Echocardiographic Assessment of Patients Undergoing Mitral Valve Repair
Abstract
1. Introduction
- Ventricular FMR (v-FMR): it is typically associated with ischemic or non-ischemic cardiomyopathy, where adverse LV remodeling leads to papillary muscle displacement, leaflet tethering, and annular dilatation [1].
- Atrial FMR (a-FMR): increasingly recognized as a distinct condition, it is driven by LA dilatation, atrial myopathy, and atrial fibrillation (AF), usually in the presence of preserved LV systolic function [2].
2. Therapeutic Approaches to Mitral Regurgitation: What the Imager Needs to Know
3. Imaging Mitral Regurgitation: From Basics to Frontiers
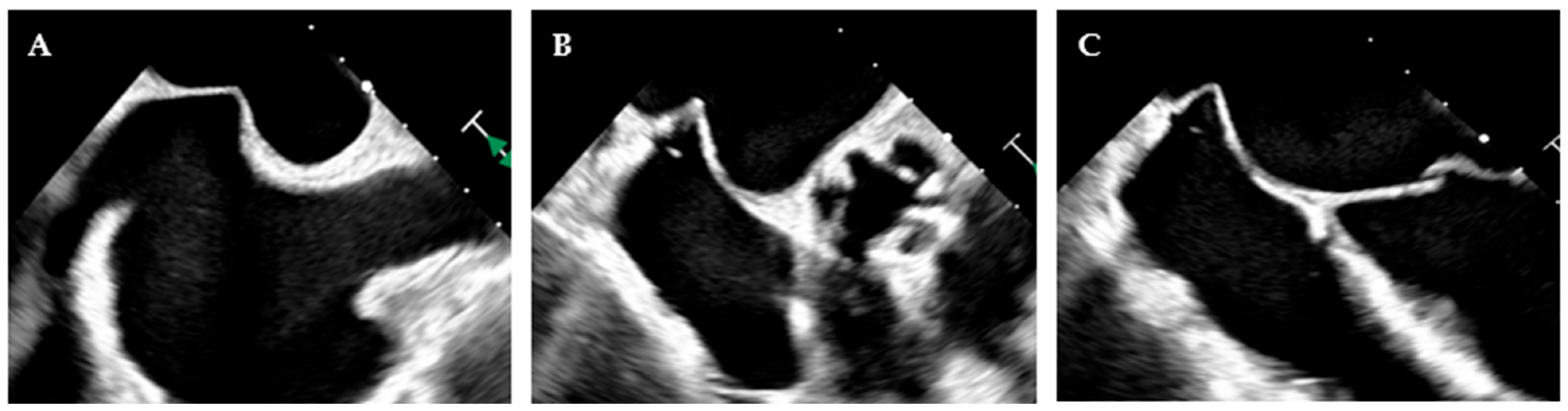
3.1. Conventional 2D Echocardiography
| VIEW | MEASUREMENT | CYCLE | CUT-OFF | AIM |
|---|---|---|---|---|
![]() | TA diameter | End-diastole | ≥40 mm or >21 mm/m2 | Tricuspid annuloplasty |
![]() | AP/(AL + PL) AP/AL | Diastole Early-mid systole | >0.7 * >1.4 * | Need for annuloplasty |
3.2. Advanced Echocardiography and Other Imaging Modalities
3.3. Imaging for Procedural Guidance and Follow-Up
3.4. Emerging Frontiers in Imaging
4. Conclusions
Author Contributions
Funding
Institutional Review Board Statement
Informed Consent Statement
Data Availability Statement
Conflicts of Interest
Abbreviations
| 2D | Bidimensional |
| 3D | Three-dimensional |
| a-FMR | Atrial Functional Mitral Regurgitation |
| AF | Atrial Fibrillation |
| AI | Artificial Intelligence |
| AR | Augmented Reality |
| CMR | Cardiac Magnetic Resonance |
| CT | Computed Tomography |
| DMR | Degenerative Mitral Regurgitation |
| EROA | Effective Regurgitant Orifice Area |
| FED | Fibroelastic Deficiency |
| FMR | Functional Mitral Regurgitation |
| v-FMR | Ventricular Functional Mitral Regurgitation |
| GLS | Global Longitudinal Strain |
| LA | Left Atrial/Left Atrium |
| LV | Left Ventricular/Left Ventricle |
| LVEF | Left Ventricular Ejection Fraction |
| LVOT | Left Ventricular Outflow Tract |
| MVD | Mitral Valve Disease |
| MR | Mitral Regurgitation |
| MV | Mitral Valve |
| PISA | Proximal Isovelocity Surface Area |
| RF | Regurgitant Fraction |
| RVol | Regurgitant Volume |
| SAM | Systolic Anterior Motion |
| TEE | Transesophageal Echocardiography |
| TEER | Transcatheter Edge-To-Edge Repair |
| TMVR | Transcatheter Mitral Valve Replacement |
| TTE | Transthoracic Echocardiography |
| v-FMR | Ventricular Functional Mitral Regurgitation |
| VCA | Vena Contracta Area |
| VCW | Vena Contracta Width |
| VR | Virtual Reality |
| VTI | Velocity Time Integral |
References
- Silbiger, J.J. Mechanistic Insights into Ischemic Mitral Regurgitation: Echocardiographic and Surgical Implications. J. Am. Soc. Echocardiogr. 2011, 24, 707–719. [Google Scholar] [CrossRef]
- Zoghbi, W.A.; Levine, R.A.; Flachskampf, F.; Grayburn, P.; Gillam, L.; Leipsic, J.; Thomas, J.D.; Kwong, R.Y.; Vandervoort, P.; Chandrashekhar, Y. Atrial Functional Mitral Regurgitation. JACC Cardiovasc. Imaging 2022, 15, 1870–1882. [Google Scholar] [CrossRef]
- Farhan, S.; Silbiger, J.J.; Halperin, J.L.; Zhang, L.; Dukkipati, S.R.; Vogel, B.; Kini, A.; Sharma, S.; Lerakis, S. Pathophysiology, Echocardiographic Diagnosis, and Treatment of Atrial Functional Mitral Regurgitation. J. Am. Coll. Cardiol. 2022, 80, 2314–2330. [Google Scholar] [CrossRef]
- Okamoto, C.; Okada, A.; Nishimura, K.; Moriuchi, K.; Amano, M.; Takahama, H.; Amaki, M.; Hasegawa, T.; Kanzaki, H.; Fujita, T.; et al. Prognostic comparison of atrial and ventricular functional mitral regurgitation. Open Heart 2021, 8, e001574. [Google Scholar] [CrossRef] [PubMed]
- Coffey, S.; Roberts-Thomson, R.; Brown, A.; Carapetis, J.; Chen, M.; Enriquez-Sarano, M.; Zühlke, L.; Prendergast, B.D. Global epidemiology of valvular heart disease. Nat. Rev. Cardiol. 2021, 18, 853–864. [Google Scholar] [CrossRef]
