error_outline You can access the new MDPI.com website here. Explore and share your feedback with us.
 
 
Sign in to use this feature.

Years

Between: -

Subjects

remove_circle_outline
remove_circle_outline
remove_circle_outline
remove_circle_outline
remove_circle_outline
remove_circle_outline
remove_circle_outline
remove_circle_outline
remove_circle_outline

Journals

remove_circle_outline
remove_circle_outline
remove_circle_outline
remove_circle_outline
remove_circle_outline
remove_circle_outline
remove_circle_outline
remove_circle_outline
remove_circle_outline
remove_circle_outline
remove_circle_outline
remove_circle_outline
remove_circle_outline
remove_circle_outline
remove_circle_outline
remove_circle_outline
remove_circle_outline
remove_circle_outline
remove_circle_outline
remove_circle_outline

Article Types

Countries / Regions

remove_circle_outline
remove_circle_outline
remove_circle_outline
remove_circle_outline
remove_circle_outline

Search Results (1,372)

Search Parameters:
Keywords = native promoter

Order results
Result details
Results per page
Select all
Export citation of selected articles as:
17 pages, 2302 KB  
Article
Engineered GO-Based Hydrogels for Controlled Hyaluronic Acid Release in Knee Osteoarthritis Treatment
by Roya Binaymotlagh, Damiano Petrilli, Laura Chronopoulou, Giorgio Mandato, Francesca Sciandra, Andrea Brancaccio, Marisa Colone, Annarita Stringaro, Leonardo Giaccari, Francesco Amato, Andrea Giacomo Marrani, Silvia Franco, Roberta Angelini and Cleofe Palocci
Polymers 2026, 18(2), 152; https://doi.org/10.3390/polym18020152 - 6 Jan 2026
Abstract
Osteoarthritis (OA) is a prevalent chronic pain syndrome and a leading cause of disability worldwide, characterized by progressive deterioration of articular cartilage. This degradation leads to pain, swelling, inflammation, and eventual stiffness as the cartilage wears down, causing bone-on-bone friction. Current medical treatments [...] Read more.
Osteoarthritis (OA) is a prevalent chronic pain syndrome and a leading cause of disability worldwide, characterized by progressive deterioration of articular cartilage. This degradation leads to pain, swelling, inflammation, and eventual stiffness as the cartilage wears down, causing bone-on-bone friction. Current medical treatments primarily aim at pain relief; however, many interventions, especially invasive or surgical ones, carry risks of adverse outcomes. Consequently, intra-articular (IA) therapy, particularly hyaluronic acid (HA) injections, is widely adopted as a conservative treatment option. HA plays a crucial role in maintaining joint homeostasis by supporting proteoglycan synthesis and scaffolding, restoring optimal HA concentrations in synovial fluid, and providing chondroprotective and anti-inflammatory effects. In recent years, hydrogels composed of natural and synthetic materials have emerged as promising candidates for OA treatment. Our research focuses on the biosynthesis and characterization of novel hydrogel composites combining short peptide hydrogelators with aminated graphene oxide (a-GO) nanosheets functionalized with HA (a-GO-HA@Hgel). These a-GO-HA@Hgel nanocomposites are designed to facilitate the controlled release of HA into the extracellular matrix, aiming to promote cartilage regeneration and mitigate inflammation. The strategy is to exploit the oxygen-containing functional groups of GO nanosheets to enable covalent coupling or physical adsorption of HA molecules through various chemical approaches. The resulting a-GO-HA are incorporated within hydrogel matrices to achieve sustained and controlled HA release. We study the influence of a-GO-HA on the native hydrogel structure and its viscoelastic properties, which are critical for mimicking the mechanical environment of native cartilage tissue. Through this multidisciplinary approach combining advanced materials science and cellular biology, this work aims to develop innovative nanocomposite hydrogels capable of delivering HA in a controlled manner, enhancing cartilage repair and providing a potential therapeutic strategy for OA management. Full article
(This article belongs to the Special Issue Advances in Polymer Hydrogels for Biomedical Applications)
Show Figures

