Sign in to use this feature.

Years

Between: -

Subjects

remove_circle_outline
remove_circle_outline
remove_circle_outline
remove_circle_outline
remove_circle_outline
remove_circle_outline
remove_circle_outline
remove_circle_outline
remove_circle_outline

Journals

Article Types

Countries / Regions

remove_circle_outline
remove_circle_outline
remove_circle_outline
remove_circle_outline
remove_circle_outline

Search Results (365)

Search Parameters:
Keywords = radiologic biomarker

Order results
Result details
Results per page
Select all
Export citation of selected articles as:
21 pages, 360 KB  
Review
Alterations in the Immune Response in Individuals with Latent Tuberculosis Infection
by Anna Starshinova, Adilya Sabirova, Igor Kudryavtsev, Artem Rubinstein, Arthur Aquino, Leonid P. Churilov, Ekaterina Belyaeva, Anastasia Kulpina, Raul A. Sharipov, Ravil K. Tukfatullin, Nikolay Nikolenko and Dmitry Kudlay
Pathogens 2026, 15(1), 14; https://doi.org/10.3390/pathogens15010014 - 22 Dec 2025
Abstract
Latent tuberculosis infection (LTBI) represents a biologically active yet clinically asymptomatic stage of Mycobacterium tuberculosis (Mtb) persistence. This condition is characterized by subtle immunometabolic alterations reflecting the host–pathogen equilibrium. Understanding the mechanisms and biomarkers associated with the preclinical phase of LTBI is crucial [...] Read more.
Latent tuberculosis infection (LTBI) represents a biologically active yet clinically asymptomatic stage of Mycobacterium tuberculosis (Mtb) persistence. This condition is characterized by subtle immunometabolic alterations reflecting the host–pathogen equilibrium. Understanding the mechanisms and biomarkers associated with the preclinical phase of LTBI is crucial for preventing progression to active tuberculosis (ATB). Recent advances have identified multiple immunological, transcriptomic, metabolic, and imaging-based approaches that enable stratification of individuals at increased risk of LTBI reactivation. Quantitative assays such as IGRA, multiplex and T-cell activation marker (TAM) tests, as well as interferon-related transcriptional signatures, demonstrate predictive potential when combined with functional assays (MGIA) and metabolic imaging (PET/CT). Experimental primate models faithfully reproduce the spectrum from latency to reactivation, allowing for validation of biomarkers and vaccine or immunomodulatory strategies. The review also highlights the particular challenges of multidrug-resistant LTBI (MDR-LTBI), where standard chemoprophylaxis is less effective and immune control plays a decisive role. The preclinical phase of LTBI constitutes a key point in the TB control cascade. Integrating immunological, transcriptomic, and radiological data into risk-based screening algorithms could substantially improve early detection and targeted prevention. Translating research-derived signatures into clinically applicable, standardized, and cost-effective diagnostic tools requires coordinated international efforts, technological transfer, and policy-level support to reduce TB reactivation and transmission, including MDR-TB. Full article
(This article belongs to the Special Issue Innate Immune Response and Pathogen Dynamics)
22 pages, 1048 KB  
Review
Ventilator-Associated Pneumonia (VAP) in Neurocritical Patients: The Hidden Dialog of Brain and Infection
by Alejandro Rodríguez, Laura Claverias, Ignacio Martín-Loeches, Frederic Gómez Bertomeu, Ester Picó Plana, Sara Rosich, Vanessa Blázquez, Dennis H. Céspedes Torrez, Ruth Lau and María Bodí
Biomedicines 2025, 13(12), 3112; https://doi.org/10.3390/biomedicines13123112 - 17 Dec 2025
Viewed by 135
Abstract
Patients with multiple traumas, particularly those with traumatic brain injury (TBI), are among the most challenging cases in intensive care medicine. Although early orotracheal intubation and invasive mechanical ventilation (IMV) are essential for airway protection and neurological treatment, they significantly increase the risk [...] Read more.
Patients with multiple traumas, particularly those with traumatic brain injury (TBI), are among the most challenging cases in intensive care medicine. Although early orotracheal intubation and invasive mechanical ventilation (IMV) are essential for airway protection and neurological treatment, they significantly increase the risk of lower respiratory tract infection (LRTI), including ventilator-associated pneumonia (VAP) and ventilator-associated tracheobronchitis (VAT). These complications are particularly prevalent among neurocritical patients due to the distinctive interaction between the brain, lungs and immune system. This narrative review examines the current evidence on the mechanisms underlying the brain–lung–immune axis; the diagnostic challenges in identifying respiratory infections in mechanically ventilated TBI patients; and optimal approaches to empirical or quasi-targeted antimicrobial therapy based on diagnostic algorithms and rapid molecular techniques. Severe TBI induces neurogenic inflammation, autonomic dysregulation, and immunosuppression, thereby increasing susceptibility to pulmonary infections. The ‘triple hit hypothesis’ best explains this cascade: sympathetic hyperactivity (first hit), iatrogenic ventilatory injury (second hit), and intestinal dysbiosis with systemic immune dysregulation (third hit). VAP diagnosis remains challenging due to the lack of universal criteria, the overlap with systemic inflammatory response syndrome, and the low specificity of radiological and clinical signs. VAT may represent an intermediate stage within a continuum of ventilator-associated infection. Recent evidence supports the selective use of nebulized antibiotics for VAT, advocating an individualized, locally adapted empirical approach to VAP treatment. Syndromic molecular panels can accelerate the identification of pathogens, enabling the earlier and more appropriate selection of antimicrobials and improving outcomes while preserving stewardship. Understanding the brain–lung–immune axis and improving diagnostic accuracy are essential to enhancing the treatment of respiratory infections in neurocritical care. Integrating clinical assessment, biomarkers and rapid microbiological testing enables timely, targeted therapy and reduces the misuse of antimicrobials. Full article
(This article belongs to the Collection Feature Papers in Microbiology in Human Health and Disease)
Show Figures

