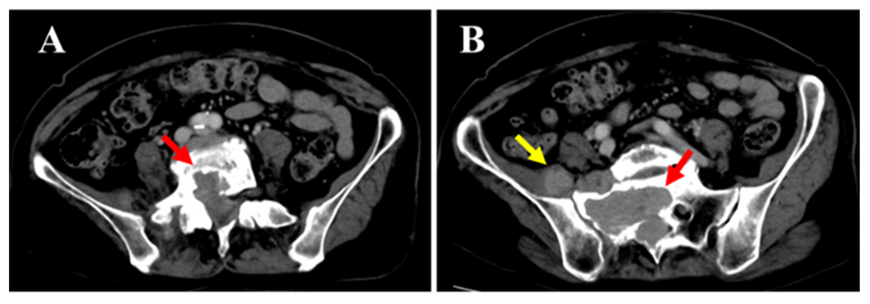
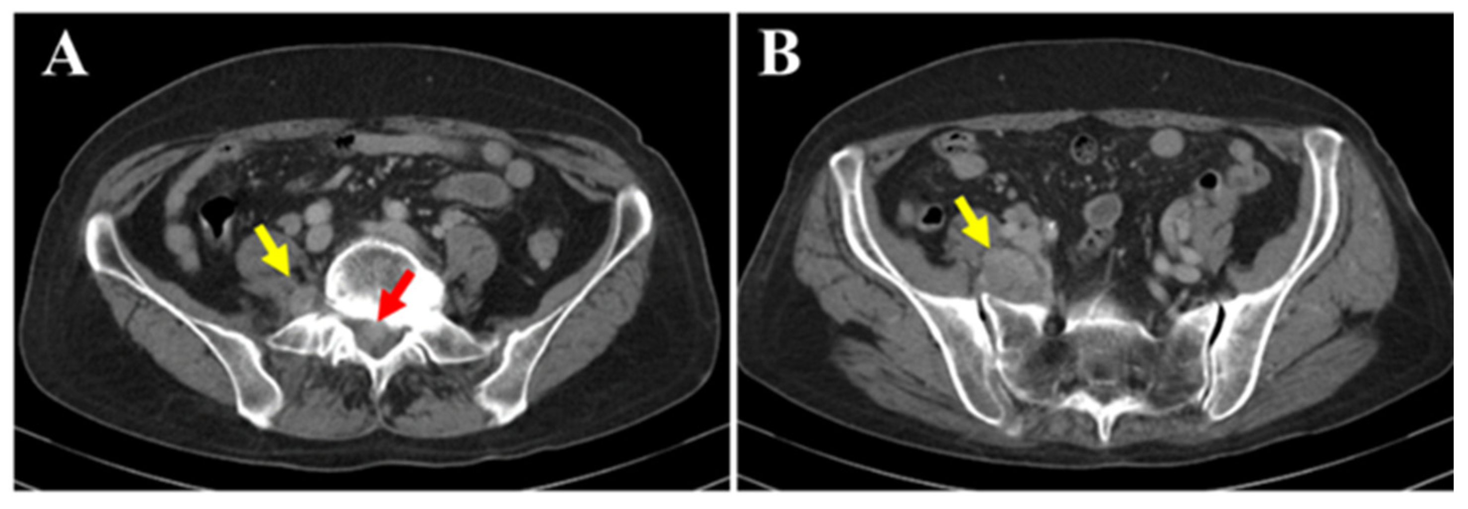
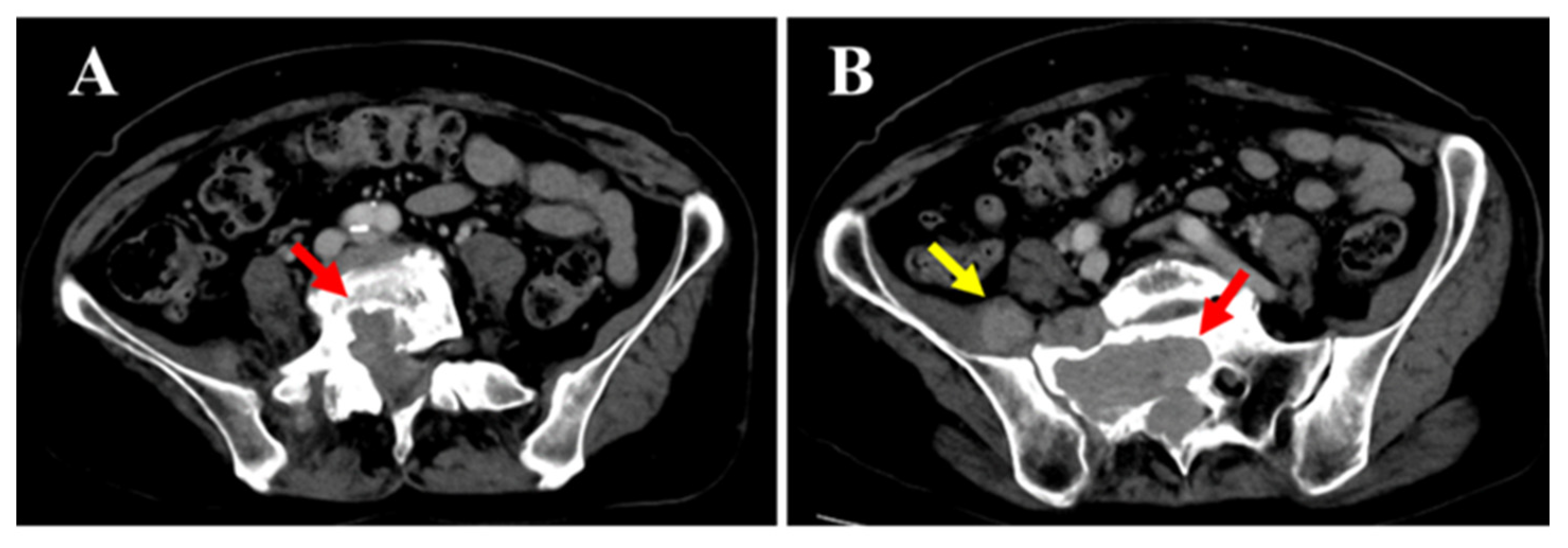
Perineurial Malignant Peripheral Nerve Sheath Tumor of the Cauda Equina: Diagnostic Challenge
Abstract





Author Contributions
Funding
Institutional Review Board Statement
Informed Consent Statement
Data Availability Statement
Conflicts of Interest
Abbreviations
| MRI | Magnetic resonance imaging |
| MPNST | Malignant peripheral nerve sheath tumor |
| CT | Computed tomography |
| NF1 | Neurofibromatosis type 1 |
References
- Nielsen, G.P.; Chi, P. Malignant Peripheral Nerve Sheath Tumor, 5th ed.; IARC Press: Lyon, France, 2020; pp. 254–257. [Google Scholar]
- Thway, K.; Fisher, C. Malignant peripheral nerve sheath tumor: Pathology and genetics. Ann. Diagn. Pathol. 2014, 18, 109–116. [Google Scholar] [CrossRef] [PubMed]
- Bartman, M.; D’Souza, P.; Malkova, K.; Peterson, J.M.; Currie, J.; Costa, M.; Felicella, M.M.; Lall, R. Malignant peripheral nerve sheath tumor presenting in the cauda equina: Diagnostic and biological pearls. Illustrative case. J. Neurosurg. Case Lessons 2025, 9, CASE24723. [Google Scholar] [CrossRef] [PubMed]
- Le Guellec, S.; Decouvelaere, A.V.; Filleron, T.; Valo, I.; Charon-Barra, C.; Robin, Y.M.; Terrier, P.; Chevreau, C.; Coindre, J.M. Malignant peripheral nerve sheath tumor is a challenging diagnosis: A systematic pathology review, immunohistochemistry, and molecular analysis in 160 patients from the French Sarcoma Group Database. Am. J. Surg. Pathol. 2016, 40, 896–908. [Google Scholar] [CrossRef] [PubMed]
- Patil, T.B.; Singh, M.K.; Lalla, R. Giant malignant peripheral nerve sheath tumor with cauda equina syndrome and subarachnoid hemorrhage: Complications in a case of type 1 neurofibromatosis. J. Nat. Sci. Biol. Med. 2015, 6, 436–439. [Google Scholar] [CrossRef] [PubMed]
- Than, K.D.; Ghori, A.K.; Wang, A.C.; Pandey, A.S. Metastatic malignant peripheral nerve sheath tumor of the cauda equina. J. Clin. Neurosci. 2011, 18, 844–846. [Google Scholar] [CrossRef] [PubMed]
- Aponte-Caballero, R.; Sierra-Peña, J.A.; Abaunza-Camacho, J.F.; Riveros-Castillo, W.M.; Saavedra, J.M. Cauda equina malignant peripheral nerve sheath tumor presenting with subarachnoid hemorrhage: A case report. Neurocir. Engl. Ed. 2025, 36, 129–134. [Google Scholar] [CrossRef]
