Multimodality Cardiovascular Imaging in Patients After Coronary Artery Bypass Grafting: Diagnosis and Risk Stratification
Abstract
1. Introduction
2. Echocardiography
3. Coronary Computed Tomography Angiography
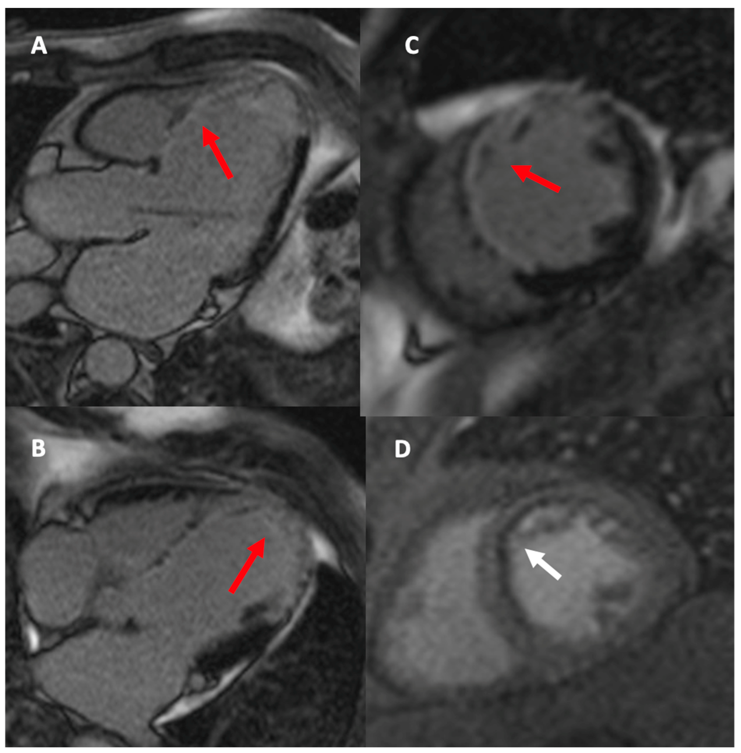
4. Cardiovascular Magnetic Resonance
5. SPECT and PET Nuclear Imaging
6. Multimodality Imaging in the Management of Individuals After CABG in Clinical Practice
7. AI-Enhanced Multimodality Imaging
8. Conclusions
Author Contributions
Funding
Institutional Review Board Statement
Informed Consent Statement
Data Availability Statement
Conflicts of Interest
References
- Vrints, C.; Andreotti, F.; Koskinas, K.C.; Rossello, X.; Adamo, M.; Ainslie, J.; Banning, A.P.; Budaj, A.; Buechel, R.R.; Chiariello, G.A.; et al. 2024 ESC Guidelines for the management of chronic coronary syndromes. Eur. Heart J. 2024, 45, 3415–3537. [Google Scholar] [CrossRef]
- Abdallah, M.S.; Wang, K.; Magnuson, E.A.; Osnabrugge, R.L.; Kappetein, A.P.; Morice, M.C.; Mohr, F.A.; Serruys, P.W.; Cohen, D.J. Quality of Life After Surgery or DES in Patients with 3-Vessel or Left Main Disease. J. Am. Coll. Cardiol. 2017, 69, 2039–2050. [Google Scholar] [CrossRef]
- Head, S.J.; Milojevic, M.; Daemen, J.; Ahn, J.M.; Boersma, E.; Christiansen, E.H.; Domanski, M.J.; Farkouh, M.E.; Flather, M.; Fuster, V.; et al. Mortality after coronary artery bypass grafting versus percutaneous coronary intervention with stenting for coronary artery disease: A pooled analysis of individual patient data. Lancet 2018, 391, 939–948. [Google Scholar] [CrossRef]
- Serruys, P.W.; Kotoku, N.; Nørgaard, B.L.; Garg, S.; Nieman, K.; Dweck, M.R.; Bax, J.J.; Knuuti, J.; Narula, J.; Perera, D.; et al. Computed tomographic angiography in coronary artery disease. EuroIntervention 2023, 18, e1307–e1327. [Google Scholar] [CrossRef]
- Tsigkas, G.; Toulgaridis, F.; Apostolos, A.; Kalogeropoulos, A.; Karamasis, G.V.; Vasilagkos, G.; Pappas, L.; Toutouzas, K.; Tsioufis, K.; Korkonikitas, P.; et al. CCTA-Guided Invasive Coronary Angiography in Patients with CABG: A Multicenter, Randomized Study. Circ. Cardiovasc. Interv. 2024, 17, e014045. [Google Scholar] [CrossRef]
- Celeng, C.; Leiner, T.; Maurovich-Horvat, P.; Merkely, B.; de Jong, P.; Dankbaar, J.W.; van Es, H.W.; Ghoshhajra, B.B.; Hoffmann, U.; Takx, R.A.P. Anatomical and Functional Computed Tomography for Diagnosing Hemodynamically Significant Coronary Artery Disease. JACC Cardiovasc. Imaging 2019, 12, 1316–1325. [Google Scholar] [CrossRef] [PubMed]
- Nous, F.M.A.; Geisler, T.; Kruk, M.B.P.; Alkadhi, H.; Kitagawa, K.; Vliegenthart, R.; Hell, M.M.; Hausleiter, J.; Nguyen, P.K.; Budde, R.P.J. Dynamic Myocardial Perfusion CT for the Detection of Hemodynamically Significant Coronary Artery Disease. JACC Cardiovasc. Imaging 2022, 15, 75–87. [Google Scholar] [CrossRef] [PubMed]
- Steeds, R.P.; Garbi, M.; Cardim, N.; Kasprzak, J.D.; Sade, E.; Nihoyannopoulos, P.; Popescu, B.A.; Stefanidis, A.; Cosyns, B.; Monaghan, M.; et al. EACVI appropriateness criteria for the use of transthoracic echocardiography in adults: A report of literature and current practice review. Eur. Heart J. Cardiovasc. Imaging 2017, 18, 1191–1204. [Google Scholar] [CrossRef] [PubMed]