Figure 1

24 pages, 5920 KB  
Article
Genome- and Transcriptome-Wide Characterization of AP2/ERF Transcription Factor Superfamily Reveals Their Relevance in Stylosanthes scabra Vogel Under Water Deficit Stress
by Cínthia Carla Claudino Grangeiro Nunes, Agnes Angélica Guedes de Barros, Jéssica Barboza da Silva, Wilson Dias de Oliveira, Flávia Layse Belém Medeiros, José Ribamar Costa Ferreira-Neto, Roberta Lane de Oliveira-Silva, Eliseu Binneck, Reginaldo de Carvalho and Ana Maria Benko-Iseppon
Plants 2026, 15(1), 158; https://doi.org/10.3390/plants15010158 - 4 Jan 2026
Viewed by 164
Abstract
Stylosanthes scabra, a legume native to the Brazilian semiarid region, exhibits remarkable drought tolerance and represents a valuable model for studying molecular adaptation in legumes. Transcription factors of the AP2/ERF superfamily play central roles in plant development and stress response. This study [...] Read more.
Stylosanthes scabra, a legume native to the Brazilian semiarid region, exhibits remarkable drought tolerance and represents a valuable model for studying molecular adaptation in legumes. Transcription factors of the AP2/ERF superfamily play central roles in plant development and stress response. This study aimed to identify and characterize AP2/ERF genes in Stylosanthes scabra and to analyze their transcriptional response to root dehydration. Candidate genes were identified through a Hidden Markov Model (HMM) search using the AP2 domain profile (PF00847), followed by validation of conserved domains, physicochemical characterization, prediction of subcellular localization, phylogenetic and structural analyses, and functional annotation. A total of 295 AP2/ERF proteins were identified and designated as SscAP2/ERF, most of which were predicted to be localized in the nucleus. These proteins exhibited a wide range of molecular weights and isoelectric points, reflecting structural diversity, and were classified into four subfamilies: AP2, ERF, DREB, and RAV. Functional annotation revealed predominant roles in DNA binding and transcriptional regulation, while promoter analysis identified numerous stress-related cis-elements. A total of 32 transcripts were differentially expressed under 24 h of water deficit, and four selected genes had their expression patterns validated by qPCR. These findings provide new insights into the AP2/ERF gene subfamily in Stylosanthes scabra and lay the groundwork for future biotechnological approaches to enhance stress tolerance in legumes. Full article
Show Figures

Graphical abstract

24 pages, 3824 KB  
Article
Scutellaria lateriflora Extract Supplementation Provides Resilience to Age-Related Phenotypes in Drosophila melanogaster
by Dani M. Long, Jesus Martinez, Amala Soumyanath and Doris Kretzschmar
Int. J. Mol. Sci. 2026, 27(1), 461; https://doi.org/10.3390/ijms27010461 - 1 Jan 2026
Viewed by 169
Abstract
The human lifespan has increased dramatically over the last few decades; however, reaching older age increases the risk of age-related diseases and ailments. To extend the healthspan, many have turned to supplements, including plant-based remedies used in traditional medicine, to promote healthy aging. [...] Read more.
The human lifespan has increased dramatically over the last few decades; however, reaching older age increases the risk of age-related diseases and ailments. To extend the healthspan, many have turned to supplements, including plant-based remedies used in traditional medicine, to promote healthy aging. One of these is Scutellaria lateriflora L. (S. lateriflora), native to North America, which has traditionally been used to treat anxiety, stress, and insomnia. However, clinical trials addressing its effects are very limited. Furthermore, plant material is intrinsically complex, and the preparation method affects the composition of extracts. We therefore used Drosophila to test whether S. lateriflora can confer resilience against age-related sleep and mobility deficits, using aqueous (SLAq) and ethanol extracts (SLE). Whereas both SLE and SLAq improved mobility, only SLE reduced sleep fragmentation in older males. By testing several flavonoids present in S. lateriflora, we found that the beneficial effects on mobility were mainly due to baicalin, whereas sleep was improved by a wogonin mix. Since neither the extracts nor the compounds extend the lifespan, this suggests that they improve neuronal health and function and do not generally slow down the aging process. This was supported by our finding that neuronal degeneration was reduced by S. lateriflora (SL) supplementation. Full article
(This article belongs to the Special Issue Drosophila: A Versatile Model in Biology and Medicine—2nd Edition)
Show Figures

Graphical abstract

27 pages, 1780 KB  
Article
Effect of Wet Aging on the Meat Quality of Two Cuts (Longissimus thoracis et lumborum and Quadriceps femoris) from Italian Local Goat Breeds Compared to the Saanen Cosmopolitan Breed
by Marica Egidio, Marika Di Paolo, Federica Capano, Sophia Alesio, Carmen Cabato, Roberta Matera, Matteo Santinello, Lucia Sepe and Raffaele Marrone
Animals 2026, 16(1), 115; https://doi.org/10.3390/ani16010115 - 31 Dec 2025
Viewed by 293
Abstract
Goat meat represents a valuable source of high-quality protein and healthy lipids, although its consumption remains limited in Europe. This study aimed to evaluate the qualitative–quantitative changes in the nutritional, rheological, and sensorial characteristics of meat (Quadriceps femoris and Longissimus thoracis et [...] Read more.
Goat meat represents a valuable source of high-quality protein and healthy lipids, although its consumption remains limited in Europe. This study aimed to evaluate the qualitative–quantitative changes in the nutritional, rheological, and sensorial characteristics of meat (Quadriceps femoris and Longissimus thoracis et lumborum muscles) from three different autochthonous goat breeds (Garganica, Derivata di Siria, and Capra di Potenza) and a cosmopolitan, genetically selected one (Saanen), reared in Basilicata (Italy), during a 7-day wet aging process. Forty kids (10 per breed) were slaughtered at 50 ± 3 days, and meat samples were vacuum-aged at 4 ± 1 °C and analyzed at 0, 3, and 7 days. Data showed that genotype was the main factor influencing meat quality, while wet aging mainly improved rheological parameters, particularly in LTL muscles. Notably, Capra di Potenza exhibited the most favorable fatty acid profile, with lower atherogenic (average values of 0.80 in LTL and 0.92 in QF) and thrombogenic (average values of 1.49 in LTL and 1.59 in QF) indices, whereas Derivata di Siria showed the greatest oxidative stability (average values of 0.060 in LTL and 0.036 in QF). Overall, local breeds of kids’ groups produced more tender and aromatic meat than Saanen. These findings highlight the potential of native goat breeds for premium meat production and suggest an effective post-mortem aging technique to enhance their quality, promoting the diffusion of niche products as well as biodiversity preservation. Full article
(This article belongs to the Special Issue Current Research in Sheep and Goats Reared for Meat)
Show Figures

