Sign in to use this feature.

Years

Between: -

Subjects

remove_circle_outline
remove_circle_outline
remove_circle_outline
remove_circle_outline
remove_circle_outline
remove_circle_outline

Journals

Article Types

Countries / Regions

Search Results (188)

Search Parameters:
Keywords = peripheral nerve tumor

Order results
Result details
Results per page
Select all
Export citation of selected articles as:
16 pages, 2728 KB  
Review
Advancements in Preclinical Models for NF2-Related Schwannomatosis Research
by Bo-Shi Zhang, Simeng Lu, Scott R. Plotkin and Lei Xu
Cancers 2026, 18(2), 224; https://doi.org/10.3390/cancers18020224 - 11 Jan 2026
Viewed by 243
Abstract
NF2-related Schwannomatosis (NF2-SWN) remains a disorder with few effective treatment options. Patients develop vestibular schwannomas (VSs) on both auditory nerves, which gradually impair hearing and often result in significant communication difficulties, social withdrawal, and higher rates of depression. Progress in [...] Read more.
NF2-related Schwannomatosis (NF2-SWN) remains a disorder with few effective treatment options. Patients develop vestibular schwannomas (VSs) on both auditory nerves, which gradually impair hearing and often result in significant communication difficulties, social withdrawal, and higher rates of depression. Progress in understanding NF2-SWN biology and translating discoveries into therapies has been slowed by the absence of robust animal models that faithfully reproduce both tumor behavior and the associated neurological deficits. In this review, we summarized the development of animal models that not only reproduce tumor growth in the peripheral nerve microenvironment but also reproduce tumor-induced neurological symptoms, such as hearing loss and ataxia. We further highlight the currently available organotypic models for NF2-SWN. Together, these systems provide an essential foundation for advancing mechanistic studies and accelerating the development of effective therapies for this devastating disorder. Full article
(This article belongs to the Special Issue Advancements in Preclinical Models for Solid Cancers)
Show Figures

Figure 1

25 pages, 684 KB  
Review
The Pathogenesis of the Neurofibroma-to-Sarcoma Transition in Neurofibromatosis Type I: From Molecular Profiles to Diagnostic Applications
by Sabrina Busciglio, Ilenia Rita Cannizzaro, Anita Luberto, Antonietta Taiani, Barbara Moschella, Enrico Ambrosini, Sofia Cesarini, Mirko Treccani, Cinzia Azzoni, Lorena Bottarelli, Domenico Corradi, Vera Uliana, Davide Martorana, Valeria Barili and Antonio Percesepe
Cancers 2025, 17(24), 3955; https://doi.org/10.3390/cancers17243955 - 11 Dec 2025
Viewed by 577
Abstract
Neurofibromatosis type 1 (NF1) predisposes to a spectrum of peripheral nerve sheath tumors, ranging from benign plexiform neurofibromas (PN) to atypical neurofibromatous neoplasms of uncertain biological potential (ANNUBP) and malignant peripheral nerve sheath tumors (MPNST). Tumorigenesis follows a multistep molecular cascade initiated by [...] Read more.
Neurofibromatosis type 1 (NF1) predisposes to a spectrum of peripheral nerve sheath tumors, ranging from benign plexiform neurofibromas (PN) to atypical neurofibromatous neoplasms of uncertain biological potential (ANNUBP) and malignant peripheral nerve sheath tumors (MPNST). Tumorigenesis follows a multistep molecular cascade initiated by biallelic NF1 inactivation, followed by CDKN2A loss and disruption of the Polycomb Repressive Complex 2 (PRC2). These events guide chromatin remodeling, widespread epigenetic dysregulation, and activation of oncogenic pathways such as RAS/MAPK and PI3K/AKT. Here, we integrate genomic, transcriptomic, and epigenomic studies to delineate the molecular trajectories underlying tumor progression and to define promising biomarkers for the early detection of malignant transformation. Emerging liquid biopsy approaches, based on circulating tumor DNA (ctDNA) analyses, reveal distinctive copy number variations (CNVs) and methylation patterns that mirror tissue-derived profiles, enabling the detection of malignant transformation. Together, these findings support a model in which cumulative genetic and epigenetic alterations drive the PN–ANNUBP–MPNST continuum. They also underscore the value of multi-omics and liquid biopsy-based strategies to improve early diagnosis, patient risk stratification, and personalized management of NF1-associated tumors, thereby advancing precision medicine in this complex disease spectrum. Full article
(This article belongs to the Special Issue Neurofibromatosis)
Show Figures

