Computerized Tomography Morphometric Assessment of the Internal Acoustic Meatus: Sex Differences, Orientation Angles, and Surgical Implications
Abstract
1. Introduction
2. Materials and Methods
2.1. Study Design and Ethical Approval
2.2. Study Population
2.3. Imaging Technique and Standardization
2.4. Morphometric Parameters
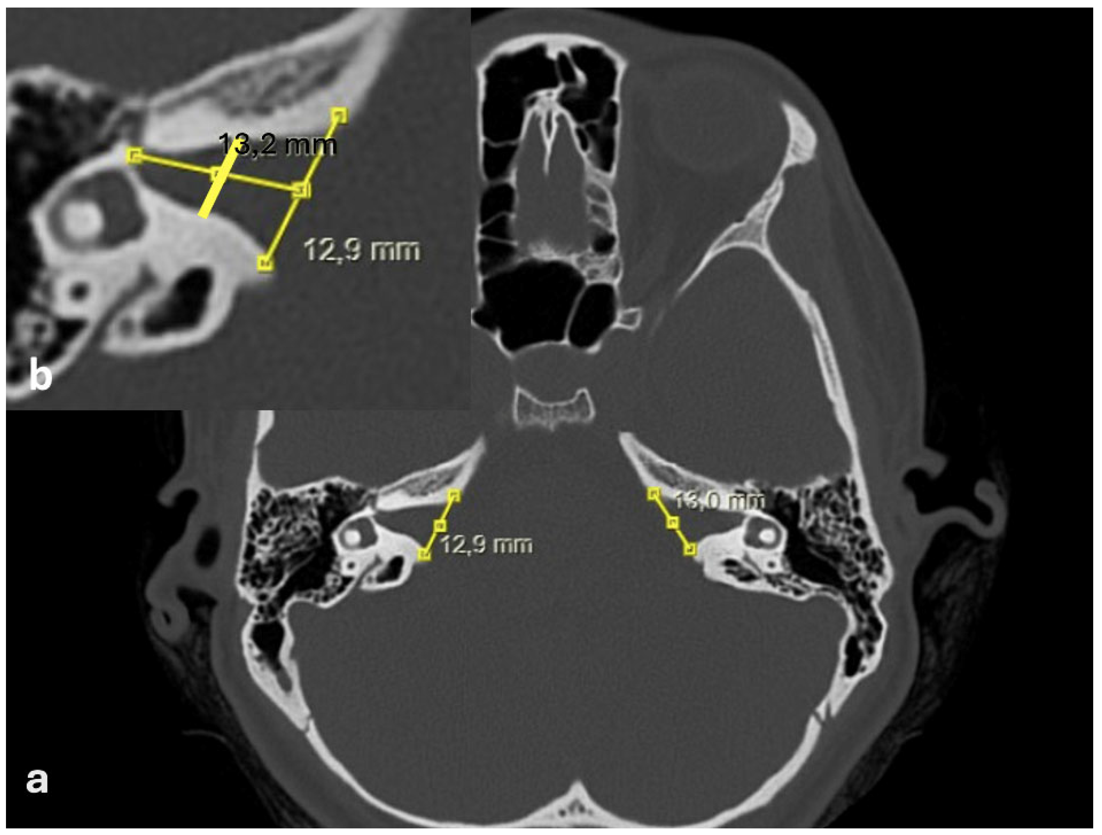
- Bitemporal distance: the tangential line passing posterior to the lateral semicircular canals, measuring the distance between the cortices of both temporal bones (Figure 1);
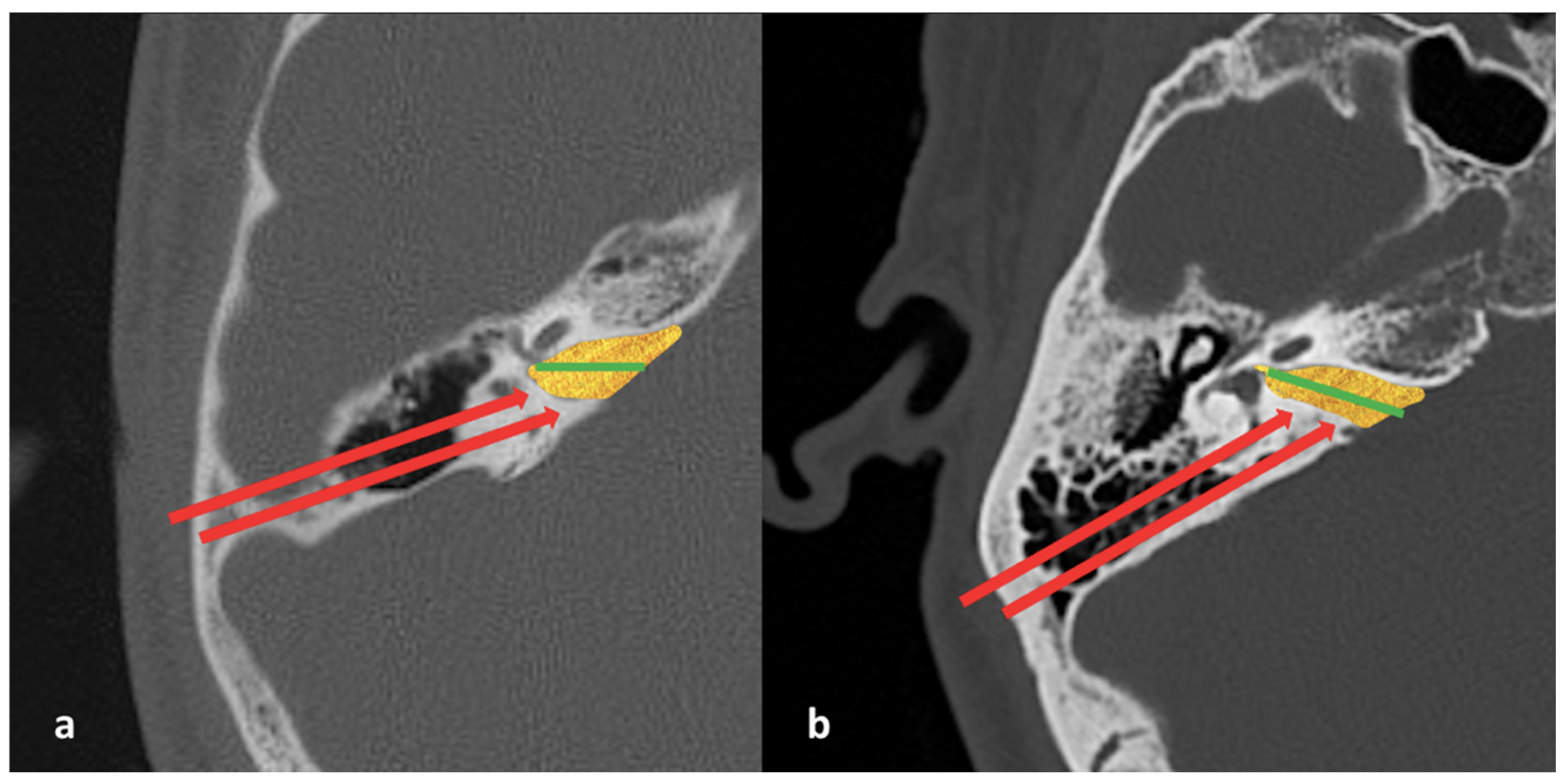
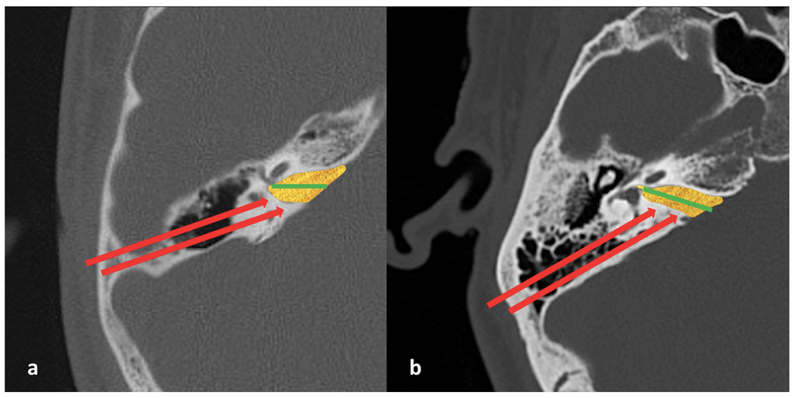
- Bilateral IAM inlet diameter: the distance between the anterior and posterior walls at the most medial part of the IAM (Figure 2);
- Bilateral IAM length: the distance between the most lateral point of the IAM and the midpoint of the inlet diameter (Figure 2);
- Bilateral IAM mid-diameter: the distance measured at the midpoint of the IAM length, parallel to the inlet diameter (Figure 2);
- Right and left lateral angle: the angle between the line tangent to the IAM inlet and the line tangent to the anterior wall of the IAM (Figure 3);
- IAM orientation: the angle formed between the long axis lines passing through the midpoint of the inlet of each IAM (Figure 4).
