Sign in to use this feature.

Years

Between: -

Subjects

remove_circle_outline
remove_circle_outline
remove_circle_outline
remove_circle_outline
remove_circle_outline
remove_circle_outline
remove_circle_outline

Journals

remove_circle_outline
remove_circle_outline
remove_circle_outline
remove_circle_outline

Article Types

Countries / Regions

remove_circle_outline
remove_circle_outline
remove_circle_outline
remove_circle_outline
remove_circle_outline

Search Results (454)

Search Parameters:
Keywords = metastatic behavior

Order results
Result details
Results per page
Select all
Export citation of selected articles as:
17 pages, 728 KB  
Review
Sex as a Contextual Modifier in Colorectal Cancer: Integrating Tumor Sidedness, Molecular Subtype, Immune Ecology, and Early-Onset Disease
by Bing Liang, Xinlin Liu, Tingting Zhang and Dongming Xing
Cancers 2026, 18(8), 1309; https://doi.org/10.3390/cancers18081309 (registering DOI) - 21 Apr 2026
Abstract
Colorectal cancer (CRC) shows consistent sex-related differences in incidence, anatomic distribution, molecular subtype, immune context, and clinical outcome. However, these differences are often discussed through broad parallel themes such as hormones, genetics, or the microbiome, rather than through the biological settings in which [...] Read more.
Colorectal cancer (CRC) shows consistent sex-related differences in incidence, anatomic distribution, molecular subtype, immune context, and clinical outcome. However, these differences are often discussed through broad parallel themes such as hormones, genetics, or the microbiome, rather than through the biological settings in which sex meaningfully modifies tumor behavior. This review argues that sex is most informative in CRC when treated as a contextual modifier whose relevance emerges only after integrating tumor sidedness, mismatch repair status, oncogenic background, immune ecology, and age at onset. The clearest signals arise from interaction-based contexts, particularly when sex is interpreted together with tumor sidedness and dMMR/MSI-H or BRAF-linked disease states. Current evidence indicates that women are enriched for proximal or right-sided, microsatellite instability-high, mismatch repair-deficient, CpG island methylator phenotype-high, and BRAF-associated CRC, whereas men more often present with distal disease and a higher overall burden. Mechanistic studies further show that sex-related differences extend beyond hormone exposure to include KRASSTAT4KDM5D signaling, site-specific immune-checkpoint programs, metabolic phenotypes, epigenetic biomarker variation, and microbiota–hormone crosstalk. These effects are most evident in defined clinical niches, particularly right-sided CRC, mismatch repair-deficient disease, BRAF-mutated metastatic CRC, and early-onset CRC. A sex-aware, subtype-aware, and location-aware framework therefore offers a more clinically useful interpretation of CRC heterogeneity than descriptive male-versus-female comparisons alone. Full article
(This article belongs to the Section Cancer Causes, Screening and Diagnosis)
Show Figures

