Echocardiographic Markers of Right Ventricle Diastolic Dysfunction in Neonates and Infants with Congenital Heart Disease
Abstract
1. Introduction
2. Methods
2.1. Study Population
2.1.1. Children with CHD
2.1.2. Exclusion Criteria
2.2. Healthy Controls
2.3. Echocardiographic Examinations
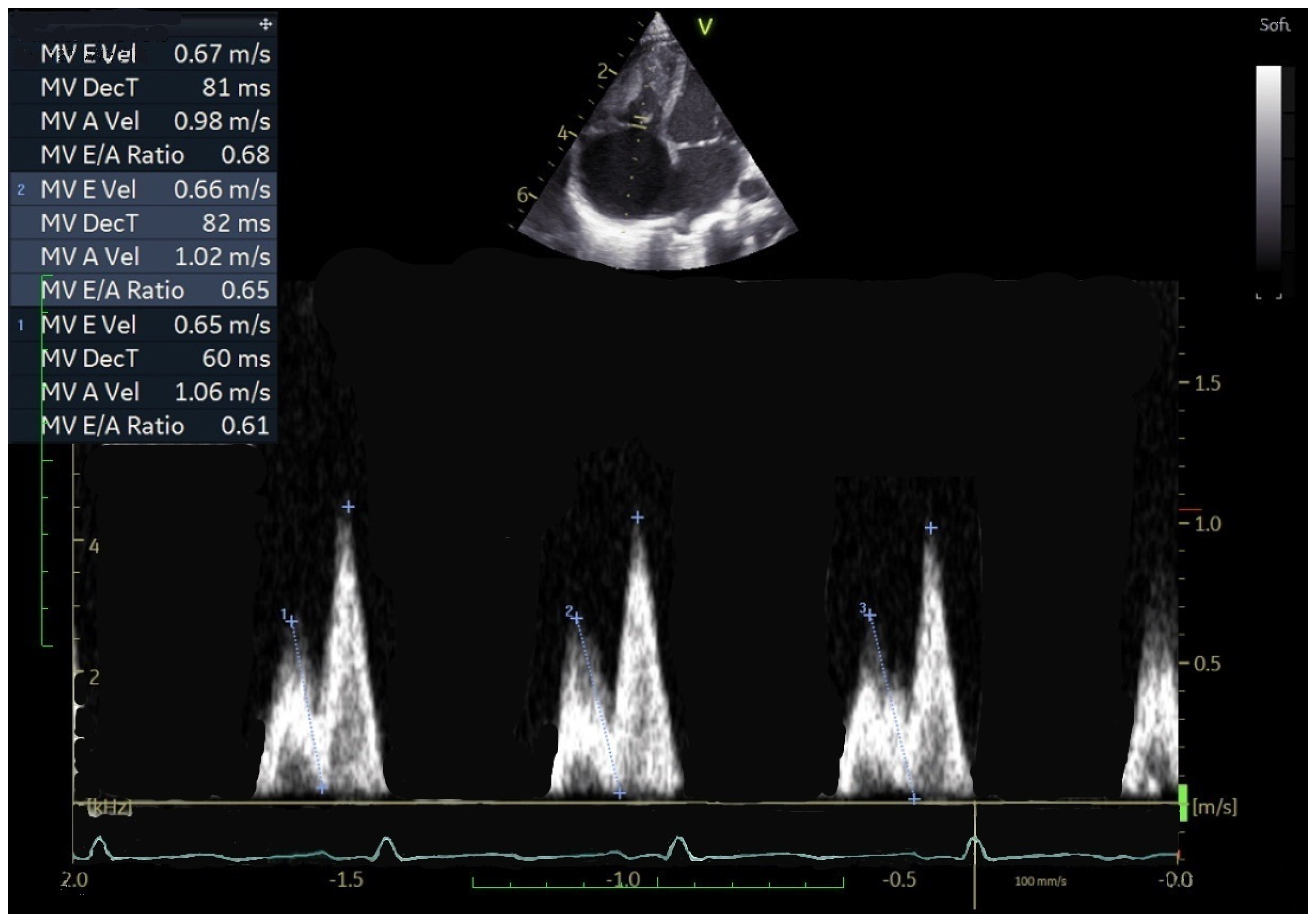
2.4. Reproducibility of Tricuspid Doppler Measurements
2.5. Statistical Analysis
2.6. Ethical Approval and Informed Consent
3. Results
3.1. Study Population
3.2. Feasibility
3.3. Patterns of TV Inflow in Children with CHD
3.4. Correlations
3.5. Confounders
3.6. Reproducibility of Tricuspid Doppler Measurements
4. Discussion
5. Limitations
Future Perspective
6. Conclusions
Author Contributions
Funding
Institutional Review Board Statement
Informed Consent Statement
Data Availability Statement
Conflicts of Interest
References
- Burkett, D.A.; Slorach, C.; Patel, S.S.; Redington, A.N.; Ivy, D.D.; Mertens, L.; Younoszai, A.K.; Friedberg, M.K. Impact of Pulmonary Hemodynamics and Ventricular Interdependence on Left Ventricular Diastolic Function in Children with Pulmonary Hypertension. Circ. Cardiovasc. Imaging 2016, 9, e004612. [Google Scholar] [CrossRef] [PubMed]
- Okumura, K.; Slorach, C.; Mroczek, D.; Dragulescu, A.; Mertens, L.; Redington, A.N.; Friedberg, M.K. Right Ventricular Diastolic Performance in Children with Pulmonary Arterial Hypertension Associated with Congenital Heart Disease: Correlation of Echocardiographic Parameters with Invasive Reference Standards by High-Fidelity Micromanometer Catheter. Circ. Cardiovasc. Imaging 2014, 7, 491–501. [Google Scholar] [CrossRef] [PubMed]
- Ploegstra, M.J.; Zijlstra, W.M.H.; Douwes, J.M.; Hillege, H.L.; Berger, R.M.F. Prognostic Factors in Pediatric Pulmonary Arterial Hypertension: A Systematic Review and Meta-Analysis. Int. J. Cardiol. 2015, 184, 198–207. [Google Scholar] [CrossRef] [PubMed]
- Koestenberger, M.; Avian, A.; Cantinotti, M.; Meinel, K.; Hansmann, G. A Novel Echocardiographic Approach Indicates Disease Severity in Pediatric Pulmonary Hypertension. Pediatr. Int. 2020, 62, 637–639. [Google Scholar] [CrossRef]
- Takatsuki, S.; Nakayama, T.; Jone, P.N.; Wagner, B.D.; Naoi, K.; Ivy, D.D.; Saji, T. Tissue Doppler Imaging Predicts Adverse Outcome in Children with Idiopathic Pulmonary Arterial Hypertension. J. Pediatr. 2012, 161, 1126–1131.e2. [Google Scholar] [CrossRef]
- Cantinotti, M.; Di Salvo, G.; Voges, I.; Raimondi, F.; Greil, G.; Ortiz Garrido, A.; Bharucha, T.; Grotenhuis, H.B.; Köstenberger, M.; Bonnello, B.; et al. Standardization in Paediatric Echocardiographic Reporting and Critical Interpretation of Measurements, Functional Parameters, and Prediction Scores: A Clinical Consensus Statement of the European Association of Cardiovascular Imaging of the European Society of Cardiology and the Association for European Paediatric and Congenital Cardiology. Eur. Heart J. Cardiovasc. Imaging 2024, 25, 1029–1050. [Google Scholar] [CrossRef]
