Familial Von Hippel–Lindau Disease: A Case Series of Cerebral Hemangioblastomas with MRI, Histopathological, and Genetic Correlations
Abstract
1. Introduction
2. Materials and Methods
2.1. Magnetic Resonance Imaging (MRI)
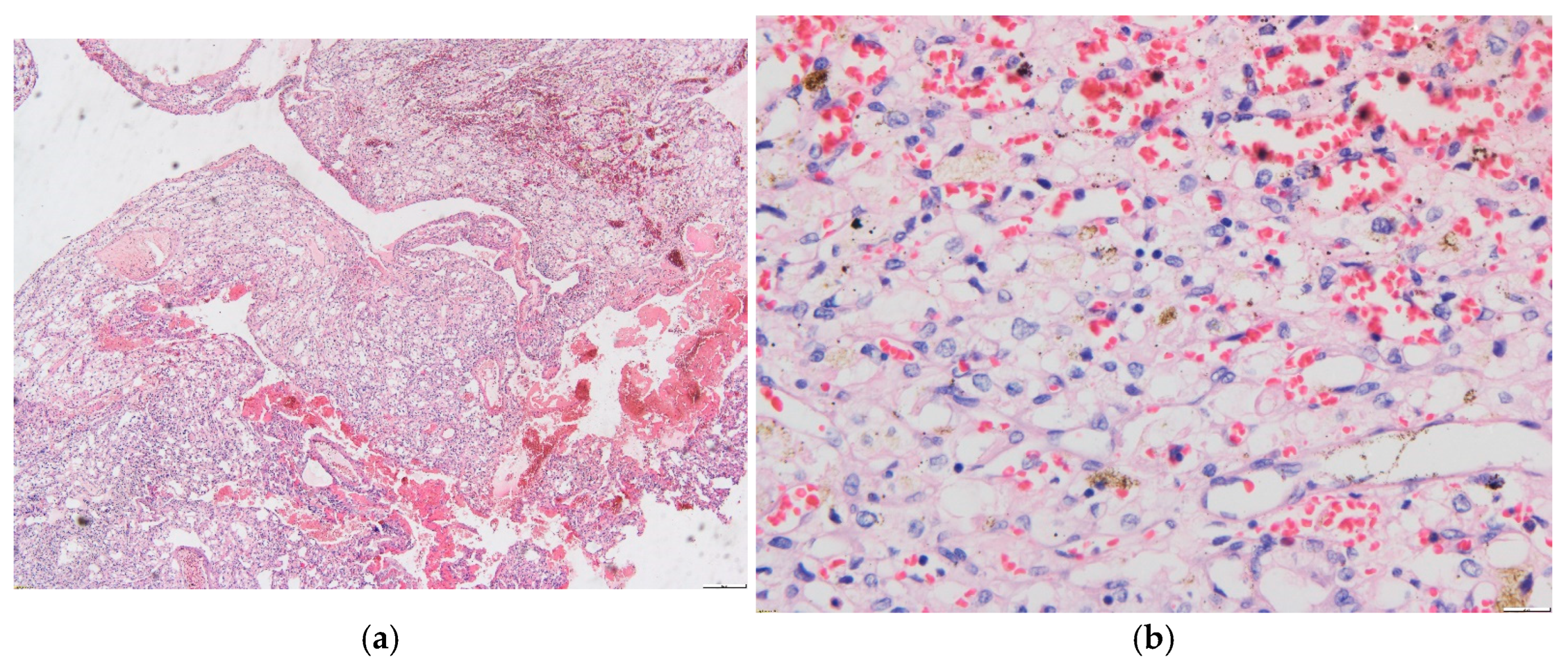
2.2. Histopathological Examination
2.3. Genetic Analysis
3. Results
3.1. Case Series
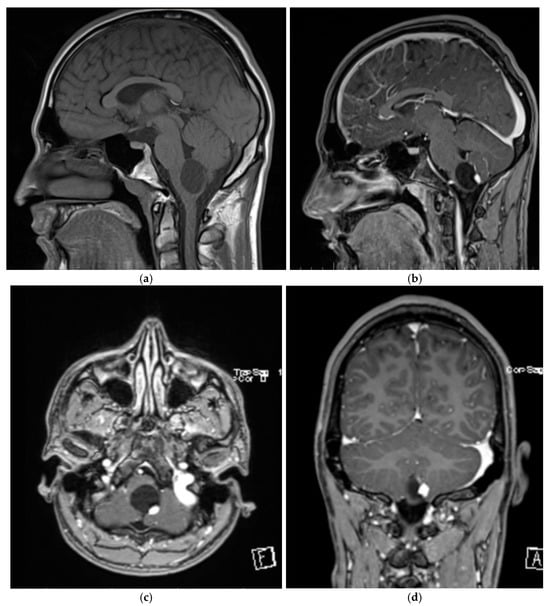
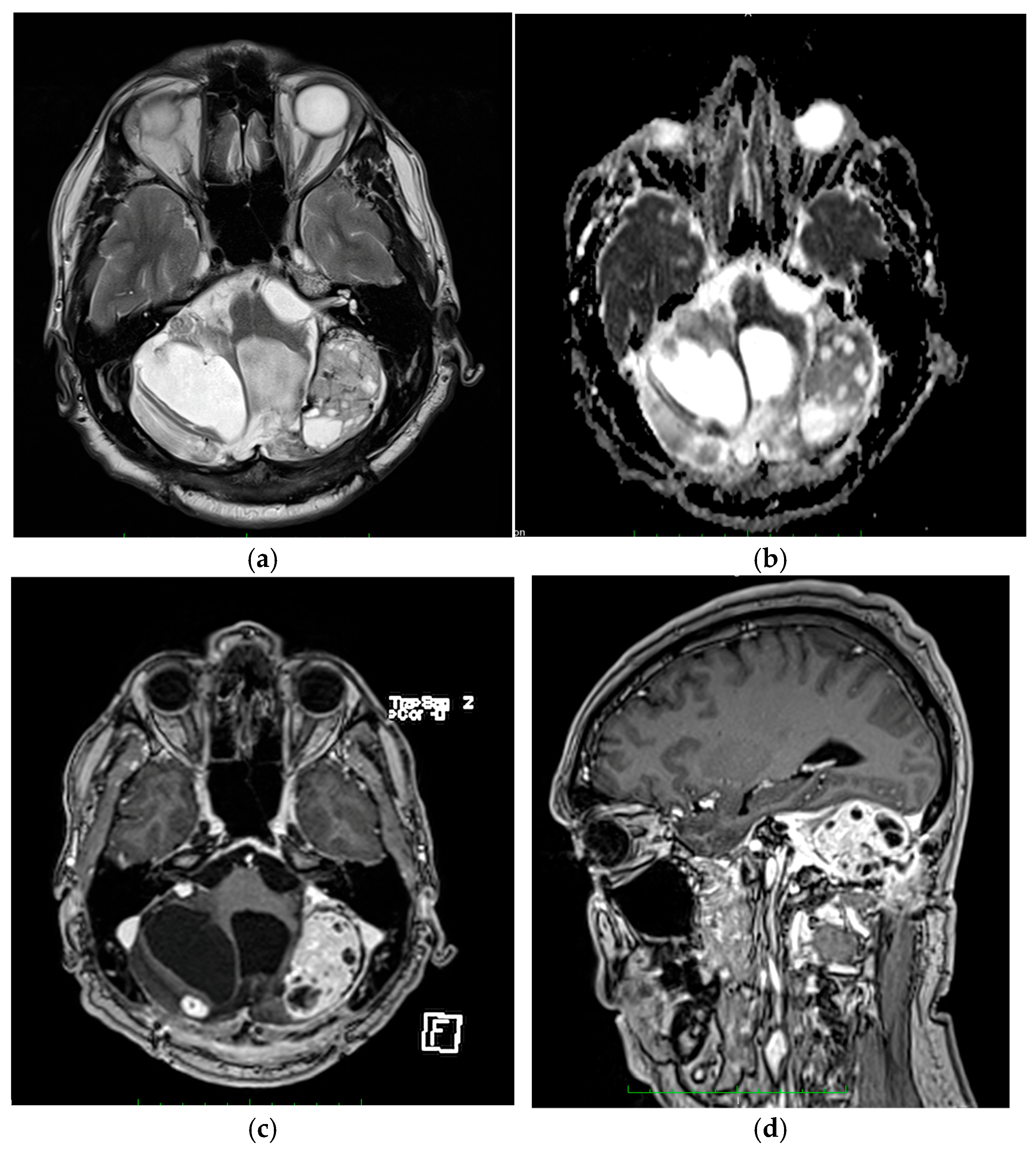
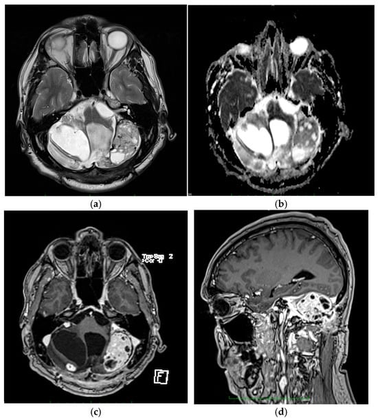
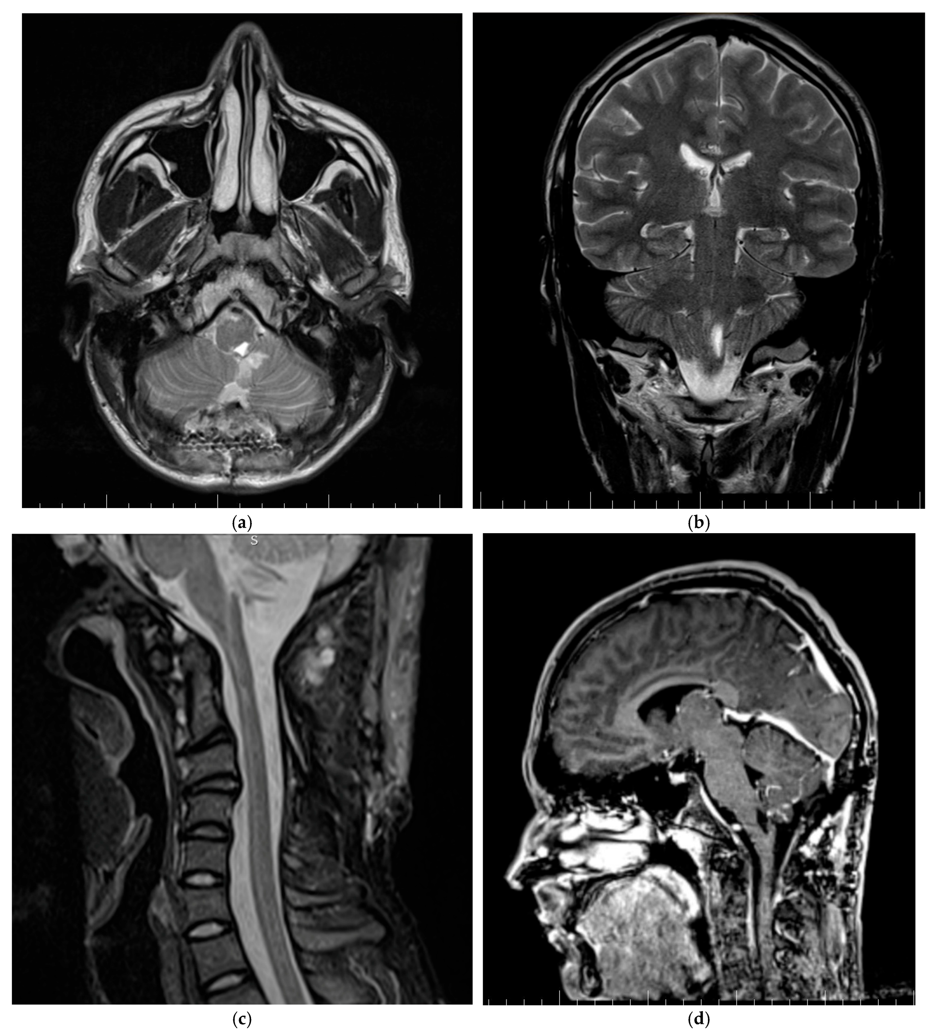
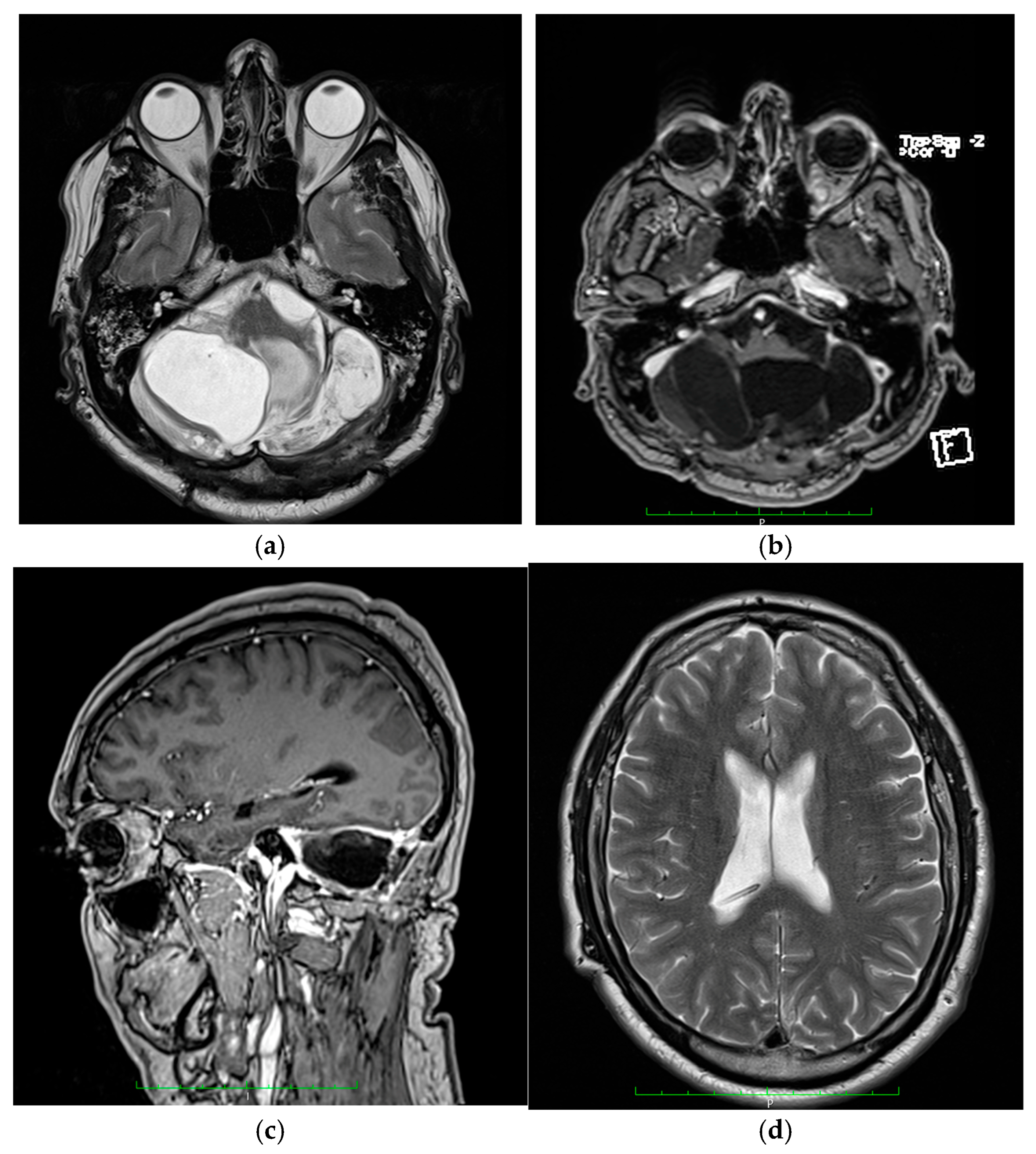
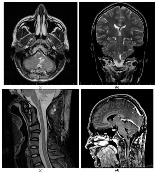
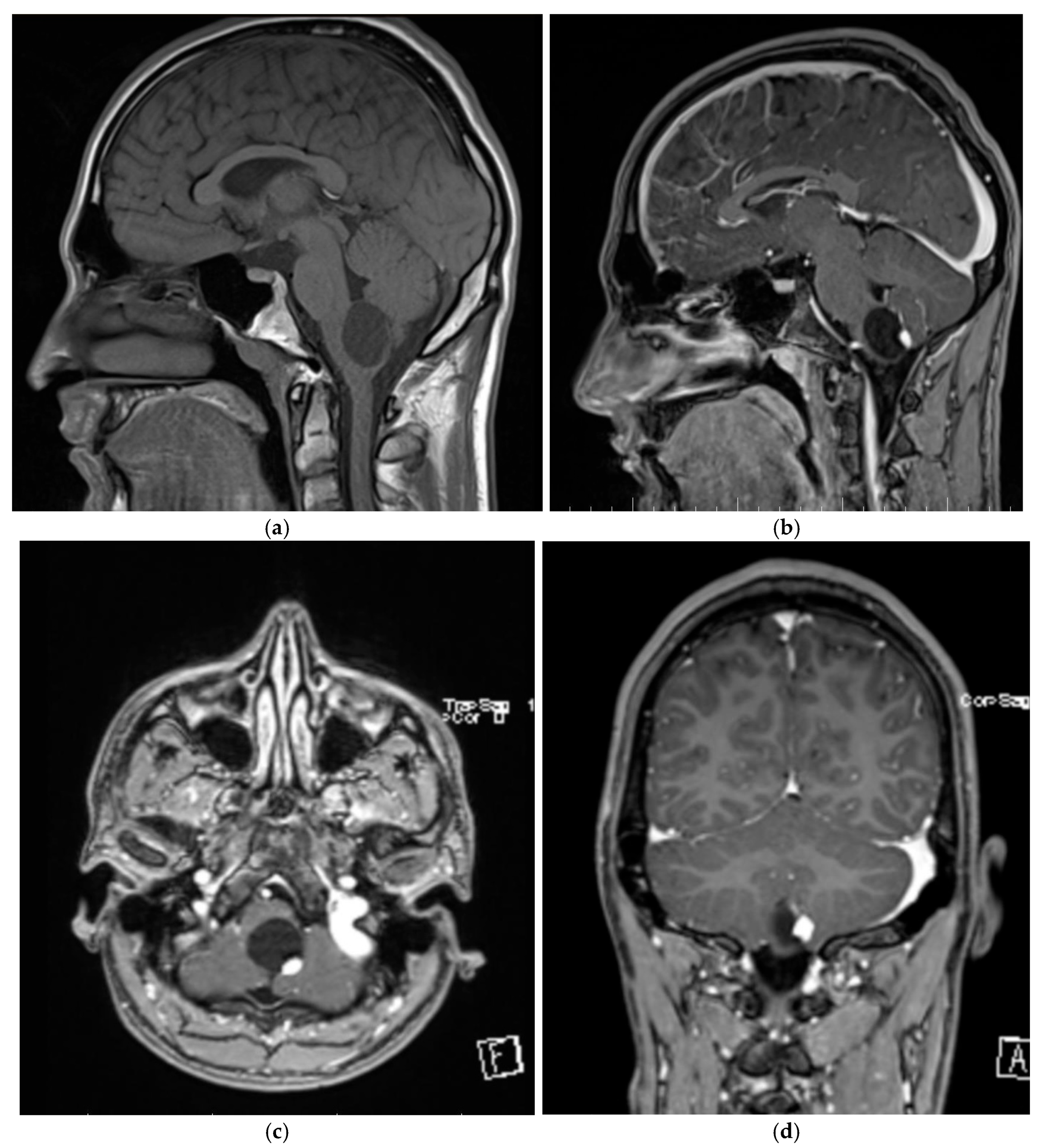
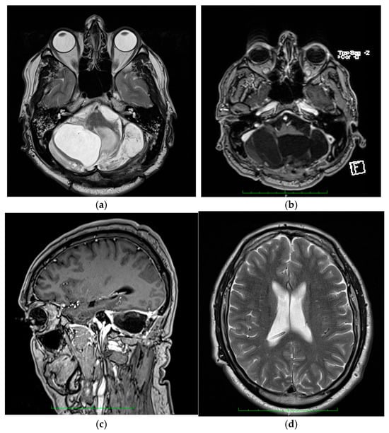
3.1.1. Patient One
3.1.2. Patient Two
3.1.3. Patient Three
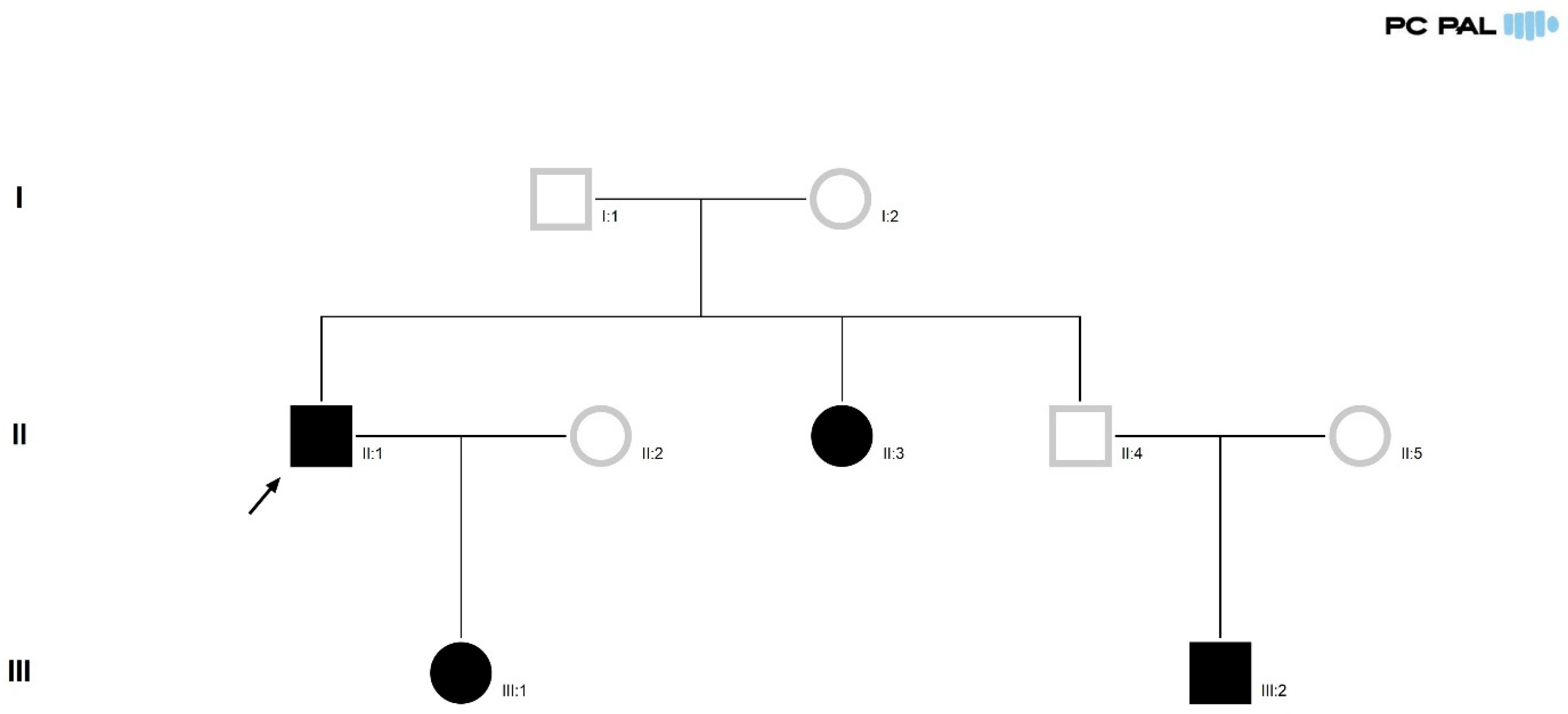
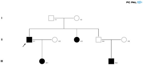
3.2. Genetic Analysis
4. Discussion
5. Conclusions
Author Contributions
Funding
Institutional Review Board Statement
Informed Consent Statement
Data Availability Statement
Acknowledgments
Conflicts of Interest
Abbreviations
| VHL | Von Hippel–Lindau |
References
- Karimi, S.; Arabi, A.; Shahraki, T.; Safi, S. Von Hippel-Lindau disease and the eye. J. Ophthalmic Vis. Res. 2020, 15, 78. [Google Scholar] [CrossRef]
- Yoda, R.A.; Cimino, P.J. Neuropathologic features of central nervous system hemangioblastoma. J. Pathol. Transl. Med. 2022, 56, 115–125. [Google Scholar] [CrossRef]
- Lonser, R.R.; Butman, J.A.; Huntoon, K.; Asthagiri, A.R.; Wu, T.; Bakhtian, K.D.; Chew, E.Y.; Zhuang, Z.; Linehan, W.M.; Oldfield, E.H. Prospective natural history study of central nervous system hemangioblastomas in von Hippel-Lindau disease. J. Neurosurg. 2014, 120, 1055–1062. [Google Scholar] [CrossRef]
- Webster, A.R.; Maher, E.R.; Moore, A.T. Clinical characteristics of ocular angiomatosis in von Hippel-Lindau disease and correlation with germline mutation. Arch. Ophthalmol. 1999, 117, 371–378. [Google Scholar] [CrossRef]