Figure 1

16 pages, 5174 KB  
Article
Serum Aquaporin-4 Antibody Status and TGF-β in Neuromyelitis Optica Spectrum Disorder: Impact on Astrocyte Function and Correlation with Disease Activity and Severity
by Vinicius Gabriel Coutinho-Costa, Isadora Matias, Renan Amphilophio Fernandes, Michele Siqueira, Larissa Araujo Duarte, Beatriz Martins Fernandes, Jorge Marcondes de Souza, Soniza Vieira Alves-Leon and Flávia Carvalho Alcantara Gomes
Neurol. Int. 2025, 17(12), 200; https://doi.org/10.3390/neurolint17120200 - 9 Dec 2025
Viewed by 261
Abstract
Background: Neuromyelitis optica spectrum disorder (NMOSD) involves demyelinating astrocytopathy. Most cases have autoantibodies against aquaporin-4 (AQP4 ab), but AQP4 ab-negative patients may also meet NMOSD criteria. Overlapping clinical phenotypes of CNS inflammatory demyelinating diseases (IDDs) complicate understanding NMOSD mechanisms. Objectives: Investigate molecules related [...] Read more.
Background: Neuromyelitis optica spectrum disorder (NMOSD) involves demyelinating astrocytopathy. Most cases have autoantibodies against aquaporin-4 (AQP4 ab), but AQP4 ab-negative patients may also meet NMOSD criteria. Overlapping clinical phenotypes of CNS inflammatory demyelinating diseases (IDDs) complicate understanding NMOSD mechanisms. Objectives: Investigate molecules related to neuroinflammation and astrocyte function as potential biomarkers of NMOSD and other IDDs by using clinical data and in vitro assays. Methods: Subjects (176) with different IDDs (NMOSD (37), MS (125), MOGAD (3), ADEM (3) and eight radiologic isolated syndromes (RIS)) were studied. Plasma concentrations of TGF-β and other cytokines were measured by single molecule array (SIMOA), Luminex and ELISA assays. Functional assays used in vitro cultured human astrocytes exposed to NMOSD subjects’ serum, followed by immunolabeling. Results: TGF-β levels were higher in NMOSD patients during attacks compared to inactive phases. AQP4+ groups in inactive phases had lower TGF-β levels than AQP4− groups. No significant difference was found for IL-1β, IL-8, IL-10, IL-17A and Thrombospondin plasma concentrations, with a minor difference for VEGF in the AQP4+ group. Astrocytes exposed to NMOSD AQP4+ and AQP4− subjects serum, with or without TGF-β1, showed no changes in C3, NFkB and HMGB1. However, the content of GLT-1 decreased in AQP4+ serum-treated astrocytes, reversed by TGF-β1. Conclusions: TGF-β may be a potential NMOSD activity biomarker, indicating different disease mechanisms based on AQP4 ab presence. Full article
(This article belongs to the Section Movement Disorders and Neurodegenerative Diseases)
Show Figures

Graphical abstract

16 pages, 557 KB  
Article
Biomarker-Based Responder Selection and Early Prediction of Treatment Response in Hepatocellular Carcinoma: Dynamic Changes in Alpha-Fetoprotein and Des-Gamma-Carboxy Prothrombin During Atezolizumab Plus Bevacizumab Therapy
by Teiji Kuzuya, Hisanori Muto, Yoshihiko Tachi, Mariko Kobayashi, Hijiri Sugiyama, Mizuki Ariga, Sayaka Morisaki, Gakushi Komura, Takuji Nakano, Hiroyuki Tanaka, Kazunori Nakaoka, Eizaburo Ohno, Kohei Funasaka, Mitsuo Nagasaka, Ryoji Miyahara and Yoshiki Hirooka
Cancers 2025, 17(24), 3891; https://doi.org/10.3390/cancers17243891 - 5 Dec 2025
Viewed by 333
Abstract
Background/Objectives: Immune checkpoint inhibitor (ICI)-based combinations are the standard first-line therapy for unresectable hepatocellular carcinoma (HCC). A major challenge is the early identification of patients with primary progression (1st-PD) and those who experience early progression despite initial disease control (2nd-PD). This study evaluated [...] Read more.
Background/Objectives: Immune checkpoint inhibitor (ICI)-based combinations are the standard first-line therapy for unresectable hepatocellular carcinoma (HCC). A major challenge is the early identification of patients with primary progression (1st-PD) and those who experience early progression despite initial disease control (2nd-PD). This study evaluated whether very early treatment changes in alpha-fetoprotein (AFP) and des-gamma-carboxy prothrombin (DCP) could serve as predictors of treatment response during atezolizumab plus bevacizumab (Atz + Bev) therapy. Methods: A total of 147 patients treated with Atz + Bev were retrospectively analyzed. Serum tumor markers were measured approximately every 3 weeks, and radiologic responses were assessed using the Response Evaluation Criteria in Solid Tumors version 1.1 at week 6 (first evaluation) and again at a median of 14.8 weeks (second evaluation). Results: At the first evaluation, 32 patients achieved a partial response, 81 showed stable disease, and 25 had progression. In the week 3 landmark analysis, early increases in AFP (ratio ≥ 1.4) or DCP (ratio ≥ 1.0) identified patients who would experience primary radiologic progression, with a clear separation in landmark progression-free survival (PFS) (3.4 vs. 13.1 months; p < 0.001). Among the 109 patients with disease control at week 6, 92 maintained control and 17 progressed at the second evaluation. In the week 9 landmark cohort, modest rises in AFP (ratio ≥ 1.1) or DCP (ratio ≥ 1.5) identified individuals at risk for early secondary progression, again showing marked differences in landmark PFS (3.8 vs. 14.0 months; p < 0.001). Conclusions: The dynamic monitoring of AFP and DCP provides a simple framework for biomarker-based responder selection and adaptive treatment optimization during Atz + Bev therapy. Clinically actionable thresholds at weeks 3 and 9 may support timely treatment switching and the integration of locoregional strategies, enabling personalized, biomarker-guided management to improve outcomes in unresectable HCC. Full article
Show Figures