Figure 1

12 pages, 3004 KB  
Article
High-Resolution Nerve Ultrasound in Adults with NF1: An Accessible and Reproducible Imaging Tool for Plexiform Neurofibromas
by D. Christine Noordhoek, Koen C. van Tulder, Tessa A. Ennik, Walter Taal and Judith Drenthen
Diagnostics 2025, 15(24), 3146; https://doi.org/10.3390/diagnostics15243146 - 10 Dec 2025
Viewed by 309
Abstract
Background/Objectives High-resolution nerve ultrasound (HRUS) is a promising imaging modality in patients with neurofibromatosis type 1 (NF1). The aim of this study was to evaluate the use of HRUS in adults with NF1 by assessing changes in HRUS findings over a two-year follow-up [...] Read more.
Background/Objectives High-resolution nerve ultrasound (HRUS) is a promising imaging modality in patients with neurofibromatosis type 1 (NF1). The aim of this study was to evaluate the use of HRUS in adults with NF1 by assessing changes in HRUS findings over a two-year follow-up time and reporting interobserver variability. Methods Sixty adult patients with NF1 were invited for a study visit including a clinical examination, nerve conduction studies (NCSs) and HRUS, at baseline and after two-years follow-up. The nerve cross-sectional area (CSA) was measured at standard anatomical sites and at additional sites in cases of nerve enlargements. In 16 patients, the CSA measurements of the median nerve on one side were performed by two observers to assess interobserver variability. Results Fifty-two patients participated in the follow-up visit. During follow-up, 40% of nerve enlargements increased, 46% decreased and 14% remained stable. Especially larger CSA measurements at baseline showed substantial increases and decreases at follow-up. The presence or absence of plexiform neurofibromas remained the same. Interobserver agreement of median nerve CSA measurements with HRUS was 0.982 (95% CI: 0.969–0.99). Conclusions HRUS can be an important additional imaging tool in patients with NF1. It is helpful to distinguish between patients with and without plexiform neurofibromas, which is relevant for estimating the risk of developing malignant peripheral nerve sheath tumors (MPNSTs). The good interobserver agreement supports the use of HRUS in clinical practice. The majority of nerve enlargements decreased spontaneously in size within two years, which limits the reliability of tumor volume as sole marker for treatment response. Full article
(This article belongs to the Special Issue Neurofibromatosis and Schwannomatosis: Diagnosis and Management)
Show Figures

Figure 1

14 pages, 10050 KB  
Article
Hyperglycemia Impairs the Expression of Mediators of Axonal Regeneration During Diabetic Wound Healing in Rats
by Jaylan Patel, Vy Ho, Tommy Tran, Betelhem Teshome and Vikrant Rai
Biomedicines 2025, 13(12), 2994; https://doi.org/10.3390/biomedicines13122994 - 6 Dec 2025
Viewed by 497
Abstract
Background/Objectives: Diabetic foot ulcers (DFUs) are one of the most debilitating complications of diabetes mellitus, characterized by impaired wound healing, chronic inflammation, and neuropathy. Peripheral nerve degeneration plays a critical role in delayed healing, but the molecular mediators linking hyperglycemia, neurodegeneration, and [...] Read more.
Background/Objectives: Diabetic foot ulcers (DFUs) are one of the most debilitating complications of diabetes mellitus, characterized by impaired wound healing, chronic inflammation, and neuropathy. Peripheral nerve degeneration plays a critical role in delayed healing, but the molecular mediators linking hyperglycemia, neurodegeneration, and impaired DFU repair remain incompletely understood. This study aims to characterize the expression of activin A, which is a key regulator of fibroblast activity and neuronal growth, tumor necrosis factor receptor superfamily member 10B (TNFRSF10B), which mediates inflammatory and apoptotic signaling, and synaptophysin, which serves as a marker of axonal sprouting and synaptic remodeling in diabetic tissues. Methods: Skin tissues during wounding and after healing from control and diabetic Sprague–Dawley rats were analyzed using histological staining, immunohistochemistry, and quantitative real-time polymerase chain reactions. Additionally, rat fibroblasts were treated with hyperglycemic medium to evaluate gene and protein expression in vitro. Results: Histological analyses revealed impaired healing in diabetic wounds with reduced collagen deposition, loss of adnexal structures, and disorganized tissue architecture. Gene and protein expression of activin A, TNFRSF10B, and synaptophysin were significantly decreased in diabetic healed tissues compared to controls. In vitro, hyperglycemia induced transient upregulation of activin A and TNFRSF10B at 24 h, followed by a decline at 48 and 72 h. Conclusions: These findings indicate that hyperglycemia disrupts key mediators of axonal regeneration in DFUs, potentially contributing to impaired neuronal regeneration and delayed healing. Targeting these molecular pathways may offer therapeutic opportunities to enhance wound repair in DFUs. Full article
(This article belongs to the Section Endocrinology and Metabolism Research)
Show Figures

