Sign in to use this feature.

Years

Between: -

Subjects

remove_circle_outline
remove_circle_outline
remove_circle_outline
remove_circle_outline
remove_circle_outline
remove_circle_outline
remove_circle_outline
remove_circle_outline
remove_circle_outline

Journals

remove_circle_outline
remove_circle_outline
remove_circle_outline

Article Types

Countries / Regions

remove_circle_outline
remove_circle_outline
remove_circle_outline

Search Results (180)

Search Parameters:
Keywords = root cortex

Order results
Result details
Results per page
Select all
Export citation of selected articles as:
14 pages, 2563 KB  
Article
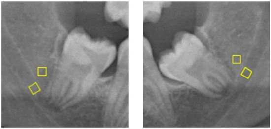
Attempting to Determine the Relationship of Mandibular Third Molars to the Mandibular Canal on Digital Panoramic Radiography; Using CBCT as Gold Standard
by Hilal Isra Erkan, Osman Yalcin, Umut Pamukcu and Kahraman Gungor
Fractal Fract. 2025, 9(9), 612; https://doi.org/10.3390/fractalfract9090612 - 22 Sep 2025
Viewed by 163
Abstract
(1) Background: It is important to know, radiologically, the relationship of Mandibular third molars (M3) to the mandibular canal to minimize postoperative complications by causing damage to the inferior alveolar vessels and nerve during extraction. This study aimed to evaluate the usability of [...] Read more.
(1) Background: It is important to know, radiologically, the relationship of Mandibular third molars (M3) to the mandibular canal to minimize postoperative complications by causing damage to the inferior alveolar vessels and nerve during extraction. This study aimed to evaluate the usability of various image analyses or high-risk radiographic findings in determining the relationship of M3s to the mandibular canal on Digital Panoramic Radiography (DPR). (2) Methods: DPRs of 60 patients with bilateral mandibular M3s in the dental arch, determined one of them to be related to the mandibular canal unilaterally by Cone Beam Computed Tomography (CBCT), were included. The high-risk radiological signs of M3s and Fractal Analysis (FA) and Histogram Analysis (HA) measurements of the trabecular bone around the M3s’ roots were compared. The Independent t-test, Kolmogorov–Smirnov, Mann–Whitney U, and Chi-Square tests were used for statistical analyses. (3) Results: DPR signs, such as radiolucency and bifurcation at the root apex, discontinuity of the mandibular canal cortex, and superimposition of the tooth root and mandibular canal, were observed statistically significantly more frequently for mandibular canal-related M3s (p < 0.05). As an objective image analysis, Lacunarity showed a statistically significant difference between related and unrelated M3s for measurements made inside and outside the mandibular canal (p < 0.05). (4) Conclusions: This study demonstrated that the discontinuity of the mandibular canal cortex and Lacunarity measured on DPR could help determine the relationship of the mandibular M3s to the mandibular canal. Full article
Show Figures

Figure 1

13 pages, 1008 KB  
Article
Does the Position of the Mandibular Third Molar Have an Effect on the Lingual Bone Morphology? A Cone Beam Computed Tomography Evaluation
by Ezgi Yüceer-Çetiner, Özgür Sakarya, Attila Vural and Dilara Kazan
Diagnostics 2025, 15(18), 2401; https://doi.org/10.3390/diagnostics15182401 - 20 Sep 2025
Viewed by 205
Abstract
Background/Objectives: This study aimed to investigate the association between the position of impacted mandibular third molars and the morphology of the lingual cortical bone using cone beam computed tomography (CBCT), and to determine how impaction depth and angulation influence the risk of lingual [...] Read more.
Background/Objectives: This study aimed to investigate the association between the position of impacted mandibular third molars and the morphology of the lingual cortical bone using cone beam computed tomography (CBCT), and to determine how impaction depth and angulation influence the risk of lingual cortical perforation. Methods: CBCT scans of 120 impacted mandibular third molars from 71 adult patients were retrospectively evaluated. Teeth were classified based on Pell & Gregory’s and Winter’s classifications. Lingual cortical morphology was categorized as undercut, parallel, slanted, or round. The relationship between the root apex and the lingual plate was classified as non-contact, contact, or perforating. Linear measurements included cortical lingual bone thickness and the distance from the apex to the outer surface of the lingual cortex. Results: Lingual bone morphology showed significant associations with both impaction depth and angulation, with parallel morphology more common in deeper and more angulated impactions. Lingual cortical perforation was observed in approximately 30% of the teeth, predominantly at the apex, with horizontal and deeply impacted molars (Class II, Level C) representing the highest-risk configurations. Although cortical thickness and apex-to-cortex distance were significantly smaller in apically perforated cases, no definitive threshold could be established, and these parameters were insufficient as standalone predictors at the cementoenamel junction or mid-root levels. Conclusions: Tooth angulation and impaction depth are significant predictors of lingual bone morphology and perforation risk. CBCT imaging is therefore recommended beyond low-risk cases (Level A, Class I, vertical) to improve preoperative planning, strengthen informed consent, and guide surgical strategies aimed at minimizing complications and enhancing patient safety. Full article
(This article belongs to the Section Medical Imaging and Theranostics)
Show Figures