- Stefanini, G.G.; Alfonso, F.; Barbato, E.; Byrne, R.A.; Capodanno, D.; Colleran, R.; Escaned, J.; Giacoppo, D.; Kunadian, V.; Lansky, A.; et al. Management of myocardial revascularisation failure: An expert consensus document of the EAPCI. EuroIntervention 2020, 16, e875–90. [Google Scholar] [CrossRef]
- Emond, M.; Mock, M.B.; Davis, K.B.; Fisher, L.D.; Holmes, D.R., Jr.; Chaitman, B.R.; Kaiser, G.C.; Alderman, E.; Killip, T., III. Long-term survival of medically treated patients in the Coronary Artery Surgery Study (CASS) Registry. Circulation 1994, 90, 2645–2657. [Google Scholar] [CrossRef]
- Vedin, O.; Lam, C.S.P.; Koh, A.S.; Benson, L.; Teng, T.H.K.; Tay, W.T.; Braun, O.Ö.; Savarese, G.; Dahlström, U.; Lund, L.H. Significance of Ischemic Heart Disease in Patients with Heart Failure and Preserved, Midrange, and Reduced Ejection Fraction. Circ. Heart Fail. 2017, 10, e003875. [Google Scholar] [CrossRef] [PubMed]
- McDonagh, T.A.; Metra, M.; Adamo, M.; Gardner, R.S.; Baumbach, A.; Böhm, M.; Burri, H.; Butler, J.; Čelutkienė, J.; Chioncel, O.; et al. 2021 ESC Guidelines for the diagnosis and treatment of acute and chronic heart failure. Eur. Heart J. 2021, 42, 3599–3726. [Google Scholar] [CrossRef]
- Vahanian, A.; Beyersdorf, F.; Praz, F.; Milojevic, M.; Baldus, S.; Bauersachs, J.; Capodanno, D.; Conradi, L.; De Bonis, M.; De Paulis, R.; et al. 2021 ESC/EACTS Guidelines for the management of valvular heart disease. Eur. Heart J. 2022, 43, 561–632. [Google Scholar] [CrossRef]
- Wood, P.W.; Choy, J.B.; Nanda, N.C.; Becher, H. Left Ventricular Ejection Fraction and Volumes: It Depends on the Imaging Method. Echocardiography 2014, 31, 87–100. [Google Scholar] [CrossRef]
- Cameli, M.; Mondillo, S.; Righini, F.M.; Lisi, M.; Dokollari, A.; Lindqvist, P.; Maccherini, M.; Henein, M. Left Ventricular Deformation and Myocardial Fibrosis in Patients With Advanced Heart Failure Requiring Transplantation. J. Card. Fail. 2016, 22, 901–907. [Google Scholar] [CrossRef]
- Lineburger, E.B.; Arya, R.C.; Junior, C.G.; Lima, F.S.; Búrigo, E.M.; Fermo, G.S.R. Role of Intraoperative Left Ventricular Global Longitudinal Strain in Hemodynamic and Cognitive Outcomes in On-Pump Coronary Artery Bypass Surgery: A Prospective Observational Study. Ann. Card. Anaesth. 2025, 28, 25–32. [Google Scholar] [CrossRef]
- Manganaro, R.; Marchetta, S.; Dulgheru, R.; Ilardi, F.; Sugimoto, T.; Robinet, S.; Cimino, S.; Go, Y.Y.; Bernard, A.; Kacharava, G.; et al. Echocardiographic reference ranges for normal non-invasive myocardial work indices: Results from the EACVI NORRE study. Eur. Heart J. Cardiovasc. Imaging 2019, 20, 582–590. [Google Scholar] [CrossRef]
- Wang, C.L.; Chan, Y.H.; Wu, V.C.C.; Lee, H.F.; Hsiao, F.C.; Chu, P.H. Incremental prognostic value of global myocardial work over ejection fraction and global longitudinal strain in patients with heart failure and reduced ejection fraction. Eur. Heart J. Cardiovasc. Imaging 2021, 22, 348–356. [Google Scholar] [CrossRef] [PubMed]
- Qamruddin, S.; Fang, C.; Kachur, S.; Bharwani, S.; Elagizi, A.; Stewart, M.; Morin, D.P.; Smiseth, O.A.; Gilliland, Y.E. Peak myocardial work assessment to detect coronary ischemia during dobutamine stress echocardiography. Front. Cardiovasc. Med. 2025, 12, 1556991. [Google Scholar] [CrossRef] [PubMed]
