Sign in to use this feature.

Years

Between: -

Subjects

remove_circle_outline
remove_circle_outline
remove_circle_outline
remove_circle_outline
remove_circle_outline
remove_circle_outline
remove_circle_outline
remove_circle_outline
remove_circle_outline

Journals

Article Types

Countries / Regions

Search Results (193)

Search Parameters:
Keywords = posterior fossa

Order results
Result details
Results per page
Select all
Export citation of selected articles as:
20 pages, 8712 KB  
Article
The Bilzingsleben E7 Mandible in a Comparative Framework: Implications for European Middle Pleistocene Human Evolution
by Antonio Rosas, Antonio García-Tabernero, José Antonio Alarcón, Juan Francisco Pastor, Tomás Torres-Medina and Tim Schüler
Quaternary 2026, 9(2), 33; https://doi.org/10.3390/quat9020033 - 17 Apr 2026
Viewed by 214
Abstract
The European Middle Pleistocene represents a critical spatiotemporal interval in human evolution, marked by increasing morphological variability and ongoing debate regarding the evolutionary processes leading to the emergence of Neandertals. In particular, it remains unclear whether this variability reflects the coexistence of multiple [...] Read more.
The European Middle Pleistocene represents a critical spatiotemporal interval in human evolution, marked by increasing morphological variability and ongoing debate regarding the evolutionary processes leading to the emergence of Neandertals. In particular, it remains unclear whether this variability reflects the coexistence of multiple evolutionary lineages within Europe or structured variation within a single, evolving lineage. Within this context, the site of Bilzingsleben (Thuringia, Germany) provides a key contribution to discussions of European Middle Pleistocene population structure. This study presents a detailed morphological assessment of the Bilzingsleben E7 mandibular fragment, integrating qualitative anatomical observations with quantitative analyses of discrete characters. The Bilzingsleben mandible was examined directly and evaluated within a broad comparative framework including European Middle Pleistocene hominins, Neandertals, and selected African and Asian specimens. Multivariate analyses, including Principal Coordinates Analysis (PCoA) and neighbor-joining cluster analysis based on Gower distances, were used to explore patterns of morphological affinity. Qualitative analysis indicates that the Bilzingsleben mandible exhibits a mosaic combination of predominantly primitive features—such as multiple mental foramina, marked lateral relief of the corpus, and a weakly developed submandibular fossa—together with a limited number of incipiently derived traits, including posterior extension of the corpus and a downward orientation of the digastric fossae. Quantitative results consistently place Bilzingsleben within the morphological variability of European Middle Pleistocene hominins but outside the compact Neandertal cluster. In the PCoA, Bilzingsleben occupies an intermediate (PCo1) and peripheral position (PCo2), contrasting with more centrally positioned specimens such as Mauer. Taken together, these results support an interpretation of Bilzingsleben as part of a European Middle Pleistocene set of populations exhibiting mosaic morphology, rather than considering Bilzingsleben as evidence for a distinct evolutionary lineage. When integrated with evidence from other anatomical elements from Bilzingsleben, the mandibular morphology supports interpreting this population within the broader evolutionary context of the Neandertal lineage. Full article
Show Figures

Figure 1

23 pages, 4990 KB  
Case Report
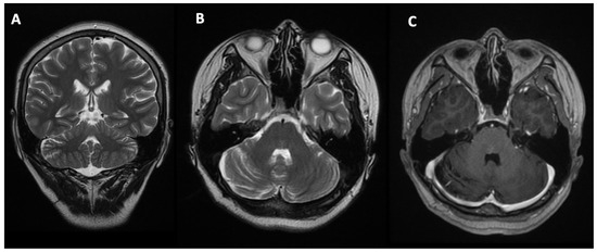
Accessory Nerve Schwannomas Presenting with Hypoglossal Nerve Palsy: A Narrative Review with an Illustrative Case
by Gen Futamura, Ryokichi Yagi, Masao Fukumura, Moeko Tani, Hideki Kashiwagi, Yuichiro Tsuji, Ryo Hiramatu, Masahiro Kameda, Naosuke Nonoguchi, Motomasa Furuse, Shinji Kawabata, Toshihiro Takami and Masahiko Wanibuchi
Life 2026, 16(4), 655; https://doi.org/10.3390/life16040655 - 13 Apr 2026
Viewed by 389
Abstract
Background: Intracranial accessory nerve schwannomas involving the jugular foramen are rare tumors with heterogeneous clinical presentations. Although lower cranial nerve dysfunction is common, hypoglossal nerve palsy is uncommon and may obscure identification of the nerve of origin. Methods: A narrative review of [...] Read more.
Background: Intracranial accessory nerve schwannomas involving the jugular foramen are rare tumors with heterogeneous clinical presentations. Although lower cranial nerve dysfunction is common, hypoglossal nerve palsy is uncommon and may obscure identification of the nerve of origin. Methods: A narrative review of the literature was conducted to identify reported cases from 1961 to December 2025. Clinical manifestations were categorized as initial and preoperative symptoms, and their temporal evolution was analyzed according to tumor location. Imaging findings, surgical management, and neurological outcomes were reviewed. An illustrative case with hypoglossal nerve palsy was included. Results: A total of 58 cases, including the present case, were identified. According to the Julow classification, 38 tumors were intracisternal and 20 were intrajugular. Intracisternal tumors predominantly caused posterior fossa compression symptoms, whereas intrajugular tumors more frequently showed lower cranial nerve dysfunction. Hypoglossal nerve palsy was observed in seven cases, including three as the initial symptom, and occurred mainly in intrajugular tumors. Imaging commonly demonstrated jugular foramen enlargement and, in selected cases, continuity with enlargement of the extracranial hypoglossal canal. Surgical treatment was associated with improvement or stabilization of hypoglossal nerve function in all reported cases. Conclusions: Accessory nerve schwannomas may occasionally present with hypoglossal nerve palsy, most likely due to secondary compression. Careful assessment of symptom progression and skull base imaging may improve preoperative diagnosis and surgical planning. Full article
(This article belongs to the Special Issue Cranial Base Tumors: Pathogenesis, Diagnosis, and Treatments)
Show Figures

