 13 switches and three capacitors to realize two distinct configurations: a nine-level circuit employing [...] Read more.
This study presents a versatile single-phase multilevel inverter designed to accommodate varying input voltages and output levels. Unlike conventional fixed topologies, the proposed design utilizes a unified structure of 13 switches and three capacitors to realize two distinct configurations: a nine-level circuit employing three series-connected single-voltage clamping sets, and a thirteen-level variant utilizing a hybrid of single- and half-voltage clamping sets. A critical advantage of this architecture is its capability to achieve capacitor self-voltage balancing within a single AC cycle, thereby simplifying the control strategy. Verification through PSIM 9.1 simulations and a TI F280025C-based hardware prototype confirms the circuit’s operational effectiveness. Notably, the thirteen-level configuration demonstrates superior performance, achieving a total harmonic distortion (THD) of 1.25% and a peak efficiency of 97.5%, significantly outperforming the 1.43% THD and 94.5% efficiency of the nine-level counterpart. Full article
(This article belongs to the Special Issue Design and Control of Multilevel Converter)
26 pages, 770 KB  
Article
Effect of Linear Sprints and Change-of-Direction Training Versus Small-Sided Soccer Games on Physical Performance in Highly Trained Young Female Soccer Players: A Randomized Cross-Over Study
by Abdelwahid Aboulfaraj, Fatiha Laziri, Salah Eddine Haddou, Salah Lahlou, Mohamed Aghrouch, Ali Belamjahad, Juan Del Coso, Luca Paolo Ardigò and Hassane Zouhal
Sports 2025, 13(12), 445; https://doi.org/10.3390/sports13120445 - 10 Dec 2025
Abstract
Background: This study aimed to compare the effects of linear sprint training with changes of direction (LSCD) versus small-sided games (SSSG) on physical performance, agility, and soccer-specific skills in young elite female players. Methods: In a randomized crossover study, 27 players aged 15 [...] Read more.
Background: This study aimed to compare the effects of linear sprint training with changes of direction (LSCD) versus small-sided games (SSSG) on physical performance, agility, and soccer-specific skills in young elite female players. Methods: In a randomized crossover study, 27 players aged 15 to 17 were divided into two groups (G1 = 14, G2 = 13). After a two-week baseline period, each group completed a four-week training mesocycle (three sessions per week) consisting of either LSCD or SSG. After a two-week washout period, participants switched interventions and completed the alternate four-week mesocycle. Performance assessments were conducted before and after each mesocycle to evaluate training effects. Results: Both types of training improved physical performance, with different magnitudes. LSCD induced larger gains in sprint speed (5, 10, 20 m; p < 0.05), agility without the ball (t-test; p = 0.05), and explosive power (countermovement jump, repeated jumps over 15 s; p = 0.02 and p = 0.004). In contrast, SSSG led to larger improvements in aerobic endurance (Yo-Yo IR1 test; p = 0.03) and agility with the ball (t-test with ball; p = 0.05). No transfer effect between cycles was observed. Conclusion: In young elite female players, LSCD training was more effective in improving speed, agility, and power, while SSSG was more effective for aerobic endurance and ball agility. Full article
19 pages, 21427 KB  
Article
Soft-Switching, Duty-Cycle-Extended Two-Phase Interleaved Buck with Positive Inductor Coupling for High-Density Consumer Electronics Power Supplies
by Zhengyang Zhang, Song Xu, Seiji Hashimoto and Wei Jiang
Symmetry 2025, 17(12), 2126; https://doi.org/10.3390/sym17122126 - 10 Dec 2025
Viewed by 7
Abstract
Against the backdrop of rapid advances in computing, industry, and electric vehicles, DC–DC buck converters—as core point-of-load regulators—are critical for power supplies in applications with stringent voltage-stability requirements. This paper proposes a two-phase interleaved Buck converter based on positively coupled inductor with a [...] Read more.
Against the backdrop of rapid advances in computing, industry, and electric vehicles, DC–DC buck converters—as core point-of-load regulators—are critical for power supplies in applications with stringent voltage-stability requirements. This paper proposes a two-phase interleaved Buck converter based on positively coupled inductor with a high coupling coefficient. The innovation lies in the positively coupled inductor and two-phase interleaved architecture, where two MOSFETs and two diodes form a similar symmetrical full-bridge interleaved structures together achieve a higher conversion ratio and provide ZCS operation for all power devices, thereby effectively reducing switching losses. Relative to traditional topologies, the proposed converter delivers a higher conversion ratio without extreme duty-cycle operation while improving reliability. After detailing the operating mechanism, we derive the input–output voltage relation, outline controller synthesis guidelines, and specify the soft-switching conditions. From the viewpoint of symmetry, the proposed interleaved converter exploits the electrical and magnetic symmetry between phases to achieve current balancing, extended duty-cycle range and soft-switching. Validation is provided by both a PSIM simulation model and a 270W hardware prototype using an STM32F103ZET6, which achieves 93.3% peak efficiency at a conversion ratio of 0.45, demonstrating the practicality and effectiveness of the approach. Full article
Show Figures

