Sign in to use this feature.

Years

Between: -

Subjects

remove_circle_outline
remove_circle_outline
remove_circle_outline
remove_circle_outline
remove_circle_outline

Journals

Article Types

Countries / Regions

Search Results (182)

Search Parameters:
Keywords = pancreatic neuroendocrine neoplasm

Order results
Result details
Results per page
Select all
Export citation of selected articles as:
18 pages, 4656 KB  
Review
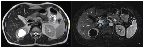
Pancreatic Cystic Lesions: From Basic Knowledge to Recent Guidelines
by Ginevra Danti, Ludovica Scalzone, Lavinia Mattolini, Matilde Anichini, Francesca Treballi, Linda Calistri, Diletta Cozzi and Vittorio Miele
J. Clin. Med. 2026, 15(2), 585; https://doi.org/10.3390/jcm15020585 - 11 Jan 2026
Viewed by 231
Abstract
Pancreatic cystic lesions (PCLs) are increasingly detected due to widespread use of cross-sectional imaging. They encompass a heterogeneous group of lesions, ranging from benign pseudocysts and serous cystic neoplasms (SCNs) to premalignant mucinous cystic neoplasms (MCNs) and intraductal papillary mucinous neoplasms (IPMNs), as [...] Read more.
Pancreatic cystic lesions (PCLs) are increasingly detected due to widespread use of cross-sectional imaging. They encompass a heterogeneous group of lesions, ranging from benign pseudocysts and serous cystic neoplasms (SCNs) to premalignant mucinous cystic neoplasms (MCNs) and intraductal papillary mucinous neoplasms (IPMNs), as well as rare malignant entities such as solid pseudopapillary epithelial neoplasm (SPENs) and cystic pancreatic neuroendocrine tumors (cystic PanNETs). Management of PCLs depends on their malignant potential; therefore, an accurate classification is essential for optimizing treatment. This narrative review summarizes current knowledge on the epidemiology, imaging characteristics, diagnosis, and management of PCLs, highlighting the role of CT, MRI, MRCP, and endoscopic ultrasound. Recent advances in radiomics for lesion characterization and risk stratification, particularly in IPMNs, are discussed. Full article
(This article belongs to the Special Issue Clinical Updates in the Use of Artificial Intelligence for Radiology)
Show Figures

Figure 1

61 pages, 2040 KB  
Review
Current Medical Controversies in Zollinger–Ellison Syndrome
by Robert T. Jensen, Irene Ramos-Alvarez and Jeffrey A. Norton
Biomedicines 2025, 13(12), 3051; https://doi.org/10.3390/biomedicines13123051 - 11 Dec 2025
Viewed by 760
Abstract
Purpose: Zollinger–Ellison syndrome (ZES) is the most frequent, functional, malignant pancreatic neuroendocrine tumor syndrome (pNET), which is due to ectopic secretion of gastrin by a pNET/NET (i.e., gastrinomas) resulting in severe, refractory acid-peptic disease (ulcer, GERD). ZES has several unique management features, [...] Read more.
Purpose: Zollinger–Ellison syndrome (ZES) is the most frequent, functional, malignant pancreatic neuroendocrine tumor syndrome (pNET), which is due to ectopic secretion of gastrin by a pNET/NET (i.e., gastrinomas) resulting in severe, refractory acid-peptic disease (ulcer, GERD). ZES has several unique management features, which lead to a number of unresolved controversies. Areas covered: Whereas both medical and surgical controversies exist, they have not been examined in detail for some time. This review contains an analysis of a number of the main current, medical controversies that are unresolved in ZES patients, including insights into the basis of these controversies and possible insights into their resolution from recent studies in patients with gastrinomas or from recent studies in other pNET syndromes or other neuroendocrine tumors (NETs). These include the following: controversies in the long-term control of acid secretion and acid antisecretory drug side-effects; controversies related to the difficulty in making the diagnosis of ZES; nonsurgical MEN1/ZES controversies related to the management of gastric carcinoids (Type II); nonsurgical MEN1/ZES controversies related to whether genotype–phenotype correlations exist in MEN1 patients including MEN1/ZES patients; nonsurgical MEN1/ZES controversies related to the roles of imaging/tumor localization in MEN1 patients for gastrinomas/pNETs in their initial/follow-up management; controversies related to the role of non-surgical tumor ablation for treatment of ZES/gastrinomas; and controversies related to medical treatment selection for advanced, metastatic disease in patients with ZES/gastrinomas/other malignant pNETs. Conclusions: In this paper, the basis for the development of each of these unique ZES-related controversies is discussed and insights into progress that could lead to their resolution are reviewed. Full article
Show Figures