Figure 1

12 pages, 1526 KB  
Article
Added Value of Thin-Section Coronal DWI for Lesion Visualization in Acute Brainstem Infarction: A Retrospective Analysis
by Alberto Negro, Mario Tortora, Ivano Palladino, Laura Gemini, Ciro Riccio, Francesco Pacchiano, Laura Lombardi, Raffaele Iaccarino, Stefano Bianco, Gianvito Pace, Simone Cepparulo, Arturo De Falco, Fabio Tortora, Giuseppe Buono and Vincenzo D’Agostino
Medicina 2026, 62(4), 635; https://doi.org/10.3390/medicina62040635 - 26 Mar 2026
Viewed by 331
Abstract
Background and Objectives: Brainstem infarctions remain challenging to identify due to their small size, complex anatomy, and known limitations of conventional axial diffusion-weighted imaging (DWI), particularly in the posterior fossa. Thin-section coronal DWI may improve lesion conspicuity by providing higher spatial resolution and [...] Read more.
Background and Objectives: Brainstem infarctions remain challenging to identify due to their small size, complex anatomy, and known limitations of conventional axial diffusion-weighted imaging (DWI), particularly in the posterior fossa. Thin-section coronal DWI may improve lesion conspicuity by providing higher spatial resolution and an orthogonal imaging perspective. To evaluate whether 3 mm thin-section coronal DWI improves lesion visualization and delineation compared with standard 4 mm axial DWI in patients with MRI-confirmed acute brainstem infarction. Materials and Methods: In this retrospective single-center study, 125 consecutive patients with isolated brainstem infarction confirmed by MRI (January 2021–January 2024) were included. All patients underwent both axial and coronal DWI acquisitions. Lesions were classified by anatomical location and by the imaging plane providing better visualization (“coronal better” vs. “equal”). Lesion volumes were calculated using manual segmentation. Image interpretation was performed independently by two neuroradiologists. Interobserver agreement was assessed using Cohen’s kappa and intraclass correlation coefficient (ICC). Statistical analysis included both parametric and nonparametric tests, with confidence intervals reported. Results: Coronal DWI provided improved or equivalent lesion visualization in all cases. Improved visualization was most frequent in midbrain infarctions (100%) and in a subset of medullary lesions (26.7%). Lesions better visualized on coronal DWI were significantly smaller than those equally visualized (mean volume ~0.23 mL vs. ~0.55 mL, p < 0.0001). Twelve midbrain and eight medullary lesions were identified only on coronal DWI within the imaging protocol, all showing confirmation on ADC and/or FLAIR correlation. Interobserver agreement was substantial to excellent. Conclusions: Thin-section coronal DWI improves visualization and delineation of small brainstem infarctions, particularly in anatomically compact regions. These findings support its role as a complementary sequence rather than a replacement for standard axial imaging. Full article
(This article belongs to the Special Issue Diagnostic Imaging: Recent Advancements and Future Developments)
Show Figures