Figure 1

7 pages, 2066 KB  
Case Report
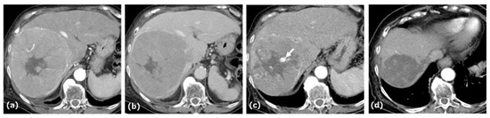
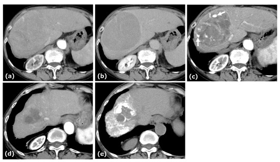
Clinical Significance of Intratumoral Contrast Pooling on Contrast-Enhanced CT After Atezolizumab Plus Bevacizumab for Unresectable Hepatocellular Carcinoma
by Kiyoyuki Minamiguchi, Mariko Irizato, Ryota Nakano, Hideki Kunichika, Tetsuya Tachiiri, Ryosuke Taiji, Yuki Tsuji, Satoshi Yasuda, Hitoshi Yoshiji, Masayuki Sho and Toshihiro Tanaka
Curr. Oncol. 2025, 32(12), 694; https://doi.org/10.3390/curroncol32120694 - 9 Dec 2025
Viewed by 84
Abstract
Recent advances in systemic therapies have improved clinical outcomes for patients with unresectable hepatocellular carcinoma (uHCC), as shown in randomized phase 3 clinical trials. Given the availability of alternative systemic regimens, an early imaging biomarker of treatment efficacy is crucial to avoid delays [...] Read more.
Recent advances in systemic therapies have improved clinical outcomes for patients with unresectable hepatocellular carcinoma (uHCC), as shown in randomized phase 3 clinical trials. Given the availability of alternative systemic regimens, an early imaging biomarker of treatment efficacy is crucial to avoid delays in deciding whether to continue the current regimen or switch to another therapy. We report two cases of uHCC that demonstrated patchy pooling of contrast material within the tumor on early follow-up contrast-enhanced computed tomography after the initiation of atezolizumab combined with bevacizumab (AB therapy), an imaging feature consistent with the vascular lake-like phenomenon. In both cases, this imaging feature appeared at the first response assessment after several cycles, and each patient achieved a partial response as the best overall response per Response Evaluation Criteria in Solid Tumors version 1.1. Subsequently, each patient underwent or was considered for conversion therapy. The vascular lake-like phenomenon may represent an early imaging biomarker of treatment efficacy following AB therapy. Full article
(This article belongs to the Section Gastrointestinal Oncology)
Show Figures

Figure 1

18 pages, 5879 KB  
Article
Study on HILS Implementation of FPGA-Based PFC Circuits Using Sub-Cycle Average Models
by Tae-Hun Kim, Won-Cheol Hong, Su-Han Pyo, Byeong-Hyeon An and Tae-Sik Park
Energies 2025, 18(24), 6443; https://doi.org/10.3390/en18246443 - 9 Dec 2025
Viewed by 74
Abstract
This paper presents a Field-Programmable Gate Array (FPGA)-based Hardware-in-the-Loop (HIL) simulation of an Interleaved Boost Power Factor Correction (PFC) converter using the Sub-Cycle Average (SCA) modeling technique. The main objective is to achieve accurate real-time simulation performance given the hardware constraints of low-cost [...] Read more.
This paper presents a Field-Programmable Gate Array (FPGA)-based Hardware-in-the-Loop (HIL) simulation of an Interleaved Boost Power Factor Correction (PFC) converter using the Sub-Cycle Average (SCA) modeling technique. The main objective is to achieve accurate real-time simulation performance given the hardware constraints of low-cost FPGAs. By combining the SCA modeling approach with a time-averaging correction method, the proposed model effectively reduces sampling delays and duty-cycle estimation errors arising from asynchronous Pulse Width Modulation (PWM) signal acquisition. The SCA-based converter model and time-averaging correction technique were implemented in MATLAB/Simulink R2024b using the HDL Coder environment. To validate real-time simulation accuracy, power factor improvement was evaluated for a two-phase Interleaved Boost PFC operating at a switching frequency of 60 kHz. Experimental results confirm that the proposed approach enables accurate Controller–HIL testing of power converters, even when implemented on low-cost FPGA platforms such as the Zybo Z7-10 evaluation board. Full article
(This article belongs to the Section F3: Power Electronics)
Show Figures

