Sign in to use this feature.

Years

Between: -

Subjects

remove_circle_outline
remove_circle_outline
remove_circle_outline
remove_circle_outline
remove_circle_outline
remove_circle_outline
remove_circle_outline
remove_circle_outline
remove_circle_outline

Journals

Article Types

Countries / Regions

remove_circle_outline
remove_circle_outline
remove_circle_outline
remove_circle_outline

Search Results (298)

Search Parameters:
Keywords = interventional echocardiography

Order results
Result details
Results per page
Select all
Export citation of selected articles as:
12 pages, 988 KB  
Article
Predictive Value of Apelin-36 for No-Reflow Phenomenon in STEMI Patients
by Xhevdet Krasniqi, Xhevat Jakupi, Josip Vincelj, Gresa Gojani, Petrit Çuni, Labinot Shahini, Adriana Berisha, Kreshnik Jashari, Blerim Berisha and Aurora Bakalli
Life 2026, 16(1), 94; https://doi.org/10.3390/life16010094 - 8 Jan 2026
Viewed by 113
Abstract
Background: In patients with ST-segment elevation myocardial infarction (STEMI), apelin is upregulated and exerts cardioprotective effects against ischemia–reperfusion injury (IRI). The present study aimed to investigate serum apelin-36 levels in STEMI patients and their relationship with the no-reflow phenomenon. Methods: In this study, [...] Read more.
Background: In patients with ST-segment elevation myocardial infarction (STEMI), apelin is upregulated and exerts cardioprotective effects against ischemia–reperfusion injury (IRI). The present study aimed to investigate serum apelin-36 levels in STEMI patients and their relationship with the no-reflow phenomenon. Methods: In this study, 161 patients presenting with STEMI within 12 h of symptom onset and undergoing primary percutaneous coronary intervention (pPCI) were enrolled. Biochemical parameters, including apelin-36, troponin T, creatine kinase (CK), the MB fraction of creatine kinase (CK-MB), total cholesterol, triglycerides, and other routine laboratory parameters, were measured. Two-dimensional echocardiography was performed in all patients. Thereafter, patients were divided into two groups according to their level of aaapelin-36. Results: Among the 161 consecutive STEMI patients, 115 (71.42%) had Apelin-36 levels ≤ 0.58 ng/mL (group 1), whereas 46 (28.57%) had Apelin-36 levels > 0.58 ng/mL (group 2). In total, 51 (31.67%) STEMI patients experienced no-reflow phenomenon after PCI: 29 (25.21%) of patients with apelin-36 ≤ 0.58 ng/mL and 22 (47.82%) of those with a value > 0.58 ng/mL (p < 0.001). In terms of Gensini score, the mean value in group 1 was 70.29 (±28.76), while in group 2, it was 81.95 (±23.82) (p = 0.004). Overall, a positive correlation between apelin-36 and Gensini score was observed in both groups using Kendall’s correlation analysis (group 1: p = 0.05; group 2: p < 0.0001). Binary logistic regression analysis identified apelin-36 and diabetes mellitus as significant predictors at the 5% level, with p-values of 0.045 and 0.036, respectively. Patients with apelin-36 levels ≤ 0.58 ng/mL had troponin T levels of 290.0 (8.5–9510.0), while those with a value > 0.58 ng/mL had troponin T levels of 132.15 (9.4–5190.0) (p < 0.012). The receiver operating characteristics (ROC) curve of apelin-36 was used to plot the true positive rate against the false positive rate at different cut-off points, with AUC = 0.77 (95% CI, 0.69–0.84), and the cut-off value for apelin-36 was 0.58 ng/mL, with p = 0.001. Conclusions: Significant associations were observed between apelin-36 and the no-reflow phenomenon in patients with STEMI. An apelin-36 cut-off value of 0.58 ng/mL, measured at admission, could be used to identify patients who were at increased risk of no-reflow phenomenon/reperfusion injury. Full article
(This article belongs to the Section Medical Research)
Show Figures