- So, K.C.-Y.; Yap, J.; Song, G.-Y.; Poon, K.; Sung, S.H.; Chandavimol, M.; Hayashida, K.; Park, D.-W.; Ewe, S.-H.; Chen, M.; et al. Epidemiology of Valvular Heart Disease in Asia Pacific Region. JACC Asia 2025, 5, 718–743. [Google Scholar] [CrossRef]
- Lazam, S.; Vanoverschelde, J.L.; Tribouilloy, C.; Grigioni, F.; Suri, R.M.; Avierinos, J.F.; de Meester, C.; Barbieri, A.; Rusinaru, D.; Russo, A.; et al. Twenty-Year Outcome After Mitral Repair Versus Replacement for Severe Degenerative Mitral Regurgitation. Circulation 2017, 135, 410–422. [Google Scholar] [CrossRef]
- Acker, M.A.; Parides, M.K.; Perrault, L.P.; Moskowitz, A.J.; Gelijns, A.C.; Voisine, P.; Smith, P.K.; Hung, J.W.; Blackstone, E.H.; Puskas, J.D.; et al. Mitral-Valve Repair versus Replacement for Severe Ischemic Mitral Regurgitation. N. Engl. J. Med. 2014, 370, 23–32. [Google Scholar] [CrossRef] [PubMed]
- Davierwala, P.M.; Seeburger, J.; Pfannmueller, B.; Garbade, J.; Misfeld, M.; Borger, M.A.; Mohr, F.W. Minimally invasive mitral valve surgery: “The Leipzig experience”. Ann. Cardiothorac. Surg. 2013, 2, 744–750. [Google Scholar]
- Feldman, T.; Wasserman, H.S.; Herrmann, H.C.; Gray, W.; Block, P.C.; Whitlow, P.; St Goar, F.; Rodriguez, L.; Silvestry, F.; Schwartz, A.; et al. Percutaneous Mitral Valve Repair Using the Edge-to-Edge Technique. J. Am. Coll. Cardiol. 2005, 46, 2134–2140. [Google Scholar] [CrossRef] [PubMed]
- Feldman, T.; Foster, E.; Glower, D.D.; Kar, S.; Rinaldi, M.J.; Fail, P.S.; Smalling, R.W.; Siegel, R.; Rose, G.A.; Engeron, E.; et al. Percutaneous Repair or Surgery for Mitral Regurgitation. N. Engl. J. Med. 2011, 364, 1395–1406. [Google Scholar] [CrossRef] [PubMed]
- Stone, G.W.; Abraham, W.T.; Lindenfeld, J.; Kar, S.; Grayburn, P.A.; Lim, D.S.; Mishell, J.M.; Whisenant, B.; Rinaldi, M.; Kapadia, S.R.; et al. Five-Year Follow-up after Transcatheter Repair of Secondary Mitral Regurgitation. N. Engl. J. Med. 2023, 388, 2037–2048. [Google Scholar] [CrossRef] [PubMed]
- Praz, F.; Borger, M.A.; Lanz, J.; Marin-Cuartas, M.; Abreu, A.; Adamo, M.; Ajmone Marsan, N.; Barili, F.; Bonaros, N.; Cosyns, B.; et al. 2025 ESC/EACTS Guidelines for the management of valvular heart disease. Eur. J. Cardio-Thorac. Surg. 2025, 67, ezaf276. [Google Scholar] [CrossRef]
- Yousef, S.; Arnaoutakis, G.J.; Gada, H.; Smith, A.J.C.; Sanon, S.; Sultan, I. Transcatheter mitral valve therapies: State of the art. J. Card. Surg. 2022, 37, 225–233. [Google Scholar] [CrossRef]
- Lancellotti, P.; Pibarot, P.; Chambers, J.; La Canna, G.; Pepi, M.; Dulgheru, R.; Dweck, M.; Delgado, V.; Garbi, M.; Vannan, M.A.; et al. Multi-modality imaging assessment of native valvular regurgitation: An EACVI and ESC council of valvular heart disease position paper. Eur. Heart J. Cardiovasc. Imaging 2022, 23, E171–232. [Google Scholar] [CrossRef]
- Agricola, E.; Ancona, F.; Bartel, T.; Brochet, E.; Dweck, M.; Faletra, F.; Lancellotti, P.; Mahmoud-Elsayed, H.; Marsan, N.A.; Maurovich-Hovart, P.; et al. Multimodality imaging for patient selection, procedural guidance, and follow-up of transcatheter interventions for structural heart disease: A consensus document of the EACVI Task Force on Interventional Cardiovascular Imaging: Part 1: Access routes, transcatheter aortic valve implantation, and transcatheter mitral valve interventions. Eur. Heart J. Cardiovasc. Imaging 2023, 24, e209–e268. [Google Scholar]
- Antonides, C.F.J.; Mack, M.J.; Kappetein, A.P. Approaches to the Role of The Heart Team in Therapeutic Decision Making for Heart Valve Disease. Struct. Heart 2017, 1, 249–255. [Google Scholar] [CrossRef]
- Lio, A.; Loreni, F.; Miceli, A.; Wiedemann, D. Editorial: Evolution of mitral valve disease treatment: From surgery to transcatheter therapy. Front. Cardiovasc. Med. 2024, 11, 1369596. [Google Scholar] [CrossRef]
- Little, S.H. Interventional Echocardiography: The Emergence of a New Imaging Specialty. J. Am. Soc. Echocardiogr. 2023, 36, A13–A14. [Google Scholar] [CrossRef]
- Carpentier, A. Cardiac valve surgery-the “French correction”. J. Thorac. Cardiovasc. Surg. 1983, 86, 323–337. [Google Scholar] [CrossRef] [PubMed]
