Canine Splenic Hemangiosarcoma: Biological Behavior, Clinical Challenges and Therapeutic Limitations
Simple Summary
Abstract
1. Introduction
2. Biological and Pathophysiological Features of Canine Splenic Hemangiosarcoma
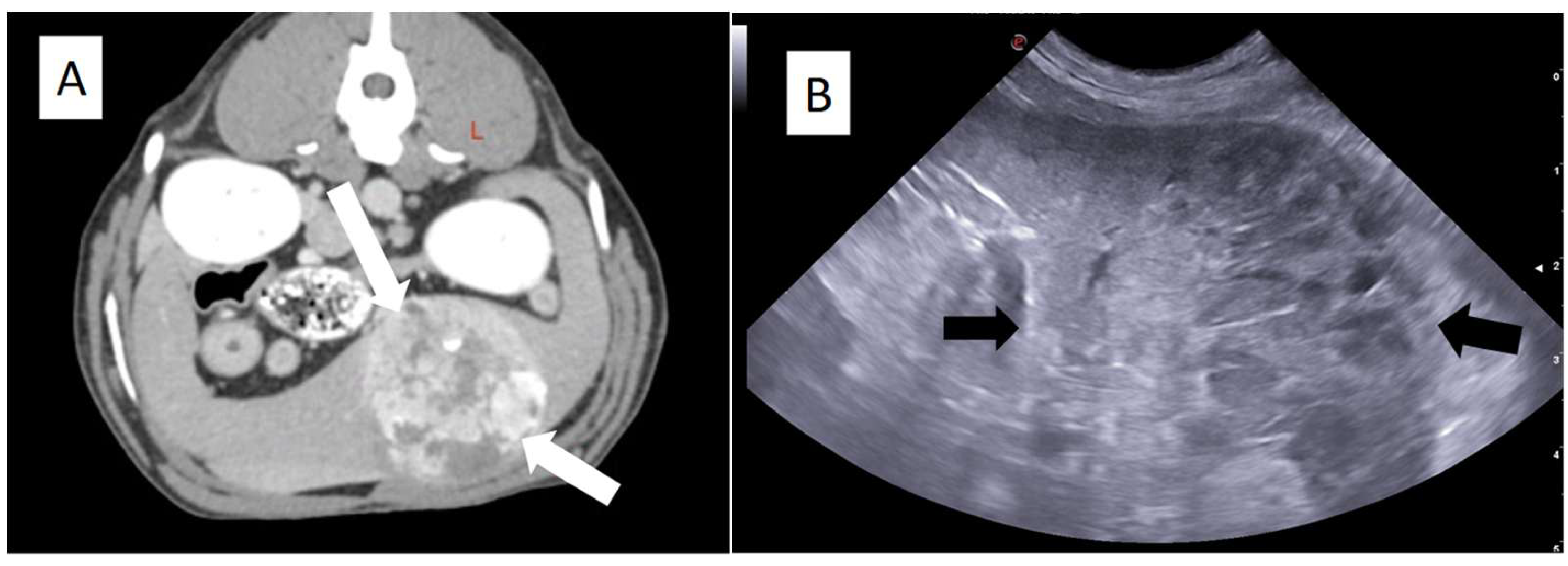
3. Clinical Presentation and Diagnostic Challenges
4. Prognostic Factors and Clinical Staging
5. Therapeutic Approaches
5.1. Surgery
5.2. Conventional Chemotherapy
5.3. Metronomic Chemotherapy
5.4. Immunotherapy and Other Therapeutic Strategies
6. Prognosis
7. Future Directions
8. Conclusions
Author Contributions
Funding
Institutional Review Board Statement
Informed Consent Statement
Data Availability Statement
Conflicts of Interest
References
- Valli, V.E.O.; Kiupel, M.; Bienzle, D.; Wood, R.D. Chapter 2—Hematopoietic System. In Jubb, Kennedy & Palmer’s Pathology of Domestic Animals: Volume 3, 6th ed.; Maxie, M.G., Ed.; W.B. Saunders: Philadelphia, PA, USA, 2016; pp. 102–268. [Google Scholar]
- Couto, C.G. Chapter 88—Lymphadenopathy and Splenomegaly. In Small Animal Internal Medicine, 6th ed.; Nelson, R.W., Couto, C.G., Eds.; Elsevier: St. Louis, MO, USA, 2019; pp. 1407–1419. [Google Scholar]
- Fossum, T.W.; Radlinsky, M. Chapter 23—Surgery of the Hemolymphatic System. In Small Animal Surgery, 5th ed.; Fossum, T.W., Ed.; Elsevier: St. Louis, MO, USA, 2019; pp. 631–649. [Google Scholar]
- Boes, K.M.; Durham, A.C. Chapter 13—Bone Marrow, Blood Cells, and the Lymphoid/Lymphatic System. In Pathologic Basis of Veterinary Disease, 6th ed.; Zachary, J.F., Ed.; Mosby: St. Louis, MO, USA, 2017; pp. 724–804.e2. [Google Scholar]
- Richter, M.C. Chapter 83—Spleen. In Veterinary Surgery Small Animal, 2nd ed.; Tobias, K.M., Johnston, S.A., Eds.; Elsevier: St. Louis, MO, USA, 2018; pp. 1551–1564. [Google Scholar]
- Marques, A.M.; Petrucci, G.; Gregório, H.; Lobo, L.; Henriques, J.; Figueira, A.C.; Vilhena, H.; Marrinhas, C.; Queiroga, F.L. Diagnostic and Prognostic Value of Blood Ratios in Canine Splenic Hemangiosarcoma: A Multicentric Observational Study. Vet. Sci. 2025, 12, 346. [Google Scholar] [CrossRef]
- Morris, J.; Dobson, J. Miscellaneous Tumours. In Small Animal Oncology; Morris, J., Dobson, J., Eds.; Blackwell Science: Bognor Regis, UK, 2001; pp. 262–278. [Google Scholar]
- Bettini, G.; Mandrioli, L.; Brunetti, B.; Marcato, P.S. Canine Splenic Pathology: A Retrospective Study of 109 Surgical Samples, with Special Emphasis on Fibrohistiocytic Nodules. Eur. J. Vet. Pathol. 2002, 7, 101–109. [Google Scholar]
- Rothrock, K. Splenic Neoplasia—Associate Database—VIN. 2021. Available online: http://www.vin.com/Members/Associate/Associate.plx?DiseaseId=647 (accessed on 4 July 2022).