Graphical abstract

31 pages, 1985 KB  
Review
New Treatment Options for Pancreatic Neuroendocrine Tumors: A Narrative Review
by Agnieszka Romanowicz, Marta Fudalej, Alicja Asendrych-Woźniak, Anna Badowska-Kozakiewicz, Paweł Nurzyński and Andrzej Deptała
Cancers 2025, 17(23), 3837; https://doi.org/10.3390/cancers17233837 - 29 Nov 2025
Viewed by 1877
Abstract
Pancreatic neuroendocrine neoplasms (PanNENs) are a diverse group of cancers with varying clinical presentations and prognoses due to differences in morphology and clinical stage. Most are non-functional tumors that express somatostatin receptors (SSTRs). Several treatment options have been established for patients with locally [...] Read more.
Pancreatic neuroendocrine neoplasms (PanNENs) are a diverse group of cancers with varying clinical presentations and prognoses due to differences in morphology and clinical stage. Most are non-functional tumors that express somatostatin receptors (SSTRs). Several treatment options have been established for patients with locally advanced or metastatic PanNETs, but the optimal choice of treatment approach and the sequence of available therapies are not yet clearly defined and are currently being studied in multiple ongoing clinical trials. Additionally, new drugs are being researched for PanNET treatment, including immune checkpoint inhibitors, next-generation peptide receptor radionuclide therapy, and other targeted biological therapies. To improve treatment outcomes for patients with PanNETs, a multidisciplinary team should evaluate systemic treatment options. The aim of this article is to review currently available therapies and discuss new and emerging systemic treatment strategies for patients with advanced PanNETs. Full article
Show Figures

Figure 1

30 pages, 2794 KB  
Review
An Update on Novel Pharmacotherapies for the Treatment of Neuroendocrine Tumors
by Khalil Choucair, Roupen Odabashian, Sushmita Nanja Reddy, Asfar Sohail Azmi and Muhammad Wasif Saif
Int. J. Mol. Sci. 2025, 26(22), 11095; https://doi.org/10.3390/ijms262211095 - 16 Nov 2025
Viewed by 1812
Abstract
Neuroendocrine tumors (NETs) are heterogeneous neoplasms with different molecular characteristics and prognosis. Although slow-growing, NETs are often diagnosed at an advanced stage. The treatment choice depends on primary site, extent, grade, growth rate, somatostatin receptor status, functional status, performance status, and comorbidities. Precise [...] Read more.
Neuroendocrine tumors (NETs) are heterogeneous neoplasms with different molecular characteristics and prognosis. Although slow-growing, NETs are often diagnosed at an advanced stage. The treatment choice depends on primary site, extent, grade, growth rate, somatostatin receptor status, functional status, performance status, and comorbidities. Precise knowledge of the biological and molecular features of NETs has led to the development of novel therapies. Therapeutic options include somatostatin analogs, multi-targeted tyrosine kinase inhibitors (e.g., sunitinib), or mammalian targets of rapamycin (mTOR) inhibitors (e.g., everolimus), telotristat ethyl, chemotherapy, and peptide-receptor radionuclide therapy. Pivotal studies that led to approval, treatment-related adverse events, and safety concerns, as demonstrated in clinical trials and real-world clinical practice. Questions, such as the optimal timing, selection, and sequence of therapies, and biomarkers that predict response to the novel agents in an individual patient, remain to be answered. We propose a stepwise approach for the management of advanced Gastro-entero-pancreatic (GEP)-NETs that utilizes a multidisciplinary team of experts. Biomarkers may assist in both the diagnosis and post-treatment follow-up in patients with GEP-NETs. The next decade of research on GEP-NETs is promising and should provide new insights into the molecular underpinnings of this disease, therapy selection, and the sequencing of the available therapies, along with the potential role of AL in NET pharmacotherapy. Full article
(This article belongs to the Special Issue Molecular Insights into Pancreatic Diseases)
Show Figures