- Dreyfus, G.D.; Dulguerov, F.; Marcacci, C.; Haley, S.R.; Gkouma, A.; Dommerc, C.; Albert, A. “Respect when you can, resect when you should”: A realistic approach to posterior leaflet mitral valve repair. J. Thorac. Cardiovasc. Surg. 2018, 156, 1856–1866.e3. [Google Scholar] [CrossRef]
- van Wijngaarden, A.L.; Tomšič, A.; Mertens, B.J.A.; Fortuni, F.; Delgado, V.; Bax, J.J.; Klautz, R.J.M.; Marsan, N.A.; Palmen, M. Mitral valve repair for isolated posterior mitral valve leaflet prolapse: The effect of respect and resect techniques on left ventricular function. J. Thorac. Cardiovasc. Surg. 2022, 164, 1488–1497.e3. [Google Scholar] [CrossRef]
- Wagner, C.M.; Brescia, A.A.; Watt, T.M.F.; Bergquist, C.; Rosenbloom, L.M.; Ceniza, N.N.; Markey, G.E.; Ailawadi, G.; Romano, M.A.; Bolling, S.F. Surgical strategy and outcomes for atrial functional mitral regurgitation: All functional mitral regurgitation is not the same! J. Thorac. Cardiovasc. Surg. 2024, 167, 647–655. [Google Scholar] [CrossRef]
- Moore, R.A.; Wierup, P.; Tappuni, S.; Houghtaling, P.L.; Burns, D.J.P.; Chemtob, R.; Blackstone, E.H.; Svensson, L.G.; Gillinov, A.M. Reoperation after early and late failure of mitral valve repair for degenerative disease. J. Thorac. Cardiovasc. Surg. 2024, 167, 1251–1262.e8. [Google Scholar]
- Anker, S.D.; Friede, T.; von Bardeleben, R.S.; Butler, J.; Khan, M.S.; Diek, M.; Heinrich, J.; Geyer, M.; Placzek, M.; Ferrari, R.; et al. Transcatheter Valve Repair in Heart Failure with Moderate to Severe Mitral Regurgitation. N. Engl. J. Med. 2024, 391, 1799–1809. [Google Scholar]
- Baldus, S.; Doenst, T.; Pfister, R.; Gummert, J.; Kessler, M.; Boekstegers, P.; Lubos, E.; Schröder, J.; Thiele, H.; Walther, T.; et al. Transcatheter Repair versus Mitral-Valve Surgery for Secondary Mitral Regurgitation. N. Engl. J. Med. 2024, 391, 1787–1798. [Google Scholar] [CrossRef]
- Brugiatelli, L.; Rolando, M.; Lofiego, C.; Fogante, M.; Capodaglio, I.; Patani, F.; Tofoni, P.; Maurizi, K.; Nazziconi, M.; Massari, A.; et al. Transcatheter Mitral Valve Intervention: Current and Future Role of Multimodality Imaging for Device Selection and Periprocedural Guidance. Medicina 2024, 60, 1082. [Google Scholar] [CrossRef]
- Medvedofsky, D.; Milhorini Pio, S.; Weissman, N.J.; Namazi, F.; Delgado, V.; Grayburn, P.A.; Kar, S.; Lim, D.S.; Lerakis, S.; Zhou, Z.; et al. Left Ventricular Global Longitudinal Strain as a Predictor of Outcomes in Patients with Heart Failure with Secondary Mitral Regurgitation: The COAPT Trial. J. Am. Soc. Echocardiogr. 2021, 34, 955–965. [Google Scholar] [CrossRef]
- Lupi, L.; Italia, L.; Pagnesi, M.; Pancaldi, E.; Ancona, F.; Stella, S.; Pezzola, E.; Cimino, G.; Saccani, N.; Ingallina, G.; et al. Prognostic value of right ventricular longitudinal strain in patients with secondary mitral regurgitation undergoing transcatheter edge-to-edge mitral valve repair. Eur. Heart J. Cardiovasc. Imaging 2023, 24, 1509–1517. [Google Scholar] [CrossRef]
- Hensey, M.; Brown, R.A.; Lal, S.; Sathananthan, J.; Ye, J.; Cheung, A.; Blanke, P.; Leipsic, J.; Moss, R.; Boone, R.; et al. Transcatheter Mitral Valve Replacement. JACC Cardiovasc. Interv. 2021, 14, 489–500. [Google Scholar]
- Wiener, P.C.; Friend, E.J.; Bhargav, R.; Radhakrishnan, K.; Kadem, L.; Pressman, G.S. Color Doppler Splay: A Clue to the Presence of Significant Mitral Regurgitation. J. Am. Soc. Echocardiogr. 2020, 33, 1212–1219.e1. [Google Scholar] [CrossRef]
- Shanks, M.; Siebelink, H.M.J.; Delgado, V.; van de Veire, N.R.L.; Ng, A.C.T.; Sieders, A.; Schuijf, J.D.; Lamb, H.J.; Ajmone Marsan, N.; Westenberg, J.J.M.; et al. Quantitative Assessment of Mitral Regurgitation. Circ. Cardiovasc. Imaging 2010, 3, 694–700. [Google Scholar] [CrossRef]
