Sign in to use this feature.

Years

Between: -

Subjects

remove_circle_outline
remove_circle_outline
remove_circle_outline
remove_circle_outline
remove_circle_outline
remove_circle_outline
remove_circle_outline
remove_circle_outline
remove_circle_outline

Journals

remove_circle_outline
remove_circle_outline
remove_circle_outline
remove_circle_outline
remove_circle_outline
remove_circle_outline
remove_circle_outline
remove_circle_outline
remove_circle_outline
remove_circle_outline
remove_circle_outline
remove_circle_outline
remove_circle_outline

Article Types

Countries / Regions

remove_circle_outline
remove_circle_outline
remove_circle_outline
remove_circle_outline
remove_circle_outline

Search Results (615)

Search Parameters:
Keywords = skin lesion analysis

Order results
Result details
Results per page
Select all
Export citation of selected articles as:
14 pages, 1829 KB  
Article
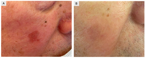
Efficacy of 4% 5-Fluorouracil Cream in the Treatment of Actinic Keratoses: A Single-Center Experience
by Carmen Cantisani, Antonio Di Guardo, Giovanni Paolino, Natasa Balázs, Mehdi Boostani, Norbert Kiss, Claudio Conforti, Francesca Feresin, Andrea Carugno, Luca Gargano, Luigi Losco, Steven Paul Nisticò and Giovanni Pellacani
J. Clin. Med. 2026, 15(2), 612; https://doi.org/10.3390/jcm15020612 - 12 Jan 2026
Abstract
Background/Objectives: Actinic keratoses (AKs), also known as solar keratoses, are considered premalignant skin lesions that can evolve into squamous cell carcinoma (SCC). Among the available options, 5-fluorouracil (5-FU) remains a cornerstone. Methods: This study is a retrospective analysis of our database of the [...] Read more.
Background/Objectives: Actinic keratoses (AKs), also known as solar keratoses, are considered premalignant skin lesions that can evolve into squamous cell carcinoma (SCC). Among the available options, 5-fluorouracil (5-FU) remains a cornerstone. Methods: This study is a retrospective analysis of our database of the non-melanoma skin cancer outpatient clinic. The main objective was to evaluate patients treated with 4% 5-FU cream for AK lesions. The efficacy of 4% 5-FU was evaluated retrospectively by measuring the percentage of patients who achieved complete clearance. A secondary efficacy measure was the percentage of partial clearance, defined as at least a 75% reduction in lesion count. Additionally, the study aimed to assess the safety of 4% 5-FU cream. Results: We included 150 patients clinically diagnosed with AK, treated with 4% 5-FU cream and evaluated 432 lesions. Complete clearance of lesions was observed in 138 patients (92%) with partial clearance in 12 patients (8%). At 12 months, the recurrence rate was 11%. Conclusions: Based on our analysis, 4% 5-FU cream is an effective and well-tolerated treatment for AKs, particularly in patients with extensive field cancerization. While local skin reactions are a natural part of its mechanism, they are manageable and do not outweigh clinical benefits. Full article
Show Figures

Figure 1

23 pages, 1308 KB  
Article
MFA-Net: Multiscale Feature Attention Network for Medical Image Segmentation
by Jia Zhao, Han Tao, Song Liu, Meilin Li and Huilong Jin
Electronics 2026, 15(2), 330; https://doi.org/10.3390/electronics15020330 - 12 Jan 2026
Abstract
Medical image segmentation acts as a foundational element of medical image analysis. Yet its accuracy is frequently limited by the scale fluctuations of anatomical targets and the intricate contextual traits inherent in medical images—including vaguely defined structural boundaries and irregular shape distributions. To [...] Read more.
Medical image segmentation acts as a foundational element of medical image analysis. Yet its accuracy is frequently limited by the scale fluctuations of anatomical targets and the intricate contextual traits inherent in medical images—including vaguely defined structural boundaries and irregular shape distributions. To tackle these constraints, we design a multi-scale feature attention network (MFA-Net), customized specifically for thyroid nodule, skin lesion, and breast lesion segmentation tasks. This network framework integrates three core components: a Bidirectional Feature Pyramid Network (Bi-FPN), a Slim-neck structure, and the Convolutional Block Attention Module (CBAM). CBAM steers the model to prioritize boundary regions while filtering out irrelevant information, which in turn enhances segmentation precision. Bi-FPN facilitates more robust fusion of multi-scale features via iterative integration of top-down and bottom-up feature maps, supported by lateral and vertical connection pathways. The Slim-neck design is constructed to simplify the network’s architecture while effectively merging multi-scale representations of both target and background areas, thus enhancing the model’s overall performance. Validation across four public datasets covering thyroid ultrasound (TNUI-2021, TN-SCUI 2020), dermoscopy (ISIC 2016), and breast ultrasound (BUSI) shows that our method outperforms state-of-the-art segmentation approaches, achieving Dice similarity coefficients of 0.955, 0.971, 0.976, and 0.846, respectively. Additionally, the model maintains a compact parameter count of just 3.05 million and delivers an extremely fast inference latency of 1.9 milliseconds—metrics that significantly outperform those of current leading segmentation techniques. In summary, the proposed framework demonstrates strong performance in thyroid, skin, and breast lesion segmentation, delivering an optimal trade-off between high accuracy and computational efficiency. Full article
(This article belongs to the Special Issue Deep Learning for Computer Vision Application: Second Edition)
Show Figures

