Sign in to use this feature.

Years

Between: -

Subjects

remove_circle_outline
remove_circle_outline
remove_circle_outline
remove_circle_outline
remove_circle_outline
remove_circle_outline
remove_circle_outline
remove_circle_outline
remove_circle_outline

Journals

remove_circle_outline
remove_circle_outline
remove_circle_outline
remove_circle_outline
remove_circle_outline
remove_circle_outline
remove_circle_outline
remove_circle_outline
remove_circle_outline
remove_circle_outline
remove_circle_outline

Article Types

Countries / Regions

remove_circle_outline
remove_circle_outline
remove_circle_outline
remove_circle_outline
remove_circle_outline

Search Results (1,279)

Search Parameters:
Keywords = human colon cancer cells

Order results
Result details
Results per page
Select all
Export citation of selected articles as:
16 pages, 5503 KB  
Article
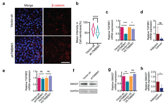
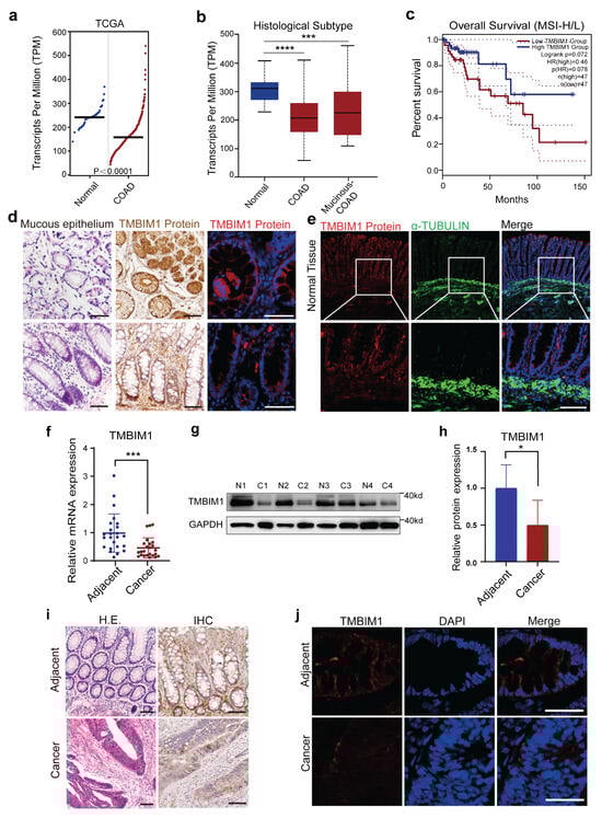
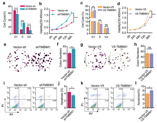
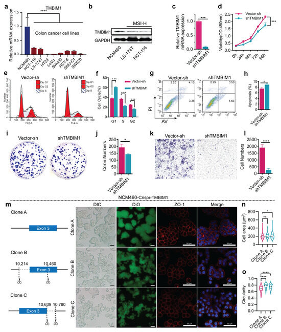
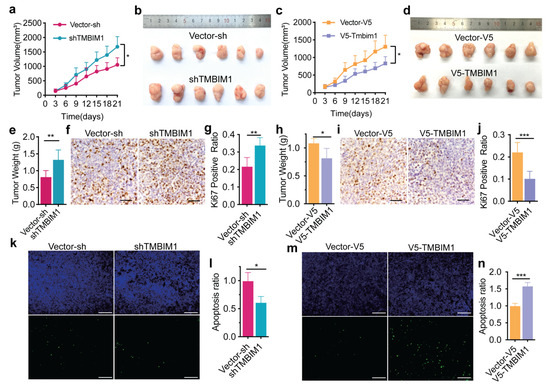
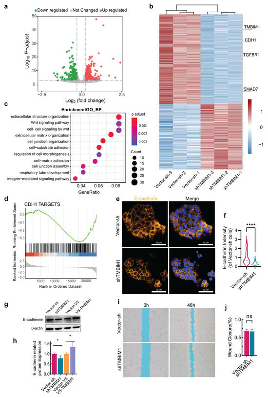
Loss of Epithelial Homeostasis Driven by TMBIM1 Depletion via E-Cadherin Junction Disassembly
by Zhenning Sun, Lei Zhang, Junxia Qi, Min Jiang, Shan Jiang, Zining Zhu, Yanxuan Ling, Xiaobin Wang and Juxue Li
Int. J. Mol. Sci. 2026, 27(2), 1090; https://doi.org/10.3390/ijms27021090 - 22 Jan 2026
Abstract
Mounting evidence from large-scale association studies has identified transmembrane BAX inhibitor motif-containing 1 (TMBIM1) as a promising candidate gene in colorectal cancer (CRC) pathogenesis. Our clinical analysis confirmed this association, demonstrating significantly reduced TMBIM1 expression in human colon cancer tissues. To [...] Read more.
Mounting evidence from large-scale association studies has identified transmembrane BAX inhibitor motif-containing 1 (TMBIM1) as a promising candidate gene in colorectal cancer (CRC) pathogenesis. Our clinical analysis confirmed this association, demonstrating significantly reduced TMBIM1 expression in human colon cancer tissues. To elucidate its functional role, we employed complementary experimental approaches across different cellular contexts. In normal colonic epithelial cells (NCM460), TMBIM1 deficiency triggered distinct morphological changes and suppressed cellular growth. Conversely, in malignant HCT-116 cells, TMBIM1 knockdown paradoxically enhanced proliferation and other pro-tumorigenic characteristics, suggesting context-dependent functions. Transcriptomic profiling via RNA-seq revealed that TMBIM1 suppression enhances cell viability, and the specific mutational background of HCT-116 cells appears to exploit the consequent loss of E-cadherin to further drive progression. Mechanistic investigations further identified E-cadherin (CDH1) as a key downstream effector, showing significant down-regulation following TMBIM1 knockdown. We therefore define a context-dependent tumor-suppressive mechanism for TMBIM1, wherein its loss in MSI-H cells promotes tumorigenesis via E-cadherin suppression and the consequent loss of epithelial integrity. Full article
(This article belongs to the Section Molecular Oncology)
Show Figures