Figure 1

33 pages, 7255 KB  
Article
Anti-Psoriatic Pharmacodynamic Material Basis of Dictamni Cortex Based on Transdermal Constituents Group
by Zhaoyu Wang, Mengting Pi, Ziang Gao, Maobo Du, Liwei Gu, Shuzhi Liu and Shuo Shen
Pharmaceutics 2025, 17(9), 1195; https://doi.org/10.3390/pharmaceutics17091195 - 14 Sep 2025
Viewed by 457
Abstract
Background: Psoriasis is a chronic inflammatory skin disorder for which topical medications are the preferred treatment option. However, current therapies are limited by adverse reactions, drug resistance, and economic burdens. Dictamni Cortex (DC; the root bark of Dictamnus dasycarpus Turcz.) has a long [...] Read more.
Background: Psoriasis is a chronic inflammatory skin disorder for which topical medications are the preferred treatment option. However, current therapies are limited by adverse reactions, drug resistance, and economic burdens. Dictamni Cortex (DC; the root bark of Dictamnus dasycarpus Turcz.) has a long history in the treatment of psoriasis, with its transdermal bioactive constituents serving as the pharmacodynamic foundation for topical anti-psoriatic therapy. Methods: Building on the separation of DC’s chemical constituents, this study integrated ultra-performance liquid chromatography quadrupole time-of-flight mass spectrometry (UPLC-Q-TOF-MS) and network pharmacology, along with activity verification, to investigate the anti-psoriatic active components among the transdermal constituents of DC. Results: Forty-one chemical constituents were characterized in DC, including 26 transdermally permeable compounds, predominantly alkaloids and limonoids. Network pharmacological analysis revealed core targets, including MMP9 and TLR4, as well as multiple pathways related to inflammatory and immune responses. Molecular docking studies identified dictamnine, jangomolide, rutaevin, and other key transdermal constituents that exhibited high binding affinity to core targets. In vitro validation showed that these compounds significantly suppressed cellular proliferation (p < 0.05) and downregulated Ki67 mRNA expression (p < 0.05) in the psoriasis-like HaCaT cell model. Concurrently, they significantly reduced secretion of key pro-inflammatory cytokines, including IL-17A, IL-22, IL-1β, IL-6, and IL-8 (p < 0.05). Comprehensive comparative analyses confirmed that dictamnine exhibited ideal anti-psoriatic efficacy. Conclusions: These results provide a pharmacological substance basis for the development of external preparations of DC for treating psoriasis and provide novel research concepts for investigating the pharmacodynamic material basis of Traditional Chinese Medicine topical drugs. Full article
(This article belongs to the Section Pharmacokinetics and Pharmacodynamics)
Show Figures