Figure 1

40 pages, 16360 KB  
Review
Artificial Intelligence Meets Nail Diagnostics: Emerging Image-Based Sensing Platforms for Non-Invasive Disease Detection
by Tejrao Panjabrao Marode, Vikas K. Bhangdiya, Shon Nemane, Dhiraj Tulaskar, Vaishnavi M. Sarad, K. Sankar, Sonam Chopade, Ankita Avthankar, Manish Bhaiyya and Madhusudan B. Kulkarni
Bioengineering 2026, 13(1), 75; https://doi.org/10.3390/bioengineering13010075 - 8 Jan 2026
Viewed by 364
Abstract
Artificial intelligence (AI) and machine learning (ML) are transforming medical diagnostics, but human nail, an easily accessible and rich biological substrate, is still not fully exploited in the digital health field. Nail pathologies are easily diagnosed, non-invasive disease biomarkers, including systemic diseases such [...] Read more.
Artificial intelligence (AI) and machine learning (ML) are transforming medical diagnostics, but human nail, an easily accessible and rich biological substrate, is still not fully exploited in the digital health field. Nail pathologies are easily diagnosed, non-invasive disease biomarkers, including systemic diseases such as anemia, diabetes, psoriasis, melanoma, and fungal diseases. This review presents the first big synthesis of image analysis for nail lesions incorporating AI/ML for diagnostic purposes. Where dermatological reviews to date have been more wide-ranging in scope, our review will focus specifically on diagnosis and screening related to nails. The various technological modalities involved (smartphone imaging, dermoscopy, Optical Coherence Tomography) will be presented, together with the different processing techniques for images (color corrections, segmentation, cropping of regions of interest), and models that range from classical methods to deep learning, with annotated descriptions of each. There will also be additional descriptions of AI applications related to some diseases, together with analytical discussions regarding real-world impediments to clinical application, including scarcity of data, variations in skin type, annotation errors, and other laws of clinical adoption. Some emerging solutions will also be emphasized: explainable AI (XAI), federated learning, and platform diagnostics allied with smartphones. Bridging the gap between clinical dermatology, artificial intelligence and mobile health, this review consolidates our existing knowledge and charts a path through yet others to scalable, equitable, and trustworthy nail based medically diagnostic techniques. Our findings advocate for interdisciplinary innovation to bring AI-enabled nail analysis from lab prototypes to routine healthcare and global screening initiatives. Full article
(This article belongs to the Special Issue Bioengineering in a Generative AI World)
Show Figures

Graphical abstract

12 pages, 752 KB  
Article
Dermoscopy-Guided High-Frequency Ultrasound Imaging of Subcentimeter Cutaneous and Subcutaneous Neurofibromas in Patients with Neurofibromatosis Type 1
by Krisztina Kerekes, Mehdi Boostani, Zseraldin Metyovinyi, Norbert Kiss and Márta Medvecz
J. Clin. Med. 2026, 15(2), 475; https://doi.org/10.3390/jcm15020475 - 7 Jan 2026
Viewed by 198
Abstract
Background: Neurofibromatosis type 1 (NF1) is an autosomal dominant disorder characterized by cutaneous and subcutaneous neurofibromas, which impact quality of life. Dermoscopy-guided high-frequency ultrasound (DG-HFUS) integrates dermoscopy with 33 MHz ultrasound, enabling precise lesion localization and reproducible measurements. Objective: To characterize neurofibromas [...] Read more.
Background: Neurofibromatosis type 1 (NF1) is an autosomal dominant disorder characterized by cutaneous and subcutaneous neurofibromas, which impact quality of life. Dermoscopy-guided high-frequency ultrasound (DG-HFUS) integrates dermoscopy with 33 MHz ultrasound, enabling precise lesion localization and reproducible measurements. Objective: To characterize neurofibromas in NF1 patients using DG-HFUS and identify imaging parameters for diagnosis, monitoring, and treatment planning. Methods: 14 genetically confirmed NF1 patients underwent DG-HFUS imaging (Dermus SkinScanner). 100 neurofibromas were assessed for size, location, shape, contours, surface, echogenicity, global echogenicity, and posterior acoustic features. Results: Lesions were dermal (79%) or subcutaneous (21%), round (28%), ovoid (63%), or spiked (9%). Mean vertical and lateral diameters were 5.37 ± 2.66 mm and 2.28 ± 1.39 mm. All were hypoechoic; 62% homogeneous, 38% heterogeneous. Margins were well-defined in 57% and poorly defined in 43%. Posterior enhancement occurred in 3% and shadowing in 10%. Conclusions: DG-HFUS provides a detailed, reproducible assessment of neurofibromas, supporting differential diagnosis, surgical planning, and longitudinal monitoring. The evaluated imaging parameters offer objective insights for optimizing NF1 management. Future developments, including 3D reconstruction and AI-assisted analysis, may further enhance its clinical utility. Full article
(This article belongs to the Special Issue Fresh Insights in Skin Disease)
Show Figures