- Rudski, L.G.; Lai, W.W.; Afilalo, J.; Hua, L.; Handschumacher, M.D.; Chandrasekaran, K.; Solomon, S.D.; Louie, E.K.; Schiller, N.B. Guidelines for the Echocardiographic Assessment of the Right Heart in Adults: A Report from the American Society of Echocardiography. Endorsed by the European Association of Echocardiography, a Registered Branch of the European Society of Cardiology, and the Canadian Society of Echocardiography. J. Am. Soc. Echocardiogr. 2010, 23, 685–713. [Google Scholar]
- Nagueh, S.F.; Smiseth, O.A.; Appleton, C.P.; Byrd, B.F.; Dokainish, H.; Edvardsen, T.; Flachskampf, F.A.; Gillebert, T.C.; Klein, A.L.; Lancellotti, P.; et al. Recommendations for the Evaluation of Left Ventricular Diastolic Function by Echocardiography: An Update from the American Society of Echocardiography and the European Association of Cardiovascular Imaging. J. Am. Soc. Echocardiogr. 2016, 29, 277–314. [Google Scholar] [CrossRef]
- Cantinotti, M.; Marchese, P.; Scalese, M.; Franchi, E.; Assanta, N.; Koestenberger, M.; Van den Eynde, J.; Kutty, S.; Giordano, R. Normal Values and Patterns of Normality and Physiological Variability of Mitral and Tricuspid Inflow Pulsed Doppler in Healthy Children. Healthcare 2022, 10, 355. [Google Scholar] [CrossRef]
- Ezon, D.S.; Maskatia, S.A.; Sexson-tejtel, K.; Dreyer, W.J.; Jeewa, A.; Denfield, S.W. Tissue Doppler Imaging Measures Correlate Poorly with Left Ventricular Filling Pressures in Pediatric Cardiomyopathy. Congenit. Heart Dis. 2015, 10, 203–209. [Google Scholar] [CrossRef]
- Ryan, T.D.; Madueme, P.C.; Jefferies, J.L.; Michelfelder, E.C.; Jeffrey, A.; Woo, J.G.; Sahay, R.D.; King, E.C.; Brown, R.; Ryan, A.; et al. Utility of Echocardiography in the Assessment of Left Ventricular Diastolic Function and Restrictive Physiology in Children and Young Adults with Restrictive Cardiomyopathy: A Comparative Echocardiography-Catheterization Study Thomas. Pediatr. Cardiol. 2017, 38, 381–389. [Google Scholar] [CrossRef][Green Version]
- Dragulescu, A.; Mertens, L.; Friedberg, M.K. Interpretation of Left Ventricular Diastolic Dysfunction in Children with Cardiomyopathy by Echocardiography: Problems and Limitations. Circ. Cardiovasc. Imaging 2013, 6, 254–261. [Google Scholar] [CrossRef] [PubMed]
- Lopez, L.; Colan, S.D.; Frommelt, P.C.; Ensing, G.J.; Kendall, K.; Younoszai, A.K.; Lai, W.W.; Geva, T. Recommendations for Quantification Methods During the Performance of a Pediatric Echocardiogram: A Report From the Pediatric Measurements Writing Group of the American Society of Echocardiography Pediatric and Congenital Heart Disease Council. J. Am. Soc. Echocardiogr. 2010, 23, 465–495. [Google Scholar] [CrossRef] [PubMed]