Figure 1

15 pages, 950 KB  
Review
Molecular Insights into Helicobacter pylori-Induced Gastritis and Gastric Cancer
by Silvia Salvatori, Irene Marafini, Pasquale De Vico, Antonio Fonsi and Giovanni Monteleone
Cancers 2026, 18(2), 331; https://doi.org/10.3390/cancers18020331 - 21 Jan 2026
Abstract
Helicobacter pylori (H. pylori) is recognized as one of the most widespread and persistent bacterial infections globally, with a remarkable ability to colonize the human stomach. This pathogen is a major contributor to the development of gastric diseases, including gastric lymphoma [...] Read more.
Helicobacter pylori (H. pylori) is recognized as one of the most widespread and persistent bacterial infections globally, with a remarkable ability to colonize the human stomach. This pathogen is a major contributor to the development of gastric diseases, including gastric lymphoma and adenocarcinoma. The H. pylori infection triggers a complex pathogenic cascade within the gastric environment, characterized by prolonged inflammation and heightened oxidative stress, which fosters a milieu of immune dysregulation, where both innate and adaptive immune cells become activated inappropriately, thereby leading to epithelial injury and subsequent remodeling of the gastric tissue. As the infection persists, repeated cycles of inflammation and epithelial damage contribute to the development of epigenetic alterations, including changes in DNA methylation, histone modifications, and non-coding RNA expression, all of which render the gastric epithelium more susceptible to further aberrations, including dysplasia and cancer. In this article, we review the latest advances in understanding the molecular mechanisms of H. pylori-induced gastritis and its role in the progression of gastric cancer, offering new perspectives on the complex biology of this infection and its potential therapeutic implications for preventing the development of gastric malignancies. Full article
(This article belongs to the Section Cancer Immunology and Immunotherapy)
Show Figures