Figure 1

15 pages, 4257 KB  
Article
Assessment of the Degree of Erythema Reduction in Rosacea After Polychromatic Light Treatments
by Anna Deda, Aleksandra Lipka-Trawińska, Dominika Wcisło-Dziadecka, Bartosz Miziołek, Magdalena Hartman-Petrycka and Sławomir Wilczyński
J. Clin. Med. 2026, 15(1), 302; https://doi.org/10.3390/jcm15010302 - 31 Dec 2025
Viewed by 338
Abstract
Background: Rosacea is a chronic facial skin disease in which persistent erythema is a significant clinical problem, often resistant to standard therapies. Intensive pulsating light (IPL) has become a recognised and effective method of treating erythema and telangiectasia. The latest recommendations emphasise the [...] Read more.
Background: Rosacea is a chronic facial skin disease in which persistent erythema is a significant clinical problem, often resistant to standard therapies. Intensive pulsating light (IPL) has become a recognised and effective method of treating erythema and telangiectasia. The latest recommendations emphasise the advantage of combining subjective clinical assessments with objective imaging analyses in monitoring therapy effects. Methods: A total of 20 patients with rosacea qualified for this study. They were subjected to three polychromatic light procedures (Lumecca, Inmode; wavelength of 515–1200 nm) at 21-day intervals. The skin condition was documented photographically, and the degree of erythema was assessed on the basis of the Clinician Erythema Assessment (CEA) scale and objective analysis of the skin texture, using the parameters of contrast and homogeneity of the grey level co-occurrence matrix (GLCM). Results: A series of three polychromatic light treatments yielded a significant clinical improvement in all patients. The mean CEA value decreased by 61.11%, whereas the GLCM contrast in all the analysed facial areas dropped by about 17%, and homogeneity increased by 4–5%. The effects persisted for at least three months after the treatments. A high correlation of CEA scale results with GLCM parameters (R = 0.81–0.94 for contrast; R = −0.77 to −0.83 for homogeneity) was observed. Conclusions: Three polychromatic light treatments proved to be a very effective method of reducing erythema in rosacea, confirmed by both clinical evaluation and objective imaging analysis. The effects of therapy were durable and clear. Integration of the subjective method (CEA) with GLCM analysis can be a path for future research and clinical practice in the assessment of erythematous skin lesions. Full article
(This article belongs to the Section Dermatology)
Show Figures

Figure 1

14 pages, 1277 KB  
Article
Comparative Analysis of Skin Microbiome in Acne Lesions and Healthy Skin Using 16S rRNA Gene Sequencing
by Fadilah Fadilah, Hartanti Dian Ikawati, Anis Karuniawati, Linda Erlina, Fitria Agustina, Rafika Indah Paramita and Mohd Azrul Naim Mohamad
BioMedInformatics 2026, 6(1), 1; https://doi.org/10.3390/biomedinformatics6010001 - 23 Dec 2025
Viewed by 455
Abstract
Acne vulgaris (AV) is a common dermatological disorder in adolescents, encompassing both non-inflammatory and inflammatory lesions, with growing evidence implicating the skin microbiome in its pathogenesis. This study analyzed skin lesion samples from 12 adolescents with AV using 16S rRNA high-throughput sequencing, with [...] Read more.
Acne vulgaris (AV) is a common dermatological disorder in adolescents, encompassing both non-inflammatory and inflammatory lesions, with growing evidence implicating the skin microbiome in its pathogenesis. This study analyzed skin lesion samples from 12 adolescents with AV using 16S rRNA high-throughput sequencing, with 12 healthy skin microbiome datasets as references. A total of 4.7 million high-quality reads were obtained, yielding 765,211 clean reads clustered into 1013 operational taxonomic units (OTUs). Microbial communities in lesions differed markedly from those in healthy skin. At the phylum level, lesions showed higher proportions of Bacteroidota and Bacillota, whereas healthy skin was dominated by Actinobacteria. At the genus level, lesions were modestly but significantly higher in Staphylococcus, Corynebacterium, and Peptoniphilus, while Cutibacterium was more abundant in healthy skin. Alpha diversity analysis revealed greater species richness and phylogenetic diversity in healthy skin, but higher evenness in lesions. Beta diversity confirmed significant differences in community structure. Functional prediction identified 391 metabolic pathways, 163 of which differed significantly; only three were enriched in lesions, while 160 were more abundant in healthy skin. Lipase activity was elevated in lesions, whereas hyaluronate lyase activity was higher in healthy skin. These findings indicate that healthy skin supports a richer and more functionally diverse microbial metabolism, whereas acne lesions are associated with reduced metabolic capabilities. Overall, the acne lesion microbiome exhibits reduced diversity, altered bacterial composition, and distinct functional traits compared to healthy skin, underscoring the role of microbial imbalance in acne and suggesting potential microbial targets for treatment. Full article
Show Figures