Figure 1

25 pages, 18640 KB  
Article
Inflammation-Driven JNK Activation Promotes EMT and Metastasis in Gastric Cancer and Is Attenuated by Huangjin Shuangshen Granules
by Shuo Zhang, Chen Huang, Zhiyuan Song, Jiaheng Lou, Jingcheng Zhang, Sicheng Zhao, Tao Jiang and Guangji Zhang
Pharmaceuticals 2026, 19(4), 636; https://doi.org/10.3390/ph19040636 - 17 Apr 2026
Viewed by 101
Abstract
Background: Gastric cancer (GC) is characterized by aggressive invasion and early peritoneal dissemination, which are strongly driven by chronic inflammation and epithelial–mesenchymal transition (EMT). c-Jun N-terminal kinase (JNK), a stress-responsive serine/threonine kinase within the mitogen-activated protein kinase (MAPK) family, integrates inflammatory cues to [...] Read more.
Background: Gastric cancer (GC) is characterized by aggressive invasion and early peritoneal dissemination, which are strongly driven by chronic inflammation and epithelial–mesenchymal transition (EMT). c-Jun N-terminal kinase (JNK), a stress-responsive serine/threonine kinase within the mitogen-activated protein kinase (MAPK) family, integrates inflammatory cues to promote EMT and metastasis. Huangjin Shuangshen granules (HJSS) is a multi-component traditional Chinese medicine (TCM) formula derived from Simiao Yong’an Decoction and clinically used as an adjuvant therapy for GC. However, whether HJSS restrains inflammation-driven metastasis through modulation of JNK-associated EMT signaling remains unclear. Methods: The anti-metastatic efficacy of HJSS was evaluated using integrated in vivo and in vitro models, combined with transcriptomics, network pharmacology and molecular validation. Results: HJSS markedly attenuated LPS-induced metastatic behavior and inflammatory activation. Multilevel analyses converged on MAPK8/JNK as a central regulatory node. HJSS reversed EMT progression and inhibited nuclear phosphorylation of JNK without affecting its upstream kinases. Thermal-shift assays and molecular docking supported potential target engagement of HJSS-derived constituents, including possible interactions with JNK-related signaling targets. Pharmacologic reactivation of JNK partially abrogated the inhibitory effects of HJSS, confirming JNK-dependent action. Conclusions: HJSS suppresses inflammation-driven GC metastasis primarily by attenuating JNK-associated EMT, potentially through modulation of JNK activation by its bioactive constituents. These findings provide mechanistic insight into HJSS as a low-toxicity anti-metastatic strategy and support further exploration of its active constituents. Full article
(This article belongs to the Section Pharmacology)
8 pages, 2798 KB  
Case Report
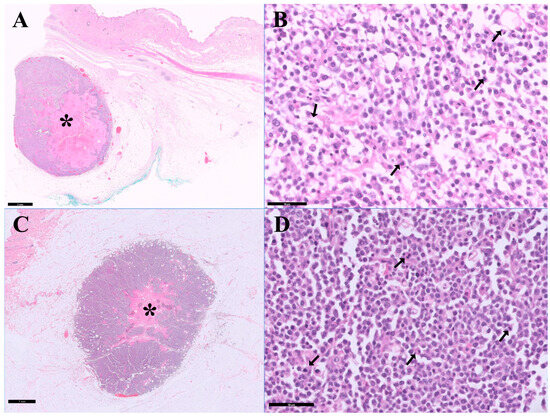
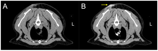
A Rare Case of Malignant Plasmacytoma at a Previous Injection Site in a Cat
by Hasuk Nam, Yeon Chae, Yoonhoi Koo, Hakhyun Kim, Byeong-Teck Kang and Taesik Yun
Vet. Sci. 2026, 13(4), 384; https://doi.org/10.3390/vetsci13040384 - 16 Apr 2026
Viewed by 173
Abstract
A 6-year-old castrated male Bengal cat developed a subcutaneous mass at a previous vaccination site, which was initially diagnosed as cutaneous T-cell lymphoma following surgical excision at a local hospital. The cat was referred for metastatic evaluation and further treatment. Computed tomography revealed [...] Read more.
A 6-year-old castrated male Bengal cat developed a subcutaneous mass at a previous vaccination site, which was initially diagnosed as cutaneous T-cell lymphoma following surgical excision at a local hospital. The cat was referred for metastatic evaluation and further treatment. Computed tomography revealed a residual tumor at the excision site, and an additional thoracic subcutaneous mass was identified. Both lesions were surgically excised and submitted for histopathologic and immunohistochemical examination. Despite the initial diagnosis of lymphoma, immunohistochemistry demonstrated that the neoplastic cells were negative for multiple lineage-specific markers, including CD3, Pax5, CD20, and cytokeratin, but showed strong MUM-1 positivity in mitotically active cells. These findings supported a diagnosis of plasmacytoma. This case emphasizes a diagnostic challenge in distinguishing round cell tumors in cats and the critical role of immunohistochemistry in achieving an accurate diagnosis. The tumor also showed aggressive clinical behavior, including suspected distant metastasis, and may have arisen in association with chronic inflammation at a prior injection site. Full article
(This article belongs to the Section Veterinary Internal Medicine)
Show Figures