Figure 1

18 pages, 430 KB  
Article
Germline Mutations in DNA Repair Genes in Patients with Pancreatic Neuroendocrine Neoplasms: Diagnostic and Therapeutic Implications
by Beata Jurecka-Lubieniecka, Małgorzata Ros-Mazurczyk, Aleksandra Sygula, Alexander J. Cortez, Marcela Krzempek, Anna B. Tuleja, Agnieszka Kotecka-Blicharz, Marta Cieslicka, Malgorzata Oczko-Wojciechowska and Daria Handkiewicz-Junak
Curr. Oncol. 2025, 32(11), 631; https://doi.org/10.3390/curroncol32110631 - 10 Nov 2025
Viewed by 765
Abstract
Pancreatic neuroendocrine neoplasms (pNENs) are the second most common type of pancreatic cancer after pancreatic ductal adenocarcinoma. Germline mutations in DNA repair genes drive several hereditary and sporadic cancers; however, their role in pNENs remains poorly defined. This pilot study aimed to assess [...] Read more.
Pancreatic neuroendocrine neoplasms (pNENs) are the second most common type of pancreatic cancer after pancreatic ductal adenocarcinoma. Germline mutations in DNA repair genes drive several hereditary and sporadic cancers; however, their role in pNENs remains poorly defined. This pilot study aimed to assess the frequency and clinical relevance of germline DNA repair gene mutations in patients with pNENs, both with and without a family history of cancer. Germline DNA from 57 Polish patients with pNENs was analyzed using targeted next-generation sequencing to identify variants in a panel of DNA repair genes. Variant classification followed the American College of Medical Genetics and Genomics/Association for Molecular Pathology guidelines. Germline mutations were identified in 14 patients (24.6%), both with and without a family history of malignancy. Two patients carried pathogenic variants in BRCA2 and CHEK2, while seven carried variants of uncertain significance (VUS). The identified variants have been implicated in various cancer types, including breast, ovarian, prostate, gastric, colorectal, and pancreatic cancers. These findings indicate that germline mutations in DNA repair genes may contribute to the pathogenesis of pNENs, even in patients without a family history. Broader germline testing and population-specific studies are needed to clarify the genetic landscape and clinical implications of these alterations. Full article
(This article belongs to the Special Issue High-Grade Neuroendocrine Neoplasms)
Show Figures

Figure 1

15 pages, 1164 KB  
Article
Clinical Management and Prognostic Outcomes of Pancreatic Neuroendocrine Tumors: Insights from a Tertiary Care Center
by Rucsandra-Ilinca Diculescu, Tudor Stroie, Doina Istrătescu, Adina Emilia Croitoru, Cristian Gheorghe, Vladislav Brașoveanu, Traian Dumitrașcu, Mihai Adrian Eftimie, Radu Țuțuian and Cătălina Poiană
Medicina 2025, 61(11), 1955; https://doi.org/10.3390/medicina61111955 - 30 Oct 2025
Viewed by 657
Abstract
Background and Objectives: Pancreatic neuroendocrine tumors (PanNETs) are rare and heterogeneous neoplasms with variable clinical behavior. Despite advances in diagnosis and treatment, the optimal management strategy remains unclear. This present study aims to evaluate survival outcomes according to first-line therapy and tumor characteristics. [...] Read more.
Background and Objectives: Pancreatic neuroendocrine tumors (PanNETs) are rare and heterogeneous neoplasms with variable clinical behavior. Despite advances in diagnosis and treatment, the optimal management strategy remains unclear. This present study aims to evaluate survival outcomes according to first-line therapy and tumor characteristics. Materials and Methods: We conducted a retrospective cohort study including adult patients with histologically confirmed PanNETs who were treated at a tertiary care center between January 2020 and January 2025. Patients were divided into two groups according to their first-line management: surgical resection or non-surgical treatment. Overall survival (OS) was assessed in the entire cohort, and disease-free survival (DFS) was evaluated in patients who underwent complete surgical resection (R0). Results: A total of 68 patients were included, of whom 46 (67.6%) underwent surgery as first-line treatment. In the non-surgical group, 45.5% received combined systemic therapy and somatostatin analogues (SSA), 36.4% received SSA alone, 4.5% systemic therapy alone, and 9.1% were managed with active surveillance. Patients who underwent surgery tended to have lower-grade tumors and earlier-stage disease. The OS rates were 96.5% at one year, 83.2% at three years, and 62.3% at five years, with a median OS of 179 months. Both surgical treatment and lower tumor grade were significantly associated with improved OS. Among patients who had R0 resection, DFS was 95.8% at one year and 84.3% at both three and five years. Lower-grade tumors were also associated with longer DFS. Conclusions: This study demonstrates that first-line surgical resection and lower tumor grade were significantly associated with better OS in patients with PanNETs. Among patients who underwent curative surgery, lower tumor grades were associated with improved DFS. Full article
(This article belongs to the Section Gastroenterology & Hepatology)
Show Figures