Graphical abstract

21 pages, 4079 KB  
Article
Enchancing Robustness in Skin Lesion Detection: A Benchmark of 32 Models on a Novel Dataset Including Healthy Skin Images
by Natalia Krukar and Zbigniew Omiotek
Appl. Sci. 2026, 16(1), 99; https://doi.org/10.3390/app16010099 - 22 Dec 2025
Viewed by 264
Abstract
The rising incidence of skin cancer necessitates the development of automated, reliable diagnostic tools to support clinicians. While deep learning models, particularly from the YOLO family, have shown promise, their application in real-world scenarios is limited by challenges such as class imbalance and [...] Read more.
The rising incidence of skin cancer necessitates the development of automated, reliable diagnostic tools to support clinicians. While deep learning models, particularly from the YOLO family, have shown promise, their application in real-world scenarios is limited by challenges such as class imbalance and the inability to process images of healthy skin, leading to potential false positives. This study presents a comprehensive comparative analysis of 32 object detection models, primarily from the YOLO architecture (v5–v12) and RT-DETR, to identify the most effective solution for skin lesion detection. We curated a novel, balanced dataset of 10,000 images based on the ISIC archive, comprising 10 distinct lesion classes (benign and malignant). Crucially, we introduced a dedicated ‘background’ class containing 1000 images of clear skin, a novelty designed to enhance model robustness in clinical practice. Models were systematically evaluated and filtered based on performance metrics (mAP, Recall) and complexity. Through a multi-stage evaluation, the YOLOv9c model was identified as the superior architecture, achieving a mAP@50 of 72.5% and a Recall of 71.6% across all classes. The model demonstrated strong performance, especially considering the dataset’s complexity with 10 classes and background images. Our research establishes a new benchmark for skin lesion detection. We demonstrate that including a ‘background’ class is a critical step towards creating clinically viable tools. The YOLOv9c model emerges as a powerful and efficient solution. To foster further research, our curated 10-class dataset with background images will be made publicly available. Full article
(This article belongs to the Section Computing and Artificial Intelligence)
Show Figures

Figure 1

12 pages, 1951 KB  
Case Report
Inflammatory Fibroid Gastric Polyps (Vanek’s Tumor): Two Case Reports Highlighting Epidemiological Patterns and Telocyte-Driven Neoplastic Pathogenesis and Diagnosis
by Roberto Venuto, Caterina Elisabetta Rizzo, Francesco Loddo, Giovanni Genovese, Maria Teresa Martorana, Cristina Genovese and Francesco Fedele
Reports 2026, 9(1), 2; https://doi.org/10.3390/reports9010002 - 19 Dec 2025
Viewed by 322
Abstract
Background and Clinical Significance: Inflammatory fibroid polyp (IFP), also known as Vanek’s tumor, is a rare, benign mesenchymal lesion of the gastrointestinal (GI) tract that frequently mimics neoplastic conditions due to its submucosal location and radiologic appearance. Although most commonly found in [...] Read more.
Background and Clinical Significance: Inflammatory fibroid polyp (IFP), also known as Vanek’s tumor, is a rare, benign mesenchymal lesion of the gastrointestinal (GI) tract that frequently mimics neoplastic conditions due to its submucosal location and radiologic appearance. Although most commonly found in the gastric antrum, IFPs may occur throughout the GI tract and present with a range of symptoms, from incidental findings to obstruction or bleeding, depending on size and location. Case Presentation: This article presents two distinct cases of gastric IFP managed at the University Hospital of Messina: one endoscopically resected polyp in a 70-year-old man and one surgically excised infiltrative lesion in a 64-year-old woman with high-grade obstruction. Histological analysis in both cases confirmed the diagnosis of IFP, demonstrating spindle cell proliferation with eosinophilic infiltrates and a characteristic perivascular “onion-skin” pattern. Immunohistochemical staining showed strong CD34 positivity and absence of CD117 and DOG1, aiding in differentiation from gastrointestinal stromal tumors (GISTs). Conclusions: Recent evidence suggests a neoplastic origin for IFPs, supported by the presence of PDGFRA mutations and telocyte involvement, prompting a reevaluation of their pathogenesis. These cases underscore the diagnostic challenges posed by IFPs and highlight the importance of histological and immunohistochemical analysis in guiding appropriate treatment. While endoscopic resection is preferred for localized lesions, surgical intervention remains necessary in complex or obstructive cases. Understanding IFPs’ molecular profile and cellular origin may refine future diagnostic and therapeutic approaches. Full article
Show Figures