Figure 1

13 pages, 1309 KB  
Case Report
Left Atrial Thrombus and Cardioembolic Stroke in Chagas Cardiomyopathy Presenting with Atrial Flutter: A Case Report
by Mauricio Sebastián Moreno-Bejarano, Israel Silva-Patiño, Andrea Cristina Aragón-Jácome, Juan Esteban Aguilar, Ana Sofía Cepeda-Zaldumbide, Angela Velez-Reyes, Camila Salazar-Santoliva, Jorge Vasconez-Gonzalez, Juan S. Izquierdo-Condoy and Esteban Ortiz-Prado
J. Clin. Med. 2026, 15(2), 456; https://doi.org/10.3390/jcm15020456 - 7 Jan 2026
Viewed by 154
Abstract
Background: Chagas disease, caused by Trypanosoma cruzi, remains endemic throughout Latin America but is increasingly reported in urban areas due to migration and vector adaptation. The cardiac form is the most severe manifestation, associated with arrhythmia, mural thrombus formation, and a [...] Read more.
Background: Chagas disease, caused by Trypanosoma cruzi, remains endemic throughout Latin America but is increasingly reported in urban areas due to migration and vector adaptation. The cardiac form is the most severe manifestation, associated with arrhythmia, mural thrombus formation, and a high risk of cardioembolic events. Stroke secondary to Chagas cardiomyopathy is uncommon and poses diagnostic and therapeutic challenges. Case Presentation: A 58-year-old woman with serologic evidence of T. cruzi infection presented with sudden-onset dyspnea, oppressive chest pain, and left-sided weakness. Neurological examination revealed left brachiocrural hemiparesis and mild dysarthria (NIHSS = 9). Non-contrast cranial CT showed an acute infarct in the right middle cerebral artery territory (ASPECTS = 7). Electrocardiography demonstrated typical atrial flutter with variable conduction, and transthoracic echocardiography revealed a markedly dilated left atrium containing a mural thrombus and a left ventricular ejection fraction of 45%. Intravenous thrombolysis with alteplase (0.9 mg/kg) was administered within 4.5 h of symptom onset. Pharmacologic rhythm control was achieved using intravenous and oral amiodarone, followed by oral anticoagulation with warfarin (target INR 2.0–3.0) after excluding hemorrhagic transformation. The patient showed rapid neurological improvement (NIHSS reduction from 9 to 2) and was discharged on day 10 with minimal residual deficit (mRS = 1), sinus rhythm, and stable hemodynamics. Conclusions: This case highlights the rare coexistence of Chagas cardiomyopathy, atrial flutter, and cardioembolic stroke due to left atrial thrombus. Early recognition, adherence to evidence-based guidelines, and multidisciplinary management were key to achieving a favorable outcome. Timely diagnosis and intervention remain crucial to preventing severe complications in patients with Chagas disease. Full article
(This article belongs to the Section Cardiovascular Medicine)
Show Figures

Figure 1

13 pages, 788 KB  
Review
The Incremental Role of Stress Echocardiography in Valvular Heart Disease: A Narrative Review
by Adriana Correra, Alfredo Mauriello, Carmen Del Giudice, Celeste Fonderico, Matilde Di Peppo, Vincenzo Russo, Antonello D’Andrea, Giovanni Esposito and Natale Daniele Brunetti
Diagnostics 2026, 16(1), 148; https://doi.org/10.3390/diagnostics16010148 - 2 Jan 2026
Viewed by 282
Abstract
Background/Objectives: The diagnosis and risk stratification of valvular heart disease have traditionally relied on resting echocardiography. However, in a significant portion of patients, resting findings do not fully reflect the hemodynamic severity of the condition, particularly in asymptomatic individuals with severe valvular disease [...] Read more.
Background/Objectives: The diagnosis and risk stratification of valvular heart disease have traditionally relied on resting echocardiography. However, in a significant portion of patients, resting findings do not fully reflect the hemodynamic severity of the condition, particularly in asymptomatic individuals with severe valvular disease or those with nonspecific symptoms. In this context, stress echocardiography emerges as a vital imaging modality, providing a dynamic assessment of valvular, ventricular, and pulmonary function under hemodynamic load (from physical exercise or pharmacological agents). Methods: We conducted a comprehensive synthesis and critical evaluation of the current landscape, recent advancements, and future directions regarding the application of stress echocardiography in valvular heart disease. Results: This comprehensive review explores the incremental role of stress echocardiography in valvular heart disease, analyzing the evolution of its clinical applications, from low-flow, low-gradient aortic stenosis to the evaluation of contractile reserve and exercise-induced pulmonary hypertension in mitral stenosis and regurgitation. We discuss standardized protocols, key parameters to monitor, and the diagnostic and prognostic outcomes from major clinical trials and current guidelines. Attention is given to stress echocardiography’s ability to unmask the true severity of the disease and to identify patients at high risk for adverse events, thereby guiding crucial clinical decisions, such as the optimal timing for surgical or transcatheter intervention. Conclusions: The review evaluates the limitations of modality and outlines future research directions, including its integration with new technologies like 3D echocardiography and speckle tracking techniques, to further optimize the role of stress echocardiography as a decision-making tool in the multidisciplinary management of valvular heart disease. Full article
(This article belongs to the Special Issue Recent Advances in Echocardiography, 2nd Edition)
Show Figures

Figure 1

9 pages, 5076 KB  
Case Report
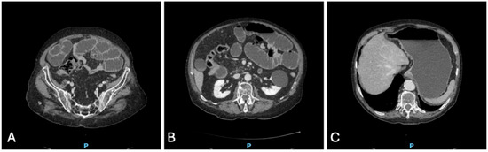
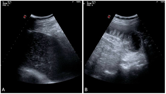
The Heart Under Pressure: Transient ST-Segment Elevation Due to Severe Intestinal Distension
by Fulvio Cacciapuoti, Angela Iannuzzi, Ferdinando Fusco, Alessandro De Masi, Flavia Casolaro and Angelo Sasso
Cardiovasc. Med. 2026, 29(1), 1; https://doi.org/10.3390/cardiovascmed29010001 - 24 Dec 2025
Viewed by 276
Abstract
Acute extracardiac conditions can occasionally produce electrocardiographic abnormalities that closely mimic acute coronary occlusion, posing a diagnostic challenge and increasing the risk of unnecessary activation of invasive cardiac pathways. Severe gastrointestinal distension, although uncommon, is a recognized cause of transient ST-segment elevation due [...] Read more.
Acute extracardiac conditions can occasionally produce electrocardiographic abnormalities that closely mimic acute coronary occlusion, posing a diagnostic challenge and increasing the risk of unnecessary activation of invasive cardiac pathways. Severe gastrointestinal distension, although uncommon, is a recognized cause of transient ST-segment elevation due to mechanical displacement of the heart, autonomic imbalance, and abrupt changes in ventricular loading conditions. These alterations may be particularly misleading in patients with chronic regional wall motion abnormalities, in whom new ECG changes risk being misinterpreted as recurrent ischemia. We report the case of a 68-year-old man with a history of inferior myocardial infarction who presented with marked abdominal distension secondary to a closed-loop small bowel obstruction. Despite the absence of chest pain, his ECG showed significant anterolateral ST-segment elevation. High-sensitivity troponin I remained negative, and transthoracic echocardiography demonstrated preserved anterior and apical motion, chronic inferior akinesia, and unchanged global longitudinal strain. Following nasogastric decompression, the ST-segment normalized completely within fifteen minutes. Subsequent imaging confirmed a closed-loop volvulus requiring urgent surgical intervention, with full bowel viability preserved. This case underscores the importance of integrating clinical context, biomarkers, and rapid echocardiographic assessment when evaluating ST-segment elevation, helping avoid unnecessary coronary angiography in the presence of extracardiac causes. Full article
Show Figures