Figure 1

9 pages, 508 KB  
Article
Anatomical Investigation of the Transverse Dural Venous Sinuses
by Jacobus J. Gates, Kirsten S. Regan, Lané Prigge and Gerda Venter
Anatomia 2026, 5(1), 8; https://doi.org/10.3390/anatomia5010008 - 23 Mar 2026
Viewed by 302
Abstract
Background and objectives: Accurate anatomical knowledge of the transverse dural venous sinuses (TS) is essential for safe neurosurgical procedures, particularly in resource-limited settings where advanced imaging modalities may be unavailable. Despite the TS’s clinical importance, detailed cadaveric studies focusing solely on its morphology [...] Read more.
Background and objectives: Accurate anatomical knowledge of the transverse dural venous sinuses (TS) is essential for safe neurosurgical procedures, particularly in resource-limited settings where advanced imaging modalities may be unavailable. Despite the TS’s clinical importance, detailed cadaveric studies focusing solely on its morphology are scarce. This study investigated the length, width, and shape of the TS in adult human cadavers, assessing anatomical dominance and morphological variations relevant to surgical planning. Methods: A descriptive, cross-sectional study was conducted on 32 formalin-fixed adult cadavers (20 male, 12 female) at the University of Pretoria in South Africa. The TS was examined bilaterally within the dura mater and the corresponding transverse sulcus. Lengths were measured using a string and a ruler to accommodate curvature, while widths at the origin, midpoint, and termination were measured using digital calipers. Statistical analyses included Shapiro–Wilk tests, paired t-tests, and intra-class correlation to determine significance and reliability. Results: The average TS length was 72.54 mm (left) and 70.23 mm (right), with no statistically significant differences between sides. Right-sided dominance in TS width was observed in 71.88% of cases. A significant narrowing at the midpoint, followed by widening at the termination, was consistently noted, especially in males. Differences between dural and bony groove widths suggested that sulcal impressions may not accurately reflect TS dimensions. Conclusions: The TS demonstrates significant morphological variability, including asymmetry and abrupt dimensional changes. These findings underscore the importance of direct anatomical reference for surgical navigation, particularly in low-resource settings lacking advanced imaging. Full article
Show Figures

Figure 1

14 pages, 10314 KB  
Interesting Images
Insights into Accelerated MRI Protocols for Pediatric Brain Assessment in Emergency Cases
by Josef Gabriel Kendel, Benjamin Bender, Georg Gohla, Andrea Bevot, Till-Karsten Hauser, Ulrike Ernemann and Christer Ruff
Diagnostics 2026, 16(5), 681; https://doi.org/10.3390/diagnostics16050681 - 26 Feb 2026
Cited by 1 | Viewed by 595
Abstract
Two accelerated magnetic resonance imaging (MRI) protocols for pediatric brain imaging, GOBrain and Deep Resolve Swift Brain, developed by Siemens Healthineers (Erlangen, Germany), were evaluated in a series of clinically relevant pediatric cases at 3 Tesla. Pediatric patients are particularly prone to motion, [...] Read more.
Two accelerated magnetic resonance imaging (MRI) protocols for pediatric brain imaging, GOBrain and Deep Resolve Swift Brain, developed by Siemens Healthineers (Erlangen, Germany), were evaluated in a series of clinically relevant pediatric cases at 3 Tesla. Pediatric patients are particularly prone to motion, may be uncooperative, and often require sedation, especially in emergency settings. Consequently, there is a persistent clinical demand for fast brain MRI protocols that provide diagnostically sufficient image quality while minimizing examination time. Contemporary turbo spin-echo (TSE)-based clinical protocols commonly integrate parallel imaging (PI) and simultaneous multi-slice (SMS) techniques to achieve substantial reductions in scan time. Recent advances in three-dimensional volumetric encoding, compressed sensing, and deep learning (DL)-based reconstruction have further mitigated geometry-factor-related noise amplification, enabling higher acceleration factors (GOBrain). In parallel, echo-planar imaging (EPI) has emerged as a promising approach for ultrafast multi-contrast imaging. To overcome the limitations of single-shot EPI, a multi-shot EPI-based brain MRI protocol combined with the DL-based reconstruction method Deep Resolve Swift Brain has been developed. This approach leverages the efficiency of EPI while improving image quality. Using these accelerated protocols, a comprehensive diagnostic multi-contrast brain MRI examination, particularly suited to triage and emergency imaging, can be completed in minutes. This case overview, including therapy-related leukencephalopathy in acute lymphoblastic leukemia (ALL), a brain abscess, traumatic diffuse axonal injury (DAI), a posterior circulation infarction due to vertebral artery dissection, leuokostasis syndrome, and a posterior fossa tumor with obstructive hydrocephalus, demonstrates the potential clinical feasibility of both protocols in pediatric neuroimaging. Both protocols position them as supplementary options alongside established imaging protocols, while dedicated high-resolution protocols might remain necessary for subtle pathological findings, such as focal cortical dysplasia, and for neuronavigation until larger comparative studies are available. Full article
(This article belongs to the Collection Interesting Images)
Show Figures