Figure 1

18 pages, 1476 KB  
Article
Electroacupuncture Attenuates Fibromyalgia Pain Through Increased PD-1 Expression in Female Mice
by I-Han Hsiao, Wei-Hung Chen, Ming-Chia Lin, Hsin-Cheng Hsu, Hsien-Yin Liao and Yi-Wen Lin
Brain Sci. 2025, 15(9), 976; https://doi.org/10.3390/brainsci15090976 - 11 Sep 2025
Viewed by 388
Abstract
Background/Objectives: Fibromyalgia causes chronic long-term pain, with symptoms lasting for months to years. Given the lack of evidence-based methods for diagnosing and assessing fibromyalgia, it ranks among the most difficult chronic pain conditions to treat. Programmed cell death ligand 1 (PD-L1) can inhibit [...] Read more.
Background/Objectives: Fibromyalgia causes chronic long-term pain, with symptoms lasting for months to years. Given the lack of evidence-based methods for diagnosing and assessing fibromyalgia, it ranks among the most difficult chronic pain conditions to treat. Programmed cell death ligand 1 (PD-L1) can inhibit acute and chronic pain transmission by inhibiting neuronal ion channels. Methods: Here, we aimed to explore the analgesic efficacy and mechanism of PD-L1/PD1 in an intermittent cold stress-induced fibromyalgia pain mouse model. Results: Von Frey and Hargreaves tests were performed, showing that the mouse model exhibited mechanical (day 4: 2.08 ± 0.13 g, n = 9) and thermal hyperalgesia (day 4: 3.93 ± 0.45 s, n = 9). Electroacupuncture (EA) or intraventricular PD-L1 injection effectively alleviated the nociceptive response and led to low PD-1 levels in the mouse dorsal root ganglia, spinal cord, thalamus, somatosensory cortex, and cerebellum, as measured through Western blots. In contrast, the pain-related kinase levels increased after fibromyalgia induction; these effects were reversed by EA and PD-L1 via the inhibition of microglia/astrocytes and Toll-like receptor 4. Conclusions: Our results show that EA can treat fibromyalgia pain in mice through effects on the PD-L1/PD1 pathway, indicating its potential as a therapeutic target in fibromyalgia. Full article
Show Figures

Figure 1

19 pages, 4996 KB  
Article
Investigation of Histological Characteristics and Evaluation of Physiological Traits Damage by Low Temperature Under Different Transplanting Periods During Early Growth Period in Sweet Potato (Ipomoea batatas (L.) Lam)
by Sejin Oh, Seong-Wook Kang, Yumi Lee, Jaeyoung Ock, Gitak Ryu, Seul Lee, Jin-Young Kim, Jinyoung Moon, Jongtae Lee, Tae-Young Hwang and Seong-Woo Cho
Agronomy 2025, 15(8), 1963; https://doi.org/10.3390/agronomy15081963 - 14 Aug 2025
Viewed by 396
Abstract
This study aimed to assess the phenotypic and histological characteristics of leaves, stems, and roots of sweet potato (‘Hopungmi’ and ‘Sodammi’, Korean cultivars) under the low-temperature conditions induced by early transplanting. In leaves, early transplanting (ETP) led to reductions in vascular bundle width [...] Read more.
This study aimed to assess the phenotypic and histological characteristics of leaves, stems, and roots of sweet potato (‘Hopungmi’ and ‘Sodammi’, Korean cultivars) under the low-temperature conditions induced by early transplanting. In leaves, early transplanting (ETP) led to reductions in vascular bundle width (from −22.6% to −53.7%), xylem diameter (from −51.6% to −52.6%), palisade parenchyma thickness (from −31.3% to −31.5%), and the palisade parenchyma thickness-to-leaf thickness ratio (from −31.2% to −32.1%), while the total leaf thickness remained unchanged. Principal component 1 (PC1: 69.7%) was positively correlated with vascular characteristics and palisade parenchyma thickness, reflecting enhanced development under optimal transplanting (OTP) and greater photosynthetic capacity. These findings indicate that low temperatures hinder palisade parenchyma development. In stems, ETP reduced stem radius (from −20.3% to −42.1%) and the pith-to-stem radius ratio (from −21.0% to −25.3%) but increased the xylem-to-stem radius ratio (from +45.8% to +47.1%) and the collenchyma-to-stem radius ratio (from +61.5% to +84.7%). PC1 (45.7%) showed positive correlations with xylem and collenchyma ratios and negative correlations with stem radius and pith ratio, suggesting that these anatomical adjustments helped maintain stem rigidity under stress. In roots, ETP significantly reduced root radius (from −78.0% to −94.5%), vascular radius (from −83.9% to −96.9%), cortex thickness (from −68.9% to −80.7%), and the vascular-to-root radius ratio (from −28.6% to −44.7%), while increasing the cortex-to-root radius ratio (from +53.0% to +248.0%). PC1 (93.8%) was positively associated with vascular characteristics and cortex thickness and negatively associated with the cortex-to-root radius ratio. Overall, the low temperatures resulting from early transplanting altered the anatomical structures of leaves, stems, and roots, indicating suboptimal conditions for storage root development. In particular, the vascular bundle radius of sweet potato roots was identified as a crucial indicator for evaluating storage root development, which can be utilized in future breeding strategies. Full article
(This article belongs to the Section Plant-Crop Biology and Biochemistry)
Show Figures