Figure 1

20 pages, 8166 KB  
Article
Comparative Investigation of the Effects of Adenosine Triphosphate, Melatonin, and Thiamine Pyrophosphate on Amiodarone-Induced Neuropathy and Neuropathic Pain in Male Rats
by Agah Abdullah Kahramanlar, Habip Burak Ozgodek, Ramazan Ince, Bulent Yavuzer, Ozlem Admis, Ali Sefa Mendil, Bilge Ekinci and Halis Suleyman
Biomedicines 2025, 13(12), 2965; https://doi.org/10.3390/biomedicines13122965 - 2 Dec 2025
Viewed by 540
Abstract
Background: Amiodarone is a widely used class III antiarrhythmic agent, but its use can lead to peripheral neuropathy mediated by mitochondrial dysfunction, oxidative stress, and neuroinflammatory injury, while effective preventive options remain limited. Agents that support mitochondrial energy metabolism, sustain redox balance, and [...] Read more.
Background: Amiodarone is a widely used class III antiarrhythmic agent, but its use can lead to peripheral neuropathy mediated by mitochondrial dysfunction, oxidative stress, and neuroinflammatory injury, while effective preventive options remain limited. Agents that support mitochondrial energy metabolism, sustain redox balance, and modulate inflammation, including adenosine triphosphate (ATP), melatonin, and thiamine pyrophosphate (TPP), may counteract these mechanisms; however, their relative neuroprotective potential in amiodarone-induced neuropathy remains unclear. This study aimed to comparatively evaluate the effects of ATP, melatonin, and TPP on amiodarone-induced peripheral neuropathy and neuropathic pain in rats. Methods: Thirty male albino Wistar rats were assigned to five groups: healthy; amiodarone (50 mg/kg/orally); amiodarone + ATP (5 mg/kg/intraperitoneally); amiodarone + melatonin (10 mg/kg/orally); or amiodarone + TPP (20 mg/kg/intraperitoneally). Treatments were given once daily for 14 days. Oxidative stress indices (malondialdehyde (MDA), total glutathione (tGSH), superoxide dismutase (SOD), catalase (CAT)) and proinflammatory cytokines (tumor necrosis factor-alpha (TNF-α), interleukin-1 Beta (IL-1β), interleukin-6 (IL-6)) were quantified in sciatic nerve by Enzyme-Linked Immunosorbent Assay (ELISA). Paw withdrawal thresholds were measured with the Randall-Selitto test before and after treatment. Histopathology was performed using Hematoxylin-eosin staining. Results: Amiodarone exposure resulted in pronounced elevations in MDA and proinflammatory cytokine levels, accompanied by significant reductions in tGSH, SOD, CAT activities, and paw withdrawal thresholds. ATP, melatonin and TPP ameliorated these alterations to varying degrees. Among them, TPP provided the most robust antioxidant and anti-inflammatory effects, followed by ATP and melatonin. Histopathological examination confirmed most severe axonal degeneration, interstitial edema and Schwann cell proliferation in the amiodarone group, with substantial amelioration in the TPP-treated rats. Conclusions: Amiodarone induces neuropathic pain through oxidative and inflammatory injury to peripheral nerves. TPP exhibited superior neuroprotective efficacy compared with ATP and melatonin, highlighting its potential as a candidate therapeutic agent for amiodarone-related neuropathy. Further clinical research is warranted to support translational application of these findings. Full article
(This article belongs to the Special Issue Advanced Research in Neuroprotection)
Show Figures