Figure 1

12 pages, 597 KB  
Review
Anticipating Clinical Onset in Multiple Sclerosis: Challenges and Opportunities
by Viviana Nociti and Marina Romozzi
J. Pers. Med. 2025, 15(12), 598; https://doi.org/10.3390/jpm15120598 - 4 Dec 2025
Viewed by 364
Abstract
Multiple sclerosis (MS) is a chronic, immune-mediated disorder of the central nervous system, increasingly recognized as a disease continuum that begins years before the first neurological event. Genetic susceptibility, environmental exposures, and silent neuroinflammation contribute to early disease activity. Recent studies have highlighted [...] Read more.
Multiple sclerosis (MS) is a chronic, immune-mediated disorder of the central nervous system, increasingly recognized as a disease continuum that begins years before the first neurological event. Genetic susceptibility, environmental exposures, and silent neuroinflammation contribute to early disease activity. Recent studies have highlighted a preclinical phase that includes both a biological stage, characterized by elevated biomarkers such as serum neurofilament light chain up to 10 years before onset, and a prodromal phase, marked by subtle but measurable symptoms. Population-based cohorts consistently show increased healthcare use, higher prevalence of psychiatric and cognitive disturbances, fatigue, pain, and gastrointestinal disorders years before diagnosis, which may represent prodromal symptoms. Radiologically isolated syndrome (RIS), defined by incidental demyelinating lesions in asymptomatic individuals, represents the visible form of this phase and provides a unique opportunity to study the transition to clinical disease. Approximately half of RIS patients develop MS within a decade, with predictors including younger age, male sex, CSF oligoclonal bands, and spinal cord involvement. Recent randomized controlled trials demonstrated that early use of disease-modifying therapies in RIS significantly reduces conversion risk. Defining the preclinical and prodromal phases of MS offers a major opportunity to refine risk stratification, enable earlier intervention, and ultimately prevent or delay the onset of clinically definite MS. Full article
Show Figures

Figure 1

29 pages, 15316 KB  
Review
Pleural Mesothelioma Diagnosis for the Pulmonologist: Steps Along the Way
by Alberto Fantin, Nadia Castaldo, Ernesto Crisafulli, Giulia Sartori, Filippo Patrucco, Horiana B. Grosu, Paolo Vailati, Giuseppe Morana, Vincenzo Patruno, Stefano Kette, Avinash Aujayeb and Aleš Rozman
Cancers 2025, 17(23), 3866; https://doi.org/10.3390/cancers17233866 - 1 Dec 2025
Viewed by 429
Abstract
Background/Objectives: Malignant pleural mesothelioma (MPM) is a rare, aggressive tumor with a poor prognosis and complex diagnostic pathways. Pulmonologists often play a central role in its initial recognition and investigation. This narrative review synthesizes the current evidence on the diagnostic approach to [...] Read more.
Background/Objectives: Malignant pleural mesothelioma (MPM) is a rare, aggressive tumor with a poor prognosis and complex diagnostic pathways. Pulmonologists often play a central role in its initial recognition and investigation. This narrative review synthesizes the current evidence on the diagnostic approach to MPM, with emphasis on imaging, tissue sampling, histopathology, and emerging diagnostic innovations relevant to clinical pulmonology. Methods: English-language studies published between January 2005 and June 2025 were identified from PubMed and Scopus. International guidelines and consensus documents were also reviewed to provide an updated overview of diagnostic strategies. Results: Diagnosis of MPM relies on a stepwise integration of clinical, radiological, and pathological information. Thoracic ultrasound, computed tomography, positron emission computed tomography and magnetic resonance imaging complement each other across different stages of the diagnostic pathway. Image-guided pleural biopsy and medical thoracoscopy remain the gold standard for tissue confirmation, supported by immunohistochemistry and molecular testing. The 2021 World Health Organization classification of pleural tumors and the International Association Study of Lung Cancer 9th Edition Tumour-Node-Mestastatis system have refined histologic and staging criteria, thereby improving reproducibility and prognostic accuracy. Emerging tools, including liquid biopsy, novel serum and molecular biomarkers, artificial-intelligence-based radiomics, and breathomics, offer promise for earlier and less invasive diagnosis but require prospective validation. Conclusions: Current advances are redefining MPM diagnosis toward integrated, multidisciplinary, and precision-based models. Future priorities include standardizing diagnostic algorithms, validating minimally invasive biomarkers, and integrating AI and molecular profiling into clinical workflows to enhance patient stratification. Full article
(This article belongs to the Special Issue Mesothelioma: Diagnosis and Therapy)
Show Figures