2.5. Statistical Analysis
3. Results
4. Discussion
5. Conclusions
Author Contributions
Funding
Institutional Review Board Statement
Informed Consent Statement
Data Availability Statement
Acknowledgments
Conflicts of Interest
References
- Özandaç Polat, S.; Uygur, A.G.; Öksüzler, F.Y.; Öksüzler, M.; Yücel, A.H. Meatus acusticus internus’un morfometrik ölçümleri. Cukurova Med. J. 2019, 44, 419–426. [Google Scholar] [CrossRef]
- Marques, S.R.; Ajzen, S.; D’Lppolito, G.; Alonso, L.; Tani, S.I.; Lederman, H. Morphometric analysis of the internal auditory canal by computed tomography imaging. Iran. J. Radiol. 2012, 9, 71–78. [Google Scholar] [CrossRef] [PubMed]
- Norén, A.; Lynnerup, N.; Czarnetzki, A.; Graw, M. Lateral angle: A method for sexing using the petrous bone. Am. J. Phys. Anthropol. 2005, 128, 318–323. [Google Scholar] [CrossRef]
- Gibelli, D.; Cellina, M.; Gibelli, S.; Termine, G.; Oliva, G.; Sforza, C.; Cattaneo, C. Relationship between lateral angle and shape of internal acoustic canal: Cautionary note for diagnosis of sex. Int. J. Leg. Med. 2021, 135, 687–692. [Google Scholar] [CrossRef]
- Masotti, S.; Succi-Leonelli, E.; Gualdi-Russo, E. Cremated human remains: Is measurement of the lateral angle of the meatus acusticus internus a reliable method of sex determination? Int. J. Leg. Med. 2013, 127, 1039–1044. [Google Scholar] [CrossRef] [PubMed]
- Akansel, G.; Inan, N.; Kurtas, O.; Sarisoy, H.T.; Arslan, A.; Demirci, A. Gender and the lateral angle of the internal acoustic canal meatus as measured on computerized tomography of the temporal bone. Forensic Sci. Int. 2008, 178, 93–95. [Google Scholar] [CrossRef]
- Giordano, M.; Bianconi, A.; Gallieni, M.; Metwali, H.; Samii, M.; Samii, A. Prognostic Significance of Preoperative Geometric Changes in the Internal Acoustic Canal for Hearing Preservation in Vestibular Schwannoma Surgery. World Neurosurg. 2019, 132, e223–e227. [Google Scholar] [CrossRef]
- Farahani, R.; Nooranipour, M.; Nikakhtar, K. Anthropometry of internal acoustic meatus. Int. J. Morphol. 2007, 25, 861–865. [Google Scholar] [CrossRef]
- Mutlu, C.; Govsa, F.; Unlu, H.H.; Senyilmaz, Y. The variational anatomy of the external aperture of the human vestibular aqueduct. Surg. Radiol. Anat. 1997, 19, 303–305. [Google Scholar] [CrossRef]
- Escajadillo, J.R. Surgical localization of the internal auditory meatus in the middle cranial fossa. Ear Nose Throat J. 1988, 67, 246–247. [Google Scholar]
- Olivares, F.P.; Schuknecht, H.F. Width of the internal auditory canal. A histological study. Ann. Otol. Rhinol. Laryngol. 1979, 88, 316–323. [Google Scholar] [CrossRef] [PubMed]
- Amjad, A.H.; Scheer, A.A.; Rosenthal, J. Human internal auditory canal. Arch. Otolaryngol. 1969, 89, 709–714. [Google Scholar] [CrossRef] [PubMed]
- Valvassori, G.; Pierce, R. The Normal Internal Auditory Canal. Am. J. Roentgenol. Radium Ther. Nucl. Med. 1964, 92, 1232–1241. [Google Scholar] [PubMed]