Figure 1

28 pages, 13875 KB  
Article
Bioinformatics Analysis of microRNAs Associated with Metastatic Potential in Breast Cancer
by Aleksandra Nikezić, Sanja Goč, Jovana Stevanović, Miloš Brkušanin, Olgica Nedić, Jovana Jovankić and Zorana Dobrijević
Biology 2026, 15(8), 617; https://doi.org/10.3390/biology15080617 - 14 Apr 2026
Viewed by 194
Abstract
Dysregulation of microRNA expression in breast cancer (BC) has been associated with molecular disturbances involved in cancer initiation, progression and metastasis. Specific microRNAs also act as endocrine modulators in BC, thereby influencing the biological behavior of the tumor and drug responses. Our objective [...] Read more.
Dysregulation of microRNA expression in breast cancer (BC) has been associated with molecular disturbances involved in cancer initiation, progression and metastasis. Specific microRNAs also act as endocrine modulators in BC, thereby influencing the biological behavior of the tumor and drug responses. Our objective was to employ bioinformatics tools to identify and characterize microRNAs acting as candidate players involved in epithelial–mesenchymal transition, migration, invasion, and/or hormonal regulation in BC. We systematically integrated microRNA profiling data from three different studies on BC cell lines with different invasive capabilities and from another study on lymph node metastases and matching primary BC, resulting in five microRNA hits—DE-microRNAs miR-146a-5p, miR-222-3p, miR-205-5p, miR-141-3p and miR-200c-3p. This set of microRNAs was evaluated for clinical significance in BC and subjected to target prediction, microRNA–mRNA network construction, functional enrichment analysis and quantification in BC cell lines by qPCR. An upregulated DE-microRNA, miR-222-3p, displayed distinctive pro-metastatic features, supported by its clinical relevance, as well as by the results of the functional enrichment analysis of its target genes. Downregulation of the members of the miR-200 family and miR-205-5p were significantly associated with negative clinical features, while their targets were enriched with genes that were relevant to cancer aggressiveness. These results are in line with the presumed functional relevance of the selected DE-microRNAs in BC. Full article
(This article belongs to the Special Issue Non-Coding RNA Research and Functional Insights)
36 pages, 1220 KB  
Review
Uncovering the Intricate and Heterogeneous Cellular Microenvironment of Cutaneous Melanoma
by Dana Antonia Țăpoi, Ioana Maria Lambrescu, Catalin Gabriel Manole, Gisela Gaina and Laura Cristina Ceafalan
Medicina 2026, 62(4), 739; https://doi.org/10.3390/medicina62040739 - 13 Apr 2026
Viewed by 486
Abstract
Background and Objectives: Cutaneous melanoma (CM) is one of the most aggressive skin malignancies due to its rapid progression and high therapeutic resistance. Growing evidence demonstrates that the tumor microenvironment (TME)—comprising diverse immune, stromal, vascular, and epidermal cell populations alongside various cytokines [...] Read more.
Background and Objectives: Cutaneous melanoma (CM) is one of the most aggressive skin malignancies due to its rapid progression and high therapeutic resistance. Growing evidence demonstrates that the tumor microenvironment (TME)—comprising diverse immune, stromal, vascular, and epidermal cell populations alongside various cytokines and growth factors, as well as extracellular matrix (ECM) components—plays a crucial role in tumor heterogeneity, metastatic potential, and response to therapy. This review aims to synthesise current knowledge on the cellular and non-cellular constituents of the CM microenvironment and clarify their contributions to tumor progression, immune evasion, and treatment resistance. Materials and Methods: We conducted a narrative review of recent experimental, clinical, and translational studies investigating melanoma–microenvironment interactions, integrating evidence from in vitro, in vivo, and human tissue analyses. Results: Melanoma exhibits marked intra-tumoral heterogeneity driven by genetic, epigenetic, and microenvironmental influences. Cancer-associated fibroblasts, adipocytes, endothelial cells, and keratinocytes are reprogrammed by melanoma cells to promote invasion, angiogenesis, and metastasis. Immune subsets play divergent roles: neutrophils, M2 macrophages, myeloid-derived suppressor cells, and tolerogenic dendritic cells foster immune suppression, while lymphocytes—particularly CD8+ T cells, TFH cells, and B cells —are associated with improved outcomes but often become dysfunctional. ECM remodeling, including collagen deposition, integrin signaling, and increased matrix stiffness, actively remodels the tissue to support tumor growth and immune evasion. Hypoxia-inducible factor (HIF)-mediated signaling drives cell dedifferentiation, angiogenesis, and metabolic changes that contribute to treatment resistance. Consequently, emerging therapeutic strategies are moving beyond targeting tumor cells alone to focus on modulating TME components, counteracting immunosuppression, hypoxia, metabolic reprogramming, and extracellular vesicle signaling. Conclusions: The TME profoundly modulates tumor behavior and therapeutic response. A deeper understanding of the reciprocal interactions between melanoma cells and their microenvironmental components may enable the development of more effective strategies for early detection, prognosis, and personalized therapies. Full article
(This article belongs to the Special Issue Cutaneous Melanoma: Updating from Pathogenesis to Therapy)
Show Figures