Figure 1

16 pages, 985 KB  
Systematic Review
Patient-Derived Organoids from Pancreatic Neuroendocrine Tumors: A Systematic Review of PDO Take Rates, Molecular–Biological Characteristics, and Potential for Clinical Utility
by Celine Oanæs, Marcus T. T. Roalsø, Marina Alexeeva and Kjetil Søreide
Cancers 2025, 17(20), 3364; https://doi.org/10.3390/cancers17203364 - 18 Oct 2025
Viewed by 1081
Abstract
Background: Pancreatic neuroendocrine neoplasia (PanNEN) comprises a spectrum, from well-differentiated (i.e., G1, G2) pancreatic neuroendocrine tumors (PanNETs) to poorly differentiated carcinomas (PanNECs). Therapeutic progress is limited by the lack of representative preclinical models. Patient-derived organoids (PDOs) offer potential as translational models, but evidence [...] Read more.
Background: Pancreatic neuroendocrine neoplasia (PanNEN) comprises a spectrum, from well-differentiated (i.e., G1, G2) pancreatic neuroendocrine tumors (PanNETs) to poorly differentiated carcinomas (PanNECs). Therapeutic progress is limited by the lack of representative preclinical models. Patient-derived organoids (PDOs) offer potential as translational models, but evidence remains scattered. Methods: We conducted a systematic review of PubMed (Jan 2009–Aug 2025) for original studies reporting on PDOs from PanNEN patients. Eligible studies were screened using the Rayyan software and data extracted from PDO take rates, validation methods, and clinical applications. Results: Twelve studies were included for qualitative and quantitative analyses. PDOs were successfully generated from both PanNETs (G1–G3; n = 26) and PanNECs (n = 6), primarily derived from primary tumors, but several studies also included metastatic sites. Take rates ranged from 33% to 100%, for a cumulative 33 PDOs from 44 attempts (overall take rate: 75%). Validation consistently employed histology, immunohistochemistry, and molecular profiling, with several studies incorporating xenotransplantation or omics approaches. PDOs demonstrated variable culture durations, from short-term (<3 weeks) to long-term (>20 passages). Drug screening studies (n = 7) revealed heterogenous responses to standard agents and pathways (everolimus, sunitinib, and temozolomide) and identified novel vulnerabilities, including EZH2 dependency, PI3K/CDK4/6 synergy, and Bcl-2-linked sensitivities in PanNECs. One study provided evidence of concordance between PDO drug sensitivity and patient responses. Conclusions: Research into PanNEN organoids remains limited. However, PDOs can preserve key histological and molecular features, enable pharmacotyping, and uncover candidate biomarkers for therapy. Despite feasibility across subtypes, progress is constrained by variability in culture success. Standardization and prospective validation are essential to advance PDOs as tools for personalized medicine in PanNENs. Full article
Show Figures