Figure 1

33 pages, 822 KB  
Review
Artificial Intelligence Enabled Lung Sound Auscultation in the Early Diagnosis and Subtyping of Interstitial Lung Disease
by Avneet Kaur, Swathi Priya Cherukuri, Megha Shashidhar Handral, Hanisha Reddy Kukunoor, Rikesh KC, Swathi Godugu, Jieun Lee, Gayathri Yerrapragada, Poonguzhali Elangovan, Mohammed Naveed Shariff, Thangeswaran Natarajan, Jayarajasekaran Janarthanan, Jayavinamika Jayapradhaban Kala, Sancia Mary Jerold Wilson, Samuel Richard, Shiva Sankari Karrupiah, Dipankar Mitra, Vivek N. Iyer, Scott A. Helgeson and Shivaram P. Arunachalam
J. Clin. Med. 2025, 14(23), 8500; https://doi.org/10.3390/jcm14238500 - 30 Nov 2025
Viewed by 543
Abstract
Background: Interstitial lung disease (ILD) involves numerous chronic pulmonary conditions that damage the lung parenchyma and alveolar interstitium. ILD has overlapping clinical and radiological features with other commonly seen cardiac and respiratory conditions. If not identified and treated in a timely manner, it [...] Read more.
Background: Interstitial lung disease (ILD) involves numerous chronic pulmonary conditions that damage the lung parenchyma and alveolar interstitium. ILD has overlapping clinical and radiological features with other commonly seen cardiac and respiratory conditions. If not identified and treated in a timely manner, it may lead to irreversible fibrosis and a poor prognosis in the patient. The current diagnostic methods are either invasive or reliant on imaging or specialist interpretation, which can lead to diagnostic delay, increased radiation exposure, and healthcare costs. Lung crackles, often under-recognized as a non-specific feature of ILD, may serve as an important diagnostic clue in identifying not only the early stages of ILD but also its subtypes. This review explores the potential of analyzing the lung sounds in ILD through AI-based auscultation. Objective: To provide a comprehensive analysis of the pathophysiological stages of lung injury in ILD, the specific acoustic features, and the location associated with each ILD subtype and to evaluate the current state-of-the-art non-AI and AI methodologies that are used to diagnose ILD. This review aims to analyze the limitations associated with the current modalities and to envision AI-integrated auscultation as a powerful, cost-effective, non-invasive, radiation-free screening tool for early detection of ILD and its subtypes. Content Overview: The review begins with a detailed analysis of the lung sound pathophysiology, exploring the two-stage mechanism of alveolar epithelial injury and fibrosis formation. Existing hypotheses explaining the mechanism behind crackle production and the role of structural anatomy and surface tension in the generation of pathological lung sounds are examined. A tabulated summary of common ILD subtypes is provided, including their inciting events, pathogenesis, anatomical auscultation locations, and prognostic implications. Current diagnostic modalities for ILD, both non-AI and AI-based, are summarized along with their limitations, emphasizing the need for improved diagnostic tools. Discussion: Existing studies suggest that AI-based auscultation can match or exceed the current modalities in its sensitivity and specificity for detecting ILD-related crackles. Clinicians can identify the specific sound pattern and then correlate it with the ILD subtype and understand the prognosis in real time, thereby providing timely intervention to the patient. Additionally, AI-based auscultation can be used in resource-limited settings and can potentially reduce dependence on pulmonology expertise and radiation-based imaging for monitoring the condition. Conclusions: This literature review highlights the clinical potential of AI-based auscultation for early and accurate diagnoses of ILD. Understanding the associated pathological sounds, biomarkers, and genetic mutations linked to different subtypes opens avenues for future development of non-invasive diagnostic panels for ILD in clinical practice. Full article
(This article belongs to the Special Issue Interstitial Lung Diseases: New Treatments and Future Directions)
Show Figures