Figure 1

12 pages, 614 KB  
Article
Echocardiographic Markers of Right Ventricle Diastolic Dysfunction in Neonates and Infants with Congenital Heart Disease
by Massimiliano Cantinotti, Guglielmo Capponi, Marco Scalese, Eleonora Palladino, Raffaele Giordano, Eliana Franchi, Cecilia Viacava, Giulia Corana, Pietro Marchese, Alessandra Pizzuto, Nadia Assanta and Giuseppe Santoro
J. Clin. Med. 2026, 15(1), 98; https://doi.org/10.3390/jcm15010098 - 23 Dec 2025
Viewed by 203
Abstract
Background: Assessing right ventricular (RV) diastolic function by echocardiography in pediatric patients remains complex, particularly in congenital heart disease (CHD) characterized by RV pressure overload. The geometric peculiarities of the RV, respiratory influences, and age-dependent maturational changes complicate interpretation of Doppler-derived indices. This [...] Read more.
Background: Assessing right ventricular (RV) diastolic function by echocardiography in pediatric patients remains complex, particularly in congenital heart disease (CHD) characterized by RV pressure overload. The geometric peculiarities of the RV, respiratory influences, and age-dependent maturational changes complicate interpretation of Doppler-derived indices. This study aimed to characterize tricuspid valve (TV) pulsed-wave Doppler E/A inflow patterns in infants with CHD and RV pressure overload, evaluated shortly after surgical or percutaneous intervention. Methods: Echocardiographic analysis included TV E- and A-wave velocities obtained by pulsed-wave Doppler and measurement of E-wave deceleration time (EDT). Beat-to-beat variability was quantified over three consecutive cardiac cycles. Data were compared with a large cohort of age-matched healthy children. Results: Fifty-seven infants with CHD (35 pulmonary stenosis; 22 tetralogy of Fallot), examined 12–48 h post-intervention, were compared with 134 healthy controls. CHD patients showed markedly reduced beat-to-beat variability of both E- and A-wave velocities (p < 0.001 and p = 0.007, respectively). A three-beat E/A inversion pattern—common in neonates but variable in healthy infants—was consistently observed in CHD patients (p < 0.001). A-wave velocities were significantly higher (p < 0.001), whereas E/A ratios (p < 0.001) and EDT values (p = 0.010) were significantly lower compared with controls. Conclusions: Infants with CHD and RV pressure overload exhibit a characteristic Doppler pattern consisting of E/A ratio inversion, reduced beat-to-beat variability, increased A-wave velocity, and shortened E/A ratio and EDT. These findings may serve as practical and reproducible indicators of RV diastolic dysfunction in the early post-intervention period in neonates and infants. Full article
(This article belongs to the Section Cardiovascular Medicine)
Show Figures

Figure 1

18 pages, 2738 KB  
Case Report
Ultrasound Images That Speak: Assessing the Therapeutic Decision in the Emergency Department Regarding the Risk–Benefit Ratio of Systemic Thrombolysis in Intermediate-High-Risk Pulmonary Embolism—A Case Report
by Adela Golea, Raluca Mihaela Tat, Carina Adam, Sonia Luka, Mirela Anca Stoia and Ștefan Cristian Vesa
Diagnostics 2026, 16(1), 48; https://doi.org/10.3390/diagnostics16010048 - 23 Dec 2025
Viewed by 264
Abstract
Background: The management of acute pulmonary embolism (PE) in the Emergency Department (ED) remains challenging, particularly in hemodynamically and respiratory stable patients with minimal symptoms. Diagnostic and therapeutic difficulties are further compounded when the condition is complicated by a mobile right atrial [...] Read more.
Background: The management of acute pulmonary embolism (PE) in the Emergency Department (ED) remains challenging, particularly in hemodynamically and respiratory stable patients with minimal symptoms. Diagnostic and therapeutic difficulties are further compounded when the condition is complicated by a mobile right atrial (RA) thrombus, representing an extreme-risk phenotype. Case Presentation: We report the case of a 65-year-old male with a single known venous thromboembolism risk factor-chronic venous insufficiency-who presented to the ED following a transient episode of severe dyspnea at home. On admission, he was hemodynamically and respiratory stable, without the need for oxygen supplementation. Arterial blood gas analysis revealed a metabolically compensated acidosis with elevated lactate, while cardiac biomarkers were moderately increased. Emergency point-of-care transthoracic echocardiography (POCUS-TTE) demonstrated severe right ventricular (RV) dysfunction and a large, mobile intracardiac thrombus prolapsing through the tricuspid valve. Computed Tomography Pulmonary Angiography confirmed pulmonary embolism and revealed a massive and extensive bilateral thrombotic burden (Qanadli score 32 points). Given the extreme risk for fatal embolization, immediate full-dose systemic thrombolysis with Alteplase (100 mg over 2 h) was initiated in the ED. Thrombolysis was completed without hemorrhagic complications. Follow-up POCUS-TTE at 2 h showed complete resolution of the intracardiac thrombus and significant improvement of RV function (RV/RA gradient reduced from 40 mmHg to 28 mmHg). Conclusions: This case highlights the effectiveness and safety of early systemic thrombolysis guided by ED POCUS-TTE in PE with a massive thrombotic burden, complicated by a mobile intracardiac thrombus, even in the absence of shock. Such prompt intervention may reduce mortality risk in intermediate-to-high-risk PE subsets, despite limited guidance in current clinical recommendations. Full article
(This article belongs to the Special Issue New Trends in Ultrasound Imaging)
Show Figures