Figure 1

19 pages, 13562 KB  
Case Report
Postmenopausal Enlargement of a Presumed Leiomyoma Revealing STUMP: A Diagnostic Pitfall with Important Clinical Implications—A Case Report
by Nenad Rakic, Stefan Ivanovic, Milica Ivanovic, Lidija Tulic, Milos Milincic, Tatjana Dosev, Nikola Jovic, Neda Arsenijevic and Jovana Joksimovic Jovic
Diagnostics 2026, 16(7), 1075; https://doi.org/10.3390/diagnostics16071075 - 2 Apr 2026
Viewed by 385
Abstract
Background and Clinical Significance: Uterine smooth muscle tumors range from benign leiomyomas to highly aggressive leiomyosarcomas. Smooth muscle tumors of uncertain malignant potential (STUMP) represent an intermediate and diagnostically challenging category defined by borderline or discordant histological features. Their clinical management remains complex [...] Read more.
Background and Clinical Significance: Uterine smooth muscle tumors range from benign leiomyomas to highly aggressive leiomyosarcomas. Smooth muscle tumors of uncertain malignant potential (STUMP) represent an intermediate and diagnostically challenging category defined by borderline or discordant histological features. Their clinical management remains complex due to limited possibilities for reliable preoperative differentiation and the absence of clearly established surveillance protocols. The situation becomes particularly sensitive in postmenopausal patients, in whom tumor growth or abnormal bleeding raises concern for malignancy. Case Presentation: We report a 66-year-old postmenopausal woman presenting with persistent uterine bleeding and interval growth of a previously presumed leiomyoma. Transvaginal ultrasound demonstrated a heterogeneous intramural mass measuring approximately 5–7 cm, while endometrial sampling revealed inactive, atrophic endometrium without evidence of malignancy. Given the patient’s postmenopausal status and progressive symptoms, total abdominal hysterectomy with bilateral adnexectomy was performed. Histopathological examination identified moderate cytological atypia, focal coagulative tumor necrosis, and mitotic activity of up to five mitoses per ten high-power fields, findings insufficient for leiomyosarcoma but exceeding those expected for a benign leiomyoma. A diagnosis of STUMP was established. Postoperative staging showed no residual or metastatic disease, and structured long-term follow-up was initiated. Discussion: This case illustrates the limitations of current preoperative diagnostic tools in distinguishing between benign and borderline or malignant uterine smooth muscle tumors. Clinical presentation, imaging, and endometrial sampling were not predictive of the final diagnosis. In postmenopausal women, enlargement of a presumed leiomyoma should prompt careful evaluation, as histological assessment after complete surgical removal often remains the only reliable method of diagnosis. The unpredictable biological behavior of STUMP and reported cases of late recurrence support the need for prolonged surveillance, even after apparently adequate surgical treatment. Conclusions: STUMP remains primarily a postoperative diagnosis and represents a persistent gray zone in gynecologic oncology. Postmenopausal tumor growth and abnormal bleeding warrant an individualized and cautious approach. Careful histopathological evaluation and long-term follow-up are essential to ensure early detection of possible recurrence and optimal patient management. Full article
(This article belongs to the Section Clinical Diagnosis and Prognosis)
Show Figures

Figure 1

29 pages, 967 KB  
Review
Cell–Cell Interactome-Based Pathogenesis and Therapies for Osteosarcoma
by Sriya Neelam, Abdulaziz Hakeem, Yang Yang and Shuying Yang
Cells 2026, 15(6), 570; https://doi.org/10.3390/cells15060570 - 23 Mar 2026
Viewed by 651
Abstract
Osteosarcoma (OS), the most common primary malignant bone tumor in children and young adults, is characterized by aggressive behavior, frequent metastasis, and resistance to chemotherapy, resulting in poor clinical outcomes. Increasing evidence indicates that OS progression is not solely driven by tumor-intrinsic factors [...] Read more.
Osteosarcoma (OS), the most common primary malignant bone tumor in children and young adults, is characterized by aggressive behavior, frequent metastasis, and resistance to chemotherapy, resulting in poor clinical outcomes. Increasing evidence indicates that OS progression is not solely driven by tumor-intrinsic factors but is strongly influenced by dynamic interactions within the tumor microenvironment (TME). This literature review synthesizes current research on the roles of endothelial cells, fibroblasts, mesenchymal stromal cells, immune populations, and osteoclasts in OS pathogenesis, with emphasis on cell–cell interactions mediated by direct contact, soluble factors, and extracellular vesicles. The studies demonstrate that these interactions promote tumor proliferation, immune evasion, extracellular matrix remodeling, metastatic dissemination, and therapeutic resistance. Adaptive responses of both tumor and stromal cells to environmental stressors contribute to chemoresistance and disease progression. Collectively, our findings highlight the multifactorial nature of OS driven by complex cellular crosstalk within the TME. Understanding these mechanisms highlights the limitations of conventional chemotherapy and encourages the development of combined therapeutic approaches, including targeted therapies, immunomodulation, and microenvironmental interventions. Continued investigation into tumor–microenvironment interactions may facilitate the identification of actionable targets and improve personalized treatment approaches for OS. Full article
Show Figures