Figure 1

22 pages, 11090 KB  
Article
Subcellular Localization Dictates Therapeutic Function: Spatially Targeted Delivery of Amuc_1100 by Engineered Lacticaseibacillus paracasei L9 Enhances Intestinal Barrier in Colitis
by Xinrui Dong, Li Lin, Weina Miao, Zhengyuan Zhai, Yanling Hao, Ming Zhang, Ran Wang, Shaoyang Ge, Hao Zhang, Lianzhong Ai and Liang Zhao
Nutrients 2026, 18(1), 123; https://doi.org/10.3390/nu18010123 - 30 Dec 2025
Viewed by 144
Abstract
Background/Objectives: Impaired intestinal barrier function is a hallmark of inflammatory bowel disease (IBD). Akkermansia muciniphila and its outer membrane protein Amuc_1100 can enhance this barrier, but the clinical application of Amuc_1100 is limited by the fastidious growth of its native host. This [...] Read more.
Background/Objectives: Impaired intestinal barrier function is a hallmark of inflammatory bowel disease (IBD). Akkermansia muciniphila and its outer membrane protein Amuc_1100 can enhance this barrier, but the clinical application of Amuc_1100 is limited by the fastidious growth of its native host. This study aimed to overcome this by utilizing the robust probiotic Lacticaseibacillus paracasei L9 for targeted Amuc_1100 delivery. Methods: We engineered Lc. paracasei L9 to express Amuc_1100 via intracellular (pA-L9), secretory (pUA-L9), and surface-display (pUPA-L9) strategies. Their efficacy was assessed in Lipopolysaccharide (LPS)-induced macrophages and a dextran sulfate sodium (DSS)-induced colitis mouse model, evaluating inflammation, barrier integrity, and mucosal repair. Results: The secretory (pUA-L9) and surface-display (pUPA-L9) strains most effectively suppressed pro-inflammatory cytokines (IL-6, IL-1β, and TNF-α) in macrophages. In mice, both strains alleviated colitis and outperformed native A. muciniphila in improving disease activity. Crucially, they exhibited distinct, specialized functions: pUA-L9 acted as a systemic immunomodulator, reducing pro-inflammatory cytokines (IL-6, IL-1β, and TNF-α), elevating anti-inflammatory mediators (IL-4 and IL-10), and promoting goblet cell differentiation; notably, the inhibitory effect of pUA-L9 on IL-6 expression was approximately 2-fold greater than that of pUPA-L9. In contrast, pUPA-L9 excelled in local barrier repair, uniquely restoring mucus layer integrity (Muc1, Muc2, and Tff3) and reinforcing tight junctions (ZO-1, Occludin, Claudin1, Claudin3, and Claudin4). In particular, pUPA-L9 increased Muc2 expression by approximately 3.6-fold compared with pUA-L9. Conclusions: We demonstrate that the subcellular localization of Amuc_1100 within an engineered probiotic dictates its therapeutic mode of action. The complementary effects of secretory and surface-displayed Amuc_1100 offer a novel, spatially targeted strategy for precision microbiome therapy in IBD. Full article
(This article belongs to the Section Prebiotics and Probiotics)
Show Figures