Figure 1

13 pages, 3103 KB  
Case Report
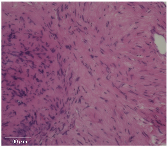
Pilocytic Astrocytoma Causing Brainstem Compression in Pregnancy: Case Report with Literature Review
by Muratbek A. Tleubergenov, Daniyar K. Zhamoldin, Nurzhan A. Ryskeldiyev, Aigul D. Tolepbergenova, Aisa Z. Nurpeisov, Zhanat T. Takenov and S. Akshulakov
Neurol. Int. 2026, 18(3), 43; https://doi.org/10.3390/neurolint18030043 - 25 Feb 2026
Viewed by 552
Abstract
Background: Primary central nervous system tumours in pregnancy are exceptionally rare, with posterior fossa lesions presenting particular diagnostic and management challenges due to their confined anatomical location and proximity to critical neurovascular structures. Pilocytic astrocytoma (PA), typically a paediatric tumour, is uncommon in [...] Read more.
Background: Primary central nervous system tumours in pregnancy are exceptionally rare, with posterior fossa lesions presenting particular diagnostic and management challenges due to their confined anatomical location and proximity to critical neurovascular structures. Pilocytic astrocytoma (PA), typically a paediatric tumour, is uncommon in adults and exceedingly rare in pregnant patients. The physiological changes in pregnancy can obscure tumour-related symptoms, contributing to diagnostic delay and increased maternal–fetal risk. Methods: We report the case of a 24-year-old pregnant woman at 23 weeks and 5 days’ gestation who presented with progressive neurological deterioration secondary to a cystic mass in the right cerebellar hemisphere. MRI revealed significant brainstem compression and triventricular hydrocephalus. Results: A multidisciplinary team performed an urgent retrosigmoid craniotomy with gross total tumour resection under general anaesthesia and continuous intraoperative fetal monitoring. Histopathology confirmed PA (CNS WHO Grade I). Postoperative recovery was uneventful, and both maternal and fetal outcomes were favourable. Conclusions: This case highlights the importance of early neuroimaging, multidisciplinary coordination, and timely surgical intervention in managing posterior fossa tumours during pregnancy. Although PAs are considered low-grade gliomas, their behaviour in pregnancy can be unpredictable. With careful perioperative planning, neurosurgical treatment can be safely undertaken during gestation, offering optimal outcomes for both mother and fetus. Full article
Show Figures

Figure 1

15 pages, 7813 KB  
Technical Note
Technical Note of the Endonasal Endoscopic Transethmoidal Transcribriform Approach (EETTA) to the Anterior Cranial Fossa: An Update of the Surgical Technique, Indications, and Limitations
by Edgar G. Ordóñez-Rubiano, Antonia Cadavid-Cobo, Alejandra Ramírez-Romero, Ana S. Rincón-Díaz, Luisa F. Figueredo, Martín Pinzón, Oscar F. Zorro, Javier G. Patiño-Gómez, Diego F. Gómez-Amarillo and Fernando Hakim
Surg. Tech. Dev. 2026, 15(1), 9; https://doi.org/10.3390/std15010009 - 24 Feb 2026
Viewed by 694
Abstract
Background: In the last few decades, endoscopic endonasal approaches (EEA) have revolutionized surgical access to the sellar region and anterior cranial fossa (ACF). One technique, the endoscopic endonasal transethmoidal transcribriform approach (EETTA), offers distinct advantages over traditional open transcranial approaches, such as reduced [...] Read more.
Background: In the last few decades, endoscopic endonasal approaches (EEA) have revolutionized surgical access to the sellar region and anterior cranial fossa (ACF). One technique, the endoscopic endonasal transethmoidal transcribriform approach (EETTA), offers distinct advantages over traditional open transcranial approaches, such as reduced morbidity, shorter hospital stays, faster recovery, and a reduced risk of neurological deficit due to less brain tissue manipulation. Methods: We present a comprehensive step-by-step description of the EETTA surgical technique, illustrated through four representative cases of varying pathologies treated at our institution. The anatomical boundaries—including the lamina papyracea, anterior and posterior ethmoidal arteries, and frontal sinus—and the surgical corridor are detailed alongside indications, technical nuances, limitations, and operative recommendations. Results: Four cases demonstrate the versatility of EETTA across diverse pathologies: two olfactory groove meningiomas (including one WHO grade 2 and one recurrent case with invasive skull base involvement), an esthesioneuroblastoma (ENB), and a recurrent inverted papilloma requiring combined transcranial and endoscopic resection. Near-total or gross-total resection was achieved in all cases. The indications, nuances, and limitations of this approach are discussed, along with tips for successful surgery. Conclusions: The EETTA represents an important minimally invasive option for ACF tumors extending into the nasal cavity, with midline involvement limited medially by the lamina papyracea. Success requires a thorough understanding of skull base anatomy, meticulous multilayer reconstruction techniques, and appropriate patient selection, based on the tumor location and lateral extension. While cerebrospinal fluid (CSF) leak remains the primary concern, contemporary techniques have substantially reduced this complication rate. Full article
Show Figures