- Itakura, K.; Utsunomiya, H.; Takemoto, H.; Takahari, K.; Ueda, Y.; Izumi, K.; Ikenaga, H.; Hidaka, T.; Fukuda, Y.; Nakano, Y. Prevalence, distribution, and determinants of pulmonary venous systolic flow reversal in severe mitral regurgitation. Eur. Heart J. Cardiovasc. Imaging 2021, 22, 964–973. [Google Scholar] [CrossRef]
- Gheorghe, L.L.; Mobasseri, S.; Agricola, E.; Wang, D.D.; Milla, F.; Swaans, M.; Pandis, D.; Adams, D.H.; Yadav, P.; Sievert, H.; et al. Imaging for Native Mitral Valve Surgical and Transcatheter Interventions. JACC Cardiovasc. Imaging 2021, 14, 112–127. [Google Scholar] [CrossRef]
- Zoghbi, W.A.; Adams, D.; Bonow, R.O.; Enriquez-Sarano, M.; Foster, E.; Grayburn, P.A.; Hahn, R.T.; Han, Y.; Hung, J.; Lang, R.M.; et al. Recommendations for Noninvasive Evaluation of Native Valvular Regurgitation: A Report from the American Society of Echocardiography Developed in Collaboration with the Society for Cardiovascular Magnetic Resonance. J. Am. Soc. Echocardiogr. 2017, 30, 303–371. [Google Scholar] [CrossRef]
- Maslow, A.D.; Regan, M.M.; Haering, J.M.; Johnson, R.G.; Levine, R.A. Echocardiographic predictors of left ventricular outflow tract obstruction and systolic anterior motion of the mitral valve after mitral valve reconstruction for myxomatous valve disease. J. Am. Coll. Cardiol. 1999, 34, 2096–2104. [Google Scholar] [CrossRef]
- Varghese, R.; Itagaki, S.; Anyanwu, A.C.; Trigo, P.; Fischer, G.; Adams, D.H. Predicting systolic anterior motion after mitral valve reconstruction: Using intraoperative transoesophageal echocardiography to identify those at greatest risk. Eur. J. Cardio-Thorac. Surg. 2014, 45, 132–138. [Google Scholar] [CrossRef]
- Mihaileanu, S.; Marino, J.P.; Chauvaud, S.; Perier, P.; Forman, J.; Vissoat, J.; Julien, J.; Dreyfus, G.; Abastado, P.; Carpentier, A. Left ventricular outflow obstruction after mitral valve repair (Carpentier’s technique). Proposed mechanisms of disease. Circulation 1988, 78, I78–I84. [Google Scholar]
- Enriquez-Sarano, M.; Avierinos, J.F.; Messika-Zeitoun, D.; Detaint, D.; Capps, M.; Nkomo, V.; Scott, C.; Schaff, H.V.; Tajik, A.J. Quantitative Determinants of the Outcome of Asymptomatic Mitral Regurgitation. N. Engl. J. Med. 2005, 352, 875–883. [Google Scholar] [CrossRef]
- Coisne, A.; Aghezzaf, S.; Edmé, J.L.; Bernard, A.; Ma, I.; Bohbot, Y.; Di Lena, C.; Nicol, M.; Lavie Badie, Y.; Eyharts, D.; et al. Reproducibility of reading echocardiographic parameters to assess severity of mitral regurgitation. Insights from a French multicentre study. Arch. Cardiovasc. Dis. 2020, 113, 599–606. [Google Scholar] [CrossRef]
- Altes, A.; Levy, F.; Iacuzio, L.; Dumortier, H.; Toledano, M.; Tartar, J.; Tribouilloy, C.; Maréchaux, S. Comparison of Mitral Regurgitant Volume Assessment between Proximal Flow Convergence and Volumetric Methods in Patients with Significant Primary Mitral Regurgitation: An Echocardiographic and Cardiac Magnetic Resonance Imaging Study. J. Am. Soc. Echocardiogr. 2022, 35, 671–681. [Google Scholar] [CrossRef]
- Grayburn, P.A.; Weissman, N.J.; Zamorano, J.L. Quantitation of Mitral Regurgitation. Circulation 2012, 126, 2005–2017. [Google Scholar] [CrossRef]
- Topilsky, Y.; Michelena, H.; Bichara, V.; Maalouf, J.; Mahoney, D.W.; Enriquez-Sarano, M. Mitral Valve Prolapse With Mid-Late Systolic Mitral Regurgitation. Circulation 2012, 125, 1643–1651. [Google Scholar] [CrossRef]
- Levy, F.; Iacuzio, L.; Marechaux, S.; Civaia, F.; Dommerc, C.; Wautot, F.; Tribouilloy, C.; Eker, A. Influence of Prolapse Volume in Mitral Valve Prolapse. Am. J. Cardiol. 2021, 157, 64–70. [Google Scholar] [CrossRef]
- Maisano, F.; La Canna, G.; Grimaldi, A.; Viganò, G.; Blasio, A.; Mignatti, A.; Colombo, A.; Maseri, A.; Alfieri, O. Annular-to-Leaflet Mismatch and the Need for Reductive Annuloplasty in Patients Undergoing Mitral Repair for Chronic Mitral Regurgitation Due to Mitral Valve Prolapse. Am. J. Cardiol. 2007, 99, 1434–1439. [Google Scholar] [CrossRef]
