Sign in to use this feature.

Years

Between: -

Subjects

remove_circle_outline
remove_circle_outline
remove_circle_outline
remove_circle_outline
remove_circle_outline
remove_circle_outline
remove_circle_outline
remove_circle_outline

Journals

remove_circle_outline
remove_circle_outline
remove_circle_outline
remove_circle_outline
remove_circle_outline
remove_circle_outline

Article Types

Countries / Regions

Search Results (219)

Search Parameters:
Keywords = hemisphere resonator

Order results
Result details
Results per page
Select all
Export citation of selected articles as:
16 pages, 1815 KB  
Article
A Comprehensive Error Modeling and On-Field Calibration Method for HRG SINS by Tumbling the Hexahedron
by Yuanxi Li, Zhennan Wei, Shunqing Ren and Qingshuang Zeng
Sensors 2025, 25(24), 7645; https://doi.org/10.3390/s25247645 - 17 Dec 2025
Viewed by 324
Abstract
On-field calibration for SINS often uses right hexahedron, but the influence of the structure errors, such as mutual position tolerances towards parallelism or the perpendicularity of two arbitrary planes of the hexahedron, on the calibration accuracy is often neglected. In this paper, a [...] Read more.
On-field calibration for SINS often uses right hexahedron, but the influence of the structure errors, such as mutual position tolerances towards parallelism or the perpendicularity of two arbitrary planes of the hexahedron, on the calibration accuracy is often neglected. In this paper, a hexahedron structure error model and a comprehensive corresponding SINS calibration error model are developed based on hemispherical resonator gyroscope (HRGs). The proposed method introduces the comprehensive hexahedron errors through defining the normal vectors of the exterior surfaces of the hexahedron. A 24-position calibration scheme is designed to identify accelerometer-related errors, while a 48-rotation scheme is developed to identify gyro-related errors. The complete calibration procedure enables simultaneous identification of hexahedron structure errors, installation misalignments, scale factor errors, and biases. Experimental validation is conducted using a high-precision three-axis turntable, which simulates the hexahedron structure errors. The results show that the proposed method significantly improves the calibration accuracy of both accelerometers and HRGs compared with traditional methods. Furthermore, it reduces the accuracy requirements for the hexahedron structure, thus lowering the cost of SINS on-field calibration. Full article
(This article belongs to the Section Navigation and Positioning)
Show Figures