Figure 1

13 pages, 572 KB  
Review
Tumor Growth Rate in Neuroendocrine Neoplasms: An Additional Tool for Treatment Strategies?
by Roberta Modica, Alessia Liccardi, Elio Benevento, Roberto Minotta, Gianfranco Di Iasi, Massimo Di Nola, Michele Coletta and Annamaria Colao
Medicina 2025, 61(10), 1852; https://doi.org/10.3390/medicina61101852 - 16 Oct 2025
Viewed by 845
Abstract
Background and Objectives: Neuroendocrine neoplasms (NENs) are rare, mainly gastro-entero-pancreatic tumors with heterogeneous biology and multiple therapeutic options. Assessing treatment response remains challenging. Standard evaluation relies on RECIST 1.1, although its limitations are well recognized. Tumor growth rate (TGR), defined as the [...] Read more.
Background and Objectives: Neuroendocrine neoplasms (NENs) are rare, mainly gastro-entero-pancreatic tumors with heterogeneous biology and multiple therapeutic options. Assessing treatment response remains challenging. Standard evaluation relies on RECIST 1.1, although its limitations are well recognized. Tumor growth rate (TGR), defined as the monthly percentage change in tumor size between two imaging assessments, has been proposed as a dynamic parameter to complement conventional criteria. This review explores the role of TGR in NEN. Results: Two different evaluations of TGR, once conducted between baseline diagnostic scan and a radiological assessment 12–24 weeks after (TGR0), and another conducted between baseline scan and a diagnostic evaluation three months after (TGR3m), proved to be well correlated to progression free survival (PFS) in G1 and low-G2 NEN, with cut off of 4%/month and 0.8%/month, respectively. Conclusions: TGR offers additional insights into tumor kinetics and may help refine treatment monitoring in NEN. While retrospective evidence supports its prognostic utility, prospective studies are required to validate TGR as a standard clinical tool. Full article
(This article belongs to the Special Issue Clinical Treatment of Neuroendocrine Neoplasm)
Show Figures

Figure 1

14 pages, 2631 KB  
Article
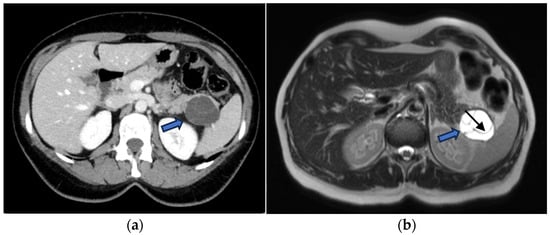
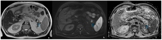
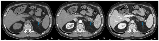
Clinicopathological Features of Small Pancreatic Neuroendocrine Neoplasms 10 mm or Smaller
by Tetsuro Hirano, Masahiro Serikawa, Yasutaka Ishii, Shinya Nakamura, Juri Ikemoto, Masaru Furukawa, Yumiko Yamashita, Noriaki Iijima, Yasuhiro Okuda, Risa Nomura, Koji Arihiro, Kenichiro Uemura, Shinya Takahashi, Hideki Ohdan and Shiro Oka
Diagnostics 2025, 15(19), 2423; https://doi.org/10.3390/diagnostics15192423 - 23 Sep 2025
Viewed by 486
Abstract
Background/Objectives: There is limited evidence on imaging characteristics and pathological grading of small pancreatic neuroendocrine tumors (PNENs). This study aimed to compare imaging features and histopathological diagnoses of PNENs based on tumor size. Methods: Patients with PNEN who underwent pathological diagnosis at Hiroshima [...] Read more.
Background/Objectives: There is limited evidence on imaging characteristics and pathological grading of small pancreatic neuroendocrine tumors (PNENs). This study aimed to compare imaging features and histopathological diagnoses of PNENs based on tumor size. Methods: Patients with PNEN who underwent pathological diagnosis at Hiroshima University Hospital were retrospectively reviewed. Detection rates, imaging findings, and diagnostic accuracy of endoscopic ultrasound-guided fine needle aspiration (EUS-FNA) were analyzed according to tumor size. Results: Among 107 patients with PNEN, 42 had tumors ≤10 mm, and 65 had tumors >10 mm. The detection rate for lesions ≤10 mm was 92.3% according to EUS and 83.3% according to contrast-enhanced CT, showing the superior sensitivity of EUS. Typical imaging features—well-defined margins, homogeneous internal structure, and early enhancement—were significantly more frequent in tumors ≤10 mm (p < 0.001). There were no significant differences in imaging findings between G1 and G2 tumors ≤10 mm. The diagnostic sensitivity of EUS-FNA was 91.2% for tumors ≤10 mm and 86.3% for tumors >10 mm, with no significant difference. However, the concordance rate between EUS-FNA and surgical histology for tumor grading was significantly higher in the ≤10 mm group (87.5% vs. 56.3%, p = 0.012). Discussion: In small PNENs (≤10 mm), imaging features are often typical but do not reliably determine tumor grade. In our cohort, EUS-FNA showed high diagnostic accuracy and provided essential pathological information to guide management, including the choice between surveillance and surgery. Full article
(This article belongs to the Section Pathology and Molecular Diagnostics)
Show Figures