- Dollfus, H.; Massin, P.; Taupin, P.; Nemeth, C.; Amara, S.; Giraud, S.; Béroud, C.; Dureau, P.; Gaudric, A.; Landais, P.; et al. Retinal hemangioblastoma in von Hippel-Lindau disease: A clinical and molecular study. Investig. Ophthalmol. Vis. Sci. 2002, 43, 3067–3074. [Google Scholar]
- Wanebo, J.E.; Lonser, R.R.; Glenn, G.M.; Oldfield, E.H. The natural history of hemangioblastomas of the central nervous system in patients with von Hippel—Lindau disease. J. Neurosurg. 2003, 98, 82–94. [Google Scholar] [CrossRef] [PubMed]
- Ammerman, J.M.; Lonser, R.R.; Dambrosia, J.; Butman, J.A.; Oldfield, E.H. Long-term natural history of hemangioblastomas in patients with von Hippel–Lindau disease: Implications for treatment. J. Neurosurg. 2006, 105, 248–255. [Google Scholar] [CrossRef] [PubMed]
- Lonser, R.R.; Glenn, G.M.; Walther, M.; Chew, E.Y.; Libutti, S.K.; Linehan, W.M.; Oldfield, E.H. von Hippel-Lindau disease. Lancet 2003, 361, 2059–2067. [Google Scholar] [CrossRef]
- Nordstrom-O’Brien, M.; van der Luijt, R.B.; van Rooijen, E.; van den Ouweland, A.M.; Majoor-Krakauer, D.F.; Lolkema, M.P.; van Brussel, A.; Voest, E.E.; Giles, R.H. Genetic analysis of von Hippel-Lindau disease. Human Mutat. 2010, 31, 521–537. [Google Scholar] [CrossRef] [PubMed]
- Richards, F.M.; Maher, E.R.; Latif, F.; Phipps, M.E.; Tory, K.; Lush, M.; Crossey, P.A.; Oostra, B.; Enblad, P.; Gustavson, K.H. Detailed genetic mapping of the von Hippel-Lindau disease tumour suppressor gene. J. Med. Genet. 1993, 30, 104–107. [Google Scholar] [CrossRef][Green Version]
- Latif, F.; Duh, F.M.; Gnarra, J.; Tory, K.; Kuzmin, I.; Yao, M.; Stackhouse, T.; Modi, W.; Geil, L.; Schmidt, L.; et al. Von Hippel-Lindau syndrome: Cloning and identification of the plasma membrane Ca++-transporting ATPase isoform 2 gene that resides in the von Hippel-Lindau gene region. Cancer Res. 1993, 53, 861–867. [Google Scholar] [PubMed]