Figure 1

16 pages, 3803 KB  
Review
Multimodality Cardiovascular Imaging in Patients After Coronary Artery Bypass Grafting: Diagnosis and Risk Stratification
by Lucia La Mura, Annalisa Pasquini, Adriana D′Antonio, Eirini Beneki, Irfan Ullah, Ashot Avagimyan, Mahmoud Abdelnabi, Ramzi Ibrahim, Vikash Jaiswal and Francesco Perone
Diagnostics 2025, 15(24), 3224; https://doi.org/10.3390/diagnostics15243224 - 17 Dec 2025
Viewed by 488
Abstract
Coronary artery bypass grafting (CABG) remains a cornerstone of treatment for patients with advanced or complex coronary artery disease, yet long-term success is influenced by graft patency, progression of native disease, and ventricular remodeling. Optimizing the follow-up of these patients requires a structured [...] Read more.
Coronary artery bypass grafting (CABG) remains a cornerstone of treatment for patients with advanced or complex coronary artery disease, yet long-term success is influenced by graft patency, progression of native disease, and ventricular remodeling. Optimizing the follow-up of these patients requires a structured approach in which multimodality cardiovascular imaging plays a central role. Echocardiography remains the first-line modality, providing readily available assessment of ventricular function, valvular competence, and wall motion, while advanced techniques, such as strain imaging and myocardial work, enhance sensitivity for subclinical dysfunction. Coronary computed tomography angiography (CCTA) offers excellent diagnostic accuracy for graft patency and native coronary anatomy, with emerging applications of CT perfusion and fractional flow reserve derived from CT (FFR-CT) expanding its ability to assess lesion-specific ischemia. Cardiovascular magnetic resonance (CMR) provides comprehensive tissue characterization, quantifying scar burden, viability, and inducible ischemia, and stress CMR protocols have demonstrated both safety and independent prognostic value in post-CABG cohorts. Nuclear imaging with single-photon emission computed tomography (SPECT) and positron emission tomography (PET) remains essential for quantifying perfusion, viability, and absolute myocardial blood flow, with hybrid PET/CT approaches offering further refinement in patients with recurrent symptoms. In patients after CABG, multimodality imaging is tailored to the patient’s characteristics, symptoms, and pre-test probability of disease progression. In asymptomatic patients, imaging focuses on surveillance, risk stratification, and the early detection of subclinical abnormalities, whereas in symptomatic individuals, it focuses on establishing the diagnosis, defining prognosis, and guiding therapeutic interventions. Therefore, the aim of our review is to propose updated and comprehensive guidance on the crucial role of multimodality cardiovascular imaging in the evaluation and management of post-CABG patients and to provide a practical, evidence-based framework for optimizing outcomes. Full article
(This article belongs to the Special Issue Advances in Non-Invasive Diagnostic Technologies for Heart Diseases)
Show Figures

Figure 1

20 pages, 6309 KB  
Review
Echocardiographic Assessment of Patients Undergoing Mitral Valve Repair
by Marco Rolando, Nadeem Elmasry, Federico Gobbi, Antonella Moreo, Nina Ajmone Marsan, Erberto Carluccio and Federico Fortuni
J. Cardiovasc. Dev. Dis. 2025, 12(12), 498; https://doi.org/10.3390/jcdd12120498 - 17 Dec 2025
Viewed by 477
Abstract
Mitral regurgitation (MR) is one of the most prevalent valvular disorders worldwide, with a growing burden driven by population aging and improved diagnostic capabilities. Understanding the mechanism of MR, whether primary, due to intrinsic valve abnormalities, or secondary, resulting from atrial or ventricular [...] Read more.
Mitral regurgitation (MR) is one of the most prevalent valvular disorders worldwide, with a growing burden driven by population aging and improved diagnostic capabilities. Understanding the mechanism of MR, whether primary, due to intrinsic valve abnormalities, or secondary, resulting from atrial or ventricular remodeling, is essential for optimal management. Echocardiography, particularly advanced modalities such as three-dimensional imaging and strain analysis, plays a central role in this process. It allows accurate quantification of MR severity, detailed characterization of valve and ventricular anatomy, and assessment of remodeling, all of which are critical for determining the optimal timing for intervention. Beyond diagnosis, echocardiography is indispensable in guiding therapy selection: it informs surgical planning by defining leaflet pathology for repair versus replacement strategies, and directs transcatheter interventions by guiding interatrial septal puncture, catheter orientation, and device deployment in real time. While surgery remains the gold standard for primary MR, transcatheter approaches including edge-to-edge repair and emerging mitral valve replacement are increasingly relevant, particularly in patients at high surgical risk or with complex anatomy. This review emphasizes the pivotal role of echocardiography in the pre-procedural assessment of MR, highlighting its ability to integrate anatomical, functional, and hemodynamic information to guide patient-tailored therapeutic strategies and optimize outcomes within a Heart Team framework. Full article
(This article belongs to the Special Issue State of the Art in Mitral Valve Disease)
Show Figures