Graphical abstract

25 pages, 324 KB  
Guidelines
Consensus on Malignant and Benign Tumors in Pediatric Patients with Neurofibromatosis Type 1: On Behalf of the Brazilian Society of Pediatric Oncology (SOBOPE)
by Luiz Guilherme Darrigo Junior, Viviane Sonaglio, Sima Esther Ferman, Eliana Caran, Neviçolino Pereira Carvalho Filho, Sidnei Epelman, Vicky Nogueira Pileggi, Julia Lima, Ruth Bartelli Grigolon and Mauro Geller
Curr. Oncol. 2025, 32(12), 664; https://doi.org/10.3390/curroncol32120664 - 27 Nov 2025
Viewed by 742
Abstract
Neurofibromatosis type 1 (NF1) is an inherited, autosomal dominant syndrome that affects about 1 in every 3000 people worldwide. Early tumor detection is crucial for surveillance and intervention, especially given the potential for serious complications, including visual impairment, skeletal deformities, and malignancy. Therefore, [...] Read more.
Neurofibromatosis type 1 (NF1) is an inherited, autosomal dominant syndrome that affects about 1 in every 3000 people worldwide. Early tumor detection is crucial for surveillance and intervention, especially given the potential for serious complications, including visual impairment, skeletal deformities, and malignancy. Therefore, it is essential for pediatricians and other healthcare professionals who provide care to these patients to be aware of all signs, treatments, and management strategies to deliver the best possible care. This study aims to develop a consensus for the diagnosis, treatment, and management of benign and malignant tumors associated with pediatric patients with NF1. Delphi methodology was used to achieve consensus among experts on the diagnostic accuracy, therapeutic efficacy, safety, and surveillance of pediatric patients with NF1. The consensus made 24 recommendations: gliomas in the optic pathway—6 statements, non-optical gliomas—2 statements, plexiform neurofibromas—5 statements, malignant peripheral nerve sheath tumors (MPNST)—6 statements, melanoma—1 statement, juvenile myelomonocytic leukemia (JMML)—1 statement, pheochromocytoma and paraganglioma—2 statements, and gastrointestinal stromal tumors (GIST)—1 statement. This consensus represents the first Brazilian recommendations on malignant and benign tumors in pediatric patients with NF1, providing a framework to standardize and optimize the clinical application for this disease. Full article
(This article belongs to the Special Issue Neurofibromatosis Type 1 (NF1) Tumor Spectrum)
25 pages, 2062 KB  
Review
Neurofibromatosis Type 1: Genetic Mechanisms and Advances in Therapeutic Innovation
by Yuqing Lu, Manzhu Xu, Xiaojun Chen, Huazhen Xu, Nihao Sun, Karis E. Weisgerber and Ren-Yuan Bai
Cancers 2025, 17(23), 3788; https://doi.org/10.3390/cancers17233788 - 26 Nov 2025
Viewed by 1766
Abstract
Mutations in the NF1 gene cause Neurofibromatosis Type 1 (NF1), one of the most common genetic disorders. This gene encodes neurofibromin, a member of the GTPase-activating protein (GAP) family that functions as a negative regulator of RAS signaling. Loss of NF1 function leads [...] Read more.
Mutations in the NF1 gene cause Neurofibromatosis Type 1 (NF1), one of the most common genetic disorders. This gene encodes neurofibromin, a member of the GTPase-activating protein (GAP) family that functions as a negative regulator of RAS signaling. Loss of NF1 function leads to persistent RAS activation and promotes tumor growth. The clinical manifestations of NF1 mainly include pigmentary changes, benign and malignant peripheral nerve sheath tumors, as well as gliomas affecting the central nervous system. Currently, MEK inhibition is the only approved therapy and is primarily effective in controlling plexiform neurofibromas (pNFs). However, more comprehensive treatments are needed to address the full spectrum of NF1 manifestations and malignant transformation. Novel therapeutic strategies, including AAV-based gene therapy aimed at restoring NF1 function, oncolytic herpes simplex virus (oHSV) therapy targeting RAS-dysregulated tumor cells, and chimeric antigen receptor T cell (CAR-T) therapy targeting NF1-associated tumors, are under active investigation. In this review, we explore the genetic mechanisms underlying NF1 and highlight recent advances in therapeutic development with a special focus on AAV-based gene therapies alongside other approaches with recent clinical and translational advancements. Full article
(This article belongs to the Special Issue Advances in Neurofibromatosis)
Show Figures