- Woodward, W.; Dockerill, C.; McCourt, A.; Upton, R.; O’Driscoll, J.; Balkhausen, K.; Chandrasekaran, B.; Firoozan, S.; Kardos, A.; Wong, K.; et al. Real-world performance and accuracy of stress echocardiography: The EVAREST observational multi-centre study. Eur. Heart J. Cardiovasc. Imaging 2022, 23, 689–698. [Google Scholar] [CrossRef]
- Knuuti, J.; Ballo, H.; Juarez-Orozco, L.E.; Saraste, A.; Kolh, P.; Rutjes, A.W.S.; Jüni, P.; Windecker, S.; Bax, J.J.; Wijns, W. The performance of non-invasive tests to rule-in and rule-out significant coronary artery stenosis in patients with stable angina: A meta-analysis focused on post-test disease probability. Eur. Heart J. 2018, 39, 3322–3330. [Google Scholar] [CrossRef] [PubMed]
- Shaw, L.J.; Berman, D.S.; Picard, M.H.; Friedrich, M.G.; Kwong, R.Y.; Stone, G.W.; Senior, R.; Min, J.K.; Hachamovitch, R.; Scherrer-Crosbie, M.; et al. Comparative Definitions for Moderate-Severe Ischemia in Stress Nuclear, Echocardiography, and Magnetic Resonance Imaging. JACC Cardiovasc. Imaging 2014, 7, 593–604. [Google Scholar] [CrossRef] [PubMed]
- Velazquez, E.J.; Lee, K.L.; Deja, M.A.; Jain, A.; Sopko, G.; Marchenko, A.; Ali, I.S.; Pohost, G.; Gradinac, S.; Abraham, W.T.; et al. Coronary-Artery Bypass Surgery in Patients with Left Ventricular Dysfunction. N. Engl. J. Med. 2011, 364, 1607–1616. [Google Scholar] [CrossRef]
- Cortigiani, L.; Ciampi, Q.; Rigo, F.; Bovenzi, F.; Picano, E.; Sicari, R. Prognostic value of dual imaging stress echocardiography following coronary bypass surgery. Int. J. Cardiol. 2019, 277, 266–271. [Google Scholar] [CrossRef]
- Knapp, M.; Musiał, W.J.; Lisowska, A.; Hirnle, T. The value of dobutamine stress echocardiography in predicting clinical improvement following coronary artery bypass grafting in patients with left ventricular systolic dysfunction. Cardiol. J. 2007, 14, 174–179. [Google Scholar] [PubMed]
- Park, D.W.; Kang, D.Y.; Ahn, J.M.; Yun, S.C.; Yoon, Y.H.; Hur, S.H.; Lee, C.H.; Kim, W.J.; Kang, S.H.; Park, C.S.; et al. Routine Functional Testing or Standard Care in High-Risk Patients after PCI. N. Engl. J. Med. 2022, 387, 905–915. [Google Scholar] [CrossRef]
- Perone, F.; Ancona, R.; di Stasio, F.; La Gambina, V.; Comenale Pinto, S. Myocardial Work Assessment in Patients after Coronary Artery Bypass Grafting during Cardiac Rehabilitation. J. Clin. Med. 2023, 12, 7540. [Google Scholar] [CrossRef] [PubMed] [PubMed Central]
- Gobel, F.L.; Stewart, W.J.; Campeau, L.; Hickey, A.; Herd, J.A.; Forman, S.; White, C.W.; Rosenberg, Y. Safety of coronary arteriography in clinically stable patients following coronary bypass surgery. Post CABG Clinical Trial Investigators. Cathet Cardiovasc. Diagn. 1998, 45, 376–381. [Google Scholar]
- Pesenti-Rossi, D.; Baron, N.; Georges, J.L.; Augusto, S.; Gibault-Genty, G.; Livarek, B. Assessment of coronary bypass graft patency by first-line multi-detector computed tomography. Ann. Cardiol. Angeiol. 2014, 63, 284–292. [Google Scholar] [CrossRef]
- Beirne, A.M.; Rathod, K.S.; Castle, E.; Andiapen, M.; Richards, A.; Bellin, A.; Hammond, V.; Godec, T.; Moon, J.C.; Davies, C.; et al. The BYPASS-CTCA study: The value of computed tomography cardiac angiography (CTCA) in improving patient-related outcomes in patients with previous bypass operation undergoing invasive coronary angiography: Study protocol of a randomised controlled trial. Ann. Transl. Med. 2021, 9, 1395. [Google Scholar] [CrossRef] [PubMed]