Figure 1

15 pages, 2365 KB  
Article
Mitochondrial Adaptations Underlying Tetraploidization in Human Cancer, Fungal, and Yeast Models
by Mohamed Jemaà, Ameni Bedoui, Nihel Ammous, Ali Gargouri and Mohamed Guerfali
Biology 2026, 15(2), 181; https://doi.org/10.3390/biology15020181 - 19 Jan 2026
Viewed by 39
Abstract
Whole-genome duplication, or tetraploidization, occurs in cells, tissues, or entire organisms. In human cancers, tetraploidization promotes aneuploidy and genomic instability, accelerating tumor progression, metastasis, and drug resistance. These adaptations demand metabolic rewiring, including mitochondrial plasticity. Here, we investigate the relationship between mitochondrial quantity/activity, [...] Read more.
Whole-genome duplication, or tetraploidization, occurs in cells, tissues, or entire organisms. In human cancers, tetraploidization promotes aneuploidy and genomic instability, accelerating tumor progression, metastasis, and drug resistance. These adaptations demand metabolic rewiring, including mitochondrial plasticity. Here, we investigate the relationship between mitochondrial quantity/activity, including the mitochondrial transmembrane potential, the intracellular calcium, and the oxidative stress in diploid versus tetraploid cancer cells (colon, sarcoma, liver) and fungal and yeast models (C. albicans diploid/tetraploid strains; S. cerevisiae haploid/diploid/tetraploid strains). We demonstrate that tetraploid cells, whether from human carcinomas or yeast, exhibit consistently enlarged cell size, elevated mitochondrial content, and heightened metabolic activity compared to diploids. Our findings underscore mitochondrial adaptation as a hallmark of tetraploidization, offering novel therapeutic targets for chromosomally unstable tumors. Full article
Show Figures

Figure 1

15 pages, 497 KB  
Article
Synthesis, Antimicrobial and Antiproliferative Activity of 1-Trifluoromethylphenyl-3-(4-arylthiazol-2-yl)thioureas
by Sreenivas Avula, Satish Koppireddi, Micky D. Tortorella and Cleopatra Neagoie
Sci. Pharm. 2026, 94(1), 11; https://doi.org/10.3390/scipharm94010011 - 19 Jan 2026
Viewed by 41
Abstract
This study reports the exclusive and rapid synthesis of twenty-four derivatives of 1-((mono/bis)trifluoromethyl)phenyl-3-(4-arylthiazol-2-yl)thioureas (series 7, 9 and 11), along with their antimicrobial activities against Candida albicans, Mycobacterium smegmatis and seven additional bacterial strains. The anticancer potential of these compounds was [...] Read more.
This study reports the exclusive and rapid synthesis of twenty-four derivatives of 1-((mono/bis)trifluoromethyl)phenyl-3-(4-arylthiazol-2-yl)thioureas (series 7, 9 and 11), along with their antimicrobial activities against Candida albicans, Mycobacterium smegmatis and seven additional bacterial strains. The anticancer potential of these compounds was evaluated against various human cancer cell lines, including A549 (lung adenocarcinoma), HeLa (cervical carcinoma), IMR32 (neuroblastoma), MCF-7 (breast adenocarcinoma), HCT116 (colon cancer) and DU145 (prostate cancer). Among these, 1-(3,5-bistrifluoromethylphenyl)-3-(thiazol-2-yl)thiourea (7i) and 1-(4-trifluoromethylphenyl)-3-(4-(3-chlorophenyl)thiazol-2-yl)thiourea (11h) demonstrated significant antimicrobial activity against M. luteus, S. aureus, S. aureus 1 and C. albicans. Additionally, 1-(4-(3-chlorophenyl)thiazol-2-yl)-3-(3-trifluoromethylphenyl)thiourea (9g) and 1-(4-trifluoromethylphenyl)-3-(4-(2-fluorophenyl)thiazol-2-yl)thiourea (11g) showed activity against Mycobacterium smegmatis. The bioassay tests indicated that many of the thiourea derivatives exhibited moderate activity against the A549, HeLa, MCF-7 and HCT116 cancer cell lines. Full article
(This article belongs to the Special Issue Pharmaceutical Applications of Heterocyclic Compounds)
Show Figures