- Latif, F.; Tory, K.; Gnarra, J.; Yao, M.; Duh, F.M.; Orcutt, M.L.; Stackhouse, T.; Kuzmin, I.; Modi, W.; Geil, L.; et al. Identification of the von Hippel-Lindau disease tumor suppressor gene. Science 1993, 260, 1317–1320. [Google Scholar] [CrossRef]
- Blankenship, C.; Naglich, J.G.; Whaley, J.M.; Seizinger, B.; Kley, N. Alternate choice of initiation codon produces a biologically active product of the von Hippel Lindau gene with tumor suppressor activity. Oncogene 1999, 18, 1529–1535. [Google Scholar] [CrossRef]
- Iliopoulos, O.; Kibel, A.; Gray, S.; Kaelin, W.G., Jr. Tumour suppression by the human von Hippel-Lindau gene product. Nat. Med. 1995, 1, 822–826. [Google Scholar] [CrossRef]
- Schoenfeld, A.; Davidowitz, E.J.; Burk, R.D. A second major native von Hippel–Lindau gene product, initiated from an internal translation start site, functions as a tumor suppressor. Proc. Natl. Acad. Sci. USA 1998, 95, 8817–8822. [Google Scholar] [CrossRef]
- Kurban, G.; Hudon, V.; Duplan, E.; Ohh, M.; Pause, A. Characterization of a von Hippel Lindau pathway involved in extracellular matrix remodeling, cell invasion, and angiogenesis. Cancer Res. 2006, 66, 1313–1319. [Google Scholar] [CrossRef]
- PedigreeXP; PC PAL. Available online: https://www.pedigreexp.com/ (accessed on 7 April 2025).
- Maher, E.R.; Yates, J.R.W.; Harries, R.; Benjamin, C.; Harris, R.; Moore, A.T.; Ferguson-Smith, M.A. Clinical features and natural history of von Hippel-Lindau disease. QJM Int. J. Med. 1990, 77, 1151–1163. [Google Scholar] [CrossRef] [PubMed]
- Maher, E.R.; Iselius, L.; Yates, J.R.; Littler, M.; Benjamin, C.; Harris, R.; Sampson, J.; Williams, A.; Ferguson-Smith, M.A.; Morton, N. Von Hippel-Lindau disease: A genetic study. J. Med. Genet. 1991, 28, 443–447. [Google Scholar] [CrossRef] [PubMed]
- Gossage, L.; Eisen, T.; Maher, E.R. VHL, the story of a tumour suppressor gene. Nat. Rev. Cancer 2015, 15, 55–64. [Google Scholar] [CrossRef]