Figure 1

20 pages, 2289 KB  
Case Report
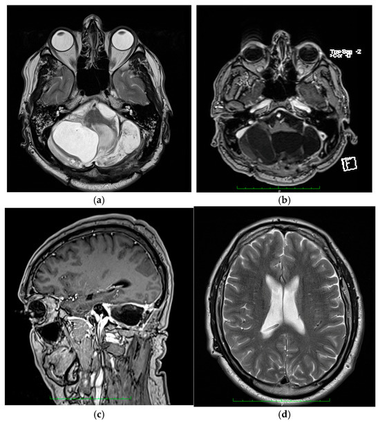
Anatomically Precise Microsurgical Resection of a Posterior Fossa Cerebellar Metastasis in an Elderly Patient with Preservation of Venous Outflow, Dentate Nucleus, and Cerebrospinal Fluid Pathways
by Nicolaie Dobrin, Felix-Mircea Brehar, Daniel Costea, Adrian Vasile Dumitru, Alexandru Vlad Ciurea, Octavian Munteanu and Luciana Valentina Munteanu
Diagnostics 2025, 15(24), 3131; https://doi.org/10.3390/diagnostics15243131 - 9 Dec 2025
Viewed by 498
Abstract
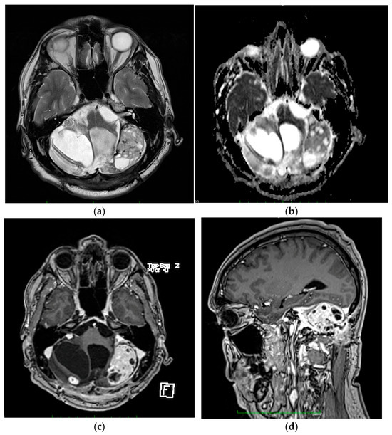
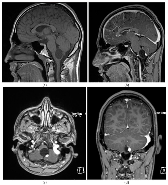
Background and Clinical Significance: Adults suffering from cerebellar metastases are often at high risk for rapid deterioration of their neurological status because the posterior fossa has limited compliance and the location of these metastases are close to the brain stem and important [...] Read more.
Background and Clinical Significance: Adults suffering from cerebellar metastases are often at high risk for rapid deterioration of their neurological status because the posterior fossa has limited compliance and the location of these metastases are close to the brain stem and important cerebrospinal fluid (CSF) pathways. In this paper, we present a longitudinal, patient-centered report on the history of an elderly individual who suffered from cognitive comorbidities and experienced a sudden loss of function in her cerebellum. Our goal in reporting this case is to provide a comparison between the patient’s pre-operative and post-operative neurological examinations; the imaging studies she had before and after surgery; the surgical techniques utilized during her operation; and the outcome of her post-operative course in a way that will be helpful to other patients who have experienced a similar situation. Case Presentation: We report the case of an 80-year-old woman who initially presented with progressive ipsilateral limb-trunk ataxia, impaired smooth pursuit eye movement, and rebound nystagmus, but preserved pyramidal and sensory functions. Her quantitative bedside assessments included some of the components of the Scale for the Assessment and Rating of Ataxia (SARA), and a National Institute of Health Stroke Scale (NIHSS) score of 3. These findings indicated dysfunction of the left neocerebellar hemisphere and possible dentate nucleus involvement. The patient’s magnetic resonance imaging (MRI) results demonstrated an expansive mass with surrounding vasogenic edema and marked compression and narrowing of the exits of the fourth ventricle which placed the patient’s CSF pathways at significant risk of occlusion, while the aqueduct and inlets were patent. She then underwent a left lateral suboccipital craniectomy with controlled arachnoidal CSF release, preservation of venous drainage routes, subpial corticotomy oriented along the lines of the folia, stepwise internal debulking, and careful protection of the cerebellar peduncles and dentate nucleus. Dural reconstruction utilized a watertight pericranial graft to restore the cisternal compartments. Her post-operative intensive care unit (ICU) management emphasized optimal venous outflow, normoventilation, and early mobilization. Histopathology confirmed the presence of metastatic carcinoma, and staging suggested that the most likely source of the primary tumor was the lungs. Immediately post-operation, computed tomography (CT) imaging revealed a smooth resection cavity with open foramina of Magendie and Luschka, intact contours of the brain stem, and no evidence of bleeding or hydrocephalus. The patient’s neurological deficits, including dysmetria, scanning dysarthria, and ataxic gait, improved gradually during the first 48 h post-operatively. Upon discharge, the patient demonstrated an improvement in her limb-kinetic subscore on the International Cooperative Ataxia Rating Scale (ICARS) and demonstrated independent ambulation. At two weeks post-operation, CT imaging revealed decreasing edema and stable cavity size, and the patient’s modified Rankin scale had improved from 3 upon admission to 1. There were no episodes of CSF leakage, wound complications, or new cranial nerve deficits. A transient post-operative psychotic episode that was likely secondary to her underlying Alzheimer’s disease was managed successfully with short-course pharmacotherapy. Conclusions: The current case study demonstrates the value of anatomy-based microsurgical planning, preservation of venous and CSF pathways, and targeted peri-operative management to facilitate rapid recovery of function in older adults who suffer from cerebellar metastasis and cognitive comorbidities. The case also demonstrates the importance of early multidisciplinary collaboration to allow for timely initiation of both adjuvant stereotactic radiosurgery and molecularly informed systemic therapy. Full article
(This article belongs to the Special Issue Brain/Neuroimaging 2025–2026)
Show Figures