Figure 1

11 pages, 945 KB  
Proceeding Paper
Self-Supervised Learning for Complex Pattern Interpretation in Vitiligo Skin Imaging
by Priyanka Pawar, Anagha Kulkarni, Bhavana Pansare, Prajakta Pawar, Prachi Bahekar and Madhavi Kapre
Comput. Sci. Math. Forum 2025, 12(1), 9; https://doi.org/10.3390/cmsf2025012009 - 18 Dec 2025
Viewed by 146
Abstract
Depigmented patches are the result of vitiligo, a skin condition brought on by the slow breakdown of melanocytes. High variability, complex lesion morphology, and subtle differences between affected and unaffected skin make accurate diagnosis difficult. In these situations, conventional supervised image analysis techniques [...] Read more.
Depigmented patches are the result of vitiligo, a skin condition brought on by the slow breakdown of melanocytes. High variability, complex lesion morphology, and subtle differences between affected and unaffected skin make accurate diagnosis difficult. In these situations, conventional supervised image analysis techniques have trouble generalizing. By allowing models to acquire significant representations from unlabeled data, self-supervised learning (SSL) presents a viable substitute. The new SSL-based framework for vitiligo skin image analysis proposed in this study uses contrastive learning with augmentation-based pretext tasks to capture complex visual patterns such as patch distribution, texture loss, and border irregularity. The SSL-enhanced model achieved a validation accuracy of 0.83 after fine-tuning on a small, labeled subset. This suggests that SSL could support accurate and labeled efficient vitiligo assessment in clinical and research settings. Direct comparisons with existing supervised model were not performed and were left for future research. Full article
Show Figures

Figure 1

14 pages, 2873 KB  
Article
Non-Invasive Imaging to Detect the Effects of Topical N-Butanoyl Glutathione (GSH-C4) and Hyaluronic Acid in Inflammatory Eczematous Dermatitis
by Maria Elisabetta Greco, Antonio Di Guardo, Annunziata Dattola, Silvana Ciardo, Elena Campione, Domenico Marrapodi, Camilla Chello, Carmen Cantisani, Simone Michelini, Terenzio Cosio, Simone Amato, Enrico Garaci, Raimondo Crimi, Steven Paul Nisticò and Giovanni Pellacani
Cosmetics 2025, 12(6), 280; https://doi.org/10.3390/cosmetics12060280 - 11 Dec 2025
Viewed by 547
Abstract
Background: Eczematous dermatitis refers to a group of inflammatory skin disorders—including seborrheic, atopic, and contact dermatitis—characterized by epidermal barrier dysfunction and chronic inflammation. Disrupting the itch–scratch cycle and reversing microscopic skin changes are key to improving patient outcomes and quality of life. Aims: [...] Read more.
Background: Eczematous dermatitis refers to a group of inflammatory skin disorders—including seborrheic, atopic, and contact dermatitis—characterized by epidermal barrier dysfunction and chronic inflammation. Disrupting the itch–scratch cycle and reversing microscopic skin changes are key to improving patient outcomes and quality of life. Aims: This study aimed to assess the clinical and microscopic effects of a topical medical device containing N-butanoyl glutathione (GSH-C4) and hyaluronic acid in patients with inflammatory eczematous dermatitis, combining clinical scores with in vivo confocal and OCT imaging. Methods: A prospective clinical trial enrolled 30 patients with active eczematous lesions. Participants applied a GSH-C4/hyaluronic acid-based product (GSEBA®) for 28 days. Clinical improvement was evaluated at baseline, day 14, and day 28 using the Investigator’s Global Assessment (IGA), a Visual Analog Scale (VAS) for itching, and a self-reported index of disease impact on quality of life (IDL). Microscopic changes were assessed using optical coherence tomography (OCT) and reflectance confocal microscopy (RCM). Results: After 28 days, the mean IGA score improved from 2.48 to 0.18 (p < 0.001), VAS itching score decreased from 4.52 to 0.32 (p < 0.001), and IDL dropped from 4.86 to 0.79 (p < 0.001). RCM analysis showed significant reductions in key inflammatory features such as spongiosis, vesiculation, and inflammatory infiltrate. OCT revealed a significant decrease in vascularization at 150 μm depth, with no change in collagen density. Conclusions: The GSH-C4/hyaluronic acid-based mousse (GSEBA®) demonstrated strong clinical efficacy and excellent tolerability in managing eczematous dermatitis. It effectively reduced both symptoms and microscopic markers of inflammation without compromising dermal structure. Full article
(This article belongs to the Special Issue Feature Papers in Cosmetics in 2025)
Show Figures