Figure 1

11 pages, 2539 KB  
Article
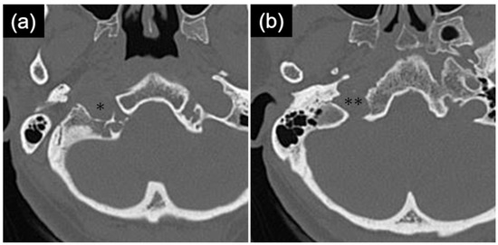
Computerized Tomography Morphometric Assessment of the Internal Acoustic Meatus: Sex Differences, Orientation Angles, and Surgical Implications
by Emine Deniz Gözen, Fırat Tevetoğlu, Ahmet Ertaş, Haydar Murat Yener, Osman Kızılkılıç and Ali İhsan Soyluoğlu
J. Clin. Med. 2026, 15(3), 1312; https://doi.org/10.3390/jcm15031312 - 6 Feb 2026
Viewed by 557
Abstract
Objective: We aimed to evaluate the morphometric characteristics of the internal acoustic meatus (IAM) using high-resolution computed tomography (CT), with emphasis on sex- and age-related differences, with particular emphasis on the IAM orientation angle as a less-studied spatial parameter and its potential [...] Read more.
Objective: We aimed to evaluate the morphometric characteristics of the internal acoustic meatus (IAM) using high-resolution computed tomography (CT), with emphasis on sex- and age-related differences, with particular emphasis on the IAM orientation angle as a less-studied spatial parameter and its potential clinical and forensic relevance. Methods: Temporal bone CT scans of 162 patients (94 females, 68 males; age 1–77 years) were retrospectively analyzed. Measurements included the IAM inlet diameter, length, mid-diameter, lateral angle (LA), and orientation angle. Inter-observer agreement was assessed in 30 randomly selected cases. Morphometric parameters were compared by sex and age using t-tests and Mann–Whitney U tests. Results: Mean IAM lengths were 11.0 mm (right) and 11.1 mm (left), and the mean mid-diameter was 4.2 mm bilaterally. IAM lengths and diameters showed no significant sex- or age-related differences (p > 0.05). In contrast, LA and orientation angle differed significantly by sex (p < 0.05), with females showing higher LA values, which may influence posterior fossa surgical exposure. Conclusions: IAM size parameters are largely independent of sex and age, whereas lateral and orientation angles exhibit sex-related variation. Preoperative evaluation of IAM orientation on CT can support skull base surgical planning, and LA may provide supportive morphometric information in forensic contexts, although it should not be considered a standalone sex classification parameter. Full article
(This article belongs to the Section Otolaryngology)
Show Figures

Figure 1

14 pages, 1781 KB  
Article
Inner Ear Anatomy Variations in Acute Low-Tone Sensorineural Hearing Loss and Unilateral Stage I/II Ménière’s Disease: A Comparative Study
by Qin Liu, Xingqian Shen, Linlin Wang, Yangming Leng, Cen Chen, Ping Lei and Bo Liu
Diagnostics 2026, 16(3), 473; https://doi.org/10.3390/diagnostics16030473 - 3 Feb 2026
Viewed by 560
Abstract
Objectives: To investigate the differences in inner ear anatomical variations between patients with acute low-tone sensorineural hearing loss (ALHL) and those with unilateral stage I/II Ménière’s disease (MD) based on magnetic resonance imaging (MRI). Methods: A total of 30 patients with [...] Read more.
Objectives: To investigate the differences in inner ear anatomical variations between patients with acute low-tone sensorineural hearing loss (ALHL) and those with unilateral stage I/II Ménière’s disease (MD) based on magnetic resonance imaging (MRI). Methods: A total of 30 patients with unilateral ALHL, 41 patients with unilateral stage I/II MD, and 59 healthy controls were enrolled retrospectively. 3.0T MRI was used to evaluate the distance between the vertical part of the posterior semicircular canal and the posterior fossa (PPD) and vestibular aqueduct (VA) visibility. Inter-group and intra-group comparisons and correlation analyses were performed to clarify the characteristics of anatomical variations. Results: (1) There were no significant differences in PPD and VA visibility between ALHL patients and healthy controls; the PPD of unaffected ears in MD patients was significantly shorter than that in healthy controls, while no significant difference was observed in the PPD of affected ears between MD patients and healthy controls. (2) The VA visibility of affected ears in ALHL patients was significantly higher than that in MD patients. (3) No significant intra-group differences in PPD and VA visibility between affected and unaffected ears were noted in ALHL or MD patients. (4) A significant negative correlation was found between the PPD of affected ears and pure tone average of affected ears in MD patients, while no correlations were observed between anatomical indices and clinical characteristics in ALHL patients. Conclusions: Although both ALHL and MD are categorized as hydropic ear diseases, radiological evidences demonstrate that MD patients exhibit inner ear anatomical variations, whereas no significant anatomical variations are observed in ALHL patients. This suggests that anatomical variations in the endolymphatic drainage system may be a predisposing factor for the pathogenesis of unilateral MD rather than for unilateral ALHL. Full article
(This article belongs to the Section Clinical Diagnosis and Prognosis)
Show Figures