Figure 1

11 pages, 1025 KB  
Article
Frontal Delta Dissimilarity During Moral Persuasion: Insight from an EEG Hyperscanning Study
by Roberta A. Allegretta, Angelica Daffinà and Michela Balconi
Brain Sci. 2025, 15(12), 1302; https://doi.org/10.3390/brainsci15121302 - 2 Dec 2025
Viewed by 584
Abstract
Background/Objectives: Persuasive communication in moral decision-making contexts involves complex emotional and cognitive processes. This study aimed to investigate electrophysiological (EEG) dissimilarity between individuals during a persuasive interaction on a moral dilemma. Methods: Participants were paired into 14 dyads in which a [...] Read more.
Background/Objectives: Persuasive communication in moral decision-making contexts involves complex emotional and cognitive processes. This study aimed to investigate electrophysiological (EEG) dissimilarity between individuals during a persuasive interaction on a moral dilemma. Methods: Participants were paired into 14 dyads in which a member assumed the role of Persuasive Agent (PA) and the other of Persuasion Target (PT), discussing a moral decision-making scenario while their neural activity was recorded through an EEG hyperscanning paradigm. Dyads were later categorized based on perceived viewpoint change (high, mixed, low), and dissimilarity within dyads in EEG bands was analyzed across frontal, temporo-central, and parieto-occipital regions in left and right hemispheres. Results: Results showed a significant increase in frontal delta-band dissimilarity in mixed dyads, compared to temporo-central and parieto-occipital areas. The greater frontal delta dissimilarity in mixed dyads likely reflects divergent emotional and motivational engagement during persuasion. Specifically, individuals who changed their viewpoint may have exhibited stronger emotional resonance and attentional engagement compared to their partner. Conclusions: The study advances understanding of the neural mechanisms underlying persuasion in morally charged contexts and offers new insights into dyadic brain dynamics during complex social exchanges. Full article
Show Figures

Figure 1

9 pages, 1248 KB  
Case Report
Progressive Unilateral Moyamoya-like Vasculopathy After Head Trauma with Chronic Subdural Hematoma: A Case Demonstrating the Utility of Anterior Circulation Basi-Parallel Anatomical Scanning
by Shinya Watanabe, Yasushi Shibata and Eiichi Ishikawa
Neurol. Int. 2025, 17(12), 191; https://doi.org/10.3390/neurolint17120191 - 26 Nov 2025
Viewed by 377
Abstract
Background: Moyamoya syndrome is a moyamoya-like cerebrovascular condition associated with an identifiable underlying condition. Although head trauma has historically been considered a possible contributing factor, it is currently excluded from the Japanese diagnostic criteria. We report a rare case of progressive unilateral [...] Read more.
Background: Moyamoya syndrome is a moyamoya-like cerebrovascular condition associated with an identifiable underlying condition. Although head trauma has historically been considered a possible contributing factor, it is currently excluded from the Japanese diagnostic criteria. We report a rare case of progressive unilateral moyamoya-like vasculopathy that developed on the ipsilateral chronic subdural hematoma (CSDH) following head trauma, with a decade-long imaging follow-up. Anterior circulation basi-parallel anatomical scanning (BPAS) provided unique insights into the progressive vessel narrowing beyond the vascular lumen, suggesting its potential utility in evaluating such rare vasculopathies. Case Presentation: A 40-year-old man developed a left-sided CSDH after head trauma and underwent burr hole drainage. Although his symptoms resolved, serial magnetic resonance angiography (MRA) over the subsequent 10 years revealed progressive stenosis of the left middle cerebral artery (MCA), ultimately culminating in an occlusion-like appearance. BPAS revealed moyamoya-like collateral vessels in the same hemisphere, a significant reduction in the outer diameter of the left MCA, supporting the presence of structural arterial wall changes that were not apparent on conventional MRA. Single-photon emission computed tomography revealed mildly reduced cerebral blood flow on the affected side, with a difference of less than 5% compared to non-affected side. He remained neurologically non-symptomatic, with no history of transient ischemic attacks or overt ischemic stroke. Conclusions: This case highlights a rare clinical course of progressive ipsilateral moyamoya-like vascular changes following head trauma and burr-hole drainage for CSDH, potentially indicating an association between head trauma, CSDH, and subsequent moyamoya-like collateral vessel development, warranting further investigation. The use of the anterior circulation BPAS contributed to the detection of structural arterial changes that were not apparent on conventional MRA, suggesting its potential utility in evaluating such vascular abnormalities. Full article
(This article belongs to the Section Brain Tumor and Brain Injury)
Show Figures