Figure 1

20 pages, 2031 KB  
Review
Anti-Inflammatory Pathways Mediating tDCS’s Effects on Neuropathic Pain
by Haipeng Zhang, Xinyan Zheng and Binn Zhang
Biology 2025, 14(7), 892; https://doi.org/10.3390/biology14070892 - 20 Jul 2025
Viewed by 957
Abstract
Neuropathic pain (NP) is a prevalent clinical condition resulting from diseases or injuries affecting the somatosensory system. Conventional analgesics often exhibit limited efficacy, leading to suboptimal therapeutic outcomes. The pathogenesis of NP is complex and involves multiple mechanisms. The existing evidence suggests that [...] Read more.
Neuropathic pain (NP) is a prevalent clinical condition resulting from diseases or injuries affecting the somatosensory system. Conventional analgesics often exhibit limited efficacy, leading to suboptimal therapeutic outcomes. The pathogenesis of NP is complex and involves multiple mechanisms. The existing evidence suggests that maladaptive neuronal plasticity plays a central role in NP development. Additionally, emerging research highlights the contribution of neuroinflammatory responses mediated by glial cells in the onset of NP and associated sensory hypersensitivity. Among non-invasive neuromodulation techniques, transcranial direct current stimulation (tDCS) has gained prominence as a potential treatment for NP. Numerous studies have demonstrated its analgesic effects; however, the precise regulatory mechanisms remain unclear. The current evidence indicates that tDCS may alleviate NP by enhancing glial–neuronal interactions, which suppress nociceptive signaling pathways and reduce pain sensitivity. The reciprocal modulation between tDCS-mediated anti-inflammatory actions, as evidenced by decreased levels of pro-inflammatory cytokines and increased levels of anti-inflammatory mediators, and its facilitation of adaptive neural plasticity represents a particularly compelling therapeutic axis. This review elucidates inflammatory regulation by tDCS as a fundamental mechanism for NP alleviation, while delineating important unresolved questions regarding these complex interactions. Full article
(This article belongs to the Section Immunology)
Show Figures

Figure 1

25 pages, 6525 KB  
Article
Response of Anatomical Structure and Active Component Accumulation in Apocynum venetum L. (Apocynaceae) Under Saline Stress and Alkali Stress
by Yanlei Zhang, Shaowei Hu, Xiaxia Wang, Jie Yue, Dongmei Chen, Mingzhi Han, Wanmin Qiao, Yifan Wang and Haixia Wang
Plants 2025, 14(14), 2223; https://doi.org/10.3390/plants14142223 - 18 Jul 2025
Viewed by 459
Abstract
Soil salinization, affecting approximately 954 million hectares globally, severely impairs plant growth and agricultural productivity. Apocynum venetum L., a perennial herbaceous plant with ecological and economic value, demonstrates remarkable tolerance to saline and alkali soils. This study investigated the effects of saline (NaCl) [...] Read more.
Soil salinization, affecting approximately 954 million hectares globally, severely impairs plant growth and agricultural productivity. Apocynum venetum L., a perennial herbaceous plant with ecological and economic value, demonstrates remarkable tolerance to saline and alkali soils. This study investigated the effects of saline (NaCl) and alkali (Na2CO3 and NaHCO3) stress on the growth, anatomical adaptations, and metabolite accumulation of A. venetum (Apocynum venetum L.). Results showed that alkali stress (100 mM Na2CO3 and 50 mM NaHCO3) inhibited growth more than saline stress (NaCl 240 mM), reducing plant height by 29.36%. Anatomical adaptations included a 40.32% increase in the root cortex-to-diameter ratio (100 mM Na2CO3 and 50 mM NaHCO3), a 101.52% enlargement of xylem vessel diameter (NaCl 240 mM), and a 68.69% thickening of phloem fiber walls in the stem (NaCl 240 mM), enhancing water absorption, salt exclusion, and structural support. Additionally, leaf palisade tissue densification (44.68% increase at NaCl 160 mM), along with epidermal and wax layer adjustments, balanced photosynthesis and water efficiency. Metabolic responses varied with stress conditions. Root soluble sugar content increased 49.28% at NaCl 160 mM. Flavonoid accumulation in roots increased 53.58% at Na2CO3 100 mM and NaHCO3 50 mM, enhancing antioxidant defense. However, chlorophyll content and photosynthetic efficiency declined with increasing stress intensity. This study emphasizes the coordinated adaptations of A. venetum, providing valuable insights for the development of salt-tolerant crops. Full article
(This article belongs to the Section Plant Development and Morphogenesis)
Show Figures