Figure 1

14 pages, 1988 KB  
Article
Gray Matter Volumetry and Cognitive Functioning in Pediatric Posterior Fossa Tumor Survivors
by Kristien Bullens, Charlotte Sleurs, Jeroen Blommaert, Karen Van Beek, Jurgen Lemiere and Sandra Jacobs
Cancers 2026, 18(3), 495; https://doi.org/10.3390/cancers18030495 - 2 Feb 2026
Viewed by 477
Abstract
Background/Objectives: Posterior fossa tumors (PFTs) often require radiotherapy which may damage both cortical and subcortical brain tissue. We examined voxel-based and region-based gray matter volume (GMV) alterations and explored their relation to cognitive functioning. Methods: Using T1-weighted MR imaging, intelligence scores [...] Read more.
Background/Objectives: Posterior fossa tumors (PFTs) often require radiotherapy which may damage both cortical and subcortical brain tissue. We examined voxel-based and region-based gray matter volume (GMV) alterations and explored their relation to cognitive functioning. Methods: Using T1-weighted MR imaging, intelligence scores from the Wechsler Adult Intelligence Scale-IV (WAIS-IV), and domain scores for language, learning, and memory, complex attention and cognitive flexibility were investigated in 18 of 21 assessed PFT survivors and 21 matched controls. GMV was quantified with voxel-based and region-based volumetry, compared among groups (controls versus survivors, irradiated versus non-irradiated survivors), and correlated with cognitive performance. Results: Survivors showed reduced GMV in two voxel-based clusters, located in the left occipital fusiform area and the left pallidum. Region-based analyses showed lower GMV in survivors located in subcortical areas, while higher GMV was observed in the left inferior temporal region. Survivors who received craniospinal radiation exhibited reductions in GMV in bilateral thalami, right ventral diencephalon, and central corpus callosum, and higher GMV in the bilateral middle temporal regions. Compared to controls, survivors scored lower for all cognitive domains, except for complex attention and cognitive flexibility. Amongst survivors, the GMV of the bilateral thalami and right ventral diencephalon correlated positively with working memory. Conclusions: Overall, PFT survivors demonstrated both alterations in GMV and cognitive functioning, with the most pronounced GMV deviations found in those treated with craniospinal radiation. Reduced GMV was associated with poorer cognitive performance. Full article
(This article belongs to the Special Issue Brain Tumors—Related Cognitive Impairment)
Show Figures

Figure 1

14 pages, 4164 KB  
Article
Influence of Prosthetic Material Properties and Implant Number on Stress Distribution in Implant–Bone Systems Under Bruxism Loading: A Finite Element Study
by Derya Aslan, İsmail Hakkı Korkmaz, Nuran Yanıkoğlu and Abdullah Tahir Şensoy
Biomimetics 2026, 11(2), 89; https://doi.org/10.3390/biomimetics11020089 - 27 Jan 2026
Viewed by 662
Abstract
This finite element study compared the effects of prosthetic superstructure material and supporting implant number on stresses in implants, multiunit abutments, and restorations, and on peri-implant bone strains under bruxism-like loading. Two posterior mandibular models representing missing left FDI 34–36 were generated: a [...] Read more.
This finite element study compared the effects of prosthetic superstructure material and supporting implant number on stresses in implants, multiunit abutments, and restorations, and on peri-implant bone strains under bruxism-like loading. Two posterior mandibular models representing missing left FDI 34–36 were generated: a 2-implant configuration (implants at 34 and 36) and a 3-implant configuration (implants at 34, 35, and 36), each restored with a three-unit implant-supported fixed bridge. For each configuration, three superstructure materials were simulated: cobalt–chromium (Co–Cr), polyetheretherketone (PEEK), and monolithic zirconia (MZ). Static parafunctional loads were applied as a 500 N oblique load (30° to the implant long axis; 125 N to each buccal cusp) and a 1000 N vertical load applied to the central fossae. Cortical bone generally exhibited higher strain than trabecular bone, and the maximum cortical principal strain under vertical loading averaged approximately 5800 μɛ. The highest implant von Mises stress occurred in the first molar implant of the 2-implant MZ model under oblique loading, while the maximum under vertical loading was 236 MPa (also 2-implant MZ). Prosthetic peak stresses reached 184 MPa under vertical loading (3-implant PEEK composite–veneered model) and 233 MPa under oblique loading (2-implant MZ), with a minimum of 51 MPa in the 3-implant PEEK framework under vertical loading. Overall, increasing implant number reduced the stress/strain values, and MZ showed comparatively higher stress and strain levels. Full article
(This article belongs to the Section Biomimetics of Materials and Structures)
Show Figures

Figure 1

21 pages, 7582 KB  
Article
Somatosensory Induced Cerebellar Responses to Peripheral Nerve Stimulation: A Time and Time–Frequency EEG Study
by Anna Latorre, Kais Humaidan, Mauro Sanna, Maria Lucrezia Lavena, Anna Maria Contu, Maria Giuseppina Mele, Elias Paolo Casula and Lorenzo Rocchi
Brain Sci. 2026, 16(2), 132; https://doi.org/10.3390/brainsci16020132 - 26 Jan 2026
Viewed by 547
Abstract
Background/Objectives: The cerebellum plays a central role in sensorimotor integration and temporal processing, yet its direct electrophysiological investigation in humans remains challenging, and cerebellar contributions to somatosensory responses remain poorly defined. This study aimed to determine whether cerebellar responses to peripheral nerve stimulation [...] Read more.
Background/Objectives: The cerebellum plays a central role in sensorimotor integration and temporal processing, yet its direct electrophysiological investigation in humans remains challenging, and cerebellar contributions to somatosensory responses remain poorly defined. This study aimed to determine whether cerebellar responses to peripheral nerve stimulation can be detected using scalp EEG and whether time–frequency analysis provides advantages over time-domain approaches. Methods: Scalp EEG was recorded during electrical stimulation of the median nerve and tibial nerve in 16 healthy participants. Electrode montages included posterior fossa placements targeting cerebellar activity, together with standard cortical and subcortical derivations. Data were analyzed in the time domain using evoked potentials and channel comparisons, including bipolar cerebellar derivations, and in the time–frequency domain using spectral power analysis. Results: Time-domain analyses revealed early and intermediate latency components following both upper- and lower-limb stimulation; however, these responses showed limited spatial specificity and were strongly influenced by reference effects and subcortical contamination. In contrast, time–frequency analysis consistently revealed sustained increases in oscillatory power in cerebellar channels. Power increases emerged approximately 50 ms after stimulation and persisted beyond 300 ms, peaking around ~20 Hz for upper-limb stimulation and ~10 Hz for lower-limb stimulation, with evidence of side specificity. Conclusions: Non-invasive EEG can detect cerebellar responses to peripheral nerve stimulation, particularly in the time–frequency domain. Oscillatory dynamics provide a more robust marker of cerebellar involvement than time-locked responses and may complement conventional somatosensory evoked potentials in studies of cerebellar physiology and spinocerebellar pathway integrity. Full article
(This article belongs to the Section Sensory and Motor Neuroscience)
Show Figures