- Day, J.D.; Kellogg, J.X.; Fukushima, T.; Giannotta, S.L. Microsurgical anatomy of the inner surface of the petrous bone: Neuroradiological and morphometric analysis as an adjunct to the retrosigmoid transmeatal approach. Neurosurgery 1994, 34, 1003–1008. [Google Scholar] [CrossRef] [PubMed]
- Sakashita, T.; Sando, I. Postnatal development of the internal auditory canal studied by computer-aided three-dimensional reconstruction and measurement. Ann. Otol. Rhinol. Laryngol. 1995, 104, 469–475. [Google Scholar] [CrossRef]
- Muren, C. The internal acoustic meatus. Anatomic variations and relations to other temporal bone structures. Acta Radiol. Diagn. 1986, 27, 505–512. [Google Scholar] [CrossRef]
- Fujita, S.; Sando, I. Postnatal development of the vestibular aqueduct in relation to the internal auditory canal. Computer-aided three-dimensional reconstruction and measurement study. Ann. Otol. Rhinol. Laryngol. 1994, 103, 719–722. [Google Scholar] [CrossRef]
- Silverstein, H.; Norrell, H.; Smouha, E.; Haberkamp, T. The singular canal: A valuable landmark in surgery of the internal auditory canal. Otolaryngol. Head Neck Surg. 1988, 98, 138–143. [Google Scholar] [CrossRef]
- Krombach, G.A.; van den Boom, M.; Di Martino, E.; Schmitz-Rode, T.; Westhofen, M.; Prescher, A.; Günther, R.W.; Wildberger, J.E. Computed tomography of the inner ear: Size of anatomical structures in the normal temporal bone and in the temporal bone of patients with Menière’s disease. Eur. Radiol. 2005, 15, 1505–1513. [Google Scholar] [CrossRef]
- McClay, J.E.; Tandy, R.; Grundfast, K.; Choi, S.; Vezina, G.; Zalzal, G.; Willner, A. Major and minor temporal bone abnormalities in children with and without congenital sensorineural hearing loss. Arch. Otolaryngol. Head Neck Surg. 2002, 128, 664–671. [Google Scholar] [CrossRef]
- Lang, J. Clinical anatomy of the cerebellopontine angle and internal acoustic meatus. Adv. Otorhinolaryngol. 1984, 34, 8–24. [Google Scholar]
- Barreto, E.C.; de Carvalho, G.A. Microanatomy of the cerebellopontine angle with morphometric analysis of the internal acoustic meatus. Arq. Neuro-Psiquiatr. 1993, 51, 213–216. [Google Scholar]
- Wahl, J. A contribution towards metrical sex determination of cremated and uncremated human bone remains, worked out at the pars petrosa ossis temporalis (author’s transl). Z. Rechtsmed. 1981, 86, 79–101. [Google Scholar]
- Kalmey, J.; Rathbun, T. Sex determination by discriminant function analysis of the petrous portion of the temporal bone. J. Forensic Sci. 1996, 41, 865–867. [Google Scholar] [CrossRef]
- Graw, M.; Haffner, H. Morphognostically accessible sex dimorphism of pars petrosa ossis temporalis. Med. Leg. Agg. Inc. 2000, 1, 61–64. [Google Scholar]