Figure 1

19 pages, 1764 KB  
Article
Dimethylglycine as a Potent Modulator of Catalase Stability and Activity in Alzheimer’s Disease
by Adhikarimayum Priya Devi, Seemasundari Yumlembam, Kuldeep Singh, Akshita Gupta, Kananbala Sarangthem and Laishram Rajendrakumar Singh
Biophysica 2026, 6(1), 2; https://doi.org/10.3390/biophysica6010002 - 30 Dec 2025
Viewed by 141
Abstract
Alzheimer’s disease (AD) is a progressive neurodegenerative disorder characterized by memory loss, cognitive decline, and oxidative stress-driven neuronal damage. Catalase, a key antioxidant enzyme, plays a vital role in decomposing hydrogen peroxide (H2O2) into water and oxygen, thereby protecting [...] Read more.
Alzheimer’s disease (AD) is a progressive neurodegenerative disorder characterized by memory loss, cognitive decline, and oxidative stress-driven neuronal damage. Catalase, a key antioxidant enzyme, plays a vital role in decomposing hydrogen peroxide (H2O2) into water and oxygen, thereby protecting neurons from reactive oxygen species (ROS)-mediated toxicity. In AD, the catalase function is compromised due to reduced enzymatic activity and aggregation, which not only diminishes its protective role but also contributes to amyloid plaque formation through catalase-Aβ co-oligomers. Hence, therapeutic strategies aimed at simultaneously preventing catalase aggregation and enhancing its enzymatic function are of great interest. In this study, we screened twelve naturally occurring metabolites for their ability to modulate catalase aggregation and activity. Among these, dimethylglycine (DMG) emerged as the most potent candidate. DMG significantly inhibited thermally induced aggregation of catalase and markedly enhanced its enzymatic activity in a concentration-dependent manner. Biophysical analyses revealed that DMG stabilizes catalase by promoting its native folded conformation, as evidenced by increased melting temperature (Tm), higher Gibbs free energy of unfolding (ΔG°), and reduced exposure of hydrophobic residues. TEM imaging and Thioflavin T assays further confirmed that DMG prevented amyloid-like fibril formation. Molecular docking and dynamics simulations indicated that DMG binds to an allosteric site on catalase, providing a structural basis for its dual role in stabilization and activation. These findings highlight DMG as a promising therapeutic molecule for restoring catalase function and mitigating oxidative stress in AD. By maintaining catalase stability and activity, DMG offers potential for slowing AD progression. Full article
Show Figures

Graphical abstract

15 pages, 478 KB  
Article
From Ecological Threat to Bioactive Resource: The Nutraceutical Components of Blue Crab (Callinectes sapidus)
by Annalaura Brai, Lorenzo Tiberio, Matteo Chiti, Federica Poggialini, Chiara Vagaggini, Guia Consales, Letizia Marsili and Elena Dreassi
Int. J. Mol. Sci. 2026, 27(1), 381; https://doi.org/10.3390/ijms27010381 - 30 Dec 2025
Viewed by 150
Abstract
Native to the western Atlantic, the Atlantic blue crab Callinectes sapidus (CS) has spread to the Mediterranean, affecting local ecosystems and mussel aquaculture and leading to severe ecological and financial losses in Italy and other areas. Given its rapid spread and socio-economic impacts, [...] Read more.
Native to the western Atlantic, the Atlantic blue crab Callinectes sapidus (CS) has spread to the Mediterranean, affecting local ecosystems and mussel aquaculture and leading to severe ecological and financial losses in Italy and other areas. Given its rapid spread and socio-economic impacts, several countries have begun to exploit CS commercially, but the consumers’ interest is still limited. In this study, we analysed both nutrient and nutraceutical profiles of CS meats, evaluating potential differences related to sex and meat typology. We found that CS meats are rich in high quality proteins and contain all the essential amino acids required for a correct diet. The fat of CS is not only rich in polyunsaturated fatty acids (PUFAs) but also displays remarkably low atherogenicity and thrombogenicity indices, highlighting its strong potential in promoting cardiovascular health. In addition, CS is rich in nutraceutical compounds, in particular polyphenols and astaxanthin, revealing a good antioxidant activity maintained after simulated gastrointestinal hydrolysis. Last but not least, CS has remarkable α-glucosidase and angiotensin-converting enzyme inhibitory activity, highlighting potential benefits in controlling glycaemic peaks and hypertension. Full article
(This article belongs to the Section Bioactives and Nutraceuticals)
Show Figures