Figure 1

22 pages, 2666 KB  
Systematic Review
Equity and Generalizability of Artificial Intelligence for Skin-Lesion Diagnosis Using Clinical, Dermoscopic, and Smartphone Images: A Systematic Review and Meta-Analysis
by Jeng-Wei Tjiu and Chia-Fang Lu
Medicina 2025, 61(12), 2186; https://doi.org/10.3390/medicina61122186 - 10 Dec 2025
Viewed by 719
Abstract
Background and Objectives: Artificial intelligence (AI) has shown promising performance in skin-lesion classification; however, its fairness, external validity, and real-world reliability remain uncertain. This systematic review and meta-analysis evaluated the diagnostic accuracy, equity, and generalizability of AI-based dermatology systems across diverse imaging [...] Read more.
Background and Objectives: Artificial intelligence (AI) has shown promising performance in skin-lesion classification; however, its fairness, external validity, and real-world reliability remain uncertain. This systematic review and meta-analysis evaluated the diagnostic accuracy, equity, and generalizability of AI-based dermatology systems across diverse imaging modalities and clinical settings. Materials and Methods: A comprehensive search of PubMed, Embase, Web of Science, and ClinicalTrials.gov (inception–31 October 2025) identified diagnostic accuracy studies using clinical, dermoscopic, or smartphone images. Eighteen studies (11 melanoma-focused; 7 mixed benign–malignant) met inclusion criteria. Six studies provided complete 2 × 2 contingency data for bivariate Reitsma HSROC modeling, while seven reported AUROC values with extractable variance. Risk of bias was assessed using QUADAS-2, and evidence certainty was graded using GRADE. Results: Across more than 70,000 test images, pooled sensitivity and specificity were 0.91 (95% CI 0.74–0.97) and 0.64 (95% CI 0.47–0.78), respectively, corresponding to an HSROC AUROC of 0.88 (95% CI 0.84–0.92). The AUROC-only meta-analysis yielded a similar pooled AUROC of 0.88 (95% CI 0.87–0.90). Diagnostic performance was highest in specialist settings (AUROC 0.90), followed by community care (0.85) and smartphone environments (0.81). Notably, performance was lower in darker skin tones (Fitzpatrick IV–VI: AUROC 0.82) compared with lighter skin tones (I–III: 0.89), indicating persistent fairness gaps. Conclusions: AI-based dermatology systems achieve high diagnostic accuracy but demonstrate reduced performance in darker skin tones and non-specialist environments. These findings emphasize the need for diverse training datasets, skin-tone–stratified reporting, and rigorous external validation before broad clinical deployment. Full article
(This article belongs to the Section Dermatology)
Show Figures

Figure 1

15 pages, 3892 KB  
Article
Cosmetic Benefits of Medium-Depth Chemical Peels for Moderate Acne Lesions and Atrophic Acne Scars: A Single-Arm Clinical Trial in Young Adults
by Anna Deda, Magdalena Hartman-Petrycka, Marta Gędoś, Martyna Wojciechowska and Dominika Wcisło-Dziadecka
J. Clin. Med. 2025, 14(23), 8598; https://doi.org/10.3390/jcm14238598 - 4 Dec 2025
Viewed by 1480
Abstract
Background: Acne vulgaris is a common inflammatory disorder with significant clinical and psychosocial impacts. Medium-depth chemical peels are increasingly used to manage both active acne lesions and atrophic acne scars. This study aimed to quantitatively assess the clinical effectiveness of a novel multimodal [...] Read more.
Background: Acne vulgaris is a common inflammatory disorder with significant clinical and psychosocial impacts. Medium-depth chemical peels are increasingly used to manage both active acne lesions and atrophic acne scars. This study aimed to quantitatively assess the clinical effectiveness of a novel multimodal medium-depth chemical peel regimen, yellow peel, in improving acne severity and scar depth, as well as skin hydration and sebum production in patients with mild to moderate facial acne. Methods: Twenty patients (17 women and 3 men) aged 20–25 with mild to moderate acne vulgaris underwent two sessions of yellow peel treatment at four-week intervals. The peel protocol combined glycolic acid, salicylic acid, and a multi-acid mask containing retinol, azelaic, phytic, kojic, and salicylic acids. Clinical outcomes were evaluated at baseline, four weeks after the first peel, and two months after the second peel. Assessments included the Investigators Global Assessment (IGA), inflammatory lesion count, 3D scar depth analysis, skin hydration (corneometer), and sebum secretion (sebumeter). Results: Yellow peel treatment significantly reduced acne severity, with an 85% decrease in inflammatory lesion counts and over 20% reduction in scar depth. Skin hydration improved significantly across all facial regions, and sebum secretion decreased substantially, enhancing skin barrier function and seboregulation. Statistical analysis confirmed the treatment’s efficacy with sustained improvements two months post-final peel. Conclusions: The yellow peel protocol is an effective and well-tolerated adjunct therapy for managing mild to moderate acne and atrophic acne scars. By combining exfoliative, anti-inflammatory, antibacterial, sebostatic, and depigmenting agents, this multimodal approach delivers comprehensive skin improvement. Further large-scale, controlled studies are recommended to confirm long-term safety and efficacy. Full article
(This article belongs to the Special Issue New Insights into Acne Vulgaris Treatment and Management Strategies)
Show Figures