- Grayburn, P.A.; Carabello, B.; Hung, J.; Gillam, L.D.; Liang, D.; Mack, M.J.; McCarthy, P.M.; Miller, D.C.; Trento, A.; Siegel, R.J. Defining “Severe” Secondary Mitral Regurgitation. J. Am. Coll. Cardiol. 2014, 64, 2792–2801. [Google Scholar] [CrossRef]
- Alachkar, M.N.; Kirschfink, A.; Grebe, J.; Schälte, G.; Almalla, M.; Frick, M.; Schröder, J.W.; Vogt, F.; Marx, N.; Altiok, E. General Anesthesia Leads to Underestimation of Regurgitation Severity in Patients with Secondary Mitral Regurgitation Undergoing Transcatheter Mitral Valve Repair. J. Cardiothorac. Vasc. Anesth. 2022, 36, 974–982. [Google Scholar] [CrossRef]
- Grayburn, P.A.; Sannino, A.; Packer, M. Proportionate and Disproportionate Functional Mitral Regurgitation: A New Conceptual Framework That Reconciles the Results of the MITRA-FR and COAPT Trials; JACC: Cardiovascular Imaging; Elsevier Inc.: Amsterdam, The Netherlands, 2019; Volume 12, pp. 353–362. [Google Scholar]
- Igata, S.; Cotter, B.R.; Hang, C.T.; Morikawa, N.; Strachan, M.; Raisinghani, A.; Blanchard, D.G.; DeMaria, A.N. Optimal Quantification of Functional Mitral Regurgitation: Comparison of Volumetric and Proximal Isovelocity Surface Area Methods to Predict Outcome. J. Am. Heart Assoc. 2021, 10, e018553. [Google Scholar] [CrossRef]
- Nappi, F. Atrial functional mitral regurgitation in cardiology and cardiac surgery. J. Thorac. Dis. 2024, 16, 5435–5456. [Google Scholar] [CrossRef]
- Kagiyama, N.; Mondillo, S.; Yoshida, K.; Mandoli, G.E.; Cameli, M. Subtypes of Atrial Functional Mitral Regurgitation. JACC Cardiovasc. Imaging 2020, 13, 820–835. [Google Scholar] [CrossRef]
- Matta, M.; Ayoub, C.; Abou Hassan, O.K.; Layoun, H.; Cremer, P.C.; Hussein, A.; Schoenhagen, P.; Saliba, W.I.; Rodriguez, L.L.; Griffin, B.P.; et al. Anatomic and Functional Determinants of Atrial Functional Mitral Regurgitation. Struct. Heart 2021, 5, 498–507. [Google Scholar] [CrossRef]
- Van De Heyning, C.M.; Magne, J.; Piérard, L.A.; Bruyère, P.J.; Davin, L.; De Maeyer, C.; Paelinck, B.P.; Vrints, C.J.; Lancellotti, P. Assessment of left ventricular volumes and primary mitral regurgitation severity by 2D echocardiography and cardiovascular magnetic resonance. Cardiovasc. Ultrasound 2013, 11, 46. [Google Scholar] [CrossRef][Green Version]
- Ünlü, S.; Duchenne, J.; Mirea, O.; Pagourelias, E.D.; Bézy, S.; Cvijic, M.; Beela, A.S.; Thomas, J.D.; Badano, L.P.; Voigt, J.-U. Impact of apical foreshortening on deformation measurements: A report from the EACVI-ASE Strain Standardization Task Force. Eur. Heart J. Cardiovasc. Imaging 2019, 21, 337–343. [Google Scholar] [CrossRef]
- Schwammenthal, E.; Chen, C.; Benning, F.; Block, M.; Breithardt, G.; Levine, R.A. Dynamics of mitral regurgitant flow and orifice area. Physiologic application of the proximal flow convergence method: Clinical data and experimental testing. Circulation 1994, 90, 307–322. [Google Scholar] [CrossRef]
- Sannino, A.; Fortuni, F. Timing Surgical Mitral Valve Repair for Primary Mitral Regurgitation. J. Am. Coll. Cardiol. 2024, 83, 313–316. [Google Scholar] [CrossRef]
- Fortuni, F.; Bax, J.J.; Delgado, V. Changing the Paradigm in the Management of Valvular Heart Disease. Circulation 2021, 143, 209–211. [Google Scholar] [CrossRef]
- Tsang, W.; Lang, R.M. Three-dimensional Echocardiography Is Essential for Intraoperative Assessment of Mitral Regurgitation. Circulation 2013, 128, 643–652. [Google Scholar] [CrossRef]
- Faletra, F.F.; Agricola, E.; Flachskampf, F.A.; Hahn, R.; Pepi, M.; Ajmone Marsan, N.; Wunderlich, N.; Elif Sade, L.; Donal, E.; Zamorano, J.-L.; et al. Three-dimensional transoesophageal echocardiography: How to use and when to use—A clinical consensus statement from the European Association of Cardiovascular Imaging of the European Society of Cardiology. Eur. Heart J. Cardiovasc. Imaging 2023, 24, e119–e197. [Google Scholar] [CrossRef]