- Gabriel, J.; Klimach, S.; Lang, P.; Hildick-Smith, D. Should computed tomography angiography supersede invasive coronary angiography for the evaluation of graft patency following coronary artery bypass graft surgery? Interact. Cardiovasc. Thorac. Surg. 2015, 21, 231–239. [Google Scholar] [CrossRef]
- Barbero, U.; Iannaccone, M.; d’Ascenzo, F.; Barbero, C.; Mohamed, A.; Annone, U.; Benedetto, S.; Celentani, D.; Gagliardi, M.; Moretti, C.; et al. 64 slice-coronary computed tomography sensitivity and specificity in the evaluation of coronary artery bypass graft stenosis: A meta-analysis. Int. J. Cardiol. 2016, 216, 52–57. [Google Scholar] [CrossRef]
- Mushtaq, S.; Conte, E.; Pontone, G.; Pompilio, G.; Guglielmo, M.; Annoni, A.; Baggiano, A.; Formenti, A.; Mancini, M.E.; Muscogiuri, G.; et al. Interpretability of coronary CT angiography performed with a novel whole-heart coverage high-definition CT scanner in 300 consecutive patients with coronary artery bypass grafts. J. Cardiovasc. Comput. Tomogr. 2020, 14, 137–143. [Google Scholar] [CrossRef]
- Sahiner, L.; Canpolat, U.; Yorgun, H.; Hazrolan, T.; Karçaaltncaba, M.; Sunman, H.; Kaya, E.B.; Aytemir, K.; Oto, A. Diagnostic accuracy of dual-source 64-slice multidetector computed tomography in evaluation of coronary artery bypass grafts. J. Investig. Med. 2012, 60, 1180–1185. [Google Scholar] [CrossRef] [PubMed]
- Andreini, D.; Pontone, G.; Mushtaq, S.; Annoni, A.; Formenti, A.; Bertella, E.; Parolari, A.; Agostoni, P.; Bartorelli, A.; Ballerini, G.; et al. Diagnostic performance of two types of low radiation exposure protocol for prospective ECG-triggering multidetector computed tomography angiography in assessment of coronary artery bypass graft. Int. J. Cardiol. 2012, 157, 63–69. [Google Scholar] [CrossRef]
- Aupongkaroon, T.; Sricharoen, N.; Sricharoen, P.; Phankhajonwuth, W.; Boonsirichai, K. Comparison of radiation dose and its correlates between coronary computed tomography angiography and invasive coronary angiography in Northeastern Thailand. Egypt. Heart J. 2022, 74, 76. [Google Scholar] [CrossRef]
- Pegg, T.J.; Selvanayagam, J.B.; Francis, J.M.; Karamitsos, T.D.; Maunsell, Z.; Neubauer, S.; Taggart, D.P. A randomized trial of on-pump beating heart and conventional cardioplegic arrest in CABG patients with impaired ventricular function using CMR. Circulation 2008, 118, 2130–2138. [Google Scholar] [CrossRef] [PubMed]
- Thielmann, M.; Hunold, P.; Böhm, C.; Massoudy, P.; Jakob, H. Magnetic resonance imaging in CABG—Improvement of global and segmental function in patients with severely compromised LV function. Vasc. Health Risk Manag. 2007, 3, 763–768. [Google Scholar]
- Zhao, Y.; Fu, W.; Hou, X.; Zhang, J.; Biekan, J.; Zhang, H.; Wang, H.; Dong, R. Myocardial infarct size for predicting improvements in cardiac function in ICM patients after CABG. Quant. Imaging Med. Surg. 2023, 13, 7814–7827. [Google Scholar] [CrossRef]