Figure 1

18 pages, 5512 KB  
Article
Development and Application of Online Rapid Monitoring Devices for Volatile Organic Compounds in Soil–Water–Air Systems
by Xiujuan Feng, Haotong Guo, Jing Yang, Chengliang Dong, Fuzhong Zhao and Shaozhong Cheng
Chemosensors 2025, 13(12), 427; https://doi.org/10.3390/chemosensors13120427 - 9 Dec 2025
Viewed by 107
Abstract
To overcome the limitations of lengthy laboratory testing cycles and insufficient on-site responsiveness, this study developed an online rapid monitoring device for volatile organic compounds (VOCs) in soil–water–air systems based on photoionization detection (PID) technology. The device integrates modular sensor units, incorporates an [...] Read more.
To overcome the limitations of lengthy laboratory testing cycles and insufficient on-site responsiveness, this study developed an online rapid monitoring device for volatile organic compounds (VOCs) in soil–water–air systems based on photoionization detection (PID) technology. The device integrates modular sensor units, incorporates an electromagnetic valve-controlled multi-medium adaptive switching system, and employs an internal heating module to enhance the volatilization efficiency of VOCs in water and soil samples. An integrated system was developed featuring “front-end intelligent data acquisition–network collaborative transmission–cloud-based warning and analysis”. The effects of different temperatures on the monitoring performance were investigated to verify the reliability of the designed system. A polynomial fitting model between concentration and voltage was established, showing a strong correlation (R2 > 0.97), demonstrating its applicability for VOC detection in environmental samples. Field application results indicate that the equipment has operated stably for nearly three years in a mining area of Shandong Province and an industrial park in Anhui Province, accumulating over 600,000 valid data points. These results demonstrate excellent measurement consistency, long-term operational stability, and reliable data acquisition under complex outdoor conditions. The research provides a distributed, low-power, real-time monitoring solution for VOC pollution control in mining and industrial environments. It also offers significant demonstration value for standardizing on-site emergency monitoring technologies in multi-media environments and promoting the development of green mining practices. Full article
Show Figures

Figure 1

24 pages, 2207 KB  
Article
Power Quality Optimization in PV Grid Systems Using Hippopotamus-Driven MPPT and SyBel Inverter Control
by Sudharani Satti and Godwin Immanuel Dharmaraj
Electronics 2025, 14(24), 4790; https://doi.org/10.3390/electronics14244790 - 5 Dec 2025
Viewed by 170
Abstract
In grid-connected photovoltaic systems, improving power quality is necessary for assuring constant energy delivery, consistent voltages, and current, as well as being compliant with the standards of the grid. Yet, today’s PV control systems have to deal with serious problems, for example, slow [...] Read more.
In grid-connected photovoltaic systems, improving power quality is necessary for assuring constant energy delivery, consistent voltages, and current, as well as being compliant with the standards of the grid. Yet, today’s PV control systems have to deal with serious problems, for example, slow MPPT reactions to changes in irradiation, significant harmonic distortion, weak reaction to voltage changes, and being unable to adapt well to different situations. For this reason, these problems lead to less efficient electricity, unstable connections to the power grid, and an altered quality of electricity, as solar power and load levels vary in real conditions. A way to solve these problems is introduced in this paper: (1) the Hippopotamus-based Solar Power MPPT Tracker and (2) a SyBel embedded controller for controlling the inverter. This kind of optimization mimics nature to control the duty cycle and enables the boost converter to deliver maximum power while responding quickly and maintaining accurate tracking. Meanwhile, the SyBel controller makes use of a hybrid technique by using SNN, DBN, and synergetic logic to sensibly manage the inverter switches and increase the power quality. The framework is novel because it uses biological optimization plus deep learning-based embedded control to instantly handle error reduction and harmonic suppression. The whole process records energy from solar panels, follows the maximum power point, changes its schedule as needed, and uses sophisticated controls in the inverter. We found that the proposed MPPT tracker achieves an impressive tracking efficiency of 98.6%, surpassing PSO, FLC, and ANFIS, and lowering the time required for tracking by 72%. The SyBel inverter controller provides outstanding results, keeping the voltage THD at 1.2% and current THD at 1.3%, which matches power quality standards. Full article
Show Figures