- Levy, F.; Marechaux, S.; Iacuzio, L.; Schouver, E.D.; Castel, A.L.; Toledano, M.; Rusek, S.; Dor, V.; Tribouilloy, C.; Dreyfus, G. Quantitative assessment of primary mitral regurgitation using left ventricular volumes obtained with new automated three-dimensional transthoracic echocardiographic software: A comparison with 3-Tesla cardiac magnetic resonance. Arch. Cardiovasc. Dis. 2018, 111, 507–517. [Google Scholar] [CrossRef]
- Marechaux, S.; Le Goffic, C.; Ennezat, P.V.; Semichon, M.; Castel, A.L.; Delelis, F.; Lemahieu, J.M.; Menet, A.; Graux, P.; Tribouilloy, C. Quantitative assessment of primary mitral regurgitation using left ventricular volumes: A three-dimensional transthoracic echocardiographic pilot study. Eur. Heart J. Cardiovasc. Imaging 2014, 15, 1133–1139. [Google Scholar]
- Marsan, N.A.; Westenberg, J.J.M.; Ypenburg, C.; Delgado, V.; van Bommel, R.J.; Roes, S.D.; Nucifora, G.; van der Geest, R.J.; de Roos, A.; Reiber, J.C.; et al. Quantification of Functional Mitral Regurgitation by Real-Time 3D Echocardiography. JACC Cardiovasc. Imaging 2009, 2, 1245–1252. [Google Scholar] [CrossRef]
- Piroli, F.; Boccellino, A.; Ingallina, G.; Rolando, M.; Melillo, F.; Ancona, F.; Stella, S.; Biondi, F.; Palmisano, A.; Esposito, A.; et al. Feasibility and reliability of comprehensive three-dimensional transoesophageal echocardiography screening process for transcatheter mitral valve replacement. Eur. Heart J. Cardiovasc. Imaging 2023, 24, 1043–1051. [Google Scholar] [CrossRef]
- van Wijngaarden, A.L.; Mantegazza, V.; Hiemstra, Y.L.; Volpato, V.; van der Bijl, P.; Pepi, M.; Palmen, M.; Delgado, V.; Ajmone Marsan, N.; Tamborini, G.; et al. Prognostic Impact of Extra–Mitral Valve Cardiac Involvement in Patients With Primary Mitral Regurgitation. JACC Cardiovasc. Imaging 2022, 15, 961–970. [Google Scholar] [CrossRef]
- Mentias, A.; Naji, P.; Gillinov, A.M.; Rodriguez, L.L.; Reed, G.; Mihaljevic, T.; Suri, R.M.; Sabik, J.F.; Svensson, L.G.; Grimm, R.A.; et al. Strain Echocardiography and Functional Capacity in Asymptomatic Primary Mitral Regurgitation With Preserved Ejection Fraction. J. Am. Coll. Cardiol. 2016, 68, 1974–1986. [Google Scholar] [CrossRef]
- Pio, S.M.; Medvedofsky, D.; Stassen, J.; Delgado, V.; Namazi, F.; Weissman, N.J.; Grayburn, P.; Kar, S.; Lim, D.S.; Zhou, Z.; et al. Changes in Left Ventricular Global Longitudinal Strain in Patients With Heart Failure and Secondary Mitral Regurgitation: The COAPT Trial. J. Am. Heart Assoc. 2023, 12, e029956. [Google Scholar] [CrossRef]
- Mandoli, G.E.; Pastore, M.C.; Benfari, G.; Bisleri, G.; Maccherini, M.; Lisi, G.; Cameli, P.; Lisi, M.; Dokollari, A.; Carrucola, C.; et al. Left atrial strain as a pre-operative prognostic marker for patients with severe mitral regurgitation. Int. J. Cardiol. 2021, 324, 139–145. [Google Scholar] [CrossRef]
- Chang, W.; Wu, N.; Shih, J.; Hsu, C.; Chen, Z.; Cheng, B. Right ventricular reserve post mitral valve repair is associated with heart failure hospitalization. Pulm. Circ. 2020, 10, 2045894020943858. [Google Scholar] [CrossRef]
- Hirasawa, K.; Izumo, M.; Akashi, Y.J. Stress echocardiography in valvular heart disease. Front. Cardiovasc. Med. 2023, 10, 1233924. [Google Scholar] [CrossRef]
- Lancellotti, P.; Magne, J. Stress Echocardiography in Regurgitant Valve Disease. Circ. Cardiovasc. Imaging 2013, 6, 840–849. [Google Scholar] [CrossRef]
- Pierard, L.; Dulgheru, R.; Magne, J.; Lancellotti, P. Dynamic ischaemic mitral regurgitation and the role of stress echocardiography. J. Cardiovasc. Echogr. 2013, 23, 10. [Google Scholar] [CrossRef]
- Myerson, S.G.; d’Arcy, J.; Christiansen, J.P.; Dobson, L.E.; Mohiaddin, R.; Francis, J.M.; Prendergast, B.; Greenwood, J.P.; Karamitsos, T.D.; Neubauer, S. Determination of Clinical Outcome in Mitral Regurgitation With Cardiovascular Magnetic Resonance Quantification. Circulation 2016, 133, 2287–2296. [Google Scholar] [CrossRef]
- Garg, P.; Pavon, A.G.; Penicka, M.; Uretsky, S. Cardiovascular magnetic resonance imaging in mitral valve disease. Eur. Heart J. 2025, 46, 606–619. [Google Scholar] [CrossRef]