Figure 1

15 pages, 843 KB  
Article
Sacha Inchi (Plukenetia volubilis L.) Oil Press-Cake Powder: Chemical Characterization and In Vitro Bioactivity for Sustainable Applications
by Valeria Guarrasi, Barbara Prandi, Tullia Tedeschi, Benedetta Chiancone, Andrea Di Fazio, Raffaella Barbieri, Debora Baroni, Marilú Roxana Soto-Vásquez, Silvia Vilasi, Francesca Falco, Martina Cirlini and Daniel Paredes-López
Molecules 2026, 31(1), 117; https://doi.org/10.3390/molecules31010117 - 29 Dec 2025
Viewed by 189
Abstract
Sacha inchi (P. volubilis L.), an ancient oilseed crop native to the Amazon, is gaining attention for its high nutritional value particularly due to its ω-3-, -6-, -9-rich oil. However, most research has focused mainly on oil characterization, neglecting the potential of [...] Read more.
Sacha inchi (P. volubilis L.), an ancient oilseed crop native to the Amazon, is gaining attention for its high nutritional value particularly due to its ω-3-, -6-, -9-rich oil. However, most research has focused mainly on oil characterization, neglecting the potential of its by-products, such as the Sacha inchi oil-press cake (i.e., the solid residue after oil extraction). This study explores the chemical composition of Sacha inchi oil press-cake powder, focusing on fatty acid and amino acid profiles, antinutrient factors, total phenolic content, antioxidant activity, and the bioactivity of its extracts on cellular models. Fatty acid analysis revealed a high proportion of polyunsaturated fatty acids, especially α-linolenic acid (42.52%), making it a valuable resource for health-promoting applications. The protein content was also significant (41.86%), with a balanced amino acid composition, including essential amino acids such as leucine, valine, and isoleucine, which are vital for muscle protein synthesis and energy metabolism, in food and/or feed applications. Antinutritional factors were detected, including saponins (1050.1 ± 1.1 mg/100 g), alkaloids (2.1 ± 0.5 mg/100 g), and tannins (6.2 ± 0.9 mg/100 g). While these phytotoxins could limit their use in food applications, their potential antimicrobial activity highlights promising pharmacological opportunities. Total phenolic content (TPC) and antioxidant activity (AO) were evaluated using two extract mixtures differing in composition and polarity, with the acetone/water/acetic acid solvent (80/19/1 v/v/v) showing the highest antioxidant properties. The extract obtained showed cytotoxic effects against Panc-1 cancer cells, highlighting its potential in nutraceutical and pharmaceutical applications. This study underscores the unexploited potential of Sacha inchi by-products, such as the oil press-cake, as a sustainable resource of bioactive compounds for functional products, supporting circular bio-economy strategies by plant-based waste and local biodiversity valorization. Full article
Show Figures

Graphical abstract

15 pages, 3045 KB  
Article
Low-Density Lipoproteins Induce a Pro-Inflammatory, Chemotactic Mox-like Phenotype in THP-1-Derived Human Macrophages
by Heng Yu, Radhika R. Josi, Ankur Khanna and Damir B. Khismatullin
Cells 2026, 15(1), 55; https://doi.org/10.3390/cells15010055 - 28 Dec 2025
Viewed by 501
Abstract
Murine macrophages exposed to oxidized low-density lipoprotein (oxLDL) polarize into a distinct Mox phenotype characterized by impaired phagocytic and chemotactic function. Although implicated in atherosclerosis, this phenotype has not been confirmed in human macrophages. Drawing parallels to human tumor-associated macrophages, and in contrast [...] Read more.
Murine macrophages exposed to oxidized low-density lipoprotein (oxLDL) polarize into a distinct Mox phenotype characterized by impaired phagocytic and chemotactic function. Although implicated in atherosclerosis, this phenotype has not been confirmed in human macrophages. Drawing parallels to human tumor-associated macrophages, and in contrast to the murine cell response, we hypothesize that LDL/oxLDL induces a hybrid Mox-like state in human macrophages, marked by the simultaneous secretion of pro-inflammatory cytokines and anti-inflammatory factors, potentially exacerbating vascular inflammation and atherogenesis. To test this, THP-1 human monocytes were differentiated into resting macrophages, then polarized into M1-like and M2-like phenotypes, followed by treatment with native LDL, oxLDL, IL-6, or their combinations. ELISA results showed that oxLDL or LDL with IL-6 polarized resting and M1-like macrophages into a Mox-like phenotype that secreted TNF-α and TGF-β1 at levels comparable to M1- and M2-like cells, respectively. The pro-inflammatory nature of Mox-like macrophages was supported by increased THP-1 adhesion to vascular endothelial cells exposed to the macrophage-conditioned media. In microfluidic assays, LUVA human mast cells migrated toward media from Mox-like macrophages, indicating enhanced chemotaxis. In summary, the pro-inflammatory Mox-like state is triggered in human macrophages by oxLDL or LDL combined with IL-6, a key regulator of the inflammatory acute-phase response. Unlike in murine cells, this state is marked by high chemotactic activity driven by TGF-β1 secretion, which promotes mast cell recruitment and contributes to atherosclerotic plaque development and Alzheimer’s disease. Full article
(This article belongs to the Special Issue Cellular and Molecular Mechanisms of Vascular-Related Diseases)
Show Figures