Figure 1

17 pages, 1371 KB  
Review
Surgical Strategies for Tumors of the Pancreas and Duodenum
by Rosyli F. Reveron-Thornton, Kelly X. Huang, Daniel Delitto, Michael T. Longaker and Jeffrey A. Norton
Cancers 2025, 17(18), 3091; https://doi.org/10.3390/cancers17183091 - 22 Sep 2025
Viewed by 1502
Abstract
The recommended surgery for pancreatic tumors is dependent on the diagnosis. For pancreatic adenocarcinoma, duodenal, and ampullary adenocarcinoma, a Whipple pancreaticoduodenectomy with lymph node dissection is recommended. For small < 2 cm or non-imageable gastrinomas, duodenal transillumination, duodenotomy, duodenal tumor excision and adjacent [...] Read more.
The recommended surgery for pancreatic tumors is dependent on the diagnosis. For pancreatic adenocarcinoma, duodenal, and ampullary adenocarcinoma, a Whipple pancreaticoduodenectomy with lymph node dissection is recommended. For small < 2 cm or non-imageable gastrinomas, duodenal transillumination, duodenotomy, duodenal tumor excision and adjacent lymphadenectomy is recommended. For large > 3 cm gastrinomas, a Whipple pancreaticoduodenectomy with adjacent lymph node dissection is recommended. For small 1–2 cm insulinomas, intraoperative ultrasound with enucleation is recommended. If the patient with gastrinoma, insulinoma, or multiple nonfunctional NETs occurs in the setting of MEN-1, a subtotal pancreatectomy with or without splenectomy with enucleation of pancreatic head tumors is recommended, with adjacent lymph node dissection. The detail of each procedure is described with illustrations. Full article
(This article belongs to the Special Issue The Progress of Pancreatectomy for Pancreatic Cancer Treatment)
Show Figures

Figure 1

17 pages, 5323 KB  
Review
Contrast-Enhanced Harmonic Endoscopic Ultrasonography for Prediction of Aggressiveness and Treatment Response in Patients with Pancreatic Lesions
by Marco Spadaccini, Gianluca Franchellucci, Marta Andreozzi, Maria Terrin, Matteo Tacelli, Piera Zaccari, Maria Chiara Petrone, Gaetano Lauri, Matteo Colombo, Valeria Poletti, Giacomo Marcozzi, Antonella Durante, Roberto Leone, Maria Margherita Massaro, Antonio Facciorusso, Alessandro Fugazza, Alessandro Repici, Paolo Giorgio Arcidiacono and Silvia Carrara
Cancers 2025, 17(15), 2545; https://doi.org/10.3390/cancers17152545 - 1 Aug 2025
Cited by 1 | Viewed by 2006
Abstract
Endoscopic ultrasonography represents a crucial aspect of the diagnosis of pancreatic lesions. The echo-endoscopic features of pancreatic lesions, particularly their contrast behavior with the advent of Contrast-Enhanced EUS (CE-EUS) and Contrast Enhanced Harmonic-EUS (CH-EUS), can predict a lesion’s aggressiveness, depending on its nature. [...] Read more.
Endoscopic ultrasonography represents a crucial aspect of the diagnosis of pancreatic lesions. The echo-endoscopic features of pancreatic lesions, particularly their contrast behavior with the advent of Contrast-Enhanced EUS (CE-EUS) and Contrast Enhanced Harmonic-EUS (CH-EUS), can predict a lesion’s aggressiveness, depending on its nature. According to this, CH-EUS could be applied to structure an even more dedicated approach to patient care, for example, to ascertain eligibility for surgical intervention of a pancreatic ductal adenocarcinoma (PDAC) or the response to neoadjuvant chemotherapy in cases deemed borderline resectable. In addition to PDAC, other significant issues pertain to the management of small neuroendocrine tumors (NETs) and intraductal papillary mucinous neoplasms (IPMNs). In this context, CH-EUS can be crucial. The aim of this review is to underline the most recent evidence for EUS and CH-EUS applications in pancreatic lesion aggressiveness assessment and to focus on possible future research directions to further extend the application of CH-EUS in this field. Full article
(This article belongs to the Special Issue Clinical Applications of Ultrasound in Cancer Imaging and Treatment)
Show Figures