- Cascón, A.; Escobar, B.; Montero-Conde, C.; Rodríguez-Antona, C.; Ruiz-Llorente, S.; Osorio, A.; Mercadillo, F.; Letón, R.; Campos, J.M.; García-Sagredo, J.M.; et al. Loss of the actin regulator HSPC300 results in clear cell renal cell carcinoma protection in Von Hippel-Lindau patients. Human Mutat. 2007, 28, 613–621. [Google Scholar] [CrossRef]
- Buckner, J.C.; Brown, P.D.; O’Neill, B.P.; Meyer, F.B.; Wetmore, C.J.; Uhm, J.H. Central nervous system tumors. In Mayo Clinic Proceedings; Elsevier: Amsterdam, The Netherlands, 2007; Volume 82, pp. 1271–1286. [Google Scholar]
- Makanji, Y.; Zhu, J.; Mishra, R.; Holmquist, C.; Wong, W.P.; Schwartz, N.B.; Mayo, K.E.; Woodruff, T.K. Inhibin at 90: From discovery to clinical application, a historical review. Endocr. Rev. 2014, 35, 747–794. [Google Scholar] [CrossRef]
- Weidemann, S.; Noori, N.A.; Lennartz, M.; Reiswich, V.; Dum, D.; Menz, A.; Chirico, V.; Hube-Magg, C.; Fraune, C.; Bawahab, A.A.; et al. Inhibin alpha expression in human tumors: A tissue microarray study on 12,212 tumors. Biomedicines 2022, 10, 2507. [Google Scholar] [CrossRef] [PubMed]
- Listik, E.; Horst, B.; Choi, A.S.; Lee, N.Y.; Győrffy, B.; Mythreye, K. A bioinformatic analysis of the inhibin-betaglycan-endoglin/CD105 network reveals prognostic value in multiple solid tumors. PLoS ONE 2021, 16, e0249558. [Google Scholar] [CrossRef]
- Kaloostian, P.E.; Taylor, C.L. Supratentorial dural-based haemangioblastoma in a Native American patient without Von Hippel Lindau Syndrome. J. Surg. Case Rep. 2012, 2012, 11. [Google Scholar] [CrossRef] [PubMed][Green Version]
- Rodrigues, M.; Iliff, N.T.; Eberhart, C.G.; Montaner, S.; Sodhi, A. Scleral penetration of an unusually aggressive case of a retinal hemangioblastoma. Can. J. Ophthalmol. J. Can. D’ophtalmologie 2013, 48, e67. [Google Scholar] [CrossRef] [PubMed]