- O’Leary, P.W. Pediatric Diastology: Use and Limitations of Doppler in the Evaluation of Ventricular Diastolic in Children. Prog. Pediatr. Cardiol. 1999, 10, 83–93. [Google Scholar] [CrossRef]
- Cantinotti, M.; Lopez, L. Nomograms for Blood Flow and Tissue Doppler Velocities to Evaluate Diastolic Function in Children: A Critical Review. J. Am. Soc. Echocardiogr. 2013, 26, 126–141. [Google Scholar] [CrossRef]
- Dallaire, F.; Slorach, C.; Hui, W.; Sarkola, T.; Friedberg, M.K.; Bradley, T.J.; Jaeggi, E.; Dragulescu, A.; Har, R.L.H.; Cherney, D.Z.I.; et al. Reference Values for Pulse Wave Doppler and Tissue Doppler Imaging in Pediatric Echocardiography. Circ. Cardiovasc. Imaging 2015, 8, e00216767. [Google Scholar] [CrossRef]
- Harada, K.; Takahashi, Y.; Shiota, T.; Suzuki, T.; Tamura, M.; Ito, T.; Takada, G. Effect of Heart Rate on Left Ventricular Diastolic Filling Patterns Assessed by Doppler Echocardiography in Normal Infants. Am. J. Cardiol. 1995, 76, 634–636. [Google Scholar] [CrossRef]
- Eidem, B.W.; Mcmahon, C.J.; Cohen, R.R.; Wu, J.; Finkelshteyn, I.; Kovalchin, J.P.; Ayres, N.A.; Bezold, L.I.; Smith, B.; Pignatelli, R.H. Impact of Cardiac Growth on Doppler Tissue Imaging Velocities: A Study in Healthy Children. J. Am. Soc. Echocardiogr. 2004, 17, 212–221. [Google Scholar] [CrossRef]
- Cantinotti, M.; Scalese, M.; Giordano, R.; Franchi, E.; Assanta, N.; Marotta, M.; Viacava, C.; Molinaro, S.; Iervasi, G.; Santoro, G.; et al. Normative Data for Left and Right Ventricular Systolic Strain in Healthy Caucasian Italian Children by Two-Dimensional Speckle-Tracking Echocardiography. J. Am. Soc. Echocardiogr. 2018, 31, 712–720.e6. [Google Scholar] [CrossRef]
- Niyogi, S.G.; Singh, A.; Kumar, B.; Mishra, A.K.; Puri, G.D. Right Atrial Strain in Pediatric Pulmonary Hypertension-A Prospective Observational Study. Pediatr. Cardiol. 2025, 46, 976–984. [Google Scholar] [CrossRef]
- Cheung, Y.F.; Yu, C.K.; So, E.K.; Li, V.W.; Wong, W.H. Atrial Strain Imaging after Repair of Tetralogy of Fallot: A Systematic Review. Ultrasound Med. Biol. 2019, 45, 1896–1908. [Google Scholar] [CrossRef]
- Ta, H.T.; Truong, V.T.; Alsaied, T.; Critser, P.J.; Germann, J.; Ollberding, N.J.; Khoury, P.R.; Powell, A.W.; Lang, S.; Mazur, W.; et al. Left Atrial Strain in the Repaired Tetralogy of Fallot Population: Comparisons to Biventricular Function, Native T1 Values, Exercise Parameters and Healthy Controls. Pediatr. Cardiol. 2021, 42, 1102–1110. [Google Scholar] [CrossRef]
- El Rahman, M.A.; Raedle-Hurst, T.; Rentzsch, A.; Schäfers, H.-J.; Abdul-Khaliq, H. Assessment of inter-atrial, inter-ventricular, and atrio-ventricular interactions in tetralogy of Fallot patients after surgical correction. Insights from two-dimensional speckle tracking and three-dimensional echocardiography. Cardiol. Young 2015, 25, 1254–1262. [Google Scholar] [CrossRef]