Figure 1

16 pages, 6241 KB  
Article
Targeting Activated Pathways in Doxorubicin-Resistant TNBC Alters Signaling, Survival and EMT: A Double-Edged Sword
by Irem Dogan Turacli, Sahika Cingir Koker, Kubra Paspal Eroglu and Banu Yalcin
Int. J. Mol. Sci. 2026, 27(6), 2792; https://doi.org/10.3390/ijms27062792 - 19 Mar 2026
Viewed by 351
Abstract
Triple-negative breast cancer (TNBC) poses significant therapeutic challenges due to the limited availability of targeted treatment options and the development of resistance to chemotherapy, including doxorubicin (DOX). The objective of this study was to investigate the impact of inhibiting activated pathways in DOX-resistant [...] Read more.
Triple-negative breast cancer (TNBC) poses significant therapeutic challenges due to the limited availability of targeted treatment options and the development of resistance to chemotherapy, including doxorubicin (DOX). The objective of this study was to investigate the impact of inhibiting activated pathways in DOX-resistant TNBC and examine the effects on MAPK and PI3K/Akt signaling pathways, cell cycle regulation, and the regulators of the epithelial–mesenchymal transition (EMT) process. Continuous exposure of cells to increasing concentrations of DOX resulted in the selection of resistant cells that exhibited EMT characteristics. We assessed the expression levels of markers related to cell death, survival, mitophagy pathways and EMT using Western blotting and qPCR in both sensitive and resistant cells with activated-pathway inhibitor treatments. Additionally, we demonstrated differences in migration capacity between resistant and sensitive cells with or without inhibitor treatments. It was found that MEK inhibition was less effective than PI3K inhibition in both sensitive and resistant cells. Expression analyses clearly demonstrated that resistant cells exhibited more aggressive behavior, as indicated by EMT- and survival-related gene expressions. The combination of MEK and PI3K inhibitors was more effective in shutting down these signals in both cell types. The ability to induce EMT in DOX-resistant cells revealed that one form of resistance might combine with another, acting as a mediator for cellular switch. Although drug resistance and various inhibitors reduce the proliferative capacity of cells and related parameters, resistance contributes to the acquisition of metastatic characteristics. Full article
(This article belongs to the Section Molecular Oncology)
Show Figures

Figure 1

14 pages, 2367 KB  
Review
Inflammatory and Nested Testicular Sex Cord Tumors: Clinical and Molecular Characterization
by Panagiotis J. Vlachostergios, Foteini Karasavvidou, Konstantinos Evmorfopoulos, Ioannis Zachos and Vassilios Tzortzis
Genes 2026, 17(3), 340; https://doi.org/10.3390/genes17030340 - 19 Mar 2026
Viewed by 421
Abstract
Inflammatory and nested testicular sex cord tumor (IN-TSCT) is a recently characterized malignant neoplasm within the spectrum of testicular sex cord–stromal tumors. Previously misclassified as Sertoli cell tumor, not otherwise specified, or as seminoma, this entity has emerged as a distinct clinicopathologic and [...] Read more.
Inflammatory and nested testicular sex cord tumor (IN-TSCT) is a recently characterized malignant neoplasm within the spectrum of testicular sex cord–stromal tumors. Previously misclassified as Sertoli cell tumor, not otherwise specified, or as seminoma, this entity has emerged as a distinct clinicopathologic and molecular subtype defined by recurrent EWSR1::ATF1 gene fusions and a potentially aggressive clinical course. Patients most commonly present with unilateral painless testicular enlargement, and radiologic findings are typically nonspecific. Histologically, tumors demonstrate solid and nested growth patterns, epithelioid cytology with eosinophilic to clear cytoplasm, prominent hyalinized stroma, and a conspicuous inflammatory infiltrate. Immunophenotypically, tumors express sex cord–stromal markers, including steroidogenic factor-1 (SF-1) and inhibin, and frequently co-express epithelial membrane antigen and CD30 while lacking germ cell tumor markers. Molecular studies indicate fusion-driven oncogenesis associated with low tumor mutational burden. Published cases suggest that IN-TSCT may exhibit aggressive clinical behavior, including metastatic spread in a subset of patients; however, the total number of reported cases remains very limited, and the true metastatic risk and prognostic spectrum have not yet been clearly defined. This review synthesizes the available literature to provide a comprehensive clinicopathologic and molecular overview of this emerging tumor entity. Full article
(This article belongs to the Section Human Genomics and Genetic Diseases)
Show Figures