Figure 1

26 pages, 2620 KB  
Review
EZHIP in Pediatric Brain Tumors: From Epigenetic Mimicry to Therapeutic Vulnerabilities
by Tiziana Servidei, Serena Gentile, Alessandro Sgambato and Antonio Ruggiero
Int. J. Mol. Sci. 2026, 27(2), 963; https://doi.org/10.3390/ijms27020963 - 18 Jan 2026
Viewed by 1217
Abstract
Enhancer of zeste homologs inhibitory protein (EZHIP) is a eutherian-specific protein, with poorly defined developmental functions and physiological expression restricted to germ cells. Its aberrant re-expression characterizes posterior fossa ependymoma subtype A and a subset of diffuse midline gliomas with wild-type histone H3—aggressive [...] Read more.
Enhancer of zeste homologs inhibitory protein (EZHIP) is a eutherian-specific protein, with poorly defined developmental functions and physiological expression restricted to germ cells. Its aberrant re-expression characterizes posterior fossa ependymoma subtype A and a subset of diffuse midline gliomas with wild-type histone H3—aggressive pediatric brain tumors marked by global loss of the repressive H3 lysine 27 trimethylation (H3K27me3). Functionally analogous to the H3 lysine 27 to methionine (H3K27M) oncohistone, EZHIP inhibits Polycomb repressive complex 2 (PRC2), altering genome-wide H3K27me3 distribution and fate commitment. Unlike H3K27M, EZHIP is epigenetically silenced under physiological conditions yet inducible, suggesting context-dependent oncogenic roles. Its intrinsically disordered structure enables multifunctional interactions and biological versatility. Beyond brain tumors, EZHIP has emerged as an oncogenic driver in osteosarcoma, underscoring broader relevance across cancers. This review integrates current insights into EZHIP—from gene discovery and the mechanism of PRC2 inhibition to its emerging roles in metabolism, DNA repair, 3D chromatin regulation, and development. We outline EZHIP’s clinico-pathological significance in pediatric and adult malignancies, with an emphasis on EZHIP-driven hindbrain tumors. Finally, we discuss therapeutic opportunities, from the direct targeting of intrinsically disordered proteins to the indirect modulation of EZHIP-associated epigenetic and metabolic landscapes, highlighting implications for tumor evolution and precision oncology. Full article
Show Figures