Graphical abstract

18 pages, 2686 KB  
Article
SAR-Constrained Wireless Power Transfer Modeling for an Implantable Optical Neurostimulator Sensors
by So-Hyun Cho, Tahsin Nairuz and Jong-Ha Lee
Sensors 2025, 25(23), 7168; https://doi.org/10.3390/s25237168 - 24 Nov 2025
Viewed by 564
Abstract
This study investigates the optimal operating conditions for an implantable photonic stimulation device, focusing on energy delivery efficiency and electromagnetic safety in biological tissue. COMSOL Multiphysics simulations were conducted to evaluate key light source parameters, including wavelength, output power, and incident angle. A [...] Read more.
This study investigates the optimal operating conditions for an implantable photonic stimulation device, focusing on energy delivery efficiency and electromagnetic safety in biological tissue. COMSOL Multiphysics simulations were conducted to evaluate key light source parameters, including wavelength, output power, and incident angle. A transmitting RF coil was designed at a 1.35 MHz resonance frequency for wireless power transfer (WPT), and its resonant characteristics were analyzed using inductance and capacitance values. Specific Absorption Rate (SAR) simulations were performed with a 10 g hemispherical averaging region following international safety standards. Results showed that light absorption was maximized in the cerebellum and cerebrospinal fluid at a wavelength of 660 nm, with a 20° incident angle enabling the deepest tissue penetration. In vascular reflectance analysis, 660 nm wavelength produced the largest reflectance variation (∆R) across cardiac cycles and the lowest overall reflectance, indicating its suitability for optical biosignal detection and neural stimulation. SAR analysis demonstrated an average value of 0.0074 W/kg and a peak value of 0.82 W/kg, both substantially below the 2 W/kg safety threshold. These findings confirm that the proposed device design meets optical performance and biocompatibility requirements, highlighting its potential as a next-generation platform for precision phototherapy and future neurotherapeutic applications. Full article
(This article belongs to the Section Physical Sensors)
Show Figures

Figure 1

9 pages, 5779 KB  
Case Report
Extracranial Vertebral Artery Dissecting Aneurysm Presenting as Vertebrobasilar Stroke in a Young Adult: Case Report of Flow-Diverter Stenting
by Maria Angelica-Coronel, Melissa Luque-Llano, Narledis Nuñez-Bravo, Carlos Rebolledo and Ernesto Barceló-Martínez
Neurol. Int. 2025, 17(11), 187; https://doi.org/10.3390/neurolint17110187 - 18 Nov 2025
Viewed by 651
Abstract
Background: Extracranial vertebral artery aneurysms (EVAAs) are exceptionally rare vascular lesions and an uncommon cause of posterior circulation stroke. Their diagnosis is often delayed due to nonspecific symptoms, yet prompt recognition is essential to guide management. Objective: This study aimed to [...] Read more.
Background: Extracranial vertebral artery aneurysms (EVAAs) are exceptionally rare vascular lesions and an uncommon cause of posterior circulation stroke. Their diagnosis is often delayed due to nonspecific symptoms, yet prompt recognition is essential to guide management. Objective: This study aimed to report a rare case of an extracranial vertebral artery dissecting aneurysm presenting as a posterior circulation stroke in a young adult, successfully managed with flow-diverter stenting. Clinical Case: A 33-year-old woman presented with sudden-onset dysarthria, vertigo, nausea, and vomiting. Brain magnetic resonance imaging revealed infarcts in the left occipital lobe, cerebellar peduncle, and both cerebellar hemispheres. Computed tomography angiography (CTA) demonstrated a fusiform aneurysm in the V2 segment of the left vertebral artery, and digital subtraction angiography (DSA) confirmed a dissecting aneurysm. The patient was successfully treated with a flow-diverting stent and remained stable at 6 months’ follow-up with mRS 1. Results: EVAA are uncommon but can manifest as posterior circulation ischemic events in young patients. Endovascular treatment with flow-diverting stents has been reported as a feasible option in selected cases, although evidence remains limited to case reports and small series. Conclusions: This case underscores the importance of considering rare yet potentially treatable etiologies of vertebrobasilar stroke in young patients and highlights the value of a multidisciplinary approach to management. Full article
(This article belongs to the Special Issue Innovations in Acute Stroke Treatment, Neuroprotection, and Recovery)
Show Figures

Graphical abstract

22 pages, 3056 KB  
Article
High-Precision Simulation Analysis of Modal Characteristic Parameters of Hemispherical Resonator
by Yuqian Zhao, Qingheng Liu, Junfeng Liu, Wenhui Chen and Nan Huang
Appl. Sci. 2025, 15(22), 11904; https://doi.org/10.3390/app152211904 - 9 Nov 2025
Viewed by 496
Abstract
As a high-precision inertial device, the hemispherical resonant gyroscope (HRG) has found widespread application in critical domains including aerospace and tactical weapons, owing to its advantages of high precision, simple structure, and long service life. However, the machining form and position errors of [...] Read more.
As a high-precision inertial device, the hemispherical resonant gyroscope (HRG) has found widespread application in critical domains including aerospace and tactical weapons, owing to its advantages of high precision, simple structure, and long service life. However, the machining form and position errors of the hemispherical resonator—the core component of an HRG—are primary bottlenecks that restrict gyroscopic accuracy. To address the limitations of existing research, which include inadequate simulation accuracy, an incomplete consideration of form and position errors, and an unclear mechanism of the quality factor’s influence, this study employs a methodology comprising theoretical modeling, high-precision finite element simulation, and multi-parameter coupling analysis to undertake an in-depth investigation of the modal characteristics of hemispherical resonators. This work establishes a quantitative correlation linking machining errors to modal characteristics and subsequently to gyroscopic accuracy. This correlation provides critical guidance for controlling machining precision and achieving high-Q (quality factor) designs of hemispherical resonators, thereby offering significant engineering implications for enhancing the overall performance of HRGs. Full article
Show Figures