- Basave, H.N.L.; Morales-Vasquez, F.; Monterrubio, J.C.T.; Gomez, A.H.; Molina, J.M.R.; Esquivel, G.M.; Lino-Silva, L.S. Primary gastric hemangioblastoma: Report of a case. Rare Tumors 2015, 7, 14–15. [Google Scholar] [CrossRef]
- Kasapas, K.; Malli, A.; Sfikas, S.; Georgakoulias, N. Sporadic pituitary stalk hemangioblastoma: A rare case report and review of the literature. Cureus 2020, 12, e9107. [Google Scholar] [CrossRef]
- Neal, M.T.; Richards, A.E.; Curley, K.L.; Donev, K.; Lyons, M.K.; Kalani, M.A. Spinal intramedullary hemangioblastoma and schwannoma collision tumor: Illustrative case. J. Neurosurg. Case Lessons 2021, 18, CASE2059. [Google Scholar] [CrossRef]
- Yang, B.; Li, Z.; Wang, Y.; Zhang, C.; Zhang, Z.; Zhang, X. Central nervous system hemangioblastoma in a pediatric patient associated with Von Hippel-Lindau disease: A case report and literature review. Front. Oncol. 2021, 11, 683021. [Google Scholar] [CrossRef]
- Li, L.; Xie, H.M.; Richard, S.A.; Lan, Z. Hemangioblastoma masquerading as a ring enhancing lesion in the cerebellum: A case report. Medicine 2022, 101, e28665. [Google Scholar] [CrossRef]
- Koo, J.Y.; Lee, K.H.; Choi, J.H.; Chung, H.S.; Choi, C. Adrenal hemangioblastoma. J. Pathol. Transl. Med. 2022, 56, 161–166. [Google Scholar] [CrossRef] [PubMed]
- Xu, S.T.; Cao, X.; Yin, X.Y.; Zhang, J.Y.; Nan, J.; Zhang, J. Supratentorial hemangioblastoma at the anterior skull base: A case report. World J. Clin. Cases 2022, 10, 9518. [Google Scholar] [CrossRef] [PubMed]
- Kanehisa, K.; Inoue, A.; Watanabe, H.; Kusakabe, K.; Taniwaki, M.; Shigekawa, S.; Kitazawa, R.; Kunieda, T. Usefulness of neuroimaging and immunohistochemical study for accurate diagnosis of parasagittal hemangioblastoma arising in the supratentorial region: A case report and review of the literature. Transl. Cancer Res. 2022, 11, 4178. [Google Scholar] [CrossRef]