- Hope, K.D.; Anyosa, R.J.C.C.; Wang, Y.; Montero, A.E.; Sato, T.; Hanna, B.D.; Banerjee, A. Right atrial mechanics provide useful insight in pediatric pulmonary hypertension. Pulm. Circ. 2018, 8, 2045893218754852. [Google Scholar] [CrossRef]
- Jone, P.N.; Schäfer, M.; Li, L.; Craft, M.; Ivy, D.D.; Kutty, S. Right Atrial Deformation in Predicting Outcomes in Pediatric Pulmonary Hypertension. Circ. Cardiovasc. Imaging 2017, 10, e006250. [Google Scholar] [CrossRef]
- Sørensen, K.; Fadnes, S.; Mertens, L.; Henry, M.; Segers, P.; Løvstakken, L.; Nyrnes, S.A. Assessment of Early Diastolic Intraventricular Pressure Difference in Children by Blood Speckle-Tracking Echocardiography. J. Am. Soc. Echocardiogr. 2023, 36, 523–532.e3. [Google Scholar] [CrossRef]
- Sørensen, K.; Fadnes, S.; Mawad, W.; Henry, M.; Flade, H.M.; Østvik, A.; Myklebust, T.Å.; Kirkeby-Garstad, I.; Løvstakken, L.; Mertens, L.; et al. Intraventricular pressure difference estimation based on blood speckle tracking-invasive validation and early clinical application. Eur. Heart J. Cardiovasc. Imaging 2025, 26, 1346–1357. [Google Scholar] [CrossRef]


| All | 3–31 Days CHD | 1–24 Months CHD | |
|---|---|---|---|
| Age (months) | 3.37 ± 4.71 | 0.27 ± 0.18 | 7.34 ± 4.75 |
| Weight (kg) | 4.76 ± 2.27 | 3.21 ± 0.47 | 6.84 ± 2.05 |
| Height (cm) | 56.6 ± 9.9 | 50.3 ± 2.9 | 65.1 ± 9.5 |
| BSA (m2) | 0.27 ± 0.09 | 0.21 ± 0.02 | 0.36 ± 0.08 |
| TOF | 22 | 0 | 22 |
| PS | 35 | 32 | 3 |
| RR (a.p.m.) | 40.67 ± 11.25 | 39.84 ± 8.59 | 41.94 ± 14.64 |
| HR max (b.p.m.) | 151.21 ± 161.59 | 162.85 ± 191.37 | 128.72 ± 14.40 |
| HR min (b.p.m.) | 129.51 ± 15.20 | 130.1 ± 15.97 | 122.63 ± 11.40 |
| Oxygen saturation% | 94 ± 8.1 | 92.1 ± 9.5 | 96.9 ± 4.1 |
| LV GLS % | −18.74 ± 3.74 | −18.87 ± 3.69 | −18.62 ± 3.95 |
| LV EF % | 59.73 ± 5.42 | 60.08 ± 4.71 | 59.09 ± 6.70 |
| RV GLS % | −16.42 ± 6.87 | −16.18 ± 8.50 | −16.66 ± 5.17 |
| RV GLS free wall % | −14.10 ± 4.65 | −13.18 ± 5.22 | −15.31 ± 3.86 |
| Estimated RV pressure (mmHg) | 47.4 ± 17.5 | 50 ± 17.7 | 40.4 ± 16.1 |
| 0–31 Days Healthy | 0–31 Days CHD | p | 1–24 Months Healthy | 1–24 Months CHD | p | 0–24 Months Healthy | 0–24 Months CHD | p | |
|---|---|---|---|---|---|---|---|---|---|
| E veloc cm/s | 0.58 ± 0.39 | 0.59 ± 0.19 | 0.221 | 0.60 ± 0.14 | 0.68 ± 0.20 | 0.101 | 0.60 ± 0.22 | 0.63 ± 0.19 | 0.382 |
| A vel cm/s | 0.62 ± 0.13 | 0.92 ± 0.28 | <0.001 | 0.61 ± 0.16 | 0.78 ± 0.26 | 0.02 | 0.61 ± 0.15 | 0.87 ± 0.28 | <0.001 |
| E DT ms | 86.7 ± 29.1 | 79.6 ± 27.2 | 0.364 | 97.8 ± 31.5 | 87.5 ± 21.4 | 0.161 | 95.5 ± 31.2 | 82.7 ± 25.1 | 0.010 |