Figure 1

29 pages, 2488 KB  
Article
SILDSO: Dynamic Switching Optimization Scheme for Solar Insecticidal Lamp Based on Multi-Pest Phototactic Rhythm
by Heyang Yao, Lei Shu, Xing Yang, Kailiang Li and Miguel Martínez-García
Sensors 2025, 25(23), 7332; https://doi.org/10.3390/s25237332 - 2 Dec 2025
Viewed by 176
Abstract
Grain crops are regarded as fundamental to China’s agricultural production and food security. Effective control of nocturnal phototactic pests is essential for ensuring crop yields and achieving sustainable agricultural development. However, traditional solar insecticidal lamps often suffer from low energy utilization efficiency, dynamic [...] Read more.
Grain crops are regarded as fundamental to China’s agricultural production and food security. Effective control of nocturnal phototactic pests is essential for ensuring crop yields and achieving sustainable agricultural development. However, traditional solar insecticidal lamps often suffer from low energy utilization efficiency, dynamic switching control schemes, and poor adaptability in multi-pest coexistence scenarios. A multi-period intelligent switching control optimization scheme based on integrating a multi-pest phototactic rhythm is proposed, focusing on Cnaphalocrocis medinalis and Chilo suppressalis in rice fields. By considering the phototactic behavioral rhythm, energy consumption patterns, and residual energy levels, the proposed scheme dynamically optimizes the switching cycles of solar insecticidal lamps to maximize pest control effectiveness and energy efficiency. The rhythm modeling approach and dynamic adjustment mechanisms are employed to accurately align insecticidal working hours with varying pest activity patterns, thereby improving the pest control effectiveness of IoT-based solar insecticidal lamps. Simulation experiments demonstrate that, compared to traditional switching control schemes, the dynamic switching control scheme improves the average insecticidal rate by 17.7%, increases the effective insecticidal energy efficiency value by approximately 66.1%, and enhances the energy utilization rate by about 38.5%. The proposed dynamic switching control and intelligent energy management scheme not only improves the precision of pest control and energy utilization but also promotes the more efficient application of networked solar insecticidal lamps in smart agriculture. This work provides theoretical support and practical reference for intelligent pest control in complex agricultural environments, promoting the precision and sustainability of pest management practices. Full article
(This article belongs to the Special Issue Wireless Sensor Networks in Industrial/Agricultural Environments)
Show Figures

Figure 1

22 pages, 4528 KB  
Article
Optimization Algorithms Embedded in the Engine Control Unit for Energy Management and Hydrogen Fuel Economy in Fuel Cell Electric Vehicles
by Ioan Sorin Sorlei, Nicu Bizon and Gabriel-Vasile Iana
World Electr. Veh. J. 2025, 16(12), 657; https://doi.org/10.3390/wevj16120657 - 2 Dec 2025
Viewed by 310
Abstract
The controller of the energy management system must be capable of meeting the rapid and dynamic demands of fuel cell electric vehicles (FCEVs) without compromising its performance and durability. The performance of FCEVs can be enhanced through powertrain hybridization with battery and ultracapacitor [...] Read more.
The controller of the energy management system must be capable of meeting the rapid and dynamic demands of fuel cell electric vehicles (FCEVs) without compromising its performance and durability. The performance of FCEVs can be enhanced through powertrain hybridization with battery and ultracapacitor systems. The overall dynamic optimization of the energy between the batteries/ultracapacitors and the Proton Exchange Membrane Fuel Cell (PEMFC) output can play an important role in hydrogen fuel economy and the durability of vehicle systems. The present study investigates the system’s efficiency and fuel consumption in European Drive Cycles when employing diverse energy management strategies. This investigation utilizes a novel switch real-time strategy (SWA_RTO), which is founded on an A-factor algorithm that alternates between the most effective Real Time Optimization (RTO) strategies. The objective of this paper is to underscore the significance of algorithmic optimization by presenting the optimal results obtained for the fuel economy of the SWA_RTO strategy. These results are compared with the basic RTO strategy and the static Feed-Forward (sFF) reference strategy. The load demand during driving cycles is primarily determined by the PEMFC system. Minor discrepancies in power balance are addressed by the hybrid battery and ultracapacitor system. Consequently, the lifespan of the subject will increase, and the state of charge (SOC) will no longer be a factor in monitoring. Full article
Show Figures