Figure 1

13 pages, 2711 KB  
Communication
Expanding the Cycad Horticulture Toolbox: Air Layer Protocols for Cycas Stems
by Thomas E. Marler and Gil N. Cruz
Horticulturae 2025, 11(7), 814; https://doi.org/10.3390/horticulturae11070814 - 9 Jul 2025
Viewed by 449
Abstract
Knowledge of propagation methods is crucial for conserving endangered plant species. Cycads are highly threatened, and propagation protocols using seeds and stem cuttings are well-understood. No air layer technique has been developed for cycad propagation, so the objective of this study was to [...] Read more.
Knowledge of propagation methods is crucial for conserving endangered plant species. Cycads are highly threatened, and propagation protocols using seeds and stem cuttings are well-understood. No air layer technique has been developed for cycad propagation, so the objective of this study was to develop a working protocol for adding this technique for cycad conservation. We opened wounds on mature Cycas edentata de Laub. stems to expose cortex and vascular tissue then installed an air layer medium to determine if adventitious roots would form. In one experiment, the peripheral vascular cylinder was exposed from 90° to 360°; in a second experiment, the use of auxin-promoting root stimulants was compared with a control group with no stimulants; and in a third experiment, the interior vascular cylinders were exposed in addition to the peripheral vascular cylinder. Every replication in every experiment developed adventitious roots beginning about 8 weeks and were ready to harvest with 10 cm roots by 14 weeks. The robust roots were about 1 cm in diameter, geotropic, and restricted to the outermost vascular cylinder exposed on the upper surface of the wounds. The number of roots and total root length per propagule increased by more than 300% as the percentage of exposed vascular tissue increased from 90° to 360°. Air layer techniques can be added to the cycad conservation toolbox, and its use may aid in conserving this threatened group of plants. Full article
(This article belongs to the Section Propagation and Seeds)
Show Figures

Figure 1

28 pages, 9320 KB  
Article
Embedded Sensor Data Fusion and TinyML for Real-Time Remaining Useful Life Estimation of UAV Li Polymer Batteries
by Jutarut Chaoraingern and Arjin Numsomran
Sensors 2025, 25(12), 3810; https://doi.org/10.3390/s25123810 - 18 Jun 2025
Cited by 2 | Viewed by 1027
Abstract
The accurate real-time estimation of the remaining useful life (RUL) of lithium-polymer (LiPo) batteries is a critical enabler for ensuring the safety, reliability, and operational efficiency of unmanned aerial vehicles (UAVs). Nevertheless, achieving such prognostics on resource-constrained embedded platforms remains a considerable technical [...] Read more.
The accurate real-time estimation of the remaining useful life (RUL) of lithium-polymer (LiPo) batteries is a critical enabler for ensuring the safety, reliability, and operational efficiency of unmanned aerial vehicles (UAVs). Nevertheless, achieving such prognostics on resource-constrained embedded platforms remains a considerable technical challenge. This study proposes an end-to-end TinyML-based framework that integrates embedded sensor data fusion with an optimized feedforward neural network (FFNN) model for efficient RUL estimation under strict hardware limitations. The system collects voltage, discharge time, and capacity measurements through a lightweight data fusion pipeline and leverages the Edge Impulse platform with the EON™Compiler for model optimization. The trained model is deployed on a dual-core ARM Cortex-M0+ Raspberry Pi RP2040 microcontroller, communicating wirelessly with a LabVIEW-based visualization system for real-time monitoring. Experimental validation on an 80-gram UAV equipped with a 1100 mAh LiPo battery demonstrates a mean absolute error (MAE) of 3.46 cycles and a root mean squared error (RMSE) of 3.75 cycles. Model testing results show an overall accuracy of 98.82%, with a mean squared error (MSE) of 55.68, a mean absolute error (MAE) of 5.38, and a variance score of 0.99, indicating strong regression precision and robustness. Furthermore, the quantized (int8) version of the model achieves an inference latency of 2 ms, with memory utilization of only 1.2 KB RAM and 11 KB flash, confirming its suitability for real-time deployment on resource-constrained embedded devices. Overall, the proposed framework effectively demonstrates the feasibility of combining embedded sensor data fusion and TinyML to enable accurate, low-latency, and resource-efficient real-time RUL estimation for UAV battery health management. Full article
(This article belongs to the Section Intelligent Sensors)
Show Figures