Figure 1

22 pages, 874 KB  
Review
Challenges and Progress for Treatment of Malignant Peripheral Nerve Sheath Tumors in the Context of Recent Successes for Sarcoma Therapy
by John F. Callaghan and Raymond R. Mattingly
Cancers 2025, 17(23), 3781; https://doi.org/10.3390/cancers17233781 - 26 Nov 2025
Viewed by 1164
Abstract
Malignant peripheral nerve sheath tumors (MPNSTs) are one of the most difficult sarcomas to treat. Due to the rarity of MPNSTs, many of the therapeutic approaches used are from treatment guidelines for soft tissue sarcoma. Besides surgery, little success has been achieved using [...] Read more.
Malignant peripheral nerve sheath tumors (MPNSTs) are one of the most difficult sarcomas to treat. Due to the rarity of MPNSTs, many of the therapeutic approaches used are from treatment guidelines for soft tissue sarcoma. Besides surgery, little success has been achieved using these therapies. Traditional chemotherapy and radiation therapy regimens designed to treat sarcoma have unclear efficacy when used to treat MPNSTs. Targeted therapeutics that succeeded in other sarcomas failed to produce positive results in MPNSTs. Moreover, investigational agents that have shown efficacy in preclinical models have produced disappointing outcomes in clinical trials. While therapeutic options for patients with MPNST have remained relatively stagnant, dramatic improvements in therapeutic outcomes of other rare sarcomas have been made. This difference in success is likely caused by the complex heterogeneity of MPNSTs that hinders drug development, although many MPNSTs are associated with neurofibromatosis type 1 (NF1), a genetic disorder resulting from mutations in the NF1 gene that encodes the negative RAS regulator neurofibromin. The development of new agents for MPNST treatment has shifted away from solely targeting RAS pathway gene products to stimulating the immune system and manipulating other MPNST driver mutations such as CDKN2A/B, SUZ12, EED, and TP53. This review presents recent advances in the treatment of sarcomas and the future of drug development targeting MPNSTs. Full article
(This article belongs to the Special Issue Insights from the Editorial Board Member)
Show Figures

Figure 1

12 pages, 1616 KB  
Case Report
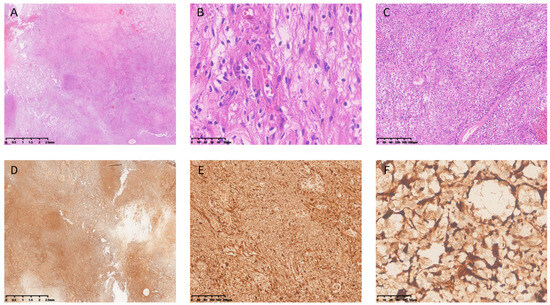
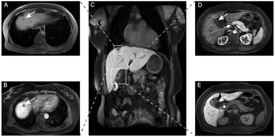
Gallbladder Schwannoma: A Case Report and Literature Review
by Qinyu Liu, Runze Huang, Shujuan Ni, Xin Jin, Xuanci Bai, Lu Wang and Weiping Zhu
Diagnostics 2025, 15(22), 2827; https://doi.org/10.3390/diagnostics15222827 - 7 Nov 2025
Viewed by 588
Abstract
Background and Clinical Significance: Schwannoma is a benign, encapsulated neurogenic neoplasm that originates from Schwann cells of the peripheral nerve sheath. While these tumors may develop in virtually any anatomical location, gallbladder schwannomas are exceptionally rare. Case Presentation: A 56-year-old female patient underwent [...] Read more.
Background and Clinical Significance: Schwannoma is a benign, encapsulated neurogenic neoplasm that originates from Schwann cells of the peripheral nerve sheath. While these tumors may develop in virtually any anatomical location, gallbladder schwannomas are exceptionally rare. Case Presentation: A 56-year-old female patient underwent hepatic tumor resection and cholecystectomy following imaging findings suggestive of possible small hepatocellular carcinoma in the right hepatic lobe and biliary cystadenoma. Postoperative pathological examination confirmed that the liver lesion was a lymphoproliferative disorder and that the gallbladder lesion was a classic schwannoma. The patient recovered well with no evidence of disease recurrence during the two-month follow-up. Conclusions: Current literature indicates that the pathogenesis of gallbladder schwannomas remains unclear, with no apparent age or gender predilection. These lesions lack distinctive clinical or radiological features, necessitating histopathological confirmation. However, they demonstrate excellent prognosis, with no reported recurrence after complete surgical excision. Full article
(This article belongs to the Section Pathology and Molecular Diagnostics)
Show Figures