Figure 1

19 pages, 1605 KB  
Review
Toward Personalized Response Monitoring in Melanoma Patients Treated with Immunotherapy and Target Therapy
by Federico Venturi, Elisabetta Magnaterra, Alberto Gualandi, Biagio Scotti, Carlotta Baraldi, Aurora Maria Alessandrini, Leonardo Veneziano, Elena Maria Cama, Barbara Melotti, Paola Valeria Marchese, Daniela Tassone, Simone Ribero, Marco Ardigò and Emi Dika
Diagnostics 2025, 15(23), 3054; https://doi.org/10.3390/diagnostics15233054 - 29 Nov 2025
Viewed by 459
Abstract
Background/Objectives: Immunotherapy and targeted therapy have revolutionized the treatment of advanced cutaneous melanoma. However, predicting individual response and managing resistance remain major challenges. This narrative review aims to evaluate the prognostic and predictive value of treatment-related adverse events (TRAEs) and circulating biomarkers—including lactate [...] Read more.
Background/Objectives: Immunotherapy and targeted therapy have revolutionized the treatment of advanced cutaneous melanoma. However, predicting individual response and managing resistance remain major challenges. This narrative review aims to evaluate the prognostic and predictive value of treatment-related adverse events (TRAEs) and circulating biomarkers—including lactate dehydrogenase (LDH), circulating tumor DNA (ctDNA), and microRNAs (miRNAs)—in anticipating therapeutic outcomes and personalizing treatment strategies. Methods: A comprehensive literature search was conducted across PubMed, Scopus, and Web of Science for studies published between January 2010 and September 2025. Eligible studies included clinical trials, observational cohorts, and translational research evaluating biomarkers or toxicity profiles in melanoma patients receiving immune checkpoint inhibitors or BRAF/MEK inhibitors. Emphasis was placed on dynamic indicators of treatment efficacy and integrative modeling approaches. Results: Evidence indicates that the emergence of low-to-moderate grade TRAEs—especially immune-related events like vitiligo, thyroiditis, and rash—is positively associated with response to immunotherapy. Similarly, pyrexia and dermatologic toxicities may correlate with outcomes under BRAF/MEK inhibition. ctDNA clearance within 6–12 weeks of therapy strongly predicts durable response and precedes radiologic changes. Specific miRNAs (e.g., miR-21-5p, miR-146a-5p) demonstrate dynamic modulation during treatment and may signal response or resistance. Interferon-driven gene expression profiles further stratify tumors into “hot” or “cold” immune phenotypes, refining predictive accuracy. Conclusions: Integrative models combining TRAEs, ctDNA, miRNA signatures, and interferon-related gene expression offer a multi-dimensional framework for early, individualized response monitoring. Prospective validation, harmonization of assays, and incorporation into adaptive clinical workflows are key to translating these insights into personalized melanoma care. Full article
Show Figures

Figure 1

7 pages, 376 KB  
Brief Report
Sputum Microbiome Based on the Etiology and Severity of Nontuberculous Mycobacterial Pulmonary Disease
by Junsu Choe, Su-Young Kim, Dae Hun Kim and Byung Woo Jhun
J. Clin. Med. 2025, 14(23), 8482; https://doi.org/10.3390/jcm14238482 - 29 Nov 2025
Viewed by 206
Abstract
Background: Nontuberculous mycobacterial pulmonary disease (NTM-PD) is a chronic respiratory infection primarily caused by Mycobacterium avium complex (MAC) and Mycobacterium abscessus. These species differ markedly in antibiotic susceptibility and treatment response, yet the contribution of the respiratory microbiome to this clinical [...] Read more.
Background: Nontuberculous mycobacterial pulmonary disease (NTM-PD) is a chronic respiratory infection primarily caused by Mycobacterium avium complex (MAC) and Mycobacterium abscessus. These species differ markedly in antibiotic susceptibility and treatment response, yet the contribution of the respiratory microbiome to this clinical variability remains unclear. To date, however, comparative analyses of microbiome differences between MAC-PD and M. abscessus-PD and their associations with disease severity are limited. Methods: We conducted microbiome analysis of sputum from 37 patients with NTM-PD. Patients were antibiotic-naïve and classified into MAC-PD (n = 29) and M. abscessus-PD (n = 8) groups. Disease severity was determined using radiologic extent on chest computed tomography. Bacterial communities were profiled by 16S rRNA gene sequencing, and differential taxa and predicted functional pathways were analyzed using LEfSe and KEGG orthology databases. Results: Distinct microbiome profiles were observed between MAC-PD and M. abscessus-PD. Three anaerobic species—Porphyromonas pasteri, Fusobacterium periodonticum, and Prevotella nanceiensis—were significantly enriched in M. abscessus-PD (LDA effect size > 3, p < 0.05). Functional biomarker analysis revealed significant enrichment of the cobalamin (vitamin B12) biosynthesis pathway in patients with severe disease, while the C19/C18 steroid hormone biosynthesis pathway was enriched in those with mild disease (p < 0.05). Conclusions: In conclusion, our study demonstrates distinct differences in the respiratory microbiome between MAC-PD and M. abscessus-PD and identifies specific functional pathways associated with disease severity in NTM-PD. These findings highlight the potential value of microbial metabolic signatures as biomarkers for disease assessment. Full article
(This article belongs to the Section Respiratory Medicine)
Show Figures