Figure 1

10 pages, 2007 KB  
Communication
Negative and Reversible Magnetorheological Response for Magnetic Rubbers
by Rentaro Kanamori, Tomoya Sako, Hiroaki Okazaki, Mika Kawai and Tetsu Mitsumata
Gels 2025, 11(12), 969; https://doi.org/10.3390/gels11120969 - 2 Dec 2025
Viewed by 201
Abstract
A material exhibiting a reversible decrease in elastic modulus upon application of a magnetic field has been successfully developed for the first time. The material is a composite of natural rubber and carbonyl iron with a particle diameter of 8.3 μm. The storage [...] Read more.
A material exhibiting a reversible decrease in elastic modulus upon application of a magnetic field has been successfully developed for the first time. The material is a composite of natural rubber and carbonyl iron with a particle diameter of 8.3 μm. The storage modulus in the absence of magnetic field is 155 kPa and it decreases to 89.5 kPa by applying a magnetic field of 500 mT. The rubber composite underwent reversible changes in the dynamic modulus even after 30 cycles of on-off switching of the magnetic field. Full article
(This article belongs to the Special Issue Rheological Properties and Applications of Gel-Based Materials)
Show Figures

Figure 1

22 pages, 4663 KB  
Article
An Application for Through-Vial Impedance Spectroscopy (TVIS) in the Qualification of the Pirani-Gauge Assessment of the Ice Sublimation Endpoint
by Pathum Subash Wijesekara, Kiran Malik, Paul Matejtschuk and Geoff Smith
Pharmaceutics 2025, 17(12), 1542; https://doi.org/10.3390/pharmaceutics17121542 - 29 Nov 2025
Viewed by 309
Abstract
Background/Objectives: All the industry standard methods for monitoring the freeze-drying process, from the single-vial assessment using temperature probes, such as thermocouples, to batch assessments using comparative pressure measurements, have poorly defined transitions marking the end of ice sublimation. In this study, through-vial impedance [...] Read more.
Background/Objectives: All the industry standard methods for monitoring the freeze-drying process, from the single-vial assessment using temperature probes, such as thermocouples, to batch assessments using comparative pressure measurements, have poorly defined transitions marking the end of ice sublimation. In this study, through-vial impedance spectroscopy (TVIS) is used to characterise and validate the point on the Pirani curve that corresponds to the end of ice sublimation. The impact of the solution composition in relation to its propensity to form crystalline and amorphous domains and the impact of the batch size were investigated. Methods: Individual TVIS vials were placed at specific positions across the shelf, in order to represent the core and edge vials of the batch. The unique features of the high-frequency real part capacitance, with its precise sublimation endpoint-defining plateau, were then used to map the individual-vial sublimation endpoints onto the Pirani profile, with a view to predicting the batch sublimation endpoint. Results: TVIS vial endpoints enabled a key observation that the shape of the Pirani profile may be analysed in terms of two phases, the first being largely associated with ice sublimation and the second being associated with water desorption. Moreover, by identifying the transition point more precisely, even in the small to intermediate scale systems, we provide a scientific basis for predicting the sublimation endpoint for production-scale dryers, where Pirani sensors are already in place. Conclusions: Such qualification of batch sublimation endpoints would allow for earlier, confident switching to the secondary drying stage without unnecessary delay, leading to shorter cycles, reduced energy consumption, and improved utilisation of costly freeze-drying infrastructure. Full article
Show Figures