Figure 1

15 pages, 4088 KB  
Case Report
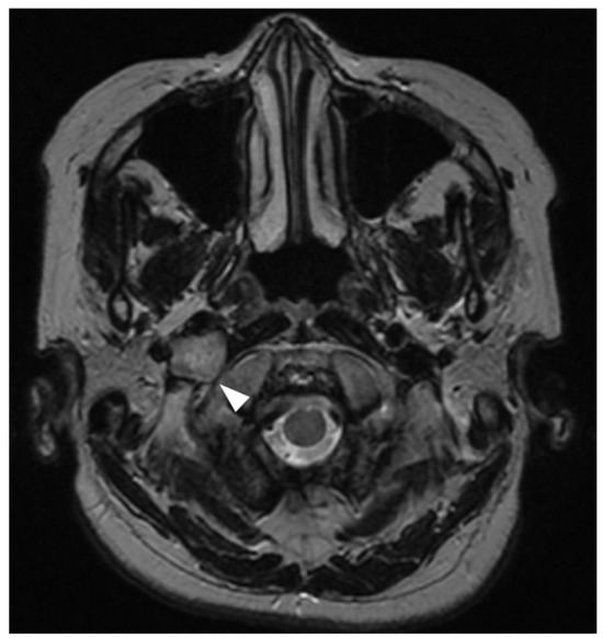
Candida albicans Meningoencephalitis After Vestibular Schwannoma Surgery: An Autopsy-Confirmed Case Report
by Jessika Camatti, Matteo Tudini, Maria Paola Bonasoni, Anna Laura Santunione, Rossana Cecchi, Erjon Radheshi and Edoardo Carretto
Diagnostics 2026, 16(2), 228; https://doi.org/10.3390/diagnostics16020228 - 11 Jan 2026
Cited by 1 | Viewed by 706
Abstract
Background and Clinical Significance: Cerebral candidiasis (Candida albicans meningoencephalitis) is a rare but severe central nervous system (CNS) infection, usually associated with neurosurgical procedures or indwelling devices. Diagnosis is challenging due to frequent negativity of cerebrospinal fluid (CSF) cultures, and mortality remains [...] Read more.
Background and Clinical Significance: Cerebral candidiasis (Candida albicans meningoencephalitis) is a rare but severe central nervous system (CNS) infection, usually associated with neurosurgical procedures or indwelling devices. Diagnosis is challenging due to frequent negativity of cerebrospinal fluid (CSF) cultures, and mortality remains high despite antifungal therapy. Case Presentation: We describe a 64-year-old woman who underwent retrosigmoid resection of a left vestibular schwannoma. The early postoperative course was complicated by fever, neurological deterioration, and hydrocephalus requiring external CSF drainage. Multiple lumbar punctures revealed inflammatory CSF profiles but persistently negative cultures. One month post-surgery, intraoperative samples from mastoid repair material grew Candida albicans, prompting antifungal therapy. Despite treatment, the patient experienced fluctuating neurological status and required multiple external ventricular drains. Three months after surgery, she clinically deteriorated and died. Autopsy showed diffuse meningeal thickening and purulent exudates at the brain base and posterior fossa. Histopathology confirmed chronic lympho-histiocytic meningitis with necrotizing foci containing Candida albicans. Conclusions: This case underscores the diagnostic and therapeutic challenges of post-neurosurgical Candida CNS infections. Repeatedly negative CSF cultures delayed diagnosis, emphasizing the value of ancillary tests such as β-d-glucan and molecular assays. Even with antifungal therapy, prognosis is poor. Autopsy remains essential for uncovering fatal healthcare-associated fungal infections and informing clinical vigilance and medico-legal assessment. Full article
(This article belongs to the Special Issue Diagnostic Methods in Forensic Pathology, Third Edition)
Show Figures

Figure 1

12 pages, 2603 KB  
Article
Cerebello-Pontine Angle Tumors in Children: An Update on Challenging Neoplasms
by Luca Massimi, Giuliano Di Monaco, Jacopo Ciccani, Federico Bianchi, Paolo Frassanito and Gianpiero Tamburrini
Diagnostics 2026, 16(1), 131; https://doi.org/10.3390/diagnostics16010131 - 1 Jan 2026
Viewed by 1098
Abstract
Introduction: Cerebellopontine angle (CPA) tumors are rare in children. As a result, knowledge on them is still limited, often concerning old series. The goal of this study is to provide an update on these challenging neoplasms by presenting a large series compared with [...] Read more.
Introduction: Cerebellopontine angle (CPA) tumors are rare in children. As a result, knowledge on them is still limited, often concerning old series. The goal of this study is to provide an update on these challenging neoplasms by presenting a large series compared with those available in the literature and focusing on tumor characteristics, molecular pattern, extent of tumor removal, surgical complications, and outcome. Methods: All children with CPA tumors consecutively operated on between 2010 and 2020 (minimum follow-up: 5 years) and with complete follow-up data were considered. Retro-sigmoid approach was used for tumors arising from CPA (group A) while a midline sub-occipital was used for those extending into CPA (Group B). Intraoperative neuronavigation, neuro-monitoring, and ultrasounds were routinely utilized. Results: 48 children (54 tumors) were included (mean age at surgery: 6.9 years, 38% infants, M/F ratio 1.1). Hydrocephalus was present at diagnosis in 27% of cases. Gross total resection of the tumor was obtained in 59% of cases, and subtotal and partial resection in 24% and 17%, respectively. Complications occurred in 25% of cases. Group A was composed of 23 children: the most common tumor was schwannoma (43%) followed by ependymomas, medulloblastoma, AT/RT (13% each), and less common histotypes. Group B was composed of 25 children: ependymomas (60%), AT/RT (20%), medulloblastoma (12%), others (8%). All but one ependymomas belonged to PF-A molecular group, while medulloblastomas were equally divided between WNT and Sonic-Hedgehog. The overall survival rate after a mean 7.2-year follow-up is 71%. A total of 14 patients died because of tumor or disease progression. No statistical differences between the two groups were detected as far as demographic data, tumor growing pattern, extent of tumor removal, complication rate, and overall survival were concerned. Only the mean tumor diameter was significantly longer in group B (3.9 cm vs. 3.3 cm). Apart from some differences in the demography, the extent of tumor removal and complications, no relevant differences were noticed among the series analyzed. Conclusions: Pediatric CPA tumors are uncommon but not rare and present significant management challenges. Surgery is demanding. The long-term survival is poorly improved compared with the past and compared with other posterior fossa tumors, the prognosis is mainly related to the biological tumor characteristics and the adjuvant treatments rather than the surgical excision. Full article
(This article belongs to the Special Issue Advances in the Diagnosis of Nervous System Diseases—3rd Edition)
Show Figures

Figure 1

Back to TopTop