- Clifford, C.A.; Mackin, A.J.; Henry, C.J. Treatment of canine hemangiosarcoma: 2000 and beyond. J. Vet. Intern. Med. 2000, 14, 479–485. [Google Scholar] [CrossRef] [PubMed]
- Kim, J.H.; Graef, A.J.; Dickerson, E.B.; Modiano, J.F. Pathobiology of Hemangiosarcoma in Dogs: Research Advances and Future Perspectives. Vet. Sci. 2015, 2, 388–405. [Google Scholar] [CrossRef]
- Argyle, D.J.; O’Brien, R.T. Chapter 206—Nonneoplastic Diseases of the Spleen. In Textbook of Veterinary Internal Medicine; Ettinger, S.J., Feldman, E.C., Côté, E., Eds.; Elsevier: Amsterdam, The Netherlands, 2017; pp. 2187–2209. [Google Scholar]
- Mullin, C.; Clifford, C.A. Histiocytic Sarcoma and Hemangiosarcoma Update. Vet. Clin. N. Am. Small Anim. Pract. 2019, 49, 855–879. [Google Scholar] [CrossRef]
- Mullin, C.; Clifford, C.A. Miscellaneous Tumors-Section A: Hemangiosarcoma. In Withrow and MacEwen’s Small Animal Clinical Oncology; Vail, D.M., Thamm, D.H., Liptak, J.M., Eds.; Saunders Elsevier: St. Louis, MO, USA, 2020; pp. 773–778. [Google Scholar]
- Davies, O.; Taylor, A.J. Refining the “double two-thirds” rule: Genotype-based breed grouping and clinical presentation help predict the diagnosis of canine splenic mass lesions in 288 dogs. Vet. Comp. Oncol. 2020, 18, 548–558. [Google Scholar] [CrossRef] [PubMed]
- Ogilvie, G.K.; Powers, B.E.; Mallinckrodt, C.H.; Withrow, S.J. Surgery and doxorubicin in dogs with hemangiosarcoma. J. Vet. Intern. Med. 1996, 10, 379–384. [Google Scholar] [CrossRef] [PubMed]
- Matsuyama, A.; Poirier, V.J.; Mantovani, F.; Foster, R.A.; Mutsaers, A.J. Adjuvant Doxorubicin with or without Metronomic Cyclophosphamide for Canine Splenic Hemangiosarcoma. J. Am. Anim. Hosp. Assoc. 2017, 53, 304–312. [Google Scholar] [CrossRef]
- Wendelburg, K.M.; Price, L.L.; Burgess, K.E.; Lyons, J.A.; Lew, F.H.; Berg, J. Survival time of dogs with splenic hemangiosarcoma treated by splenectomy with or without adjuvant chemotherapy: 208 cases (2001–2012). J. Am. Vet. Med. Assoc. 2015, 247, 393–403. [Google Scholar] [CrossRef]
- Batschinski, K.; Nobre, A.; Vargas-Mendez, E.; Tedardi, M.; Cirillo, J.; Cestari, G.; Ubukata, R.; Dagli, M.L.Z. Canine visceral hemangiosarcoma treated with surgery alone or surgery and doxorubicin: 37 cases (2005–2014). Can. Vet. J. 2018, 59, 967–972. [Google Scholar]
- Sorenmo, K.U.; Baez, J.L.; Clifford, C.A.; Mauldin, E.; Overley, B.; Skorupski, K.; Bachman, R.; Samluk, M.; Shofer, F. Efficacy and toxicity of a dose-intensified doxorubicin protocol in canine hemangiosarcoma. J. Vet. Intern. Med. 2004, 18, 209–213. [Google Scholar] [CrossRef]