Figure 1

18 pages, 2248 KB  
Systematic Review
Granular Cell Tumors of the Musculoskeletal System and Peripheral Nerves: A Systematic Review of Clinical Presentations, Treatments, and Outcomes
by Edoardo Ipponi, Antonio D’Arienzo, Francesco Rosario Campo, Fabrizia Gentili, Fabio Cosseddu, Lorenzo Andreani and Paolo Domenico Parchi
Diagnostics 2026, 16(6), 885; https://doi.org/10.3390/diagnostics16060885 - 17 Mar 2026
Viewed by 446
Abstract
Background: Granular cell tumors (GCTs) are rare neoplasms that may also involve the musculoskeletal system and peripheral nerves of the extremities. In these locations, their clinical presentation, management, and outcomes remain poorly characterized. Methods: A systematic review was conducted according to PRISMA guidelines. [...] Read more.
Background: Granular cell tumors (GCTs) are rare neoplasms that may also involve the musculoskeletal system and peripheral nerves of the extremities. In these locations, their clinical presentation, management, and outcomes remain poorly characterized. Methods: A systematic review was conducted according to PRISMA guidelines. PubMed, MEDLINE, EMBASE, and Scopus were searched for articles published between 1975 and 2025 reporting GCTs arising from the musculoskeletal system or peripheral nerves, with available data on clinical presentation and treatment. Tumor location and size, symptoms, treatment modality, and oncological outcomes (recurrence or metastasis) at the latest follow-up were extracted. Results: Forty articles describing 67 cases were included (50 females, 17 males). Tumors showed benign (47) or atypical (2) behavior in 49 cases and malignant features in 18 cases. The mean largest tumor diameter was 44 mm, and malignant lesions were significantly larger than benign ones. Thirty-one lesions were located in the lower limbs, 25 in the upper limbs, and 11 had central musculoskeletal localizations. Swelling was the most common presenting symptom (92%), followed by pain (40%). Surgical excision was performed in all patients except one, who underwent primary amputation. Adjuvant chemotherapy or radiotherapy was sporadically used in malignant cases (two cases each). Among the malignant cases with reported oncological follow-up, 44% developed distant metastases, and one (5.6%) also experienced local recurrence. Only one benign GCT recurred (2%), whereas all other non-malignant lesions remained CDF (98%). Conclusions: Although rare, GCTs should be considered in the differential diagnosis of musculoskeletal soft-tissue tumors, given their potential for malignant behavior and metastatic spread. Full article
Show Figures

Figure 1

27 pages, 1186 KB  
Review
Gap Junction–Mediated Communication in Melanoma: From Tumor Progression to Treatment Response
by Juliana Massoud, Sarah Ibrahim, Madison Jensen, Michael C. Beary, Ben Nafchi, Michael Springer and Shoshanna N. Zucker
Int. J. Mol. Sci. 2026, 27(6), 2705; https://doi.org/10.3390/ijms27062705 - 16 Mar 2026
Viewed by 493
Abstract
Melanoma is a highly malignant neoplasm of the skin with early metastatic spread and increasing incidence worldwide. Although there are significant therapeutic advances in immunotherapy, especially with the checkpoint inhibitors targeting PD-1 and CTLA-4, challenges such as treatment-related toxicities, a heterogeneous response to [...] Read more.
Melanoma is a highly malignant neoplasm of the skin with early metastatic spread and increasing incidence worldwide. Although there are significant therapeutic advances in immunotherapy, especially with the checkpoint inhibitors targeting PD-1 and CTLA-4, challenges such as treatment-related toxicities, a heterogeneous response to therapy, and drug resistance continue to exist. There are unmet needs for novel therapeutic strategies and/or approaches to complement the existing treatment options. Potential targets for future melanoma treatment are the gap junction proteins, connexins, which show an altered pattern of regulation during melanoma progression. In this review, we highlight the regulation of gap junctions during melanoma progression and the characterization of gap junctions as tumor suppressors during early-stage tumor development and then the reversion to enhancers of tumor metastasis during late-stage melanoma progression. We provide a comprehensive overview of gap junctions in the skin and how the connexin proteins, which comprise gap junctions, are alternatively regulated in melanoma progression. Connexins are protein channels in the human body that consist of 21 isoforms. These isoforms form gap junctions that provide important intercellular signaling and permeability channels. Each connexin protein consists of four transmembrane domains and a C-terminal tail, which is an important part of its function and regulation. Permeants of gap junctions include signaling molecules such as cyclic AMP and inositol triphosphate which are linked to key cellular behaviors such as proliferation and migration, making them essential for several tumor-related processes. At least ten connexin isoforms are found in normal skin. Connexin 43 (Cx43) is classified as the most prevalent isoform while Connexin 26 (Cx26) has been reported to be more specialized with restricted expression patterns. Cx43 and Cx26 regulate the growth, differentiation, and repair of the epidermis after injury. Evidence suggests that connexins have a stage-related function in melanoma. Loss of connexin expression and gap junctional intercellular communication is linked to tumor suppression and loss of differentiation in early-stage melanoma, while re-expression or overexpression of specific connexins, notably Cx43, may promote metastasis through enhanced tumor–stromal interactions and increased motility in late-stage melanoma. Such opposing actions of connexins support their candidacy as biomarkers and therapeutic targets. Understanding the dual-stage related functions of connexins in melanoma development and progression may lead to less cytotoxic and more efficient future therapeutic approaches. Full article
Show Figures