Figure 1

33 pages, 2694 KB  
Review
Biomimetic Strategies for Bone Regeneration: Smart Scaffolds and Multiscale Cues
by Sheikh Md Mosharof Hossen, Md Abdul Khaleque, Min-Su Lim, Jin-Kyu Kang, Do-Kyun Kim, Hwan-Hee Lee and Young-Yul Kim
Biomimetics 2026, 11(1), 12; https://doi.org/10.3390/biomimetics11010012 - 27 Dec 2025
Viewed by 487
Abstract
Bone regeneration remains difficult due to the complex bone microenvironment and the limited healing capacity of large defects. Biomimetic strategies offer promising solutions by using advanced 3D scaffolds guided by natural tissue cues. Recent advances in additive manufacturing, nanotechnology, and tissue engineering now [...] Read more.
Bone regeneration remains difficult due to the complex bone microenvironment and the limited healing capacity of large defects. Biomimetic strategies offer promising solutions by using advanced 3D scaffolds guided by natural tissue cues. Recent advances in additive manufacturing, nanotechnology, and tissue engineering now allow the fabrication of hierarchical scaffolds that closely mimic native bone. Smart scaffold systems combine materials with biochemical and mechanical signals. These features improve vascularization, enhance tissue integration, and support better regenerative outcomes. Bio-inspired materials also help connect inert implants with living tissues by promoting vascular network formation and improving cell communication. Multiscale design approaches recreate bone nano- to macro-level structure and support both osteogenic activity and immune regulation. Intelligent and adaptive scaffolds are being developed to respond to physiological changes and enable personalized bone repair. This review discusses the current landscape of biomimetic scaffold design, fabrication techniques, material strategies, biological mechanisms, and translational considerations shaping next-generation bone regeneration technologies. Future directions focus on sustainable, clinically translatable biomimetic systems that can integrate with digital health tools for improved treatment planning. Full article
Show Figures

Figure 1

14 pages, 2075 KB  
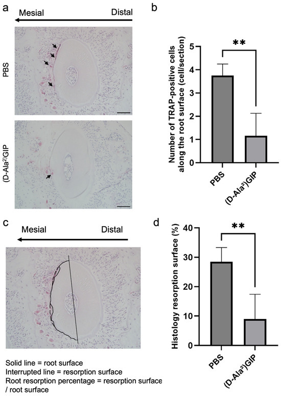
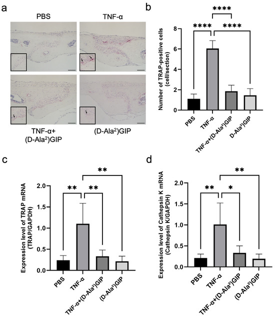
Article
(D-Ala2)GIP Inhibits TNF-α-Induced Osteoclast Formation and Bone Resorption, and Orthodontic Tooth Movement
by Angyi Lin, Hideki Kitaura, Jinghan Ma, Fumitoshi Ohori, Aseel Marahleh, Kayoko Kanou, Kohei Narita, Ziqiu Fan, Kou Murakami and Hiroyasu Kanetaka
Int. J. Mol. Sci. 2026, 27(1), 199; https://doi.org/10.3390/ijms27010199 - 24 Dec 2025
Viewed by 181
Abstract
The incretin hormone glucose-dependent insulinotropic polypeptide (GIP) promotes insulin secretion, lowers blood glucose levels, and is increasingly linked to bone remodeling. Native GIP is quickly inactivated by the enzyme dipeptidyl peptidase-4 (DPP-4), whereas (D-Ala2)GIP is a novel GIP analog engineered to [...] Read more.
The incretin hormone glucose-dependent insulinotropic polypeptide (GIP) promotes insulin secretion, lowers blood glucose levels, and is increasingly linked to bone remodeling. Native GIP is quickly inactivated by the enzyme dipeptidyl peptidase-4 (DPP-4), whereas (D-Ala2)GIP is a novel GIP analog engineered to resist DPP-4 degradation. Tumor necrosis factor-alpha (TNF-α), a key proinflammatory cytokine, promotes osteoclastogenesis and is notably upregulated during orthodontic tooth movement (OTM). This study aimed to evaluate the effects of (D-Ala2)GIP on TNF-α-induced osteoclast formation and bone resorption in vivo, as well as on OTM and related root resorption. Mice received daily supracalvarial injections of TNF-α with or without (D-Ala2)GIP for 5 days. The (D-Ala2)GIP-treated group showed significantly reduced osteoclast formation, bone resorption, and expression of osteoclastic markers TRAP and cathepsin K, compared to the group that received TNF-α alone. OTM was induced in mice by applying a nickel-titanium closed-coil spring, and mice were treated with either phosphate-buffered saline (PBS) or (D-Ala2)GIP every 2 days. After 12 days, the (D-Ala2)GIP-treated group showed significantly reduced tooth movement and fewer osteoclasts and odontoclasts on the compression side compared to the PBS control. These findings suggest that (D-Ala2)GIP inhibits OTM, potentially by suppressing TNF-α-driven osteoclastogenesis and bone resorption. Full article
(This article belongs to the Special Issue Bone Development and Regeneration—4th Edition)
Show Figures