Figure 1

16 pages, 2457 KB  
Article
Neural Correlates of Cognitive Disengagement Syndrome Symptoms in Children: A Magnetoencephalography Study
by Xiaoqian Yu, Jing Xiang, Jeffery N. Epstein, Leanne Tamm, Josalyn A. Foster and Stephen P. Becker
Brain Sci. 2025, 15(6), 624; https://doi.org/10.3390/brainsci15060624 - 10 Jun 2025
Viewed by 1038
Abstract
Background/Objectives: Despite the growing recognition of cognitive disengagement syndrome (CDS), previously termed sluggish cognitive tempo, as a distinct dimension of psychopathology, the neural correlates of CDS remain largely unknown. We investigated the neural correlates of CDS in children using whole-head magnetoencephalography (MEG). Methods [...] Read more.
Background/Objectives: Despite the growing recognition of cognitive disengagement syndrome (CDS), previously termed sluggish cognitive tempo, as a distinct dimension of psychopathology, the neural correlates of CDS remain largely unknown. We investigated the neural correlates of CDS in children using whole-head magnetoencephalography (MEG). Methods: A community-based sample of children (N = 43, ages 8–12 years) was recruited and completed self-report ratings of CDS. MEG was recorded while the children completed an adapted version of the attention network test (ANT). Results: The results indicated that higher levels of self-reported CDS symptoms were associated with larger changes in the root-mean square (ΔRMS) (incongruent—congruent trials) in M2 and M3, suggesting children with higher levels of CDS symptoms might require greater mental effort to overcome distractors during incongruent trials. The source localization analysis initially revealed a negative correlation between child self-reported CDS symptoms and ΔM2 power (incongruent—congruent trials) in the medial prefrontal cortex (mPFC), suggesting insufficient power allocation in a region critical for attentional processing. However, this association was no longer significant after controlling for ADHD status. No significant correlation was found between self-reported CDS symptoms and alerting or orienting. Conclusions: These findings provide initial evidence of the disrupted attentional processing associated with CDS in children. Further replication and extension with larger samples are warranted. Full article
(This article belongs to the Section Cognitive, Social and Affective Neuroscience)
Show Figures

Figure 1

18 pages, 5430 KB  
Article
Elbow Joint Angle Estimation Using a Low-Cost and Low-Power Single Inertial Device for Daily Home-Based Self-Rehabilitation
by Manon Fourniol, Rémy Vauché, Guillaume Rao, Eric Watelain and Edith Kussener
J. Low Power Electron. Appl. 2025, 15(2), 33; https://doi.org/10.3390/jlpea15020033 - 19 May 2025
Viewed by 2618
Abstract
In the context of aging populations, it has become necessary to develop new methods and devices for the daily home-based self-rehabilitation of elderly people. To this end, this paper proposes and evaluates the use of an easy-to-use single battery-powered device including a 3D [...] Read more.
In the context of aging populations, it has become necessary to develop new methods and devices for the daily home-based self-rehabilitation of elderly people. To this end, this paper proposes and evaluates the use of an easy-to-use single battery-powered device including a 3D accelerometer and a 3D gyroscope, where light algorithms, such as the complementary filter and the Kalman filter, are implemented to estimate the elbow joint angle. During experiments, a robotic arm and a human arm were used to obtain an error interval for each tested algorithm; the robotic arm allows for reproducible movements and reproducible results, which allows us to independently verify the impact of parameters such as the sensor’s movement speed on the algorithm precision. The experimental results show that the algorithm that uses only accelerometer data is one of the most relevant since it allows us to obtain a Root Mean Square Error between 1.83° and 5.52° at a sensor data rate of 100 Hz, which is similar to the results obtained using the data fusion algorithms tested. Nevertheless, it has a lower power consumption since it requires only 58 cycles when using an ARM Cortex-M4 processor (which is lower than that of the other data fusion algorithms tested by a factor of at least two), and it does not necessitate the additional sensor required by the other data fusion algorithms tested (such as a gyroscope or a magnetometer). The algorithm using only accelerometer data also seems to be the algorithm with the lowest power consumption and should be preferred. Moreover, its power consumption can be reduced by more than the increase in the error when reducing the rate of the data output by the sensor. In this work, a reduction in the data rate from 100 Hz to 10 Hz increased the RMSE by a factor of 1.8 but could reduce the power consumption associated with the sensor and the algorithm’s computation by a factor of 10. Finally, the experimental results show that the higher the speed of the sensor’s motion, the higher the error obtained using only accelerometer data. Nevertheless, the algorithm that uses only accelerometer data remains well suited to rehabilitation exercises or mobility evaluations since the speed of the sensor’s movement is also moderate. Full article
Show Figures