Figure 1

30 pages, 1784 KB  
Review
TFE3-Rearranged and TFEB-Altered Renal Cell Carcinomas: Molecular Landscape and Therapeutic Advances
by Mikel Portu, Mario Balsa, Maria Cotaina, Georgia Anguera, Xavier García del Muro, Ferran Algaba and Pablo Maroto
Cancers 2026, 18(6), 958; https://doi.org/10.3390/cancers18060958 - 16 Mar 2026
Cited by 1 | Viewed by 1056
Abstract
Renal cell carcinomas (RCCs) driven by TFE3 rearrangement or TFEB alteration (MiT-RCC) account for up to 40% of pediatric RCCs but are rare in adults. MiT-RCC includes fusion-driven tumors with TFE3 or TFEB rearrangements (translocation RCC, tRCC) and TFEB-amplified RCC. Morphologic heterogeneity [...] Read more.
Renal cell carcinomas (RCCs) driven by TFE3 rearrangement or TFEB alteration (MiT-RCC) account for up to 40% of pediatric RCCs but are rare in adults. MiT-RCC includes fusion-driven tumors with TFE3 or TFEB rearrangements (translocation RCC, tRCC) and TFEB-amplified RCC. Morphologic heterogeneity and historical exclusion from trials have limited evidence-based management. We reviewed the literature through January 2026 to summarize molecular biology, pathology, clinical behavior, and systemic therapy. MiT-RCC comprises biologically distinct entities: TFEB-rearranged tumors are often indolent in younger patients, whereas TFEB-amplified RCC, frequently co-amplifying VEGFA, behaves aggressively in older adults. In TFE3-rearranged RCC, fusion partner influences prognosis. Paradoxically, ASPSCR1::TFE3 fusions have the poorest natural history, yet fusion-annotated cohorts suggest these tumors may derive particular benefit from immune checkpoint inhibitor (ICI) plus VEGF receptor tyrosine kinase inhibitor (VEGFR-TKI) combinations. Diagnostic advances including GPNMB immunohistochemistry, TRIM63 RNA in situ hybridization, and sequencing-based fusion panels improve detection of cryptic alterations. First-line ICI + VEGFR-TKI combinations are increasingly favored for metastatic tRCC in eligible patients, while optimal management of TFEB-amplified RCC remains uncertain. Full article
(This article belongs to the Section Cancer Therapy)
Show Figures

Figure 1

20 pages, 1561 KB  
Review
Unraveling Uveal Melanoma: Advances in Three-Dimensional Models
by Nicoletta Palmeri, Agata Grazia D’Amico, Serena Matera, Carla Cavallaro, Giuseppe Evola, Velia D’Agata and Grazia Maugeri
Appl. Sci. 2026, 16(6), 2797; https://doi.org/10.3390/app16062797 - 14 Mar 2026
Viewed by 510
Abstract
Uveal melanoma (UM) is the most common primary intraocular malignancy in adults and remains associated with a high risk of metastatic spread and poor survival once metastasis occurs. Despite advances in the molecular characterization of UM, progress in effective therapeutic strategies has been [...] Read more.
Uveal melanoma (UM) is the most common primary intraocular malignancy in adults and remains associated with a high risk of metastatic spread and poor survival once metastasis occurs. Despite advances in the molecular characterization of UM, progress in effective therapeutic strategies has been limited, partly due to the lack of preclinical models that accurately recapitulate the tumor’s complex biology and microenvironment. Traditional two-dimensional (2D) culture systems fail to reflect key features of UM, including cellular heterogeneity, extracellular matrix interactions, and immune modulation. In recent years, three-dimensional (3D) models have emerged as powerful tools to overcome these limitations and to better mimic in vivo tumor architecture and behavior. This review provides a comprehensive overview of the current landscape of 3D UM models, including spheroids and organoids. We discuss their applications in studying UM pathogenesis, tumor–microenvironment interactions, metastatic mechanisms, and therapeutic responses. Advancing 3D modeling approaches holds promise for improving translational research and accelerating the development of effective therapies for uveal melanoma. Full article
(This article belongs to the Special Issue Advances in Cancers and Tumor Targeted Immunotherapy)
Show Figures