- Finotello, R.; Stefanello, D.; Zini, E.; Marconato, L. Comparison of doxorubicin-cyclophosphamide with doxorubicin-dacarbazine for the adjuvant treatment of canine hemangiosarcoma. Vet. Comp. Oncol. 2017, 15, 25–35. [Google Scholar] [CrossRef]
- Alexander, C.K.; Cronin, K.L.; Silver, M.; Gardner, H.L.; London, C. The addition of metronomic chemotherapy does not improve outcome for canine splenic haemangiosarcoma. J. Small Anim. Pract. 2019, 60, 32–37. [Google Scholar] [CrossRef]
- Gardner, H.L.; London, C.A.; Portela, R.A.; Nguyen, S.; Rosenberg, M.P.; Klein, M.K.; Clifford, C.; Thamm, D.H.; Vail, D.M.; Bergman, P.; et al. Maintenance therapy with toceranib following doxorubicin-based chemotherapy for canine splenic hemangiosarcoma. BMC Vet. Res. 2015, 11, 131. [Google Scholar] [CrossRef] [PubMed]
- Treggiari, E.; Borrego, J.F.; Gramer, I.; Valenti, P.; Harper, A.; Finotello, R.; Toni, C.; Laomedonte, P.; Romanelli, G. Retrospective comparison of first-line adjuvant anthracycline vs metronomic-based chemotherapy protocols in the treatment of stage I and II canine splenic haemangiosarcoma. Vet. Comp. Oncol. 2020, 18, 43–51. [Google Scholar] [CrossRef] [PubMed]
- Kim, M.; Choi, S.; Choi, H.; Lee, Y.; Lee, K. Diagnosis of a large splenic tumor in a dog: Computed tomography versus magnetic resonance imaging. J. Vet. Med. Sci. 2016, 77, 1685–1687. [Google Scholar] [CrossRef]
- Tamburini, B.A.; Phang, T.L.; Fosmire, S.P.; Scott, M.C.; Trapp, S.C.; Duckett, M.M.; Robinson, S.R.; E Slansky, J.; Sharkey, L.C.; Cutter, G.R.; et al. Gene expression profiling identifies inflammation and angiogenesis as distinguishing features of canine hemangiosarcoma. BMC Cancer 2010, 10, 619. [Google Scholar] [CrossRef]
- Brachelente, C.; Torrigiani, F.; Porcellato, I.; Drigo, M.; Brescia, M.; Treggiari, E.; Ferro, S.; Zappulli, V.; Sforna, M. Tumor Immune Microenvironment and Its Clinicopathological and Prognostic Associations in Canine Splenic Hemangiosarcoma. Animals 2024, 14, 1224. [Google Scholar] [CrossRef]
- Hammond, T.N.; Pesillo-Crosby, S.A. Prevalence of hemangiosarcoma in anemic dogs with a splenic mass and hemoperitoneum requiring a transfusion: 71 cases (2003–2005). J. Am. Vet. Med. Assoc. 2008, 232, 553–558. [Google Scholar] [CrossRef] [PubMed]
- Masyr, A.R.; Rendahl, A.K.; Winter, A.L.; Borgatti, A.; Modiano, J.F. Retrospective evaluation of thrombocytopenia and tumor stage as prognostic indicators in dogs with splenic hemangiosarcoma. Javma-J. Am. Vet. Med. Assoc. 2021, 258, 630–637. [Google Scholar] [CrossRef]