Figure 1

16 pages, 1265 KB  
Article
CaNO and eCO Might Be Potential Non-Invasive Biomarkers for Disease Severity and Exacerbations in Interstitial Lung Disease
by Yuling Zhang, Faping Wang, Min Zhu, Yali Zhang, Linrui Xu, Liangyuan Li, Ping Li, Qibing Xie, Xiaoyan Lv, Jianqun Yu, Yuben Moodley, Huajing Wan, Hui Mao and Fengming Luo
J. Clin. Med. 2025, 14(23), 8469; https://doi.org/10.3390/jcm14238469 - 28 Nov 2025
Viewed by 363
Abstract
Background: Interstitial lung diseases (ILDs) often progress quickly and are associated with a poor prognosis. New noninvasive biomarkers to assist in the classification and prognostication of ILD are needed. Exhaled nitric oxide (FeNO), Cavity nitric oxide (CaNO), and carbon monoxide (eCO) are biomarkers [...] Read more.
Background: Interstitial lung diseases (ILDs) often progress quickly and are associated with a poor prognosis. New noninvasive biomarkers to assist in the classification and prognostication of ILD are needed. Exhaled nitric oxide (FeNO), Cavity nitric oxide (CaNO), and carbon monoxide (eCO) are biomarkers of airway inflammation, widely used in respiratory inflammatory diseases such as asthma and chronic obstructive pulmonary disease (COPD). However, their value in ILD remains unclear. Objective: To evaluate the potential diagnostic and prognostic value of FeNO, CaNO, and eCO in ILD, and explore their integration into clinical practice. Methods: A total of 237 patients were recruited for the study, including 14 with idiopathic pulmonary fibrosis (IPF), 46 with interstitial pneumonia with autoimmune features (IPAF), 19 with mixed connective tissue disease–associated ILD (MCTD-ILD), 65 with polymyositis/dermatomyositis-associated ILD (PM/DM-ILD), 17 with rheumatoid arthritis-associated ILD (RA-ILD), 7 with systemic lupus erythematosus-associated ILD (SLE-ILD), 19 with Sjögren’s syndrome-associated ILD (SS-ILD), and 50 with systemic sclerosis-associated ILD (SSc-ILD). Multiple-flow FeNO and eCO analyses were performed in this population. The associations of these biomarkers with pulmonary function, acute exacerbations, and radiologic fibrosis classification were evaluated. Results: Patients with IPF exhibited significantly higher levels of FeNO at 50 mL/s (FeNO50) compared to those with connective tissue disease-associated ILD (CTD-ILD) and IPAF. Both CaNO and eCO were negatively correlated with pulmonary function parameters, particularly forced vital capacity (FVC) and diffusing capacity of the lung for carbon monoxide (DLCO). Receiver operating characteristic (ROC) curve analysis indicated that CaNO is a reliable biomarker for acute exacerbation, with an area under the ROC curve (AUC) of 0.8887, and a cutoff value of 6.35. Additionally, CaNO > 6.35 was associated with a relative risk (RR) of 12.87 for acute exacerbation (AE) compared to CaNO ≤ 6.35. Moreover, both CaNO and eCO levels were significantly higher in the fibrotic ILD group compared to the non-fibrotic group, with ROC analysis indicating AUCs of 0.7173 for CaNO and 0.6875 for eCO. Conclusions: FeNO, CaNO, and eCO can provide strong support for the early diagnosis and monitoring of ILD, especially with CaNO playing a crucial role in predicting acute exacerbations. Integrating these biomarkers into clinical practice can help doctors more accurately assess the progression of ILD and develop personalized treatment plans, ultimately improving the prognosis of ILD patients. Future research is needed to validate the effectiveness of these biomarkers in clinical management, facilitating their integration as standard tools for clinical monitoring. Full article
(This article belongs to the Section Respiratory Medicine)
Show Figures

Figure 1

16 pages, 1968 KB  
Communication
Secure Ileal Pouch–Anal Anastomosis for Histologic Indeterminate Colitis
by Amosy E. M’Koma
J. Clin. Med. 2025, 14(23), 8390; https://doi.org/10.3390/jcm14238390 - 26 Nov 2025
Viewed by 491
Abstract
Background/Objectives: Indeterminate colitis (IC) is an erroneous diagnosis for predominantly colonic inflammatory bowel disease (IBD) when there is a non-definitive foundation of the benchmark for ulcerative colitis (UC) and Crohn’s colitis (CC) after a combined state-of-the-art classification system of clinical, endoscopic, radiologic, and [...] Read more.
Background/Objectives: Indeterminate colitis (IC) is an erroneous diagnosis for predominantly colonic inflammatory bowel disease (IBD) when there is a non-definitive foundation of the benchmark for ulcerative colitis (UC) and Crohn’s colitis (CC) after a combined state-of-the-art classification system of clinical, endoscopic, radiologic, and histologic tools are used. This confounds an effective surgical regimen; specifically pouch surgery, “the restorative proctocolectomy with ileal pouch–anal anastomosis (PRC-IPAA)”. Transforming the distinction between UC and CC in otherwise IC into authentic UC and CC requires priority attention when considering a patient’s candidacy for RPC-IPAA. RPC-IPAA is the accepted standard curative surgical procedure in the treatment for UC (and Familial Adenomatous Polyposis (FAP)). Further, inapproximate/incorrect diagnosis and treatment can sustain potential long-term morbidity from inaccurate and unnecessary surgery and cost. Methods: In trying to resolve these diagnostic ambiguities, the current study advances our understanding by showing the expression of human alpha defensin 5 (DEFA5 alias HD5) restricted in the colon crypt mucosal lining areas, and by identifying the cells of the small intestine (ileum) “colonic ileal metaplasia” in CC that may serve as a biomarker to portray/ascertain authentic CC and UC among IC cohorts, with a positive predictive value (PPV) of 96 percent. Results: Hence, the imprecise diagnosis of IC largely would be circumvented. This new diagnostic tool offers instant tangible benefits over existing diagnostic pathways. The journey toward its widespread clinical use is now subject to logistical and regulatory defiance, which all emerging molecular diagnostic technologies inevitably encounter. Conclusions: The aim of this communication is to provide a summary of the currently available diagnostic advances relating to surgical management for IC in clinical settings, and the related challenges. Further, I briefly discuss aspects of its pathophysiology, surveillance, and diagnostic assay development. Full article
(This article belongs to the Special Issue Minimally Invasive Surgery for Gastrointestinal Disorder)
Show Figures