Figure 1

15 pages, 4318 KB  
Brief Report
Guinea Pigs Are Not a Suitable Model to Study Neurological Impacts of Ancestral SARS-CoV-2 Intranasal Infection
by Jonathan D. Joyce, Greyson A. Moore, Christopher K. Thompson and Andrea S. Bertke
Viruses 2025, 17(5), 706; https://doi.org/10.3390/v17050706 - 15 May 2025
Viewed by 1022
Abstract
Neurological symptoms involving the central nervous system (CNS) and peripheral nervous system (PNS) are common complications of acute COVID-19 as well as post-COVID conditions. Most research into these neurological sequalae focuses on the CNS, disregarding the PNS. Guinea pigs were previously shown to [...] Read more.
Neurological symptoms involving the central nervous system (CNS) and peripheral nervous system (PNS) are common complications of acute COVID-19 as well as post-COVID conditions. Most research into these neurological sequalae focuses on the CNS, disregarding the PNS. Guinea pigs were previously shown to be useful models of disease during the SARS-CoV-1 epidemic. However, their suitability for studying SARS-CoV-2 has not been experimentally demonstrated. To assess the suitability of guinea pigs as models for SARS-CoV-2 infection and the impact of SARS-CoV-2 infection on the PNS, and to determine routes of CNS invasion through the PNS, we intranasally infected wild-type Dunkin-Hartley guinea pigs with ancestral SARS-CoV-2 USA-WA1/2020. We assessed PNS sensory neurons (trigeminal ganglia, dorsal root ganglia), autonomic neurons (superior cervical ganglia), brain regions (olfactory bulb, brainstem, cerebellum, cortex, hippocampus), lungs, and blood for viral RNA (RT-qPCR), protein (immunostaining), and infectious virus (plaque assay) at three- and six-days post infection. We show that guinea pigs, which have previously been used as a model of SARS-CoV-1 pulmonary disease, are not susceptible to intranasal infection with ancestral SARS-CoV-2, and are not useful models in assessing neurological impacts of infection with SARS-CoV-2 isolates from the early pandemic. Full article
(This article belongs to the Section Coronaviruses)
Show Figures

Graphical abstract

17 pages, 6257 KB  
Article
Unveiling the Impact of LED Light on Growing Carrot Taproots: A Novel Hydroponic Cultivation System
by Masaru Sakamoto, Ayuhiko Funaki, Fumiya Sakagami, Taichi Kaida and Takahiro Suzuki
Eng 2025, 6(5), 87; https://doi.org/10.3390/eng6050087 - 25 Apr 2025
Viewed by 912
Abstract
Root crops typically develop and enlarge their storage organs in the soil, where they are naturally shielded from light exposure. This characteristic influences their physiological development and presents challenges for hydroponic cultivation, as taproot enlargement is often inhibited when submerged in water. To [...] Read more.
Root crops typically develop and enlarge their storage organs in the soil, where they are naturally shielded from light exposure. This characteristic influences their physiological development and presents challenges for hydroponic cultivation, as taproot enlargement is often inhibited when submerged in water. To overcome this limitation, this study introduced a novel hydroponic system that prevents direct submersion in the nutrient solution. By isolating the taproots from both soil and nutrient solution, this system allows precise control of the root-zone light environment using LED irradiation. Carrot taproots were cultivated under blue, green, and red LED light from 42 days after sowing to assess their specific responses to different wavelengths. The results revealed distinct pigment accumulation patterns influenced by light quality. Blue light induced anthocyanin accumulation in the epidermis and outer cortex within 2 days of exposure and also stimulated chlorophyll synthesis in these outer tissues. In contrast, green and red light treatments promoted chlorophyll accumulation primarily in the stele, with red light having the most pronounced effect. These findings suggest that carrot taproots exhibit specific physiological responses to light exposure, demonstrating their ability to adjust pigment biosynthesis depending on the wavelength. By integrating controlled lighting environments into hydroponic systems, this study provides new insights into root development mechanisms and presents a novel strategy for optimizing root crop cultivation. Full article
(This article belongs to the Special Issue Interdisciplinary Insights in Engineering Research)
Show Figures