- Weinbreck, N.; Marie, B.; Bressenot, A.; Montagne, K.; Joud, A.; Baumann, C.; Klein, O.; Vignaud, J.M. Immunohistochemical markers to distinguish between hemangioblastoma and metastatic clear-cell renal cell carcinoma in the brain: Utility of aquaporin1 combined with cytokeratin AE1/AE3 immunostaining. Am. J. Surg. Pathol. 2008, 32, 1051–1059. [Google Scholar] [CrossRef]
- Bukhari, S.S.; Bari, M.E.; Ahmad, Z.; Din, N.U. Spinal cord hemangioblastomas with a focus on clinical presentation, diagnosis, and treatment at a tertiary care hospital of Karachi, Pakistan: A retrospective chart review. Surg. Neurol. Int. 2021, 12, 24. [Google Scholar] [CrossRef]
- Doyle, L.A.; Fletcher, C.D. Peripheral hemangioblastoma: Clinicopathologic characterization in a series of 22 cases. Am. J. Surg. Pathol. 2014, 38, 119–127. [Google Scholar] [CrossRef]
- Muscarella, L.A.; Bisceglia, M.; Galliani, C.A.; Zidar, N.; Ben-Dor, D.J.; Pasquinelli, G.; la Torre, A.; Sparaneo, A.; Fanburg-Smith, J.C.; Lamovec, J.; et al. Extraneuraxial hemangioblastoma: A clinicopathologic study of 10 cases with molecular analysis of the VHL gene. Pathol. Res. Pract. 2018, 214, 1156–1165. [Google Scholar] [CrossRef]
- Hoang, M.P.; Amirkhan, R.H. Inhibin alpha distinguishes hemangioblastoma from clear cell renal cell carcinoma. Am. J. Surg. Pathol. 2003, 27, 1152–1156. [Google Scholar] [CrossRef]
- Boulagnon-Rombi, C.; Fleury, C.; Fichel, C.; Lefour, S.; Marchal Bressenot, A.; Gauchotte, G. Immunohistochemical approach to the differential diagnosis of meningiomas and their mimics. J. Neuropatholgy Exp. Neurol. 2017, 76, 289–298. [Google Scholar] [CrossRef]
- Hes, F.J.; Van Der Luijt, R.B.; Janssen, A.L.W.; Zewald, R.A.; De Jong, G.J.; Lenders, J.W.; Links, T.P.; Luyten, G.P.M.; Sijmons, R.H.; Eussen, H.J.; et al. Frequency of Von Hippel-Lindau germline mutations in classic and non-classic Von Hippel-Lindau disease identified by DNA sequencing, Southern blot analysis and multiplex ligation-dependent probe amplification. Clin. Genet. 2007, 72, 122–129. [Google Scholar] [CrossRef] [PubMed]