Figure 1

16 pages, 1719 KB  
Article
Gait Generation and Motion Implementation of Humanoid Robots Based on Hierarchical Whole-Body Control
by Helin Wang and Wenxuan Huang
Electronics 2025, 14(23), 4714; https://doi.org/10.3390/electronics14234714 - 29 Nov 2025
Viewed by 370
Abstract
Attempting to make machines mimic human walking, grasping, balancing, and other behaviors is a deep exploration of cognitive science and biological principles. Due to the existing prediction lag problem, an error compensation mechanism that integrates historical motion data is proposed. By constructing a [...] Read more.
Attempting to make machines mimic human walking, grasping, balancing, and other behaviors is a deep exploration of cognitive science and biological principles. Due to the existing prediction lag problem, an error compensation mechanism that integrates historical motion data is proposed. By constructing a humanoid autonomous walking control system, this paper aims to use a three-dimensional linear inverted pendulum model to plan the general framework of motion. Firstly, the landing point coordinates of the single foot support period are preset through gait cycle parameters. In addition, it is substituted into dynamic equation to solve the centroid (COM) trajectory curve that conforms to physical constraints. A hierarchical whole-body control architecture is designed, with a task priority based on quadratic programming solver used at the bottom to decompose high-level motion instructions into joint space control variables and fuse sensor data. Furthermore, the numerical iterative algorithm is used to solve the sequence of driving angles for each joint, forming the control input parameters for driving the robot’s motion. This algorithm solves the limitations of traditional inverted pendulum models on vertical motion constraints by optimizing the centroid motion trajectory online. At the same time, it introduces a contact phase sequence prediction mechanism to ensure a smooth transition of the foot trajectory during the switching process. Simulation results demonstrate that the proposed framework improves disturbance rejection capability by over 30% compared to traditional ZMP tracking and achieves a real-time control loop frequency of 1 kHz, confirming its enhanced robustness and computational efficiency. Full article
(This article belongs to the Special Issue Advances in Intelligent Computing and Systems Design)
Show Figures

Figure 1

30 pages, 1657 KB  
Article
Predicting the Business Cycle in South Africa: Insights from a Real-Financial Activity Gap
by Khwazi Declek Magubane, Phindile Mdluli-Maziya and Boingotlo Wesi
Economies 2025, 13(12), 347; https://doi.org/10.3390/economies13120347 - 29 Nov 2025
Viewed by 405
Abstract
Traditional approaches to predicting business cycles are limited by their omission of financial variables, which, in turn, leads to failures to signal financial-sector crises and to misestimate the duration and intensity of economic events. This study addresses this challenge by constructing a real-financial [...] Read more.
Traditional approaches to predicting business cycles are limited by their omission of financial variables, which, in turn, leads to failures to signal financial-sector crises and to misestimate the duration and intensity of economic events. This study addresses this challenge by constructing a real-financial activity gap for South Africa and utilising it to predict the occurrence of economic recoveries. The study examines the period from 1970Q1 to 2023Q4, using real GDP, domestic credit, house prices, and share prices. The dynamic factor model and the Hodrick–Prescott filter are employed to construct the real-financial activity gap. The recursive ADF unit root test is used to assess the presence, frequency, and duration of economic recoveries. To validate the results, a Markov switching dynamic regression model is applied. The results reveal that the new gap tends to produce economic recovery predictions that are less frequent but longer in duration. In contrast, predictions based on real GDP lead to more frequent but shorter recoveries. The new gap suggests that financial variables contribute to stabilising growth over extended periods, whereas real GDP reflects quicker but more volatile economic adjustments. The latest gap offers a more stable basis for forecasting recoveries, aiding policymakers in better anticipating and mitigating economic downturns. Accordingly, the output gap and the real-financial activity gap should be used as complements. Full article
(This article belongs to the Special Issue Dynamic Macroeconomics: Methods, Models and Analysis)
Show Figures