- Gibelli, D.; Borlando, A.; Dolci, C.; Pucciarelli, V.; Cattaneo, C.; Sforza, C. Anatomical characteristics of greater palatine foramen: A novel point of view. Surg. Radiol. Anat. 2017, 39, 1359–1368. [Google Scholar] [CrossRef]
- Masotti, S.; Pasini, A.; Gualdi-Russo, E. Sex determination in cremated human remains using the lateral angle of the pars petrosa ossis temporalis: Is old age a limiting factor? Forensic Sci. Med. Pathol. 2019, 15, 392–398. [Google Scholar] [CrossRef] [PubMed]
- Rennert, R.C.; Brandel, M.G.; Steinberg, J.A.; Friedman, R.A.; Couldwell, W.T.; Fukushima, T.; Day, J.D.; Khalessi, A.A.; Levy, M.L. Maturation of the internal auditory canal and posterior petrous bone with relevance to lateral and posterolateral skull base approaches. Sci. Rep. 2022, 12, 3489. [Google Scholar] [CrossRef] [PubMed]





| n | Minimum | Maximum | Mean | SD (±) | |
|---|---|---|---|---|---|
| Age | 162 | 1 | 77 | 38.94 | 19.69 |
| Bitemporal Distance (mm) | 162 | 89.00 | 147.40 | 126.38 | 9.41 |
| Right IAM Entry Diameter (mm) | 162 | 4.60 | 14.00 | 7.91 | 1.55 |
| Right IAM Length (mm) | 162 | 7.10 | 16.60 | 11.03 | 1.63 |
| Right IAM Mid-Diameter (mm) | 162 | 2.70 | 6.70 | 4.20 | 0.69 |
| Right Lateral Angle (°) | 162 | 25.60 | 68.80 | 40.31 | 8.01 |
| Left IAM Entry Diameter (mm) | 162 | 4.20 | 12.20 | 8.10 | 1.46 |
| Left IAM Length (mm) | 162 | 7.80 | 15.70 | 11.13 | 1.62 |
| Left IAM Mid-Diameter (mm) | 162 | 2.70 | 6.10 | 4.28 | 0.69 |
| Left Lateral Angle (°) | 162 | 23.50 | 71.60 | 40.68 | 8.92 |
| IAM Orientation (°) | 162 | 121.00 | 182.30 | 155.66 | 11.19 |
| Sex | N | Mean | Std. Dev. | p | |
|---|---|---|---|---|---|
| Age | M | 68 | 39.18 | 20.85 | |
| F | 94 | 38.78 | 18.92 | 0.9 * | |
| Bitemporal Distance (mm) | M | 68 | 130.17 | 10.045 | |
| F | 94 | 123.64 | 7.92 | 0.001 § | |
| Right IAM Entry Diameter (mm) | M | 68 | 8.03 | 1.67 | |
| F | 94 | 7.83 | 1.47 | 0.47 § | |
| Right IAM Length (mm) | M | 68 | 11.06 | 1.55 | |
| F | 94 | 11.01 | 1.70 | 0.85 * | |
| Right IAM Mid-Diameter (mm) | M | 68 | 4.18 | 0.73 | |
| F | 94 | 4.21 | 0.67 | 0.65 § | |
| Right Lateral Angle (°) | M | 68 | 38.09 | 6.80 | |
| F | 94 | 41.93 | 8.46 | 0.002 * | |
| Left IAM Entry Diameter (mm) | M | 68 | 8.05 | 1.31 | |
| F | 94 | 8.13 | 1.56 | 0.71 * | |
| Left IAM Length (mm) | M | 68 | 11.21 | 1.62 | |
| F | 94 | 11.08 | 1.62 | 0.62 * | |
| Left IAM Mid-Diameter (mm) | M | 68 | 4.30 | 0.70 | |
| F | 94 | 4.27 | 0.68 | 0.83 * | |
| Left Lateral Angle (°) | M | 68 | 38.90 | 7.60 | |
| F | 94 | 41.97 | 9.59 | 0.02 § | |
| IAM Orientation (°) | M | 68 | 157.46 | 10.98 | |
| F | 94 | 154.36 | 11.22 | 0.01 § |
| Age | n | Mean | Std. Dev. | p Value | |
|---|---|---|---|---|---|
| Age | ≤17 years | 27 | 8.33 | 5.47 | |
| >17 years | 135 | 45.07 | 15.28 | 0.001 * | |
| Bitemporal Distance (mm) | ≤17 years | 27 | 116.52 | 12.40 | |
| >17 years | 135 | 128.35 | 7.29 | 0.001 § | |