Figure 1

9 pages, 1905 KB  
Article
Functional Herkogamy and Pollination Biology in Passiflora cincinnata Mast.
by Lucas Peixinho Campos Nery, Tatiane Cezário dos Santos, Juliana Martins Ribeiro and Natoniel Franklin de Melo
J. Zool. Bot. Gard. 2026, 7(1), 2; https://doi.org/10.3390/jzbg7010002 - 23 Dec 2025
Viewed by 191
Abstract
Fruit production in passionfruit species is primarily associated with cross-pollination, but the role of herkogamy, the spatial separation between stigmas and anthers, in reproductive success remains poorly understood. This study evaluated the influence of style deflexion on fruit set in Passiflora cincinnata Mast., [...] Read more.
Fruit production in passionfruit species is primarily associated with cross-pollination, but the role of herkogamy, the spatial separation between stigmas and anthers, in reproductive success remains poorly understood. This study evaluated the influence of style deflexion on fruit set in Passiflora cincinnata Mast., a native species of the Brazilian Caatinga, using accessions conserved in a Passionfruit Germplasm Bank (BAG). Flowers were classified into three morphotypes: stigmas positioned below the anthers, stigmas aligned with the anthers, and stigmas positioned above the anthers. Pollen viability was evaluated using subsamples of randomly selected flowers within each floral morphotype. Across all accessions, 41.75% of flowers displayed stigma below the anthers, 26.32% exhibited aligned the stigma with the anthers, and 31.93% had stigma positioned above, with pollen viability consistently high (96.4–96.7%). Flowers in which stigmas were located below the anthers (negative deflexion) showed the highest fruit set under hand pollination (73.3%), whereas flowers with aligned or elevated stigmas produced only a few fruits (4.7%) in heterotypic crosses. These findings demonstrated that herkogamy strongly shapes reproductive outcomes in P. cincinnata. Integrating this knowledge into germplasm management, conservation, and breeding initiatives will be essential for improving passionfruit cultivation and promoting sustainable agricultural practices in semiarid ecosystems. Full article
Show Figures

Figure 1

11 pages, 1181 KB  
Communication
Out of the Box: Let’s Talk About Invasive Biomass
by Joana Jesus, Cristina Máguas and Helena Trindade
Resources 2026, 15(1), 2; https://doi.org/10.3390/resources15010002 - 23 Dec 2025
Viewed by 292
Abstract
The increasing challenges posed by climate change demand holistic approaches to mitigate ecosystem degradation. In Mediterranean-type regions—biodiversity hotspots facing intensified droughts, fires, and biological invasions—such strategies are particularly relevant. Among invasive species, Acacia longifolia produces substantial woody and leafy biomass when removed, offering [...] Read more.
The increasing challenges posed by climate change demand holistic approaches to mitigate ecosystem degradation. In Mediterranean-type regions—biodiversity hotspots facing intensified droughts, fires, and biological invasions—such strategies are particularly relevant. Among invasive species, Acacia longifolia produces substantial woody and leafy biomass when removed, offering an opportunity for reuse as soil-improving material after adequate processing. This study aimed to evaluate the potential of invasive A. longifolia Green-waste compost (Gwc) as a soil amendment to promote soil recovery and native plant establishment after fire. A field experiment was carried out in a Mediterranean ecosystem using Arbutus unedo, Pinus pinea, and Quercus suber planted in control and soils treated with Gwc. Rhizospheric soils were sampled one year after plantation, in Spring and Autumn, to assess physicochemical parameters and microbial community composition (using composite samples) through Next-Generation Sequencing. Our study showed that Gwc-treated soils exhibited higher moisture content and nutrient availability, which translated into improved plant growth and increased microbial richness and diversity when compared with control soils. Together, these results demonstrate that A. longifolia Gwc enhances soil quality, supports increased plant fitness, and promotes a more diverse microbiome, ultimately contributing to faster ecosystem recovery. Transforming invasive biomass into a valuable resource could offer a sustainable, win–win solution for ecological rehabilitation in fire-affected Mediterranean environments, enhancing soil and ecosystem functioning. Full article
Show Figures