Figure 1

14 pages, 675 KB  
Article
Assessing Peripheral Blood Biomarkers and Predictive Patterns in Multiple Sclerosis Using Cytokines and Immune Gene Expression Profiles in Ocrelizumab-Treated Patients: Tracking Tumor Necrosis Factor
by Bojan Jevtić, Nikola Momcilovic, Goran Stegnjaić, Milica Lazarević, Suzana Stanisavljević, Olivera Tamas, Nikola Veselinovic, Maja Budimkic, Sarlota Mesaros, Đorđe Miljković, Tatjana Pekmezovic, Jelena Drulovic and Neda Nikolovski
Int. J. Mol. Sci. 2025, 26(23), 11295; https://doi.org/10.3390/ijms262311295 - 22 Nov 2025
Viewed by 389
Abstract
Ocrelizumab, a humanized monoclonal anti-CD20 and B cell-depleting antibody, is a disease-modifying therapy for multiple sclerosis (MS), a chronic inflammatory, demyelinating, and neurodegenerative disease of the central nervous system. However, reliable predictive biomarkers of ocrelizumab’s effectiveness, such as cytokine expression profiles in peripheral [...] Read more.
Ocrelizumab, a humanized monoclonal anti-CD20 and B cell-depleting antibody, is a disease-modifying therapy for multiple sclerosis (MS), a chronic inflammatory, demyelinating, and neurodegenerative disease of the central nervous system. However, reliable predictive biomarkers of ocrelizumab’s effectiveness, such as cytokine expression profiles in peripheral blood mononuclear cells (PBMCs), are lacking. The aim of this study was to identify immunological biomarkers of ocrelizumab treatment response in MS patients, during a two-year follow-up. mRNA expression for specific immune molecules in PBMCs was measured, and consequently correlated with the clinical and radiological parameters of disease activity. PBMCs were obtained from 80 MS patients (35 with relapsing–remitting MS-RRMS and 45 with primary progressive-PPMS), immediately before initiating ocrelizumab treatment and thereafter every 6 months (before the administration of the next dose of ocrelizumab). Expression of the B cell marker CD19; the pro-inflammatory cytokines interleukin (IL)1B, IL6, and tumor necrosis factor (TNF); and a costimulatory cell marker CD86 were determined. In both RMS and PPMS patients treated with ocrelizumab, higher baseline expression of TNF was statistically significantly associated with an increased risk of developing evidence of disease activity and a greater likelihood of disability progression, at month 24. This result implies that PBMCs’ TNF mRNA expression might be potentially considered as a prognostic biomarker of ocrelizumab effectiveness in MS patients. However, further studies comprising large cohorts and additional immunological parameters are warranted. Full article
Show Figures

Graphical abstract

15 pages, 7346 KB  
Article
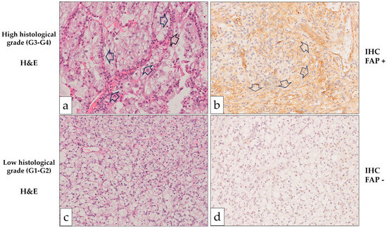
Fibroblast Activation Protein Alpha (FAP) Expression Is Associated with Disease Recurrence and Poor Response to Tyrosine Kinase Inhibitors in Advanced Clear Cell Renal Cell Carcinoma
by María Riaza Montes, Beatriz Suárez, Jon Danel Solano-Iturri, David Lecumberri, Ane Miren Iturregui, Charles H. Lawrie, María Armesto, Caroline E. Nunes-Xavier, Rafael Pulido, José I. López, Javier C. Angulo and Gorka Larrinaga
Int. J. Mol. Sci. 2025, 26(22), 11112; https://doi.org/10.3390/ijms262211112 - 17 Nov 2025
Viewed by 617
Abstract
Despite advances in the management of advanced clear cell renal cell carcinoma (ccRCC), robust biomarkers for prognosis and therapeutic response prediction remain elusive. Fibroblast activation protein-α (FAP), a marker of activated cancer-associated fibroblasts (CAFs), has emerged as a potential indicator of tumor aggressiveness [...] Read more.
Despite advances in the management of advanced clear cell renal cell carcinoma (ccRCC), robust biomarkers for prognosis and therapeutic response prediction remain elusive. Fibroblast activation protein-α (FAP), a marker of activated cancer-associated fibroblasts (CAFs), has emerged as a potential indicator of tumor aggressiveness and resistance to systemic therapies in various solid tumors. This study evaluated the clinical relevance of stromal FAP expression in a cohort of 137 patients with advanced ccRCC and long-term follow-up. FAP immunohistochemistry (IHC) was performed on primary tumor specimens and correlated with key clinicopathological features, disease-free survival (DFS), overall survival (OS), and radiological response to first-line tyrosine kinase inhibitors (TKIs). A significantly higher percentage of FAP-positive CAFs was observed in primary tumors with high histological grade, extensive local invasion (pT3–4), and advanced clinical stage (NCCN stage III–IV). Stromal FAP expression was associated with shorter DFS and OS. Moreover, tumors lacking FAP expression were more likely to achieve complete response to TKI therapy as defined by RECIST criteria. These findings highlight the potential of FAP IHC as a prognostic and predictive tool in advanced ccRCC and support further clinical validation. Full article
(This article belongs to the Special Issue Editorial Board Members’ Collection Series: Cancer Metastasis)
Show Figures