Figure 1

16 pages, 4758 KB  
Article
An Angle-Dependent Bias Compensation Method for Hemispherical Resonator Gyro Inertial Navigation Systems
by Chao Liu, Qixin Lou, Ding Li, Huiping Li, Tian Lan, Yutao Wu, Hongjie Meng, Jingyu Li, Tao Xia and Xudong Yu
Sensors 2025, 25(21), 6639; https://doi.org/10.3390/s25216639 - 29 Oct 2025
Viewed by 883
Abstract
In the whole-angle mode of a hemispherical resonator gyro (HRG), the external input rotation angle is obtained by detecting the standing-wave rotation angle through electrodes. Due to this operational principle and manufacturing constraints of HRGs, the gyro output in an HRG inertial navigation [...] Read more.
In the whole-angle mode of a hemispherical resonator gyro (HRG), the external input rotation angle is obtained by detecting the standing-wave rotation angle through electrodes. Due to this operational principle and manufacturing constraints of HRGs, the gyro output in an HRG inertial navigation system exhibits angle-dependent errors that are highly sensitive to temperature variations. To address this issue, this paper proposes a system-level calibration scheme to characterize and compensate for these correlated errors. Angle-dependent bias models were established through multi-temperature point experiments. A Kalman filter was subsequently designed, and a calibration path satisfying observability requirements was developed. System-level calibration experiments were conducted to determine and compensate for the identified errors. Finally, navigation experiments demonstrated the effectiveness of the proposed method, showing that the navigation accuracy of the HRG inertial navigation system was improved by up to 94.35%. Full article
(This article belongs to the Section Navigation and Positioning)
Show Figures

Figure 1

17 pages, 2715 KB  
Article
Assessment of Variability in Cerebral Blood Flow and Cerebral Blood Volume in Cerebral Arteries of Ischemic Stroke Patients Using Dynamic Contrast-Enhanced MRI
by Bilal Bashir, Babar Ali, Saeed Alqahtani and Benjamin Klugah-Brown
Tomography 2025, 11(11), 117; https://doi.org/10.3390/tomography11110117 - 22 Oct 2025
Viewed by 997
Abstract
Background/Objectives: Cerebral blood flow (CBF) and cerebral blood volume (CBV) are critical perfusion metrics in diagnosing ischemic stroke. Dynamic contrast-enhanced magnetic resonance imaging (DCE-MRI) enables the evaluation of these cerebral perfusion metrics; however, accurately assessing them remains challenging. This study aimed to: (1) [...] Read more.
Background/Objectives: Cerebral blood flow (CBF) and cerebral blood volume (CBV) are critical perfusion metrics in diagnosing ischemic stroke. Dynamic contrast-enhanced magnetic resonance imaging (DCE-MRI) enables the evaluation of these cerebral perfusion metrics; however, accurately assessing them remains challenging. This study aimed to: (1) assess CBF asymmetry by quantifying and comparing it between contralateral hemispheres (right vs. left) within the MCA, ACA, and PCA territories using paired t-tests, and describe pattern of CBV; (2) evaluate overall inter-territorial regional variations in CBF across the different cerebral arterial territories (MCA, ACA, PCA), irrespective of the hemisphere, using ANOVA; (3) determine the correlation between CBF and CBV using both Pearson’s and Spearman’s correlation analyses; and (4) assess the influence of age and gender on CBF using multiple regression analysis. Methods: A cross-sectional study of 55 ischemic stroke patients was conducted. DCE-MRI was used to measure CBF and CBV. Paired t-tests compared contralateral hemispheric CBF in MCA, PCA, and ACA, one-way ANOVA assessed overall inter-territorial CBF variations, correlation analyses (Pearson/Spearman) evaluated the CBF-CBV relationship, and linear regression modeled demographic effects. Results: Significant contralateral asymmetries in CBF were observed for each cerebral pair of cerebral arteries using a paired t-test, with descriptive asymmetries noted in CBV. Separately, ANOVA revealed significant overall variability in CBF between the different cerebral arteries, irrespective of hemisphere. A strong positive correlation was found between CBF and CBV (Pearson r = 0.976; Spearman r = 0.928), with multiple regression analysis identifying age and gender as significant predictors of CBF. Conclusions: This study highlights hemispheric asymmetry and inter-territorial variation, the impact of age, and gender on CBF. DCE-MRI provides perfusion metrics that can guide individualized stroke treatment, offering valuable insights for therapeutic planning, particularly in resource-limited settings. Full article
Show Figures