Figure 1

15 pages, 847 KB  
Article
Selective Mid-Wall Cardiac Dysfunction in Obesity: The Role of Muscle-to-Fat Balance
by Karolina Angela Sieradzka Uchnár, Ingrid Schusterová, Štefan Tóth, Tibor Porubän, Mariana Dvorožňáková and Pavol Fülöp
Biomedicines 2025, 13(12), 3083; https://doi.org/10.3390/biomedicines13123083 - 14 Dec 2025
Viewed by 360
Abstract
Objective: This study aims to analyze relationships between body composition, biochemical parameters, and cardiac function in young adults to identify mechanisms of cardiac dysfunction in obesity. Methods: This is a cross-sectional study of 60 young adults (mean age 20.4 years) divided into healthy [...] Read more.
Objective: This study aims to analyze relationships between body composition, biochemical parameters, and cardiac function in young adults to identify mechanisms of cardiac dysfunction in obesity. Methods: This is a cross-sectional study of 60 young adults (mean age 20.4 years) divided into healthy (n = 29) and overweight/obese (n = 31) groups. Body composition was assessed using bioelectrical impedance analysis. We calculated the SMM-to-Fat ratio (skeletal muscle mass %/body fat %) as a continuous composite metric. Cardiac function was evaluated using 3D speckle-tracking echocardiography, with a 3D global circumferential strain pre-specified as the primary endpoint. Results: The obese group showed unfavorable body composition with lower SMM% (38.0 ± 10.8 vs. 47.1 ± 5.6%), higher body fat% (28.3 ± 12.6 vs. 16.0 ± 8.3%), and lower SMM-to-Fat ratio (2.1 ± 2.3 vs. 4.8 ± 5.1; all p < 0.001). C-peptide was 75% higher (p < 0.001), indicating compensatory hyperinsulinemia. The primary endpoint showed impairment in the obese group (−19.8 ± 4.7 vs. −22.2 ± 2.9%; p = 0.023, d = 0.61), while longitudinal strain was preserved, indicating selective mid-wall dysfunction. The SMM-to-Fat ratio demonstrated a stronger association with circumferential strain (r = −0.467, p = 0.008) than SMM% alone (r = −0.414, p = 0.021) and remained an independent predictor in multivariable analysis (β = −0.88, p = 0.019), whereas SMM% did not achieve significance (p = 0.159). Comprehensive analysis revealed correlation reversal across all body composition parameters between groups, with minerals% and total body water% emerging as additional independent predictors. Conclusions: Young obese adults exhibit selective mid-wall cardiac dysfunction. The SMM-to-Fat ratio, representing muscle–adiposity balance, is superior to SMM% alone for predicting cardiac dysfunction. Our findings suggest that the relative balance, rather than absolute muscle mass, determines cardiac health in obesity, with implications for body composition assessment and intervention strategies. Full article
(This article belongs to the Special Issue Obesity and Obesity-Related Pathology)
Show Figures

Figure 1

10 pages, 981 KB  
Case Report
First Symptomatic Pediatric Case of Hb Rothschild (HBB: c.112T>C, p.Trp38Arg): Low-Oxygen-Affinity Hemoglobin Presenting with Persistent Pseudohypoxemia
by Ekaterina Nuzhnaya, Andrey Marakhonov, Artem Ivanov, Yulia Lashkova, Ivan Kuznetsov, Tatiana Kulichenko, Ksenya Zabudskaya, Oxana Ryzhkova, Nikolay Zernov and Natalia Semenova
Diagnostics 2025, 15(24), 3181; https://doi.org/10.3390/diagnostics15243181 - 12 Dec 2025
Viewed by 289
Abstract
Background: Hemoglobin Rothschild (Hb Rothschild), NM_000518.5(HBB):c.112T>C, is an ultra-rare low-oxygen-affinity hemoglobin variant that persistently causes reduced peripheral oxygen saturation on pulse oximetry despite normal arterial oxygenation. Fewer than ten cases have been reported worldwide, and only one involved a child—an [...] Read more.
Background: Hemoglobin Rothschild (Hb Rothschild), NM_000518.5(HBB):c.112T>C, is an ultra-rare low-oxygen-affinity hemoglobin variant that persistently causes reduced peripheral oxygen saturation on pulse oximetry despite normal arterial oxygenation. Fewer than ten cases have been reported worldwide, and only one involved a child—an asymptomatic carrier identified incidentally. Methods: The patient underwent clinical examination, growth assessment, blood tests, hemoglobin electrophoresis, chest CT, abdominal ultrasound, echocardiography, and pulmonary perfusion scintigraphy. Whole genome sequencing (WGS) of the proband and parents was performed, followed by bioinformatic analysis and ACMG-based variant interpretation. A PRISMA-guided PubMed literature review was conducted. Results: We report on the first pediatric case exhibiting a symptomatic clinical course. A 4-year-old boy was referred for chronically low peripheral oxygen saturation (SpO2), 78–86%, on pulse oximetry and recurrent lower respiratory tract infections. Early developmental history revealed episodes of apnea in infancy, perioral cyanosis, poor exercise tolerance, and low weight gain. Repeated cardiopulmonary assessments, chest computed tomography (CT), echocardiography, and pulmonary perfusion scintigraphy yielded unremarkable findings. Arterial blood gas analysis consistently showed normal arterial partial pressure of oxygen (PaO2), excluding true hypoxemia. Hemoglobin electrophoresis revealed an abnormal HbD fraction; WGS identified a heterozygous variant NM_000518.5(HBB):c.112T>C inherited from the patient’s asymptomatic father. This variant increases the partial pressure of oxygen at which hemoglobin is 50% saturated (p50), thereby decreasing hemoglobin’s oxygen affinity and shifting the oxyhemoglobin dissociation curve to the right. These alterations explain the discordance between low peripheral oxygen saturation (SpO2) and preserved oxygen delivery to tissues. Conclusions: This case expands the clinical spectrum of Hb Rothschild and demonstrates that symptomatic presentation may occur in early childhood. Awareness of low-affinity hemoglobin variants is essential to avoid misdiagnosis and unnecessary cardiopulmonary interventions. Early genetic testing facilitates accurate diagnosis and appropriate counseling. Full article
(This article belongs to the Special Issue Insights into Pediatric Genetics)
Show Figures