| E/A | 1.12 ± 1.50 | 0.66 ± 0.15 | 0.004 | 1.08 ± 0.42 | 0.88 ± 0.18 | 0.128 | 1.09 ± 0.79 | 0.75 ± 0.20 | <0.001 |
| E vel sd | 0.04 ± 0.04 | 0.03 ± 0.03 | 0.120 | 0.07 ± 0.06 | 0.03 ± 0.02 | <0.001 | 0.07 ± 0.06 | 0.03 ± 0.03 | <0.001 |
| A vel sd | 0.05 ± 0.04 | 0.06 ± 0.07 | 0.511 | 0.07 ± 0.05 | 0.04 ± 0.02 | 0.006 | 0.07 ± 0.05 | 0.05 ± 0.06 | 0.007 |
| E/A no inversion | 3 (12%) | 1 (3.1%) | 0.363 | 26 (30.2%) | 5 (23.8%) | 0.029 | 29 (26.1%) | 6 (11.3%) | <0.001 |
| E/A inversion 1 beat | 1 (4%) | 0 (0%) | 13 (15.1%) | 0 (0%) | 14 (12.6%) | 0 (0%) | |||
| E/A inversion 2 beats | 1 (4%) | 1 (3.1%) | 9 (10.5%) | 0 (0%) | 10 (9%) | 1 (1.9%) | |||
| E/A inversion 3 beats | 20 (8%) | 30 (93.8%) | 0.363 | 38 (44.2%) | 16 (76.2%) | 0.029 | 58 (52.3%) | 46 (86.8%) | <0.001 |
Disclaimer/Publisher’s Note: The statements, opinions and data contained in all publications are solely those of the individual author(s) and contributor(s) and not of MDPI and/or the editor(s). MDPI and/or the editor(s) disclaim responsibility for any injury to people or property resulting from any ideas, methods, instructions or products referred to in the content. |
© 2025 by the authors. Licensee MDPI, Basel, Switzerland. This article is an open access article distributed under the terms and conditions of the Creative Commons Attribution (CC BY) license.
Share and Cite
Cantinotti, M.; Capponi, G.; Scalese, M.; Palladino, E.; Giordano, R.; Franchi, E.; Viacava, C.; Corana, G.; Marchese, P.; Pizzuto, A.; et al. Echocardiographic Markers of Right Ventricle Diastolic Dysfunction in Neonates and Infants with Congenital Heart Disease. J. Clin. Med. 2026, 15, 98. https://doi.org/10.3390/jcm15010098
Cantinotti M, Capponi G, Scalese M, Palladino E, Giordano R, Franchi E, Viacava C, Corana G, Marchese P, Pizzuto A, et al. Echocardiographic Markers of Right Ventricle Diastolic Dysfunction in Neonates and Infants with Congenital Heart Disease. Journal of Clinical Medicine. 2026; 15(1):98. https://doi.org/10.3390/jcm15010098
Chicago/Turabian StyleCantinotti, Massimiliano, Guglielmo Capponi, Marco Scalese, Eleonora Palladino, Raffaele Giordano, Eliana Franchi, Cecilia Viacava, Giulia Corana, Pietro Marchese, Alessandra Pizzuto, and et al. 2026. "Echocardiographic Markers of Right Ventricle Diastolic Dysfunction in Neonates and Infants with Congenital Heart Disease" Journal of Clinical Medicine 15, no. 1: 98. https://doi.org/10.3390/jcm15010098
APA StyleCantinotti, M., Capponi, G., Scalese, M., Palladino, E., Giordano, R., Franchi, E., Viacava, C., Corana, G., Marchese, P., Pizzuto, A., Assanta, N., & Santoro, G. (2026). Echocardiographic Markers of Right Ventricle Diastolic Dysfunction in Neonates and Infants with Congenital Heart Disease. Journal of Clinical Medicine, 15(1), 98. https://doi.org/10.3390/jcm15010098