- Ge, Y.; Gupta, S.; Fentanes, E.; Aghayev, A.; Steigner, M.; Sobieszczyk, P.; Kaneko, T.; Di Carli, M.F.; Bhatt, D.L.; Shah, P.; et al. Role of Cardiac CT in Pre-Procedure Planning for Transcatheter Mitral Valve Replacement. JACC Cardiovasc. Imaging 2021, 14, 1571–1580. [Google Scholar] [CrossRef]
- Rolando, M.; Affronti, A.; Loreni, F.; Bergonzini, M.; Carluccio, E.; Fortuni, F. Mitral Valve Repair in the Modern Era: Insights into Techniques and Technologies with a Glimpse of the Future. J. Clin. Med. 2025, 14, 7251. [Google Scholar] [CrossRef]
- Faletra, F.F.; Pasotti, E.; Moccetti, T.; Pedrazzini, G. Real-time three-dimensional echocardiography during percutaneous edge-to-edge mitral valve repair. J. Cardiovasc. Echogr. 2011, 21, 118–125. [Google Scholar] [CrossRef]
- Foster, E.; Wasserman, H.S.; Gray, W.; Homma, S.; Di Tullio, M.R.; Rodriguez, L.; Stewart, W.J.; Whitlow, P.; Block, P.; Martin, R.; et al. Quantitative Assessment of Severity of Mitral Regurgitation by Serial Echocardiography in a Multicenter Clinical Trial of Percutaneous Mitral Valve Repair. Am. J. Cardiol. 2007, 100, 1577–1583. [Google Scholar] [CrossRef]
- Fortuni, F.; Petrina, S.M.; Nicolosi, G.L. Applicazioni dell’intelligenza artificiale nell’imaging cardiovascolare: Vantaggi, limiti e sfide future [Applications of artificial intelligence in cardiovascular imaging: Advantages, limitations, and future challenges]. G. Ital. Cardiol. 2025, 26, 379–387. [Google Scholar]
- Medvedofsky, D.; Mor-Avi, V.; Amzulescu, M.; Fernández-Golfín, C.; Hinojar, R.; Monaghan, M.J.; Otani, K.; Reiken, J.; Takeuchi, M.; Tsang, W.; et al. Three-dimensional echocardiographic quantification of the left-heart chambers using an automated adaptive analytics algorithm: Multicentre validation study. Eur. Heart J. Cardiovasc. Imaging 2018, 19, 47–58. [Google Scholar]
- Penso, M.; Pepi, M.; Mantegazza, V.; Cefalù, C.; Muratori, M.; Fusini, L.; Gripari, P.; Ghulam Ali, S.; Caiani, E.G.; Tamborini, G. Machine Learning Prediction Models for Mitral Valve Repairability and Mitral Regurgitation Recurrence in Patients Undergoing Surgical Mitral Valve Repair. Bioengineering 2021, 8, 117. [Google Scholar] [CrossRef]
- Sacoransky, E.; Ke, D.Y.J.; Abuzeid, W. Machine learning for prediction of transcatheter mitral valve repair outcomes: A systematic review. Inf. Med. Unlocked 2024, 50, 101586. [Google Scholar] [CrossRef]
- Fortuni, F.; Ciliberti, G.; De Chiara, B.; Conte, E.; Franchin, L.; Musella, F.; Vitale, E.; Piroli, F.; Cangemi, S.; Cornara, S.; et al. Advancements and applications of artificial intelligence in cardiovascular imaging: A comprehensive review. Eur. Heart J. Imaging Methods Pract. 2024, 2, qyae136. [Google Scholar] [CrossRef]
- Hell, M.M.; Kreidel, F.; Geyer, M.; Ruf, T.F.; Tamm, A.R.; da Rocha e Silva, J.G.; Münzel, T.; von Bardeleben, R.S. The Revolution in Heart Valve Therapy: Focus on Novel Imaging Techniques in Intra-Procedural Guidance. Struct. Heart 2021, 5, 140–150. [Google Scholar] [CrossRef]
- Fortuni, F.; Marques, A.I.; Bax, J.J.; Ajmone Marsan, N.; Delgado, V. Echocardiography–computed tomography fusion imaging for guidance of transcatheter tricuspid valve annuloplasty. Eur. Heart J. Cardiovasc. Imaging 2020, 21, 937–938. [Google Scholar] [CrossRef]
- Melillo, F.; Fisicaro, A.; Stella, S.; Ancona, F.; Capogrosso, C.; Ingallina, G.; Maccagni, D.; Romano, V.; Ruggeri, S.; Godino, C.; et al. Systematic Fluoroscopic-Echocardiographic Fusion Imaging Protocol for Transcatheter Edge-to-Edge Mitral Valve Repair Intraprocedural Monitoring. J. Am. Soc. Echocardiogr. 2021, 34, 604–613. [Google Scholar] [CrossRef]
- Sadeghi, A.H.; el Mathari, S.; Abjigitova, D.; Maat, A.P.W.M.; Taverne, Y.J.H.J.; Bogers, A.J.J.C.; Mahtab, E.A.F. Current and Future Applications of Virtual, Augmented, and Mixed Reality in Cardiothoracic Surgery. Ann. Thorac. Surg. 2022, 113, 681–691. [Google Scholar] [CrossRef]