Figure 1

17 pages, 2144 KB  
Systematic Review
Cardiac Aftermath of Gestational Diabetes—From Intrauterine Impact to Lifelong Complications: A Systematic Review
by Sophia Tsokkou, Ioannis Konstantinidis, Antonios Keramas, Vasileios Anastasiou, Alkis Matsas, Maria Florou, Alexandra Arvanitaki, Emmanouela Peteinidou, Theodoros Karamitsos, George Giannakoulas, Themistoklis Dagklis, Theodora Papamitsou, Antonios Ziakas and Vasileios Kamperidis
J. Dev. Biol. 2025, 13(4), 44; https://doi.org/10.3390/jdb13040044 - 8 Dec 2025
Viewed by 399
Abstract
Background. Gestational diabetes mellitus (GDM) induces maternal hyperglycemia, which may alter fetal cardiac structure and function, increasing short- and long-term cardiovascular risks. Purpose. To systematically review the evidence on the fetal cardiac structural and functional effects of GDM, to explore the [...] Read more.
Background. Gestational diabetes mellitus (GDM) induces maternal hyperglycemia, which may alter fetal cardiac structure and function, increasing short- and long-term cardiovascular risks. Purpose. To systematically review the evidence on the fetal cardiac structural and functional effects of GDM, to explore the diagnostic role of novel imaging and biochemical biomarkers, and to summarize the long-term cardiovascular complications associated with GDM. Materials and Methods. A systematic search of PubMed, Scopus, and Cochrane Library was conducted according to the PRISMA guidelines. All studies comparing cardiac outcomes in GDM and non-GDM pregnancies were included. Data on myocardial hypertrophy, diastolic and systolic function, imaging modalities, and biomarkers were extracted and qualitatively synthesized. Results. A total of twelve eligible studies were identified. Fetal cardiac hypertrophy and diastolic and early systolic dysfunction are common among GDM pregnancies and can be detected by dual-gate Doppler and speckle-tracking echocardiography. Abnormalities are observed in indices such as the myocardial performance index, E/A, E/e′ ratios, and global longitudinal and circumferential strain in fetuses and may persist in the neonatal period. Alterations may be more pronounced for the right ventricle compared to the left. Septal hypertrophy is associated with elevated umbilical cord pro-brain natriuretic peptide. The risk of early-onset cardiovascular disease in the progeny of diabetic mothers is 29% higher, as evidenced by population-based cohort data. Conclusions. GDM is linked to fetal cardiac remodeling and an increased long-term cardiovascular risk. Early detection and customized interventions to reduce adverse outcomes may be achieved by integrating advanced echocardiographic techniques and biomarkers into prenatal surveillance. Full article
Show Figures