Figure 1

6 pages, 2063 KB  
Interesting Images
Perineurial Malignant Peripheral Nerve Sheath Tumor of the Cauda Equina: Diagnostic Challenge
by Tomonori Kawasaki, Tomoaki Torigoe, Takuya Watanabe, Satoshi Kanno, Masataka Hirasaki, Arisa Kokubo, Kojiro Onohara, Masanori Wako, Tetsuhiro Hagino and Jiro Ichikawa
Diagnostics 2025, 15(21), 2697; https://doi.org/10.3390/diagnostics15212697 - 24 Oct 2025
Viewed by 552
Abstract
Malignant peripheral nerve sheath tumors (MPNSTs) are rare sarcomas with an extremely rare perineurial subtype. Herein, we present a case of a perineurial MPNST in the cauda equina. Clinically and radiologically, a mass extending from within the spinal canal at the L5 level [...] Read more.
Malignant peripheral nerve sheath tumors (MPNSTs) are rare sarcomas with an extremely rare perineurial subtype. Herein, we present a case of a perineurial MPNST in the cauda equina. Clinically and radiologically, a mass extending from within the spinal canal at the L5 level to outside the intervertebral foramen was identified, raising suspicion of a neurogenic tumor as the primary diagnosis. Computed tomography-guided biopsy suggested an intermediate- to low-grade malignancy; however, a definitive diagnosis could not be established. Two years later, worsening neurological symptoms prompted further imaging, which revealed significant tumor growth and bone invasion. Open biopsy was performed to obtain a definitive diagnosis of perineurial MPNST. MPNSTs lack distinctive imaging features and are generally diagnosed based on a combination of radiological and histopathological findings. Although MPNSTs have a poor prognosis, the perineurial subtype is considered to have a relatively favorable outcome. Given these factors, early diagnosis followed by surgical resection or radiation therapy is recommended. Full article
Show Figures

Figure 1

13 pages, 2606 KB  
Article
Canine Hemangioblastoma: Case Series and Literature Review
by Çağla Aytaş, Alberto Cauduro, Cristian Falzone, Stefania Gianni, Anna Tomba and Carlo Cantile
Animals 2025, 15(20), 3010; https://doi.org/10.3390/ani15203010 - 16 Oct 2025
Viewed by 810
Abstract
Human hemangioblastoma is a benign, slow-growing, highly vascular neoplasm. The tumor most commonly arises in the cerebral hemispheres and cerebellum, where it is more frequently observed in patients with von Hippel–Lindau disease. In veterinary medicine, hemangioblastoma has only been described in the central [...] Read more.
Human hemangioblastoma is a benign, slow-growing, highly vascular neoplasm. The tumor most commonly arises in the cerebral hemispheres and cerebellum, where it is more frequently observed in patients with von Hippel–Lindau disease. In veterinary medicine, hemangioblastoma has only been described in the central nervous system of dogs and in the skin of lambs. Our study aimed to characterize the clinical and neuropathological features of five cases of canine spinal cord hemangioblastoma and one case of sciatic nerve localization, and to compare these results with those reported in the veterinary literature. Diagnoses were achieved by neurological examination, neuroimaging, surgery or post-mortem examination, histopathology, and immunohistochemistry. All tumors were composed of numerous, haphazardly arranged capillaries lined by plump endothelium and interstitial fusiform to stellate stromal cells. Immunohistochemically, the stromal cells were strongly immunolabeled with NSE and carbonic anhydrase IX and were negative for von Willebrand factor VIII and inhibin-α. Canine hemangioblastoma exhibits morphological and immunohistochemical features comparable to the human counterpart, although the latter is mostly positive for inhibin-α. Surgery may be effective in cases of intradural-extramedullary and peripheral nerve locations, as in humans. This is the first report of peripheral nerve hemangioblastoma in animals. Full article
(This article belongs to the Section Veterinary Clinical Studies)
Show Figures

Figure 1

27 pages, 1443 KB  
Review
Unveiling the Role of CCL3: A Driver of CIPN in Colon Cancer Patients?
by Irene Luzac, Cynthia Rosa Regalado and Mihály Balogh
Biomedicines 2025, 13(10), 2512; https://doi.org/10.3390/biomedicines13102512 - 15 Oct 2025
Viewed by 1179
Abstract
Cancer neuroscience is an emerging field revealing how malignancies interact with the nervous system to shape disease progression and symptom burden. In colorectal cancer (CRC), increasing evidence suggests a direct interplay between tumor cells and peripheral sensory neurons, contributing not only to cancer [...] Read more.
Cancer neuroscience is an emerging field revealing how malignancies interact with the nervous system to shape disease progression and symptom burden. In colorectal cancer (CRC), increasing evidence suggests a direct interplay between tumor cells and peripheral sensory neurons, contributing not only to cancer progression but also to chemotherapy-induced side effects such as peripheral neuropathy. Chemokines, particularly CCL3, appear to be key players in this bidirectional communication. This literature review aims to critically examine the role of CCL3 in CRC and chemotherapy-induced peripheral neuropathy (CIPN), with a focus on identifying potential mechanistic overlaps. Specifically, we evaluate whether CCL3 may serve as a molecular link between cancer progression and the development of neuropathic pain. In CRC, CCL3 is frequently upregulated, promoting tumor proliferation, invasion, and immune remodeling through CCR5- and MAPK-dependent pathways. Elevated CCL3 expression correlates with advanced stage, nerve infiltration, and worse prognosis, while select studies suggest it may also enhance antitumor immunity via dendritic cell recruitment. In parallel, CCL3 is also upregulated in the nervous system during CIPN, where it contributes to chronic pain through activation of glial cells, sensitization of nociceptive pathways (e.g., TRPV1, P2X7), and desensitization of opioid receptors. Notably, MAPK signaling is a shared downstream pathway in both contexts, suggesting a potential mechanistic bridge between tumor biology and neurotoxicity. In conclusion, CCL3 emerges as a central molecule at the intersection of CRC and CIPN. Understanding its context-dependent roles may offer new opportunities for risk prediction, biomarker development, and therapeutic intervention—contributing to the broader goals of cancer neuroscience in improving both oncologic and neurologic outcomes. Full article
(This article belongs to the Section Cancer Biology and Oncology)
Show Figures