- Wasa, J.; Nishida, Y.; Tsukushi, S.; Shido, Y.; Sugiura, H.; Nakashima, H.; Ishiguro, N. MRI features in the differentiation of malignant peripheral nerve sheath tumors and neurofibromas. AJR Am. J. Roentgenol. 2010, 194, 1568–1574. [Google Scholar] [CrossRef] [PubMed]
- Emori, M.; Tsuchie, H.; Takashima, H.; Teramoto, A.; Murahashi, Y.; Imura, Y.; Outani, H.; Nakai, S.; Takenaka, S.; Hirota, R.; et al. Coefficient of variation of T2-weighted MRI may predict the prognosis of malignant peripheral nerve sheath tumor. Skelet. Radiol. 2024, 53, 657–664. [Google Scholar] [CrossRef] [PubMed]
- Dabiri, M.; Luna, R.; Ahlawat, S.; Fayad, L.M. MR imaging of peripheral nerve sheath tumors. Magn. Reson. Imaging Clin. N. Am. 2025, 33, 469–481. [Google Scholar] [CrossRef] [PubMed]
- Seres, R.; Hameed, H.; McCabe, M.G.; Russell, D.; Lee, A.T.J. The multimodality management of malignant peripheral nerve sheath tumours. Cancers 2024, 16, 3266. [Google Scholar] [CrossRef] [PubMed]
- Haddad, G.; Moussalem, C.; Saade, M.C.; El Hayek, M.; Massaad, E.; Gibbs, W.N.; Shin, J. Imaging of adult malignant soft tissue tumors of the spinal canal: A guide for spine surgeons. World Neurosurg. 2024, 187, 133–140. [Google Scholar] [CrossRef] [PubMed]
- Mitchell, A.; Scheithauer, B.W.; Doyon, J.; Berthiaume, M.J.; Isler, M. Malignant perineurioma (malignant peripheral nerve sheath tumor with perineural differentiation). Clin. Neuropathol. 2012, 31, 424–429. [Google Scholar] [CrossRef] [PubMed]
- Kawasaki, T.; Sato, H.; Tashima, T.; Ichikawa, J. Gastric perineural malignant peripheral nerve sheath tumor masquerading as lymph node metastasis of esophageal carcinoma. Asian J. Surg. 2025, in press. [Google Scholar] [CrossRef]
- Thangaiah, J.J.; Westling, B.E.; Roden, A.C.; Giannini, C.; Tetzlaff, M.; Cho, W.C.; Folpe, A.L. Loss of dimethylated H3K27 (H3K27me2) expression is not a specific marker of malignant peripheral nerve sheath tumor (MPNST): An immunohistochemical study of 137 cases, with emphasis on MPNST and melanocytic tumors. Ann. Diagn. Pathol. 2022, 59, 151967. [Google Scholar] [CrossRef] [PubMed]