Figure 1

16 pages, 1979 KB  
Article
Integrated Model for Predicting Cancer Therapy-Related Cardiac Dysfunction in Non-Hodgkin Lymphoma
by Daniela Bursacovschi, Oleg Arnaut, Viorica Ochisor, Georgeta Mihalache, Ruslan Baltaga, Vladimir Iacomi, Maria Robu and Valeriu Revenco
Biomedicines 2025, 13(12), 2978; https://doi.org/10.3390/biomedicines13122978 - 4 Dec 2025
Viewed by 604
Abstract
Background/Objectives: Cancer Therapy-Related Cardiac Dysfunction (CTRCD) is a major complication in patients with non-Hodgkin lymphoma (NHL), potentially leading to heart failure and other severe cardiovascular events. Early identification of patients at risk is crucial for timely interventions. Methods: A prospective analytical [...] Read more.
Background/Objectives: Cancer Therapy-Related Cardiac Dysfunction (CTRCD) is a major complication in patients with non-Hodgkin lymphoma (NHL), potentially leading to heart failure and other severe cardiovascular events. Early identification of patients at risk is crucial for timely interventions. Methods: A prospective analytical cohort study was conducted on 127 adult NHL patients to evaluate chemotherapy-related cardiac dysfunction over a 6-month period, with the aim of assessing early adverse cardiac effects. Assessments included echocardiography, cardiorespiratory exercise testing, 24-h Holter monitoring, and measurement of cardiac-specific biomarkers (troponin I and NT-proBNP) to identify early subclinical cardiac changes. Results: A predictive model for CTRCD was developed using clinical, serological, echocardiographic, cardiopulmonary, and treatment-related parameters in patients with non-Hodgkin lymphoma. The model demonstrated high overall accuracy (94.2%) and strong discriminative ability (AUC 0.95; precision-sensitivity AUC 0.824) for 6-month cardiotoxicity. SHAP analysis identified the most influential predictors as baseline SDNNi, mean daily heart rate, total doxorubicin dose, NT-proBNP, QT corrected interval, hemoglobin, age, left atrial volume, and diastolic function indices (E/e′, E/A). Lower cardiopulmonary reserve was also associated with increased risk. Conclusions: The predictive model developed in this study serves as a practical and robust tool for assessing the risk of cancer therapy-related cardiac dysfunction. Full article
Show Figures

Figure 1

29 pages, 4504 KB  
Systematic Review
When the Liver Echoes to the Heart: Assessing Subclinical Cardiac Dysfunction in NAFLD Using Speckle Tracking Echocardiography—A Systematic Review and Meta-Analysis
by Micha Gruber, Malaz Almasri, Rania Abdulredha, Iulia Tecar, Daniel-Corneliu Leucuta, Stefan-Lucian Popa, Dan L. Dumitrascu and Abdulrahman Ismaiel
Biomedicines 2025, 13(12), 2908; https://doi.org/10.3390/biomedicines13122908 - 27 Nov 2025
Viewed by 479
Abstract
Introduction: Worldwide, non-alcoholic fatty liver disease (NAFLD) is the most prevalent chronic liver disorder, strongly associated with increased cardiovascular morbidity and mortality. Although patients have a preserved left ventricular ejection fraction (LVEF), individuals having NAFLD may demonstrate subclinical cardiac dysfunction. Speckle tracking echocardiography [...] Read more.
Introduction: Worldwide, non-alcoholic fatty liver disease (NAFLD) is the most prevalent chronic liver disorder, strongly associated with increased cardiovascular morbidity and mortality. Although patients have a preserved left ventricular ejection fraction (LVEF), individuals having NAFLD may demonstrate subclinical cardiac dysfunction. Speckle tracking echocardiography (STE) enables a more sensitive evaluation, identifying even subtle alterations of myocardial strain, compared to conventional LVEF measurements. This systematic review and meta-analysis sought to examine the relationship between NAFLD and subclinical left ventricular systolic impairment, utilizing STE-derived strain parameters. Methods: A comprehensive search of the literature was undertaken using PubMed, EMBASE, and Scopus. Observational studies evaluating patients with NAFLD through STE-derived myocardial strain parameters were included. Study quality was appraised using the Newcastle-Ottawa Scale. The primary outcomes were the mean differences (MD) in global longitudinal strain (GLS), global circumferential strain (GCS), global radial strain (GRS), global area strain (GAS), and related strain rate indices between NAFLD spectrum patients and controls. Results: A total of sixteen studies, comprising 8359 participants, were included in the analysis. Compared to controls, patients with NAFLD demonstrated significant reductions in GLS (MD: −2.043; 95% CI: −2.868, −1.218), GAS (MD: −3.706; 95% CI: −4.999, −2.413), and GCS (MD: −1.415; 95% CI: −2.893, 0.064). These reductions were more substantial among individuals with moderate to severe NAFLD and those with concomitant type 2 diabetes mellitus (GLS MD: −4.385; 95% CI: −5.400, −3.369 in diabetic NAFLD vs. diabetic controls). Subgroup analysis further revealed a progressive deterioration in strain parameters from simple steatosis to more severe NAFLD. Notably, LVEF remained preserved in all groups, highlighting the subclinical nature of this dysfunction. Conclusions: This meta-analysis verifies the presence of subclinical left ventricular systolic dysfunction in individuals with NAFLD, which is identifiable by STE despite preserved LVEF. Myocardial strain metrics, particularly GLS, serve as sensitive early markers of myocardial impairment. Routine application of STE in the clinical assessment of NAFLD may support earlier cardiovascular risk detection and timely intervention. Full article
(This article belongs to the Special Issue Emerging Trends in Liver Diseases and Cirrhosis Research)
Show Figures