- Zhang, K.; Yang, W.; Ma, K.; Qiu, J.; Li, L.; Xu, Y.; Zhang, Z.; Yu, C.; Zhou, J.; Gong, Y.; et al. Genotype–phenotype correlations and clinical outcomes of patients with von Hippel-Lindau disease with large deletions. J. Med. Genet. 2023, 60, 477–483. [Google Scholar] [CrossRef] [PubMed]









| Case Report | Age/Sex | HB Site | Tumor Size | VHL | Immunoprofile, Inhibin (-) and: | |
|---|---|---|---|---|---|---|
| Positive | Negative | |||||
| Kaloostian et al., 2012 [26] | 49/F | Supratentorial | 6.5/5 cm | no | S100 NSE fXIIIa | GFAP EMA CD10 CAM5.2 RCCa |
| Rodrigues et al., 2013 [27] | 56/F | Retina | ND | yes | S100 GFAP EMA CAM5.2 CD68 | |
| Basave et al., 2015 [28] | 18/M | Gastric | 5 cm | no | vimentin CD68 | S100 GFAP EMA RCCa actin desmin synaptophysin HMB-45 CD117 |
| Kasapas et al., 2020 [29] | 36/M | Pituitary stalk | 3 cm | no | NSE EGFR vimentin EMA | S100 GFAP CK5/6 CK7 CK20 |
| Neal et al., 2021 [30] | 51/F | Cervical, intramedullary (collision tumor with schwannoma) | 1/0.5 cm | ND | S100 NSE | GFAP SOX10 CD68 |
| Yang et al., 2021 [31] | 12/M | Optic nerve (suprasellar) | 2.35/1.85 cm | yes | NSE EGFR vimentin | S100 GFAP CD10 EMA CD56 CKpan Pax8 SSTR2 |
| Li et al., 2022 [32] | 33/F | Cerebellar hemisphere | 3.9/3.4 and 2.1/1.5 cm | no | S100 D2-40 galectin-3 CA-9 | GFAP EMA Olig2 |
| Koo et al., 2022 [33] | 54/F | Adrenal | 4.2 cm | no | S100 NSE synaptophysin | EMA CD10 CD31 CA-9 |
| Xu et al., 2022 [34] | 51/M | Supratentorial | 2.5/2 cm | ND | S100 PR | D2-40 GFAP CKpan EMA CD10 |
| Kanehisa et al., 2022 [35] | 66/F | Supratentorial | ND | no | D2-40 | EMA |
| Our case (Patient 2) | 24/F | Cervical, intramedullary | 3 cm | yes | S100 | GFAP SOX10 CD24 EMA CKAE1/3 PR |