Figure 1

17 pages, 7304 KB  
Article
Subtype- and Site-Specific Innervation of Melanocytic Nevi as Revealed by PGP 9.5 and CGRP Expression
by Bruno Minigo, Marin Ogorevc, Nela Kelam, Ante Čizmić, Sandra Zekić Tomaš, Katarina Vukojević, Sandra Kostić, Dubravka Vuković and Snježana Mardešić
Medicina 2025, 61(10), 1828; https://doi.org/10.3390/medicina61101828 - 13 Oct 2025
Viewed by 936
Abstract
Background and objectives: Melanocytic nevi are among the most common skin lesions, yet their relationship with the peripheral nervous system has remained understudied. Given the neural crest origin of melanocytes and Schwann cells, and the neurotrophic signaling capabilities of pigment cells, this study [...] Read more.
Background and objectives: Melanocytic nevi are among the most common skin lesions, yet their relationship with the peripheral nervous system has remained understudied. Given the neural crest origin of melanocytes and Schwann cells, and the neurotrophic signaling capabilities of pigment cells, this study aimed to investigate the density of nerve fibers within nevi and assess how it varies with respect to histological subtype and anatomical location. Materials and Methods: A total of 90 nevi were analyzed, including junctional, compound, and intradermal types, distributed across the head, trunk, and limbs. Immunofluorescence staining for the pan-neuronal marker PGP 9.5 and for CGRP were performed and nerve fiber density was quantified. Statistical evaluation using two-way ANOVA revealed that both nevus type and anatomical site significantly influenced the degree of total innervation. Results: Junctional nevi demonstrated the highest total nerve fiber density, significantly exceeding that of compound and intradermal nevi. Likewise, nevi located on the head exhibited a significantly greater density of PGP 9.5-positive nerve fibers compared to those on the trunk and limbs. No significant correlation was observed between nevus type and location, suggesting that both factors contribute independently to the differences in innervation. CGRP-positive innervation was uniform regardless of the histological type of nevus and anatomical location. Conclusions: These findings likely reflect the facts that junctional nevi reside at the dermo-epidermal junction, where nerve fibers are most abundant, while the skin of the head and neck is well known to be more richly innervated than other regions. In contrast, analysis of CGRP-positive fibers suggests that the heterogeneity detected with PGP 9.5 is primarily driven by other neuronal populations. The results support the hypothesis of a dynamic relationship between nevi and the peripheral nervous system, potentially mediated by neurotrophic factors. Understanding this interaction may provide insight into nevus biology, sensory symptoms reported in some lesions, and the evolving role of nerves in the tumor microenvironment. Full article
(This article belongs to the Section Dermatology)
Show Figures