Figure 1

28 pages, 3784 KB  
Review
Does Preliminary Chest Shape Assessment Improve the Prognostic Risk Stratification of Symptomatic Individuals with Primary Mitral Regurgitation? A Narrative Review of Traditional and Innovative Prognostic Indicators
by Andrea Sonaglioni, Gian Luigi Nicolosi, Michele Lombardo and Massimo Baravelli
J. Clin. Med. 2025, 14(23), 8297; https://doi.org/10.3390/jcm14238297 - 22 Nov 2025
Viewed by 557
Abstract
Primary mitral regurgitation (PMR) is the most common mitral valve disorder in clinical practice. Although several prognostic indicators derived from resting transthoracic echocardiography (TTE) and exercise stress echocardiography (ESE) are available, patient outcomes remain highly variable, with substantial differences in complication rates and [...] Read more.
Primary mitral regurgitation (PMR) is the most common mitral valve disorder in clinical practice. Although several prognostic indicators derived from resting transthoracic echocardiography (TTE) and exercise stress echocardiography (ESE) are available, patient outcomes remain highly variable, with substantial differences in complication rates and mortality. Identifying individuals at lower cardiovascular risk is therefore clinically relevant, as they represent a large proportion of cases. Current guidelines recommend an integrative approach—combining qualitative, semi-quantitative, and quantitative indices—to determine the timing of intervention, but they do not specifically address risk stratification in low-risk PMR populations. Recent studies have highlighted the potential prognostic value of chest wall configuration, assessed noninvasively using the Modified Haller Index (MHI). Defined as the ratio of latero-lateral thoracic diameter to the antero-posterior (A-P) sternum–spine distance, MHI appears to influence myocardial deformation indices obtained by speckle-tracking echocardiography (STE). Patients with PMR due to mitral valve prolapse (MVP) often show a reduced A-P thoracic diameter caused by sternal depression. Among these, those with an MHI > 2.5 or A-P diameter ≤ 13.5 cm display greater impairment in global and basal strain, particularly in longitudinal and circumferential directions. These abnormalities likely reflect extrinsic geometric constraints and cardiac displacement leading to apparent dyssynchrony rather than intrinsic myocardial dysfunction. A reduced A-P diameter was also independently associated with mitral annular disjunction (MAD) in MVP and emerged as a determinant of impaired strain in this subgroup. In a retrospective cohort of 424 symptomatic MVP patients with moderate MR undergoing ESE, positive tests and exercise-induced severe MR were uncommon. Importantly, an MHI > 2.5 or an A-P diameter ≤ 13.5 cm was associated with a favorable medium-term prognosis, with few adverse cardiovascular events. This narrative, non-systematic review, based on a structured but non-PRISMA literature search, summarizes current evidence on conventional and novel echocardiographic prognostic markers and their implications for risk stratification in PMR. As such, it carries inherent limitations, including potential selection bias, incomplete retrieval of unpublished or negative studies, and reliance on single-center observational data. The findings should therefore be interpreted cautiously and validated through larger, independent, multicenter investigations. Full article
(This article belongs to the Special Issue Clinical Applications of Cardiac Imaging: 2nd Edition)
Show Figures

Figure 1

26 pages, 1176 KB  
Systematic Review
Influence of Endurance Training, High-Intensity Interval Training, and Acute Exercise on Left Ventricular Mechanics: A Systematic Review
by Andrea Sonaglioni, Gian Luigi Nicolosi, Michele Lombardo and Massimo Baravelli
J. Clin. Med. 2025, 14(22), 8210; https://doi.org/10.3390/jcm14228210 - 19 Nov 2025
Viewed by 1015
Abstract
Background: Left ventricular (LV) mechanics assessed by speckle-tracking echocardiography provides sensitive markers of cardiac adaptation to exercise. Different training modalities—endurance, high-intensity interval training (HIIT), and acute exercise tests—impose distinct hemodynamic loads, yet their comparative effects on LV deformation remain unclear. Importantly, acute and [...] Read more.
Background: Left ventricular (LV) mechanics assessed by speckle-tracking echocardiography provides sensitive markers of cardiac adaptation to exercise. Different training modalities—endurance, high-intensity interval training (HIIT), and acute exercise tests—impose distinct hemodynamic loads, yet their comparative effects on LV deformation remain unclear. Importantly, acute and chronic endurance exposures may elicit divergent myocardial responses that must be interpreted separately. Methods: A systematic search of PubMed, Scopus, and EMBASE (through September 2025) identified studies evaluating LV mechanics in response to endurance, HIIT, or acute exercise among healthy or recreationally active individuals. Echocardiographic parameters of strain and torsion were extracted, and methodological quality was appraised using the NIH Quality Assessment Tool. Results: Twenty-three studies (859 participants) met inclusion criteria. Acute prolonged endurance exercise—particularly marathon and ultra-endurance events—was associated with transient, fully reversible reductions in global longitudinal, circumferential, and radial strain and torsion, despite preserved ejection fraction, reflecting short-term myocardial fatigue rather than maladaptive remodeling. In contrast, chronic endurance training maintained or improved LV mechanics without evidence of dysfunction, while HIIT interventions consistently enhanced LV systolic strain and rotational indices across diverse age groups and sexes, reflecting improved contractile efficiency and physiological remodeling. Acute exercise produced heterogeneous, load-dependent strain responses, with isometric stress increasing regional strain and maximal exertion inducing temporary global reductions. Between-study heterogeneity was moderate, methodological quality generally good, and small-study effects varied by modality, being most evident in endurance studies, borderline for HIIT, and limited for acute tests due to sample size. Conclusions: Acute endurance exercise produces transient, reversible LV deformation changes, whereas chronic endurance training preserves mechanical efficiency. HIIT reliably enhances systolic strain and torsional mechanics, and acute exercise elicits variable but physiologically meaningful responses. These findings clarify that transient post-race strain reductions reflect physiological fatigue, not chronic maladaptation, and underscore the modality-specific nature of myocardial adaptation to exercise. Full article
(This article belongs to the Special Issue Advancements in Diagnostic Innovations in Sports Cardiology)
Show Figures

Figure 1

Back to TopTop