Figure 1

22 pages, 845 KB  
Systematic Review
Oral Probiotics in Acne vulgaris: A Systematic Review and Meta-Analysis of Double-Blind Randomized Clinical Trials
by Jeng-Wei Tjiu and Chia-Fang Lu
Medicina 2025, 61(12), 2152; https://doi.org/10.3390/medicina61122152 - 3 Dec 2025
Viewed by 2784
Abstract
Background and Objectives: Acne vulgaris is a prevalent chronic inflammatory skin condition affecting adolescents and young adults worldwide. Increasing concern regarding antimicrobial resistance has renewed interest in microbiome-modulating therapies, including oral probiotics. This systematic review and meta-analysis evaluated the efficacy and safety of [...] Read more.
Background and Objectives: Acne vulgaris is a prevalent chronic inflammatory skin condition affecting adolescents and young adults worldwide. Increasing concern regarding antimicrobial resistance has renewed interest in microbiome-modulating therapies, including oral probiotics. This systematic review and meta-analysis evaluated the efficacy and safety of oral probiotic supplementation for acne vulgaris using contemporary random-effects methods. Materials and Methods: Following PRISMA 2020 guidelines, we searched PubMed, Embase, Web of Science, and ClinicalTrials.gov through November 2025 without language restrictions. Eligible studies were double-blind randomized controlled trials (RCTs) comparing oral probiotics with placebo or standard therapy for ≥4 weeks and reporting quantitative acne severity outcomes. Risk of bias was assessed using RoB 2.0. Standardized mean differences (SMDs) were pooled using restricted maximum likelihood (REML) with Hartung–Knapp adjustment. Heterogeneity was summarized using I2, τ2 (95% CI), and 95% prediction intervals. Adverse events were extracted. Results: Three RCTs (n = 231) met eligibility criteria. Pooled analysis suggested a modest reduction in inflammatory lesion counts favoring probiotics (SMD −0.57; 95% CI −0.94 to −0.21), although heterogeneity was substantial (I2 = 72%; τ2 = 0.11). The 95% prediction interval (−1.25 to 0.11) indicated that future studies may plausibly observe no meaningful effect. Sensitivity analyses using the DerSimonian–Laird estimator produced comparable results. All trials reported good short-term tolerability with no serious adverse events. Risk of bias was low in two trials and of some concern in one. Certainty of evidence was rated low to moderate. Conclusions: Oral probiotics may modestly reduce acne severity as a generally safe, antibiotic-sparing adjunct; however, the current evidence base is small and heterogeneous, and the certainty of effect remains low-to-moderate. Larger, standardized RCTs are required before firm clinical recommendations can be made. Registration: PROSPERO CRD420251181388. Funding: This research received no external funding. Full article
(This article belongs to the Section Dermatology)
Show Figures