- Fiore, M.R.; Chalaszczyk, A.; Barcellini, A.; Vitolo, V.; Fontana, G.; Russo, S.; Rotondi, M.; Molinelli, S.; Mirandola, A.; Bazani, A.; et al. Clinical outcomes of carbon ion radiation therapy for malignant peripheral nerve sheath tumors. Adv. Radiat. Oncol. 2024, 9, 101619. [Google Scholar] [CrossRef] [PubMed]
Disclaimer/Publisher’s Note: The statements, opinions and data contained in all publications are solely those of the individual author(s) and contributor(s) and not of MDPI and/or the editor(s). MDPI and/or the editor(s) disclaim responsibility for any injury to people or property resulting from any ideas, methods, instructions or products referred to in the content. |
© 2025 by the authors. Licensee MDPI, Basel, Switzerland. This article is an open access article distributed under the terms and conditions of the Creative Commons Attribution (CC BY) license (https://creativecommons.org/licenses/by/4.0/).
Share and Cite
Kawasaki, T.; Torigoe, T.; Watanabe, T.; Kanno, S.; Hirasaki, M.; Kokubo, A.; Onohara, K.; Wako, M.; Hagino, T.; Ichikawa, J. Perineurial Malignant Peripheral Nerve Sheath Tumor of the Cauda Equina: Diagnostic Challenge. Diagnostics 2025, 15, 2697. https://doi.org/10.3390/diagnostics15212697
Kawasaki T, Torigoe T, Watanabe T, Kanno S, Hirasaki M, Kokubo A, Onohara K, Wako M, Hagino T, Ichikawa J. Perineurial Malignant Peripheral Nerve Sheath Tumor of the Cauda Equina: Diagnostic Challenge. Diagnostics. 2025; 15(21):2697. https://doi.org/10.3390/diagnostics15212697
Chicago/Turabian StyleKawasaki, Tomonori, Tomoaki Torigoe, Takuya Watanabe, Satoshi Kanno, Masataka Hirasaki, Arisa Kokubo, Kojiro Onohara, Masanori Wako, Tetsuhiro Hagino, and Jiro Ichikawa. 2025. "Perineurial Malignant Peripheral Nerve Sheath Tumor of the Cauda Equina: Diagnostic Challenge" Diagnostics 15, no. 21: 2697. https://doi.org/10.3390/diagnostics15212697
APA StyleKawasaki, T., Torigoe, T., Watanabe, T., Kanno, S., Hirasaki, M., Kokubo, A., Onohara, K., Wako, M., Hagino, T., & Ichikawa, J. (2025). Perineurial Malignant Peripheral Nerve Sheath Tumor of the Cauda Equina: Diagnostic Challenge. Diagnostics, 15(21), 2697. https://doi.org/10.3390/diagnostics15212697