Figure 1

16 pages, 7859 KB  
Article
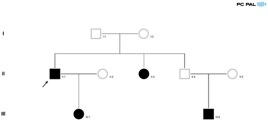
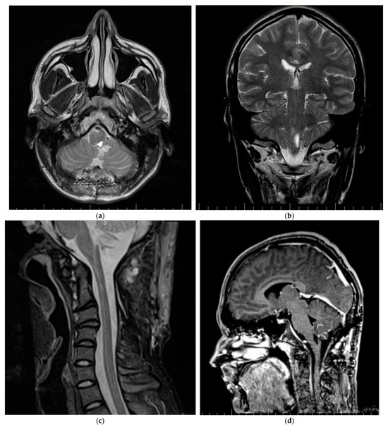
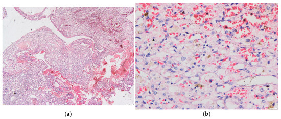
Familial Von Hippel–Lindau Disease: A Case Series of Cerebral Hemangioblastomas with MRI, Histopathological, and Genetic Correlations
by Claudiu Matei, Ioana Boeras, Dan Orga Dumitriu, Cosmin Mutu, Adriana Popescu, Mihai Gabriel Cucu, Alexandru Calotă-Dobrescu, Bogdan Fetica and Diter Atasie
Life 2025, 15(11), 1649; https://doi.org/10.3390/life15111649 - 22 Oct 2025
Viewed by 616
Abstract
Von Hippel-Lindau (VHL) is a rare genetic disorder caused by mutations in the VHL gene on chromosome 3. The disease is associated with increased incidence of neoplasia. The most common manifestations of the disease are hemangioblastomas of the CNS and spinal cord, followed [...] Read more.
Von Hippel-Lindau (VHL) is a rare genetic disorder caused by mutations in the VHL gene on chromosome 3. The disease is associated with increased incidence of neoplasia. The most common manifestations of the disease are hemangioblastomas of the CNS and spinal cord, followed by renal cell carcinomas (RCC), pancreatic tumors, pheocromocytomas, endolymphatic sac tumors, and broad ligament or epididymal cystadenomas. Due to low incidence of the disease, information about its manifestation and genetic makeup has been slow to be gathered. Herein, we present three patients suffering from VHL, all part of the same family: patient one is the father; patient two is the daughter; and patient three is the nephew of the father, cousin to the daughter. Patients and their samples were investigated by magnetic resonance imaging, immunohistochemistry and genetic testing. Results show a tumor process in the left cerebellar hemisphere of the first patient which was successfully removed. The second patient presents with cervical medullary hemangioblastoma which was also successfully removed. The third patient had a tumor formation located at the craniospinal junction, at the level of the posterior bulb which was also treated. Genetic analysis showed patients one and two presented mutations in the VHL gene, confirming the VHL diagnosis. While the cases presented here follow the general lines for VHL disease, patients are related to each other, present tumors of the nervous system and mutations in the VHL gene, their particularities of presentation and manifestation bring new insights into this rare genetic disease. Full article
(This article belongs to the Section Medical Research)
Show Figures