- Aasim, M.; Aziz, R.; Mohsin, A.; Khan, R.; Zahid, A.; Awais, M.; Marquez Roa, L.A.; Shaukat, N.; Ikram, J. Outcomes of CABG in patients with impaired LV function and the role of preoperative myocardial viability. Cureus 2024, 16, e76198. [Google Scholar] [CrossRef] [PubMed]
- Zhuang, B.; Li, S.; Wang, H.; Chen, W.; Ren, Y.; Zhang, H.; Sun, Z.; Xu, L. Incremental prognostic value of CMR in patients with severe LV dysfunction undergoing CABG. Int. J. Cardiovasc. Imaging 2024, 40, 2057–2068. [Google Scholar] [CrossRef]
- Seraphim, A.; Knott, K.D.; Beirne, A.M.; Augusto, J.B.; Menacho, K.; Artico, J.; Joy, G.; Hughes, R.; Bhuva, A.N.; Torii, R.; et al. Quantitative CMR myocardial perfusion mapping in patients with LIMA grafts. J. Cardiovasc. Magn. Reson. 2021, 23, 82. [Google Scholar] [CrossRef]
- Bernhardt, P.; Spiess, J.; Levenson, B.; Pilz, G.; Höfling, B.; Hombach, V.; Strohm, O. Combined assessment of myocardial perfusion and late gadolinium enhancement in patients after percutaneous coronary intervention or bypass grafts: A multicenter study of an integrated cardiovascular magnetic resonance protocol. JACC Cardiovasc. Imaging 2009, 2, 1292–1300. [Google Scholar] [CrossRef] [PubMed]
- Heins, J.; Salatzki, J.; Köhrer, A.; Ochs, A.; Weberling, L.D.; Hund, H.; Giannitsis, E.; Frey, N.; Loßnitzer, D.; André, F.; et al. Safety of dobutamine stress cardiovascular magnetic resonance in patients with prior coronary artery bypass grafting. J. Cardiovasc. Magn. Reson. 2024, 26, 101119. [Google Scholar] [CrossRef]
- Kinnel, M.; Sanguineti, F.; Pezel, T.; Unterseeh, T.; Hovasse, T.; Toupin, S.; Landon, V.; Champagne, S.; Morice, M.C.; Garot, P.; et al. Prognostic value of vasodilator stress perfusion CMR in patients with previous coronary artery bypass graft. Eur. Heart J. Cardiovasc. Imaging 2021, 22, 1264–1272. [Google Scholar] [CrossRef] [PubMed]
- Ejaz, A.; Naqvi, A.H.; Perumalla, H.S.; Bateman, T.M. Assessment of Myocardial Perfusion in Patients After CABG: An Update and Clinical Implications. Semin. Nucl. Med. 2025, 55, 460–469. [Google Scholar] [CrossRef] [PubMed]
- Al Rifai, M.; Ahmed, A.I.; Saad, J.M.; Alahdab, F.; Nabi, F.; Al-Mallah, M.H. Prognostic value of global myocardial flow reserve in patients with history of coronary artery bypass grafting. Eur. Heart J. Cardiovasc. Imaging 2023, 24, 1470–1477. [Google Scholar] [CrossRef] [PubMed]
- Acampa, W.; Petretta, M.; Evangelista, L.; Nappi, G.; Luongo, L.; Petretta, M.P.; Cuocolo, A. Stress cardiac single-photon emission computed tomographic imaging late after coronary artery bypass surgery for risk stratification and estimation of time to cardiac events. J. Thorac. Cardiovasc. Surg. 2008, 136, 46–51. [Google Scholar] [CrossRef] [PubMed]
- Acampa, W.; Petretta, M.P.; Daniele, S.; Perrone-Filardi, P.; Petretta, M.; Cuocolo, A. Myocardial perfusion imaging after coronary revascularization: A clinical appraisal. Eur. J. Nucl. Med. Mol. Imaging 2013, 40, 1275–1282. [Google Scholar] [CrossRef] [PubMed]
- de Winter, R.W.; Jukema, R.A.; van Diemen, P.A.; Schumacher, S.P.; Driessen, R.S.; Stuijfzand, W.J.; Everaars, H.; Bom, M.J.; van Rossum, A.C.; van de Ven, P.M.; et al. The impact of coronary revascularization on vessel-specific coronary flow capacity and long-term outcomes: A serial [15O]H2O positron emission tomography perfusion imaging study. Eur. Heart J. Cardiovasc. Imaging 2022, 23, 743–752. [Google Scholar] [CrossRef] [PubMed] [PubMed Central]