Figure 1

29 pages, 639 KB  
Review
Functional Pancreatic Neuroendocrine Neoplasms: An Overview
by Ethan A. Mills, Beckey P. DeLucia, Colton D. Wayne, Taylor H. Jacobs, Gail E. Besner and Siddharth Narayanan
Endocrines 2025, 6(3), 38; https://doi.org/10.3390/endocrines6030038 - 1 Aug 2025
Cited by 1 | Viewed by 4680
Abstract
Pancreatic neuroendocrine neoplasms (PNENs) are a diverse group of rare tumor subtypes, representing less than 2% of all pancreatic tumors. Often detected late in the clinical course, they are associated with high rates of morbidity and mortality. Hereditary syndromes such as multiple endocrine [...] Read more.
Pancreatic neuroendocrine neoplasms (PNENs) are a diverse group of rare tumor subtypes, representing less than 2% of all pancreatic tumors. Often detected late in the clinical course, they are associated with high rates of morbidity and mortality. Hereditary syndromes such as multiple endocrine neoplasia type-1 and von Hippel–Lindau are associated with the development of PNENs, although only a small portion of total tumors have a genetic basis. This review aims to explore the recent advances in laboratory diagnostics, imaging modalities, medical management, and surgical approaches to hormone-producing PNENs (including some common, less common, and some rare subtypes), with the goal of assisting physicians in the integration of evidence-based information into their practice. Full article
Show Figures

Figure 1

19 pages, 6583 KB  
Case Report
New Horizons: The Evolution of Nuclear Medicine in the Diagnosis and Treatment of Pancreatic Neuroendocrine Tumors—A Case Report
by Annamária Bakos, László Libor, Béla Vasas, Kristóf Apró, Gábor Sipka, László Pávics, Zsuzsanna Valkusz, Anikó Maráz and Zsuzsanna Besenyi
J. Clin. Med. 2025, 14(13), 4432; https://doi.org/10.3390/jcm14134432 - 22 Jun 2025
Viewed by 1293
Abstract
Background: Pancreatic neuroendocrine tumors (PanNETs) are relatively rare neoplasms with heterogeneous behavior, ranging from indolent to aggressive disease. The evolution of nuclear medicine has allowed the development of an efficient and advanced toolkit for the diagnosis and treatment of PanNETs. Case: [...] Read more.
Background: Pancreatic neuroendocrine tumors (PanNETs) are relatively rare neoplasms with heterogeneous behavior, ranging from indolent to aggressive disease. The evolution of nuclear medicine has allowed the development of an efficient and advanced toolkit for the diagnosis and treatment of PanNETs. Case: A 45-year-old woman was diagnosed with a grade 1 PanNET and multiple liver metastases. She underwent distal pancreatectomy with splenectomy, extended liver resection, and radiofrequency ablation (RFA). Surgical planning was guided by [99mTc]Tc-EDDA/HYNIC-TOC SPECT/CT (single-photon emission computed tomography/computed tomography) and preoperative [99mTc]Tc-mebrofenin-based functional liver volumetry. Functional liver volumetry based on dynamic [99mTc]Tc-mebrofenin SPECT/CT facilitated precise surgical planning and reliable assessment of the efficacy of parenchymal modulation, thereby aiding in the prevention of post-hepatectomy liver failure. Liver fibrosis was non-invasively evaluated using two-dimensional shear wave elastography (2D-SWE). Tumor progression was monitored using somatostatin receptor scintigraphy, chromogranin A, and contrast-enhanced CT. Recurrent disease was treated with somatostatin analogues (SSAs) and [177Lu]Lu-DOTA-TATE peptide receptor radionuclide therapy (PRRT). Despite progression to grade 3 disease (Ki-67 from 1% to 30%), the patient remains alive 53 months post-diagnosis, in complete remission, with an ECOG (Eastern Cooperative Oncology Group) status of 0. Conclusions: Functional imaging played a pivotal role in guiding therapeutic decisions throughout the disease course. This case not only underscores the clinical utility of advanced nuclear imaging but also illustrates the dynamic nature of pancreatic neuroendocrine tumors. The transition from low-grade to high-grade disease highlights the need for further studies on tumor progression mechanisms and the potential role of adjuvant therapies in managing PanNETs. Full article
Show Figures