Figure 1

41 pages, 5621 KB  
Review
Review of Research Advances in Gyroscopes’ Structural Forms and Processing Technologies Viewed from Performance Indices
by Hang Luo, Hongbin Su, Qiwen Tang, Fazal ul Nisa, Liang He, Tao Zhang, Xiaoyu Liu and Zhen Liu
Sensors 2025, 25(19), 6193; https://doi.org/10.3390/s25196193 - 6 Oct 2025
Cited by 1 | Viewed by 4899
Abstract
As typical examples of rotational rate sensors, microelectromechanical system (MEMS) gyroscopes have been widely applied as inertial devices in various fields, including national defense, aerospace, healthcare, etc. This review systematically summarizes research advancements in MEMS gyroscope structural forms and processing technologies, which are [...] Read more.
As typical examples of rotational rate sensors, microelectromechanical system (MEMS) gyroscopes have been widely applied as inertial devices in various fields, including national defense, aerospace, healthcare, etc. This review systematically summarizes research advancements in MEMS gyroscope structural forms and processing technologies, which are evaluated through performance indices. The review encompasses several areas. First, it outlines the modelling principles and processes of gyroscopes on the basis of the Coriolis force and resonance, establishing a theoretical foundation for MEMS gyroscope development. Second, it introduces and analyzes the latest research advances in MEMS gyroscope structures and corresponding processing technologies. On the basis of published research advances, this review categorically discusses multidisciplinary technology properties, statistical results, the existence of errors, and compensation methods. Additionally, it identifies challenges in MEMS gyroscope technologies through classification analysis. Full article
(This article belongs to the Collection Inertial Sensors and Applications)
Show Figures

Figure 1

7 pages, 459 KB  
Article
Scaling Down: Proportionally Smaller Corpora Callosa in Larger Brains
by Caitlin Dale, Florian Kurth and Eileen Luders
Anatomia 2025, 4(4), 14; https://doi.org/10.3390/anatomia4040014 - 2 Oct 2025
Viewed by 604
Abstract
Background: Larger brains are believed to rely more heavily on intra-hemispheric than inter-hemispheric processing, which may lead to a proportionally reduced callosal size. Methods: To test this hypothesis, we used T1-weighted magnetic resonance images from a large population sample (n = 38,034). [...] Read more.
Background: Larger brains are believed to rely more heavily on intra-hemispheric than inter-hemispheric processing, which may lead to a proportionally reduced callosal size. Methods: To test this hypothesis, we used T1-weighted magnetic resonance images from a large population sample (n = 38,034). The sample was drawn from the UK Biobank and included 19,947 females and 18,087 males, aged between 44 and 83 years (mean ± SD: 64 ± 7.72 years). Linear modelling was used to assess the relationship between proportional callosal volume and total intracranial volume, with sex, age, and handedness included as covariates and interaction terms. Results: We observed a significant negative relationship between proportional callosal volume and total brain volume, such that larger brains had proportionally smaller corpora callosa. Conclusion: These findings support the hypothesis that increasing brain size is associated with reduced inter-hemispheric connectivity, potentially due to conduction constraints that promote greater intra-hemispheric processing in larger brains. Full article
Show Figures

Figure 1

14 pages, 1453 KB  
Article
Effect of Ion Beam Balancing on Frequency Split for Fourth Harmonic Mass Defect of Hemispherical Resonator
by Boran Li, Changhong Wang and Zhen Fang
Sensors 2025, 25(18), 5888; https://doi.org/10.3390/s25185888 - 20 Sep 2025
Viewed by 451
Abstract
Based on the energy equation of the hemispherical resonator, this study analyzes the influence of ion beam balancing on the frequency split of the hemispherical resonator. Firstly, the formula for mass defects and the resonant frequency of the resonator is obtained through the [...] Read more.
Based on the energy equation of the hemispherical resonator, this study analyzes the influence of ion beam balancing on the frequency split of the hemispherical resonator. Firstly, the formula for mass defects and the resonant frequency of the resonator is obtained through the energy equation. All mass defects of the resonator are equivalent to fourth harmonic wall thickness defects. The quantitative relationship between harmonic wall thickness defects and the resonant frequency and the geometric relationship between the heavy axis of the resonator and the distribution of mass defects are determined. Secondly, the balancing function is introduced into the resonant frequency equation of the hemispherical resonator, and a mathematical model is established for the resonant frequency, defect wall thickness, and balancing depth of the hemispherical resonator. By introducing relevant errors, the impact of balancing errors on the frequency characteristics of the hemispherical resonator is calculated. Finally, an ion beam balancing experiment is designed to verify the effectiveness of the theory. The results show that the frequency split can be better than 0.001 Hz after balancing, effectively improving the hemispherical resonator’s performance. Full article
(This article belongs to the Section Physical Sensors)
Show Figures