- Neumann, F.J.; Sousa-Uva, M.; Ahlsson, A.; Alfonso, F.; Banning, A.P.; Benedetto, U.; Byrne, R.A.; Collet, J.P.; Falk, V.; Head, S.J.; et al. 2018 ESC/EACTS Guidelines on myocardial revascularization. Eur. Heart J. 2019, 40, 87–165. [Google Scholar] [CrossRef]
- Kim, M.S.; Park, J.Y.; Hwang, S.W.; Kim, K.B. Effect of patent complete revascularization on myocardium with persistent perfusion defects in preoperative single-photon emission computed tomography. Interdiscip. Cardiovasc. Thorac. Surg. 2025, 40, ivaf092. [Google Scholar] [CrossRef] [PubMed] [PubMed Central]
- Zhang, L.; Wu, J.; Li, Y.; Li, Y. Tc-99m Sestamibi Myocardial Perfusion Imaging After Coronary Artery Bypass Grafting for Ischemic Heart Failure. Heart Surg. Forum. 2022, 25, E634–E637. [Google Scholar] [CrossRef] [PubMed]
- Caobelli, F.; Dweck, M.R.; Albano, D.; Gheysens, O.; Georgoulias, P.; Nekolla, S.; Lairez, O.; Leccisotti, L.; Lubberink, M.; Massalha, S.; et al. Hybrid cardiovascular imaging. A clinical consensus statement of the european association of nuclear medicine (EANM) and the european association of cardiovascular imaging (EACVI) of the ESC. Eur. J. Nucl. Med. Mol. Imaging 2025, 52, 1095–1118. [Google Scholar] [CrossRef] [PubMed] [PubMed Central]
- Sciagrà, R.; Lubberink, M.; Hyafil, F.; Saraste, A.; Slart, R.H.J.A.; Agostini, D.; Nappi, C.; Georgoulias, P.; Bucerius, J.; Rischpler, C.; et al. EANM procedural guidelines for PET/CT quantitative myocardial perfusion imaging. Eur. J. Nucl. Med. Mol. Imaging 2021, 48, 1040–1069. [Google Scholar] [CrossRef] [PubMed] [PubMed Central]
- Bhure, U.; Bossard, M.; Grünig, H.; Del Sol Pérez Lago, M.; Cuculi, F.; Strobel, K. One stop non-invasive identification of culprit vessels and related ischemia in coronary artery bypass patient using combined 82Rubidium PET/coronary CT angiography. Eur. J. Nucl. Med. Mol. Imaging 2023, 50, 4107–4109. [Google Scholar] [CrossRef] [PubMed]
- Grandinetti, M.; Locorotondo, G.; Leccisotti, L.; Guarneri, A.; Bruno, P.; Marcolini, A.; Farina, P.; Gaudino, M.F.; Lanza, G.A.; Crea, F.; et al. Quantitative analysis of myocardial blood flow in surgically revascularized and not revascularized myocardial segments. A pilot PET study. Eur. J. Nucl. Med. Mol. Imaging 2024, 51, 1632–1638. [Google Scholar] [CrossRef] [PubMed]
- Gould, K.L.; Kitkungvan, D.; Johnson, N.P.; Nguyen, T.; Kirkeeide, R.; Bui, L.; Patel, M.B.; Roby, A.E.; Madjid, M.; Zhu, H.; et al. Mortality Prediction by Quantitative PET Perfusion Expressed as Coronary Flow Capacity with and Without Revascularization. JACC Cardiovasc. Imaging 2021, 14, 1020–1034. [Google Scholar] [CrossRef] [PubMed]
- Lu, Y.; Cao, J.; Zhu, E.J.; Gao, M.X.; Mou, T.T.; Zhang, Y.; Xie, X.F.; Tian, Y.; Yun, M.K.; Meng, J.J.; et al. Predictive value of the proportion of hibernating myocardium in total perfusion defect on reverse remodeling in patients with HFrEF underwent coronary artery bypass graft. Zhonghua Xin Xue Guan Bing Za Zhi 2023, 51, 384–392. (In Chinese) [Google Scholar] [CrossRef] [PubMed]