Figure 1

9 pages, 1390 KB  
Case Report
Cutaneous Marginal Zone Lymphoproliferation Arising from Circumorificial Plasmacytosis During Nivolumab Therapy for Urothelial Carcinoma
by Thilo Gambichler, Heinz-Wolfram Bernd, Sera Weyer-Fahlbusch, Anke Lücke, Johann Lorenzen and Laura Susok
Dermato 2025, 5(4), 23; https://doi.org/10.3390/dermato5040023 - 3 Dec 2025
Viewed by 294
Abstract
Immune checkpoint inhibitors (ICIs), particularly PD-1/PD-L1 antibodies, have significantly improved outcomes in a variety of solid tumors, including urothelial carcinoma. However, their use is frequently associated with immune-related adverse events (irAEs) which frequently affect the skin and mucous membranes. Among these, plasma-cell-rich infiltrates [...] Read more.
Immune checkpoint inhibitors (ICIs), particularly PD-1/PD-L1 antibodies, have significantly improved outcomes in a variety of solid tumors, including urothelial carcinoma. However, their use is frequently associated with immune-related adverse events (irAEs) which frequently affect the skin and mucous membranes. Among these, plasma-cell-rich infiltrates are exceptionally rare. Circumorificial plasmacytosis (COP) is a rare, predominantly reactive condition typically involving mucosal transition zones, with histologic features characterized by dense, polyclonal plasma cell infiltrates and a benign clinical course. Only two case reports have described COP in association with ICI therapy and, to date, transformation or overlap with lymphoproliferative disorders such as marginal zone lymphoma has not been documented. We report the case of an 86-year-old male with urothelial carcinoma who developed a progressive, ulcerated, bleeding lesion of the lower lip during adjuvant nivolumab therapy. Histologic examination revealed a dense subepithelial infiltrate of mature plasma cells and lymphocytes. Direct and indirect immunofluorescence studies were negative, excluding autoimmune blistering disorders. Immunohistochemistry showed a predominance of CD138-positive plasma cells with a moderate kappa light-chain shift, CD19 expression, and absence of CD56, Cyclin-D1, and CD117, arguing against a plasma cell neoplasm. Molecular analysis via multiplex PCR revealed a clonal B-cell population with distinct IgH rearrangements, and some EBV-positive cells were also identified by EBER in situ hybridization. The histopathologic and molecular findings suggested a marginal zone lymphoma-like, plasmacytic proliferation arising in the setting of COP. This case illustrates a rare and diagnostically challenging constellation at the intersection of reactive and clonal B-cell proliferations in the context of ICI therapy. Although the lesion demonstrated features of clonality, the overall low B-cell content, indolent clinical course, and lack of systemic involvement support a reactive, immunodeficiency-associated lymphoproliferation rather than overt lymphoma. This case expands the known spectrum of mucocutaneous irAEs and highlights the need for careful clinicopathologic correlation, including immunophenotyping and molecular diagnostics. Awareness of such rare presentations is essential to avoid overdiagnosis and unnecessary systemic treatment in patients with otherwise indolent lesions. Full article
(This article belongs to the Special Issue What Is Your Diagnosis?—Case Report Collection)
Show Figures

Figure 1

14 pages, 2785 KB  
Article
Exploring Fourier-Transform Infrared Microscopy for Scabies Mite Detection in Human Tissue Sections: A Preliminary Technical Feasibility Study
by Maximilian Lammer, Matthias Schmuth, Paul Bellmann, Verena Moosbrugger-Martinz, Bernhard Zelger, Birgit Moser, Roland Stalder, Christian Wolfgang Huck, Miranda Klosterhuber and Johannes Dominikus Pallua
Int. J. Mol. Sci. 2025, 26(23), 11597; https://doi.org/10.3390/ijms262311597 - 29 Nov 2025
Cited by 1 | Viewed by 473
Abstract
Scabies, caused by Sarcoptes scabiei var. hominis, remains difficult to diagnose in histological routine when mite fragments are sparse or degraded. We explored whether Fourier-transform infrared (FTIR) microscopy can detect chitin-associated spectral signatures of scabies mites in formalin-fixed paraffin-embedded (FFPE) human skin [...] Read more.
Scabies, caused by Sarcoptes scabiei var. hominis, remains difficult to diagnose in histological routine when mite fragments are sparse or degraded. We explored whether Fourier-transform infrared (FTIR) microscopy can detect chitin-associated spectral signatures of scabies mites in formalin-fixed paraffin-embedded (FFPE) human skin sections and distinguish them from surrounding host tissue. FFPE sections from six patients with histologically confirmed crusted scabies were analysed by FTIR imaging, univariate mapping of selected bands, and multivariate image analysis within the 1000–1200 cm−1 carbohydrate region. Spectra from mite exoskeleton, stratum corneum, and dermis were compared, and absorbance at 1072 cm−1 was quantified across all samples. Mite regions showed consistently higher 1072 cm−1 absorbance than adjacent epidermal and dermal compartments, and unsupervised clustering reproducibly delineated mite-associated domains that co-localised with structures identified on haematoxylin-and-eosin-stained sections. Within this small, preliminary proof-of-concept cohort and in the absence of healthy or disease controls, the data do not allow estimation of clinical diagnostic performance at the patient level, but demonstrate the technical feasibility and analytical robustness of FTIR microscopy for intra-lesional detection of chitin-rich parasite structures in scabies lesions and provide a framework for future comparative studies in larger, prospectively collected cohorts. Full article
Show Figures

Graphical abstract

Back to TopTop