- Mao, Y.; Liu, Y.; Zhai, M.; Yang, J. Application of and Prospects for 3-Dimensional Printing in Transcatheter Mitral Valve Interventions. Rev. Cardiovasc. Med. 2023, 24, 61. [Google Scholar] [CrossRef]
- Zilio, F.; Giubilato, S.; Caldarola, P.; Ciliberti, G.; Di Monaco, A.; Dini, C.S.; Iannopollo, G.; Cornara, S.; Franchin, L.; Vitale, E.; et al. The role of simulation in medical education, clinical risk management, and enhancing patient care in cardiology. G. Ital. Cardiol. 2025, 26, 476–487. [Google Scholar]







| SEMIQUANTITATIVE | |
| VCW (mm) † | Visualize the three components—flow convergence, vena contracta and distal jet expansion—of the MR preferably in a view where the ultrasound beam is parallel to the vena contracta diameter; the vena contracta width represents the narrowest diameter of the regurgitant jet, located between the flow convergence zone and the region of distal jet expansion and lies downstream of the anatomic regurgitant orifice. |
| PV flow * | Acquire the PWD signal of pulmonary vein flow by placing a small sample volume (3–5 mm) just 1 cm inside the pulmonary vein; TEE is generally required to adequately sample all pulmonary veins, as systolic reverse may be confined to a single vein only. |
| Mitral inflow ‡ | Acquire the PWD signal of transmitral flow by placing the sample volume at the level of MV leaflets’ tips using A4Ch view. |
| VTIMV/VTILVOT | It is the ratio between the VTI of mitral inflow (VTIMV) and the VTI of LVOT (VTILVOT). The former can be obtained as described above, the latter by placing the PWD sample volume at the level of LVOT. |
| QUANTITATIVE | |
| EROA (mm2) | PISA method:
|
| RVol (mL) | |
| RF (%) | |
| VIEW | MEASUREMENT | CYCLE | CUT-OFF | AIM |
|---|---|---|---|---|
![]() | AP diameter | End-systolic | >35 mm | Annulus dilatation (Ring size) |
![]() | MVA | Diastole | nd | Risk of MS |
![]() | Al length PL length | * | >20 mm >15 mm | Ring size Risk of SAM |
![]() | AL/PL ratio | Mid-systole | ≤1.3 † | Risk of SAM |
![]() | Ao-MV angle | Mid-systole | <120° ‡# | Risk of SAM |
![]() | C-sept distance | Mid-systole | <25 mm ‡ | Risk of SAM |
![]() | EDD | End-diastole | <45 mm ‡ | Risk of SAM |
![]() | Basal IVS | End-diastole | ≥15 mm ‡ | Risk of SAM |
Disclaimer/Publisher’s Note: The statements, opinions and data contained in all publications are solely those of the individual author(s) and contributor(s) and not of MDPI and/or the editor(s). MDPI and/or the editor(s) disclaim responsibility for any injury to people or property resulting from any ideas, methods, instructions or products referred to in the content. |
© 2025 by the authors. Licensee MDPI, Basel, Switzerland. This article is an open access article distributed under the terms and conditions of the Creative Commons Attribution (CC BY) license (https://creativecommons.org/licenses/by/4.0/).
Share and Cite
Rolando, M.; Elmasry, N.; Gobbi, F.; Moreo, A.; Ajmone Marsan, N.; Carluccio, E.; Fortuni, F. Echocardiographic Assessment of Patients Undergoing Mitral Valve Repair. J. Cardiovasc. Dev. Dis. 2025, 12, 498. https://doi.org/10.3390/jcdd12120498
Rolando M, Elmasry N, Gobbi F, Moreo A, Ajmone Marsan N, Carluccio E, Fortuni F. Echocardiographic Assessment of Patients Undergoing Mitral Valve Repair. Journal of Cardiovascular Development and Disease. 2025; 12(12):498. https://doi.org/10.3390/jcdd12120498
Chicago/Turabian StyleRolando, Marco, Nadeem Elmasry, Federico Gobbi, Antonella Moreo, Nina Ajmone Marsan, Erberto Carluccio, and Federico Fortuni. 2025. "Echocardiographic Assessment of Patients Undergoing Mitral Valve Repair" Journal of Cardiovascular Development and Disease 12, no. 12: 498. https://doi.org/10.3390/jcdd12120498
APA StyleRolando, M., Elmasry, N., Gobbi, F., Moreo, A., Ajmone Marsan, N., Carluccio, E., & Fortuni, F. (2025). Echocardiographic Assessment of Patients Undergoing Mitral Valve Repair. Journal of Cardiovascular Development and Disease, 12(12), 498. https://doi.org/10.3390/jcdd12120498