Disclaimer/Publisher’s Note: The statements, opinions and data contained in all publications are solely those of the individual author(s) and contributor(s) and not of MDPI and/or the editor(s). MDPI and/or the editor(s) disclaim responsibility for any injury to people or property resulting from any ideas, methods, instructions or products referred to in the content. |
© 2025 by the authors. Licensee MDPI, Basel, Switzerland. This article is an open access article distributed under the terms and conditions of the Creative Commons Attribution (CC BY) license (https://creativecommons.org/licenses/by/4.0/).
Share and Cite
Matei, C.; Boeras, I.; Orga Dumitriu, D.; Mutu, C.; Popescu, A.; Cucu, M.G.; Calotă-Dobrescu, A.; Fetica, B.; Atasie, D. Familial Von Hippel–Lindau Disease: A Case Series of Cerebral Hemangioblastomas with MRI, Histopathological, and Genetic Correlations. Life 2025, 15, 1649. https://doi.org/10.3390/life15111649
Matei C, Boeras I, Orga Dumitriu D, Mutu C, Popescu A, Cucu MG, Calotă-Dobrescu A, Fetica B, Atasie D. Familial Von Hippel–Lindau Disease: A Case Series of Cerebral Hemangioblastomas with MRI, Histopathological, and Genetic Correlations. Life. 2025; 15(11):1649. https://doi.org/10.3390/life15111649
Chicago/Turabian StyleMatei, Claudiu, Ioana Boeras, Dan Orga Dumitriu, Cosmin Mutu, Adriana Popescu, Mihai Gabriel Cucu, Alexandru Calotă-Dobrescu, Bogdan Fetica, and Diter Atasie. 2025. "Familial Von Hippel–Lindau Disease: A Case Series of Cerebral Hemangioblastomas with MRI, Histopathological, and Genetic Correlations" Life 15, no. 11: 1649. https://doi.org/10.3390/life15111649
APA StyleMatei, C., Boeras, I., Orga Dumitriu, D., Mutu, C., Popescu, A., Cucu, M. G., Calotă-Dobrescu, A., Fetica, B., & Atasie, D. (2025). Familial Von Hippel–Lindau Disease: A Case Series of Cerebral Hemangioblastomas with MRI, Histopathological, and Genetic Correlations. Life, 15(11), 1649. https://doi.org/10.3390/life15111649