- D′Antonio, A.; Assante, R.; Zampella, E.; Mannarino, T.; Buongiorno, P.; Cuocolo, A.; Acampa, W. Myocardial blood flow evaluation with dynamic cadmium-zinc-telluride single-photon emission computed tomography: Bright and dark sides. Diagn. Interv. Imaging 2023, 104, 323–329. [Google Scholar] [CrossRef] [PubMed]
- Kwiecinski, J.; Tzolos, E.; Fletcher, A.J.; Nash, J.; Meah, M.N.; Cadet, S.; Adamson, P.D.; Grodecki, K.; Joshi, N.; Williams, M.C.; et al. Bypass Grafting and Native Coronary Artery Disease Activity. JACC Cardiovasc. Imaging 2022, 15, 875–887. [Google Scholar] [CrossRef] [PubMed] [PubMed Central]
- Thomas, J.D.; Edvardsen, T.; Abraham, T.; Appadurai, V.; Badano, L.; Banchs, J.; Cho, G.Y.; Cosyns, B.; Delgado, V.; Donal, E.; et al. Clinical Applications of Strain Echocardiography: A Clinical Consensus Statement From the American Society of Echocardiography Developed in Collaboration with the European Association of Cardiovascular Imaging of the European Society of Cardiology. J. Am. Soc. Echocardiogr. 2025, 38, 985–1020. [Google Scholar] [CrossRef] [PubMed]
- Tassetti, L.; Sfriso, E.; Torlone, F.; Baggiano, A.; Mushtaq, S.; Cannata, F.; Del Torto, A.; Fazzari, F.; Fusini, L.; Junod, D.; et al. The Role of Multimodality Imaging (CT & MR) as a Guide to the Management of Chronic Coronary Syndromes. J. Clin. Med. 2024, 13, 3450. [Google Scholar] [CrossRef]
- Wilzeck, V.C.; Mandoli, G.E.; Demirkiran, A.; Androulakis, E.; Soliman Aboumarie, H.; Giannopoulos, A.A.; Joshi, S.; Bhattacharyya, S.; Palomares, J.F.; Podlesnikar, T.; et al. European Association of Cardiovascular Imaging survey on imaging for myocardial viability. Eur. Heart J. Imaging Methods Pract. 2025, 3, qyaf095. [Google Scholar] [CrossRef] [PubMed] [PubMed Central]
- Perone, F.; Bernardi, M.; Redheuil, A.; Mafrica, D.; Conte, E.; Spadafora, L.; Ecarnot, F.; Tokgozoglu, L.; Santos-Gallego, C.G.; Kaiser, S.E.; et al. Role of Cardiovascular Imaging in Risk Assessment: Recent Advances, Gaps in Evidence, and Future Directions. J. Clin. Med. 2023, 12, 5563. [Google Scholar] [CrossRef] [PubMed] [PubMed Central]
- Cacciatore, S.; Spadafora, L.; Bernardi, M.; Galli, M.; Betti, M.; Perone, F.; Nicolaio, G.; Marzetti, E.; Martone, A.M.; Landi, F.; et al. Management of Coronary Artery Disease in Older Adults: Recent Advances and Gaps in Evidence. J. Clin. Med. 2023, 12, 5233. [Google Scholar] [CrossRef] [PubMed] [PubMed Central]
- Litjens, G.; Kooi, T.; Bejnordi, B.E.; Setio, A.A.A.; Ciompi, F.; Ghafoorian, M.; van der Laak, J.A.W.M.; van Ginneken, B.; Sánchez, C.I. A survey on deep learning in medical image analysis. Med. Image Anal. 2017, 42, 60–88. [Google Scholar] [CrossRef] [PubMed]
- Maragna, R.; Giacari, C.M.; Guglielmo, M.; Baggiano, A.; Fusini, L.; Guaricci, A.I.; Rossi, A.; Rabbat, M.; Pontone, G. Artificial Intelligence Based Multimodality Imaging: A New Frontier in Coronary Artery Disease Management. Front. Cardiovasc. Med. 2021, 8, 736223. [Google Scholar] [CrossRef] [PubMed] [PubMed Central]
- Aburass, S.; Dorgham, O.; Al Shaqsi, J.; Abu Rumman, M.; Al-Kadi, O. Vision Transformers in Medical Imaging: A Comprehensive Review of Advancements and Applications Across Multiple Diseases. J. Imaging Inform. Med. 2025, 1–44. [Google Scholar] [CrossRef]