- Mallinckrodt, M.J.; Gottfried, S.D. Mass-to-splenic volume ratio and splenic weight as a percentage of body weight in dogs with malignant and benign splenic masses: 65 cases (2007–2008). J. Am. Vet. Med. Assoc. 2011, 239, 1325–1327. [Google Scholar] [CrossRef] [PubMed]
- Dervisis, N.G.; Dominguez, P.A.; Newman, R.G.; Cadile, C.D.; Kitchell, B.E. Treatment with DAV for advanced-stage hemangiosarcoma in dogs. J. Am. Anim. Hosp. Assoc. 2011, 47, 170–178. [Google Scholar] [CrossRef] [PubMed]
- Faulhaber, E.A.; Janik, E.; Thamm, D.H. Adjuvant carboplatin for treatment of splenic hemangiosarcoma in dogs: Retrospective evaluation of 18 cases (2011–2016) and comparison with doxorubicin-based chemotherapy. J. Vet. Intern. Med. 2021, 35, 1929–1934. [Google Scholar] [CrossRef] [PubMed]
- Lana, S.; U’ren, L.; Plaza, S.; Elmslie, R.; Gustafson, D.; Morley, P.; Dow, S. Continuous low-dose oral chemotherapy for adjuvant therapy of splenic hemangiosarcoma in dogs. J. Vet. Intern. Med. 2007, 21, 764–769. [Google Scholar] [CrossRef]
- Sorenmo, K.U.; Jeglum, K.A.; Helfand, S.C. Chemotherapy of Canine Hemangiosarcoma with Doxorubicin and Cyclophosphamide. J. Vet. Intern. Med. 1993, 7, 370–376. [Google Scholar] [CrossRef]
- Alvarez, F.J.; Hosoya, K.; Lara-Garcia, A.; Kisseberth, W.; Couto, G. VAC protocol for treatment of dogs with stage III hemangiosarcoma. J. Am. Anim. Hosp. Assoc. 2013, 49, 370–377. [Google Scholar] [CrossRef]
- Hammer, A.S.; Couto, C.G.; Filppi, J.; Getzy, D.; Shank, K. Efficacy and toxicity of VAC chemotherapy (vincristine, doxorubicin, and cyclophosphamide) in dogs with hemangiosarcoma. J. Vet. Intern. Med. 1991, 5, 160–166. [Google Scholar] [CrossRef]
- Kahn, S.A.; Mullin, C.M.; De Lorimier, L.-P.; E Burgess, K.; E Risbon, R.; Fred, R.M.; Drobatz, K.; A Clifford, C. Doxorubicin and deracoxib adjuvant therapy for canine splenic hemangiosarcoma: A pilot study. Can. Vet. J. 2013, 54, 237–242. [Google Scholar]
- Rassnick, K.M.; Frimberger, A.E.; Wood, C.A.; Williams, L.E.; Cotter, S.M.; Moore, A.S. Evaluation of ifosfamide for treatment of various canine neoplasms. J. Vet. Intern. Med. 2000, 14, 271–276. [Google Scholar] [CrossRef]
- Payne, S.E.; Rassnick, K.M.; Northrup, N.C.; Kristal, O.; Chretin, J.D.; Cotter, S.M.; Kintzer, P.; Frimberger, A.E.; Morrison-Collister, K.E.; Wood, C.A.; et al. Treatment of vascular and soft-tissue sarcomas in dogs using an alternating protocol of ifosfamide and doxorubicin. Vet. Comp. Oncol. 2003, 1, 171–179. [Google Scholar] [CrossRef]