Figure 1

14 pages, 2834 KB  
Article
Belowground Structural Attributes and Morpho-Anatomical Response Strategies of Bromus valdivianus Phil. and Lolium perenne L. to Soil Water Restriction
by Yongmei Zhang, Javier García-Favre, Haiying Hu, Ignacio F. López, Iván P. Ordóñez, Andrew D. Cartmill, Vaughan Symonds and Peter D. Kemp
Agronomy 2025, 15(5), 1024; https://doi.org/10.3390/agronomy15051024 - 24 Apr 2025
Viewed by 523
Abstract
The effect of soil water restriction on the root structure and morpho-anatomical attributes of Lolium perenne L. (Lp) and Bromus valdivianus Phil. (Bv) was investigated. The anatomical structure of roots from plants grown under two water restriction conditions (20–25% and 80–85% field capacity [...] Read more.
The effect of soil water restriction on the root structure and morpho-anatomical attributes of Lolium perenne L. (Lp) and Bromus valdivianus Phil. (Bv) was investigated. The anatomical structure of roots from plants grown under two water restriction conditions (20–25% and 80–85% field capacity (FC)) were assessed using paraffin embedding and thin sections. These sections were examined to assess anatomical traits, including root diameter (root D), stele diameter (stele D) and cortex thickness (cortex T), and xylem vessel of Lp and Bv roots. Tiller population, shoot herbage mass, and the shoot-to-root ratio were also determined. Under water restriction, biomass and tillers were significantly decreased (p < 0.001), while the root-to-shoot ratio significantly increased, indicating a higher proportion of Bv roots than shoots when compared to Lp. The root D and stele D, and cortex T, were larger in Bv than in Lp (p < 0.001), indicating a greater adaptation of Bv for water uptake and storage compared to Lp. Xylem vessels were wider in Lp when compared to Bv (p < 0.01), indicating greater water flow within the plant. Water restriction generated a decrease in root D, stele D, and cortex T (p < 0.01). Canonical variate analysis showed that the pith cell wall had a strong positive relationship with water restriction in both Bv and Lp; lignified xylem and the endodermis wall had a close relationship with Lp under water restriction. The findings demonstrate that Lp and Bv have individual structural and morpho-anatomical response strategies to increasing water restriction. Full article
(This article belongs to the Section Grassland and Pasture Science)
Show Figures

Figure 1

23 pages, 2268 KB  
Review
Indigenous Knowledge and Utilisation of Strychnos spinosa Lam. in Sub-Saharan Africa: A Systematic Review of Its Medicinal, Nutritional, and Cultural Significance
by Sanele Nomfundo Sandisiwe Thothela, Elizabeth Kola, Mwazvita T. B. Dalu and Peter Tshepiso Ndhlovu
Diversity 2025, 17(4), 228; https://doi.org/10.3390/d17040228 - 25 Mar 2025
Cited by 2 | Viewed by 1303
Abstract
In sub-Saharan Africa, indigenous knowledge is a vital source of information about the local environment, including the identification and use of various plant species. One plant species that has attracted much attention in the area is Strychnos spinosa Lam., as local communities utilise [...] Read more.
In sub-Saharan Africa, indigenous knowledge is a vital source of information about the local environment, including the identification and use of various plant species. One plant species that has attracted much attention in the area is Strychnos spinosa Lam., as local communities utilise it for various purposes, such as medicinal, nutritional, and cultural. A systematic search for eligible studies was carried out by exploring different electronic databases, such as JSTOR, ScienceDirect, PubMed, and Google Scholar. The survey yielded 61 eligible studies, highlighting the diverse of uses of S. spinosa. The literature indicates that 37% of African countries have studied S. spinosa, mainly in Southern Africa. Most studies used semi-structured interviews, but over 70% did not analyse the plant’s nutritional and bioactive compounds. The research highlighted six distinct S. spinosa plant parts used for managing different ailments and conditions in Africa. Roots (25%), along with bark and fruits (23%), are primarily used for digestive disorders and fever; this was followed by leaves (20%) and wood (6%). The least utilised plant part was the radix or cortex (3%). These findings emphasise a significant gap in the understanding of S. spinosa’s nutritional and bioactive compounds, emphasising the need for quantitative research on its phytochemical properties and therapeutic applications within African traditional medicine. Full article
Show Figures

Figure 1

Back to TopTop