Figure 1

19 pages, 10734 KB  
Article
Three-Dimensional Tumor Spheroids Reveal B7-H3 CAR T Cell Infiltration Dynamics and Microenvironment-Induced Functional Reprogramming in Solid Tumors
by Feng Chen, Ke Ning, Yuanyuan Xie, Xiaoyan Yang, Ling Yu and Xinhui Wang
Cells 2026, 15(2), 169; https://doi.org/10.3390/cells15020169 - 16 Jan 2026
Viewed by 116
Abstract
Chimeric antigen receptor (CAR) T cell therapy has demonstrated clinical success in hematologic malignancies but has limited efficacy in solid tumors due to tumor microenvironment (TME) barriers that impede CAR T cell recognition, infiltration, and sustained function. Traditional 2D assays inadequately recapitulate these [...] Read more.
Chimeric antigen receptor (CAR) T cell therapy has demonstrated clinical success in hematologic malignancies but has limited efficacy in solid tumors due to tumor microenvironment (TME) barriers that impede CAR T cell recognition, infiltration, and sustained function. Traditional 2D assays inadequately recapitulate these constraints, necessitating improved in vitro models. This study validated a 3D tumor spheroid platform using an agarose microwell system to generate uniform B7-H3-positive spheroids from multiple solid tumor cell lines, enabling the evaluation of CAR T cell activity. TME-relevant immune modulation under 3D conditions was analyzed by flow cytometry for B7-H3, MHC I/II, and antigen processing machinery (APM), followed by co-culture with B7-H3 CAR T cells to assess cytotoxicity, spheroid integrity, tumor viability, and CAR T cell activation, exhaustion, and cytokine production. Two human cancer-cell-line-derived spheroids, DU 145 (prostate cancer) and SUM159 (breast cancer), retained B7-H3 expression, while MC38 (mouse colon cancer)-derived spheroids served as a B7-H3 negative control. Under 3D culture conditions, DU 145 and SUM159 spheroids acquire TME-like immune evasion characteristics and specifically downregulated MHC-I and APM (TAP1, TAP2, LMP7) with concurrent upregulation of MHC-II and calreticulin. Co-culture showed effective spheroid infiltration, cytotoxicity, and structural disruption, with infiltrating CAR T cells displaying higher CD4+ fraction, activation, exhaustion, effector/terminal differentiation, and IFN-γ/TNF-α production. This 3D platform recapitulates critical TME constraints and provides a cost-effective, feasible preclinical tool to assess CAR T therapies beyond conventional 2D assays. Full article
(This article belongs to the Section Cell Methods)
Show Figures

Figure 1

24 pages, 4414 KB  
Article
Investigating the Molecular Mechanisms of the Anticancer Effects of Eugenol and Cinnamaldehyde Against Colorectal Cancer (CRC) Cells In Vitro
by Alberto Bernacchi, Maria Chiara Valerii, Renato Spigarelli, Nikolas Kostantine Dussias, Fernando Rizzello and Enzo Spisni
Int. J. Mol. Sci. 2026, 27(2), 649; https://doi.org/10.3390/ijms27020649 - 8 Jan 2026
Viewed by 172
Abstract
Colorectal cancer is one of the leading causes of cancer-associated mortality, and multifactorial resistance remains one of the main challenges in its treatment. Essential oils and their main compounds show interesting anticancer properties, but their mechanism of action is yet to be defined. [...] Read more.
Colorectal cancer is one of the leading causes of cancer-associated mortality, and multifactorial resistance remains one of the main challenges in its treatment. Essential oils and their main compounds show interesting anticancer properties, but their mechanism of action is yet to be defined. This study aims to assess the cytotoxic effects of eugenol (EU) and cinnamaldehyde (CN) on colorectal cancer (CRC) cells, highlighting possible mechanisms of action. These compounds were tested on normal immortalized colonocytes (NCM-460) and two CRC cell lines: Caco-2, a human colon epithelial adenocarcinoma cell line, and SW-620, colon cancer cells derived from a lymph node metastatic site. The efficacy of EU and CN was evaluated through CellTiter-Glo® and clonogenic assays and by determining proinflammatory cytokine secretion. Transcriptome analysis was used to identify possible pathways affected by EU and CN treatments. The results confirmed that EU and CN were selectively cytotoxic and pro-apoptotic against CRC cells, with different putative mechanisms. While EU drove cytotoxicity through robust transcriptional remodeling, CN yielded a stronger anti-inflammatory action. We confirmed that EU and CN are promising natural candidates in CRC prevention and treatment, even in association with chemotherapeutic drugs. Full article
Show Figures