- Goodfellow, I.J.; Pouget-Abadie, J.; Mirza, M.; Xu, B.; Warde-Farley, D.; Ozair, S.; Courville, A.; Bengio, Y. Generative Adversarial Nets. Adv. Neural Inf. Process. Syst. 2014, 27, 2672–2680. [Google Scholar]
- Chen, C.; Qin, C.; Qiu, H.; Tarroni, G.; Duan, J.; Bai, W.; Rueckert, D. Deep Learning for Cardiac Image Segmentation: A Review. Front. Cardiovasc. Med. 2020, 7, 25. [Google Scholar] [CrossRef] [PubMed] [PubMed Central]
- Tran, H.H.; Thu, A.; Twayana, A.R.; Fuertes, A.; Gonzalez, M.; Basta, M.; James, M.; Mehta, K.A.; Elias, D.; Figaro, Y.M.; et al. AI-Driven Multimodality Fusion in Cardiac Imaging: Integrating CT, MRI, and Echocardiography for Precision. Cardiol. Rev. 2025; Epub ahead of print. [Google Scholar] [CrossRef] [PubMed]
- Khalaji, A.; Behnoush, A.H.; Jameie, M.; Sharifi, A.; Sheikhy, A.; Fallahzadeh, A.; Sadeghian, S.; Pashang, M.; Bagheri, J.; Ahmadi Tafti, S.H.; et al. Machine learning algorithms for predicting mortality after coronary artery bypass grafting. Front. Cardiovasc. Med. 2022, 9, 977747. [Google Scholar] [CrossRef] [PubMed] [PubMed Central]
- Vandenberk, B.; Chew, D.S.; Prasana, D.; Gupta, S.; Exner, D.V. Successes and challenges of artificial intelligence in cardiology. Front. Digit. Health 2023, 5, 1201392. [Google Scholar] [CrossRef] [PubMed] [PubMed Central]





Disclaimer/Publisher’s Note: The statements, opinions and data contained in all publications are solely those of the individual author(s) and contributor(s) and not of MDPI and/or the editor(s). MDPI and/or the editor(s) disclaim responsibility for any injury to people or property resulting from any ideas, methods, instructions or products referred to in the content. |
© 2025 by the authors. Licensee MDPI, Basel, Switzerland. This article is an open access article distributed under the terms and conditions of the Creative Commons Attribution (CC BY) license (https://creativecommons.org/licenses/by/4.0/).
Share and Cite
La Mura, L.; Pasquini, A.; D′Antonio, A.; Beneki, E.; Ullah, I.; Avagimyan, A.; Abdelnabi, M.; Ibrahim, R.; Jaiswal, V.; Perone, F. Multimodality Cardiovascular Imaging in Patients After Coronary Artery Bypass Grafting: Diagnosis and Risk Stratification. Diagnostics 2025, 15, 3224. https://doi.org/10.3390/diagnostics15243224
La Mura L, Pasquini A, D′Antonio A, Beneki E, Ullah I, Avagimyan A, Abdelnabi M, Ibrahim R, Jaiswal V, Perone F. Multimodality Cardiovascular Imaging in Patients After Coronary Artery Bypass Grafting: Diagnosis and Risk Stratification. Diagnostics. 2025; 15(24):3224. https://doi.org/10.3390/diagnostics15243224
Chicago/Turabian StyleLa Mura, Lucia, Annalisa Pasquini, Adriana D′Antonio, Eirini Beneki, Irfan Ullah, Ashot Avagimyan, Mahmoud Abdelnabi, Ramzi Ibrahim, Vikash Jaiswal, and Francesco Perone. 2025. "Multimodality Cardiovascular Imaging in Patients After Coronary Artery Bypass Grafting: Diagnosis and Risk Stratification" Diagnostics 15, no. 24: 3224. https://doi.org/10.3390/diagnostics15243224
APA StyleLa Mura, L., Pasquini, A., D′Antonio, A., Beneki, E., Ullah, I., Avagimyan, A., Abdelnabi, M., Ibrahim, R., Jaiswal, V., & Perone, F. (2025). Multimodality Cardiovascular Imaging in Patients After Coronary Artery Bypass Grafting: Diagnosis and Risk Stratification. Diagnostics, 15(24), 3224. https://doi.org/10.3390/diagnostics15243224