Figure 1

18 pages, 265 KB  
Review
Artificial Intelligence for Prognosis of Gastro-Entero-Pancreatic Neuroendocrine Neoplasms
by Elettra Merola, Giuseppe Fanciulli, Giovanni Mario Pes and Maria Pina Dore
Cancers 2025, 17(12), 1981; https://doi.org/10.3390/cancers17121981 - 13 Jun 2025
Cited by 2 | Viewed by 1055
Abstract
Gastro-entero-pancreatic neuroendocrine neoplasms (GEP-NENs) represent a challenging disease. Their large heterogeneity limits the possibility of providing accurate risk assessments or standardizing the most effective therapies for these patients. In recent years, artificial intelligence (AI), and in particular machine learning approaches, have shown real [...] Read more.
Gastro-entero-pancreatic neuroendocrine neoplasms (GEP-NENs) represent a challenging disease. Their large heterogeneity limits the possibility of providing accurate risk assessments or standardizing the most effective therapies for these patients. In recent years, artificial intelligence (AI), and in particular machine learning approaches, have shown real promise in addressing these complexities. By analyzing large volumes of clinical, imaging, and pathological data, AI-based tools can significantly improve the accuracy of survival predictions and guide more tailored treatment strategies. In this narrative review, we examine the potential applications of AI to develop effective prognostic models in GEP-NENs, and how these models may help clinicians in predicting survival and optimizing patient management. While early results are encouraging, important limitations remain, since available data stem from small, retrospective datasets, sometimes lacking external validation, and concerns around transparency and ethics still represent an open issue. Addressing these gaps will be key to moving from research applications to practical tools that can support everyday clinical decision-making. Full article
(This article belongs to the Section Clinical Research of Cancer)
Show Figures

Graphical abstract

11 pages, 1746 KB  
Article
Safety and Efficacy of Radiofrequency Ablation in Management of Various Pancreatic Neoplasms
by Varshita Goduguchinta, Mohamed Ebrahim, Raahi Patel, Navkiran Randhawa, Ahamed Khalyfa, Mahnoor Inamullah, Rahil Desai and Kamran Ayub
J. Clin. Med. 2025, 14(11), 3958; https://doi.org/10.3390/jcm14113958 - 4 Jun 2025
Viewed by 1580
Abstract
Background/Objectives: Pancreatic neoplasms, including adenocarcinoma, pancreatic neuroendocrine tumors (pNETs), intraductal papillary mucinous neoplasms (IPMNs), and high-grade cystic lesions, often require surgical resection as a form of curative treatment. However, comorbidities and high-risk features may preclude surgery. Endoscopic ultrasound-guided radiofrequency ablation (EUS-RFA) has emerged [...] Read more.
Background/Objectives: Pancreatic neoplasms, including adenocarcinoma, pancreatic neuroendocrine tumors (pNETs), intraductal papillary mucinous neoplasms (IPMNs), and high-grade cystic lesions, often require surgical resection as a form of curative treatment. However, comorbidities and high-risk features may preclude surgery. Endoscopic ultrasound-guided radiofrequency ablation (EUS-RFA) has emerged as a minimally invasive alternative with proven cytoreductive efficacy in solid tumors. This case series evaluates the safety and efficacy of EUS-RFA in patients with various unresectable, non-metastatic pancreatic neoplasms. Methods: A retrospective review was conducted on eight patients who underwent EUS-RFA at our institutions between July 2021 and February 2025. All patients were deemed unsuitable surgical candidates due to comorbidities such as advanced age, cardiovascular disease, renal insufficiency, and COPD or due to patient resistance to surgical intervention. EUS-RFA was performed using a 19-gauge RFA needle (Taewoong Corporation). Follow-up imaging was conducted 3 to 6 months after the completion of RFA treatment. Results: All eight patients demonstrated a good to excellent response in terms of tumor size reduction. The most notable response was observed in a patient with pNET, resulting in complete resolution from 15.6 × 12.0 mm to 0.0 × 0.0 mm after two RFA treatments. Other neoplasms, including pancreatic adenocarcinoma and intraductal papillary mucinous neoplasms (IPMNs), also demonstrated significant reductions. Mild post-procedure complications, including pancreatitis and abdominal pain, were noted in three cases. Conclusions: EUS-RFA is a promising alternative for managing unresectable pancreatic neoplasms in high-risk patients. Our findings support its use across various tumor types with favorable outcomes and minimal complications, reinforcing its role in expanding therapeutic options beyond surgery. Full article
(This article belongs to the Section Gastroenterology & Hepatopancreatobiliary Medicine)
Show Figures

Figure 1

Back to TopTop