Figure 1

17 pages, 2988 KB  
Article
Citrus limon Peel Extract Modulates Redox Enzymes and Induces Cytotoxicity in Human Gastric Cancer Cells
by Rosarita Nasso, Rosario Rullo, Antonio D’Errico, Pierluigi Reveglia, Lucia Lecce, Annarita Poli, Paola Di Donato, Gaetano Corso, Emmanuele De Vendittis, Rosaria Arcone and Mariorosario Masullo
Int. J. Mol. Sci. 2026, 27(2), 598; https://doi.org/10.3390/ijms27020598 - 7 Jan 2026
Viewed by 172
Abstract
Gastric cancer remains a leading cause of cancer-related mortality worldwide. Citrus fruits are rich in polyphenols, exerting antioxidant and chemo-preventive activities, and lemon peel represents a valuable source of such bioactive compounds. Previous studies showed that Citrus limon peel extracts (LPE) inhibited the [...] Read more.
Gastric cancer remains a leading cause of cancer-related mortality worldwide. Citrus fruits are rich in polyphenols, exerting antioxidant and chemo-preventive activities, and lemon peel represents a valuable source of such bioactive compounds. Previous studies showed that Citrus limon peel extracts (LPE) inhibited the activity of some enzymes of the antioxidant system and reduced the interleukin-6-dependent invasiveness of gastric and colon cancer cells. In the present study, we have investigated the effects of LPE on the human gastric adenocarcinoma AGS and MKN-28 cells and on the activity of a crucial redox enzyme, catalase (CAT). Indeed, LPE significantly reduced the cell viability and clonogenic potential of the gastric cancer cells and induced morphological changes indicative of cytotoxicity. Moreover, LPE modulated the intracellular redox homeostasis by decreasing levels of the hydrogen peroxide-related reactive oxygen species (ROS) while increasing those of superoxide anions and decreasing levels of superoxide dismutases (SODs). Western blotting analysis revealed that LPE downregulated CAT, SOD-1, SOD-2, and monoamine oxidase A (MAO-A) protein expression level in both cell lines. Finally, the extract inhibited CAT activity in a dose-dependent manner (IC50 = 0.008 ± 0.003 mg/mL; Ki = 0.012 ± 0.002 mg/mL). These findings indicate that LPE exerts cytotoxic and redox-modulating effects through the inhibition of antioxidant enzymes and the alteration of ROS balance. Therefore, the agro-industrial by-product LPE could be considered as a promising natural source of polyphenolic compounds with potential applications in the prevention and therapy of gastric cancer. Full article
Show Figures

Figure 1

15 pages, 317 KB  
Article
Potato Protein-Based Vegan Burgers: Discovering the Health-Promoting Benefits and Impact on the Intestinal Microbiome
by Przemysław Łukasz Kowalczewski, Małgorzata Gumienna, Paweł Jeżowski, Michał Świątek, Barbara Górna-Szweda, Iga Rybicka, Millena Ruszkowska, Maciej Ireneusz Kluz and Matteo Bordiga
Nutrients 2026, 18(1), 160; https://doi.org/10.3390/nu18010160 - 3 Jan 2026
Viewed by 503
Abstract
Introduction: The increasing global interest in plant-based diets has led to the development of innovative meat analogs that not only mimic the sensory properties of traditional products but may also offer potential health benefits. In this study, we investigated the nutritional characteristics and [...] Read more.
Introduction: The increasing global interest in plant-based diets has led to the development of innovative meat analogs that not only mimic the sensory properties of traditional products but may also offer potential health benefits. In this study, we investigated the nutritional characteristics and biological activity of potato protein-based vegan burgers (PBBs) enriched with plant-derived iron and fiber sources. Methods: The burgers were subjected to in vitro gastrointestinal digestion, followed by evaluation of their cytotoxic potential against human intestinal cancer cell lines (Caco-2 and HT-29) and normal colon epithelial cells (CCD 841 CoN). Additionally, their influence on the intestinal microbiota composition and enzymatic activity of β-glucosidase and β-glucuronidase was assessed. Results: PBBs demonstrated favorable nutritional profiles, high protein and fiber contents, and a balanced fatty acid ratio (n-6/n-3). After digestion, bioaccessible fractions showed selective cytotoxicity toward cancer cells, while maintaining safety for normal intestinal cells. Furthermore, PBBs modulated the gut microbiota by promoting the growth of beneficial genera (Lactobacillus, Bifidobacterium) and reducing potentially harmful Enterobacteriaceae, accompanied by decreased β-glucuronidase activity. Conclusions: These findings suggest that potato protein-based burgers could represent a functional plant-based alternative to conventional meat products, contributing to intestinal health and potentially reducing colorectal cancer risk. Full article
(This article belongs to the Special Issue Plant-Based Diets Regulate Antioxidant-Inflammatory Balance)
3 pages, 1745 KB  
Correction
Correction: Almutairi et al. The Expression Patterns of Human Cancer-Testis Genes Are Induced through Epigenetic Drugs in Colon Cancer Cells. Pharmaceuticals 2022, 15, 1319
by Mikhlid H. Almutairi, Turki M. Alrubie, Bader O. Almutairi, Abdullah M. Alamri, Abdulwahed F. Alrefaei, Maha M. Arafah, Mohammad Alanazi and Abdelhabib Semlali
Pharmaceuticals 2026, 19(1), 82; https://doi.org/10.3390/ph19010082 - 31 Dec 2025
Viewed by 179
Abstract
In the original publication [...] Full article
Show Figures