- Kim, S.E.; Liptak, J.M.; Gall, T.T.; Monteith, G.J.; Woods, J.P. Epirubicin in the adjuvant treatment of splenic hemangiosarcoma in dogs: 59 cases (1997–2004). J. Am. Vet. Med. Assoc. 2007, 231, 1550–1557. [Google Scholar] [CrossRef]
- Bray, J.P.; Orbell, G.; Cave, N.; Munday, J.S. Does thalidomide prolong survival in dogs with splenic haemangiosarcoma? J. Small Anim. Pract. 2018, 59, 85–91. [Google Scholar] [CrossRef]
- Petrucci, G.N.; Magalhães, T.R.; Dias, M.; Queiroga, F.L. Metronomic chemotherapy: Bridging theory to clinical application in canine and feline oncology. Front. Vet. Sci. 2024, 11, 1397376. [Google Scholar] [CrossRef]
- Lucroy, M.D.; Clauson, R.M.; Suckow, M.A.; El-Tayyeb, F.; Kalinauskas, A. Evaluation of an autologous cancer vaccine for the treatment of metastatic canine hemangiosarcoma: A preliminary study. BMC Vet. Res. 2020, 16, 447. [Google Scholar] [CrossRef] [PubMed]
- MacEwen, E.G.; Kurzman, I.D.; Helfand, S.; Vail, D.; London, C.; Kisseberth, W.; Rosenthal, R.C.; Fox, L.E.; Keller, E.T.; Obradovich, J.; et al. Current studies of liposome muramyl tripeptide (CGP 19835A lipid) therapy for metastasis in spontaneous tumors: A progress review. J. Drug Target. 1994, 2, 391–396. [Google Scholar] [CrossRef] [PubMed]
- U’Ren, L.W.; Biller, B.J.; Elmslie, R.E.; Thamm, D.H.; Dow, S.W. Evaluation of a novel tumor vaccine in dogs with hemangiosarcoma. J. Vet. Intern. Med. 2007, 21, 113–120. [Google Scholar] [CrossRef] [PubMed]
- Konduri, V.; Halpert, M.M.; Baig, Y.C.; Coronado, R.; Rodgers, J.R.; Levitt, J.M.; Cerroni, B.; Piscoya, S.; Wilson, N.; DiBernardi, L.; et al. Dendritic cell vaccination plus low-dose doxorubicin for the treatment of spontaneous canine hemangiosarcoma. Cancer Gene Ther. 2019, 26, 282–291. [Google Scholar] [CrossRef]
- Ferrara, N.; Kerbel, R.S. Angiogenesis as a therapeutic target. Nature 2005, 438, 967–974. [Google Scholar] [CrossRef]
- Sorenmo, K.; Duda, L.; Barber, L.; Cronin, K.; Sammarco, C.; Usborne, A.; Goldschmidt, M.; Shofer, F. Canine hemangiosarcoma treated with standard chemotherapy and minocycline. J. Vet. Intern. Med. 2000, 14, 395–398. [Google Scholar] [CrossRef] [PubMed]



| Treatment | Study (Author, Year) | Study Design and Sample Size (Total) | Tumor Type | Stage Distribution | Number of Animals Included in the Protocol | Median Survival (Days) * |
|---|---|---|---|---|---|---|
| Splenectomy alone | Wendelburg et al., 2015 [18] | Retrospective (n = 208) | SH | Mixed stages (I + II + III) | 154 | 48 |
| Batschinski et al., 2018 [19] | Retrospective (n = 37) | H | Stages I + III | 23 | 66 | |
| Doxorubicin | Ogilvie et al., 1996 [16] | Prospective (n = 46) | H | Stages I + III | 46 | 172 |