| Right IAM Entry Diameter (mm) | ≤17 years | 27 | 7.64 | 1.97 | |
| >17 years | 135 | 7.96 | 1.46 | 0.06 § | |
| Right IAM Length (mm) | ≤17 years | 27 | 10.55 | 1.89 | |
| >17 years | 135 | 11.13 | 1.57 | 0.145 * | |
| Right IAM Mid-Diameter (mm) | ≤17 years | 27 | 4.34 | 0.63 | |
| >17 years | 135 | 4.17 | 0.71 | 0.82 § | |
| Right Lateral Angle (°) | ≤17 years | 27 | 42.52 | 6.91 | |
| >17 years | 135 | 39.87 | 8.17 | 0.85 * | |
| Left IAM Entry Diameter (mm) | ≤17 years | 27 | 8.20 | 1.38 | |
| >17 years | 135 | 8.08 | 1.48 | 0.67 * | |
| Left IAM Length (mm) | ≤17 years | 27 | 10.61 | 1.44 | |
| >17 years | 135 | 11.24 | 1.63 | 0.06 * | |
| Left IAM Mid-Diameter (mm) | ≤17 years | 27 | 4.44 | 0.65 | |
| >17 years | 135 | 4.25 | 0.69 | 0.17 * | |
| Left Lateral Angle (°) | ≤17 years | 27 | 40.30 | 9.30 | |
| >17 years | 135 | 40.76 | 8.87 | 0.78 § | |
| IAM Orientation (°) | ≤17 years | 27 | 153.05 | 9.50 | |
| >17 years | 135 | 156.18 | 11.46 | 0.96 § |
Disclaimer/Publisher’s Note: The statements, opinions and data contained in all publications are solely those of the individual author(s) and contributor(s) and not of MDPI and/or the editor(s). MDPI and/or the editor(s) disclaim responsibility for any injury to people or property resulting from any ideas, methods, instructions or products referred to in the content. |
© 2026 by the authors. Licensee MDPI, Basel, Switzerland. This article is an open access article distributed under the terms and conditions of the Creative Commons Attribution (CC BY) license.
Share and Cite
Gözen, E.D.; Tevetoğlu, F.; Ertaş, A.; Yener, H.M.; Kızılkılıç, O.; Soyluoğlu, A.İ. Computerized Tomography Morphometric Assessment of the Internal Acoustic Meatus: Sex Differences, Orientation Angles, and Surgical Implications. J. Clin. Med. 2026, 15, 1312. https://doi.org/10.3390/jcm15031312
Gözen ED, Tevetoğlu F, Ertaş A, Yener HM, Kızılkılıç O, Soyluoğlu Aİ. Computerized Tomography Morphometric Assessment of the Internal Acoustic Meatus: Sex Differences, Orientation Angles, and Surgical Implications. Journal of Clinical Medicine. 2026; 15(3):1312. https://doi.org/10.3390/jcm15031312
Chicago/Turabian StyleGözen, Emine Deniz, Fırat Tevetoğlu, Ahmet Ertaş, Haydar Murat Yener, Osman Kızılkılıç, and Ali İhsan Soyluoğlu. 2026. "Computerized Tomography Morphometric Assessment of the Internal Acoustic Meatus: Sex Differences, Orientation Angles, and Surgical Implications" Journal of Clinical Medicine 15, no. 3: 1312. https://doi.org/10.3390/jcm15031312
APA StyleGözen, E. D., Tevetoğlu, F., Ertaş, A., Yener, H. M., Kızılkılıç, O., & Soyluoğlu, A. İ. (2026). Computerized Tomography Morphometric Assessment of the Internal Acoustic Meatus: Sex Differences, Orientation Angles, and Surgical Implications. Journal of Clinical Medicine, 15(3), 1312. https://doi.org/10.3390/jcm15031312