Figure 1

27 pages, 3948 KB  
Article
Fully Automated Segmentation of Cervical Spinal Cord in Sagittal MR Images Using Swin-Unet Architectures
by Rukiye Polattimur, Emre Dandıl, Mehmet Süleyman Yıldırım and Utku Şenol
J. Clin. Med. 2025, 14(19), 6994; https://doi.org/10.3390/jcm14196994 - 2 Oct 2025
Cited by 1 | Viewed by 1333
Abstract
Background/Objectives: The spinal cord is a critical component of the central nervous system that transmits neural signals between the brain and the body’s peripheral regions through its nerve roots. Despite being partially protected by the vertebral column, the spinal cord remains highly [...] Read more.
Background/Objectives: The spinal cord is a critical component of the central nervous system that transmits neural signals between the brain and the body’s peripheral regions through its nerve roots. Despite being partially protected by the vertebral column, the spinal cord remains highly vulnerable to trauma, tumors, infections, and degenerative or inflammatory disorders. These conditions can disrupt neural conduction, resulting in severe functional impairments, such as paralysis, motor deficits, and sensory loss. Therefore, accurate and comprehensive spinal cord segmentation is essential for characterizing its structural features and evaluating neural integrity. Methods: In this study, we propose a fully automated method for segmentation of the cervical spinal cord in sagittal magnetic resonance (MR) images. This method facilitates rapid clinical evaluation and supports early diagnosis. Our approach uses a Swin-Unet architecture, which integrates vision transformer blocks into the U-Net framework. This enables the model to capture both local anatomical details and global contextual information. This design improves the delineation of the thin, curved, low-contrast cervical cord, resulting in more precise and robust segmentation. Results: In experimental studies, the proposed Swin-Unet model (SWU1), which uses transformer blocks in the encoder layer, achieved Dice Similarity Coefficient (DSC) and Hausdorff Distance 95 (HD95) scores of 0.9526 and 1.0707 mm, respectively, for cervical spinal cord segmentation. These results confirm that the model can consistently deliver precise, pixel-level delineations that are structurally accurate, which supports its reliability for clinical assessment. Conclusions: The attention-enhanced Swin-Unet architecture demonstrated high accuracy in segmenting thin and complex anatomical structures, such as the cervical spinal cord. Its ability to generalize with limited data highlights its potential for integration into clinical workflows to support diagnosis, monitoring, and treatment planning. Full article
(This article belongs to the Special Issue Artificial Intelligence and Deep Learning in Medical Imaging)
Show Figures

Figure 1

15 pages, 10310 KB  
Article
ITF6475, a New Histone Deacetylase 6 Inhibitor, Prevents Painful Neuropathy Induced by Paclitaxel
by Guido Cavaletti, Annalisa Canta, Alessia Chiorazzi, Eleonora Pozzi, Valentina Carozzi, Cristina Meregalli, Paola Alberti, Paola Marmiroli, Arianna Scuteri, Luca Crippa, Silvia Fermi, Ibtihal Segmani, Barbara Vergani, Christian Steinkühler and Simonetta Andrea Licandro
Toxics 2025, 13(9), 767; https://doi.org/10.3390/toxics13090767 - 10 Sep 2025
Viewed by 1018
Abstract
Chemotherapy-induced peripheral neuropathy remains a significant side effect of cancer treatment, often requiring dose reductions or even discontinuation of therapy. Paclitaxel (PTX), a widely used chemotherapeutic agent for solid tumors, is particularly neurotoxic, and no effective treatment exists for paclitaxel-induced peripheral neuropathy (PIPN). [...] Read more.
Chemotherapy-induced peripheral neuropathy remains a significant side effect of cancer treatment, often requiring dose reductions or even discontinuation of therapy. Paclitaxel (PTX), a widely used chemotherapeutic agent for solid tumors, is particularly neurotoxic, and no effective treatment exists for paclitaxel-induced peripheral neuropathy (PIPN). Histone deacetylases (HDACs) are enzymes that remove acetyl groups from histone and non-histone proteins, including transcription factors and cytoskeletal components. This study evaluates the HDAC6 inhibitor ITF6475 for its potential to prevent PIPN and compares its effects with ricolinostat, a well-established HDAC6 inhibitor previously studied in cisplatin-induced neuropathy models. Female C57BL/6 mice received PTX vehicle (VEH) or PTX (70 mg/kg intravenously, once per week for four weeks), and the remaining four groups received PTX with co-treatment of either ricolinostat (50 mg/kg orally, daily) or ITF6475 (1, 6, or 12.5 mg/kg orally, daily). Neurophysiological assessments at the end of treatment showed a significant reduction in caudal sensory nerve action potential amplitude across all PTX-treated groups compared to the VEH group. At the same time, PTX treatment led to the development of mechanical allodynia. However, co-treatment with the HDAC6 inhibitor prevented significant differences compared to the VEH group. PTX-induced reduction in intraepidermal nerve fiber density was significantly prevented in the PTX + ITF6475 (1 mg/kg) group, and PTX-induced increase in neurofilament light levels was reduced in all ITF6475 co-treated groups. These findings support the potential of ITF6475 in preventing small fiber damage in a severe, chronic PIPN model. Full article
(This article belongs to the Section Neurotoxicity)
Show Figures

Graphical abstract

Back to TopTop