Figure 1

28 pages, 5209 KB  
Article
Colorectal Air–Liquid Interface Organoids Preserve Tumour-Immune Architecture and Reveal Local Treg Expansion After PD-1 Blockade
by Laura Córdoba, Francisco J. Cueto, Ramón Cantero-Cid, Rebeca Abad-Moret, Esteban Díaz, Jaime Álvarez-Benayas, Jesús Fernández-Felipe, Jesús Jiménez-Rodríguez, Daniel Arvelo-Rosario, Pablo Mata-Martínez, Marina Arranz-Álvarez, Yaiza Pedroche-Just, Sandra Nieto-Torrero, Jaime Valentín-Quiroga, Verónica Terrón-Arcos, Jaime Fernández-Pascual, Paloma Gómez-Campelo, Nieves Cubo-Mateo, Olivia Fernández-Medina, Laura Hurtado-Navarro, Gonzalo Sáenz de Santa María, Julia del Prado-Montero, Agustín L. Santos, Roberto Lozano-Rodríguez, Carlos del Fresno and Eduardo López-Collazoadd Show full author list remove Hide full author list
Cancers 2026, 18(1), 132; https://doi.org/10.3390/cancers18010132 - 30 Dec 2025
Viewed by 723
Abstract
Background/Objectives: Interactions between colorectal tumours and their immune microenvironment critically influence disease progression and response to immunotherapy. However, most organoid systems fail to preserve the complex architecture and immune composition of the original tissue. Here, we applied the air–liquid interface (ALI) organoid model [...] Read more.
Background/Objectives: Interactions between colorectal tumours and their immune microenvironment critically influence disease progression and response to immunotherapy. However, most organoid systems fail to preserve the complex architecture and immune composition of the original tissue. Here, we applied the air–liquid interface (ALI) organoid model to paired tumour and perilesional colon tissues from colorectal cancer patients to evaluate its ability to retain immune and genetic features and to reproduce responses to chemotherapy and immune checkpoint blockade. Methods: Fresh human tumour and matched healthy colon tissues were processed to generate ALI organoids. Their histological organization, immune cell composition (including CD45+ subsets), and genomic profiles were compared with those of the parental tissues and with conventional Matrigel organoids, either alone or co-cultured with peripheral blood mononuclear cells (PBMCs). Organoids were exposed to 5-FU and nivolumab (anti–PD-1) to assess local immune modulation. Results: ALI organoids faithfully preserved the three-dimensional architecture, native immune infiltrates, and somatic mutational landscape of the source tissues. Importantly, upon PD-1 blockade with nivolumab, ALI organoids consistently exhibited a local expansion of regulatory T cells (Tregs), a phenomenon that could contribute to adaptive immune resistance. This response was not reproduced in PBMC–Matrigel co-culture systems, highlighting the importance of preserving endogenous tumour–immune interactions. Conclusions: Patient-derived ALI organoids represent a physiologically relevant platform that conserves key structural, immunological, and genomic hallmarks of colorectal cancer. By capturing clinically relevant immune remodeling events, such as Treg expansion following PD-1 blockade, this model provides a powerful tool for dissecting tumour–immune interactions. Full article
Show Figures