Figure 1

13 pages, 1661 KB  
Case Report
Clear Cell Renal Cell Carcinoma with Synchronous Bladder Metastasis: Diagnostic, Surgical, and Pathological Insights from a Rare Presentation
by Miroslava Benkova-Petrova, Alexander Petrov, Pavel Abushev, Plamen Kirilov, Simeon Marinov, Doroteya Malinova and Stanila Stoeva-Grigorova
J. Clin. Med. 2026, 15(6), 2098; https://doi.org/10.3390/jcm15062098 - 10 Mar 2026
Viewed by 398
Abstract
Background: Clear cell renal cell carcinoma (ccRCC) constitutes 75–80% of all renal cell carcinomas and exhibits aggressive behavior with high metastatic potential. Common metastatic sites include lungs, bones, lymph nodes, and liver, while urinary bladder involvement is exceedingly rare. Early detection of atypical [...] Read more.
Background: Clear cell renal cell carcinoma (ccRCC) constitutes 75–80% of all renal cell carcinomas and exhibits aggressive behavior with high metastatic potential. Common metastatic sites include lungs, bones, lymph nodes, and liver, while urinary bladder involvement is exceedingly rare. Early detection of atypical metastases is critical for risk stratification, surgical planning, and systemic therapy selection. Methods: We report a 69-year-old male presenting with recurrent, painless gross hematuria and dysuria. Contrast-enhanced computed tomography revealed a left renal mass with bilateral pulmonary nodules, regional lymphadenopathy, and a bladder lesion. The patient underwent transurethral resection (TUR) of the bladder lesion, followed by robot-assisted left nephro-adrenalectomy with para-aortic lymphadenectomy. Histopathology and immunohistochemistry (PAX8+, CD10+, CAIX+, CK7−, GATA3−) confirmed ccRCC with synchronous bladder metastasis. Postoperatively, combined immune checkpoint inhibitor (ICI) therapy and tyrosine kinase inhibitors (TKIs) were initiated. Results: TUR provided symptomatic relief and diagnostic confirmation. Robot-assisted surgery enabled precise, oncologically safe excision of the primary tumor and regional metastases with minimal blood loss and no perioperative complications. Pathological staging was pT3aN1M1, ISUP grade 2, with lymphovascular invasion, confirming advanced disease requiring systemic therapy. Early initiation of ICI plus TKI therapy targeted residual micrometastases to potentially prolong survival. Conclusions: This case highlights the rare occurrence of ccRCC with synchronous bladder metastasis and underscores the importance of comprehensive imaging, detailed morphologic and immunohistochemical evaluation, and a multidisciplinary approach. Robot-assisted cytoreductive surgery combined with modern systemic therapy represents an effective strategy for advanced ccRCC, emphasizing the need for individualized treatment and long-term follow-up in atypical metastatic scenarios. Full article
(This article belongs to the Special Issue Kidney Cancer: From Diagnostic to Therapy)
Show Figures

Figure 1

18 pages, 1133 KB  
Review
Canine Splenic Hemangiosarcoma: Biological Behavior, Clinical Challenges and Therapeutic Limitations
by Felisbina Pereira Queiroga, Ana Margarida Marques, Hugo Gregório and Gonçalo N. Petrucci
Animals 2026, 16(5), 778; https://doi.org/10.3390/ani16050778 - 2 Mar 2026
Viewed by 1619
Abstract
Canine splenic hemangiosarcoma is a highly malignant vascular neoplasm and is among the most frequent and clinically relevant splenic tumors in dogs. Its biological behavior is characterized by rapid growth, marked invasiveness, and early metastatic dissemination, contributing to the poor prognosis commonly observed [...] Read more.
Canine splenic hemangiosarcoma is a highly malignant vascular neoplasm and is among the most frequent and clinically relevant splenic tumors in dogs. Its biological behavior is characterized by rapid growth, marked invasiveness, and early metastatic dissemination, contributing to the poor prognosis commonly observed in affected animals. Clinically, splenic hemangiosarcoma often remains subclinical until acute presentation due to splenic rupture and hemoperitoneum, thereby substantially limiting opportunities for early diagnosis and timely therapeutic intervention. Despite advances in diagnostic imaging, surgical techniques, and the use of adjuvant chemotherapy, the impact of current therapeutic approaches on long-term survival remains limited. Splenectomy is primarily palliative for hemorrhage control, and adjuvant doxorubicin-based chemotherapy yields only modest improvements in median survival; alternative approaches (metronomic chemotherapy, immunotherapy, and targeted therapies) have not demonstrated consistent clinical benefit. This review summarizes the biological and pathophysiological features of canine splenic hemangiosarcoma, discusses the main clinical challenges associated with its diagnosis and staging, and critically reviews current therapeutic approaches and their limitations. By integrating biological behavior with clinical and therapeutic evidence, this article highlights the reasons why prognosis remains poor and underscores the need for more effective strategies to improve clinical outcomes in dogs with splenic hemangiosarcoma. Full article
(This article belongs to the Section Companion Animals)
Show Figures

Figure 1

Back to TopTop