Figure 1

15 pages, 6444 KB  
Review
Radiomics in Soft Tissue Sarcoma: Toward Precision Imaging in Oncology
by Anuj Shah, Francesco Alessandrino, Emanuela Palmerini, Domenika Ortiz Requena, Brooke Crawford and Ty K. Subhawong
Cancers 2025, 17(22), 3661; https://doi.org/10.3390/cancers17223661 - 14 Nov 2025
Viewed by 794
Abstract
Radiomics entails a data-driven approach to imaging with a wide array of potential uses in characterizing soft tissue sarcomas, enabling extraction of quantitative features from routine clinical CT and MRI examinations. These features—encompassing descriptors of size, shape, and internal heterogeneity—can improve diagnostic accuracy, [...] Read more.
Radiomics entails a data-driven approach to imaging with a wide array of potential uses in characterizing soft tissue sarcomas, enabling extraction of quantitative features from routine clinical CT and MRI examinations. These features—encompassing descriptors of size, shape, and internal heterogeneity—can improve diagnostic accuracy, tumor grading, and treatment response assessment. Radiomics has shown promise in distinguishing benign from malignant lesions, subtyping sarcomas, and predicting metastatic potential. In particular, models integrating radiomic data with clinical variables have demonstrated performance comparable to expert radiologists in challenging diagnostic scenarios. Machine learning enhances radiomics by automating feature selection and improving predictive modeling. Despite its potential, challenges remain in standardizing imaging protocols, ensuring reproducibility, and integrating radiomics into clinical workflows. Multi-institutional collaboration is essential for broader model validation and clinical integration. By leveraging specific radiomics features as novel quantitative imaging biomarkers, radiomics can drive precision oncology in sarcoma, supporting tailored therapies and improving prognostic accuracy. Full article
Show Figures

Figure 1

17 pages, 912 KB  
Review
Sarcopenia in Interventional Radiology: An Opportunistic Imaging Biomarker for Patient Outcomes and Procedural Planning
by Hyeon Yu
Muscles 2025, 4(4), 55; https://doi.org/10.3390/muscles4040055 - 13 Nov 2025
Viewed by 549
Abstract
Sarcopenia, the loss of skeletal muscle mass and function, is a common and critical comorbidity in patients with conditions frequently managed by interventional radiologists, such as liver cirrhosis and hepatocellular carcinoma (HCC). Interventional radiologists are well positioned to incorporate opportunistic screening for this [...] Read more.
Sarcopenia, the loss of skeletal muscle mass and function, is a common and critical comorbidity in patients with conditions frequently managed by interventional radiologists, such as liver cirrhosis and hepatocellular carcinoma (HCC). Interventional radiologists are well positioned to incorporate opportunistic screening for this condition during routine preprocedural cross-sectional imaging. This review summarizes the current evidence on how sarcopenia influences patient outcomes and informs procedural planning across a spectrum of interventional radiology (IR) procedures. In transarterial embolizations for HCC, sarcopenia is a robust independent predictor of increased mortality, with meta-analyses suggesting it may also predict a lower tumor response rate. Even earlier stages of muscle loss (pre-sarcopenia) are associated with worse survival, and dynamic changes in muscle mass post-treatment can serve as a biomarker for tumor progression. For patients undergoing transjugular intrahepatic portosystemic shunt, pre-procedural sarcopenia and myosteatosis are strong, independent predictors of both mortality and the development of post-procedural hepatic encephalopathy, with the presence of both conferring the highest risk. In the context of pre-surgical portal vein embolization, sarcopenia is consistently associated with impaired volumetric liver growth, although this does not always translate to worse short-term surgical outcomes, as functional liver regeneration may be preserved. Following percutaneous liver tumor ablation, sarcopenia is a powerful predictor of overall mortality, while its role in predicting tumor recurrence remains an area of active investigation. Finally, in non-oncologic interventions for peripheral arterial disease, sarcopenia is highly prevalent and is associated with worse functional status, higher mortality, and a significantly increased risk of major amputation after endovascular therapy. In conclusion, sarcopenia is a powerful and readily available biomarker that provides crucial prognostic information—often independent of standard clinical scores—across a wide spectrum of IR procedures. The consistent evidence supports integrating sarcopenia evaluation into routine practice to enhance risk stratification, improve patient counseling, and guide multidisciplinary treatment planning. Full article
Show Figures

Figure 1

Back to TopTop