Graphical abstract

22 pages, 2136 KB  
Review
Anticancer Mechanisms of Bioactive Compounds from Sweet Potato (Ipomoea batatas L.) Leaves: A Systematic Review
by Saleh Shafique Chowdhury, Muhammad Abul Kalam Azad, Nanziba Ibnat and Shahidul Islam
Foods 2026, 15(1), 93; https://doi.org/10.3390/foods15010093 - 29 Dec 2025
Viewed by 516
Abstract
Sweet potato leaves (SPL) are increasingly recognized as a significant source of nutritionally and pharmacologically important bioactive compounds. This systematic review critically synthesizes current in vitro, in vivo, and preclinical data to evaluate the cancer preventive properties of SPL, with emphasis on their [...] Read more.
Sweet potato leaves (SPL) are increasingly recognized as a significant source of nutritionally and pharmacologically important bioactive compounds. This systematic review critically synthesizes current in vitro, in vivo, and preclinical data to evaluate the cancer preventive properties of SPL, with emphasis on their phytochemical composition, molecular mechanisms, and therapeutic relevance. A comprehensive literature search across major scientific databases (2015–2025), guided by PRISMA methodology, initially identified 29,416 records. After applying pre-specified inclusion and exclusion criteria and screening titles, abstracts, and full-texts, 38 eligible studies were included. The compiled evidence demonstrates that SPL contains high concentrations of phenolic acids, flavonoids, peptides, carotenoids, and dietary fiber, all of which contribute to diverse anticancer activities. Reported mechanisms include apoptosis induction, cell-cycle arrest, limitation of tumor propagation and metastatic activity, regulation of oncogenic pathways (PI3K/Akt, MAPK, NF-κB), modulation of inflammatory mediators, and suppression of angiogenesis. These effects were observed across multiple cancer models, including liver, colon, breast, lung, and prostate cancers. In addition, SPL represents a promising natural source of anticancer agents, significant gaps remain, particularly regarding standardized extraction procedures, phytochemical characterization, bioavailability, and human clinical validation. Overall, this review underscores SPL as a sustainable and underutilized plant resource with potential applications in functional foods, nutraceuticals, and adjunctive cancer therapy, while highlighting the need for mechanistic studies, pharmacokinetic investigations, and well-designed clinical trials to support future translational development. Full article
Show Figures

Graphical abstract

1 pages, 129 KB  
Retraction
RETRACTED: Tarawneh et al. Berberine Inhibited Growth and Migration of Human Colon Cancer Cell Lines by Increasing Phosphatase and Tensin and Inhibiting Aquaporins 1, 3 and 5 Expressions. Molecules 2023, 28, 3823
by Noor Tarawneh, Lama Hamadneh, Bashaer Abu-Irmaileh, Ziad Shraideh, Yasser Bustanji and Shtaywy Abdalla
Molecules 2026, 31(1), 112; https://doi.org/10.3390/molecules31010112 - 29 Dec 2025
Viewed by 271
Abstract
The journal retracts the article “Berberine Inhibited Growth and Migration of Human Colon Cancer Cell Lines by Increasing Phosphatase and Tensin and Inhibiting Aquaporins 1, 3 and 5 Expressions” [...] Full article
19 pages, 3708 KB  
Article
Comparative Bioactivities and Fatty Acid Composition of Pinus koraiensis Leaf Oils Obtained Using Different Extraction Methods
by Jung-Eun Kim, Kyung Tae Jang, Leeseon An, Min-Ho Lee and Hyo-Jeong Lee
Life 2026, 16(1), 49; https://doi.org/10.3390/life16010049 - 27 Dec 2025
Viewed by 262
Abstract
Pinus koraiensis leaves are known for various bioactivities, including anti-cancer, anti-obesity, anti-diabetic, and anti-hyperlipidemic effects. This study aimed to compare the essential oil from P. koraiensis leaves (EPO) and the supercritical-CO2-extracted oil (SPO) for physicochemical traits, antibacterial and anticancer activities, and [...] Read more.
Pinus koraiensis leaves are known for various bioactivities, including anti-cancer, anti-obesity, anti-diabetic, and anti-hyperlipidemic effects. This study aimed to compare the essential oil from P. koraiensis leaves (EPO) and the supercritical-CO2-extracted oil (SPO) for physicochemical traits, antibacterial and anticancer activities, and anti-inflammatory/antioxidant effects, and profiled fatty acids by means of GC-MS. SPO showed stronger antimicrobial activity than EPO against Streptococcus mutans, whereas EPO was more active against Candida albicans. In HaCaT keratinocytes and THP-1 monocytic cell line, SPO more effectively suppressed LPS-induced ROS and attenuated TNF-α and IL-6 upregulation. Across a panel of human cancer cell lines, SPO exerted greater cytotoxicity, particularly in non–small cell lung, prostate, and colon cancers. GC–MS revealed greater compositional diversity in SPO (16 fatty acids, 10 unique), while linolelaidic acid was detected only in EPO; pentadecenoic acid was abundant in all oils. Collectively, SPO demonstrates broader bioactivity and richer fatty-acid diversity than EPO, supporting its potential as a functional food or medicinal ingredient. Full article
Show Figures