Figure 1

12 pages, 2470 KB  
Article
A Preliminary Study on the Accuracy of MRI-Guided Thalamic Infusion of AAV2-GFP and Biodistribution Analysis Using Cryo-Fluorescence Tomography in Nonhuman Primates
by Ernesto A. Salegio, Reinier Espinosa, Geary R. Smith, David Shoshan, Matthew Silva, Eli White and Jacob McDonald
Pharmaceutics 2025, 17(9), 1167; https://doi.org/10.3390/pharmaceutics17091167 - 6 Sep 2025
Viewed by 1016
Abstract
Background: Adeno-associated viral (AAV) vectors are the leading platform for gene therapy, but common delivery routes show limited spread to distal cortical structures, hence the utility of direct, intrathalamic infusions for broader transgene distribution. In this preliminary study, we recapitulate previous studies targeting [...] Read more.
Background: Adeno-associated viral (AAV) vectors are the leading platform for gene therapy, but common delivery routes show limited spread to distal cortical structures, hence the utility of direct, intrathalamic infusions for broader transgene distribution. In this preliminary study, we recapitulate previous studies targeting the thalamus as a conduit to achieve cortical transgene spread and showcase novel data evaluating biodistribution of a green fluorescent protein (GFP) using cryo-fluorescence tomography (CFT). For the first time in nonhuman primates (NHPs) and coupled with magnetic resonance imaging (MRI)-guidance, we demonstrated the application of CFT as a powerful tool to map out vector distribution in the NHP brain. Methods: Briefly, a single thalamic infusion was performed in African green monkeys using ClearPoint’s navigational platform to deliver an AAV serotype 2 vector containing a GFP payload. Transgene biodistribution was assessed in the left and right hemispheres using CFT and histological analysis, respectively. Results: Infusions were successfully performed with sub-millimetric target accuracy and with minimal error, achieving ~86% thalamic coverage with the largest infusion volume. Histology confirmed the presence of the GFP transgene, with the strongest signal in the cerebral gray/white matter and internal capsule, while CFT allowed for the three-dimensional detection of the transgene starting at the site of infusion and spreading to multiple cortical regions. Conclusions: These findings suggest that by combining MRI-guided technology with CFT imaging, it is feasible to map whole-brain gene biodistribution in NHPs. This proof-of-concept study bridges the gap between cellular microscopy and MRI-guidance to provide a complete picture of disease and treatment with clinical applicability. Full article
Show Figures

Figure 1

11 pages, 2829 KB  
Article
Low-Cost, LED-Based Photoacoustic Spectrophone Using Hemispherical Acoustic Resonant Cavity for Measurement of Hydrocarbon Gases
by Gaoxuan Wang, Lingxiao Hou, Fangjun Li, Lihui Wang, Chao Fei, Xiaojian Hong and Sailing He
Atmosphere 2025, 16(9), 1012; https://doi.org/10.3390/atmos16091012 - 28 Aug 2025
Viewed by 900
Abstract
Spherical acoustic resonant cavities have been increasingly reported in photoacoustic spectroscopy due to their small volume and enhanced effective gas absorption path length. For further reducing the acoustic cavity volume and exploiting broadband LED as a light source, this paper reports a low-cost, [...] Read more.
Spherical acoustic resonant cavities have been increasingly reported in photoacoustic spectroscopy due to their small volume and enhanced effective gas absorption path length. For further reducing the acoustic cavity volume and exploiting broadband LED as a light source, this paper reports a low-cost, LED-based photoacoustic gas-sensing system using a hemispherical acoustic resonant (HAR) cavity with a radius of 15 mm and a volume of 7.07 mL. The placement of both the excitation light source and transducer, as important elements in photoacoustic spectroscopy, was systematically optimized for improving the generation efficient of photoacoustic signal. The frequency response of the HAR cavity was thoroughly characterized for exploring an optimal operation frequency of the light source. Through positional and frequency optimization, the developed low-cost, LED-based photoacoustic spectrophone realized highly sensitive measurements of hydrocarbon gases with measurement sensitivities of 111.6 ppm (3σ) for isobutane, 140.1 ppm (3σ) for propane, and 866.4 ppm (3σ) for ethylene at an integration time of 1 s. These results demonstrate the strong potential of low-cost, LED-HAR-based PA-sensing systems in the field of gas sensing for widespread deployment in distributed sensor networks and atmospheric monitoring platforms. Full article
Show Figures

Figure 1

Back to TopTop