Figure 1

27 pages, 3698 KB  
Article
Biocontrol and Plant Growth-Promoting Potential of Bacillus and Actinomycetes Isolated from the Rhizosphere and Phyllosphere of Potato (Solanum tuberosum L.) from Different Agroecological Zones of Peru
by Lizbeth Mamani-Rojas, Raihil Rengifo, Leslie Velarde-Apaza, Max Ramírez-Rojas and Hector Cántaro-Segura
Appl. Microbiol. 2026, 6(1), 2; https://doi.org/10.3390/applmicrobiol6010002 - 23 Dec 2025
Viewed by 255
Abstract
Potato (Solanum tuberosum L.) is a key staple crop in the Peruvian Andes, but its productivity is threatened by fungal pathogens such as Rhizoctonia solani and Alternaria alternata. In this study, 71 native bacterial strains (39 from phyllosphere and 32 from [...] Read more.
Potato (Solanum tuberosum L.) is a key staple crop in the Peruvian Andes, but its productivity is threatened by fungal pathogens such as Rhizoctonia solani and Alternaria alternata. In this study, 71 native bacterial strains (39 from phyllosphere and 32 from rhizosphere) were isolated from potato plants across five agroecological zones of Peru and characterized for their plant growth-promoting (PGPR) and antagonistic traits. Actinomycetes demonstrated broader enzymatic profiles, with 2ACPP4 and 2ACPP8 showing high proteolytic (68.4%, 63.4%), lipolytic (59.5%, 60.6%), chitinolytic (32.7%, 35.5%) and amylolytic activity (76.3%, 71.5%). Strain 5ACPP5 (Streptomyces decoyicus) produced 42.8% chitinase and solubilized both dicalcium (120.6%) and tricalcium phosphate (122.3%). The highest IAA production was recorded in Bacillus strain 2BPP8 (95.4 µg/mL), while 5ACPP6 was the highest among Actinomycetes (83.4 µg/mL). Siderophore production was highest in 5ACPP5 (412.4%) and 2ACPP4 (406.8%). In vitro antagonism assays showed that 5ACPP5 inhibited R. solani and A. alternata by 86.4% and 68.9%, respectively, while Bacillus strain BPP4 reached 51.0% inhibition against A. alternata. In greenhouse trials, strain 4BPP8 significantly increased fresh tuber weight (11.91 g), while 5ACPP5 enhanced root biomass and reduced stem canker severity. Molecular identification confirmed BPP4 as Bacillus halotolerans and 5ACPP5 as Streptomyces decoyicus. These strains represent promising candidates for the development of bioinoculants for sustainable potato cultivation in Andean systems. Full article
Show Figures

Figure 1

31 pages, 2605 KB  
Article
Engineering Enhanced Immunogenicity of Surface-Displayed Immunogens in a Killed Whole-Cell Genome-Reduced Bacterial Vaccine Platform Using Class I Viral Fusion Peptides
by Juan Sebastian Quintero-Barbosa, Yufeng Song, Frances Mehl, Shubham Mathur, Lauren Livingston, Xiaoying Shen, David C. Montefiori, Joshua Tan and Steven L. Zeichner
Vaccines 2026, 14(1), 14; https://doi.org/10.3390/vaccines14010014 - 22 Dec 2025
Viewed by 454
Abstract
Background/Objectives: New vaccine platforms that rapidly yield low-cost, easily manufactured vaccines are highly desired, yet current approaches lack key features. We developed the Killed Whole-Cell/Genome-Reduced Bacteria (KWC/GRB) platform, which uses a genome-reduced Gram-negative chassis to enhance antigen exposure and modularity via an [...] Read more.
Background/Objectives: New vaccine platforms that rapidly yield low-cost, easily manufactured vaccines are highly desired, yet current approaches lack key features. We developed the Killed Whole-Cell/Genome-Reduced Bacteria (KWC/GRB) platform, which uses a genome-reduced Gram-negative chassis to enhance antigen exposure and modularity via an autotransporter (AT) system. Integrated within a Design–Build–Test–Learn (DBTL) framework, KWC/GRB enables rapid iteration of engineered antigens and immunomodulatory elements. Here, we applied this platform to the HIV-1 fusion peptide (FP) and tested multiple antigen engineering strategies to enhance its immunogenicity. Methods: For a new vaccine, we synthesized DNA encoding the antigen together with selected immunomodulators and cloned the constructs into a plasmid. The plasmids were transformed into genome-reduced bacteria (GRB), which were grown, induced for antigen expression, and then inactivated to produce the vaccines. We tested multiple strategies to enhance antigen immunogenicity, including multimeric HIV-1 fusion peptide (FP) designs separated by different linkers and constructs incorporating immunomodulators such as TLR agonists, mucosal-immunity-promoting peptides, and a non-cognate T-cell agonist. Vaccines were selected based on structure prediction and confirmed surface expression by flow cytometry. Mice were vaccinated, and anti-FP antibody responses were measured by ELISA. Results: ELISA responses increased nearly one order of magnitude across design rounds, with the top-performing construct showing an ~8-fold improvement over the initial 1mer vaccine. Multimeric antigens separated by an α-helical linker were the most immunogenic. The non-cognate T-cell agonist increased responses context-dependently. Flow cytometry showed that increased anti-FP-mAb binding to GRB was associated with greater induction of antibody responses. Although anti-FP immune responses were greatly increased, the sera did not neutralize HIV. Conclusions: Although none of the constructs elicited detectable neutralizing activity, the combination of uniformly low AlphaFold pLDDT scores and the functional data suggests that the FP region may not adopt a stable native-like structure in this display context. Importantly, the results demonstrate that the KWC/GRB platform can generate highly immunogenic vaccines, and when applied to antigens with well-defined native tertiary structures, the approach should enable rapidly produced, high-response, very low-cost vaccines. Full article
(This article belongs to the Section Vaccine Design, Development, and Delivery)
Show Figures

Graphical abstract

Back to TopTop