| Batschinski et al., 2018 [19] | Retrospective (n = 37) | H | Stages I + III | 14 | 274 | |
| Sorenmo et al., 2004 [20] | Prospective (n = 20) | H | Stage I | 5 | 257 | |
| Stage II | 9 | 186 | ||||
| Stage III | 6 | 87 | ||||
| Matsuyama et al., 2017 [17] | Retrospective (n = 33) | SH | Mixed stages (I + II + III) | 15 | 143 | |
| Faulhaber et al., 2021 [32] | Retrospective (n = 40) | SH | Stages I + II | 22 | 139 | |
| Lana et al., 2007 [33] | Retrospective (n = 31) | SH | Stage II | 24 | 133 | |
| Doxorubicin + Cyclophosphamide (AC) | Sorenmo et al., 1993 [34] | Prospective (n = 16) | H | Mixed stages (I + II + III) | 16 | 202 |
| Finotello et al., 2017 [21] | Prospective (n = 27) | H | Stages II + III | 18 | 142 | |
| Doxorubicin + Cyclophosphamide + Vincristine (VAC) | Alvarez et al., 2013 [35] | Retrospective (n = 67) | SH | Stages I + II | 42 | 189 |
| Stage III | 25 | 195 | ||||
| Hammer et al., 1991 [36] | Prospective (n = 15) | SH | Mixed stages (I + II + III) | 15 | 172 | |
| Doxorubicin + Vincristine + Dacarbazine (DAV) | Dervisis et al., 2011 [31] | Prospective (n = 24) | H | Mixed stages (I + II + III) | 24 | 125 |
| Doxorubicin + Dacarbazine (ADTIC) | Finotello et al., 2017 [21] | Prospective (n = 27) | H | Stages II + III | 9 | >550 |
| Doxorubicin + Deracoxib | Kahn et al., 2013 [37] | Prospective (n = 21) | SH | Stage I | 3 | 239 |
| Stage II | 7 | 120 | ||||
| Stage III | 11 | 149 | ||||
| Mixed stages (I + II + III) | 21 | 150 | ||||
| Carboplatin-based protocol | Faulhaber et al., 2021 [32] | Retrospective (n = 40) | SH | Stage I | 8 | 341 |
| Stage II | 10 | 97.5 | ||||
| Stages I + II | 18 | 160 | ||||
| Ifosfamide | Rassnick et al., 2000 [38] | Retrospective (n = 72) | SH | Stages I + II | 6 | 147–206 |
| Ifosfamide + Doxorubicin | Payne et al., 2003 [39] | Retrospective (n = 39) | SH | Stages I + III | 27 | 149 |
| Epirubicin | Kim et al., 2007 [40] | Retrospective (n = 59) | SH | Stage I | 7 | 983 |
| Stage II | 3 | 98 | ||||
| Stage III | 8 | 135 | ||||
| Mixed stages (I + II + III) | 18 | 144 | ||||
| Thalidomide | Bray et al., 2008 [41] | Prospective (n = 15) | SH | Stage II | 10 | 303 |
| Stage III | 5 | 40 | ||||
| Stage II + III | 15 | 172 |
| Treatment | Study (Author, Year) | Study Design and Sample Size (Total) | Stage Distribution | Number of Animals Included in the Protocol | Median Survival (Days) * |
|---|---|---|---|---|---|
| Conventional Chemotherapy | Lana et al., 2007 [33] | Retrospective (n = 31) | Stage II | 24 | 133 |
| Matsuyama et al., 2017 [17] | Retrospective (n = 33) | Mixed stages (I + II + III) | 15 | 143 | |