Figure 1

38 pages, 79090 KB  
Article
NPPCast: A Compact CNN Integrating Satellite Data for Global Ocean Net Primary Production Forecasts
by Zeming Li, Bizhi Wu, Ziqi Yin, Ruiying Chen and Shanlin Wang
Remote Sens. 2025, 17(23), 3806; https://doi.org/10.3390/rs17233806 - 24 Nov 2025
Viewed by 359
Abstract
Skillful prediction of marine net primary production (NPP) on seasonal to multi-year timescales is essential for assessing the ocean’s role in the global carbon cycle and managing marine resources. We introduce NPPCast, a compact convolutional neural network using causal dilated convolutions, and compare [...] Read more.
Skillful prediction of marine net primary production (NPP) on seasonal to multi-year timescales is essential for assessing the ocean’s role in the global carbon cycle and managing marine resources. We introduce NPPCast, a compact convolutional neural network using causal dilated convolutions, and compare its performance with four representative UNet-family models (UNet, VNet, AttUNet, R2UNet). Each model is pre-trained on 36-month output from either Community Earth System Model version 2 forced-ocean–sea-ice (CESM2-FOSI) or interannual varying forcing (CESM2-GIAF) and fine-tuned using three satellite-derived NPP products (the Standard Vertically Generalized Production Model (SVGPM), the Eppley Vertically Generalized Production Model (EVGPM), and the Carbon-based Productivity Model (CbPM)) as well as their multi-product mean (MEAN). Across most tests, NPPCast outperforms the baselines, reducing global root mean square error (RMSE) by 30–56% on MEAN/EVGPM/SVGPM and improving the anomaly correlation coefficient (ACC) by 0.32–0.49 over the best UNet-based alternative. NPPCast also achieves the highest structural similarity to observations and low bias, as seen in scatter and spatial analyses, and attains the highest or tied-highest Nash–Sutcliffe efficiency (NSE) in three of four products. Crucially, NPPCast’s performance remains stable when switching between FOSI and GIAF pre-training datasets, with RMSE changing by at most 2.17%, whereas UNet-family models vary from −41.6% to +42.5%. We show that NPPCast consistently outperforms the Earth system model, sustaining significant predictive skill in contrast to the rapid decline observed in the latter. These results demonstrate that an architecture that maintains performance across different pre-training datasets (CESM2–FOSI and CESM2–GIAF) can yield more accurate and reliable long-range global NPP forecasts than UNet-family models. Full article
Show Figures

Figure 1

13 pages, 3565 KB  
Article
Dynamic Imprint and Recovery Mechanisms in Hf0.2Zr0.8O2 Anti-Ferroelectric Capacitors with FORC Characterization
by Yuetong Huo, Jianguo Li, Zeping Weng, Yaru Ding, Lijian Chen, Jiabin Qi, Yiming Qu and Yi Zhao
Electronics 2025, 14(23), 4593; https://doi.org/10.3390/electronics14234593 - 23 Nov 2025
Viewed by 232
Abstract
The conventional static imprint effect in HfxZr1−xO2 (HZO) ferroelectric (FE) devices, which degrades data retention, is generally characterized by a shift in the hysteresis loop along the electric field axis. Unlike the static imprint effect, the dynamic imprint [...] Read more.
The conventional static imprint effect in HfxZr1−xO2 (HZO) ferroelectric (FE) devices, which degrades data retention, is generally characterized by a shift in the hysteresis loop along the electric field axis. Unlike the static imprint effect, the dynamic imprint effect emerges under dynamic electric fields or actual operating conditions, making the FE film exceptionally sensitive to switching pulse parameters and domain history. In HZO anti-ferroelectric (AFE) devices, this dynamic imprint effect alters the coercive field distribution associated with domain switching and poses a significant challenge to long-term stable device operation. This study systematically investigates the dynamic imprint effect and its recovery process using a comprehensive integration of first-order reversal curve (FORC) analysis, transient current-voltage (I-V), and polarization-voltage (P-V) characterization. By analyzing localized imprint behavior under sub-cycling conditions, mechanisms and recovery pathways of imprint in AFE devices are proposed. Finally, possible physics-based mechanisms describing imprint behaviors and recovery behaviors are discussed, providing insights for optimizing AFE memory technology performance and reliability. Full article
(This article belongs to the Special Issue Integration of Emerging Memory and Neuromorphic Architecture Chips)
Show Figures

Figure 1

Back to TopTop