Figure 1

14 pages, 2054 KB  
Article
A Tissue Renewal-Based Mechanism Drives Colon Tumorigenesis
by Ryan M. Boman, Gilberto Schleiniger, Christopher Raymond, Juan Palazzo, Anne Shehab and Bruce M. Boman
Cancers 2026, 18(1), 44; https://doi.org/10.3390/cancers18010044 - 23 Dec 2025
Viewed by 232
Abstract
Our Goal is to identify how colorectal cancer (CRC) arises in the single-layered cell epithelium (simple columnar epithelium) that lines the luminal surface of the large intestine. Background: We recently reported that the dynamic organization of cells in colonic epithelium is encoded by [...] Read more.
Our Goal is to identify how colorectal cancer (CRC) arises in the single-layered cell epithelium (simple columnar epithelium) that lines the luminal surface of the large intestine. Background: We recently reported that the dynamic organization of cells in colonic epithelium is encoded by five biological rules and conjectured that colon tumorigenesis involves an autocatalytic tissue renewal reaction. Introduction Our objective was to define how altered crypt turnover explains tissue disorganization that leads to adenoma morphogenesis and CRC. Hypothesis: Changes in rate of tissue renewal-based cell polymerization leads to epithelial expansion and tissue disorganization during adenoma histogenesis. Methods: Accordingly, we created a computational model that considers the structure of colonic epithelium to be a polymer of cells and that tissue renewal is autocatalytic. Indeed, self-renewal of stem cells in colonic crypts continuously produces cells that act like monomers to form a polymer of cells (an interconnected, continuous cell sheet) in a polymerization-based process. Our model is a system of nonlinear differential equations that simulates changes in human crypt cell population dynamics. Results: We investigated how changes occur in the proportion of different cell types during adenoma development in FAP patients. The results show premalignant colonic crypts have a decreased rate of tissue renewal due to APC-mutation. Discussion: This slower rate of cell polymerization causes a rate-limiting step in the crypt renewal process that expands the proliferative cell population size. Conclusions: Our findings provide a mechanism that explains how a prolonged rate of crypt renewal leads to tissue disorganization with local epithelial expansion, infolding, and contortion during adenoma morphogenesis.: Full article
(This article belongs to the Special Issue Recent Advances in Basic and Clinical Colorectal Cancer Research)
Show Figures

Graphical abstract

44 pages, 1766 KB  
Review
On the Role of Food in the Transmission of Helicobacter pylori Infection: A Narrative Review
by Markus Schuppler
Foods 2025, 14(24), 4325; https://doi.org/10.3390/foods14244325 - 15 Dec 2025
Viewed by 1435
Abstract
Helicobacter pylori is one of the most common human pathogens, infecting up to 50% of the global population. The bacterium colonizes the mucus layer overlying gastric epithelial cells and causes chronic infection, which can lead to peptic ulcers, lymphoma, and gastric cancer. Epidemiological [...] Read more.
Helicobacter pylori is one of the most common human pathogens, infecting up to 50% of the global population. The bacterium colonizes the mucus layer overlying gastric epithelial cells and causes chronic infection, which can lead to peptic ulcers, lymphoma, and gastric cancer. Epidemiological studies showed that regions with poor sanitation have higher prevalence rates of H. pylori, suggesting possible environmental or food-related transmission routes in addition to the well-established person-to-person pathways. This assumption is supported by the detection of H. pylori and/or its DNA in a variety of food. Experimental studies further demonstrate that H. pylori can survive in food with certain properties, such as milk, meat, and vegetables, suggesting that such products may serve as potential reservoirs. However, reliable detection of H. pylori in food remains challenging due to its fastidious nature, the ability to enter a viable but non-culturable state, and methodological limitations. While the presence of bacterial DNA and survival across food matrices make foodborne transmission biologically plausible, direct and conclusive proof that ingestion of contaminated food leads to infection is still lacking. Hence, person-to-person transmission currently remains the most firmly established route of transmission. Taken together, the current findings provide substantial indirect evidence that food, particularly under conditions of poor hygiene, may provide a reservoir or vehicle for H. pylori transmission. However, further research is needed to definitively clarify the role of food in the transmission of H. pylori infection and identify appropriate measures to promote public health. Full article
(This article belongs to the Special Issue Feature Reviews on Food Microbiology)
Show Figures

Figure 1

Back to TopTop