| Wendelburg et al., 2015 [18] | Retrospective (n = 208) | Mixed stages (I + II + III) | 28 | 90 | |
| Alexander et al., 2019 [22] | Retrospective (n = 51) | Mixed stages (I + II + III) | 39 | 180 | |
| Treggiari et al., 2020 [24] | Retrospective (n = 109) | Stages I + II | 75 | 154 | |
| Metronomictherapy | Wendelburg et al., 2015 [18] | Retrospective (n = 208) | Mixed stages (I + II + III) | 13 | 102 |
| Treggiari et al., 2020 [24] | Retrospective (n = 109) | Stages I + II | 34 | 225 | |
| Lana et al., 2007 [33] | Retrospective (n = 31) | Stage II | 9 | 178 | |
| Conventional Chemotherapy + Metronomic Chemotherapy | Matsuyama et al., 2017 [17] | Retrospective (n = 33) | Mixed stages (I + II + III) | 18 | 186 |
| Wendelburg et al., 2015 [18] | Retrospective (n = 208) | Mixed stages (I + II + III) | 13 | 129 | |
| Alexander et al., 2019 [22] | Retrospective (n = 51) | Mixed stages (I + II + III) | 22 | 212 | |
| Treggiari et al., 2020 [24] | Retrospective (n = 109) | Stages I + II | 23 | 338 |
Disclaimer/Publisher’s Note: The statements, opinions and data contained in all publications are solely those of the individual author(s) and contributor(s) and not of MDPI and/or the editor(s). MDPI and/or the editor(s) disclaim responsibility for any injury to people or property resulting from any ideas, methods, instructions or products referred to in the content. |
© 2026 by the authors. Licensee MDPI, Basel, Switzerland. This article is an open access article distributed under the terms and conditions of the Creative Commons Attribution (CC BY) license.
Share and Cite
Queiroga, F.P.; Marques, A.M.; Gregório, H.; Petrucci, G.N. Canine Splenic Hemangiosarcoma: Biological Behavior, Clinical Challenges and Therapeutic Limitations. Animals 2026, 16, 778. https://doi.org/10.3390/ani16050778
Queiroga FP, Marques AM, Gregório H, Petrucci GN. Canine Splenic Hemangiosarcoma: Biological Behavior, Clinical Challenges and Therapeutic Limitations. Animals. 2026; 16(5):778. https://doi.org/10.3390/ani16050778
Chicago/Turabian StyleQueiroga, Felisbina Pereira, Ana Margarida Marques, Hugo Gregório, and Gonçalo N. Petrucci. 2026. "Canine Splenic Hemangiosarcoma: Biological Behavior, Clinical Challenges and Therapeutic Limitations" Animals 16, no. 5: 778. https://doi.org/10.3390/ani16050778
APA StyleQueiroga, F. P., Marques, A. M., Gregório, H., & Petrucci, G. N. (2026). Canine Splenic Hemangiosarcoma: Biological Behavior, Clinical Challenges and Therapeutic Limitations. Animals, 16(5), 778. https://doi.org/10.3390/ani16050778

